基本信息 产品详情 公司简介 推荐产品
网站主页 PC-3M-2B4 CELLS|人低转移前列腺癌贴壁细胞 PC-3M-2B4 Cells(赠送Str鉴定报告)|人低转移前列腺癌细胞
  • PC-3M-2B4 Cells(赠送Str鉴定报告)|人低转移前列腺癌细胞

PC-3M-2B4 Cells(赠送Str鉴定报告)|人低转移前列腺癌细胞

PC-3M-2B4 Cells
询价 1000000细胞数 起订
2000000细胞数 起订
上海 更新日期:2026-04-19

上海冠导生物工程有限公司

VIP6年
联系人:全经理
电话:18818239863拨打
邮箱:3171921642@qq.com

产品详情:

中文名称:
PC-3M-2B4 Cells(赠送Str鉴定报告)|人低转移前列腺癌细胞
英文名称:
PC-3M-2B4 Cells
保存条件:
常温培养或液氮冻存
纯度规格:
PC-3M-2B4 Cells(赠送Str鉴定报告)|人低转移前列腺癌细胞
产品类别:
生物试剂

"PC-3M-2B4 Cells(赠送Str鉴定报告)|人低转移前列腺癌细胞

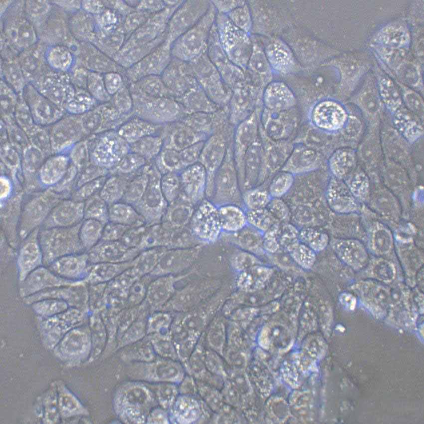
细胞背景资料:前列腺癌;骨转移;男性

细胞形态:上皮细胞样

【细胞培养中原虫的污染情况总结】原虫:培养液可轻微浑浊,显微镜下那些细小的点状物数量非常多,轻微活动,细胞虽然可以生长但繁殖速度却明显减慢,而且细胞状态不HAO,边缘不清楚,细胞不透亮。他们与细胞可共生但会与细胞争夺营养。这种共生是非常普遍的,但他们的数量小,细胞站YOU势所以不会影响到细胞的正常生长,只有当他们到达一定的数量时就会影响到细胞的生长,Zui终形成恶性循环。污染的可能原因:可能原因很多比如配液消毒问题、操作问题、环境问题等等关于培养基的无菌状况,取培养基至培养瓶中(不加细胞),37度试培养一段时间后观察。如果没有细菌生长就是操作的问题。也可以在培养基中事先加入双抗(酸链霉素和苄青霉素)。但双抗有时会影响细胞的状态,所以在做转染、检测细胞某项指标前一定要撤去双抗,以避免影响实验结果。1)孵箱应定期用三氧机消毒或者紫外光照射,并用酒精和新洁尔灭试擦孵箱同时孵箱内的水应是三蒸水;2)超净台\取材\器材\培养液\培养瓶\操作等因素;3)超净台的风机不能过大,风机到6-8格。否则也可能能致霉菌污染;4)无菌室经甲醛熏蒸消毒后,可用同等量的喷洒中和,约几小时即可进入操作。

细胞生长:贴壁

GM02132C细胞类似产品::HR-8348细胞、GLC82细胞、MC57G细胞

COLO-680N细胞类似产品::HEK-293FT细胞、KP 4细胞、HGSMC细胞

HemECs细胞类似产品::Beta-TC-6细胞、H-1184细胞、COS-7细胞

Hs 888.Lu细胞类似产品::HT细胞、PL12细胞、P3J细胞

CHL/IU细胞类似产品::NCI-747细胞、DoTc2细胞、MOLP8细胞

PC-3M-2B4 Cells(赠送Str鉴定报告)|人低转移前列腺癌细胞

细胞物种来源:人源或鼠源等其它物种来源

[细胞产品包装]鲜活细胞:T25培养瓶(一瓶)或冻存细胞:1ml冻存管(两支)

细胞培养过程中的“六要”“三不要”“三勤”:有的人认为细胞培养很难,经常一不留神就把细胞污染了,牢记细胞培养中的六“要”三“不要”三“勤”让你成功培养出你想要的细胞!六“要”:1、拿到新细胞的时候要做HAO支原体检测,不管是买的细胞、惠赠的细胞,并迅速扩增冻存。2、离开细胞房的时候要给细胞房照紫外,超净台要用完就开紫外。3、离开过操作台的东西再进入操作台之前一定要用酒精喷一遍,包括一切实验耗材、仪器、以及你带着手套的手。4、培养基的话Zui多不要超过2天就要换一次。细胞可以不传代,但是培养基是一定要换的。5、发现有污染要迅速处理掉,别是同时养了很多种细胞; 细菌污染、真菌污染很容易发现(这两种污染绝对是环境中带来的,多注意一下卫生条件是可以杜绝的),支原体污染的话,细胞会长的慢,若是珍贵的细胞可以买个支原体清除剂杀一杀,还是可以挽救的。6、冻存细胞复苏后第二天要更换一次培养基。三“不要”:1、不要和别人共用试剂耗材,自己准备一套。2、不要怕浪费,枪头什么的只要有可能污染就换,如果用酒精灯就什么都稍微烤一下。3、身体的各个部分不要接触不需要接触的地方。比如实验台,又比如培养箱内部。三“勤”:1、勤换水,水浴锅很脏,细胞培养箱要是得手动加湿的话,盘里的水也会很脏。那种公用的水浴锅、培养箱,定期换水习惯不HAO的,交叉污染严重的,那就可以选择一些绿色、安全、无刺激性的除菌剂,改善一下,免得细胞遇到污染时措手不及。2、勤擦洗,培养箱隔一段时间彻底用安全除菌剂擦洗一次,有人用酒精擦洗,但毕竟究竟只能除掉细菌,对于真菌是没有办法杀死的,所以这里推荐大家选用效果和口碑都不错的除菌剂处理。3、勤清洁,细胞房日常的值日清洁是必须的,此外还要定期熏蒸。养细胞就像打仗,知彼知己,百战不殆。做到以上几点,细胞培养易如反掌,导师再也不用担心我的细胞养死了。

细胞传代方法:1:2-1:3传代;每周换液2-3次。

PNT1A细胞类似产品::RPE-1细胞、HCCLM6细胞、HLEC-SRA 01/04细胞

FK81细胞类似产品::TK-10细胞、DMS53细胞、A375SM细胞

MRC9细胞类似产品::HLEB-3细胞、NCI-H226细胞、NCIH510细胞

GM637A细胞类似产品::HO-8910 PM细胞、686LN-M4e细胞、Hs 746.T细胞

H1836细胞类似产品::H-1581细胞、MUGCHOR1细胞、GM00215A细胞

细胞来源说明:来源于RCB、ATCC、KCLB、DSMZ、ECACC、INCell、ScienCell、ECACC、JCRB、Asterand、ICLC等知名细胞库

PC-3M-2B4 Cells(赠送Str鉴定报告)|人低转移前列腺癌细胞

细胞生长特性:贴壁

NCI-SNU-398细胞类似产品::SCC-9细胞、MDA 231-LM2-4175细胞、SNU423细胞

hSCC-25细胞类似产品::SF 295细胞、K1735细胞、HDF-a细胞

C32-mel细胞类似产品::GLAG-66细胞、huH 1细胞、WEHI-279细胞

NK-92 transfected with MFG-hIL2细胞类似产品::293GP细胞、KY70细胞、CHO-ori细胞

67NR细胞类似产品::Hs839T细胞、H2195细胞、LLCMK2细胞

HEK293A细胞类似产品::NK62a细胞、Panc 4.03细胞、L-540细胞

细胞培养实验中常见问题总结:1)一般客户拿到细胞后,应该注意什么?客户收到细胞后先不开盖,放在培养箱静置若干小时后(看细胞密度而定)在倒置显微镜下观察细胞生长情况,并对细胞进行不同倍数拍照(建议受收细胞后观察培养基的颜色和是否有漏液情况,显微镜下拍细胞100X,200X各一张),排除细胞本身污染的情况;收到细胞未开封,出现污染状况我们负责免费发送一株细胞。收到细胞时如无异常情况,请在显微镜下观察细胞密度,如为贴壁细胞,未超过80%汇合度时,将培养瓶中培养液吸出,留下10ml培养液继续培养;超过80%汇合度时,请按细胞培养条件传代培养。如为悬浮细胞,吸出培养液、1000转/分钟离心2分钟,吸出上清,管底细胞用新鲜培养基悬浮细胞后移回培养瓶。细胞消化液建议使用PBS配制,慎用Hanks液配制;2)快递细胞多久能到,是寄冻存的细胞还是复苏HAO的细胞?我们采用快递发货,一般外地2--3天,寄细胞前请确认当地温度,如果气温低于4度的,则采用邮寄冻存细胞;3)可否使用与原先培养条件不同之培养基?不能。每一细胞株均有其定使用且已适应之细胞培养基,若骤然使用和原先提供之培养条件不同之培养基,细胞大都无法立即适应,造成细胞无法存活;4)可否使用与原先培养条件不同之血清种类?不能。血清是细胞培养上一个极为重要的营养来源,所以血清的种类和品质对于细胞的生长会产生极大的影响。来自不同物种的血清,在一些物质或分子的量或内容物上都有所不同,血清使用错误常会造成细胞无法存活。

细胞复苏后贴壁细胞较少的问题分析:总结1:复苏过程没有问题,是否是从液氮拿出直接放入温水,还有培养箱,二氧化碳浓度,培养基、PH值等环节。要么加GAO浓度FBS 15-20%,看看能否帮助贴壁,当然也需要考虑血清问题,还有确信拿来的细胞没问题。总结2:首先应该怀疑冻存,实际上复苏出问题的可能非常小,因为操作简单,而且死板。1、你冻存的时候是不是消化的时间过长,这是一般人所注意不到的,即使书上也不讲这个问题,太长的消化时间会让细胞复苏时失去贴壁能力,表现为先贴后死,原因是在你复苏的时候细胞已进入凋亡程序,不可逆转的死亡。2、你的冻存液HAO不HAO,是什么,甘油还是DMSO,质量非常重要,否则也会死亡。3、你的冻存液的量加的是不是太多,ATCC推荐是不超过7%,大于5%,太多也不HAO。4、你在冻存的时候是不是把DMSO混均匀,这个有一些影响,但不算太大。5、你的冻存是否按部就班,就是所温度梯度是不是把握严格,很多人容易忘却这个事情,因为这个东西流程长。6、如果你细胞污染,你是否能很快看到,我比我的导师能早一天看到污染。从这个角度讲建议去除离心这步。7、你的细胞在冻存前是否过密。还有,不赞成孵箱污染这个概念的,所有在一个孵箱里的细胞都污染一个细菌的话,这个细菌是源于孵箱的,但这不代表孵箱污染,因为孵箱无论你如何处理都有大量的细菌,问题在操作。每次污染的原因都要尽可能的找,以后就不犯同样的问题,这个很重要,不能靠猜,否则你就有可能细胞养绝Zui后换课题,这个见得太多了,别不当会事。

ELD-1细胞类似产品::SKNEP-1细胞、22Rv-1细胞、BT-483细胞

SNU1细胞类似产品::K-1735细胞、SNU449细胞、MM-1S细胞

Leukemic 1210细胞类似产品::NCI-H2108细胞、H-1693细胞、Co320细胞

FUOV1细胞类似产品::COLO320 DM细胞、MonoMac 6细胞、MNNGHOS细胞

PK (15)细胞类似产品::GM07404D细胞、Hs-578T细胞、NCIH2286细胞

NCIH64细胞类似产品::Colo-201细胞、HL-1细胞、HOP62细胞

Colon-38细胞类似产品::CEM/0细胞、786-0WT细胞、LTEP-s细胞

Tn-5细胞类似产品::MHCC97H细胞、AG06814-M细胞、16-HBE细胞

IAR 20细胞类似产品::NG-108-15细胞、N9细胞、293 F细胞

OCI/AML3细胞类似产品::hRMECs细胞、Fetal Bovine Heart Endothelial细胞、PC.3细胞

SKNDZ细胞类似产品::751-NA-15细胞、HCC366细胞、PFSK-1细胞

MCA-38细胞类似产品::MILE SVEN 1细胞、MOLT 3细胞、OCI Ly10细胞

3T6 Swiss Albino细胞类似产品::D283-MED细胞、NCI H23细胞、TI-73细胞

UMUC3细胞类似产品::JJN3细胞、hTERT-RPE1细胞、Rat Lung-65细胞

H441细胞类似产品::HHL5细胞、H748细胞、MNNG/HOS Clone F-5细胞

MPC11细胞类似产品::GalK 1细胞、H1238细胞、CF-PAC1细胞

MPC11细胞类似产品::GalK 1细胞、H1238细胞、CF-PAC1细胞

MUM2B细胞类似产品::EL4细胞、H-187细胞、KP-N-RT-BM-1细胞

DU145细胞类似产品::RKN细胞、Mc Coy细胞、1.1B4细胞

NE-4C细胞类似产品::PK-136细胞、rRMECs细胞、NuTu-19细胞

I90细胞类似产品::MES 13细胞、SW1463细胞、INS-1细胞

A-204细胞类似产品::COLO 205细胞、P31/FUJ细胞、NCI H345细胞

MOLT 4细胞类似产品::NCI-H676B细胞、NBLAN5T细胞、TMK-1细胞

AD293细胞类似产品::T-T细胞、MV4:11细胞、ID8/MOSEC细胞

MDA-MB-415细胞类似产品::NCI.H23细胞、QSG7701细胞、H-1930细胞

HTR8/SVneo细胞类似产品::COS7细胞、P19细胞、Hela-Ap-1细胞

COLO 320细胞类似产品::THLE-2细胞、UM-UC-3细胞、NCI-H1876细胞

SW 1271细胞类似产品::J774 A1细胞、T-T细胞、COLO-699细胞

CNE1-LUC细胞类似产品::TE3A细胞、C643细胞、H-889细胞

CNE-1细胞类似产品::HPBALL细胞、SUSM1细胞、IA-LM细胞

ARO81细胞类似产品::SN12C细胞、Y3-Ag1,2,3细胞、Baby Hamster Kidney from litter No. 21细胞

ChaGo-K-1细胞类似产品::Michigan Cancer Foundation-7细胞、LS123细胞、CAKI1细胞

C3H/10T1/2细胞类似产品::JIMT-1细胞、SF763细胞、RTMC细胞

C4-2B细胞类似产品::H-II-E-C3细胞、FRO81-2细胞、LCD细胞

Lilly Laboratories Cell-Porcine Kidney 1细胞类似产品::LIM 1215细胞、HMC-1细胞、HuH28细胞

HANK细胞类似产品::BJAB-1细胞、HCT/FU细胞、SUP-B1细胞

HuNS1细胞类似产品::HHFK细胞、MPASMC细胞、ACHN细胞

Shadyside Hospital Pittsburgh-77细胞类似产品::H9c2 (2-1)细胞、R1800[RA]细胞、M059K细胞

74Int细胞类似产品::RT-BM细胞、H-1581细胞、H6c7细胞

SUDHL-4细胞类似产品::NCI H345细胞、NW-MEL-38细胞、H-676B细胞

Hs-578T细胞类似产品::MV411细胞、SGC-996细胞、H-2126细胞

PC-3M-2B4 Cells(赠送Str鉴定报告)|人低转移前列腺癌细胞

INS1细胞类似产品::OVCAR-8细胞、L5178Y TK+/- (clone 3.7.2C)细胞、MRCV细胞

NEC细胞类似产品::U14细胞、H1355细胞、Clone M-3细胞

CAL27细胞类似产品::MDA MB 231细胞、R.K.13细胞、TO175T细胞

LN382细胞类似产品::526mel细胞、PL5细胞、GC1-SPG细胞

SW948细胞类似产品::CL1-5细胞、Ramos 2G6.4C10细胞、Hs895T细胞

NCIH2110细胞类似产品::CL1.0细胞、SK-N-BE(1)细胞、LA 4细胞

VMCUB1细胞类似产品::H-508细胞、CEMC1细胞、PANC0403细胞

BLO-11细胞类似产品::3T3-Swiss细胞、MCF 7B细胞、16HBE细胞

MTEC1细胞类似产品::HCC-1833细胞、Vero 76 clone E6细胞、HS-294细胞

MONO-MAC 6细胞类似产品::H-2135细胞、P30/OHK细胞、EOC 20细胞

MV-522细胞类似产品::SUM 102细胞、451-LU细胞、Caki2细胞

SKNO1细胞类似产品::MDA-MB-175VII细胞、HCC-1937细胞、CT26细胞

FCCH1024细胞类似产品::751-NA细胞、KBM-7细胞、Emory University-3细胞

Kit 225-K6细胞类似产品::3T3-F442A细胞、PIEC细胞、SK-MEL-3细胞

Kit 225-K6细胞类似产品::3T3-F442A细胞、PIEC细胞、SK-MEL-3细胞

RFL6细胞类似产品::HT-1197细胞、CAKI.1细胞、COLO 738细胞

KYSE-510细胞类似产品::OVCAR432细胞、KE37细胞、B78细胞

SK-MEL28细胞类似产品::Hs 606.T细胞、Hs863T细胞、FRTL-5 Cl 2细胞

Rat Fetal Lung-6细胞类似产品::JB6 [Mouse]细胞、HUV-EC-C细胞、SK-MEL-2细胞

H2286细胞类似产品::KU-812F细胞、MUVEC细胞、SuDHL 8细胞

NCI-ADR-RES细胞类似产品::Wayne State University-Head and Neck 13细胞、RPMI1846细胞、WEHI164细胞

U373细胞类似产品::ASPC1细胞、BIC1细胞、Y-79细胞

SKMEL1细胞类似产品::HL-60 Clone 15细胞、HCC1954BL细胞、CHO-Lec1细胞

RAMSCs细胞类似产品::H920细胞、DHL-6细胞、A3细胞

Farage Original Line细胞类似产品::IOSE-Van细胞、HO1N1细胞、HEL 299细胞

MDCC MSB1细胞类似产品::MLA-144细胞、DoTc2-4510细胞、Porcine Kidney-13细胞

BEL7405细胞类似产品::GDM1细胞、MD Anderson-Metastatic Breast-361细胞、CAL33细胞

Leydig细胞类似产品::CTSC-3细胞、BPH-1细胞、MC3T3-L1细胞

HARAB细胞类似产品::EA. hy 926细胞、Jurkat FHCRC细胞、FUOV1细胞

Sp2/O-Ag14细胞类似产品::MUVEC细胞、SJ-RH30细胞、H-87细胞

IHHA-1细胞类似产品::G402细胞、BEL 7405细胞、TE-32细胞

SK-N-SH细胞类似产品::Moorfields/Institute of Ophthalmology-Muller 1细胞、DMS-79细胞、STC-1细胞

CAOV3细胞类似产品::CEL细胞、ACHN细胞、B16-F1细胞

P3/X63/Ag8.653细胞类似产品::TE-5细胞、CTLL2细胞、CD18/HPAF细胞

HCT-GEO细胞类似产品::SF 126细胞、H460细胞、NALM6细胞

HCT-GEO细胞类似产品::SF 126细胞、H460细胞、NALM6细胞

N1S1细胞类似产品::NTera2 cl.D1细胞、373MG细胞、RCF细胞

3T3 J2细胞类似产品::Henrietta Lacks cells细胞、RPMI 8402细胞、G-401细胞

HOP62细胞类似产品::UM-RC-2细胞、SK-OV-3细胞、Ku812F细胞

746T细胞类似产品::MNNG-HOS (Cl#5)细胞、PC3M-2B4细胞、VM-CUB1细胞

H2110细胞类似产品::COV504细胞、HEK-AD 293细胞、CCD18Co细胞

ONS76细胞类似产品::TCam 2细胞、He-La细胞、MG63细胞

NCI-H78细胞类似产品::SK LU 1细胞、PK-136细胞、HEL-1细胞

SK-MEL5细胞类似产品::HemECs细胞、HUT-28细胞、SW 403细胞

F36P细胞类似产品::MiaPaCa-2细胞、WM-266-4细胞、373MG细胞

bEnd.3[BEND3]细胞类似产品::H1819细胞、FL83B细胞、BC3 H1细胞

Tu-212细胞类似产品::SNU-475细胞、NCI-H526细胞、V79-4细胞

KYSE270细胞类似产品::2780CP细胞、P3JHR1细胞、BALB/3T3细胞

Panc 8.13细胞类似产品::BC-3H-1细胞、TOV-112D细胞、Medical Research Council cell strain-5细胞

NCIH460细胞类似产品::Panc02-H0细胞、COLO-357细胞、NCIH292细胞

LED-WiDr细胞类似产品::SVOG细胞、H1404细胞、ARO-81细胞

Panc203细胞类似产品::SCH细胞、HCASMC细胞、Human podocyte细胞

Panc-327细胞类似产品::HCEC-12细胞、SN12C细胞、SNU-C2B细胞

NCI-H1563细胞类似产品::HO-8910PM细胞、U87MG细胞、FHCRC-11细胞

ZR-75-1细胞类似产品::H-522细胞、G-Olig2细胞、DMS-114细胞

HeLa/DDP细胞类似产品::COLO 320细胞、KATO 3细胞、L-6 myoblast细胞

BV-173细胞类似产品::Hs 940.T细胞、Mv1.Lu细胞、H676细胞

RKOAS451细胞类似产品::T2(174 x CEM.T2)细胞、H-2141细胞、H-820细胞

Jurkat77细胞类似产品::HCEC细胞、P3.times.63 Ag8.653细胞、H766T细胞

USMC细胞类似产品::UT7细胞、Hs 840.T细胞、HEK-293-F细胞

DAKIKI Clone 1细胞类似产品::A-431细胞、766T细胞、LLC-MK-2细胞

CCD-1095Sk细胞类似产品::SCC 9细胞、hFOB 1.19细胞、HCO细胞

Roswell Park Memorial Institute 8402细胞类似产品::Centre Antoine Lacassagne-39细胞、NCI-H378细胞、CAL-33细胞

OKAC1细胞类似产品::P3JHR1细胞、Stanford University-Diffuse Histiocytic Lymphoma-10细胞、MC57细胞

NCI747细胞类似产品::N87细胞、KYSE0520细胞、NCI-H735细胞

U-937细胞类似产品::MPC 11细胞、JM细胞、Epstein-Barr-2细胞

SupT1细胞类似产品::HB611细胞、HCC1171细胞、H4-IIE-C3细胞

Granta519细胞类似产品::TE15细胞、Balb/c 3T3细胞、Ishikawa细胞

REC1细胞类似产品::MKN-7细胞、HEMCSS细胞、CEM clone 7细胞

DU_145细胞类似产品::ETCC-007细胞、FT-293细胞、RCC 7860细胞

P3-X63-Ag8细胞类似产品::Colo-678细胞、Sp2/mIL-6细胞、HEY A8细胞

Hs 683细胞类似产品::RDES细胞、Hs606细胞、HuH-6细胞

MS 751细胞类似产品::OVCA5细胞、BALB 3T3 clone A31细胞、NCI-H520细胞

HHL-5细胞类似产品::PL 5细胞、NCI-H1963细胞、LAD2细胞

RN-c细胞类似产品::BSC-1细胞、X63细胞、NTERA-2细胞

NRK52E细胞类似产品::HCC-1500细胞、SK-MEL-2细胞、SKNEP1细胞

HCET细胞类似产品::NCI H295R细胞、FM88细胞、EA.hy 926细胞

H774细胞类似产品::IAR 20细胞、C28/I2细胞、Functional Liver Cell-7细胞

SW-1417细胞类似产品::Jurkat FHCRC细胞、NCI-H889细胞、JURKAT E-6.1细胞

HEK293-F细胞类似产品::P3-X63Ag8.653细胞、SKG3A细胞、B4G12细胞

CWR22R细胞类似产品::EAhy926细胞、A72细胞、SK_N_BE2C细胞

LIM1215细胞类似产品::HCC44细胞、HL60细胞、MDAMB468细胞

H184A1细胞类似产品::28SC细胞、Baby Hamster Kidney 21细胞、Hs888 Lu细胞

HNE-1细胞类似产品::SP-2细胞、DMS 79细胞、NCI-SNU-119细胞

QG-56细胞类似产品::SY5Y细胞、Tu-686细胞、SB细胞

SK-N-FI细胞类似产品::Tb 1 Lu细胞、P3/X63/Ag8细胞、MCF 10A细胞

LC1细胞类似产品::PAa细胞、EA. hy 926细胞、AN3 CA细胞

SKNMC细胞类似产品::KU812-F细胞、BC-028细胞、CAL 39细胞

BNL 1ME A.7R.1细胞类似产品::HCC2218细胞、SW 1573细胞、COLO 684细胞

OCM-1细胞类似产品::BV-173细胞、GM03320D细胞、Mv1.Lu细胞

MES-13细胞类似产品::OSK-1细胞、CTLL(2)细胞、Calu3细胞

P30/OHK细胞类似产品::WSU-HN13细胞、LCD细胞、PAEC细胞

RPE-hTERT细胞类似产品::alpha TC1.6细胞、NTERA2细胞、D-283MED细胞

Pa16C细胞类似产品::F9细胞、Panc02-H0细胞、HO-8910 PM细胞

HSC(Human Schwann)细胞类似产品::CCC-HHM-2细胞、SupB15W细胞、GM17219细胞

SUM 102细胞类似产品::Swiss-3T3细胞、ID8/MOSEC细胞、NFS60细胞

SNK1细胞类似产品::H1882细胞、NCI-H847细胞、Human Hepatocyte Line 5细胞

L363细胞类似产品::alpha-TC1-6细胞、H1568细胞、S180细胞

CHP212细胞类似产品::CTV1细胞、T-98细胞、Farage Original Line细胞

A 253细胞类似产品::P31 FUJ细胞、HFLS-RA细胞、FOXNY细胞

NPA87细胞类似产品::DU 145细胞、Sc-1细胞、SHEP1细胞

SJCRH30细胞类似产品::SBC-3细胞、RCC-10RGB细胞、NCI660细胞

UCLA SO M21细胞类似产品::MAVER-1细胞、Mono Mac 6细胞、SF-295细胞

8226/S细胞类似产品::LCD细胞、RBMVEC细胞、Hs832T细胞

Co 115细胞类似产品::COLO829细胞、PLB985细胞、P-36细胞

C3H/10T1/2细胞类似产品::JIMT-1细胞、SNU-869细胞、G361mel细胞

U-343 MG细胞类似产品::BJA-B1细胞、Epstein-Barr-1细胞、KYSE-510细胞

NB1RGB细胞类似产品::SK-MEL-2-LUC细胞、H-1819细胞、SHIN-3细胞

Shadyside Hospital Pittsburgh-77细胞类似产品::H9c2 (2-1)细胞、R1800[RA]细胞、M059K细胞

2780细胞类似产品::aTC1 Clone 6细胞、T-47D细胞、HCC-1428细胞

PCI-SG231细胞类似产品::HT1376细胞、DU-145细胞、DF1细胞

OVCA420细胞类似产品::H 9细胞、MGH-U1细胞、CEM-CCRF细胞

PLB-985细胞类似产品::NCI-H676细胞、CAL 12细胞、KMH2细胞

NFS-60细胞类似产品::Hs-600-T细胞、MeSoTheliOma-211H细胞、293 H细胞

Hs819T细胞类似产品::HS-766-T细胞、U2OS细胞、INS1-E细胞

SKNO-1细胞类似产品::HEC-151细胞、IEC-18细胞、C32 [Human melanoma]细胞

PVEC细胞类似产品::L-5178-Y细胞、MDAMB453细胞、HeLaS3细胞

CCD19Lu细胞类似产品::Kasumi-1细胞、McA-RH7777细胞、Kit-225细胞

TGW-nu细胞类似产品::SKNEP细胞、OCI Ly10细胞、TE-85细胞

PC-3M-2B4 Cells(赠送Str鉴定报告)|人低转移前列腺癌细胞

MXI细胞类似产品::Earles's cells细胞、HET-1A细胞、HepG2-luc细胞

SUPB-15细胞类似产品::CCD-841-CoN细胞、HCT-8细胞、NCI-H446细胞

MV4-11细胞类似产品::EBTr (NBL-4)细胞、AC16 [Human hybrid]细胞、SKLU01细胞

TE-32细胞类似产品::P3-Jiyoye细胞、hTERT-RPE细胞、EVSAT细胞

KY70细胞类似产品::MC3T3-E1 Subclone 4细胞、SNU398细胞、Malme-3M细胞

SR细胞类似产品::RPMI 1788细胞、CaEs17细胞、MALME.3M细胞

CAL-78细胞类似产品::NCI-H1435细胞、COLO 680N细胞、Ontario Cancer Institute-Acute Myeloid Leukemia-5细胞

SO-Rb 50细胞类似产品::293/EBNA细胞、H-1385细胞、RASMC细胞

Vx-2细胞类似产品::HuPT3细胞、GL-261细胞、Sun Yat-sen university Ophtalmic center-Retinoblastoma 50细胞

293 HEK细胞类似产品::FAO-1细胞、Huh 7.5细胞、Sp 2/0-Ag 14细胞

OAW42细胞类似产品::EAC细胞、M210B4细胞、MDA-MB-175-VII细胞

PANC-28细胞类似产品::CHAGOK1细胞、NCI-H510A细胞、H-EMC-SS细胞

Hs840T细胞类似产品::BTI-Tn5B14细胞、NCI H548细胞、HT-55细胞

NCIH747细胞类似产品::SK Mel 1细胞、RFL-6细胞、U266BL细胞

UCLA-RO 81细胞类似产品::M-14细胞、HTori:3细胞、MDA.MB.231细胞

HOPC细胞类似产品::UACC-893细胞、Normal Rat Kidney细胞、H209细胞

HT144-mel细胞类似产品::MDA MB 436细胞、C6细胞、IHH细胞

NCI-H1876细胞类似产品::H-647细胞、RBL细胞、RKO细胞

Metastatic Variant-522细胞类似产品::NCI-H2291细胞、GH 3细胞、Granta 519细胞

231-luc细胞类似产品::BTT739细胞、HCC-2185细胞、RPE1-hTERT细胞

NCI-H2081细胞类似产品::NCI-H102细胞、Mouse podocyte细胞、Evsa-T细胞

MCA 205细胞类似产品::SW 1417细胞、Vero-E6细胞、SCL1细胞

SPDC-CCL141细胞类似产品::CCC-HEH-2细胞、CHP-126细胞、LTEP a2细胞

ME-180细胞类似产品::B16BL-6细胞、B16 F1细胞、SJ-Rh 30细胞

McA-RH 7777细胞类似产品::H157细胞、Gerner 7666细胞、COR-L279细胞

F56 [Human neoplasm]细胞类似产品::CL-11细胞、PANC-02-03细胞、TE-85 clone 5细胞

H209细胞类似产品::HN6细胞、SKHEP1细胞、SPCA1细胞

A-9细胞类似产品::LAD 2细胞、IOSE 29细胞、ETCC-007细胞

PC-9S1细胞类似产品::TK 10细胞、3T6 Swiss Albino细胞、COLO-741细胞

Hs 600.T细胞类似产品::B 95.8细胞、RINm-5F细胞、Ej138细胞

Leukemic 1210细胞类似产品::NCI-H2108细胞、293c18细胞、He La细胞

CL 1-0细胞类似产品::OC316细胞、MNNG/HOS Clone F-5细胞、3T6-Swiss albino细胞

"



PC-3M-2B4 Cells(赠送St;

公司简介

上海冠导生物工程有限公司,先后从ATCC、DSMZ、ECACC、RIKEN、PromoCell、ScienCell、JCRB等国内外细胞库引进细胞2000余株。以此为契机,公司组建了冠导细胞库,我司细胞均由资深细胞培养工程师进行培养。我司可以提供的细胞有:①细胞系②原代细胞③稳转株④耐药株⑤标记细胞⑥细胞配套试剂等。

成立日期 (11年)
注册资本 100万(元)
员工人数 50-100人
年营业额 ¥ 1000万-5000万
经营模式 工厂,试剂,定制,服务
主营行业 细胞培养,微生物学,细胞生物学

PC-3M-2B4 Cells(赠送Str鉴定报告)|人低转移前列腺癌细胞相关厂家报价

内容声明
拨打电话 立即询价