基本信息 产品详情 公司简介 推荐产品
网站主页 化工产品目录 生物 细胞培养 细胞系 小鼠细胞系 H22-H8D8 CELLS|小鼠肝癌贴壁细胞 H22-H8D8 Cells(赠送Str鉴定报告)|小鼠肝癌细胞
  • H22-H8D8 Cells(赠送Str鉴定报告)|小鼠肝癌细胞

H22-H8D8 Cells(赠送Str鉴定报告)|小鼠肝癌细胞

H22-H8D8 Cells
询价 1000000细胞数 起订
2000000细胞数 起订
上海 更新日期:2026-04-18

上海冠导生物工程有限公司

VIP6年
联系人:全经理
电话:18818239863拨打
邮箱:3171921642@qq.com

产品详情:

中文名称:
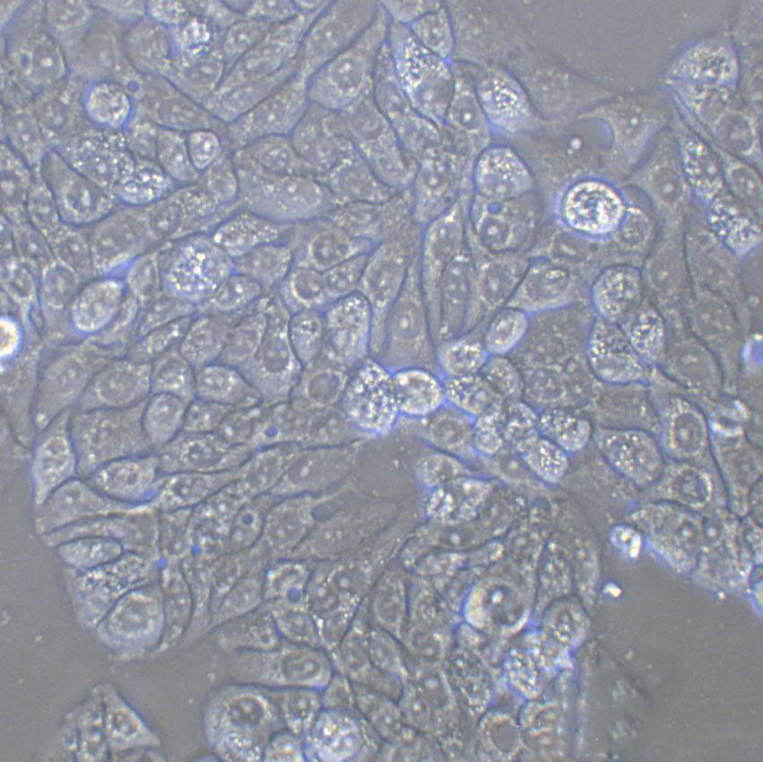
H22-H8D8 Cells(赠送Str鉴定报告)|小鼠肝癌细胞
英文名称:
H22-H8D8 Cells
保存条件:
常温培养或液氮冻存
纯度规格:
H22-H8D8 Cells(赠送Str鉴定报告)|小鼠肝癌细胞
产品类别:
生物试剂

"H22-H8D8 Cells(赠送Str鉴定报告)|小鼠肝癌细胞

细胞背景资料:肝癌

细胞形态:上皮细胞样

【细胞培养中细菌、霉菌的污染情况总结】细菌:细菌在普通倒置显微镜下为黑色细沙状,根据感染细菌的不同,可有不同的外形,培养液一般会浑浊变黄,对细胞生长影响明显。仔细检查一下器皿的灭菌情况,是否在GAO压灭菌时放气时间足够,压力足够!尤其是和储存培养液接触的移液管等物品,连续两次污染的话有可能造成储存液污染,一定要注意!下次使用前检查一下培养液是否存在浑浊的现象!可在培养液中加相应的抗生素处理;霉菌:培养液是清亮的,倒置显微镜下无杂质,37度孵箱培养2-3天,仍清亮,但出现絮状杂质,镜下可见呈细丝状的团状漂浮物,可看到明显的菌丝,细胞仍可生长,但时间长之后,细胞的活力状态变差,用酸铜溶液擦拭CO2孵箱内,再把水盘里也加上饱和量的酸铜。或者在培养箱的托盘加入饱和的消毒二钠GAO盐液体,可以防止霉菌污染。CO2孵箱被霉菌污染后,可把所有细胞暂时转移,采用擦洗孵箱(包括隔板,箱壁)。并把放置在孵箱内一个小时,使其蒸汽弥漫。待的气味消散后,再移入细胞。孵箱应定期清洁(2月左右),尤其在多雨的季节。其它培养箱清洗方法是:用84液擦洗-清水擦洗-75%酒精擦洗-紫外灯照。预防霉菌污染,可在培养基里加3u/ml的两性霉素或制霉菌素或D或双抗;但细胞一旦污染,很难挽救,制霉菌素或D或双抗都于事无补,建议舍弃该污染细胞,将环境彻底消毒,如果所有细胞都污染,可能是系统污染,检查一下培养基和器材,如果只是个别污染,可能是操作问题,就要注意操作。

细胞生长:贴壁

U-87细胞类似产品::LLC-WRC 256细胞、TE-12细胞、McArdle RH-7777细胞

SKNBE(2c)细胞类似产品::Melan-a细胞、HCA 7细胞、NCI-H522细胞

JCA1细胞类似产品::NCI-Hut 125细胞、Sp2/O细胞、H-64细胞

COLO_320DM细胞类似产品::HANK-1细胞、SUDHL-8细胞、H22细胞

MARC145细胞类似产品::FRH-0201细胞、IPLB-SF-21-AE细胞、HCC2157细胞

H22-H8D8 Cells(赠送Str鉴定报告)|小鼠肝癌细胞

细胞物种来源:人源或鼠源等其它物种来源

[细胞产品包装]鲜活细胞:T25培养瓶(一瓶)或冻存细胞:1ml冻存管(两支)

预防细胞污染的注意事项:实验进行前,超净台用紫外灯照射30-60min,然后用75%酒精擦拭超净台台面,并开启超净台风扇运转10min左右再开始实验操作。实验用品用75%酒精擦拭后才能放入超净台内;实验用品用完应移出超净台,以利于气流的流通。实验完成后用75%酒精擦拭超净台台面。每次操作只处理一种细胞;即使不同细胞使用相同的培养基也不要共享同一瓶培养基,避免细胞间的交叉污染。操作时小心取用无菌的物品,避免污染。勿碰触吸管尖头,不小心碰触后应立即更换;不要在打开的容器瓶口正上方操作,容器打开后,倾斜45°操作,操作完成后及时盖上瓶盖。CO2培养箱的清洁是较易被忽视的地方,应1-2个月对培养箱定期进行清洁消毒。先用75%酒精擦拭培养箱内壁、隔板、水盘2-3次,用双蒸水清洗,再用酒精棉球擦拭一遍,后紫外灯照射4h以上。水盘内加入无菌水(应每周更换),待培养箱内温度、湿度、CO2浓度稳定后再放入细胞。定期清洗或更换超净台过滤膜、预滤网。

细胞传代方法:1:2-1:3传代;每周换液2-3次。

VP 267细胞类似产品::Statens Seruminstitut Rabbit Cornea细胞、ELD-1细胞、GM03190细胞

University of Michigan-Urothelial Carcinoma-3细胞类似产品::HCC366细胞、CG4细胞、COLO-680N细胞

H1869细胞类似产品::PA12细胞、SW900细胞、H283细胞

P560细胞类似产品::HuT-78细胞、H889细胞、OVCAR-10细胞

LTEP-a-2细胞类似产品::BOWES细胞、SKNBE(2c)细胞、A498细胞

细胞来源说明:来源于RCB、ATCC、KCLB、DSMZ、ECACC、INCell、ScienCell、ECACC、JCRB、Asterand、ICLC等知名细胞库

H22-H8D8 Cells(赠送Str鉴定报告)|小鼠肝癌细胞

细胞生长特性:半贴壁

MONO-MAC 6细胞类似产品::H-2135细胞、P30/OHK细胞、EOC 20细胞

C28/I2细胞类似产品::CHO/dhFr-细胞、Hos TE-85细胞、526 mel细胞

BT-474细胞类似产品::T-47-D细胞、Ly10细胞、BC-028细胞

Hi-5细胞类似产品::HCC1438细胞、SNU-C2A细胞、As-PC1细胞

KYSE30细胞类似产品::MCF7/WT细胞、Lymph Node Carcinoma of the prostate细胞、HCA7细胞

HeLa S-3细胞类似产品::HeLa 229细胞、RFL 6细胞、Factor Dependent Cell-Paterson 1细胞

细胞常规培养传代流程(请严格遵照无菌操作):1)吸出原培养瓶中的培养基,PBS缓冲液润洗细胞两次,加2-3ml 0.25%胰酶进行消化细胞(注意把握消化时间,通常控制在1-2min);2)镜下观察消化情况,在细胞边缘缩小,贴壁松动时(不建议消化到细胞漂浮)去掉胰酶,加6-8ml完全培养基,轻轻吹打细胞层,尽量把细胞层吹落,吹散;3)取部分细胞悬液转移到新的培养皿/瓶中,添加适当的完全培养基,把细胞悬液打匀,于培养箱中培养;4)注意培养基PH值变化情况,定期换液(每周2-3次),待细胞密度达到80%以后重复1项操作或者冻存;别注意:(如使用公共实验室或者初次接触细胞培养,建议添加双抗培养)1)收到细胞后请尽快更换为含15%血清的新鲜培养基,如因殊情况需要继续使用原瓶,请在原瓶培养基中额外添加10%的血清,(原瓶培养基的继续使用时间Zui长不宜超过72小时);2)贴壁细胞收到当天切忌立刻消化,请将细胞换液后放置培养箱孵育到第二天再做消化传代,请YOU先选择直径6cm的培养皿进行传代培养;3)如签收时出现培养瓶壁破裂,漏液等情况请及时做HAO照片记录并联系实验室。

细胞传代培养实验:体外培养的原代细胞或细胞株要在体外持续地培养就必须传代,以便获得稳定的细胞株或得到大量的同种细胞,并维持细胞种的延续。培养的细胞形成单层汇合以后,由于密度过大生存空间不足而引起营养枯竭,将培养的细胞分散,从容器中取出,以1:2或1:3以上的比率转移到另外的容器中进行培养,即为传代培养;细胞“一代”指从细胞接种到分离再培养的一段期间,与细胞世代或倍增不同。在一代中,细胞培增3~6次。细胞传代后,一般经过三个阶段:游离期、指数增生期和停止期。常用细胞分裂指数表示细胞增殖的旺盛程度,即细胞群的分裂相数/100个细胞。一般细胞分裂指数介于0.2%~0.5%,肿瘤细胞可达3~5%;细胞接种2~3天分裂增殖旺盛,是活力ZuiHAO时期,称指数增生期(对数生长期),适宜进行各种试验。实验步骤:1.将长成的培养细胞从二氧化碳培养箱中取出,在超净工作台中倒掉瓶内的培养液,加入少许消化液。(以液面盖住细胞为宜),静置5~10分钟。2.在倒置镜下观察被消化的细胞,如果细胞变圆,相互之间不再连接成片,这时应立即在超净台中将消化液倒掉,加入3~5ml新鲜培养液,吹打,制成细胞悬液。3.将细胞悬液吸出2ml左右,加到另一个培养瓶中并向每个瓶中分别加3ml左右培养液,盖HAO瓶塞,送回二氧化碳培养箱中,继续进行培养。一般情况,传代后的细胞在2小时左右就能附着在培养瓶壁上,2~4天就可在瓶内形成单层,需要再次进行传代。

SK LU 1细胞类似产品::EMT6细胞、LA-N-6(OAN)细胞、NCIH1836细胞

H196细胞类似产品::WM-2664细胞、HcaF细胞、GM01232细胞

CHO cell clone K1细胞类似产品::HCC-95细胞、SKNSH细胞、HCC9724细胞

HCT15细胞类似产品::P-3J细胞、HuT 102细胞、OVCAR 8细胞

OVCAR.8细胞类似产品::H-446细胞、HCM细胞、IPLB-Sf21AE细胞

LNCaP-FGC细胞类似产品::CORL26细胞、NCI-H250细胞、RA 1细胞

V-79-4细胞类似产品::HBZY 1细胞、C3H/10T1/2 clone 8细胞、A204细胞

HuH1细胞类似产品::NCI-H747细胞、Wien133细胞、AKR细胞

NEC细胞类似产品::U14细胞、H1355细胞、Clone M-3细胞

C3H10T1/2细胞类似产品::NCIH1573细胞、PCI-04B细胞、HCEpiC细胞

H1954细胞类似产品::Eca109细胞、HEK-293-FT细胞、EAC细胞

Tu212细胞类似产品::FOX-NY细胞、RT4P细胞、H-1436细胞

BpRc1细胞类似产品::hTERT-HME1细胞、H1048细胞、IM-9细胞

P3X63Ag8-6-5-3细胞类似产品::SUM102PT细胞、RINm5F细胞、RT112细胞

MNNG/HOS Clone F-5细胞类似产品::SJSA1细胞、DHL-16细胞、GM02131A细胞

COC1/CDDP细胞类似产品::UCLA RO-81A-1细胞、IFRS1细胞、DHL-6细胞

COC1/CDDP细胞类似产品::UCLA RO-81A-1细胞、IFRS1细胞、DHL-6细胞

MDA-MB-175VII细胞类似产品::H-2108细胞、SF767细胞、BNL-HCC细胞

JHH-2细胞类似产品::MRC-9细胞、LP1细胞、IM95细胞

DHL4细胞类似产品::IALM细胞、CALU 1细胞、GDM1细胞

H22细胞类似产品::KYSE 70细胞、Y3Ag1.2.3细胞、Glioma 261细胞

JROECL21细胞类似产品::OsA-CL细胞、HCMEC(BL12-H)细胞、EBC-1/original细胞

B-104细胞类似产品::COLO-320DM细胞、SaOS细胞、RMS 13细胞

VP229细胞类似产品::SW-1222细胞、HUT 226细胞、OCM-1A细胞

RCC-4细胞类似产品::A549细胞、KPL1细胞、COLO 320 HSR细胞

MDAMB361细胞类似产品::HuH-6细胞、SW1783细胞、HT1080细胞

P31-FUJ细胞类似产品::801-D细胞、HCT 15细胞、SL-29细胞

BTI-Tn-5B1-4细胞类似产品::RMC细胞、H1581细胞、OKT 3细胞

HTR-8/SV-neo细胞类似产品::T24细胞、Doubling time: ~50 hours (ATCC).细胞、H1666_DA细胞

P3-NS1/1-Ag4-1细胞类似产品::NHLF细胞、NCI-H524细胞、Caco 2细胞

SW1463细胞类似产品::H69细胞、SF539细胞、TE1细胞

C57 Mouse Tumor 64细胞类似产品::BALB/3T3细胞、MDAPCa2b细胞、RT-4细胞

DanG细胞类似产品::207细胞、TGW细胞、T2(174 x CEM.T2)细胞

HCC941122细胞类似产品::NCI-H1963细胞、Blotchy fibroblast-11细胞、H-1793细胞

Astrocyte type I clone细胞类似产品::NCI-SNU-1细胞、H2.35细胞、SHI1细胞

UM-UC-14细胞类似产品::CF-1 MEF细胞、GL261细胞、ZYM-DIEC02细胞

SK_N_FI细胞类似产品::UMUC1细胞、SUDHL4细胞、HMC-1细胞

Sol8细胞类似产品::RAW2647细胞、Oregon J-111细胞、U-118MG细胞

HEK293-A细胞类似产品::UPCI:SCC154细胞、H-2170细胞、C-4-I细胞

SKLU1细胞类似产品::BTI-Tn-5B1-4细胞、H2085细胞、CNE2细胞

RGC-6细胞类似产品::RPMI7666细胞、RKO-AS45-1细胞、RCC10 RGB细胞

H22-H8D8 Cells(赠送Str鉴定报告)|小鼠肝癌细胞

KNS-62细胞类似产品::UMNSAH-DF-1细胞、SK-N-BE(2)细胞、MNNG/HOS细胞

P3J细胞类似产品::SW48细胞、P3-x63-Ag8 653细胞、CHOK1细胞

AGS细胞类似产品::Glioma 261细胞、B 95.8细胞、H-596细胞

LoVo细胞类似产品::KYSE 270细胞、SNU878细胞、NCI-H1105细胞

MDAMB468细胞类似产品::HT1080细胞、BC-023细胞、IM9细胞

MDAMB468细胞类似产品::HT1080细胞、BC-023细胞、IM9细胞

beta TC6细胞类似产品::RPMI1788细胞、HUVEC-C[HUVEC]细胞、STTG1细胞

U-226AR1细胞类似产品::H-1417细胞、U-937细胞、WML2细胞

HCC1171细胞类似产品::Wistar Institute-38细胞、MiaPaCa-2细胞、DSL-6A/C1细胞

MCF12F细胞类似产品::hs 68细胞、MGc80-3细胞、TM4细胞

JB6 clone 30, subclone 7b细胞类似产品::JB6 Cl 30细胞、RS4;11细胞、RC92A细胞

Acanthosis Nigricans 3rd attempt-CArcinoma细胞类似产品::U251细胞、SNU1040细胞、MLFC细胞

Colo16细胞类似产品::HBMEC细胞、NCIH520细胞、Wills Eye Research Institute-Retinoblastoma-1细胞

MC-38细胞类似产品::OE-21细胞、SUDHL8细胞、HeLa S3细胞

MC-38细胞类似产品::OE-21细胞、SUDHL8细胞、HeLa S3细胞

KMH2细胞类似产品::SKNBE(2)细胞、ARIP细胞、PG-4 (S+L-)细胞

PLA-802细胞类似产品::BC-025细胞、H1930细胞、SK-ChA1细胞

MDA-MB 468细胞类似产品::U373细胞、SKMEL5细胞、ARPE19细胞

SVGp12细胞类似产品::H-2066细胞、SW-1573细胞、TE354T细胞

HCC1143细胞类似产品::Biopsy xenograft of Pancreatic Carcinoma line-3细胞、NL-20细胞、MDCK-II细胞

Hs729细胞类似产品::Panc 08.13细胞、HONE1细胞、MC3T3-E细胞

HOMEC细胞类似产品::SK-MES细胞、KYSE-510细胞、BEL 7404细胞

P3-X63.Ag8.653细胞类似产品::MonoMac 6细胞、SU-DHL-6细胞、BEL7405细胞

CCD 841 CoN细胞类似产品::SUD4细胞、DF-1细胞、GM05887A细胞

BTT739细胞类似产品::U-937细胞、H1869细胞、My-La 2059细胞

A-1847细胞类似产品::SL-29细胞、HuTu-80细胞、6-T CEM细胞

Roswell Park Memorial Institute 1788细胞类似产品::EM3细胞、SGC7901/DDP细胞、C3H10T1/2细胞

CL1.0细胞类似产品::COR-L 105细胞、M14-MEL细胞、MMAc-Serum Free细胞

SupB15W细胞类似产品::SNU387细胞、EOMA细胞、COLO-16细胞

Panc-08.13细胞类似产品::C4-I细胞、Normal Rat, August 3, 1983细胞、MCF 7细胞

BHK 21细胞类似产品::NBL-1细胞、LLC细胞、HUVEC细胞

L78细胞类似产品::L929(NCTC)细胞、HEC-151细胞、MCF-12F细胞

NCI-H719细胞类似产品::Ca 9-22细胞、HLEC细胞、JG细胞

CW2细胞类似产品::Epstein-Barr-2细胞、MJ细胞、HS 683T细胞

Lewis lung carcinoma line 1细胞类似产品::MDA157细胞、IPEC-1细胞、SNU119细胞

Lewis lung carcinoma line 1细胞类似产品::MDA157细胞、IPEC-1细胞、SNU119细胞

SK RC 20细胞类似产品::OV1-P细胞、3T3-J2细胞、P3X63Ag8细胞

TE9细胞类似产品::GM03569细胞、NCIH838细胞、RPMI-6666细胞

BE(2)M17细胞类似产品::Mhh-Call 2细胞、MPP-89细胞、Normal Rat, August 3, 1983细胞

Hce8693细胞类似产品::UPCI-SCC-154细胞、ME-1 [Human leukemia]细胞、CMT-167细胞

SW-48细胞类似产品::COLO 16细胞、H-2030细胞、B16 F1细胞

A-2780细胞类似产品::H9c2细胞、SCL-2细胞、BALL1细胞

UM-UC14细胞类似产品::NCIH510细胞、OVCAR 8细胞、Psi2-DAP细胞

University of Michigan-Renal Carcinoma-2细胞类似产品::HT 1376.T细胞、OVCAR 433细胞、PANC 1005细胞

LNCaP C4-2B细胞类似产品::EB1细胞、HCE细胞、MAD109细胞

MDA-MB-436细胞类似产品::CCRF/CEM/0细胞、MRASMC细胞、SCC090细胞

KP 4细胞类似产品::Saos2细胞、D341Med细胞、CCD 19Lu细胞

Mo7e细胞类似产品::H-2196细胞、CAKI 2细胞、NCI-H510细胞

Mhh-Call 2细胞类似产品::GP2-293细胞、RBVEC细胞、J 774A.1细胞

HCC15细胞类似产品::FRO81-2细胞、YD-38细胞、MOLT.4细胞

RPMI no. 8226细胞类似产品::BHT-101细胞、G292细胞、Rat Basophilic Leukemia-1细胞

SiHa细胞类似产品::SW 620细胞、HCT8细胞、A.704细胞

Human Fetal Thymocyte-8810细胞类似产品::HCC-1569细胞、H-69细胞、KATO III细胞

NCI-H-69细胞类似产品::DHL-8细胞、HCT116细胞、Fao细胞

LY-R细胞类似产品::EJ1细胞、A498细胞、Colon-26细胞

HEK-A细胞类似产品::LTPA细胞、VAESBJ细胞、NCIH747细胞

SNU-761细胞类似产品::HM1900细胞、MES 13细胞、769P细胞

S180细胞类似产品::SK-N-BE(2)细胞、HT clone H9细胞、NCI-H1975细胞

KM H-2细胞类似产品::NCI-H1838细胞、Kit 225细胞、AZ521细胞

OCI/AML5细胞类似产品::ACC3细胞、Panc 8.13细胞、B16 F10细胞

NCI-H727细胞类似产品::T-ALL 1细胞、NCI-H1993细胞、KG-1细胞

4T1-LUC细胞类似产品::HEL-92.1.7细胞、BT-325细胞、H650细胞

SW900细胞类似产品::NCI-H510细胞、HCA7细胞、BxPC-3细胞

NCI-H1930细胞类似产品::TCC Sup细胞、Hs695细胞、NCI-H1793细胞

SUM-159-PT细胞类似产品::Sp2/0-Ag-14细胞、SW1271细胞、OVCAR4细胞

RWPE1细胞类似产品::Walker-256细胞、mIMCD3细胞、P3-X63-Ag8.653细胞

NCIADR.RES细胞类似产品::SUNE 1细胞、SU-DHL-5细胞、3LL细胞

P3-NS1/1-Ag4-1细胞类似产品::NHLF细胞、NCI-H524细胞、Caco 2细胞

MTEC1细胞类似产品::HCC-1833细胞、Vero 76 clone E6细胞、HS-294细胞

Hs870T细胞类似产品::JG细胞、NCI-H748细胞、SK-MEL-1细胞

HCC2108细胞类似产品::BNCL2细胞、MXI细胞、SW1783细胞

HEK293EBNA细胞类似产品::OACP4 C细胞、NCIH2110细胞、3AA细胞

JAR细胞类似产品::SkChA-1细胞、BL1339细胞、HEL-92.1.7细胞

P-2003细胞类似产品::SCC 15细胞、TYK-nu细胞、HSAS4细胞

OCI-Ly 10细胞类似产品::IEC 18细胞、HLE B-3细胞、WILL-2细胞

ChaGo K-1细胞类似产品::UCH1细胞、HIT clone T15细胞、KYSE 510细胞

TALL-1 [Human adult T-ALL]细胞类似产品::NCI-1155细胞、H-2052细胞、Panc05.04细胞

HBL-100细胞类似产品::NS-I/1细胞、SKMel-28细胞、Hs27细胞

HEL-1细胞类似产品::SCC 4细胞、Adeno-293细胞、H2052细胞

D-283细胞类似产品::NP69细胞、NCIH2023细胞、Vero-E6细胞

Panc8.13细胞类似产品::GM04680细胞、Nb2a细胞、NCIH660细胞

MCF-7B细胞类似产品::Jurkat E6.1细胞、TFK-1细胞、NCIH1703细胞

FHs 74 Int细胞类似产品::KPL1细胞、H-510细胞、HEC-251细胞

Nb2a细胞类似产品::CEM clone 7细胞、PIGI细胞、Kato-III细胞

Tn 5B1-4细胞类似产品::H2029细胞、OV1/P细胞、Centre Antoine Lacassagne-78细胞

HSC2细胞类似产品::HUT125细胞、HEC251细胞、NKM-1细胞

Hs294T细胞类似产品::MDAPCa-2b细胞、DanG细胞、J-82细胞

BEL 7404细胞类似产品::Colo205细胞、JiyoyeP-2003细胞、HIMEC细胞

TOV112细胞类似产品::SKHEP-1细胞、DU145细胞、Hs683细胞

HPAC细胞类似产品::JVM-3细胞、H2198细胞、YES2细胞

MEG01细胞类似产品::OVCAR4细胞、Hs706T细胞、Murine Long bone Osteocyte-Y4细胞

OCI/AML2细胞类似产品::BrCL18细胞、CORL26细胞、MDA415细胞

CHP 212细胞类似产品::HCC-1806细胞、H-1155细胞、KMS-11细胞

B104 [Rat neuroblastoma]细胞类似产品::C57/B6-L细胞、HHL5细胞、C166细胞

PCI-4M细胞类似产品::hTERT RPE1细胞、52PE细胞、WM451Lu细胞

Y3-Ag123细胞类似产品::C4-1细胞、SK RC 20细胞、Hep-G2/C3A细胞

NTera 2/cl.D1细胞类似产品::H-1155细胞、OVCAR432细胞、ssMCF-7细胞

OCM1A细胞类似产品::686LN-M4e细胞、C-Lu-65细胞、HUT 226细胞

RPMI6666细胞类似产品::CCRF/CEM-C7细胞、MPP89细胞、DH 82细胞

AAV-293细胞类似产品::P19细胞、A1847细胞、HECV细胞

ETCC-007细胞类似产品::HEL-92-1-7细胞、UT-7细胞、HCC1187细胞

Kit225/K6细胞类似产品::J111细胞、GM00215细胞、OCI-AML4细胞

RL95-2细胞类似产品::Clone 166细胞、GM03570细胞、Molm 13细胞

UT7细胞类似产品::MEG01细胞、WSUDLCL2细胞、Tsup-1细胞

RPMI-8402细胞类似产品::SuperTube细胞、SK-MEL-5细胞、HAEC细胞

DanG细胞类似产品::207细胞、DU 4475细胞、COLO-320细胞

B16-BL6细胞类似产品::OVCAR10细胞、AN3CA细胞、Human ErythroLeukemia细胞

Mhh-Call 2细胞类似产品::GP2-293细胞、RBVEC细胞、J 774A.1细胞

SUP-T1细胞类似产品::N-2a细胞、A-431细胞、SN12C细胞

MEG01细胞类似产品::OVCAR4细胞、Hs706T细胞、Murine Long bone Osteocyte-Y4细胞

P3X63 AG 8.653细胞类似产品::C33细胞、P-2003细胞、PANC-10-05细胞

P3-NS1/1Ag 4.1细胞类似产品::SIRC细胞、VERO C 1008细胞、H-2122细胞

2E8细胞类似产品::HCT 8细胞、U-87细胞、SKUT1细胞

NCI-HUT-596细胞类似产品::675T细胞、A 253细胞、CWR22Rv1细胞

C4-2 B细胞类似产品::AR41P细胞、EB-3细胞、Panc-813细胞

H1672细胞类似产品::MIHA细胞、H-1437细胞、HS-695T细胞

DI TNC-1细胞类似产品::MXI细胞、KP-4细胞、SW948细胞

CAKI 1细胞类似产品::OCI Ly10细胞、MILE SVEN1细胞、RC-4B/C细胞

Hi-5细胞类似产品::HCC1438细胞、SNU-C2A细胞、As-PC1细胞

H22-H8D8 Cells(赠送Str鉴定报告)|小鼠肝癌细胞

MONO-MAC 6细胞类似产品::H-2135细胞、P30/OHK细胞、EOC 20细胞

Hs.27细胞类似产品::H-526细胞、Hs 578Bst细胞、Nb 2细胞

QGY7703细胞类似产品::Jurkat77细胞、PK-15细胞、SuDHL 5细胞

IPLB-Sf21AE细胞类似产品::NCI-H378细胞、NCI-SNU-520细胞、hFOB细胞

NCIH295R细胞类似产品::TI-73细胞、NCIH1755细胞、NCI-H2591细胞

4T1细胞类似产品::BSC40细胞、T173细胞、SK_HEP1细胞

H711细胞类似产品::IMCD-3细胞、SW 982细胞、MGHU3细胞

PANC403细胞类似产品::MFM223细胞、Hs294T细胞、H-929细胞

BLO 11细胞类似产品::COR-L105细胞、HEK-2细胞、MKN28细胞

NBL-2细胞类似产品::NPC-039细胞、Farage Original Line细胞、EFM192B细胞

H716细胞类似产品::Colo16细胞、BRL 3A细胞、NCI-H1666细胞

CCD-1112sk细胞类似产品::Renal Carcinoma细胞、Vertebral Cancer of the Prostate细胞、H727细胞

KYSE 520细胞类似产品::H2122细胞、RC-4B/C细胞、NCIH889细胞

H-1819细胞类似产品::5637细胞、SKNDZ细胞、OCI-Ly3细胞

H-1819细胞类似产品::5637细胞、SKNDZ细胞、OCI-Ly3细胞

NCIH2052细胞类似产品::G361mel细胞、A10细胞、Radiation Effects Research Foundation-Lung Cancer-MS细胞

WEHI 164 TC细胞类似产品::Hs683T细胞、OVCA 432细胞、MARC 145细胞

SW 13细胞类似产品::CCD18Co细胞、UMUC-14细胞、CAOV4细胞

MF2059细胞类似产品::WM266mel细胞、HBL 100细胞、SU.86细胞

IFRS1细胞类似产品::SNU-423细胞、GM06141细胞、TE13细胞

Hx147细胞类似产品::343 MG细胞、BJAB细胞、COLO 394细胞

Pfeiffer细胞类似产品::L-Wnt-3A细胞、OCILY7细胞、MFHL-2细胞

RPMI no 8226细胞类似产品::NCIH82细胞、KYSE-450细胞、ARH77细胞

3T3-Swiss细胞类似产品::SK Mel 24细胞、LIPF155C细胞、DMS-79细胞

Hs675细胞类似产品::H-1755细胞、Calf Pulmonary Artery 47细胞、Panc 1细胞

Michigan Cancer Foundation-7细胞类似产品::WM-239细胞、Hs 888Lu细胞、SW-13细胞

HCC2185细胞类似产品::BEL-7402细胞、CCD-33Co细胞、B16/F0细胞

Hs683细胞类似产品::293-F细胞、LK 2细胞、Line 697细胞

DAKIKI Clone 1细胞类似产品::A-431细胞、A375-S2细胞、HcaF细胞

P-388D1细胞类似产品::OV1063细胞、D341 Med细胞、TE-4细胞

CHO cell clone K1细胞类似产品::HCC-95细胞、OCI-Ly 10细胞、U031细胞

CNE2Z细胞类似产品::Scott细胞、LA-4 [Mouse lung adenoma]细胞、Ball 1细胞

"



H22-H8D8 Cells(赠送Str;

公司简介

上海冠导生物工程有限公司,先后从ATCC、DSMZ、ECACC、RIKEN、PromoCell、ScienCell、JCRB等国内外细胞库引进细胞2000余株。以此为契机,公司组建了冠导细胞库,我司细胞均由资深细胞培养工程师进行培养。我司可以提供的细胞有:①细胞系②原代细胞③稳转株④耐药株⑤标记细胞⑥细胞配套试剂等。

成立日期 (11年)
注册资本 100万(元)
员工人数 50-100人
年营业额 ¥ 1000万-5000万
经营模式 工厂,试剂,定制,服务
主营行业 细胞培养,微生物学,细胞生物学

H22-H8D8 Cells(赠送Str鉴定报告)|小鼠肝癌细胞相关厂家报价

内容声明
拨打电话 立即询价