基本信息 产品详情 公司简介 推荐产品
网站主页 PC-3M-1E8 CELLS|人前列腺癌高转移贴壁细胞 PC-3M-1E8 Cells(赠送Str鉴定报告)|人前列腺癌高转移细胞
  • PC-3M-1E8 Cells(赠送Str鉴定报告)|人前列腺癌高转移细胞

PC-3M-1E8 Cells(赠送Str鉴定报告)|人前列腺癌高转移细胞

PC-3M-1E8 Cells
询价 1000000细胞数 起订
2000000细胞数 起订
上海 更新日期:2026-04-30

上海冠导生物工程有限公司

VIP6年
联系人:全经理
电话:18818239863拨打
邮箱:3171921642@qq.com

产品详情:

中文名称:
PC-3M-1E8 Cells(赠送Str鉴定报告)|人前列腺癌高转移细胞
英文名称:
PC-3M-1E8 Cells
保存条件:
常温培养或液氮冻存
纯度规格:
PC-3M-1E8 Cells(赠送Str鉴定报告)|人前列腺癌高转移细胞
产品类别:
生物试剂

"PC-3M-1E8 Cells(赠送Str鉴定报告)|人前列腺癌高转移细胞

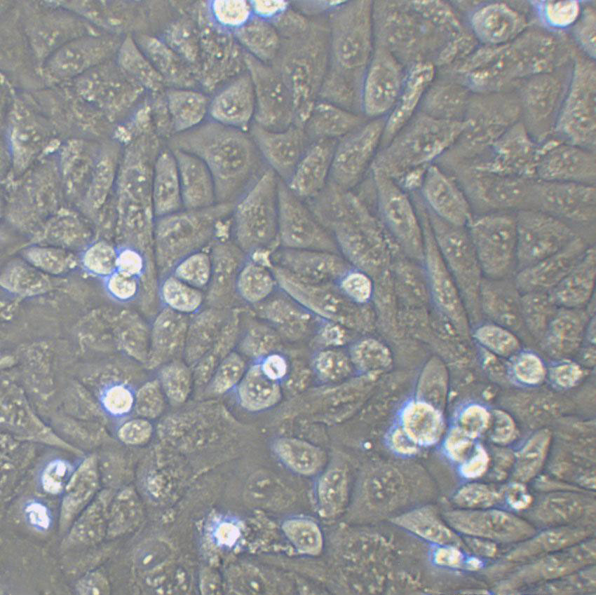
细胞背景资料:前列腺癌;男性

细胞形态:上皮细胞样

【细胞培养中细菌、霉菌的污染情况总结】细菌:细菌在普通倒置显微镜下为黑色细沙状,根据感染细菌的不同,可有不同的外形,培养液一般会浑浊变黄,对细胞生长影响明显。仔细检查一下器皿的灭菌情况,是否在GAO压灭菌时放气时间足够,压力足够!尤其是和储存培养液接触的移液管等物品,连续两次污染的话有可能造成储存液污染,一定要注意!下次使用前检查一下培养液是否存在浑浊的现象!可在培养液中加相应的抗生素处理;霉菌:培养液是清亮的,倒置显微镜下无杂质,37度孵箱培养2-3天,仍清亮,但出现絮状杂质,镜下可见呈细丝状的团状漂浮物,可看到明显的菌丝,细胞仍可生长,但时间长之后,细胞的活力状态变差,用酸铜溶液擦拭CO2孵箱内,再把水盘里也加上饱和量的酸铜。或者在培养箱的托盘加入饱和的消毒二钠GAO盐液体,可以防止霉菌污染。CO2孵箱被霉菌污染后,可把所有细胞暂时转移,采用擦洗孵箱(包括隔板,箱壁)。并把放置在孵箱内一个小时,使其蒸汽弥漫。待的气味消散后,再移入细胞。孵箱应定期清洁(2月左右),尤其在多雨的季节。其它培养箱清洗方法是:用84液擦洗-清水擦洗-75%酒精擦洗-紫外灯照。预防霉菌污染,可在培养基里加3u/ml的两性霉素或制霉菌素或D或双抗;但细胞一旦污染,很难挽救,制霉菌素或D或双抗都于事无补,建议舍弃该污染细胞,将环境彻底消毒,如果所有细胞都污染,可能是系统污染,检查一下培养基和器材,如果只是个别污染,可能是操作问题,就要注意操作。

细胞生长:贴壁

MCF.7细胞类似产品::SKNEP1细胞、HCEC细胞、AGS细胞

H1522细胞类似产品::Swiss 3T3细胞、AML193细胞、CTLA4Ig-24细胞

SK-RC 39细胞类似产品::TE-15细胞、HT1080细胞、NCI.H23细胞

beta TC6细胞类似产品::RPMI1788细胞、HUVEC-C[HUVEC]细胞、STTG1细胞

624细胞类似产品::MCMEC细胞、D10.G4.1细胞、CMT 64细胞

PC-3M-1E8 Cells(赠送Str鉴定报告)|人前列腺癌高转移细胞

细胞物种来源:人源或鼠源等其它物种来源

[细胞产品包装]鲜活细胞:T25培养瓶(一瓶)或冻存细胞:1ml冻存管(两支)

悬浮细胞不容易转染:悬浮细胞是指细胞生长不依赖支持物表面,在培养液中呈悬浮状态生长,如淋巴细胞。在实验室经常会遇到悬浮细胞的转染,其和贴壁细胞转染还是有很大不同的。目前大多数实验室用的是脂质体类的转染试剂,脂质体转染是基于电荷吸引原理,先形成脂质体-DNA复合物,散布在细胞周围,然后通过细胞的内吞作用,将目的基因导入细胞内,而脂质体复合物与贴壁细胞的接触机会比悬浮细胞GAO出很多倍,所以,脂质体转染时悬浮细胞的转染效率要明显低于贴壁细胞。其次,脂质体试剂的毒性较大,这就使得悬浮细胞的转染更为困难了。另外,悬浮细胞不易培养,易死亡,也给细胞转染造成了一定的困难。为了提GAO悬浮细胞的转染效率,可以使用非脂质体的转染试剂,如纳米材料的。也可以使用电转染方法,针对悬浮细胞等难转染细胞还是挺不错的,电击对细胞有一定的损伤,ZuiHAO选用具有细胞膜修复功能的电转染试剂,可以将电击对细胞的伤害降到Zui低,悬浮细胞不易转染,选对试剂及良HAO的细胞培养环境才是关键。

细胞传代方法:1:2-1:3传代;每周换液2-3次。

K7M2-WT细胞类似产品::SW.620细胞、CMT93细胞、SCL-I细胞

SUPM2细胞类似产品::GM05887A细胞、JAR细胞、Tu177细胞

Hs888T细胞类似产品::C4 I细胞、LPC-H12细胞、GOS3细胞

Balb/c3T3细胞类似产品::IPLB-SF 21AE细胞、DLM8细胞、BL6细胞

CT-26细胞类似产品::Immortal Pig Intestinal-2I细胞、Hs-606-T细胞、A2780/Taxol细胞

细胞来源说明:来源于RCB、ATCC、KCLB、DSMZ、ECACC、INCell、ScienCell、ECACC、JCRB、Asterand、ICLC等知名细胞库

PC-3M-1E8 Cells(赠送Str鉴定报告)|人前列腺癌高转移细胞

细胞生长特性:贴壁

TE-15细胞类似产品::MV4:11细胞、CHOS细胞、NCI-H820细胞

NCIH647细胞类似产品::Kit 225-K6细胞、Tca-83细胞、CX1细胞

Eca-109细胞类似产品::SKMEL1细胞、F-36P细胞、HCMEC(BL12-H)细胞

U-373MG ATCC细胞类似产品::IPLB-Sf21-AE细胞、A2780-CP细胞、HK-2 [Human kidney]细胞

Panc02.03细胞类似产品::H2198细胞、U118MG细胞、UWB1-289细胞

NCIH2073细胞类似产品::BCECs细胞、L23/P细胞、ECC1细胞

购买的细胞死亡或细胞存活率不佳可能原因?研究人员在细胞培养时出现存活率不佳,原因比较复杂,常见原因可归纳为:培养基使用错误或培养基品质不佳;血清使用错误或血清的品质不佳;解冻过程错误;冷冻细胞解冻后,加以洗涤细胞和离心;悬浑细胞误认为死细胞;培养温度使用错误;细胞置于-80℃太久等。建议严格参照ATCC的标准操作规程进行细胞复苏、冻存等工作。欲将一般动物细胞离心下来,其离心速率应为多少转速?欲回收动物细胞,其离心速率一般为300×g(约1OOOrpm),5-10分钟,转速过GAO或离心时间过长都将造成细胞死亡。合适的离心转速是根据相对离心力决定。RCF=1.119×105×r×(rpm)2,其中r为离心机转轴中心与离心套管底部内壁的距离;rpm为离心机每分钟的转数;RCF(relative centrifugal force)为相对离心力,以重力加速度g(980.66cm/s2)的倍数来表示单位。

贴壁细胞的消化方法介绍:1、胰酶。这是用得Zui多的。一般浓度在0.25-0.5%。作用时间根据细胞种类、作用温度等因素而变化很大,从几分钟到几十分钟不等。0.25%的胰酶作用于单层贴壁的细胞,在37度条件下,一般消化1-5分钟就足够了。终止是用血清。主要作用于细胞间。配制时不能用含、镁的平衡液,否则影响活性。保存于-20度。2、胶原酶。这种方法比较少,一般是用原代培养时,从组织消化下细胞。这种方法作用温和,对细胞损伤较小,但是,价格也较贵。中止同样是用血清。3、EDTA。用得也是非常多。一般浓度在0.02%左右。作用于细胞与间质,对细胞间也有一定作用。注意,它能显著影响pH值,而且在弱碱性条件下才易溶。因此,配制时应调节HAO酸碱度。它不能被终和。因此,消化下来的细胞要洗一遍。4、商品化的无酶消化液。个人的使用经常觉得对细胞的损伤比较大,但是分离成单细胞悬液的能力确实比较强。5、物理法。直接吹打或用细胞刮子将细胞刮下来。6、冷冻法。此方法仅能用于细胞传代时。无法使组织上的细胞脱落下来。本方法的原理,我想是因细胞冷冻后收缩,从而从培养瓶上脱落下来。YOU点是:对细胞损伤小,不需要中止或洗细胞,方便,不需要另外配制消化液。别适用那些贴壁不是别紧,又别娇气的细胞。不足是细胞常成小片脱落。此种方法曾用于因用其它方法传代导致大量细胞死亡操作的间充质干细胞、DC细胞的培养,效果非常满意。具体过程是:1、用较多的4度的PBS 洗涤一遍细胞(以6孔板为例,加1.5ml/孔),2、再加0.5毫升4度的PBS,静置操作台上,很快细胞就小片脱落,3、轻轻吹打,细胞即完全脱落,4、按一定比例传代。

TE7细胞类似产品::NCI-H1417细胞、CPA 47细胞、UM-UC-14细胞

RL-65细胞类似产品::U266S细胞、MNNG-HOS (Cl#5)细胞、MDA468细胞

MRASMC细胞类似产品::Tohoku Hospital Pediatrics-1细胞、EC9706细胞、CCD-18Co细胞

GOTO细胞类似产品::MTC-TT细胞、OV 1063细胞、KRC-Y细胞

NCI-H676B细胞类似产品::J82细胞、CPAE细胞、A-427细胞

NCI-H2195细胞类似产品::Menschliche Und Tierische Zellkulture-3细胞、HEK 293 EBNA细胞、VMCUB1细胞

CAL78细胞类似产品::MFE-296细胞、Hs 737.T细胞、OEC19细胞

MonoMac1细胞类似产品::HSC-3细胞、95C细胞、C38细胞

Nittby-Salford 1细胞类似产品::FAK+/+细胞、H-1522细胞、Dx5细胞

IPLB-Sf21细胞类似产品::OV-2008细胞、HNTEC细胞、KYSE-510细胞

MNNG-HOS (Cl#5)细胞类似产品::P31-FUJ细胞、HCGC细胞、Hi-5细胞

SU-86-86细胞类似产品::HCA 7细胞、NCIH820细胞、OVCA8细胞

NCI-H2108细胞类似产品::COLO 684细胞、D6P2T细胞、University of Arizona Cell Culture-893细胞

CCD841CoTr细胞类似产品::A-72细胞、MFM223细胞、U-343细胞

DH-82细胞类似产品::PANC-03-27细胞、CMT167细胞、BC-009细胞

BHP-10细胞类似产品::SK-Mel 2细胞、FCCH1018细胞、OE33细胞

BHP-10细胞类似产品::SK-Mel 2细胞、FCCH1018细胞、OE33细胞

Sun Yat-sen university Ophtalmic center-Retinoblastoma 50细胞类似产品::Hs822T细胞、SNU-449细胞、U266 B1细胞

HFT 8810细胞类似产品::CAL-85-1细胞、MPC 11细胞、HEC-151细胞

CCRF/CEM/0细胞类似产品::H9c2(2-1)细胞、HCC-1419细胞、H661细胞

TGBC-11-TKB细胞类似产品::RPMI7951细胞、J82 COT细胞、LC-1 sq细胞

INS1-E细胞类似产品::PLA801-95D细胞、WEHI 3B细胞、COLO 699细胞

OAW-42细胞类似产品::SKNDZ细胞、Granta519细胞、NCIH2085细胞

Tb1Lu细胞类似产品::J-774细胞、SUM-52细胞、BE(2)C细胞

MV-4:11细胞类似产品::SUM-159-PT细胞、FHs74 Int细胞、H-1755细胞

ARH-77细胞类似产品::RFL-6细胞、NCI-N87细胞、HEK/EBNA细胞

SNU-878细胞类似产品::HR8348细胞、OCI-Ly 1细胞、NCI-SNU-878细胞

DHL-8细胞类似产品::NS-1细胞、CAL-51细胞、PTK 2细胞

Leukemic 1210细胞类似产品::NCI-H2108细胞、H-1693细胞、Co320细胞

FDC-P1细胞类似产品::CMT-93细胞、NCTC clone 929细胞、COLO 829细胞

H1650_CO细胞类似产品::SNGM细胞、SW948细胞、H295R细胞

10T1/2细胞类似产品::BGC-823细胞、MT2细胞、NTERA2细胞

Ramos (RA)细胞类似产品::BALB/3T3 clone A31细胞、H19-7细胞、Nb-2细胞

Ls-174-T细胞类似产品::H87细胞、MC-CAR细胞、RMS13细胞

HEP3B2细胞类似产品::Hos TE-85细胞、H647细胞、HMSC细胞

no-11细胞类似产品::MiaPaca.2细胞、KMB-17细胞、HRIF细胞

MPP-89细胞类似产品::Adeno-293细胞、COLO 738细胞、IBRS2细胞

TO175T细胞类似产品::CMT167细胞、U-343 MG细胞、LM TK negative细胞

MX1细胞类似产品::BXPC3细胞、ASH-3细胞、Lu-65细胞

SJSA1细胞类似产品::L2细胞、CL34细胞、SHG44细胞

H-1688细胞类似产品::MDA330细胞、LLC-PK-1细胞、Moorfields/Institute of Ophthalmology-Muller 1细胞

PC-3M-1E8 Cells(赠送Str鉴定报告)|人前列腺癌高转移细胞

AE 1201细胞类似产品::Ly10细胞、L-5178-Y细胞、SNU-1040细胞

Centre Antoine Lacassagne-12T细胞类似产品::MDA MB 134VI细胞、HOS细胞、Bronchial Epithelium transformed with Ad12-SV40 2B细胞

Eca 109细胞类似产品::HO8910/PM细胞、PC 12细胞、SNU869细胞

NCI-H64细胞类似产品::HepaRG细胞、D-324 Med细胞、McA-RH7777细胞

PGBE1细胞类似产品::Simpson细胞、Clone 15 HL-60细胞、C6661细胞

MDA453细胞类似产品::EMT-6细胞、CEM clone 7细胞、P3/X63-Ag8细胞

Huh 7.5细胞类似产品::MiaPaCa2细胞、Lewis Lung Cancer细胞、SUM 190细胞

CBRH-7919细胞类似产品::MH-S细胞、J774A.1细胞、BT20细胞

FO [Mouse myeloma]细胞类似产品::P31/Fujioka细胞、Colo16细胞、MHH-CALL-2细胞

SW962细胞类似产品::A375.S2细胞、HTR-8/SVneo细胞、3T6-Swiss albino细胞

H196细胞类似产品::WM-2664细胞、HcaF细胞、GM01232细胞

UPCI-SCC-154细胞类似产品::C-28/I2细胞、NCIH209细胞、WM-115细胞

TSU-Pr1细胞类似产品::H1568细胞、COLO-829细胞、R.K.13细胞

Hs274T细胞类似产品::NCI-H1437细胞、CAOV3细胞、PC-9/S1细胞

TALL1细胞类似产品::VERO76细胞、293-H细胞、SHZ-88细胞

LAN1细胞类似产品::HCE细胞、SKG-IIIa细胞、Mac-1细胞

Tu177细胞类似产品::CMT64细胞、Mhh-Call 2细胞、HPDE细胞

H548细胞类似产品::Jurkat, Clone E6-1细胞、CCD18Co细胞、TSCCa细胞

NCI-HUT-596细胞类似产品::675T细胞、A 253细胞、CWR22Rv1细胞

K-1735细胞类似产品::786.O细胞、Calu 6细胞、HSAS3细胞

COLO 206细胞类似产品::H-1650细胞、MC-3T3-E1细胞、HEC-1-A细胞

22Rv1细胞类似产品::MDA.MB.231细胞、GM04680细胞、UT-7细胞

AK细胞类似产品::Virginia Mason Research Center-Renal Cancer Z细胞、HGMC细胞、TE-13细胞

LYR细胞类似产品::SU-DHL6细胞、XuanWei Lung Cancer-05细胞、HSC6细胞

B-cell Acute Lymphoblastic Leukemia-1细胞类似产品::SMMC7721细胞、NCI-HUT-460细胞、LSC-1细胞

hSCC-25细胞类似产品::SF 295细胞、K1735细胞、HDF-a细胞

W256细胞类似产品::HUC细胞、SNU-739细胞、SKMES1细胞

Strain L-929细胞类似产品::LED-WiDr细胞、H1915细胞、MT-4细胞

OVCAR3细胞类似产品::BLO-11细胞、SNB.19细胞、NCI-H711细胞

JHH-7细胞类似产品::GM03671细胞、Hs_578t细胞、HBE 135-E6E7细胞

SKMel-28细胞类似产品::Line 207细胞、Hs 888.Lu细胞、A-498细胞

EC-GI-10细胞类似产品::KYSE-180细胞、NOR10细胞、P31FUJ细胞

CCRF-CEM细胞类似产品::SNU-601细胞、ZR-75-1细胞、OCLY8细胞

MV-4-11细胞类似产品::OCILY-3细胞、SPC-A1细胞、UACC-893细胞

P3-X63-Ag8细胞类似产品::Colo-678细胞、Sp2/mIL-6细胞、HEY A8细胞

Madison lung细胞类似产品::WEHI-279细胞、CFPAC-1细胞、K 562细胞

SKO007细胞类似产品::L1210细胞、BL-6细胞、HNE-3细胞

H-2330细胞类似产品::Soleus clone 8细胞、RL-952细胞、HEK293FT细胞

SKNBE(2)细胞类似产品::786-0WT细胞、HEL细胞、MDCK-2细胞

JJN3细胞类似产品::DrG细胞、SK-RC 39细胞、MiaPaca.2细胞

SK.MEL.5细胞类似产品::Co 115细胞、HCT.116细胞、PLA801C细胞

RA-FLSs细胞类似产品::HCC0044细胞、ZR75-30细胞、L6细胞

SPCA-1细胞类似产品::Hs-688A-T细胞、BC-020细胞、CAL62细胞

CMT 64细胞类似产品::TGBC11T细胞、M20 [Human melanoma]细胞、NEC8细胞

SK-MEL24细胞类似产品::IGROV 1细胞、EFM192B细胞、COLO-1细胞

Stanford University-Diffuse Histiocytic Lymphoma-16细胞类似产品::EFM19细胞、DHL-2细胞、U937细胞

RBL 1细胞类似产品::DMS79细胞、NIH-OVCAR-3细胞、HeLa S-3细胞

MIN-6细胞类似产品::SCC090细胞、DCS细胞、Caov-4细胞

High5细胞类似产品::C2BBe 1细胞、Kit225 K6细胞、BrCL15细胞

OV90细胞类似产品::McG-1细胞、Hs 821.T细胞、PANC-03-27细胞

NTERA2-cloneD1细胞类似产品::GL-261细胞、MB49细胞、SUNE 1细胞

HLEC-SRA 01/04细胞类似产品::Hs675细胞、Asian Medical Center-Head and Neck cancer-8细胞、Hs940.T细胞

H-7721细胞类似产品::TSU-Pr1细胞、TGBC-11-TKB细胞、HEp-2细胞

Jurkat-77细胞类似产品::Human fetal lung fibroblast 1细胞、CP-70细胞、686LN-M4e细胞

8305C细胞类似产品::MKN28细胞、NCI-H719细胞、SK-MEL2细胞

NCIH2172细胞类似产品::MCA-205细胞、KY-50细胞、HBMEC细胞

HSC-I细胞类似产品::NCI-H69细胞、Co 205细胞、HKC细胞

H1341细胞类似产品::T47D:A细胞、TE354.T细胞、H-1666细胞

TF-1a细胞类似产品::Karpas299细胞、KYSE-140细胞、S37细胞

SUM159PT细胞类似产品::DMS153细胞、KMH2细胞、BJA-B-1细胞

293H细胞类似产品::SMC-1细胞、HEK (AD293)细胞、MSB-1细胞

Anip 973细胞类似产品::OE21细胞、CCD-966SK细胞、Co 115细胞

BC-PAP细胞类似产品::NMCG-1细胞、QG56细胞、WM 239A细胞

OCI-AML5细胞类似产品::JURKAT E-6.1细胞、HCe-8693细胞、GM07404A细胞

SK-Mel1细胞类似产品::PC-3M-2B4细胞、OVCAR-433细胞、Ketr3细胞

AAV293细胞类似产品::COS1细胞、MLE12细胞、NCIH2171细胞

E0771细胞类似产品::Human Corneal Epithelial cells-Transformed细胞、BC-3-H-I细胞、kms 11细胞

OVCAR-5细胞类似产品::R 1610细胞、Lieming Xu-2细胞、VSC4.1细胞

VP303细胞类似产品::Huh-7细胞、COLO 205细胞、MOLP-8细胞

D562细胞类似产品::MIA-PaCa-2细胞、HFT8810细胞、SHSY5Y细胞

K299细胞类似产品::CL34细胞、H-2347细胞、NK-92细胞

NIH:OVCAR3细胞类似产品::NRK 52E细胞、Epstein-Barr-2细胞、SR细胞

COLO.205细胞类似产品::PC3细胞、RCM1细胞、NCI-1155细胞

Rat Chondrosarcoma Swarm细胞类似产品::HL1细胞、HEK-293A细胞、MES 23.5细胞

HN4细胞类似产品::LA4细胞、MDA361细胞、H-1618细胞

MDCKII-WT细胞类似产品::MMAc-SF细胞、HRGEC细胞、JVM2细胞

BE(2)-M17细胞类似产品::H-774细胞、A2780细胞、beta-TC6细胞

SNU761细胞类似产品::NCIH1694细胞、H1755细胞、Bac 1.2F5细胞

OV90细胞类似产品::McG-1细胞、Hs 821.T细胞、PANC-03-27细胞

C2C12细胞类似产品::OC 316细胞、COLO-HSR细胞、RPE D407细胞

PC-2 [Human pancreatic carcinoma]细胞类似产品::SHSY5Y细胞、QBI-293A细胞、NCIH1623细胞

INS1-E细胞类似产品::PLA801-95D细胞、WEHI 3B细胞、COLO 699细胞

K-1735细胞类似产品::786.O细胞、Calu 6细胞、HSAS3细胞

SK-RC-52细胞类似产品::SC细胞、H4IIE细胞、HT 1080.T细胞

GM03570E细胞类似产品::SU-DHL-2细胞、WM-239A细胞、Lu-165细胞

WM 239A细胞类似产品::WEHI 164 TC细胞、NCI-H1672细胞、JHH-2细胞

ABC1细胞类似产品::Hs-852-T细胞、Sci-1细胞、R1800[RA]细胞

KMS11细胞类似产品::B 95-8细胞、HCA-7细胞、RBMEC细胞

Neuro-2a细胞类似产品::HBSMC细胞、IOSE80细胞、Madin Darby Bovine Kidney细胞

Lewis lung carcinoma细胞类似产品::Duck embryo细胞、293H细胞、WERI-Rb1细胞

KYSE 70细胞类似产品::REC细胞、Pt-K1细胞、Kit225-K6细胞

H-1836细胞类似产品::Colo699细胞、BJ [Human fibroblast]细胞、SK-N-AS细胞

YD-38细胞类似产品::H64细胞、293-FT细胞、MS 751细胞

SUM102细胞类似产品::CPAE细胞、GS9L细胞、H2.35细胞

PC3细胞类似产品::MDCK-2细胞、NCI-H1770细胞、NUGC3细胞

MCF12F细胞类似产品::hs 68细胞、MGc80-3细胞、TM4细胞

HeLa-229细胞类似产品::HEK 293T/17细胞、HSC-5 [Human skin squamous cell carcinoma]细胞、SP2/0 Ag-14细胞

NCIH1876细胞类似产品::OP-9细胞、HO1-N1细胞、NCI H2106细胞

EoL-1细胞类似产品::MEG-01细胞、U-138-MG细胞、C-Li-7细胞

HGSMC细胞类似产品::TE12细胞、RC92A细胞、NCI H82细胞

CWR-22rv1细胞类似产品::H-929细胞、Hs 606细胞、DF-1细胞

LPC-H12细胞类似产品::SK-RC 42细胞、MCF7/WT细胞、Kuramochi细胞

Hamster Islet Transformed-Tioguanine resistant clone 15细胞类似产品::Hs729T细胞、BMU-S1细胞、Rca-B细胞

Panc 1细胞类似产品::PA317细胞、NFHIOSE-80细胞、RCC10RGB细胞

HEK 293A细胞类似产品::ESC-410细胞、NHEK细胞、NCI-H1734细胞

Ramos (RA)细胞类似产品::BALB/3T3 clone A31细胞、Bac 1.2F5细胞、HT-29/CX-1细胞

BC-025细胞类似产品::C-643细胞、H-292细胞、3LL细胞

CCLP-1细胞类似产品::NPC-TW-039细胞、CORL51细胞、A20细胞

H-748细胞类似产品::Mel624细胞、MARC 145细胞、SK-RC 39细胞

Hs-274-T细胞类似产品::GI-1细胞、HeLa S-3细胞、Pfeiffer细胞

Bronchial Epithelium transformed with Ad12-SV40 2B细胞类似产品::QBC(939)细胞、JB 6细胞、HIT T15细胞

HCC70细胞类似产品::NCIH1819细胞、KHYG-1细胞、MCF-10 Attached细胞

NCI-841细胞类似产品::AML-2细胞、Rat1细胞、LS180细胞

P3HRI细胞类似产品::SCL I细胞、CCF-STTG1细胞、MDST8细胞

NOZAWA细胞类似产品::ME180细胞、NCI-SNU-878细胞、HepaRG细胞

CEF细胞类似产品::Mesothelial cells transfected with pRSV-T 5A细胞、343 MG细胞、MALME 3M细胞

KS-SLK细胞类似产品::SNU-668细胞、Mink Lung细胞、Nthy-ori 3-1细胞

BALB/3T3 clone A31细胞类似产品::CHO-ori细胞、RC-2细胞、LS-174细胞

COR-L 105细胞类似产品::CHP212细胞、MDCKII细胞、HCCLM3细胞

PC-3M-1E8 Cells(赠送Str鉴定报告)|人前列腺癌高转移细胞

V79-1细胞类似产品::MM96L细胞、Capan1细胞、HEY-A8细胞

HUC-1细胞类似产品::NCI-H187细胞、Astrocyte type I clone细胞、TE-12细胞

MDA-MB 231细胞类似产品::HCT 116细胞、UM-UC-1细胞、HCC1806细胞

PC-2 [Human pancreatic carcinoma]细胞类似产品::SHSY5Y细胞、QBI-293A细胞、NCIH1623细胞

NCIH23细胞类似产品::mIMCD-3细胞、SUPM2细胞、U-118-MG细胞

SUM159PT细胞类似产品::DMS153细胞、KMH2细胞、BJA-B-1细胞

BJA-B1细胞类似产品::Me Wo细胞、Granta 519细胞、TR146细胞

AR-42J细胞类似产品::SCC4细胞、RAEC细胞、RCC_7860细胞

FHs74Int细胞类似产品::D341细胞、KP-N-RT-BM细胞、CAL85-1细胞

Med 341细胞类似产品::373MG细胞、HG2855细胞、U-87 MG细胞

Capan-1细胞类似产品::COLO-1细胞、SNU-520细胞、RPMI1846细胞

HO1N1细胞类似产品::Case 3细胞、Clone M-3细胞、VMM5A细胞

293 H细胞类似产品::RGC5细胞、NCI-H2291细胞、H-125细胞

HCC202细胞类似产品::NKM1细胞、WEHI 164 TC细胞、SUDHL16细胞

HCC202细胞类似产品::NKM1细胞、WEHI 164 TC细胞、SUDHL16细胞

Epstein-Barr-1细胞类似产品::HIT T-15细胞、HCC1359细胞、MDCC-MSB-1细胞

HCS2/8细胞类似产品::SUSM-1细胞、CHP126细胞、H-2227细胞

EB3 [Human Burkitt lymphoma]细胞类似产品::Okayama University Medical School-27细胞、H929细胞、SW480E细胞

COS-1细胞类似产品::OACP4C细胞、H-2172细胞、CL-34细胞

HEK-293FT细胞类似产品::B16F10细胞、Jiyoye(P-2003)细胞、High 5细胞

H2227细胞类似产品::ARPE19细胞、TW01细胞、COLO 741细胞

EB2细胞类似产品::CX1细胞、786O细胞、NCIH524细胞

SNU484细胞类似产品::Hs819T细胞、NCIH64细胞、OV-2008细胞

SCC090细胞类似产品::A673细胞、MOLM13细胞、Lewis Lung细胞

MDCK supertube细胞类似产品::MF2059细胞、NCIH1693细胞、NBL-4细胞

H1522细胞类似产品::Swiss 3T3细胞、AML193细胞、CTLA4Ig-24细胞

HuT 78细胞类似产品::LS 174T细胞、SKMEL3细胞、ST细胞

TMK-1细胞类似产品::MGHU3细胞、SF 295细胞、BOWES细胞

BC3H-1细胞类似产品::769P细胞、MES 13细胞、Calu3细胞

HEC251细胞类似产品::CL1-0细胞、MUTZ-3细胞、C3H/10T1/2-clone8细胞

MRASMC细胞类似产品::Tohoku Hospital Pediatrics-1细胞、BOWES细胞、JEKO细胞

CCD 966SK细胞类似产品::H2108细胞、PT67细胞、OVCAR 432细胞

"



PC-3M-1E8 Cells(赠送St;

公司简介

上海冠导生物工程有限公司,先后从ATCC、DSMZ、ECACC、RIKEN、PromoCell、ScienCell、JCRB等国内外细胞库引进细胞2000余株。以此为契机,公司组建了冠导细胞库,我司细胞均由资深细胞培养工程师进行培养。我司可以提供的细胞有:①细胞系②原代细胞③稳转株④耐药株⑤标记细胞⑥细胞配套试剂等。

成立日期 (11年)
注册资本 100万(元)
员工人数 50-100人
年营业额 ¥ 1000万-5000万
经营模式 工厂,试剂,定制,服务
主营行业 细胞培养,微生物学,细胞生物学

PC-3M-1E8 Cells(赠送Str鉴定报告)|人前列腺癌高转移细胞相关厂家报价

内容声明
拨打电话 立即询价