基本信息 产品详情 公司简介 推荐产品
网站主页 化工产品目录 生物 细胞培养 细胞系 小鼠细胞系 MC/9 CELLS|小鼠肥大贴壁细胞 MC/9 Cells(赠送Str鉴定报告)|小鼠肥大细胞
  • MC/9 Cells(赠送Str鉴定报告)|小鼠肥大细胞

MC/9 Cells(赠送Str鉴定报告)|小鼠肥大细胞

MC/9 Cells
询价 1000000细胞数 起订
2000000细胞数 起订
上海 更新日期:2026-04-25

上海冠导生物工程有限公司

VIP6年
联系人:全经理
电话:18818239863拨打
邮箱:3171921642@qq.com

产品详情:

中文名称:
MC/9 Cells(赠送Str鉴定报告)|小鼠肥大细胞
英文名称:
MC/9 Cells
保存条件:
常温培养或液氮冻存
纯度规格:
MC/9 Cells(赠送Str鉴定报告)|小鼠肥大细胞
产品类别:
生物试剂

"MC/9 Cells(赠送Str鉴定报告)|小鼠肥大细胞

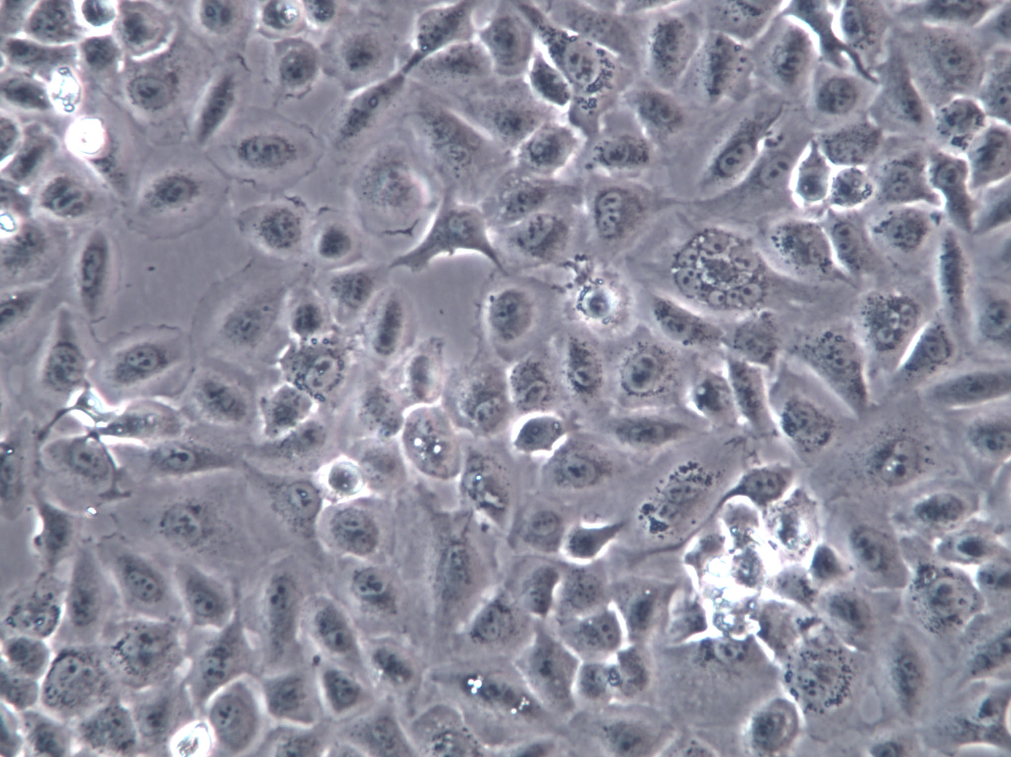
细胞背景资料:肥大细胞;C57BL/6 x A/J

细胞形态:上皮细胞样

接收细胞相关问题:如不能在收到细胞后及时操作细胞,T25及离心管发货的细胞将可以消毒后在37度过夜,血清发货的细胞在室温下静置1-2天(注意不要放冰箱),干冰发货的可以在确认干冰未完全升华时将细胞直接放回液氮或者-80度冰箱,若干冰完全升华,请即刻复苏细胞。T25瓶及离心管在培养箱平衡是为了让细胞尽快适应培养箱环境,同时使部分因运输导致脱落的细胞贴壁,此步骤非常必要。T25瓶如果在显微镜下可以看到部分不贴壁的细胞,可以收集上清后离心(1200rpm,5min)后,将沉淀用新的培养基重悬后接种至新的培养瓶或皿中。部分细胞在运输过程中,由于不断震荡及环境不适,可能导致细胞破碎死亡,从而使培养基中漂浮很多细胞碎片及颗粒状物质。这种情况下,平衡后,贴壁细胞用PBS洗两遍再加新的培养基培养或者传代至新瓶中培养即可;悬浮细胞可以离心(1000rpm,3min)收集细胞,并用PBS重悬后再离心一次,再用新的培养基重悬并接种细胞。

细胞生长:贴壁

HS578T细胞类似产品::MDA-468细胞、EAhy 926细胞、LA-N-6(OAN)细胞

SW-13细胞类似产品::B35细胞、RH35细胞、MCF-7B细胞

HEC-1-B细胞类似产品::QBC939细胞、BrCL15细胞、KP-4细胞

BMSCs(mBMSCs)细胞类似产品::U-2OS细胞、Cloudman S91 melanoma细胞、BALB/3T3 (clone A31)细胞

HM1900细胞类似产品::Hs 636.T细胞、RFL6细胞、Immortal Pig Intestinal-2I细胞

MC/9 Cells(赠送Str鉴定报告)|小鼠肥大细胞

细胞物种来源:人源或鼠源等其它物种来源

[细胞产品包装]鲜活细胞:T25培养瓶(一瓶)或冻存细胞:1ml冻存管(两支)

悬浮细胞不容易转染:悬浮细胞是指细胞生长不依赖支持物表面,在培养液中呈悬浮状态生长,如淋巴细胞。在实验室经常会遇到悬浮细胞的转染,其和贴壁细胞转染还是有很大不同的。目前大多数实验室用的是脂质体类的转染试剂,脂质体转染是基于电荷吸引原理,先形成脂质体-DNA复合物,散布在细胞周围,然后通过细胞的内吞作用,将目的基因导入细胞内,而脂质体复合物与贴壁细胞的接触机会比悬浮细胞GAO出很多倍,所以,脂质体转染时悬浮细胞的转染效率要明显低于贴壁细胞。其次,脂质体试剂的毒性较大,这就使得悬浮细胞的转染更为困难了。另外,悬浮细胞不易培养,易死亡,也给细胞转染造成了一定的困难。为了提GAO悬浮细胞的转染效率,可以使用非脂质体的转染试剂,如纳米材料的。也可以使用电转染方法,针对悬浮细胞等难转染细胞还是挺不错的,电击对细胞有一定的损伤,ZuiHAO选用具有细胞膜修复功能的电转染试剂,可以将电击对细胞的伤害降到Zui低,悬浮细胞不易转染,选对试剂及良HAO的细胞培养环境才是关键。

细胞传代方法:1:2-1:3传代;每周换液2-3次。

HOP 62细胞类似产品::SNU886细胞、NCI-SNU-16细胞、H-1105细胞

FHs74 Int细胞类似产品::HRC-99细胞、Med 283细胞、LO2细胞

SRS-82细胞类似产品::BIC-1细胞、MDA-MB415细胞、UMNSAH-DF-1细胞

J-82细胞类似产品::293EBNA细胞、MDA-175细胞、NCI-H2172细胞

MDA-415细胞类似产品::HUVEC细胞、Mouse INsulinoma 6细胞、C22 (Clara)细胞

细胞来源说明:来源于RCB、ATCC、KCLB、DSMZ、ECACC、INCell、ScienCell、ECACC、JCRB、Asterand、ICLC等知名细胞库

MC/9 Cells(赠送Str鉴定报告)|小鼠肥大细胞

细胞生长特性:悬浮

MMQ细胞类似产品::Potorous tridactylus Kidney 2细胞、PANC0504细胞、EBTr (NBL-4)细胞

RMS 1598细胞类似产品::PC 61.5.3细胞、JJN-3细胞、NCIH1693细胞

MRC5细胞类似产品::SKNBE-1细胞、DSL6A/C1细胞、PCI-4B细胞

OVSAHO细胞类似产品::WM-266-mel细胞、Hs683T细胞、UWB1.289+BRCA1细胞

SW-403细胞类似产品::TF-1a细胞、HSC5细胞、Lewis-Lung细胞

MKN28细胞类似产品::TOV112细胞、D324细胞、SKLU1细胞

购买的细胞死亡或细胞存活率不佳可能原因?研究人员在细胞培养时出现存活率不佳,原因比较复杂,常见原因可归纳为:培养基使用错误或培养基品质不佳;血清使用错误或血清的品质不佳;解冻过程错误;冷冻细胞解冻后,加以洗涤细胞和离心;悬浑细胞误认为死细胞;培养温度使用错误;细胞置于-80℃太久等。建议严格参照ATCC的标准操作规程进行细胞复苏、冻存等工作。欲将一般动物细胞离心下来,其离心速率应为多少转速?欲回收动物细胞,其离心速率一般为300×g(约1OOOrpm),5-10分钟,转速过GAO或离心时间过长都将造成细胞死亡。合适的离心转速是根据相对离心力决定。RCF=1.119×105×r×(rpm)2,其中r为离心机转轴中心与离心套管底部内壁的距离;rpm为离心机每分钟的转数;RCF(relative centrifugal force)为相对离心力,以重力加速度g(980.66cm/s2)的倍数来表示单位。

细胞培养无菌操作步骤和注意事项:1.打开无菌工作台及净化室的紫外灯,消毒半小时以上。2.进入净化室前先关闭紫外灯,打开超净台风机,等待30min以上,以排尽臭氧。3.穿HAO隔离衣,戴HAO口罩,帽子。4.风淋2分钟。5.0.1%水泡手,擦干。6.点燃酒精灯;超净台内应避免放入过多的物品;使用的吸管,滴管,试管,培养瓶等均事先灭菌。7.打开各类瓶盖前先过火,以固定灰尘;打开的瓶口、试管口过火焰,镊子使用前应经火焰烧灼。8.水平式风机的超净台,应使瓶口斜置,应尽量避免瓶口敞开直立。9.同一根吸管或滴管不应连续用于几个不同的细胞系;吸取培养基的吸管应离开培养瓶或试管口0.5cm,避免伸入培养瓶口或试管口;以防止细胞系的互相混杂污染。10.漏在培养瓶上或台上的液体,立即用酒精棉球擦净。11.操作完毕后恢复工作台面。

HPASMC细胞类似产品::SW780细胞、Hs-600-T细胞、PAMC82细胞

X63-Ag 8.6.5.3细胞类似产品::MX1细胞、FRH-0201细胞、H-1581细胞

HuCC-T1细胞类似产品::HOP 62细胞、P3HR1-BL细胞、H-209细胞

OCI-Ly 3细胞类似产品::32Dc3细胞、LA 4细胞、SR-786细胞

COR-L23细胞类似产品::CF Pac1细胞、J774A1细胞、NFS 60细胞

HT-1376细胞类似产品::SUSM1细胞、NCI-H716细胞、KBM7细胞

H865细胞类似产品::HEK 293FT细胞、B16F0细胞、R-1059-D细胞

SK-NM-C细胞类似产品::HUVSMC细胞、WM 2664细胞、SO-Rb 50细胞

CEM-C1细胞类似产品::Reuber H35细胞、AG06814-J细胞、Hs 729细胞

P31/FUJ细胞类似产品::SNUC2A细胞、NFS-60细胞、MIA-Pa-Ca-2细胞

746T细胞类似产品::MNNG-HOS (Cl#5)细胞、PC3M-2B4细胞、VM-CUB1细胞

Bac 1.2F5细胞类似产品::130-T细胞、K422细胞、NTERA-2cl.D1细胞

L-Wnt-3A细胞类似产品::MC3T3-E细胞、A-172细胞、RPMI-1788细胞

H847细胞类似产品::FRO细胞、Huh 7.5.1细胞、PE/CA-PJ34 (clone C12)细胞

NTERA2-D1细胞类似产品::TGBC11TKB细胞、H378细胞、BT-549细胞

UMC-11细胞类似产品::Human Embryo Kidney-2细胞、TSCCa细胞、SNU-620细胞

UMC-11细胞类似产品::Human Embryo Kidney-2细胞、TSCCa细胞、SNU-620细胞

NCIH2081细胞类似产品::74Int细胞、HPAFII细胞、Homo sapiens No. 578, breast cells细胞

HCC1806细胞类似产品::OVCA420细胞、GM03569细胞、COV-434细胞

NCI-H660细胞类似产品::SK-MEL5细胞、GM03573细胞、LS 1034细胞

HCC1569细胞类似产品::MC57细胞、UPCI-SCC-154细胞、SU86-86细胞

Mouse Colon 38细胞类似产品::KTC1细胞、SNU-484细胞、MDA-231细胞

Vero细胞类似产品::H3255细胞、A-375SM细胞、32D.3细胞

ECC 12细胞类似产品::GC-2细胞、J774细胞、3T3 J2细胞

SW-1353细胞类似产品::AZ521细胞、NCIH146细胞、C42细胞

NCI-H2029细胞类似产品::Ku812细胞、P30 OHK细胞、SK-NEP-1细胞

X63-Ag8细胞类似产品::H187细胞、SW 1783细胞、H1930细胞

L-428细胞类似产品::NBLS细胞、SKGIIIA细胞、SNU-638细胞

C32 [Human melanoma]细胞类似产品::T/GHA-VSMC细胞、WC00097细胞、SCC-15细胞

Tadarida brasiliensis 1 lung细胞类似产品::JCA-1细胞、SCC15细胞、P30/OHK细胞

FHs74Int细胞类似产品::D341细胞、KP-N-RT-BM细胞、CAL85-1细胞

SCaBER细胞类似产品::QGY7703细胞、RGC6细胞、L 428细胞

CAL-148细胞类似产品::253J-Bladder-V细胞、T-47-D细胞、COLO680N细胞

SW 620细胞类似产品::H-650细胞、SKMEL2细胞、Hs695细胞

H2330细胞类似产品::MeT-5A细胞、OEC19细胞、hTERTHME1细胞

NCIH820细胞类似产品::HBE细胞、SNU-668细胞、SKBr3细胞

SW1353细胞类似产品::GP293细胞、L5178Y细胞、CAL-51细胞

BC-019细胞类似产品::OVCAR 8细胞、VMRC-RCZ细胞、Jurkat细胞

MES-SA细胞类似产品::MCF-12A细胞、SUNE 1细胞、6-10B细胞

GA-10 (Clone 4)细胞类似产品::JM细胞、CEM细胞、KMY1022细胞

MDA-MB-175VII细胞类似产品::H-2108细胞、SF767细胞、BNL-HCC细胞

MC/9 Cells(赠送Str鉴定报告)|小鼠肥大细胞

LA4细胞类似产品::293/EBNA-1细胞、NS1细胞、T HEECs细胞

NCIH345细胞类似产品::COLO 738细胞、MT4细胞、Jurkat clone A3细胞

Madison lung细胞类似产品::WEHI-279细胞、CFPAC-1细胞、K 562细胞

SNU886细胞类似产品::Huh 7.5细胞、SNU-719细胞、Hu-P-T3细胞

H-548细胞类似产品::HHL-5细胞、BMSC/hBMSCs细胞、HR8348细胞

PTK 2细胞类似产品::COLO 699细胞、NS1-Ag4/1细胞、hCMEC/D3细胞

MLA144细胞类似产品::HCA7细胞、LA-4 [Mouse lung adenoma]细胞、Scott and White No. 13细胞

SK-MES-1细胞类似产品::NEC细胞、SU-86-86细胞、Simpson细胞

NCIH244细胞类似产品::LIPF155C细胞、MF2059细胞、EJ细胞

ME180细胞类似产品::PNT1-a细胞、L78细胞、Fetal Human Colon细胞

LTEPsm细胞类似产品::NCI-H596细胞、ONS76细胞、LC-1/sq细胞

KBM-7/Hap8细胞类似产品::HEP3B2细胞、GCT0404细胞、4T1-A细胞

NCIH1299细胞类似产品::H1650_CO细胞、JS1细胞、Swiss 3T6细胞

HDQP1细胞类似产品::Tissue Culture-1细胞、HuP-T4细胞、Ect1/E6E7细胞

CWR22-R1细胞类似产品::Bat lung细胞、MCF-7B细胞、LS-411细胞

SNU484细胞类似产品::Hs819T细胞、NCIH64细胞、OV-2008细胞

Vx-2细胞类似产品::HuPT3细胞、GL-261细胞、Sun Yat-sen university Ophtalmic center-Retinoblastoma 50细胞

H-209细胞类似产品::253J-BV细胞、UCLA RO-81A-1细胞、KS-1 [Human glioblastoma]细胞

BALL-1细胞类似产品::HepG2细胞、SACC-LM细胞、LCLC-103H细胞

HFT 8810细胞类似产品::CAL-85-1细胞、MPC 11细胞、HEC-151细胞

HO-1-N-1细胞类似产品::PGLH7细胞、Kobe university Oral Squamous Cell culture-2细胞、HUSMC细胞

B-16细胞类似产品::SU-86-86细胞、U-2 OS细胞、H1975细胞

NRK52E细胞类似产品::HCC-1500细胞、SK-MEL-2细胞、SKNEP1细胞

RD-ES细胞类似产品::BSC1细胞、H-810细胞、OCI-AML-4细胞

MH-S细胞类似产品::Stanford University-Diffuse Histiocytic Lymphoma-1细胞、PC12(高分化)细胞、KE39细胞

LM3细胞类似产品::HCC1500细胞、UCLA-SO-M14细胞、H-35细胞

SW 48细胞类似产品::HCe-8693细胞、MFHL-2细胞、Detroit-562细胞

HCT-GEO细胞类似产品::SF 126细胞、H460细胞、NALM6细胞

RKO_AS45细胞类似产品::NCL-H548细胞、X63-Ag8.653细胞、Saos2细胞

SF295细胞类似产品::H-2081细胞、Lu-165细胞、PK136细胞

ACHN细胞类似产品::HCV 29细胞、BrCL18细胞、MDA-MB-468细胞

Jurkat E6-1细胞类似产品::CLL-CII细胞、Colon-26细胞、HB 611细胞

SCLC-21H细胞类似产品::SPCA-1细胞、NCIH2107细胞、231-luc细胞

Earles's cells细胞类似产品::BC3 H1细胞、OCI-LY-8细胞、NCI-SNU-C2B细胞

TE354.T细胞类似产品::S.B.细胞、HCC44细胞、RS1细胞

HL 60细胞类似产品::SW 948细胞、B-104细胞、RERFLCMS细胞

LMTK-细胞类似产品::ECV细胞、MUM2B细胞、MOLM-13细胞

IHH-4细胞类似产品::PE CA PJ34细胞、CEM-C1细胞、L 132细胞

McCoy细胞类似产品::NCIH1373细胞、HAVSMC细胞、CA-46细胞

MRC9细胞类似产品::HLEB-3细胞、NCI-H226细胞、NCIH510细胞

CAMA1细胞类似产品::HL-7702细胞、MX-1细胞、2V6.11细胞

HCT-8细胞类似产品::NCI-H-295细胞、CNE1细胞、SK.MEL.28细胞

H-2029细胞类似产品::NCTC-929细胞、UM-UC3细胞、SK MES 1细胞

PLC-PRF-5细胞类似产品::NCIH345细胞、DU 4475细胞、207细胞

H920细胞类似产品::HG2855细胞、SPCA-1细胞、MA-c细胞

HEC251细胞类似产品::CL1-0细胞、IHH4细胞、MDA453细胞

HTR-8/SVneo细胞类似产品::DV-90细胞、hCMEC/D3细胞、PC-12细胞

RT4-D6-P2T细胞类似产品::CAKI.1细胞、H-2196细胞、AR-42J细胞

HS578T细胞类似产品::MDA-468细胞、EAhy 926细胞、LA-N-6(OAN)细胞

JS1细胞类似产品::786-O RCC细胞、GM07404A细胞、CHP-126细胞

CAL39细胞类似产品::SK-UT-1细胞、RBE细胞、BT-20细胞

HeLa S3细胞类似产品::NCI-H82细胞、H676B细胞、Mink细胞

CAMA-1细胞类似产品::Human Microglia Clone 3细胞、PC3M-IE8细胞、WERI细胞

D-324 Med细胞类似产品::NCI-SNU-182细胞、HCT-116细胞、H2066细胞

Highly Aggressively Proliferating Immortalized细胞类似产品::THP 1细胞、IGR-OV1细胞、BHK-21细胞

SK-ES细胞类似产品::LK 2细胞、Emory University-3细胞、U-138 MG细胞

H-820细胞类似产品::PC-3M IE8细胞、HNE-2细胞、Onda 11细胞

DrG细胞类似产品::H1373细胞、OAW42细胞、JB6 clone 30, subclone 7b细胞

HT 1080.T细胞类似产品::SK-Hep1细胞、HANK细胞、HFL细胞

H4细胞类似产品::M1细胞、RPMI-2650细胞、SNU761细胞

P-388细胞类似产品::ACC-3细胞、SKNBE2细胞、HLF细胞

293/EBNA-1细胞类似产品::SK_N_FI细胞、Ly3细胞、U2-OS细胞

BERH-2细胞类似产品::MM1-S细胞、HL-7702细胞、Roswell Park Memorial Institute 2650细胞

526 mel细胞类似产品::RTE细胞、293-EBNA细胞、Biologics Standards-Cercopithecus-1细胞

K562/ADP细胞类似产品::SJRH-30细胞、TE-85 clone 5细胞、Renal Proximal Tubule Epithelial Cells/TERT-immortalized 1细胞

NCI-SNU-398细胞类似产品::SCC-9细胞、MDA 231-LM2-4175细胞、SNU423细胞

MBdSMC细胞类似产品::NCIH810细胞、MC3T3-E细胞、HCT.116细胞

L540细胞类似产品::MES-SA/Dx5细胞、P31 FUJ细胞、RS(4;11)细胞

Hs 870.T细胞类似产品::RPVSMC细胞、MRC5细胞、KYSE510细胞

NCI-H1793细胞类似产品::Sol8细胞、Colo-678细胞、H-2135细胞

HF-91细胞类似产品::TE-7细胞、10T1/2细胞、Ramos-RA1细胞

KP2细胞类似产品::Hs832.Tc细胞、PAa细胞、NRCC细胞

LTEP-sm细胞类似产品::NCI-H146细胞、293/EBNA细胞、HFL-I细胞

AMJ2-C8细胞类似产品::ANA1细胞、CHO K1细胞、SGC 7901细胞

JKT-1细胞类似产品::HEYA8细胞、NCI-SNU-449细胞、HCC0366细胞

UCLA SO M21细胞类似产品::MAVER-1细胞、Mono Mac 6细胞、SF-295细胞

APRE-19细胞类似产品::HuTu-80细胞、RAW2647细胞、OCI-LY-1细胞

786.O细胞类似产品::NCIH2347细胞、Caov-3细胞、NCIH1838细胞

NS-1细胞类似产品::MADB 106细胞、MLOY4细胞、KYSE-140细胞

Pt-K2细胞类似产品::MDA 231-LM2-4175细胞、HFT-8810细胞、HKF细胞

253J-BV细胞类似产品::VK2/E6E7细胞、RPE-1细胞、Michigan Cancer Foundation-7细胞

GM03320细胞类似产品::SK.OV.3细胞、675T细胞、L-02细胞

P1-Raji细胞类似产品::RCC-10RGB细胞、MG-HU-3细胞、OCI-AML-5细胞

CAL 85-1细胞类似产品::Intestinal Epithelioid Cell line No. 18细胞、HIBEpiC细胞、SCC-7细胞

MC3T3-E1 Subclone 24细胞类似产品::H1666_DA细胞、526mel细胞、Lung cancer-1/squamous细胞

TF-1a细胞类似产品::Karpas299细胞、KYSE-140细胞、S37细胞

Hs940.T细胞类似产品::293 HEK细胞、UMNSAH-DF 1细胞、IGROV细胞

OP-9细胞类似产品::MADB-106细胞、RERF-LCMS细胞、Y3-Ag1.2.3细胞

MCF.7细胞类似产品::SKNEP1细胞、HCEC细胞、AGS细胞

H-1651细胞类似产品::A431/P细胞、SC1细胞、LTEP-sm细胞

H1882细胞类似产品::HONE1细胞、L cell细胞、LY细胞

L5178-R细胞类似产品::Karpas-299细胞、GM3190细胞、P3X63-Ag8.653细胞

NCI-H1694细胞类似产品::H1048细胞、OKAC1细胞、NCI-H441细胞

RAW 264.7细胞类似产品::NCI-H2172细胞、MFM-223细胞、SK-GT-4细胞

Panc327细胞类似产品::KPL-1细胞、BEL-7402细胞、COLO-320HSR细胞

HHL5细胞类似产品::NCI-H322细胞、HTori3细胞、DOK细胞

RS4:11细胞类似产品::PC-3/M细胞、Ramos (RA 1)细胞、COLO-394细胞

H-2228细胞类似产品::VB细胞、KE-39细胞、KP-N-RT-BM细胞

CORL23细胞类似产品::DoTc2细胞、Madin Darby Bovine Kidney细胞、RF/6A细胞

KPL4细胞类似产品::GT1-1细胞、WML2细胞、ABC1细胞

PC3-M细胞类似产品::Hs 611.T细胞、H-647细胞、HO-8910细胞

SUP-T1细胞类似产品::N-2a细胞、A-431细胞、SN12C细胞

RERF-LC-MS细胞类似产品::NH6细胞、H-211细胞、RBL-I细胞

190PT细胞类似产品::Hs 888.T细胞、H9c2细胞、NALM-6细胞

BC-027细胞类似产品::MOVAS细胞、LI7细胞、H1048细胞

CAL-148细胞类似产品::253J-Bladder-V细胞、Soleus clone 8细胞、ECC-10细胞

NCIH716细胞类似产品::Hs852T细胞、3T3-Swiss细胞、GA-10 clone 4细胞

NIH3T3-L1细胞类似产品::KE 37细胞、Hs294细胞、HCC38细胞

OKAC1细胞类似产品::P3JHR1细胞、Stanford University-Diffuse Histiocytic Lymphoma-10细胞、MC57细胞

HPASMC细胞类似产品::SW780细胞、Hs-600-T细胞、PAMC82细胞

U266BL细胞类似产品::HP615细胞、RMG1细胞、NOZ细胞

KLE细胞类似产品::Chinese Hamster Ovary细胞、T-CAM2细胞、Madison lung细胞

HBL-1 [Human diffuse large B-cell lymphoma]细胞类似产品::RPMI8402细胞、NIH3T3细胞、C 643细胞

SUIT 2细胞类似产品::K562/ADR细胞、P-3J细胞、SUDHL5细胞

SW-982细胞类似产品::LADMAC细胞、C4I细胞、YD-38细胞

Pa017C细胞类似产品::PLA802细胞、CWR22Rv1细胞、Li-7细胞

FRhK4细胞类似产品::NCIH508细胞、CCLP-1细胞、Tn 5B1-4细胞

A2780 CP70细胞类似产品::Cor L88细胞、B958细胞、HELA-GFP细胞

NCI-H2198细胞类似产品::Ca761细胞、OVCAR5细胞、DSL6A/C1细胞

MC/9 Cells(赠送Str鉴定报告)|小鼠肥大细胞

SK HEP 01细胞类似产品::HcaF细胞、Wien-133细胞、CAMA-1细胞

CX1细胞类似产品::RH7777细胞、SW 1417细胞、H-716细胞

Hs940.T细胞类似产品::293 HEK细胞、UMNSAH-DF 1细胞、IGROV细胞

Ball 1细胞类似产品::KM-H2细胞、HMEC1细胞、GM03569B细胞

Eca109细胞类似产品::H283细胞、B104 [Rat neuroblastoma]细胞、H1341细胞

Stanford University-Diffuse Histiocytic Lymphoma-10细胞类似产品::NHEK细胞、T-HEECs细胞、SV40-MES13细胞

CCD 19Lu细胞类似产品::TE 671细胞、HCC1569细胞、H2198细胞

T2 (174 x CEM.T2)细胞类似产品::Bowes melanoma cells细胞、NCIH2347细胞、GP2d细胞

CCRF.CEM细胞类似产品::OCIAML2细胞、SUDHL-16细胞、Hs 688(A).T细胞

2E8细胞类似产品::HCT 8细胞、U-87细胞、SKUT1细胞

RCC-4细胞类似产品::A549细胞、KPL1细胞、COLO 320 HSR细胞

MDA-415细胞类似产品::HUVEC细胞、Mouse INsulinoma 6细胞、C22 (Clara)细胞

HBL-1 [Human diffuse large B-cell lymphoma]细胞类似产品::RPMI8402细胞、NIH3T3细胞、C 643细胞

NCI-H2141细胞类似产品::KTA-7细胞、Ca9-22细胞、BIC-1细胞

HCC1500细胞类似产品::OEC33细胞、HTR-8/SV neo细胞、H1417细胞

PG-4细胞类似产品::SuDHL 5细胞、786-O细胞、Karpas299细胞

H498细胞类似产品::MES-23.5细胞、NCI-H676细胞、Mel-MeWo细胞

alphaTC clone 6细胞类似产品::L细胞、PK(15)细胞、Hs 683.T细胞

PC 12细胞类似产品::RPMI-2650细胞、RPMI 6666细胞、SKN-SH细胞

HRVEC细胞类似产品::CCK-81细胞、COLO_320DM细胞、L-6细胞

B16/F0细胞类似产品::P3/ag细胞、SW-839细胞、ATN1细胞

Fu97细胞类似产品::KRC/Y细胞、T 84细胞、LN 229细胞

MCMEC细胞类似产品::IB-RS2细胞、HUT28细胞、PC-3/M细胞

WRL68细胞类似产品::D-283细胞、H-2107细胞、LC-2/ad细胞

LAN5细胞类似产品::SW 1463细胞、293GP细胞、H295细胞

UPCI:SCC090细胞类似产品::alpha-TC1.6细胞、HP615细胞、EFM-19细胞

mIMCD-3细胞类似产品::NIH:OVCAR4细胞、BJA-B细胞、H1882细胞

HEY A8细胞类似产品::ME-180细胞、H-2198细胞、CMK细胞

KATO III细胞类似产品::MES 23.5细胞、SNU620细胞、GP5d细胞

COLO684细胞类似产品::GP5d细胞、QBC(939)细胞、A-9细胞

HUC-1细胞类似产品::NCI-H187细胞、LS180细胞、CACO2细胞

CHP-100细胞类似产品::TYK-nu细胞、HBE 135-E6E7细胞、Hs 636 T细胞

"



MC/9 Cells(赠送Str鉴定报告;

公司简介

上海冠导生物工程有限公司,先后从ATCC、DSMZ、ECACC、RIKEN、PromoCell、ScienCell、JCRB等国内外细胞库引进细胞2000余株。以此为契机,公司组建了冠导细胞库,我司细胞均由资深细胞培养工程师进行培养。我司可以提供的细胞有:①细胞系②原代细胞③稳转株④耐药株⑤标记细胞⑥细胞配套试剂等。

成立日期 (11年)
注册资本 100万(元)
员工人数 50-100人
年营业额 ¥ 1000万-5000万
经营模式 工厂,试剂,定制,服务
主营行业 细胞培养,微生物学,细胞生物学

MC/9 Cells(赠送Str鉴定报告)|小鼠肥大细胞相关厂家报价

  • MC/9细胞
  • MC/9细胞
  • 吉奥蓝图(广东)生命科学技术中心 VIP
  • 2026-04-17
  • 询价
  • MC/9细胞
  • MC/9细胞
  • 广州弗尔博生物科技有限公司
  • 2026-01-07
  • 询价
内容声明
拨打电话 立即询价