Product Introduction
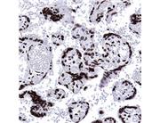
Napsin A Recombinant Rabbit mAb (SDT-2777-115) is a high-specificity recombinant antibody from ANTBIO, optimized for WB and IHC‑P detection of human Napsin A. Product page: https://www.antbioinc.com/products/napsin-a-recombinant-rabbit-mab-sdt-2777-115-s0b2442
Product Specifications
Catalog Number: S0B2442
Host: Rabbit
Antigen: Napsin A
Synonyms: ASP4, NAPSA, Napsin-1, TA01/TA02
Clone Number: SDT-2777-115
Antibody Type: Recombinant monoclonal antibody
Isotype: IgG
Reactivity: Human
Applications: WB, IHC-P
Conjugation: Unconjugated
Concentration: 0.2 mg/mL
Purification: Protein A
Form: Liquid
Positive Sample: HCC78, HCC827
Storage Buffer: PBS, 40% Glycerol, 0.05% BSA, 0.03% Proclin 300
Storage & Stability: -20 °C, stable for 12 months from receipt
Recommended Dilution: WB 1:100; IHC-P 1:2000
Company Profile
ANT BIO PTE. LTD. – Empowering Scientific Breakthroughs
At ANTBIO, we are committed to advancing life science research through high-quality, reliable reagents and comprehensive solutions. Our specialized sub-brands (Absin, Starter, UA) cover a full spectrum of research needs, from general reagents and kits to antibodies and recombinant proteins. With a focus on innovation, quality, and customer-centricity, we strive to be your trusted partner in unlocking scientific mysteries and driving medical progress. Explore our product portfolio today and elevate your research to new heights.