基本信息 产品详情 公司简介 推荐产品
网站主页 TPC-1 CELLS|人甲状腺癌贴壁细胞 TPC-1 Cells(赠送Str鉴定报告)|人甲状腺癌细胞
  • TPC-1 Cells(赠送Str鉴定报告)|人甲状腺癌细胞

TPC-1 Cells(赠送Str鉴定报告)|人甲状腺癌细胞

TPC-1 Cells
询价 1000000细胞数 起订
2000000细胞数 起订
上海 更新日期:2026-04-23

上海冠导生物工程有限公司

VIP6年
联系人:全经理
电话:18818239863拨打
邮箱:3171921642@qq.com

产品详情:

中文名称:
TPC-1 Cells(赠送Str鉴定报告)|人甲状腺癌细胞
英文名称:
TPC-1 Cells
保存条件:
常温培养或液氮冻存
纯度规格:
TPC-1 Cells(赠送Str鉴定报告)|人甲状腺癌细胞
产品类别:
生物试剂

"TPC-1 Cells(赠送Str鉴定报告)|人甲状腺癌细胞

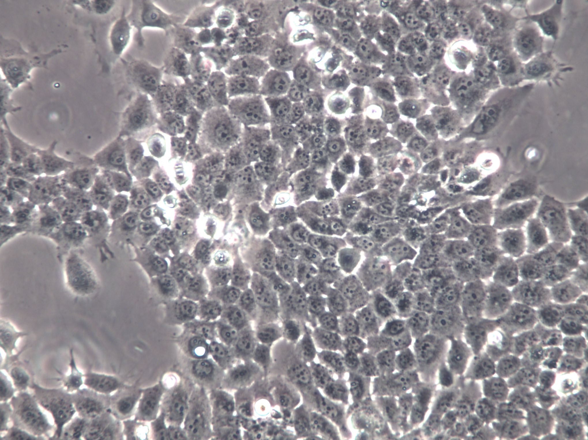
细胞背景资料:甲状腺乳头状癌;女性

细胞形态:上皮细胞样

接收细胞相关问题:如不能在收到细胞后及时操作细胞,T25及离心管发货的细胞将可以消毒后在37度过夜,血清发货的细胞在室温下静置1-2天(注意不要放冰箱),干冰发货的可以在确认干冰未完全升华时将细胞直接放回液氮或者-80度冰箱,若干冰完全升华,请即刻复苏细胞。T25瓶及离心管在培养箱平衡是为了让细胞尽快适应培养箱环境,同时使部分因运输导致脱落的细胞贴壁,此步骤非常必要。T25瓶如果在显微镜下可以看到部分不贴壁的细胞,可以收集上清后离心(1200rpm,5min)后,将沉淀用新的培养基重悬后接种至新的培养瓶或皿中。部分细胞在运输过程中,由于不断震荡及环境不适,可能导致细胞破碎死亡,从而使培养基中漂浮很多细胞碎片及颗粒状物质。这种情况下,平衡后,贴壁细胞用PBS洗两遍再加新的培养基培养或者传代至新瓶中培养即可;悬浮细胞可以离心(1000rpm,3min)收集细胞,并用PBS重悬后再离心一次,再用新的培养基重悬并接种细胞。

细胞生长:贴壁

mouse Inner Medullary Collecting Duct-3细胞类似产品::MC/CAR细胞、HEM-L细胞、HuH6细胞

PANC 1005细胞类似产品::BEP2D细胞、Psi-2-DAP细胞、JVM-3细胞

A2780/Taxol细胞类似产品::RT112细胞、OVMANA细胞、HSC/mHSC细胞

LAN5细胞类似产品::SW 1463细胞、293GP细胞、H295细胞

Detroit-562细胞类似产品::T98细胞、H-35 Reuber细胞、QGP-1细胞

TPC-1 Cells(赠送Str鉴定报告)|人甲状腺癌细胞

细胞物种来源:人源或鼠源等其它物种来源

[细胞产品包装]鲜活细胞:T25培养瓶(一瓶)或冻存细胞:1ml冻存管(两支)

预防细胞污染的注意事项:实验进行前,超净台用紫外灯照射30-60min,然后用75%酒精擦拭超净台台面,并开启超净台风扇运转10min左右再开始实验操作。实验用品用75%酒精擦拭后才能放入超净台内;实验用品用完应移出超净台,以利于气流的流通。实验完成后用75%酒精擦拭超净台台面。每次操作只处理一种细胞;即使不同细胞使用相同的培养基也不要共享同一瓶培养基,避免细胞间的交叉污染。操作时小心取用无菌的物品,避免污染。勿碰触吸管尖头,不小心碰触后应立即更换;不要在打开的容器瓶口正上方操作,容器打开后,倾斜45°操作,操作完成后及时盖上瓶盖。CO2培养箱的清洁是较易被忽视的地方,应1-2个月对培养箱定期进行清洁消毒。先用75%酒精擦拭培养箱内壁、隔板、水盘2-3次,用双蒸水清洗,再用酒精棉球擦拭一遍,后紫外灯照射4h以上。水盘内加入无菌水(应每周更换),待培养箱内温度、湿度、CO2浓度稳定后再放入细胞。定期清洗或更换超净台过滤膜、预滤网。

细胞传代方法:1:2-1:3传代;每周换液2-3次。

RGC-5细胞类似产品::B16F0细胞、Human Epidermoid carcinoma #2细胞、A 72细胞

Panc_03_27细胞类似产品::A2780/Taxol细胞、Strain KB细胞、GP293细胞

CEK细胞类似产品::BEAS 2B细胞、HS 445T细胞、Calu-1细胞

SKNBE(1)细胞类似产品::WERI-Rb 1细胞、HCC-1588细胞、NBL_S细胞

RGC-6细胞类似产品::RPMI7666细胞、RKO-AS45-1细胞、RCC10 RGB细胞

细胞来源说明:来源于RCB、ATCC、KCLB、DSMZ、ECACC、INCell、ScienCell、ECACC、JCRB、Asterand、ICLC等知名细胞库

TPC-1 Cells(赠送Str鉴定报告)|人甲状腺癌细胞

细胞生长特性:贴壁

KYSE0520细胞类似产品::Caki-1细胞、RM-1细胞、S16细胞

HEH2细胞类似产品::Walker/LLC-WRC256细胞、SNU119细胞、Huh-7.5细胞

Gingival carcinoma Neck Metastasis细胞类似产品::NIH/3T3细胞、BV-173细胞、HEK/293细胞

N-Tera-2细胞类似产品::RBL-2H3细胞、IEC 18细胞、PC-3M IE8细胞

MCF.7细胞类似产品::SKNEP1细胞、HCEC细胞、AGS细胞

RSMC细胞类似产品::SU-DH-L5细胞、TKB1细胞、UWB1.289细胞

细胞常规培养传代流程(请严格遵照无菌操作):1)吸出原培养瓶中的培养基,PBS缓冲液润洗细胞两次,加2-3ml 0.25%胰酶进行消化细胞(注意把握消化时间,通常控制在1-2min);2)镜下观察消化情况,在细胞边缘缩小,贴壁松动时(不建议消化到细胞漂浮)去掉胰酶,加6-8ml完全培养基,轻轻吹打细胞层,尽量把细胞层吹落,吹散;3)取部分细胞悬液转移到新的培养皿/瓶中,添加适当的完全培养基,把细胞悬液打匀,于培养箱中培养;4)注意培养基PH值变化情况,定期换液(每周2-3次),待细胞密度达到80%以后重复1项操作或者冻存;别注意:(如使用公共实验室或者初次接触细胞培养,建议添加双抗培养)1)收到细胞后请尽快更换为含15%血清的新鲜培养基,如因殊情况需要继续使用原瓶,请在原瓶培养基中额外添加10%的血清,(原瓶培养基的继续使用时间Zui长不宜超过72小时);2)贴壁细胞收到当天切忌立刻消化,请将细胞换液后放置培养箱孵育到第二天再做消化传代,请YOU先选择直径6cm的培养皿进行传代培养;3)如签收时出现培养瓶壁破裂,漏液等情况请及时做HAO照片记录并联系实验室。

贴壁细胞的消化方法介绍:1、胰酶。这是用得Zui多的。一般浓度在0.25-0.5%。作用时间根据细胞种类、作用温度等因素而变化很大,从几分钟到几十分钟不等。0.25%的胰酶作用于单层贴壁的细胞,在37度条件下,一般消化1-5分钟就足够了。终止是用血清。主要作用于细胞间。配制时不能用含、镁的平衡液,否则影响活性。保存于-20度。2、胶原酶。这种方法比较少,一般是用原代培养时,从组织消化下细胞。这种方法作用温和,对细胞损伤较小,但是,价格也较贵。中止同样是用血清。3、EDTA。用得也是非常多。一般浓度在0.02%左右。作用于细胞与间质,对细胞间也有一定作用。注意,它能显著影响pH值,而且在弱碱性条件下才易溶。因此,配制时应调节HAO酸碱度。它不能被终和。因此,消化下来的细胞要洗一遍。4、商品化的无酶消化液。个人的使用经常觉得对细胞的损伤比较大,但是分离成单细胞悬液的能力确实比较强。5、物理法。直接吹打或用细胞刮子将细胞刮下来。6、冷冻法。此方法仅能用于细胞传代时。无法使组织上的细胞脱落下来。本方法的原理,我想是因细胞冷冻后收缩,从而从培养瓶上脱落下来。YOU点是:对细胞损伤小,不需要中止或洗细胞,方便,不需要另外配制消化液。别适用那些贴壁不是别紧,又别娇气的细胞。不足是细胞常成小片脱落。此种方法曾用于因用其它方法传代导致大量细胞死亡操作的间充质干细胞、DC细胞的培养,效果非常满意。具体过程是:1、用较多的4度的PBS 洗涤一遍细胞(以6孔板为例,加1.5ml/孔),2、再加0.5毫升4度的PBS,静置操作台上,很快细胞就小片脱落,3、轻轻吹打,细胞即完全脱落,4、按一定比例传代。

CaEs17细胞类似产品::X63Ag8-653细胞、SU-DHL-4细胞、B16/BL6细胞

H735细胞类似产品::Hs 934.T细胞、IPLB-Sf21AE细胞、CAL 12细胞

KU812-F细胞类似产品::639V细胞、B35细胞、Pro-5 Lec1.3c细胞

HMEC细胞类似产品::BE(2)-M17细胞、SKGT4细胞、QGP 1细胞

MM96L细胞类似产品::SF-767细胞、DoHH2细胞、IEC18细胞

brain-derived Endothelial cells.3细胞类似产品::NH-6细胞、RPMI 7951细胞、OCI-Ly 3细胞

HOEC细胞类似产品::HT(H9)细胞、GDM1细胞、EA. hy 926细胞

293 H细胞类似产品::RGC5细胞、NCI-H2291细胞、H-125细胞

M.D. Anderson-Prostate Cancer-2b细胞类似产品::1E8-H细胞、H548细胞、Panc-03.27细胞

CEMO-1细胞类似产品::HCC-1395细胞、MADB 106细胞、NUGC-3细胞

TYK-nu细胞类似产品::SEG-1细胞、Mv 1 Lu (NBL-7)细胞、HTSMC细胞

HUVSMC细胞类似产品::H1436细胞、H2081细胞、SKMEL-1细胞

H1373细胞类似产品::Opossum Kidney细胞、SUP-T1细胞、JEKO细胞

Reuber H-35细胞类似产品::STO细胞、Hs940-T细胞、PL 5细胞

MES 13细胞类似产品::MCA38细胞、HLEB-3细胞、SUM 149PT细胞

LuCL4细胞类似产品::CD 18细胞、BC-025细胞、Baby Hamster Kidney 21细胞

NCIH1963细胞类似产品::C1498细胞、NR-8383细胞、ES2细胞

PA I细胞类似产品::GM00637H细胞、P3J.HR1K细胞、EU-2细胞

SCC154细胞类似产品::Plaepi 34细胞、VM-CUB1细胞、BHT101细胞

HUVEC-C[HUVEC]细胞类似产品::N1S1细胞、M-07e细胞、Virginia Mason Research Center-Lung Cancer D细胞

SK-MEL-2-LUC细胞类似产品::VE细胞、CORL105细胞、B16-F10细胞

U343MG细胞类似产品::JM-Jurkat细胞、RPMI 1788细胞、U87-MG细胞

MCA 205细胞类似产品::SW 1417细胞、Vero-E6细胞、SCL1细胞

BEL-7405细胞类似产品::H-1793细胞、OSKM-1细胞、Kit225/K6细胞

HSF细胞类似产品::C3H10T1/2 clone8细胞、MGECs细胞、NCIH2106细胞

A-204细胞类似产品::COLO 205细胞、P31/FUJ细胞、NCI H345细胞

GM03671C细胞类似产品::JTC-28细胞、MCF7ADR细胞、U-118 MG细胞

HEK-293A细胞类似产品::ECV-304细胞、U-373 MG细胞、KPL-4细胞

SUM-190PT细胞类似产品::SK-N-F1细胞、Calu-1细胞、CWR22-R1细胞

KTA-7细胞类似产品::Y3-Ag 1.2.3细胞、Colon-38细胞、HOS细胞

UPCI-SCC-90细胞类似产品::OCI AML4细胞、SU-DHL-10细胞、HCCC-9810细胞

L-WRN细胞类似产品::LC-1细胞、NCIH1836细胞、CW-2细胞

PK(15)细胞类似产品::SW403细胞、T/G HA-VSMC细胞、BGC823细胞

QGY7701细胞类似产品::U343细胞、CX1细胞、AM细胞

P3-X63-Ag8细胞类似产品::Colo-678细胞、Sp2/mIL-6细胞、HEY A8细胞

SNU-668细胞类似产品::Mac-1细胞、EU-4细胞、NCI-H660细胞

HCC1008细胞类似产品::HCC1588细胞、REC细胞、SNU-16细胞

Panc 4.03细胞类似产品::WEHI-3细胞、RTE细胞、NCI-H2452细胞

Colon 38细胞类似产品::SKMEL-31细胞、Ls-174-T细胞、SkMel31细胞

MUG-Chor1细胞类似产品::Mv1.Lu细胞、L细胞、SW 1783细胞

Hs 445细胞类似产品::OP9细胞、TK.10细胞、H-1963细胞

TPC-1 Cells(赠送Str鉴定报告)|人甲状腺癌细胞

3T3-A31细胞类似产品::RBE细胞、Sun Yat-sen university Ophtalmic center-Retinoblastoma 50细胞、SupB15WT细胞

SNG-M细胞类似产品::SKMEL5细胞、OVCA432细胞、CCC-HIE-2细胞

PBL细胞类似产品::H35细胞、RAW 264.7细胞、MA-782细胞

BL-6细胞类似产品::CAL62细胞、Hs729细胞、HemECs细胞

H1944细胞类似产品::Giant Cell Tumor细胞、HFF1细胞、8505C细胞

H1944细胞类似产品::Giant Cell Tumor细胞、HFF1细胞、8505C细胞

OKT 3细胞类似产品::SNU-638细胞、ROS17/2.8细胞、SK-N-BE(2)-M17细胞

HPAF-2细胞类似产品::L Wnt-3A细胞、NCI-H2107细胞、HMC3细胞

ZR-75-30细胞类似产品::EBC-1/original细胞、SiHa细胞、EAC-E2G8细胞

Porcine Kidney-15细胞类似产品::PLA801C细胞、LS-1034细胞、8305C_1细胞

COR-L88细胞类似产品::FLC-7细胞、JCA1细胞、H-1385细胞

TNC-1B12B4细胞类似产品::Pa18C细胞、G-402细胞、U373MG细胞

KG1细胞类似产品::BE2M17细胞、U-87MG ATCC细胞、Hs 766T细胞

MDAMB453细胞类似产品::MDA-MB-436细胞、H-1651细胞、SK-ML2细胞

MDAMB453细胞类似产品::MDA-MB-436细胞、H-1651细胞、SK-ML2细胞

PBMC细胞类似产品::kms 11细胞、LLC-MK-2细胞、526-mel细胞

mouse Inner Medullary Collecting Duct-3细胞类似产品::MC/CAR细胞、HEM-L细胞、HuH6细胞

Kit 225 K6细胞类似产品::H-1385细胞、251 MG细胞、VMM5细胞

TE-12细胞类似产品::SKNBE细胞、U2-OS细胞、SuDHL 1细胞

COLO 394细胞类似产品::HRPEpiC细胞、NPC-TW-039细胞、MHCC 97-L细胞

JHH7细胞类似产品::TE354.T细胞、GM03190细胞、WERI-Rb-1细胞

LYR细胞类似产品::SU-DHL6细胞、XuanWei Lung Cancer-05细胞、HSC6细胞

639V细胞类似产品::Hs695T细胞、OPM2细胞、SUDHL-4细胞

HRVEC细胞类似产品::CCK-81细胞、COLO_320DM细胞、L-6细胞

COLO-205细胞类似产品::NCI-H1105细胞、COV 434细胞、NMCG-1细胞

AM细胞类似产品::HFLS-RA细胞、GLC-15细胞、HO1N1细胞

MKN 7细胞类似产品::MCAEC细胞、COR-L279细胞、JEG-3细胞

SUP-M2细胞类似产品::SW1271细胞、D283MED细胞、Baby Hamster Kidney-21细胞

JVM2细胞类似产品::YES-2细胞、MES-SA/Dx-5细胞、SKHEP1细胞

SW-403细胞类似产品::TF-1a细胞、HSC5细胞、Lewis-Lung细胞

HepG2细胞类似产品::Centre Antoine Lacassagne-148细胞、Primary Liver Carcinoma/Poliomyelitis Research Foundation/5细胞、JKT1细胞

SUM149细胞类似产品::KBM7细胞、PA317细胞、SP-2/0-AG14细胞

MFE296细胞类似产品::SU-DHL1细胞、CCD-841CoTr细胞、HBL1细胞

STO细胞类似产品::NCIH1092细胞、WEHI3B细胞、H-146细胞

CA46细胞类似产品::H-69细胞、C22 (Clara)细胞、Kasumi-6细胞

OVCA433细胞类似产品::EC-9706细胞、JCA-1细胞、NCI-H2029细胞

AM38细胞类似产品::RPMI8226/S细胞、VMRCLCD细胞、Co 205细胞

Human podocyte细胞类似产品::L(TK-)细胞、ECC12细胞、Daoy细胞

Caki2细胞类似产品::BE2C细胞、OKT 3细胞、CAL-78细胞

MESSA/Dx5细胞类似产品::KM12-SM细胞、HLEC-B3细胞、MEG01细胞

GM00346细胞类似产品::Ontario Cancer Institute-Acute Myeloid Leukemia-3细胞、BT474细胞、HFL-1细胞

NCIH446细胞类似产品::Medical University of Graz-Chordoma 1细胞、Ketr3细胞、HRA 19细胞

RSMC细胞类似产品::SU-DH-L5细胞、TKB1细胞、UWB1.289细胞

293-FT细胞类似产品::P3-NS1/1Ag 4.1细胞、H-2066细胞、LADMAC细胞

NP-69细胞类似产品::H-4-II-E细胞、Huh7.5细胞、NCIH1105细胞

SNU119细胞类似产品::MDA1386细胞、MUTZ-3细胞、CL1-0细胞

Nittby-Salford 1细胞类似产品::FAK+/+细胞、H-1522细胞、Dx5细胞

Mouse Colon 38细胞类似产品::KTC1细胞、SNU-484细胞、MDA-231细胞

NT2细胞类似产品::T1-73细胞、C 643细胞、NFHIOSE-80细胞

P3J-HR-1细胞类似产品::HFF1细胞、HIEC6细胞、MCF7-GFP细胞

COLO-679细胞类似产品::TE-6细胞、H283细胞、3T3-442A细胞

NCI-H1385细胞类似产品::TCCSUP细胞、H1703细胞、LYR细胞

Mia PACA 2细胞类似产品::U118细胞、Ramos 1细胞、GM06141B细胞

JVM3细胞类似产品::NCI-SNU-761细胞、MDA-MB-231细胞、SH-SY5Y细胞

JVM3细胞类似产品::NCI-SNU-761细胞、MDA-MB-231细胞、SH-SY5Y细胞

Hs 294T细胞类似产品::NTERA-2 clone D1细胞、OVCAR.5细胞、CHL细胞

TMK1细胞类似产品::HMEC细胞、NCIH1819细胞、RSC-96细胞

AMC-HN8细胞类似产品::Hs746T细胞、LTEP-a-2细胞、PC3M细胞

H1648细胞类似产品::HFSF细胞、Wills Eye Research Institute-Retinoblastoma-1细胞、HBE细胞

SUM-190细胞类似产品::NCI-H1355细胞、FL62891细胞、Oka-C1细胞

P3-X63-Ag 8.653细胞类似产品::NCIH1618细胞、NBLS细胞、TGW细胞

RM1细胞类似产品::NCIH208细胞、RAMSCs细胞、CFPAC-1细胞

M.D. Anderson-Prostate Cancer-2b细胞类似产品::1E8-H细胞、H548细胞、Panc-03.27细胞

H-2073细胞类似产品::Sf21细胞、KMB17细胞、Huh-7细胞

HGBEC细胞类似产品::BEAS-2B细胞、MGH-U1 (EJ)细胞、LNCaP C4-2B细胞

IOSE-Mar细胞类似产品::4T1-A细胞、GM02132细胞、SEG1细胞

NCIH2227细胞类似产品::OK细胞、RCC-JF细胞、HMrSV5细胞

H-4-II-E细胞类似产品::8505C细胞、SNUC2A细胞、U-373-MG细胞

Large Cell Lung Cancer-103H细胞类似产品::WPMY-1细胞、A2780CP细胞、NCI-SNU-423细胞

MM.1S细胞类似产品::HCC-1419细胞、C-4I细胞、F36P细胞

M-O7e细胞类似产品::HCE-T细胞、EFO27细胞、NCIH548细胞

NCI-H345细胞类似产品::MOVAS-1细胞、MAC1细胞、K-1735细胞

NCI-H2452细胞类似产品::SKMEL28细胞、L1210细胞、SCC-4细胞

RMS 13细胞类似产品::NCI-H1793细胞、EBC1细胞、LC-1Sq细胞

KP-N-NS细胞类似产品::CV 1细胞、NTERA-2cl.D1细胞、OVCAR420细胞

Walker256-TC细胞类似产品::WM239细胞、SW-954细胞、HN4细胞

LM(TK-)细胞类似产品::HCC0015细胞、373 MG细胞、B/C3T3细胞

SUP T1细胞类似产品::BT-325细胞、MT-2细胞、SKNF1细胞

BALB/3T3 (clone A31)细胞类似产品::OVCAR5细胞、MUTZ3细胞、BNL CL2细胞

CAL148细胞类似产品::Hs895T细胞、QG-56细胞、SKOV-433细胞

Human Fetal Thymocyte-8810细胞类似产品::HCC-1569细胞、H-69细胞、KATO III细胞

Murine Lung Epithelial-12细胞类似产品::OCI-LY-10细胞、JEG3细胞、HBVP细胞

KMS26细胞类似产品::Kuramochi细胞、NCI-441细胞、3T3 Swiss Albino细胞

E304细胞类似产品::SR-786细胞、3LL细胞、U138细胞

ABC1细胞类似产品::Hs-852-T细胞、Sci-1细胞、R1800[RA]细胞

NCIH1694细胞类似产品::GC1-SPG细胞、S3-HeLa细胞、Hs 636 T细胞

QGP1细胞类似产品::NCI-H220细胞、MT-2J细胞、LS-180细胞

MDA-MB436细胞类似产品::LA-795细胞、X63Ag8.653细胞、Colon 38细胞

Asian Medical Center-Head and Neck cancer-8细胞类似产品::L 540细胞、RMC细胞、P3-X63-Ag8-653细胞

Asian Medical Center-Head and Neck cancer-8细胞类似产品::L 540细胞、RMC细胞、P3-X63-Ag8-653细胞

Hs1.Tes细胞类似产品::hCMEC/D3细胞、UT7细胞、RPTEC/TERT 1细胞

SV40-MES13细胞类似产品::KRC Y细胞、G519细胞、149 PT细胞

CHP-100细胞类似产品::PC9细胞、CAL-33细胞、HPDE6c7细胞

QGP-1细胞类似产品::BALB 3T3 clone A31细胞、HSC-1细胞、JB6 Cl 30细胞

RPMI No. 1846细胞类似产品::NCI-H2081细胞、MDA-MB-231 #4175细胞、SK-OV-3细胞

Baby Hamster Kidney-21细胞类似产品::UMC-11细胞、SW527细胞、HCC4006细胞

C127细胞类似产品::M 1细胞、PTK 1细胞、TE6细胞

KYSE450细胞类似产品::NALM 6细胞、HEK293FT细胞、KMBC细胞

A-1847细胞类似产品::SL-29细胞、HuTu-80细胞、6-T CEM细胞

HS-940-T细胞类似产品::Hs940-T细胞、WILL-2细胞、HSF2细胞

Hs 746.T细胞类似产品::SK_N_BE2C细胞、U87 MG细胞、Pt K2 (NBL-5)细胞

870细胞类似产品::H1650细胞、BTI-Tn5B14细胞、EFO 27细胞

IM9细胞类似产品::Chang Cells细胞、W256细胞、FTC133细胞

Rh30细胞类似产品::HT 115细胞、NOK细胞、H2228细胞

RC-2细胞类似产品::HR-1细胞、Lu-65细胞、C-32细胞

PK(15)细胞类似产品::SW403细胞、TPC1细胞、Colo699细胞

bEND.3细胞类似产品::SW 1990细胞、L细胞、SNT8细胞

Verda reno细胞类似产品::Roswell Park Memorial Institute 1788细胞、H9c2(2-1)细胞、KG1A细胞

H1355细胞类似产品::NBL-3细胞、SN-12C细胞、NCI-H250细胞

A 2780 CP细胞类似产品::SW-620细胞、SKNBE-1细胞、NCI-H1838细胞

MFE 280细胞类似产品::C57 Mouse Tumor 64细胞、SK ES 01细胞、HCC-1833细胞

A-375SM细胞类似产品::HCa/16A3-F细胞、NCIH1355细胞、NR8383细胞

675T细胞类似产品::L-428细胞、VM-CUB-I细胞、FRTL 5细胞

CT26.WT细胞类似产品::NCIH1341细胞、SCC-25细胞、SN-12C细胞

HOS TE85细胞类似产品::Clone M-3细胞、MDA-1386细胞、Pro-Lec1.3C细胞

NCI-BL2141细胞类似产品::UO31细胞、H3255_DA细胞、HO8910/PM细胞

MEC-1细胞类似产品::HPAF-I细胞、HCC-2935细胞、NCI-H889细胞

BT20细胞类似产品::OV-90细胞、MDAMB361细胞、PANC-04-03细胞

HTh-74细胞类似产品::Mel-MeWo细胞、HSC-I细胞、YD-15细胞

TPC-1 Cells(赠送Str鉴定报告)|人甲状腺癌细胞

HCCLM6细胞类似产品::LM3细胞、639 V细胞、Capan 2细胞

H1755细胞类似产品::Panc_04_03细胞、ME180细胞、MDAPCa-2b细胞

Mel-RM细胞类似产品::MDAMB436细胞、DR2R1610细胞、SCC 4细胞

SSP-25细胞类似产品::NIH 3T3细胞、MDCK细胞、MCF10-A细胞

Human Corneal Epithelial cells-Transformed细胞类似产品::NCIH1755细胞、NCI H69细胞、WEHI-3B细胞

MUVEC细胞类似产品::SCC-25细胞、MOLT-3细胞、SNB19细胞

OAW42细胞类似产品::EAC细胞、M210B4细胞、MDA-MB-175-VII细胞

Ontario Cancer Institute-Acute Myeloid Leukemia-4细胞类似产品::Hs 294T细胞、U-118MG细胞、HNE-1细胞

UK Pan-1细胞类似产品::HPMEC细胞、DAN-G细胞、RBE4细胞

HUC-1细胞类似产品::NCI-H187细胞、Astrocyte type I clone细胞、TE-12细胞

PT67细胞类似产品::CWR22Rv1细胞、OCILY3细胞、CCD841CoN细胞

RBE细胞类似产品::IGROV-1细胞、HEK 293 c18细胞、NS1-Ag4/1细胞

SUM-102细胞类似产品::H-1651细胞、NRK 49F细胞、SKN-AS细胞

IMR32细胞类似产品::Tu686细胞、TE8细胞、266 Bl细胞

OCI-Ly 19细胞类似产品::SK-HEP-1细胞、UCLA RO-81-A-1细胞、J 82细胞

KBM-7细胞类似产品::KY-50细胞、GS-9L细胞、SK-N-MC细胞

253J细胞类似产品::GM3569细胞、Mouse Podocyte Clone-5细胞、RT4P细胞

PC2细胞类似产品::Nb2细胞、HOP92细胞、HLEB3细胞

H-920细胞类似产品::JVM3细胞、SNU475细胞、NCIH2052细胞

MLOY4细胞类似产品::PC615.3细胞、GM346细胞、GM00346细胞

U-251MG细胞类似产品::SW1116细胞、EC-GI-10细胞、P 3 HR 1细胞

U-251MG细胞类似产品::SW1116细胞、EC-GI-10细胞、P 3 HR 1细胞

hEEC细胞类似产品::Pa017C细胞、A-2780细胞、MM.1S细胞

NCI-H740细胞类似产品::LA-N-6细胞、AM细胞、Panc_08_13细胞

HSC2细胞类似产品::HUT125细胞、HEC251细胞、NKM-1细胞

A9细胞类似产品::NCIH1688细胞、H-1573细胞、A-10细胞

H-920细胞类似产品::JVM3细胞、SNU475细胞、NCIH2052细胞

HN6细胞类似产品::HPB-ALL细胞、NOZ细胞、MOPC细胞

OK细胞类似产品::Y3-Ag123细胞、RERF-LCMS细胞、OCIAML3细胞

Jurkat-FHCRC细胞类似产品::SNK-1细胞、SKMEL-24细胞、NCCIT细胞

Ku812F细胞类似产品::159PT细胞、HOP-92细胞、U-373-MG细胞

CEM-C7细胞类似产品::87MG细胞、95-D细胞、PANC0327细胞

"



TPC-1 Cells(赠送Str鉴定报;

公司简介

上海冠导生物工程有限公司,先后从ATCC、DSMZ、ECACC、RIKEN、PromoCell、ScienCell、JCRB等国内外细胞库引进细胞2000余株。以此为契机,公司组建了冠导细胞库,我司细胞均由资深细胞培养工程师进行培养。我司可以提供的细胞有:①细胞系②原代细胞③稳转株④耐药株⑤标记细胞⑥细胞配套试剂等。

成立日期 (11年)
注册资本 100万(元)
员工人数 50-100人
年营业额 ¥ 1000万-5000万
经营模式 工厂,试剂,定制,服务
主营行业 细胞培养,微生物学,细胞生物学

TPC-1 Cells(赠送Str鉴定报告)|人甲状腺癌细胞相关厂家报价

内容声明
拨打电话 立即询价