首页
个人中心
立即询价
询价清单
来尔文(武汉)生物医药研究院
1
YR
企业会员
首页
产品目录
产品目录(简版)
企业认证
联系我们
全部产品
质粒
试剂耗材
纳米材料
细胞
动物模型
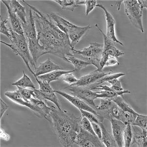
SW620-Luc 细胞(人结直肠腺癌细胞Luciferase稳转株)
¥1800 元
更新时间:2026/01/19
2
of
2
目录
质粒 (2)
试剂耗材 (1)
纳米材料 (4)
细胞 (8)
动物模型 (1)
目录
MSDS
|
CAS
|
常用CAS
|
化工产品目录
|
新产品
联系我们
|
电脑版
Chemical Book