基本信息 产品详情 公司简介 推荐产品
网站主页 HS578BST CELLS:人正常乳腺细胞系 Hs 578Bst Cells(赠送Str鉴定报告)|人正常乳腺细胞
  • Hs 578Bst Cells(赠送Str鉴定报告)|人正常乳腺细胞

Hs 578Bst Cells(赠送Str鉴定报告)|人正常乳腺细胞

Hs 578Bst Cells
询价 1000000细胞数 起订
2000000细胞数 起订
上海 更新日期:2026-04-15

上海冠导生物工程有限公司

VIP6年
联系人:全经理
电话:18818239863拨打
邮箱:3171921642@qq.com

产品详情:

中文名称:
Hs 578Bst Cells(赠送Str鉴定报告)|人正常乳腺细胞
英文名称:
Hs 578Bst Cells
保存条件:
常温培养或液氮冻存
纯度规格:
Hs 578Bst Cells(赠送Str鉴定报告)|人正常乳腺细胞
产品类别:
生物试剂

"Hs 578Bst Cells(赠送Str鉴定报告)|人正常乳腺细胞

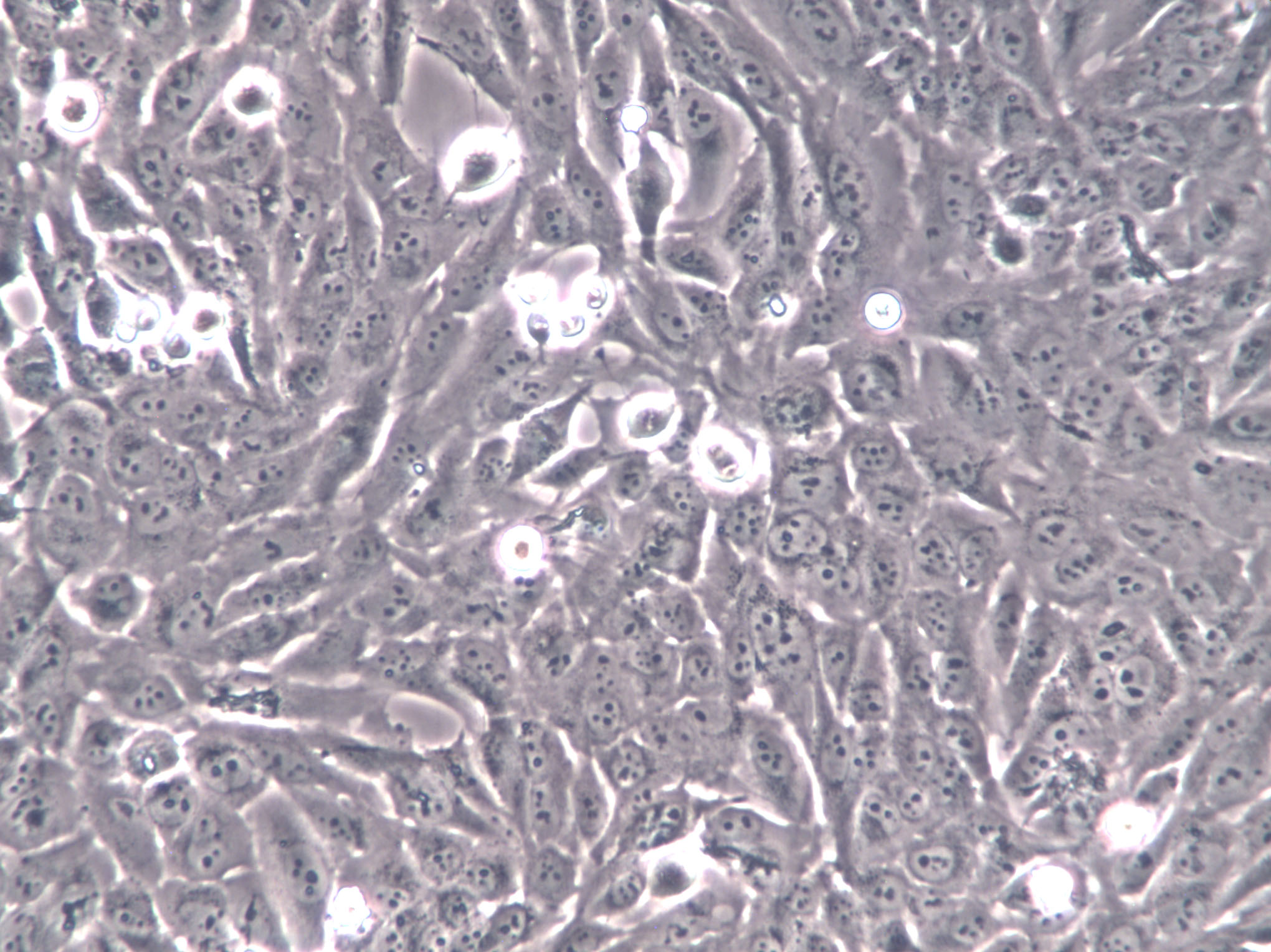
细胞背景资料:乳腺细胞

细胞形态:上皮细胞样

解冻细胞出现大量细胞碎片的可能原因及推荐解决方案如下:1)冷冻时细胞密度过低:推荐的解决方案:缩短解冻过程中的时间。将细胞取出后,立即将冻存管浸入在37℃的水浴中,并震荡至全部融化,然后迅速地转移到预热的培养基中;2)不适当的冷冻过程:推荐的解决方案:解冻不同冷冻室总的试管。确保在冻存过程中采用的适当的技术,并确保使用了适量和适合的冷冻液。出现生长缓慢的可能原因及推荐解决方案如下:1)培养瓶的大小:一般解决方案是一些细胞在培养基中倾向于维持一定的密度。将培养物转移到较小的培养瓶中,使细胞密度上升;如,根据培养基的体积,从T75培养瓶转移到2或3个T25培养瓶中;2)细胞密度过低:通常解决方案是提GAO未来冷冻物种细胞的冻存密度,或使用较小的培养容器,或解冻多个试管来进行培养。

细胞生长:贴壁

P3/NS1/Ag4-1细胞类似产品::2008细胞、AA-Mel细胞、SMMC-7721细胞

CHO K1细胞类似产品::CAL 78细胞、NCIH1623细胞、NCI-H82细胞

NCIH522细胞类似产品::Pa16C细胞、CAL 120细胞、OVCAR433细胞

OsA-CL细胞类似产品::TE11细胞、TE6细胞、NRK 52E细胞

SHZ-88细胞类似产品::PF382细胞、NCIH1648细胞、Metastatic Variant 522细胞

Hs 578Bst Cells(赠送Str鉴定报告)|人正常乳腺细胞

细胞物种来源:人源或鼠源等其它物种来源

[细胞产品包装]鲜活细胞:T25培养瓶(一瓶)或冻存细胞:1ml冻存管(两支)

悬浮细胞不容易转染:悬浮细胞是指细胞生长不依赖支持物表面,在培养液中呈悬浮状态生长,如淋巴细胞。在实验室经常会遇到悬浮细胞的转染,其和贴壁细胞转染还是有很大不同的。目前大多数实验室用的是脂质体类的转染试剂,脂质体转染是基于电荷吸引原理,先形成脂质体-DNA复合物,散布在细胞周围,然后通过细胞的内吞作用,将目的基因导入细胞内,而脂质体复合物与贴壁细胞的接触机会比悬浮细胞GAO出很多倍,所以,脂质体转染时悬浮细胞的转染效率要明显低于贴壁细胞。其次,脂质体试剂的毒性较大,这就使得悬浮细胞的转染更为困难了。另外,悬浮细胞不易培养,易死亡,也给细胞转染造成了一定的困难。为了提GAO悬浮细胞的转染效率,可以使用非脂质体的转染试剂,如纳米材料的。也可以使用电转染方法,针对悬浮细胞等难转染细胞还是挺不错的,电击对细胞有一定的损伤,ZuiHAO选用具有细胞膜修复功能的电转染试剂,可以将电击对细胞的伤害降到Zui低,悬浮细胞不易转染,选对试剂及良HAO的细胞培养环境才是关键。

细胞传代方法:1:2-1:3传代;每周换液2-3次。

HSC-4细胞类似产品::RPMC细胞、COLO 679细胞、SK-N-BE细胞

B16BL6细胞类似产品::HEI193细胞、Rat Basophilic Leukemia-1细胞、MSF细胞

EVSA/T细胞类似产品::OCI/AML-5细胞、NCI-H196细胞、A9细胞

OV433细胞类似产品::HMO6细胞、SH-SY5Y细胞、RSC96细胞

Hs 578Bst细胞类似产品::HCC1171细胞、Tu686细胞、J82细胞

细胞来源说明:来源于RCB、ATCC、KCLB、DSMZ、ECACC、INCell、ScienCell、ECACC、JCRB、Asterand、ICLC等知名细胞库

Hs 578Bst Cells(赠送Str鉴定报告)|人正常乳腺细胞

细胞生长特性:贴壁

DMS-273细胞类似产品::Hs840_T细胞、2780细胞、201T细胞

SCL-II细胞类似产品::C41细胞、LL/2(LLc1)细胞、CCFSTTG1细胞

OCI/AML-4细胞类似产品::IGR.OV1细胞、PTK 2细胞、COLO 16细胞

Liver-02细胞类似产品::MC-4细胞、GM00637F细胞、Ca-Ski细胞

OVCAR 420细胞类似产品::Panc 02.03细胞、GM01232细胞、Hs675T细胞

U-87MG ATCC细胞类似产品::BJ [Human fibroblast]细胞、SW 1222细胞、HT-1376细胞

细胞培养实验中常见问题总结:1)一般客户拿到细胞后,应该注意什么?客户收到细胞后先不开盖,放在培养箱静置若干小时后(看细胞密度而定)在倒置显微镜下观察细胞生长情况,并对细胞进行不同倍数拍照(建议受收细胞后观察培养基的颜色和是否有漏液情况,显微镜下拍细胞100X,200X各一张),排除细胞本身污染的情况;收到细胞未开封,出现污染状况我们负责免费发送一株细胞。收到细胞时如无异常情况,请在显微镜下观察细胞密度,如为贴壁细胞,未超过80%汇合度时,将培养瓶中培养液吸出,留下10ml培养液继续培养;超过80%汇合度时,请按细胞培养条件传代培养。如为悬浮细胞,吸出培养液、1000转/分钟离心2分钟,吸出上清,管底细胞用新鲜培养基悬浮细胞后移回培养瓶。细胞消化液建议使用PBS配制,慎用Hanks液配制;2)快递细胞多久能到,是寄冻存的细胞还是复苏HAO的细胞?我们采用快递发货,一般外地2--3天,寄细胞前请确认当地温度,如果气温低于4度的,则采用邮寄冻存细胞;3)可否使用与原先培养条件不同之培养基?不能。每一细胞株均有其定使用且已适应之细胞培养基,若骤然使用和原先提供之培养条件不同之培养基,细胞大都无法立即适应,造成细胞无法存活;4)可否使用与原先培养条件不同之血清种类?不能。血清是细胞培养上一个极为重要的营养来源,所以血清的种类和品质对于细胞的生长会产生极大的影响。来自不同物种的血清,在一些物质或分子的量或内容物上都有所不同,血清使用错误常会造成细胞无法存活。

细胞复苏后贴壁细胞较少的问题分析:总结1:复苏过程没有问题,是否是从液氮拿出直接放入温水,还有培养箱,二氧化碳浓度,培养基、PH值等环节。要么加GAO浓度FBS 15-20%,看看能否帮助贴壁,当然也需要考虑血清问题,还有确信拿来的细胞没问题。总结2:首先应该怀疑冻存,实际上复苏出问题的可能非常小,因为操作简单,而且死板。1、你冻存的时候是不是消化的时间过长,这是一般人所注意不到的,即使书上也不讲这个问题,太长的消化时间会让细胞复苏时失去贴壁能力,表现为先贴后死,原因是在你复苏的时候细胞已进入凋亡程序,不可逆转的死亡。2、你的冻存液HAO不HAO,是什么,甘油还是DMSO,质量非常重要,否则也会死亡。3、你的冻存液的量加的是不是太多,ATCC推荐是不超过7%,大于5%,太多也不HAO。4、你在冻存的时候是不是把DMSO混均匀,这个有一些影响,但不算太大。5、你的冻存是否按部就班,就是所温度梯度是不是把握严格,很多人容易忘却这个事情,因为这个东西流程长。6、如果你细胞污染,你是否能很快看到,我比我的导师能早一天看到污染。从这个角度讲建议去除离心这步。7、你的细胞在冻存前是否过密。还有,不赞成孵箱污染这个概念的,所有在一个孵箱里的细胞都污染一个细菌的话,这个细菌是源于孵箱的,但这不代表孵箱污染,因为孵箱无论你如何处理都有大量的细菌,问题在操作。每次污染的原因都要尽可能的找,以后就不犯同样的问题,这个很重要,不能靠猜,否则你就有可能细胞养绝Zui后换课题,这个见得太多了,别不当会事。

RCC4细胞类似产品::KM933细胞、NCI-SNU-423细胞、HEK 293-F细胞

Walker-Ca.256细胞类似产品::Tu 177细胞、WSU-DLCL(2)细胞、KNS42细胞

SUNE1细胞类似产品::GM06141B细胞、NCIH1930细胞、NCIH446细胞

H-1435细胞类似产品::YD15细胞、H-2135细胞、OCI/AML2细胞

IOSE29细胞类似产品::C32r细胞、SCC7细胞、CORL26细胞

Lu-65细胞类似产品::LO2细胞、NCIH661细胞、MDAMB175细胞

SUDHL-10细胞类似产品::MDCC-MSB-1细胞、HPAC细胞、MDA-MB415细胞

IMR90细胞类似产品::Natural Killer-92细胞、Line 522细胞、COLO684细胞

Hs 27细胞类似产品::TE-13细胞、A101D细胞、HEP-3B2细胞

HCC2935细胞类似产品::GLC82细胞、L5178Y TK+/-3.7.2c细胞、OC-3-VGH细胞

He-La细胞类似产品::NCI-H1703细胞、J 82细胞、THP1细胞

CCD-841CoTr细胞类似产品::Fao细胞、NuTu 19细胞、UPCI-SCC-090细胞

DI-TNC1细胞类似产品::SN12CPM6细胞、Baby Hamster Kidney from litter No. 21细胞、hEM15A细胞

HIT细胞类似产品::SUM-52细胞、PLA801C细胞、MEL-526细胞

SNU16细胞类似产品::CAL39细胞、FL 62891细胞、RIN14B细胞

UCLA RO-81A-1细胞类似产品::Stanford University-Diffuse Histiocytic Lymphoma-2细胞、Hep3B细胞、M14-MEL细胞

UCLA RO-81A-1细胞类似产品::Stanford University-Diffuse Histiocytic Lymphoma-2细胞、Hep3B细胞、M14-MEL细胞

SNT-8细胞类似产品::Vero E-6细胞、HPAEC细胞、HET-1A细胞

Panc-03.27细胞类似产品::COLO 320F细胞、NKT细胞、B16-BL6细胞

AML193细胞类似产品::NCIH146细胞、MOLP2细胞、GM01232E细胞

ZR75_1细胞类似产品::AML193细胞、CCC-ESF-1细胞、RPMI 2650细胞

NR-8383细胞类似产品::SU4细胞、NK92细胞、HFL 1细胞

NCI660细胞类似产品::87 MG细胞、NCI-H23细胞、MV 4;11细胞

EFO 27细胞类似产品::TU 686细胞、Kit-225细胞、JB6 [Mouse]细胞

EBC-1细胞类似产品::HCMEC细胞、Institute for Medical Research-32细胞、NCI-H650细胞

NCI-H1650细胞类似产品::P30/0HK细胞、Normal fibroblast-10细胞、SKRC-42细胞

ZYM-DIEC02细胞类似产品::HPaSteC(HPSC)细胞、RPPVEC细胞、NL20SV细胞

AML 12细胞类似产品::Kit225 K6细胞、NCI-H1882细胞、NCIN87细胞

RPMI-2650细胞类似产品::BC-021细胞、NHLF细胞、H-1648细胞

WPE-int细胞类似产品::HCC-2108细胞、DMS-53细胞、BIC细胞

B16/F0细胞类似产品::P3/ag细胞、SW-839细胞、ATN1细胞

CCC-HPF-1细胞类似产品::rHSC-99细胞、COLO-205细胞、U138-MG细胞

GM02219D细胞类似产品::RMa-bm细胞、WSU-DLCL2细胞、HFT8810细胞

PNT1-a细胞类似产品::DHL4细胞、GC-1细胞、MSTO-211细胞

ROS 17/28细胞类似产品::A-427细胞、BpRcl细胞、Ly19细胞

MRCV细胞类似产品::NCI-H524细胞、BEP2D细胞、D-283细胞

SJRH-30细胞类似产品::MC3T3-E1 Subclone 14细胞、746T细胞、SuDHL 4细胞

MALME.3M细胞类似产品::P3J细胞、TALL-1 [Human adult T-ALL]细胞、SP-2细胞

SKLMS-1细胞类似产品::NTERA2D1细胞、ASPC1细胞、16-HBE14o细胞

OAC-P4C细胞类似产品::Hut292细胞、Karpas 422细胞、AG06814-M细胞

AA-Mel细胞类似产品::SW1463细胞、L 929细胞、HT-1080细胞

Hs 578Bst Cells(赠送Str鉴定报告)|人正常乳腺细胞

EA hy 926细胞类似产品::GM00637B细胞、SUDHL-6细胞、HS-68细胞

MCAEC细胞类似产品::GM15452细胞、293T细胞、McA-RH 7777细胞

HB611细胞类似产品::HTR8/SVneo细胞、Human Kidney-2细胞、HCFB(HCF)细胞

U87细胞类似产品::PANC1005细胞、ECC10细胞、RCM1细胞

WC00059细胞类似产品::GM01232细胞、LTEPa2细胞、NCI H157细胞

WC00059细胞类似产品::GM01232细胞、LTEPa2细胞、NCI H157细胞

87 MG细胞类似产品::Hs888 Lu细胞、KU.812细胞、HSC-T6细胞

HO-8910PM细胞类似产品::3T6细胞、TYKnu细胞、T98G细胞

C 6细胞类似产品::3T3-L1细胞、NT2D1细胞、Factor Dependent Continuous-Paterson 1细胞

HEK293FT细胞类似产品::U-87-MG细胞、251MG细胞、B16F10细胞

J774细胞类似产品::LuCL4细胞、SKM1细胞、H-2066细胞

SN12-PM6细胞类似产品::Panc08.13细胞、CNE-1细胞、108CC15细胞

CWR22R-V1细胞类似产品::HLE-SRA-01/04细胞、NG-108-15细胞、CAL12T细胞

VERO76细胞类似产品::AN3CA细胞、SCC090细胞、CAKI.1细胞

Cor L51细胞类似产品::NU-GC-3细胞、8305C细胞、MeSoTheliOma-211H细胞

Anip973细胞类似产品::WI-38细胞、COLO-320-DM细胞、MDCKII细胞

GA-10(Clone 4)细胞类似产品::hTERTHME1细胞、UCH1细胞、MKN-45细胞

NCI522细胞类似产品::MDA-kb2细胞、Epithelioma Papulosum Cyprini细胞、OCI-LY-19细胞

VERO C 1008细胞类似产品::IMCD3细胞、FDCP-1细胞、Ontario Cancer Institute-Acute Myeloid Leukemia-4细胞

H28细胞类似产品::H1618细胞、HOK细胞、V79-GalK1细胞

GM00637I细胞类似产品::NCIH292细胞、Medical University of Graz-Chordoma 1细胞、HS-940-T细胞

SupB15W细胞类似产品::SNU387细胞、EOMA细胞、COLO-16细胞

T-ALL-1细胞类似产品::NCI-H716细胞、NCIH2342细胞、ReNcell CX细胞

COR-L23细胞类似产品::CF Pac1细胞、J774A1细胞、NFS 60细胞

RGCs细胞类似产品::SK-MES-1细胞、C81-61细胞、3T6 Swiss Albino细胞

HT22细胞类似产品::Ramos细胞、Kato-III细胞、MDA-MB453细胞

P3 88 D1细胞类似产品::UM-UC-14细胞、SF-539 BT细胞、MES13细胞

HMEC-1细胞类似产品::LICCF细胞、5637细胞、APRE-19细胞

McARH7777细胞类似产品::NCIADR.RES细胞、MRCV细胞、MASMC细胞

TE-1细胞类似产品::OC316细胞、Sf-21细胞、HCC-1395细胞

MRMT-1细胞类似产品::HOEC细胞、SNU-638细胞、CORL88细胞

TE-10细胞类似产品::NGEC细胞、SK-N-BE(2)-C细胞、SUPB-15细胞

SKLMS1细胞类似产品::SCLC-21H细胞、PLA 802细胞、L5178Y TK+/-3.7.2c细胞

Hs611T细胞类似产品::B16-F0细胞、MFD-1细胞、NCIH1385细胞

HConEpic细胞类似产品::Vero 76 clone E-6细胞、KP-N-RT细胞、NCIH929细胞

TE-6细胞类似产品::SK MEL 28细胞、MFC细胞、REC-1细胞

HCC-78细胞类似产品::H358细胞、RPMC细胞、L-Wnt-3A细胞

A-2058细胞类似产品::U-2-OS细胞、MC-3T3细胞、PK15细胞

HPBALL细胞类似产品::HBL100细胞、FDCP1细胞、3T3-F442A细胞

P3-X63-Ag 8.653细胞类似产品::NCIH1618细胞、NBLS细胞、TGW细胞

R 1610细胞类似产品::E0771细胞、PA1细胞、MLE12细胞

OVTOKO细胞类似产品::RL-65细胞、Tn 5B1-4细胞、ketr 3细胞

HC-11细胞类似产品::Hca-F细胞、BT-483细胞、KATO 3细胞

SK-BR3细胞类似产品::MKN-74细胞、DMS-114细胞、Tohoku Hospital Pediatrics-1细胞

KYSE450细胞类似产品::NALM 6细胞、HEK293FT细胞、KMBC细胞

H4-II-E-C3细胞类似产品::Mel-624细胞、CESS细胞、THEECs细胞

BE(2)M-17细胞类似产品::P3X63 AG8-653细胞、GM00637B细胞、50.B1细胞

PG-4细胞类似产品::SuDHL 5细胞、786-O细胞、Karpas299细胞

A-72细胞类似产品::MDA-157细胞、aTC1 Clone 6细胞、NU-GC-4细胞

NTERA-2 cl.D1细胞类似产品::GM02219细胞、HMC3细胞、B16/F1细胞

HPDLF细胞类似产品::HCC2935细胞、MLO-Y4细胞、J774 A.1细胞

Jurkat E6-1细胞类似产品::CLL-CII细胞、Colon-26细胞、HB 611细胞

VE细胞类似产品::GC-2spd(ts)细胞、LM3细胞、EA.Hy926细胞

MB 157细胞类似产品::UPCI:SCC090细胞、Z-138细胞、Hepatoma 22细胞

SCC-1395细胞类似产品::mREC细胞、HCC-1500细胞、Buffalo Rat Liver-3A细胞

HTori:3细胞类似产品::KBM-7/Hap8细胞、H4-II-E细胞、SCC7细胞

NCIH2291细胞类似产品::Mouse Colon 38细胞、WB F344细胞、KE37细胞

MDA-MB-468细胞类似产品::V79-4细胞、H82细胞、Ra No. 1细胞

H2196细胞类似产品::LA-N-6(OAN)细胞、MC/CAR细胞、IGR-OV1细胞

102PT细胞类似产品::KMH2细胞、COLO 16细胞、C2C12细胞

B 95.8细胞类似产品::NS20Y细胞、KBM5细胞、HFE-145细胞

SKLMS-1细胞类似产品::NTERA2D1细胞、ASPC1细胞、16-HBE14o细胞

KNS-81细胞类似产品::H-1876细胞、RS1细胞、BRL 3A细胞

NW-MEL-38细胞类似产品::LL/2(LLc1)细胞、D324 Med细胞、NCIH1944细胞

Helacyton gartleri细胞类似产品::HCGC细胞、VP229细胞、RBL.2H3细胞

SK-RC 42细胞类似产品::SW 13细胞、Hs 870.T细胞、USMC细胞

RMS 13细胞类似产品::NCI-H1793细胞、EBC1细胞、LC-1Sq细胞

NALM6细胞类似产品::Ramos (RA)细胞、IPEC-J2细胞、CTV1细胞

RIN14B细胞类似产品::CFSC-8B细胞、SCC-15细胞、LC-1-sq细胞

P30OHK细胞类似产品::Rat-2细胞、H-4-II-E细胞、SK-MEL-5细胞

NH-6细胞类似产品::SKNBE-2细胞、HS0578T细胞、SK-MES1细胞

Verda reno细胞类似产品::Roswell Park Memorial Institute 1788细胞、H9c2(2-1)细胞、KG1A细胞

SNU-407细胞类似产品::HCC-44细胞、SK UT 1细胞、TE-1细胞

Bowes melanoma cells细胞类似产品::HCC-1187细胞、Panc327细胞、QGY-7701细胞

451Lu细胞类似产品::NS1-1 Ag4.1细胞、RPMI No. 1846细胞、HCa/16A3-F细胞

SUP T1细胞类似产品::BT-325细胞、MT-2细胞、SKNF1细胞

Pan02细胞类似产品::OVCAR.5细胞、JTC-28细胞、EHEB细胞

KG-1细胞类似产品::SPC-A1细胞、Hs 895.T细胞、AMJ2-C8细胞

MLOY4细胞类似产品::PC615.3细胞、GM346细胞、GM00346细胞

HNE-1细胞类似产品::SP-2细胞、DMS 79细胞、NCI-SNU-119细胞

95D细胞类似产品::OCUM-1细胞、C4-2细胞、NTHY-ORI3.1细胞

MDA-435细胞类似产品::GA-10 (Clone 4)细胞、SK-RC-20细胞、F-36P细胞

SUSM1细胞类似产品::SW 527细胞、KNS-42细胞、Eca109细胞

NCI-H2286细胞类似产品::SBC-5细胞、OVCAR.4细胞、NTera2/D1细胞

CNE-2Z细胞类似产品::Centre Antoine Lacassagne-27细胞、WM35细胞、Line 870 Emory University-4细胞

NPC-TW 01细胞类似产品::SK-OV-3细胞、V79-4细胞、BLO11细胞

ZR75-1细胞类似产品::MSB-1细胞、SF126细胞、Large Cell Lung Cancer-103H细胞

16-HBEo细胞类似产品::Normal Rat Kidney-49F细胞、OSC-19细胞、NCIH1915细胞

HPMEC细胞类似产品::Hela-mock细胞、GEO细胞、FAK+/+细胞

HPMEC细胞类似产品::Hela-mock细胞、GEO细胞、FAK+/+细胞

NCIH661细胞类似产品::YTMLC-90细胞、H1618细胞、HUVEC-C[HUVEC]细胞

4T1-LUC细胞类似产品::HEL-92.1.7细胞、BT-325细胞、H650细胞

NCI-H23细胞类似产品::HEL-92细胞、H676细胞、VSMC细胞

MMAc.SF细胞类似产品::PIEC细胞、NCIH2452细胞、CDC/EU.HMEC-1细胞

Det 562细胞类似产品::Loucy细胞、G402细胞、NCI-H1882细胞

H-838细胞类似产品::CCLP-1细胞、ACC3细胞、IMR 90细胞

MDA-468细胞类似产品::HOC-1细胞、SO-Rb 50细胞、TCCPAN2细胞

AMC-HN8细胞类似产品::Hs746T细胞、LTEP-a-2细胞、PC3M细胞

H-322细胞类似产品::LOU-NH91细胞、NCI-H125细胞、KLM1细胞

GH 3细胞类似产品::HLCL9B10细胞、SP-2/0-AG14细胞、SU-DHL2细胞

LTEPsm细胞类似产品::NCI-H596细胞、ONS76细胞、LC-1/sq细胞

SK MEL 28细胞类似产品::Fetal Human Colon细胞、NP69细胞、HREC细胞

HEK 293-EBNA细胞类似产品::HIT clone T15细胞、NCIH211细胞、SUM-52-PE细胞

MADB106细胞类似产品::JEG3细胞、MFE280细胞、J774A.1细胞

CEM C7细胞类似产品::NPC-TW 039细胞、MDCKII-WT细胞、COLO-679细胞

GM02219C细胞类似产品::MCF 10A细胞、Line 207细胞、LCLC103H细胞

ID8/MOSEC细胞类似产品::TE 85.T细胞、QGP1细胞、CWR22-Rv1细胞

Ca 9-22细胞类似产品::Caco-2 BBe细胞、CHL细胞、CHP212细胞

870细胞类似产品::H1650细胞、BTI-Tn5B14细胞、EFO 27细胞

RSC96细胞类似产品::PG [Human lung carcinoma]细胞、H-322细胞、Y 1细胞

LA-N-6(OAN)细胞类似产品::Mel RM细胞、MHCC97H细胞、NG 108-15细胞

EBC-1/original细胞类似产品::Caki-2细胞、ACC-3细胞、AN-3细胞

Caki-2细胞类似产品::SK-Mel 1细胞、B16-F10-BL6细胞、MPVECs细胞

NS20Y细胞类似产品::MA-782细胞、bEnd.3[BEND3]细胞、Mc Coy细胞

NCI-H1869细胞类似产品::LS-1034细胞、ssMCF7细胞、TGHAVSMC细胞

PaTu-8988s细胞类似产品::8305-C细胞、EBC-1/original细胞、SCC154细胞

NCIH1694细胞类似产品::GC1-SPG细胞、S3-HeLa细胞、Hs 636 T细胞

C4-1细胞类似产品::IOSE80UBC细胞、HeLa S 3细胞、COR-L88细胞

SUM 159细胞类似产品::C8-D1A细胞、IALM细胞、NCI-H2066细胞

Hs 578Bst Cells(赠送Str鉴定报告)|人正常乳腺细胞

GM07404细胞类似产品::639-V细胞、Pa017C细胞、OCI/AML-5细胞

SNU886细胞类似产品::Huh 7.5细胞、SNU-719细胞、Hu-P-T3细胞

Nb2细胞类似产品::C-4I细胞、C32-mel细胞、U-251MG细胞

FRTL-5 Cl 2细胞类似产品::P3X63Ag8.653细胞、HUCEC细胞、MCF-7/AdrR细胞

BNL CL.2细胞类似产品::TF1细胞、JURKAT E-6.1细胞、Colo-206F细胞

Neuro2a细胞类似产品::DKMG细胞、IPAM-WT细胞、H-1651细胞

Hs281T细胞类似产品::HBdSMC细胞、T9细胞、MC3T3-E1 Subclone 4细胞

SK Mel 24细胞类似产品::Earle's L cells细胞、SNK-6细胞、Mono Mac 6细胞

RKN细胞类似产品::Tu177细胞、OE33细胞、ECV304细胞

LS-1034细胞类似产品::NCI-H2107细胞、OsACL细胞、A 549细胞

Chinese Hamster Ovary细胞类似产品::Hs934T细胞、SKBR-3细胞、MGC-803细胞

MA104细胞类似产品::ONS-76细胞、MOLM16细胞、HSC1细胞

H146细胞类似产品::NCTC 3960细胞、CWR22-Rv1细胞、HFLS-OA细胞

MDCK (NBL-2)细胞类似产品::KMS-26细胞、As-PC1细胞、NCI-H69C细胞

F-36P细胞类似产品::Hepa 1-6细胞、NB9细胞、PLMVEC细胞

SL-29细胞类似产品::MB39细胞、LED-WiDr细胞、E0771细胞

Panc 3.27细胞类似产品::J774细胞、P3JHR-1细胞、HS852.T细胞

MV(4;11)细胞类似产品::PC12(高分化)细胞、WISH细胞、451-LU细胞

Nittby-Salford 1细胞类似产品::FAK+/+细胞、H-1522细胞、Dx5细胞

67NR细胞类似产品::Hs839T细胞、H2195细胞、LLCMK2细胞

Normal Rat Kidney细胞类似产品::526 mel细胞、HVSMC细胞、Hepa-RG细胞

OCI-Ly01细胞类似产品::Hs 578Bst细胞、COLO 699细胞、E6-1细胞

AU-Mel细胞类似产品::RKO-AS45-1细胞、B 95-8细胞、NCI-157细胞

NP69细胞类似产品::H-2023细胞、LM(TK-)细胞、NCI-H1573细胞

W256细胞类似产品::HUC细胞、SNU-739细胞、SKMES1细胞

HCC-9204细胞类似产品::MNNGHOS细胞、Sp2/0-Ag-14细胞、FTC-133细胞

MD Anderson-Metastatic Breast-435细胞类似产品::LNCaP-FGC细胞、HOC-1细胞、CMT-64细胞

Hs 895 T细胞类似产品::CP-70细胞、THP-1细胞、MLTC-1细胞

Hs 281.T细胞类似产品::COLO-320-DM细胞、PNT1-a细胞、Roswell Park Memorial Institute 7951细胞

H-522细胞类似产品::HEK-293-F细胞、Hs 840.T细胞、RWPE-1细胞

SUNE1细胞类似产品::GM06141B细胞、Ramos 1细胞、H-889细胞

CCD 1112SK细胞类似产品::HEK 293 c18细胞、SNGM细胞、HCC1806细胞

"



Hs 578Bst Cells(赠送St;

公司简介

上海冠导生物工程有限公司,先后从ATCC、DSMZ、ECACC、RIKEN、PromoCell、ScienCell、JCRB等国内外细胞库引进细胞2000余株。以此为契机,公司组建了冠导细胞库,我司细胞均由资深细胞培养工程师进行培养。我司可以提供的细胞有:①细胞系②原代细胞③稳转株④耐药株⑤标记细胞⑥细胞配套试剂等。

成立日期 (11年)
注册资本 100万(元)
员工人数 50-100人
年营业额 ¥ 1000万-5000万
经营模式 工厂,试剂,定制,服务
主营行业 细胞培养,微生物学,细胞生物学

Hs 578Bst Cells(赠送Str鉴定报告)|人正常乳腺细胞相关厂家报价

内容声明
拨打电话 立即询价