CD163抗体

中文名称:CD163抗体
英文名称:CD163 antibody
CAS号:
分子式:
分子量:0
EINECS号:
Mol文件:Mol File
CD163抗体 结构式

CD163抗体 用途与合成方法

CD163抗体是一类可以特异性结合CD163的多克隆抗体。CD163是SRCR超家族成员之一,又称为血红蛋白清道夫受体(hemoglobin scavenger receptor,HbSR)、M130或p155。CD163的表达水平受很多因素调节,糖皮质激素及抗炎介质如IL-10以及IL-6能上调CD163,而促炎介质如脂多糖(lipopolysaccharide,LPS)、γ-干扰素(interferon-γ,IFN-γ)以及TNF-α则抑制CD163表达。

CD163抗体

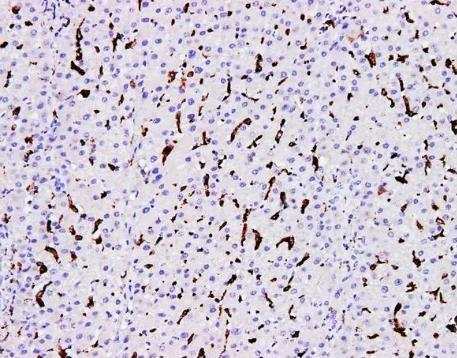
图 CD163抗体免疫组化

CD163抗体是一类可以特异性结合CD163的多克隆抗体,主要用于体外检测CD163的免疫学实验。 Rabbit Mouse, Rat, Human IgG

WB, IHC-P, IHC-F, ICC/IF

CD163抗体供应商 更多

爱必信(上海)生物科技有限公司
黄金产品
联系电话: 13761418683
产品介绍:
中文名称:CD163抗体
英文名称:CD163 antibody
包装信息:100ul,50ul
备注: 见爱必信官网
湖北艾普蒂生物工程有限公司
联系电话:18007124176 19384116026
产品介绍:
中文名称:CD163抗体;CD163 antibody
英文名称:CD163 antibody
纯度:99%
包装信息:50ul/RMB 1280;100ul/RMB 2180
上海切尔齐生物科技有限公司
联系电话:027-19371278702 18008634902
产品介绍:
中文名称:CD163抗体
英文名称:Rabbit Polyclonal CD163 Antibody
包装信息:20μl;50μl;100μl
备注:艾普蒂抗体回收效果好,条带干净。多种属,适用于多种实验类型,批次间差异小
北京兰杰柯科技有限公司
联系电话:400-600-4213
产品介绍:
中文名称:CD163抗体
Rockland Immunochemicals Inc
联系电话:0512-65829739
产品介绍:
中文名称:CD163 抗体

CD163抗体新闻专题 更多

最新发布供应信息

CD163抗体;CD163 Antibody—艾普蒂
上海切尔齐生物科技有限公司 2025-05-28