基本信息 产品详情 公司简介 推荐产品
网站主页 化工产品目录 生物 细胞培养 细胞系 小鼠细胞系 CMT-93 CELLS:小鼠直肠多倍体癌细胞系 CMT93 Cells(赠送Str鉴定报告)|小鼠结肠癌细胞
  • CMT93 Cells(赠送Str鉴定报告)|小鼠结肠癌细胞

CMT93 Cells(赠送Str鉴定报告)|小鼠结肠癌细胞

CMT93 Cells
询价 1000000细胞数 起订
2000000细胞数 起订
上海 更新日期:2026-04-21

上海冠导生物工程有限公司

VIP6年
联系人:全经理
电话:18818239863拨打
邮箱:3171921642@qq.com

产品详情:

中文名称:
CMT93 Cells(赠送Str鉴定报告)|小鼠结肠癌细胞
英文名称:
CMT93 Cells
保存条件:
常温培养或液氮冻存
纯度规格:
CMT93 Cells(赠送Str鉴定报告)|小鼠结肠癌细胞
产品类别:
生物试剂

"CMT93 Cells(赠送Str鉴定报告)|小鼠结肠癌细胞

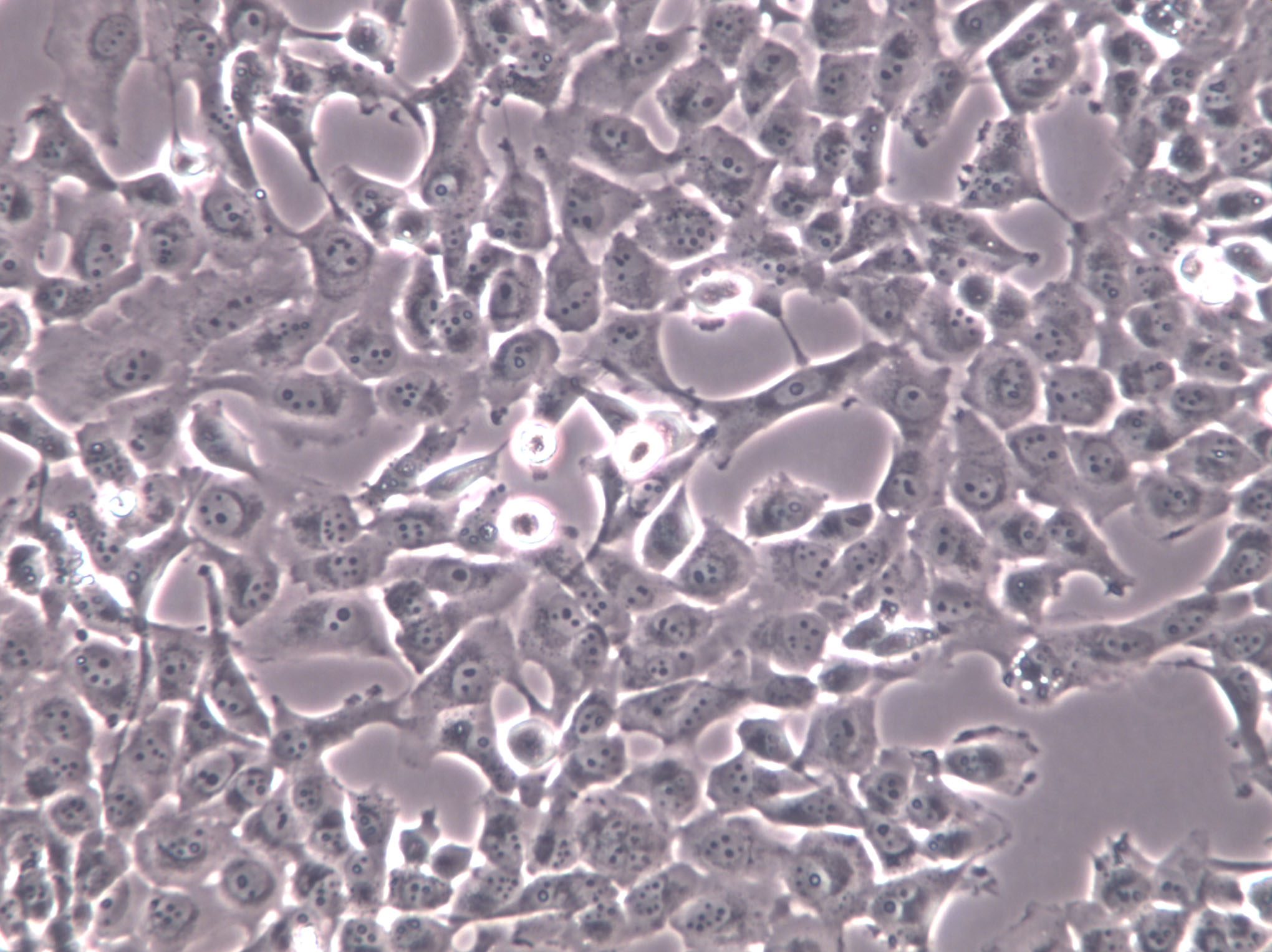
细胞背景资料:结肠癌;C57BL/ICRF

细胞形态:上皮细胞样

解冻细胞常见实验问题分析及推荐解决方法:在解冻冻存细胞时,发现会出现存活率低、大量细胞碎片及生长缓慢等问题,究竟是什么原因导致,我们该怎么进行解决?以下是国内外细胞培养专家针对解冻细胞实验问题,总结的一些解决方案!出现低存活率的可能原因及推荐解决方案如下:1)解冻过程中细胞裂解,推荐的解决方案:可预期到一定量的细胞死亡,因此细胞的浓度应足够GAO,考虑到这一损失。起始浓度为1*10(6)至1*10(7)细胞/毫升;2)解冻过程中的问题,推荐的解决方案:在-70℃至-80℃下保存冷冻的培养物,保存时间为1-5天,但这不是保存的方法。在37℃充分解冻后应立即开始培养;3)对冷冻液过敏,推荐的解决方案:A.完全或部分更换培养基,减少培养基中冷冻液的量。在24小时后更换培养液体可全部去除冷冻液。B.留出更多时间供培养物恢复。有时细胞需要几周时间才能形成单层或密集的悬浮物,取决于冷冻时细胞的年龄或传代次数或在生长阶段中的位置。冷冻的Zui佳条件在对数期;4)被冷冻的原种细胞的年龄或冷冻时培养物的年龄,推荐的解决方案:解冻Zui近冷冻的细胞。细胞处于冷冻状态的时间越长,存活率越低。检查冷冻细胞的时间和方法。在冷冻时细胞应处于对数期。

细胞生长:贴壁

RBL-I细胞类似产品::PFSK1细胞、B16细胞、Institute for Medical Research-32细胞

ST细胞类似产品::HGF-1细胞、THPI细胞、RGM-1细胞

U373-MG细胞类似产品::Human Melanoma Cell Bowes细胞、HCC1954细胞、Me-Wo细胞

SW 962细胞类似产品::OCI-Ly07细胞、MMAc.SF细胞、SNU-119细胞

NCIH526细胞类似产品::Panc8.13细胞、WERI Rb-1细胞、ATC241细胞

CMT93 Cells(赠送Str鉴定报告)|小鼠结肠癌细胞

细胞物种来源:人源或鼠源等其它物种来源

[细胞产品包装]鲜活细胞:T25培养瓶(一瓶)或冻存细胞:1ml冻存管(两支)

在细胞培养过程中会出现这样或那样的问题,客户遇到的问题从细胞生长角度来说,针对细胞培养过程中生长不HAO、甚至死亡的原因,我们做以下分析并提出相对应的解决方法。一、培养细胞生长不HAO》可能原因:细胞本身的状态》1)细胞传代次数多,细胞老化;2)细胞的接种量:接种量过低,细胞生长缓慢;3)细胞传代时间过晚:细胞中毒,影响传代后的细胞生长;4)胰酶消化时间过长或过短:时间过长,细胞死亡;时间过短,细胞未完全分离而成团,细胞死亡;5)细胞的冻存与复苏:慢冻速融。污染:1)支原体污染;2)霉菌污染;培养基或血清:1)更换血清或培养基之前未进行验证;2)选择的培养基是否合适;3)培养基配制是否准确无误;培养环境:1)CO2供应是否正常;2)培养箱或摇床温度控制是否正确;解决方法:根据以上四个方面的可能原因,做出针对性的解决方案》1)注意细胞的本身状态:如传代次数、接种量等;2)避免产生污染(用正规、合法、可溯源的血清);3)要用合适的血清或培养基,ZuiHAO经过验证;4)注意实验室的环境;二、培养细胞死亡》可能原因:1)培养箱内无CO2;2)培养箱内温度波动太大;3)细胞冻存或复苏过程中损伤;4)培养液渗透压不正确;5)培养液中有毒代谢产物堆积;解决方法:1)检测培养箱内CO2;2)检查培养箱内温度;3)取新的保存细胞种;4)检测培养液渗透压;5)换入新鲜培养液。

细胞传代方法:1:2-1:3传代;每周换液2-3次。

HEC-1B细胞类似产品::HPB/ALL细胞、SW-982细胞、H226细胞

PANC403细胞类似产品::MFM223细胞、Hs294T细胞、H-929细胞

MM6细胞类似产品::Kit225细胞、Rabbit Kidney 13细胞、C3A细胞

Ly7细胞类似产品::CBRH-7919细胞、H-748细胞、MD Anderson-Metastatic Breast-453细胞

Reh细胞类似产品::CA922细胞、BT-474细胞、FHs74 Int细胞

细胞来源说明:来源于RCB、ATCC、KCLB、DSMZ、ECACC、INCell、ScienCell、ECACC、JCRB、Asterand、ICLC等知名细胞库

CMT93 Cells(赠送Str鉴定报告)|小鼠结肠癌细胞

细胞生长特性:贴壁

H4-II-EC3细胞类似产品::SUM-190细胞、SKRC-20细胞、T241细胞

SUM-52细胞类似产品::AG 9细胞、B16/F0细胞、HCC 2185细胞

SW1783细胞类似产品::HCT-GEO细胞、HuH-1细胞、LNCaP-C4-2细胞

Bowes melanoma cells细胞类似产品::HCC-1187细胞、Panc327细胞、QGY-7701细胞

KP-N-YN细胞类似产品::SW-954细胞、Bovine ENDometrial cells细胞、COV504细胞

SHI1细胞类似产品::RAG细胞、U266 Bl细胞、LIM1215细胞

细胞常规培养传代流程(请严格遵照无菌操作):1)吸出原培养瓶中的培养基,PBS缓冲液润洗细胞两次,加2-3ml 0.25%胰酶进行消化细胞(注意把握消化时间,通常控制在1-2min);2)镜下观察消化情况,在细胞边缘缩小,贴壁松动时(不建议消化到细胞漂浮)去掉胰酶,加6-8ml完全培养基,轻轻吹打细胞层,尽量把细胞层吹落,吹散;3)取部分细胞悬液转移到新的培养皿/瓶中,添加适当的完全培养基,把细胞悬液打匀,于培养箱中培养;4)注意培养基PH值变化情况,定期换液(每周2-3次),待细胞密度达到80%以后重复1项操作或者冻存;别注意:(如使用公共实验室或者初次接触细胞培养,建议添加双抗培养)1)收到细胞后请尽快更换为含15%血清的新鲜培养基,如因殊情况需要继续使用原瓶,请在原瓶培养基中额外添加10%的血清,(原瓶培养基的继续使用时间Zui长不宜超过72小时);2)贴壁细胞收到当天切忌立刻消化,请将细胞换液后放置培养箱孵育到第二天再做消化传代,请YOU先选择直径6cm的培养皿进行传代培养;3)如签收时出现培养瓶壁破裂,漏液等情况请及时做HAO照片记录并联系实验室。

贴壁细胞消化传代时通常采用两种方法:一、加入胰酶等细胞脱落后,再加培养基中止胰酶作用,离心传代;二、加入胰酶后,镜下观察待细胞始脱落时,弃胰酶,加培养液分瓶。但前者太麻烦,而后者有可能对细胞施加胰酶选择,因为总是贴壁不牢的细胞先脱落,对肿瘤细胞来说,这部分细胞有可能是恶性程度较GAO的细胞亚群。一种简单的消化传代方法。加入PBS洗去血清或加入胰酶先中和血清的作用(30s),弃之,再加入适量胰酶作用10s-40s(根据细胞消化的难易程度),弃之,这样依赖残余的胰酶就可将细胞消化单细胞。对于较难消化的细胞,可以用2%利多卡因消化5-8分钟,然后再弃去,加培养基吹打也可以,对细胞的影响不大。不用PBS也不用Hanks洗,只要把旧培养液吸的干净一点,直接加酶消化应该不会有什么问题。弃培养液后,用0.04%的EDTA冲洗一次,再用1/4v的0.04%的EDTA室温孵育5min,弃取大部分EDTA,加入与剩余EDTA等量的胰酶(预热)总体积1/10v。消化到有细胞脱落。不过有人说EDTA对细胞不HAO,有证据吗?培养的BASMC:倒掉旧培养液加入少量胰酶冲一下,倒掉再加入0.125-0.25%胰酶约6-10滴或1ml(25ml bottle)消化再加入适量新培养基中和,并分瓶这种方法简单、省事;效果很HAO并且不损失细胞!

Hs 600.T细胞类似产品::B 95.8细胞、SuDHL 1细胞、H1963细胞

U251MG细胞类似产品::3AO细胞、Cattle chondrocytes细胞、MCF10A细胞

VeroC1008细胞类似产品::Bronchial Epithelium transformed with Ad12-SV40 2B细胞、CEMO-1细胞、EST81细胞

Pt K2细胞类似产品::Mouse podocyte细胞、MHCC 97-H细胞、KM12细胞

RINm5F细胞类似产品::AMO1细胞、U138MG细胞、SKHEP-1细胞

CCD-112 CoN细胞类似产品::266 Bl细胞、H211细胞、Panc-02细胞

B-104细胞类似产品::COLO-320DM细胞、SaOS细胞、RMS 13细胞

alpha-TC1-6细胞类似产品::SW-527细胞、CTV-1细胞、SLK细胞

NCI-H295细胞类似产品::NCIH2141细胞、HUC-1细胞、Keio University-19-19细胞

CD-18细胞类似产品::B16 melanoma F10细胞、NCIH1573细胞、RAEC细胞

PK-15细胞类似产品::PIGI细胞、SK Mel28细胞、GB1细胞

HEK-293F细胞类似产品::Jurkat E6细胞、FTC-133细胞、COLO 320DM细胞

HCC2279细胞类似产品::HuCC-T1细胞、NCIH446细胞、LIM-1215细胞

CAL85-1细胞类似产品::COLO-684细胞、GM03569D细胞、SGC-7901/DDP细胞

HL-60细胞类似产品::Panc-813细胞、CX-1细胞、KNS62细胞

MD Anderson-Metastatic Breast-361细胞类似产品::OCILY10细胞、RCC23细胞、CRFK细胞

MD Anderson-Metastatic Breast-361细胞类似产品::OCILY10细胞、RCC23细胞、CRFK细胞

H358细胞类似产品::P3/NS1/1-Ag4.1细胞、NK-92 transfected with MFG-hIL2细胞、ACC-2细胞

NS1细胞类似产品::H-889细胞、OVCAR-5细胞、AN3细胞

SUDHL4细胞类似产品::3T3-Swiss albino细胞、MPC-11细胞、GM0637细胞

Gerner 7666细胞类似产品::Hs 821.T细胞、RT 112细胞、HEK 293A细胞

HCC-1428细胞类似产品::BNL-CL.2细胞、HFL1细胞、130-T细胞

A549-Taxol细胞类似产品::MLM细胞、KYSE410细胞、LNCaP-Clone-FGC细胞

GalK1细胞类似产品::CaEs17细胞、T/G HA VSMC细胞、MB-49细胞

OCI-Ly18细胞类似产品::HCC9724细胞、C-643细胞、LoVo细胞

MCF-12F细胞类似产品::COLO-741细胞、FHL 124细胞、GRSL细胞

HHL-5细胞类似产品::PL 5细胞、NCI-H1963细胞、LAD2细胞

H209细胞类似产品::HN6细胞、SKHEP1细胞、SPCA1细胞

UPCI-SCC-090细胞类似产品::U20-S细胞、R3/1细胞、OVMANA细胞

GM03671细胞类似产品::TE-3A细胞、NCI-H295R细胞、E304细胞

H.Ep. #2细胞类似产品::H1792细胞、Hs 739.T细胞、COV-362细胞

HPAFII细胞类似产品::UM-UC-1细胞、SKG-3a细胞、Centre Antoine Lacassagne-85-1细胞

H196细胞类似产品::WM-2664细胞、HcaF细胞、GM01232细胞

343 MG细胞类似产品::SUD6细胞、alpha-TC1.6细胞、H-747细胞

H-358细胞类似产品::PC-3M细胞、H-2126细胞、MG-63细胞

MD Anderson-Metastatic Breast-453细胞类似产品::Gingival carcinoma Neck Metastasis细胞、Okayama University Medical School-23细胞、FHL124细胞

G361mel细胞类似产品::VP 267细胞、HCC-202细胞、HPB/ALL细胞

Radiation Effects Research Foundation-Lung Cancer-MS细胞类似产品::OCLY8细胞、HCC-15细胞、HPAF细胞

HCC-1438细胞类似产品::LN229细胞、PA I细胞、BpRcl细胞

4T1细胞类似产品::BSC40细胞、T173细胞、SK_HEP1细胞

H69C细胞类似产品::H522细胞、MEF (CF-1)细胞、Jurkat E6-1细胞

CMT93 Cells(赠送Str鉴定报告)|小鼠结肠癌细胞

HOS细胞类似产品::S16细胞、COLO680N细胞、MIA-PaCa-2细胞

MC 116细胞类似产品::GM06141细胞、KFB细胞、MH-S细胞

FL83B细胞类似产品::H847细胞、SW 837细胞、WM266-4细胞

RCC4细胞类似产品::KM933细胞、NCI-SNU-423细胞、HEK 293-F细胞

HTori:3细胞类似产品::KBM-7/Hap8细胞、H4-II-E细胞、SCC7细胞

P116细胞类似产品::MH-22a细胞、DMS 114细胞、CHP 126细胞

Jijoye细胞类似产品::D283细胞、SRA 01/04细胞、Mo 59J细胞

SW 403细胞类似产品::NBL_S细胞、4T1-LUC细胞、A375细胞

HEK293-F细胞类似产品::P3-X63Ag8.653细胞、SKG3A细胞、B4G12细胞

B16/BL6细胞类似产品::ketr 3细胞、Huh-7.5细胞、RWPE2细胞

C8D1A细胞类似产品::NCIH1930细胞、HELA-GFP细胞、Dunn LM8细胞

DU145细胞类似产品::RKN细胞、Mc Coy细胞、1.1B4细胞

KMB-17细胞类似产品::TE354T细胞、IOSE-80细胞、Med 283细胞

Caki-1细胞类似产品::NPA-87细胞、NCIH929细胞、GM-3573细胞

Caki-1细胞类似产品::NPA-87细胞、NCIH929细胞、GM-3573细胞

RT-4细胞类似产品::CCRFCEM细胞、HPDE6c7细胞、ASH-3细胞

32D/cl3细胞类似产品::H4-II-E-C3细胞、Hs746-T细胞、EM-3细胞

CAL27细胞类似产品::MDA MB 231细胞、R.K.13细胞、TO175T细胞

JVM2细胞类似产品::YES-2细胞、MES-SA/Dx-5细胞、SKHEP1细胞

HCC 38细胞类似产品::NCTC1469细胞、Ku812细胞、NCI-H2171细胞

RC-K8细胞类似产品::HEK293-FT细胞、Molm 14细胞、KLN205细胞

IM9细胞类似产品::Chang Cells细胞、W256细胞、FTC133细胞

TOV112细胞类似产品::SKHEP-1细胞、DU145细胞、Hs683细胞

CAL120细胞类似产品::IMR90细胞、OCILY-19细胞、RK-13细胞

CEM-0细胞类似产品::33604细胞、NCIH1341细胞、NB1-RGB细胞

MC-CAR细胞类似产品::NSH细胞、SKLU1细胞、BE2M17细胞

TSU-Pr1细胞类似产品::H1568细胞、COLO-829细胞、R.K.13细胞

MOLT-16细胞类似产品::T-cell Acute Lymphoblastic Leukemia-1细胞、HT 144细胞、NCIH1437细胞

COLO.205细胞类似产品::PC3细胞、RCM1细胞、NCI-1155细胞

Pro-5WgaRI3C细胞类似产品::NCI-SNU-423细胞、NCIH69细胞、Hs 934.T细胞

Calu 3细胞类似产品::MV-1-Lu细胞、SW780细胞、RT4-D6-P2T细胞

G401细胞类似产品::PaTu-8988s细胞、GM03571细胞、H322细胞

no-11细胞类似产品::MiaPaca.2细胞、KMB-17细胞、HRIF细胞

WPMY1细胞类似产品::TJ905细胞、SNU-C1细胞、KYSE 140细胞

DHBE细胞类似产品::SW900细胞、Suzhou Human Glioma-44细胞、Hep 3B2_1-7细胞

HT 115细胞类似产品::SBC5细胞、H2171细胞、KYSE520细胞

P3HR1-BL细胞类似产品::Pan02细胞、MCA-205细胞、SK-ES-1细胞

HCC1599细胞类似产品::ARO 81-1细胞、ChaGo-K-1细胞、HCC95细胞

SNK6细胞类似产品::BJA-B1细胞、H69C细胞、CCC-HPF-1细胞

MSB1细胞类似产品::LIPF178C细胞、HGC-27细胞、KPL1细胞

HBVSMC细胞类似产品::CAL-27细胞、Kelly细胞、OCI AML4细胞

Mesothelial cells transfected with pRSV-T 5A细胞类似产品::H128细胞、HASMC细胞、NCI-H1299细胞

COLO357细胞类似产品::NCI-H810细胞、WM-239-A细胞、Anip-973细胞

KM-12细胞类似产品::T8细胞、MZCRC1细胞、U-251 MG细胞

RGC6细胞类似产品::SF-295细胞、MFE 296细胞、KYSE 180细胞

MDCC-MSB1细胞类似产品::GA10细胞、CHO Lec1细胞、KE-37细胞

Caki-2细胞类似产品::SK-Mel 1细胞、B16-F10-BL6细胞、MPVECs细胞

HOS (TE85, Clone F5)细胞类似产品::JurkatE6-1细胞、HGE细胞、OCI-Ly03细胞

CHP212细胞类似产品::CTV1细胞、T-98细胞、Farage Original Line细胞

NCI-446细胞类似产品::RM1细胞、H1522细胞、Intestinal Porcine Epithelial Cell line-1细胞

Hs 819.T细胞类似产品::MPVECs细胞、NU-GC-3细胞、M3 Clone M-3细胞

RMa-bm细胞类似产品::CT26WT细胞、HEL-92.1.7细胞、HCC2218细胞

H-II-E-C3细胞类似产品::beta-TC6细胞、MDCK-2细胞、NE1细胞

NIH3T3细胞类似产品::MGH-U1细胞、266 Bl细胞、TE-4细胞

NCIH1435细胞类似产品::CHG-5细胞、293-GP细胞、JIII细胞

H1838细胞类似产品::DCS细胞、P3.NS-1/1.Ag4.1细胞、MDAMB157细胞

CAL 62细胞类似产品::NTC200细胞、TB1 Lu细胞、SP2-0-Ag14细胞

SU.86.86细胞类似产品::D6P2T细胞、U031细胞、IMR90细胞

Calf Pulmonary Artery Endothelial细胞类似产品::GTL16细胞、T47-D细胞、MDA-468细胞

Jurkat细胞类似产品::Pt-K1细胞、ACC2细胞、mRMEC细胞

High Five细胞类似产品::KLN-205细胞、SW-48细胞、D-341细胞

SW 527细胞类似产品::UMUC-3细胞、H1435细胞、A375-S2细胞

FO [Mouse myeloma]细胞类似产品::P31/Fujioka细胞、Colo16细胞、MHH-CALL-2细胞

YD38细胞类似产品::AG06814-J细胞、OVCAR-8/ADR细胞、143B细胞

HCC 94细胞类似产品::624mel细胞、SK-MEL 28细胞、hTERT RPE-1细胞

T173细胞类似产品::Hep-G2/C3A细胞、GOS3细胞、SUNE-1细胞

COLO 829细胞类似产品::F81细胞、Swiss3T3细胞、SK-UT-1细胞

H-735细胞类似产品::P30/Ohkubo细胞、LS 1034细胞、IPAM-WT细胞

McA-RH 7777细胞类似产品::H157细胞、Gerner 7666细胞、COR-L279细胞

ETCC-007细胞类似产品::HEL-92-1-7细胞、UT-7细胞、HCC1187细胞

MiaPaCa-2细胞类似产品::TW-039细胞、FET细胞、Potorous tridactylus Kidney 1细胞

HLEpiC细胞类似产品::Tca8113细胞、AAV293细胞、DHL5细胞

P3/X63/Ag8细胞类似产品::NCI-H1666细胞、HFSF细胞、CAL-62细胞

PC-9/S1细胞类似产品::SU86-86细胞、H-498细胞、D407细胞

H-1341细胞类似产品::A1847细胞、MDBK (NBL-1)细胞、D-341Med细胞

OCIAML2细胞类似产品::DF1细胞、Hk-2细胞、GM00637I细胞

CCRF-CEM/S细胞类似产品::Panc05.04细胞、PANC0403细胞、MLOY4细胞

Caki-1细胞类似产品::NPA-87细胞、NCIH929细胞、GM-3573细胞

C3H10T1/2细胞类似产品::NCIH1573细胞、PCI-04B细胞、HCEpiC细胞

WI-38细胞类似产品::RD细胞、LMTK-细胞、OCI-AML3细胞

HPAF II细胞类似产品::MD Anderson-Metastatic Breast-134-VI细胞、Caki-1细胞、NUGC2细胞

EFM192A细胞类似产品::X63-Ag8-653细胞、HSC(Human Schwann)细胞、SU-DHL-8细胞

Calu-6细胞类似产品::GTL-16细胞、SW-13细胞、GM06141细胞

T2细胞类似产品::HCC-38细胞、Mel-624细胞、Hs-695-T细胞

IPEC-1细胞类似产品::P3 (Jiyoye)细胞、CCRF/CEM/0细胞、SKNO1细胞

Human Intestinal Epithelial Cell-6细胞类似产品::QGY7701细胞、CNE-2细胞、PK (15)细胞

JS1细胞类似产品::786-O RCC细胞、GM07404A细胞、CHP-126细胞

Rca-B细胞类似产品::GT39细胞、MDA-MB 231细胞、NCI-H1792细胞

293细胞类似产品::NPA87细胞、HT-144细胞、A875细胞

293细胞类似产品::NPA87细胞、HT-144细胞、A875细胞

FDCP-1细胞类似产品::M21细胞、HCC1599细胞、GT1-1细胞

NuTu-19细胞类似产品::SUP-B15细胞、WI 38细胞、Tb 1-Lu细胞

SW 948细胞类似产品::MGc80-3细胞、U-87-MG细胞、Murine Thymic Epithelial Cell line 1细胞

SC细胞类似产品::DU145细胞、HT 115细胞、H87细胞

OV-CA 432细胞类似产品::KLM-1细胞、CV-1 in Origin Simian-1细胞、OP-9细胞

KOSC-2 cl3-43细胞类似产品::Calu6细胞、MDCC-MSB1细胞、MD Anderson-Metastatic Breast-175-VIII细胞

IHH-4细胞类似产品::PE CA PJ34细胞、CEM-C1细胞、L 132细胞

KM12-SM细胞类似产品::143B TK-细胞、Potorous tridactylus Kidney 2细胞、HLFa细胞

U138细胞类似产品::EJ-1细胞、SW-1353细胞、EC-9706细胞

NCI522细胞类似产品::MDA-kb2细胞、Epithelioma Papulosum Cyprini细胞、OCI-LY-19细胞

CAL 148细胞类似产品::TPC-1细胞、SNK-1细胞、HRA-19细胞

RBL 1细胞类似产品::DMS79细胞、NIH-OVCAR-3细胞、HeLa S-3细胞

T 24细胞类似产品::MDA-MB415细胞、ECC 10细胞、SUNE1细胞

LN-229细胞类似产品::RGCs细胞、UMR 106细胞、NCIH1963细胞

HCC2185细胞类似产品::BEL-7402细胞、NE1-E6E7细胞、H292细胞

H-196细胞类似产品::HCC941122细胞、Normal Rat Kidney-49F细胞、GP2d细胞

HBZY1细胞类似产品::HEL92.1.7细胞、bEnd3细胞、CP70细胞

MSC细胞类似产品::CALU1细胞、GT38细胞、ARPE-19细胞

Karpas299细胞类似产品::DAN-G细胞、PL-11细胞、MDAPCa2b细胞

OC316细胞类似产品::COLO320HSR细胞、WEHI-279细胞、Human Embryo Kidney-2细胞

GM04671细胞类似产品::HONE-1细胞、Karpas-299细胞、H735细胞

MOLT 16细胞类似产品::R.K.13细胞、HANK1细胞、NS20-Y细胞

D-341Med细胞类似产品::MT2细胞、hTERT-HPNE细胞、RPMI #8226细胞

HPAF/CD18细胞类似产品::MUS-M1细胞、PANC 813细胞、BSC-40细胞

LoVo细胞类似产品::KYSE 270细胞、SNU878细胞、NCI-H1105细胞

CAL-51细胞类似产品::WEHI 164细胞、HMVEC细胞、MC3T3细胞

P31-FUJ细胞类似产品::801-D细胞、HCT 15细胞、SL-29细胞

Virginia Mason Research Center-Renal Cancer Z细胞类似产品::MDA-PCa-2b细胞、HT-22细胞、293FT细胞

CP70细胞类似产品::HUTU80细胞、HEL-92-1-7细胞、NCI-N87细胞

CMT93 Cells(赠送Str鉴定报告)|小鼠结肠癌细胞

NPA'87细胞类似产品::Lewis-Lung细胞、HBZY1细胞、87 MG细胞

HuT-102细胞类似产品::102PT细胞、SK-UT-1细胞、P3-X63Ag8细胞

HITT15细胞类似产品::CNE-1细胞、Lu-65细胞、HR-1细胞

H2087细胞类似产品::MIN6细胞、HCC0827细胞、CCD-33Co细胞

Leghorn Male Hepatoma cell line细胞类似产品::2V6.11细胞、P-19细胞、COR-L 105细胞

SF-539 BT细胞类似产品::SCL1细胞、Liver-02细胞、RMC细胞

SW-1783细胞类似产品::FRhK4细胞、CHOK1细胞、U14细胞

H-23细胞类似产品::L 363细胞、SK-N-BE(2C)细胞、NCI-H187细胞

GA-10(Clone 4)细胞类似产品::hTERTHME1细胞、UCH1细胞、MKN-45细胞

OVCAR8细胞类似产品::RCC4细胞、SKRC-39细胞、Panc4.03细胞

CAL-27细胞类似产品::CAL-51细胞、My-La 2059细胞、NCI-747细胞

OVCAR 433细胞类似产品::COLO394细胞、SMMC7721细胞、RPMI 8226细胞

HT-22细胞类似产品::HCC 70细胞、Lewis lung carcinoma line 1细胞、Walker 256细胞

MS-751细胞类似产品::H-1184细胞、COLO.205细胞、H847细胞

SaOS-2细胞类似产品::A2058细胞、HO8910PM细胞、LNCaP-FGC细胞

Caco-2/ATCC细胞类似产品::NCI-H1944细胞、R D细胞、SUD4细胞

PTK1细胞类似产品::UPCISCC154细胞、CHP 100细胞、GLRK 13细胞

OCI/AML5细胞类似产品::ACC3细胞、Panc 8.13细胞、B16 F10细胞

Hs 294T细胞类似产品::NTERA-2 clone D1细胞、OVCAR.5细胞、CHL细胞

AM38细胞类似产品::RPMI8226/S细胞、VMRCLCD细胞、Co 205细胞

OKT3细胞类似产品::TNC-1B12B4细胞、Experimental Mammary Tumour-6细胞、343 MG细胞

SW982细胞类似产品::MD Anderson-Metastatic Breast-436细胞、HEI-193细胞、HS 1.Tes细胞

Large Cell Lung Cancer-103H细胞类似产品::WPMY-1细胞、A2780CP细胞、NCI-SNU-423细胞

WERI-Rb1细胞类似产品::GCT细胞、Human Intestinal Epithelial Cell-6细胞、CAOV3细胞

HSCT6细胞类似产品::LSECs细胞、BI-Mel细胞、SVGp12细胞

MDA-134细胞类似产品::CV1细胞、OACP4C细胞、LLC细胞

NCI-H2108细胞类似产品::COLO 684细胞、D6P2T细胞、University of Arizona Cell Culture-893细胞

CCD-841-CoN细胞类似产品::DOK细胞、SK MEL 28细胞、LK 2细胞

NCIH1155细胞类似产品::LS 1034细胞、Jurkat-E6细胞、He-La细胞

HHUA细胞类似产品::U266BL细胞、L(TK-)细胞、KP-4细胞

VeroC1008细胞类似产品::Bronchial Epithelium transformed with Ad12-SV40 2B细胞、HOS细胞、Panc05.04细胞

CCD 19Lu细胞类似产品::NCIH1618细胞、SO-RB50细胞、ZR751细胞

"



CMT93 Cells(赠送Str鉴定报;

公司简介

上海冠导生物工程有限公司,先后从ATCC、DSMZ、ECACC、RIKEN、PromoCell、ScienCell、JCRB等国内外细胞库引进细胞2000余株。以此为契机,公司组建了冠导细胞库,我司细胞均由资深细胞培养工程师进行培养。我司可以提供的细胞有:①细胞系②原代细胞③稳转株④耐药株⑤标记细胞⑥细胞配套试剂等。

成立日期 (11年)
注册资本 100万(元)
员工人数 50-100人
年营业额 ¥ 1000万-5000万
经营模式 工厂,试剂,定制,服务
主营行业 细胞培养,微生物学,细胞生物学

CMT93 Cells(赠送Str鉴定报告)|小鼠结肠癌细胞相关厂家报价

  • CMT-93细胞
  • CMT-93细胞
  • 吉奥蓝图(广东)生命科学技术中心 VIP
  • 2026-04-17
  • 询价
  • CMT93细胞
  • CMT93细胞
  • 吉奥蓝图(广东)生命科学技术中心 VIP
  • 2026-04-17
  • 询价
内容声明
拨打电话 立即询价