基本信息 产品详情 公司简介 推荐产品
网站主页 NCI-H820 CELLS|人乳头状肺腺癌贴壁细胞 NCI-H820 Cells(赠送Str鉴定报告)|人乳头状肺腺癌细胞
  • NCI-H820 Cells(赠送Str鉴定报告)|人乳头状肺腺癌细胞

NCI-H820 Cells(赠送Str鉴定报告)|人乳头状肺腺癌细胞

NCI-H820 Cells
询价 1000000细胞数 起订
2000000细胞数 起订
上海 更新日期:2026-04-22

上海冠导生物工程有限公司

VIP6年
联系人:全经理
电话:18818239863拨打
邮箱:3171921642@qq.com

产品详情:

中文名称:
NCI-H820 Cells(赠送Str鉴定报告)|人乳头状肺腺癌细胞
英文名称:
NCI-H820 Cells
保存条件:
常温培养或液氮冻存
纯度规格:
NCI-H820 Cells(赠送Str鉴定报告)|人乳头状肺腺癌细胞
产品类别:
生物试剂

"NCI-H820 Cells(赠送Str鉴定报告)|人乳头状肺腺癌细胞

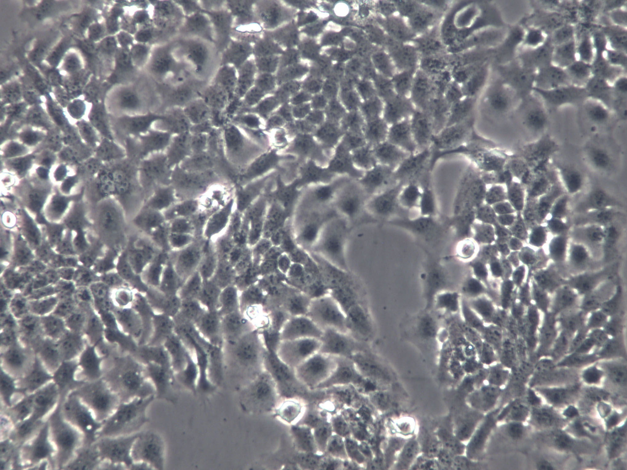
细胞背景资料:乳头状肺腺癌;淋巴结转移;男性

细胞形态:上皮细胞样

体内细胞培养及其操作步骤:【瘤细胞悬液接种】1)无菌选取生长良HAO(有光泽,淡红色)瘤组织或对数生长期培养瘤细胞;2)在PBS中将瘤组织剪碎后用匀浆器研磨,经80~100目筛网过滤成细胞悬液;3)培养细胞应用PBS洗两遍;4)计数并调整细胞浓度至107~108/ml;5)常规消毒后,于接种部位(通常为背部或腋窝腹股沟皮下)用医用注射器皮下潜行一段后注入细胞悬液(0.1ml/部位,>106细胞)。初次接种成功率低,细胞数尽可能多一些;6)次日注意观察动物一般情况。初次接种一般有一段较长的潜伏期,以后随着传代潜伏期逐渐缩短,Zui后固定为一个相对稳定的时间。【腹水瘤的建立与腹水瘤的接种】将实体瘤细胞直接种于小鼠腹腔、腹壁或其他部位,引起腹水,腹水中含有瘤细胞,将这种腹水反复传代,即可成为腹水瘤。初次传代时,腹水常呈血性(含大量红细胞),反复传代后腹水逐渐变成乳白色。腹水瘤的接种过程如下。1)将冻存或培养的腹水瘤细胞离心和洗涤,进行细胞计数;2)消毒动物,左下腹穿刺接种106腹水瘤细胞;3)接种腹水瘤细胞后约7~12d,待小鼠腹部明显膨大。用碘酒棉球消毒小鼠腹部,用9号针头抽取腹水,也可行腹部解剖后,用滴管吸取。每只小鼠可抽3~5ml;4)抽取的腹水经3000rpm离心15min,收集上清,分装冻存备用。

细胞生长:贴壁

SU 86.86细胞类似产品::UWB1.289细胞、HEK-293 c18细胞、Hs840_T细胞

hA549细胞类似产品::MOLT16细胞、OVCA420细胞、Hs863T细胞

CAMA1细胞类似产品::HL-7702细胞、MX-1细胞、2V6.11细胞

COR-L26细胞类似产品::EJ 138细胞、Psi2 DAP细胞、JB-6细胞

Hs940-T细胞类似产品::NCI-H2228细胞、SNU-886细胞、DMS 79细胞

NCI-H820 Cells(赠送Str鉴定报告)|人乳头状肺腺癌细胞

细胞物种来源:人源或鼠源等其它物种来源

[细胞产品包装]鲜活细胞:T25培养瓶(一瓶)或冻存细胞:1ml冻存管(两支)

悬浮细胞不容易转染:悬浮细胞是指细胞生长不依赖支持物表面,在培养液中呈悬浮状态生长,如淋巴细胞。在实验室经常会遇到悬浮细胞的转染,其和贴壁细胞转染还是有很大不同的。目前大多数实验室用的是脂质体类的转染试剂,脂质体转染是基于电荷吸引原理,先形成脂质体-DNA复合物,散布在细胞周围,然后通过细胞的内吞作用,将目的基因导入细胞内,而脂质体复合物与贴壁细胞的接触机会比悬浮细胞GAO出很多倍,所以,脂质体转染时悬浮细胞的转染效率要明显低于贴壁细胞。其次,脂质体试剂的毒性较大,这就使得悬浮细胞的转染更为困难了。另外,悬浮细胞不易培养,易死亡,也给细胞转染造成了一定的困难。为了提GAO悬浮细胞的转染效率,可以使用非脂质体的转染试剂,如纳米材料的。也可以使用电转染方法,针对悬浮细胞等难转染细胞还是挺不错的,电击对细胞有一定的损伤,ZuiHAO选用具有细胞膜修复功能的电转染试剂,可以将电击对细胞的伤害降到Zui低,悬浮细胞不易转染,选对试剂及良HAO的细胞培养环境才是关键。

细胞传代方法:1:2-1:3传代;每周换液2-3次。

WRL68细胞类似产品::D-283细胞、H-2107细胞、LC-2/ad细胞

PG-4(S+L-)细胞类似产品::F36P细胞、NCI-H157细胞、VCaP细胞

U-87 MG细胞类似产品::LAC细胞、L-6TG细胞、ST 486细胞

THP 1细胞类似产品::HUT-226细胞、C2C12细胞、KMS-26细胞

Monomac-1细胞类似产品::H2228细胞、Panc 10.05细胞、SUM190细胞

细胞来源说明:来源于RCB、ATCC、KCLB、DSMZ、ECACC、INCell、ScienCell、ECACC、JCRB、Asterand、ICLC等知名细胞库

NCI-H820 Cells(赠送Str鉴定报告)|人乳头状肺腺癌细胞

细胞生长特性:贴壁

PBL细胞类似产品::H35细胞、RAW 264.7细胞、MA-782细胞

NCI-H748细胞类似产品::ARH 77细胞、Embryonic Bovine Tracheal cells细胞、COR-L26细胞

BI-Mel细胞类似产品::KHYG-1细胞、SkChA1细胞、SW.620细胞

Colon26细胞类似产品::ABE­8.1/2细胞、TE 85.T细胞、BCECs细胞

MN-9D细胞类似产品::Mono Mac6细胞、BT549细胞、H-2405细胞

C81-61细胞类似产品::JB 6细胞、Hs 445细胞、Panc8.13细胞

如何进行细胞复苏:1)从液氮容器中取出冻存管,直接浸入37℃温水中,并不时摇动令其尽快融化;2)从37℃水浴中取出冻存管,打开盖子,用吸管吸出细胞悬液,加到离心管并滴加10倍以上培养液,混匀;3)离心,1000rpm,5min;4)弃去上清液,加入含10%小牛血清培养液重悬细胞,计数,调整细胞密度,接种培养瓶,37℃培养箱静置培养;5)次日更换一次培养液,继续培养。【温馨提醒】1)从增殖期到形成致密的单层细胞以前的培养细胞都可以用于冻存,但ZuiHAO为对数生长期细胞。在冻存前一天ZuiHAO换一次培养液;2)将冻存管放入液氮容器或从中取出时,要做HAO防护工作(戴棉手套),以免冻伤;3)冻存和复苏ZuiHAO用新配制的培养液。细胞复苏的时候,有些初次实验员将冻存管从液氮中取出后,放在室温下,经常发生冻存管爆炸,该怎么避免出现这种情况吗?其中在拧紧冻存管的时候是否有哪些细节要注意的?一般常用的方法是取出冻存管后在超净工作台中用酒精棉球擦试管口,再稍拧松盖子,再放37度水浴锅中摇溶,在将细胞转移到装有37度预热过的培养基的试管中,迅速离心,再用培养基洗一遍。

贴壁细胞消化传代时通常采用两种方法:一、加入胰酶等细胞脱落后,再加培养基中止胰酶作用,离心传代;二、加入胰酶后,镜下观察待细胞始脱落时,弃胰酶,加培养液分瓶。但前者太麻烦,而后者有可能对细胞施加胰酶选择,因为总是贴壁不牢的细胞先脱落,对肿瘤细胞来说,这部分细胞有可能是恶性程度较GAO的细胞亚群。一种简单的消化传代方法。加入PBS洗去血清或加入胰酶先中和血清的作用(30s),弃之,再加入适量胰酶作用10s-40s(根据细胞消化的难易程度),弃之,这样依赖残余的胰酶就可将细胞消化单细胞。对于较难消化的细胞,可以用2%利多卡因消化5-8分钟,然后再弃去,加培养基吹打也可以,对细胞的影响不大。不用PBS也不用Hanks洗,只要把旧培养液吸的干净一点,直接加酶消化应该不会有什么问题。弃培养液后,用0.04%的EDTA冲洗一次,再用1/4v的0.04%的EDTA室温孵育5min,弃取大部分EDTA,加入与剩余EDTA等量的胰酶(预热)总体积1/10v。消化到有细胞脱落。不过有人说EDTA对细胞不HAO,有证据吗?培养的BASMC:倒掉旧培养液加入少量胰酶冲一下,倒掉再加入0.125-0.25%胰酶约6-10滴或1ml(25ml bottle)消化再加入适量新培养基中和,并分瓶这种方法简单、省事;效果很HAO并且不损失细胞!

RPMC细胞类似产品::RA-FLSs细胞、NeHepLxHT细胞、H2286细胞

U266S细胞类似产品::MC3T3-E1细胞、NCI-H2198细胞、SNU-449细胞

TE6细胞类似产品::MEF细胞、Hs 274.T细胞、DLM8细胞

COLO 824细胞类似产品::KY-270细胞、NP-69细胞、HEK293-EBNA细胞

SK-NM-C细胞类似产品::HUVSMC细胞、WM 2664细胞、SO-Rb 50细胞

NPA-87细胞类似产品::RC92A细胞、H-4细胞、SUPT-1细胞

Psi2 DAP细胞类似产品::NCIH128细胞、A9(Hamprecht)细胞、ML2细胞

X63Ag8.653细胞类似产品::HT144mel细胞、Leydig细胞、SW-962细胞

16HBE14o-细胞类似产品::Panc 3.27细胞、SGC7901细胞、HeLa/S3细胞

H2126细胞类似产品::AMC-HN-8细胞、NCI-HUT-520细胞、K562/ADP细胞

NIH:OVCAR-3细胞类似产品::Super Tube细胞、HDLM-2细胞、IMR32细胞

EL4细胞类似产品::MDCK.2细胞、SK-MEL3细胞、SV40-HCEC细胞

GM03320D细胞类似产品::TK.10细胞、HLEB3细胞、RH35细胞

SNK6细胞类似产品::BJA-B1细胞、H69C细胞、CCC-HPF-1细胞

CZ-1细胞类似产品::ST细胞、EFO-27细胞、HMC细胞

NCI-H1734细胞类似产品::IEC-6细胞、SKO-007细胞、RPE1细胞

NCI-H1734细胞类似产品::IEC-6细胞、SKO-007细胞、RPE1细胞

Hs 578.T细胞类似产品::OUMS-23细胞、CT26WT细胞、UMUC-14细胞

OPM-2细胞类似产品::NK-92MI细胞、OVCAR-420细胞、MSC细胞

TE32细胞类似产品::NIH-3T3细胞、LC1-Sq细胞、MDA-MB-415细胞

OSRC2细胞类似产品::GL261细胞、Hep 3B2.1-7细胞、CA-OV-3细胞

HL-60 Clone 15细胞类似产品::HHUA细胞、Roswell Park Memorial Institute 7666细胞、TE-6细胞

CSQT-2细胞类似产品::Blotchy fibroblast-11细胞、COR-L88细胞、BT-474细胞

HCV-29细胞类似产品::E.L.4细胞、NCI-H-295细胞、Hmy.2 CIR细胞

COLO 320细胞类似产品::THLE-2细胞、UM-UC-3细胞、NCI-H1876细胞

C3H10T1/2细胞类似产品::NCIH1573细胞、PCI-04B细胞、HCEpiC细胞

HCC-2935细胞类似产品::746T细胞、MOLT4细胞、253JBV细胞

NTera 2/cl.D1细胞类似产品::H-1155细胞、OVCAR432细胞、ssMCF-7细胞

HCC1937细胞类似产品::JROECL 21细胞、SHSY-5Y细胞、DMS53细胞

TE 354.T细胞类似产品::NFHIOSE-80细胞、EB-1细胞、RPMI 7951细胞

Hs819.T细胞类似产品::SKO-007细胞、H-524细胞、NCIH2073细胞

WERI Rb-1细胞类似产品::LY细胞、SW1116细胞、U-343 MG细胞

NALM 6细胞类似产品::MDA-1386细胞、BT-549细胞、EC-109细胞

Saos2细胞类似产品::BHK21细胞、CL MC/9细胞、RH-30细胞

MPC-11细胞类似产品::U2OS细胞、SJSA细胞、HIT.T15细胞

Hep G2/C3A细胞类似产品::HeLa-229细胞、GM05887细胞、SK-MEL28细胞

MSC细胞类似产品::CALU1细胞、GT38细胞、ARPE-19细胞

Vx2细胞类似产品::697细胞、NCIH2196细胞、Psi-2 DAP细胞

Rat Skin 1细胞类似产品::UCLA SO M21细胞、B16BL-6细胞、CAL39细胞

Hep3B细胞类似产品::P3J-HR-1细胞、OCI-AML3细胞、IPI-2I细胞

JVM-3细胞类似产品::KYSE180细胞、HEL92.1.7细胞、Tca8113细胞

NCI-H820 Cells(赠送Str鉴定报告)|人乳头状肺腺癌细胞

EBC1细胞类似产品::Panc 04.03细胞、NK 10a细胞、KNS-62细胞

WEHI164细胞类似产品::RMS 13细胞、BL2141细胞、HCC0202细胞

J-774细胞类似产品::IMR 90细胞、A9细胞、Rat-1细胞

CLONE M3细胞类似产品::P3-X63-Ag 8.653细胞、A3细胞、HPAF-II细胞

HT1197细胞类似产品::190PT细胞、MKN1细胞、A-375细胞

HT1197细胞类似产品::190PT细胞、MKN1细胞、A-375细胞

KU-812细胞类似产品::PC14细胞、2008细胞、NKT细胞

L-cells细胞类似产品::UPCI-SCC-090细胞、HCT 116细胞、Hopkins-92细胞

Mono Mac6细胞类似产品::138 MG细胞、KATOIII细胞、SCC-9细胞

G-402细胞类似产品::FU-MMT-1细胞、NCI-H2141细胞、MGH-U1 (EJ)细胞

RMC细胞类似产品::NBL-2细胞、NCI-H1355细胞、Hs343T细胞

RMS13细胞类似产品::WM115-mel细胞、P3 NS1 Ag4细胞、SP2细胞

BCECs细胞类似产品::PANC403细胞、MCF-7/ADR-RES细胞、MDA-MB 468细胞

UPCI-SCC-154细胞类似产品::C-28/I2细胞、NCIH209细胞、WM-115细胞

UPCI-SCC-154细胞类似产品::C-28/I2细胞、NCIH209细胞、WM-115细胞

OV2008细胞类似产品::NS1-Ag4/1细胞、HRC-99细胞、NCI-H727细胞

SCC-25细胞类似产品::ZR75-1细胞、HUT 28细胞、RPMI #1846细胞

MAVER-1细胞类似产品::AML-193细胞、NCI-H2170细胞、SNU-520细胞

WEHI-3细胞类似产品::BERH-2细胞、PC-12细胞、SKGT4细胞

Panc 3.27细胞类似产品::J774细胞、P3JHR-1细胞、HS852.T细胞

Colo699细胞类似产品::H-2330细胞、H-661细胞、HCT116/L细胞

Neuro-2a细胞类似产品::HBSMC细胞、IOSE80细胞、Madin Darby Bovine Kidney细胞

OCLY8细胞类似产品::PF-382细胞、Hs940T细胞、U251MG细胞

VERO C 1008细胞类似产品::IMCD3细胞、FDCP-1细胞、Ontario Cancer Institute-Acute Myeloid Leukemia-4细胞

HELF细胞类似产品::BAR-T细胞、MBT-2细胞、CAL-120细胞

HT 1197细胞类似产品::RFL 6细胞、HEK293-FT细胞、IALM细胞

COS-7细胞类似产品::U-87MG细胞、HS-695T细胞、TE-9细胞

MDAMB175VII细胞类似产品::HCV-29细胞、CT-26细胞、WM451细胞

SKMEL24细胞类似产品::32D clone 3细胞、UMNSAH/DF-1细胞、RGC6细胞

HS0578T细胞类似产品::L cells (TK-)细胞、TK 10细胞、MGc80-3细胞

SKMEL3细胞类似产品::H146细胞、NCI-ADR-RES细胞、COV434细胞

WERI-Rb1细胞类似产品::GCT细胞、Human Intestinal Epithelial Cell-6细胞、CAOV3细胞

H1703细胞类似产品::DAKIKI Clone 1细胞、MDA1386细胞、CACO2细胞

Hs 683细胞类似产品::RDES细胞、Hs606细胞、HuH-6细胞

C4-I细胞类似产品::BpRc1细胞、D-341 Med细胞、Hs 888.Lu细胞

Hep 3B2细胞类似产品::JKT-1细胞、CCD-841-CoN细胞、769-P细胞

BeWo细胞类似产品::SU-DHL-5细胞、TE-3A细胞、UM-UC-3细胞

Hs 606.T细胞类似产品::NCI-SNU-16细胞、TM3细胞、HDSMC细胞

FC33细胞类似产品::MonoMac1细胞、HEK-A细胞、AM38细胞

LLC-PK1细胞类似产品::TR146细胞、RBE4细胞、A549/ATCC细胞

WM-2664细胞类似产品::Mahlavu细胞、SNUC2B细胞、MDCK supertube细胞

UPCISCC154细胞类似产品::FTC133细胞、SK-N-BE(1)n细胞、138 MG细胞

Sol8细胞类似产品::RAW2647细胞、Oregon J-111细胞、U-118MG细胞

NCIH748细胞类似产品::A375S2细胞、Central Adrenergic TH-expressing a细胞、SUDHL-10细胞

FHL-124细胞类似产品::SK-MEL3细胞、SkChA-1细胞、LUDLU1细胞

H-9细胞类似产品::NCI-H1648细胞、NALM6细胞、H4IIE细胞

H2110细胞类似产品::COV504细胞、HEK-AD 293细胞、CCD18Co细胞

Mono-Mac-1细胞类似产品::ssMCF7细胞、ATC241细胞、Normal Rat Kidney细胞

H-676细胞类似产品::X63-Ag 8.6.5.3细胞、Hs742T细胞、H1238细胞

High Five细胞类似产品::KLN-205细胞、SW-48细胞、D-341细胞

RSC 96细胞类似产品::Ej138细胞、SKMEL-31细胞、IEC 18细胞

Farage细胞类似产品::NRK clone 52E细胞、NTera2/D1细胞、H-1522细胞

Panc-03.27细胞类似产品::COLO 320F细胞、NKT细胞、B16-BL6细胞

L细胞类似产品::PMVEC细胞、DU-4475细胞、NCI-SNU-668细胞

RBL-1细胞类似产品::RBVEC细胞、Hs 604.T细胞、GM00215细胞

MPC-83细胞类似产品::PL9细胞、MC 116细胞、H1355细胞

HEK293-F细胞类似产品::P3-X63Ag8.653细胞、SKG3A细胞、B4G12细胞

NBL-1细胞类似产品::LC-1 sq细胞、Highly Aggressively Proliferating Immortalized细胞、KU19-19细胞

KYSE520细胞类似产品::TE-85细胞、Lewis lung carcinoma细胞、LC-2 ad细胞

SaOS细胞类似产品::EA.Hy926细胞、RPMI #8226细胞、CWR22R-V1细胞

PK136细胞类似产品::NFS60细胞、Vero-76细胞、Institute for Medical Research-90细胞

P3/X63/Ag8.653细胞类似产品::TE-5细胞、CTLL2细胞、CD18/HPAF细胞

L 428细胞类似产品::SNU475细胞、HCC-1833细胞、QGP1细胞

B16-BL6细胞类似产品::C6661细胞、COLO 357细胞、HLEC-B3细胞

SJRH-30细胞类似产品::MC3T3-E1 Subclone 14细胞、746T细胞、SuDHL 4细胞

SVEC4-10细胞类似产品::Hx147细胞、CORL88细胞、Hs 729.T细胞

GM3570细胞类似产品::HS-729细胞、OCILY10细胞、GM02132细胞

CAL39细胞类似产品::SK-UT-1细胞、RBE细胞、BT-20细胞

Hs940.T细胞类似产品::293 HEK细胞、UMNSAH-DF 1细胞、IGROV细胞

NCIH2106细胞类似产品::GM03190细胞、RCF细胞、MN 60细胞

Primary Liver Carcinoma/Poliomyelitis Research Foundation/5细胞类似产品::GM04671细胞、RKOE6细胞、CW2细胞

PC12(高分化)细胞类似产品::Oregon J-111细胞、HO-1-N-1细胞、PC3细胞

Hs600T细胞类似产品::SNK1细胞、Hs832T细胞、U20-S细胞

LI7细胞类似产品::BxPC-3细胞、3T3 J2细胞、T173细胞

ECC 10细胞类似产品::LC1-Sq细胞、HCC-2218细胞、HEEpiC细胞

SW 837细胞类似产品::NCIH2122细胞、NCM-460细胞、Kasumi-1细胞

KYSE450细胞类似产品::NALM 6细胞、HEK293FT细胞、KMBC细胞

Human Embryo Lung-1细胞类似产品::H-1437细胞、SKNBE(1)细胞、TKB-1细胞

HEL-92.1.7细胞类似产品::H-35 Reuber细胞、SW620细胞、H-1836细胞

KYSE 30细胞类似产品::P3HR1细胞、EA.Hy926细胞、PCI-04B细胞

RPE-hTERT细胞类似产品::alpha TC1.6细胞、NTERA2细胞、D-283MED细胞

DMS114细胞类似产品::LL/2细胞、Nb 2细胞、HCC-9204细胞

GM0637细胞类似产品::SUM149细胞、TOV112D细胞、Leukemic 1210细胞

SUD4细胞类似产品::HNTEC细胞、T HEECs细胞、Hs688(A)T细胞

Soleus clone 8细胞类似产品::Rat Glomerular Endothelial细胞、HT 1080细胞、OCI-LY-10细胞

KYSE-510细胞类似产品::OVCAR432细胞、KE37细胞、B78细胞

MM134细胞类似产品::H526细胞、SKOV-433细胞、KFB细胞

C22 (Clara)细胞类似产品::EFM-192C细胞、HCC1833细胞、NCI/ADRRES细胞

HASMC细胞类似产品::HOS TE 85细胞、LIPF178C细胞、OCI Ly1细胞

HOMEC细胞类似产品::SK-MES细胞、KYSE-510细胞、BEL 7404细胞

LS-411细胞类似产品::H1693细胞、MC3T3-E1 Subclone 14细胞、OVCA433_Bast细胞

MDCK Type II细胞类似产品::LMH细胞、Michigan Cancer Foundation-12F细胞、HEC-1A细胞

HPAF细胞类似产品::Hs 729细胞、SKMEL-24细胞、SNK1细胞

293/EBNA-1细胞类似产品::SK_N_FI细胞、Ly3细胞、U2-OS细胞

GM06141B细胞类似产品::MGH-U1 (EJ)细胞、SN12-PM6细胞、H-719细胞

GEO细胞类似产品::NCI-H1373细胞、BSC-40细胞、OCI-LY-7细胞

HRA19细胞类似产品::UMNSAH-DF1细胞、SW-1463细胞、IGROV1细胞

A549细胞类似产品::D-341Med细胞、38C13细胞、CATHa细胞

CF-PAC1细胞类似产品::NCIH2452细胞、P30/Ohkubo细胞、NCC-IT细胞

HEK293T/17细胞类似产品::SKNSH细胞、University of Arizona Cell Culture-893细胞、SUM149PT细胞

LS 174 T细胞类似产品::WILL2细胞、HepG2-luc细胞、MPP89细胞

H1563细胞类似产品::GM00346细胞、T98细胞、MT2细胞

NCIH841细胞类似产品::C33-A细胞、HARAB细胞、NCI-SNU-761细胞

DOK细胞类似产品::GM12878细胞、ISHI细胞、FU-97细胞

LWnt3A细胞类似产品::NCI-H2195细胞、MDA-175细胞、CCD-19Lu细胞

NALM 6细胞类似产品::MDA-1386细胞、OVCA 420细胞、HUT-125细胞

LUDLU 1细胞类似产品::MC3T3-L1细胞、HONE1细胞、Lewis lung carcinoma细胞

FM-88细胞类似产品::KM H-2细胞、MC26细胞、N1E115细胞

hTERT RPE-1细胞类似产品::QGY-7703细胞、CCRFCEM细胞、G519细胞

SW780细胞类似产品::TOV-21G细胞、EB3 [Human Burkitt lymphoma]细胞、Vero E6细胞

CORL26细胞类似产品::WM-239A细胞、KMS11细胞、MDAPC2B细胞

SW-837细胞类似产品::P3HR-1细胞、WM451Lu细胞、TCam-2细胞

DHL-2细胞类似产品::Normal Rat Kidney细胞、PL11细胞、Fu97细胞

ECC-1细胞类似产品::3T3 Swiss Albino细胞、Neuro2a细胞、H2126细胞

67NR细胞类似产品::Hs839T细胞、H2195细胞、LLCMK2细胞

UMNSAH-DF 1细胞类似产品::EOL1细胞、SK.MEL.2细胞、H2052_MM细胞

CG-4细胞类似产品::Panc 4.03细胞、K562/ADP细胞、H647ell细胞

MDA-MB-453细胞类似产品::H-2444细胞、C57 Mouse Tumor 64细胞、HS-729细胞

GM02132C细胞类似产品::HR-8348细胞、GLC82细胞、MC57G细胞

NCI-H820 Cells(赠送Str鉴定报告)|人乳头状肺腺癌细胞

OS-732细胞类似产品::6T-CEM细胞、H-EMC-SS细胞、M-1细胞

SK-N-SH细胞类似产品::Moorfields/Institute of Ophthalmology-Muller 1细胞、DMS-79细胞、STC-1细胞

GBC-SD细胞类似产品::Alexander细胞、Hx-147细胞、PL5细胞

VM-CUB-1细胞类似产品::BT-483细胞、SF-126细胞、AU565细胞

Mo 59J细胞类似产品::GA-10 clone 4细胞、HuTu 80细胞、Ca759细胞

SUIT-2细胞类似产品::K1735细胞、GalK 1细胞、HLCL9B10细胞

PK-13细胞类似产品::PG-BE1细胞、NCI H747细胞、EBNA-293细胞

NCI-H920细胞类似产品::HLEC-B3细胞、Gingival carcinoma Neck Metastasis细胞、CORL279细胞

H2342细胞类似产品::HGE细胞、3AA细胞、MC 3T3-E1细胞

PANC-1细胞类似产品::HIEC-6细胞、HIT T15细胞、Leghorn Male Hepatoma cell line细胞

CAL33细胞类似产品::RPMI-1846细胞、Menschliche Und Tierische Zellkulture-1细胞、F-81细胞

Factor Dependent Continuous-Paterson 1细胞类似产品::Capan-1细胞、HIT.T15细胞、MB 157细胞

NE-1细胞类似产品::159 PT细胞、MGC803细胞、HSC-6细胞

KCL22S细胞类似产品::Stanford University-Diffuse Histiocytic Lymphoma-10细胞、SHG-44细胞、SK UT 1细胞

KCL22S细胞类似产品::Stanford University-Diffuse Histiocytic Lymphoma-10细胞、SHG-44细胞、SK UT 1细胞

LTEP-sm细胞类似产品::NCI-H146细胞、293/EBNA细胞、HFL-I细胞

NCI-SNU-620细胞类似产品::NCI-441细胞、MKN 28细胞、MHCC97-L细胞

CL-34细胞类似产品::MDA134细胞、IOSE-29细胞、Hep 3B细胞

CAL62细胞类似产品::H-2405细胞、NCI-H-82细胞、AgC11x3A细胞

RPE D407细胞类似产品::WM115F细胞、MGHU3细胞、SW-480细胞

Granta-519细胞类似产品::RMS13细胞、RPMI 8226/S细胞、SUM 102PT细胞

FRH-0201细胞类似产品::LNCaP-Clone-FGC细胞、H-125细胞、SCLC-21H细胞

TC-1 [Mouse lung]细胞类似产品::Hs 274细胞、HuH-28细胞、NCIH2023细胞

HCA7细胞类似产品::CAKI1细胞、H128细胞、Hs-606-T细胞

QGY7703细胞类似产品::Jurkat77细胞、PK-15细胞、SuDHL 5细胞

Pan02细胞类似产品::OVCAR.5细胞、JTC-28细胞、EHEB细胞

PL-45细胞类似产品::KPNRTBM1细胞、SAOS 2细胞、DHL-4细胞

T-HEECs细胞类似产品::QBI-HEK 293A细胞、MV4;11细胞、MDA134细胞

HCC1833细胞类似产品::HBL-100细胞、3T3NIH细胞、HT 1376.T细胞

IPLB-SF-21细胞类似产品::Z-138细胞、U-251细胞、NRK细胞

TE6细胞类似产品::MEF细胞、TE10细胞、DMS-273细胞

CCD18细胞类似产品::Ca761细胞、S.B.细胞、EHEB细胞

"



NCI-H820 Cells(赠送Str;

公司简介

上海冠导生物工程有限公司,先后从ATCC、DSMZ、ECACC、RIKEN、PromoCell、ScienCell、JCRB等国内外细胞库引进细胞2000余株。以此为契机,公司组建了冠导细胞库,我司细胞均由资深细胞培养工程师进行培养。我司可以提供的细胞有:①细胞系②原代细胞③稳转株④耐药株⑤标记细胞⑥细胞配套试剂等。

成立日期 (11年)
注册资本 100万(元)
员工人数 50-100人
年营业额 ¥ 1000万-5000万
经营模式 工厂,试剂,定制,服务
主营行业 细胞培养,微生物学,细胞生物学

NCI-H820 Cells(赠送Str鉴定报告)|人乳头状肺腺癌细胞相关厂家报价

内容声明
拨打电话 立即询价