小鼠骨髓间充质干细胞
中文名称:小鼠骨髓间充质干细胞
英文名称:Bone Marrow Mesenchymal Stem Cells
CAS号:
分子式:
分子量:0
EINECS号:
Mol文件:Mol File
小鼠骨髓间充质干细胞 用途与合成方法
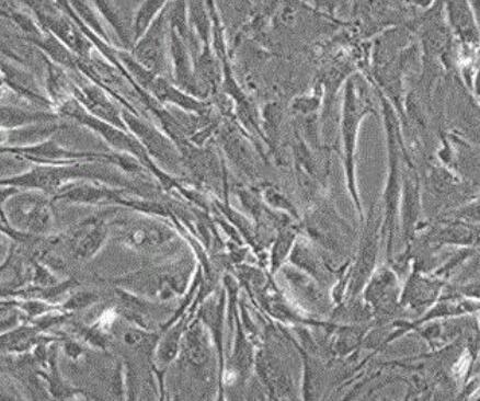
小鼠骨髓间充质干细胞来源于实验小鼠的正常骨髓血组织,CD44免疫荧光染色为阳性,CD45免疫荧光染色为阴性。细胞生长方式:长梭形细胞,不规则细胞,贴壁培养,不含有HIV-1、HBV、HCV、支原体、细菌、酵母和真菌。

成纤维细胞样
贴壁生长气相:95%空气+5%CO2,温度:37℃
小鼠骨髓间充质干细胞是骨髓基质干细胞,对骨髓中的造血干细胞(HSC)不仅有机械支持作用,还能分泌多种生长因子(如IL-6,IL-11,LIF,M-CSF及SCF等)来支持造血。骨髓间充质干细胞具有多向分化潜能,能促进间充质组织的再生,如:骨、软骨、肌肉、韧带、肌腱、脂肪及基质等组织。在骨髓中,BMSCs占骨髓有核细胞总数的0.001%~0.1%,含量极低。
小鼠骨髓间充质干细胞采用冲洗骨髓、密度梯度离心、差速贴壁法结合培养基筛选制备而来。贴壁培养筛选法
贴壁筛选法是利用细胞贴壁时间及贴壁牢固性的不同,逐步将非贴壁细胞和其它杂质细胞去除的一种简单易行的方法,常用于干细胞的培养中。
密度梯度离心法
密度梯度区带离心法(简称区带离心法),是将样品加在惰性梯度介质中进行离心沉降或沉降平衡,在一定的离心力下把颗粒分配到梯度中某些特定位置上,形成不同区带的分离方法。
此法的优点是:
①分离效果好,可一次获得较纯颗粒;
②适应范围广,能像差速离心法一样分离具有沉降系数差的颗粒,又能分离有一定浮力密度差的颗粒;
③颗粒不会挤压变形,能保持颗粒活性,并防止已形成的区带由于对流而引起混合。
此法的缺点是:
①离心时间较长;
②需要制备惰性梯度介质溶液;
③操作严格,不易掌握。
小鼠骨髓间充质干细胞供应商 更多
上海抚生实业有限公司
新品
联系电话:52961052 18201748966
产品介绍:
中文名称:小鼠骨髓间充质干细胞
英文名称:Mouse Bone Marrow Mesenchymal Stem Cells
包装信息:25T/RMB 4050
上海康朗生物科技有限公司
联系电话:021-61998208 18217752821
产品介绍:
中文名称:小鼠骨髓间充质干细胞
英文名称:Bone Marrow Mesenchymal Stem Cells
纯度:99.99%
备注:小鼠骨髓间充质干细胞 500000细胞数/4050
上海宾穗生物科技有限公司
联系电话:18301908279
产品介绍:
中文名称:小鼠骨髓间充质干细胞
英文名称:Mouse Bone Marrow Mesenchymal Stem cells
纯度:>95%
包装信息:5*10^5(T25/1ml)
备注:公司专注原代细胞提取,深耕原代细胞领域很多年!!!
武汉尚恩生物技术有限公司
联系电话: 17764018385
产品介绍:
中文名称:小鼠骨髓间充质干细胞
英文名称:BMSCs(mBMSCs)
纯度:100%
包装信息:T25瓶
备注:细胞级
小鼠骨髓间充质干细胞新闻专题 更多
2021-06-30
小鼠骨髓间充质干细胞的应用