上海瀚香生物科技有限公司

首页 产品目录 产品目录(简版) 公司动态 企业认证 公司相册 用户评价 联系我们

PXS-5505:泛赖氨酰氧化酶抑制剂,抗纤维化研究

发布人:上海瀚香生物科技有限公司

发布日期:2026/3/27 14:39:15

PXS-5505:LOX抑制率>90% | 联合化疗延长生存35% | 泛赖氨酰氧化酶抑制剂
  纤维化是组织和器官过度修复的病理性过程,胶原蛋白和弹性蛋白在细胞外基质中异常沉积,引起器官功能衰竭。骨髓纤维化中,正常造血骨髓被纤维疤痕样组织取代;胰腺癌中,肿瘤周围形成致密胶原基质降低化疗药物渗透。传统JAK抑制剂虽能缓解骨髓纤维化症状,但无法逆转骨髓纤维化进程,且可能加重贫血和血小板减少[1]。
  赖氨酰氧化酶家族包含LOX和LOXL1-4五个分泌型铜依赖酶,负责催化胶原蛋白和弹性蛋白的交联形成。骨髓纤维化患者LOX和LOXL2血浆浓度及酶活性显著高于健康对照,表明该酶家族在疾病进展中起关键作用[1]。选择性抑制LOXL2的抗体simtuzumab在临床试验中未能改善骨髓纤维化,可能由于抗体难以穿透纤维化骨髓,且LOXL2抗体不抑制LOX酶活性[2]。

产品核心信息

产品定义与机制

  PXS-5505(CAS号:2409963-83-1)是首创的泛赖氨酰氧化酶抑制剂,通过不可逆结合LOX家族酶的活性中心,阻断胶原蛋白和弹性蛋白的交联过程。PXS-5505二盐酸盐(CAS号:2409964-23-2)是常用盐型,改善了水溶性和给药便利性[2]。
  PXS-5505具有多重作用机制:直接抑制LOX家族酶活性,减少胶原纤维交联;降低血小板衍生生长因子受体(PDGFR)氧化活化,抑制其下游ERK信号通路;减少肿瘤基质硬度,改善化疗药物渗透;调节整合素-MYC信号轴,抑制肿瘤细胞增殖[1][2]。
  与选择性LOXL2/LOXL3抑制剂PXS-5153A相比,PXS-5505的广谱抑制使其能够更全面地阻断纤维化过程。PXS-5153A的IC50值为40nM(LOXL2)和63nM(LOXL3),主要应用于肝纤维化和心肌纤维化模型;PXS-5505则同时抑制LOX、LOXL1-4,在系统性疾病模型中表现出更全面的抗纤维化效果[2]。

核心参数

• CAS号(PXS-5505):2409963-83-1
• CAS号(PXS-5505二盐酸盐):2409964-23-2
• 分子类型:小分子抑制剂
• 靶点覆盖率:LOX、LOXL1-LOXL4(100%覆盖)
PXS-5505化学结构式
PXS-5505二盐酸盐化学结构式

核心优势

全面的LOX家族抑制
◦ 抑制LOX、LOXL1-LOXL4全部五个家族成员
◦ LOX和LOXL2活性抑制率>90%
◦ 对比PXS-5153A的LOXL2/LOXL3选择性抑制,应用范围更广
PXS-5505在肿瘤进展和转移的不同阶段抑制赖氨酸氧化酶家族成员的活性
良好的安全性和耐受性
◦ I/IIa期临床试验中92%不良事件为1-2级
◦ 无严重血液学毒性
◦ 不引起异常骨形成或伤口愈合延迟
明确的药效学证据
◦ 200mg BID给药28天后达到稳态浓度
◦ 血浆LOX和LOXL2活性平均降低90%
◦ 胶原纤维化分级改善率42%

对比分析

对比维度
PXS-5505(本品)
PXS-5153A
BAPN
抑制谱
LOX、LOXL1-4(5个)
LOXL2、LOXL3(2个)
LOX家族(5个)
IC50值
高效抑制
LOXL2:40nM,LOXL3:63nM
较低效
选择性
泛抑制剂
高选择性
非选择性
临床阶段
I/IIa期(MF)
临床前
临床前
骨骼毒性
未报道
可致骨异常
伤口愈合
无影响
未报道
可能延迟
PXS-5505和PXS-5153的对比

研发进程与临床数据

骨髓纤维化I/IIa期临床试验

  Vachhani等人在Haematologica期刊发表的PXS-5505-MF-101研究,是一项多中心I/IIa期临床试验,纳入24例复发或难治性骨髓纤维化患者。研究包含剂量爬升阶段(100、150、200mg BID)和队列扩展阶段,主要目标是评估安全性和耐受性[1]。
  安全性方面,研究中未观察到剂量限制性毒性或可疑的意外严重不良反应。92%(82/89)的不良事件被研究者认为与治疗无关。常见的1-2级不良事件包括食欲下降、疲劳、头痛和腹泻等,血液学毒性事件较少见。未观察到异常骨形成或伤口愈合延迟[1]。
  药效学方面,200mg BID剂量在给药28天后达到稳态血浆浓度,LOX和LOXL2活性平均降低90%以上。选择该剂量的原因是其显示出最强的靶点抑制效应,且患者间变异性较小[1]。
  疗效方面,54%(13/24)患者完成24周治疗。在完成治疗的患者中,62%(8/13)在某个时间点症状评分降低≥20%,15%(2/13)在24周时降低≥50%。血液学参数保持稳定或改善,血小板计数在92%(12/13)患者中有增加。胶原纤维化分级分析显示,42%(5/12)患者改善1级,25%(3/12)恶化,其余保持稳定[1]。
  该试验的ClinicalTrials.gov注册号为NCT04676529,为PXS-5505在骨髓纤维化中的进一步研究奠定了基础[1]。

胰腺癌临床前研究

  澳大利亚加文医学研究所在Nature Cancer发表的胰腺癌研究显示,在基因工程小鼠模型和患者来源异种移植(PDX)模型中,PXS-5505每日给药可显著减少肿瘤纤维化,降低肿瘤硬度,改善肿瘤灌注,从而增强吉西他滨化疗效果[3]。
  研究采用四个治疗组:对照组、吉西他滨组、PXS-5505组和PXS-5505联合吉西他滨组。关键发现包括:PXS-5505单药治疗减少肿瘤胶原纤维化;联合治疗将中位生存时间延长35%以上;联合治疗减少肝脏转移45%;肿瘤灌注显著改善,化疗药物渗透增加[3]。
  研究者指出,PXS-5505通过减少纤维化和降低肿瘤硬度,使肿瘤微环境恢复到更"正常"的状态,使得化疗药物更容易穿透肿瘤并更有效地发挥作用[3]。

浸润性小叶癌研究

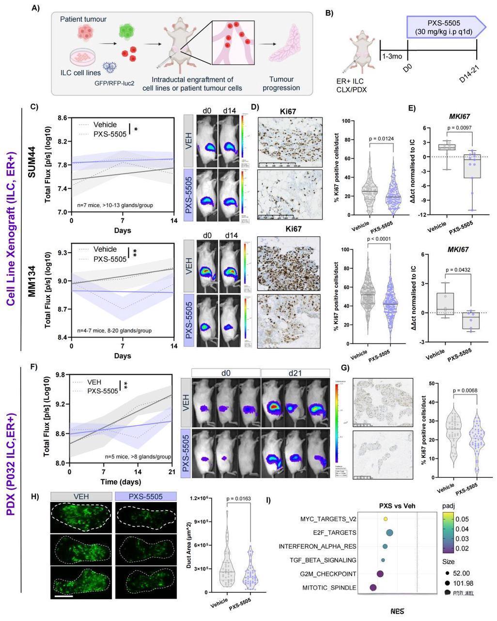
  Cancer Research期刊发表研究,首次揭示浸润性小叶癌(ILC)对胶原蛋白基质的独特依赖性。研究发现,PXS-5505能够重塑肿瘤胶原纤维结构,通过下调ITGAV/ITGB5整合素-MYC信号轴抑制ILC肿瘤进展和转移[4]。
  研究采用全基因组CRISPR-Cas9合成致死筛选,识别出ITGAV(整合素αV)和ITGB5(整合素β5)是E-钙粘蛋白(CDH1)缺陷细胞的合成致死靶点。在ER+ ILC细胞系来源的乳腺导管内注射(MIND)模型中,PXS-5505治疗显著降低肿瘤生长速率和Ki67指数[4]。
  蛋白质组学分析显示,PXS-5505治疗后ITGB1、ITGAV、CD44、FAK等细胞黏附相关蛋白表达显著下调,MYC靶点和氧化磷酸化通路被抑制。转录组学验证证实,TNFα信号通路和MYC相关通路是最显著下调的通路[4]。
PXS-5505研究ER+浸润性小叶癌

应用场景

骨髓纤维化研究

  骨髓纤维化是一种慢性骨髓增殖性肿瘤,其特征是正常造血骨髓被富含细胞外基质蛋白的纤维疤痕样组织取代,导致无效造血、进行性脾肿大和白血病转化风险增加。JAK抑制剂虽能缓解症状和缩小脾脏体积,但无法逆转骨髓纤维化进程[1]。
  PXS-5505在骨髓纤维化模型中表现出显著的抗纤维化效果。在临床前模型中,泛LOX抑制减弱骨髓纤维化和巨核细胞数量,减少脾脏体积和纤维化。在I/IIa期临床试验中,PXS-5505实现>90%的LOX活性抑制,42%患者胶原纤维化改善,症状评分降低≥20%的患者占62%[1][2]。
  与JAK抑制剂联用是潜在策略。PXS-5505可改善骨髓微环境,而JAK抑制剂可缓解症状和缩小脾脏,两者可能产生协同效应。研究显示,PXS-5505在停用JAK抑制剂的患者中仍能保持血液学参数稳定,甚至改善血小板减少[1]。

胰腺癌基质修饰

  胰腺导管腺癌(PDAC)具有显著的肿瘤结缔组织增生特征,5年生存率不到10%。肿瘤相关基质细胞激活和细胞外基质沉积增加可加速PDAC发展。肿瘤纤维化导致肿瘤硬度增加,血管密度降低,化疗药物渗透受限[3]。
  PXS-5505在PDAC模型中通过抑制LOX家族,减少胶原纤维交联,降低肿瘤基质硬度,改善肿瘤灌注,从而增强吉西他滨等化疗药物的疗效。研究显示,联合PXS-5505和吉西他滨可将小鼠模型的中位生存时间延长35%以上[3]。
  基质修饰是胰腺癌治疗的新兴领域。与完全消融基质或基质产生细胞的激进策略相比,PXS-5505采用的基质标准化方法更为微妙,可能产生更有希望的结果[3]。

其他纤维化疾病

  除骨髓纤维化和胰腺癌外,PXS-5505在多种纤维化疾病模型中均表现出抗纤维化活性[2][5]。
  在博来霉素诱导的系统性硬化模型中,PXS-5505减少皮肤厚度和肺纤维化,通过正常化胶原和弹性蛋白交联形成发挥作用。在肾纤维化和肝纤维化模型中,PXS-5505减少纤维化程度,改善器官功能[5]。
  在癌症相关研究中,PXS-5505还显示出抑制肿瘤转移的潜力。通过抑制LOX介导的预转移龛形成,PXS-5505可能减少肿瘤细胞远处定植。浸润性小叶癌研究显示,PXS-5505治疗显著降低肺转移负荷[4]。

实验注意事项

储存与溶解

  PXS-5505应在-20°C避光条件下储存,避免反复冻融。溶解性方面,PXS-5505在DMSO中溶解度较好,可配制为10-50mM储存液。水溶性较差,建议使用PXS-5505二盐酸盐以提高水溶性。
  给药溶液配制时,建议将储存液稀释至工作浓度,如使用0.5%甲基纤维素作为载体。腹腔注射时,注意控制DMSO终浓度在10%以下,以避免刺激。

潜在风险

  虽然PXS-5505在临床试验中表现出良好的安全性和耐受性,但仍需注意以下潜在风险:
  • 骨骼毒性:早期LOX抑制剂BAPN可导致骨异常,但PXS-5505在临床试验中未观察到异常骨形成
  • 伤口愈合:LOX参与伤口愈合过程,PXS-5505可能影响伤口愈合速度,建议手术前后暂停给药
  • 胶原稳态:长期抑制LOX可能影响正常胶原稳态,需密切监测胶原相关指标
  研究显示,PXS-5505不影响乳腺、肺、肝脏的正常胶原结构,未观察到异常伤口愈合。但在实验设计中,仍建议合理安排给药时间和手术时间,避免在伤口愈合关键期给药[1][3]。

常见问题FAQ

Q: PXS-5505和PXS-5153A有何区别?
  PXS-5505和PXS-5153A都是Pharmaxis公司开发的赖氨酰氧化酶抑制剂,但抑制谱和应用场景存在差异。PXS-5505是泛抑制剂,同时抑制LOX、LOXL1-LOXL4全部五个家族成员,适用于系统性纤维化疾病如骨髓纤维化、胰腺癌等。PXS-5153A是LOXL2/LOXL3选择性抑制剂,IC50值分别为40nM和63nM,主要应用于局部纤维化如肝纤维化和心肌纤维化[2][4]。
  在胰腺癌模型中,PXS-5505能够显著阻断3D胶原基质硬化,减少侵袭;而PXS-5153A的双LOX/LOXL2抑制则效果有限。这表明对于依赖基质硬度的疾病,泛抑制可能更具优势[2][3]。
Q: PXS-5505在临床试验中的安全性如何?
  根据I/IIa期临床试验数据,PXS-5505具有良好的安全性和耐受性。92%(82/89)的不良事件为1-2级且与治疗无关。常见不良事件包括食欲下降、疲劳、头痛、腹泻等,多为轻微且可逆。血液学毒性事件较少见,未观察到剂量限制性毒性或可疑的意外严重不良反应[1]。
  特别值得注意的是,未观察到早期LOX抑制剂常见的骨异常或伤口愈合延迟。股骨MRI检查显示无长骨异常,接受手术的患者未报告异常伤口愈合。这些安全性数据支持PXS-5505的进一步临床开发[1]。
Q: PXS-5505能否与其他药物联用?
  PXS-5505具有与其他药物联用的潜力。在胰腺癌研究中,PXS-5505联合吉西他滨可将中位生存时间延长35%以上,显示出协同效应。在骨髓纤维化研究中,PXS-5505在停用JAK抑制剂的患者中仍能保持血液学参数稳定,提示与JAK抑制剂联用可能产生互补效应[1][3]。
  联用机制方面,PXS-5505通过修饰肿瘤基质,改善药物渗透和免疫细胞浸润,从而增强其他治疗方式的效果。但联用时需注意药物相互作用,建议进行药代动力学监测[3]。
Q: 如何评估PXS-5505的药效学效果?
  评估PXS-5505药效学效果的主要指标包括:LOX和LOXL2酶活性,使用Amplex Red assay检测血浆LOX和LOXL2活性,预期抑制率>90%;胶原纤维化分级,通过骨髓活检进行胶原纤维化分级,预期改善率>40%;胶原交联水平,使用LCMS/MS检测特定交联产物,预期交联水平显著降低;胶原形态学分析,使用天狼星红染色结合图像分析,预期胶原纤维密度、长度、分支减少。
  在浸润性小叶癌研究中,胶原形态学参数被证明可作为Ki67的补充指标,更敏感地反映药物活性[1][4]。
Q: 瀚香生物提供的PXS-5505质量如何?
  瀚香生物提供高纯度的PXS-5505和PXS-5505二盐酸盐,纯度≥98%,HPLC检测方法可靠。产品经过严格质量控制,提供完整的质检报告,支持批次追溯。

参考文献

[1] Vachhani P, Tan P, Watson AM, et al. A phase I/IIa trial of PXS-5505, a novel pan-lysyl oxidase inhibitor, in advanced myelofibrosis. Haematologica. 2025;110(10):2376-2387. DOI: 10.3324/haematol.2024.287231.
[2] BenchChem Technical Support Team. A Comparative Guide to Lysyl Oxidase Inhibitors: PXS-5153A vs. PXS-5505. BenchChem, 2025.
[3] Chitti J, et al. Pan-lysyl oxidase inhibition enhances chemotherapeutic efficacy in pancreatic cancer. Nature Cancer. 2023. DOI: 10.1038/s43018-023-00600-0.
[4] Brisken C, et al. LOX Inhibition Disrupts a Collagen-Integrin–MYC Axis to Suppress Progression of Invasive Lobular Carcinoma. Cancer Research. 2026. DOI: 10.1158/0008-5472.
[5] Cox TR, et al. Pan-Lysyl Oxidase Inhibitor PXS-5505 Ameliorates Multiple-Organ Fibrosis by Inhibiting Collagen Crosslinks in Rodent Models of Systemic Sclerosis.

免责声明

  本文内容基于公开发表的科学研究数据,仅供科研人员和大学师生参考,不构成任何医疗建议或药物推荐。实验设计需根据具体研究目的和动物模型进行调整,并遵守所在机构的动物实验伦理规范。PXS-5505为研究用途化合物,尚未获得任何监管机构批准用于临床治疗。

相关新闻资讯

Pharmacol Res 2019 Jul 145104248:购于瀚香生物(Biochempartner)的D-Luciferin k Salt (CAS115144-35-9)被引用

2020/05/22

Ononin, sec-O--d-glucosylhamaudol and Astragaloside I: Antiviral Lead Compounds Identified via High Throughput Screening and Biological Validation From Traditional Chinese Medicine Zhongjing Formulary