基本信息 产品详情 公司简介 推荐产品
网站主页 化工产品目录 生物 细胞培养 细胞系 小鼠细胞系 M109 CELLS|小鼠肺癌贴壁细胞 M109 Cells(赠送Str鉴定报告)|小鼠肺癌细胞
  • M109 Cells(赠送Str鉴定报告)|小鼠肺癌细胞

M109 Cells(赠送Str鉴定报告)|小鼠肺癌细胞

M109 Cells
询价 1000000细胞数 起订
2000000细胞数 起订
上海 更新日期:2026-04-28

上海冠导生物工程有限公司

VIP6年
联系人:全经理
电话:18818239863拨打
邮箱:3171921642@qq.com

产品详情:

中文名称:
M109 Cells(赠送Str鉴定报告)|小鼠肺癌细胞
英文名称:
M109 Cells
保存条件:
常温培养或液氮冻存
纯度规格:
M109 Cells(赠送Str鉴定报告)|小鼠肺癌细胞
产品类别:
生物试剂

"M109 Cells(赠送Str鉴定报告)|小鼠肺癌细胞

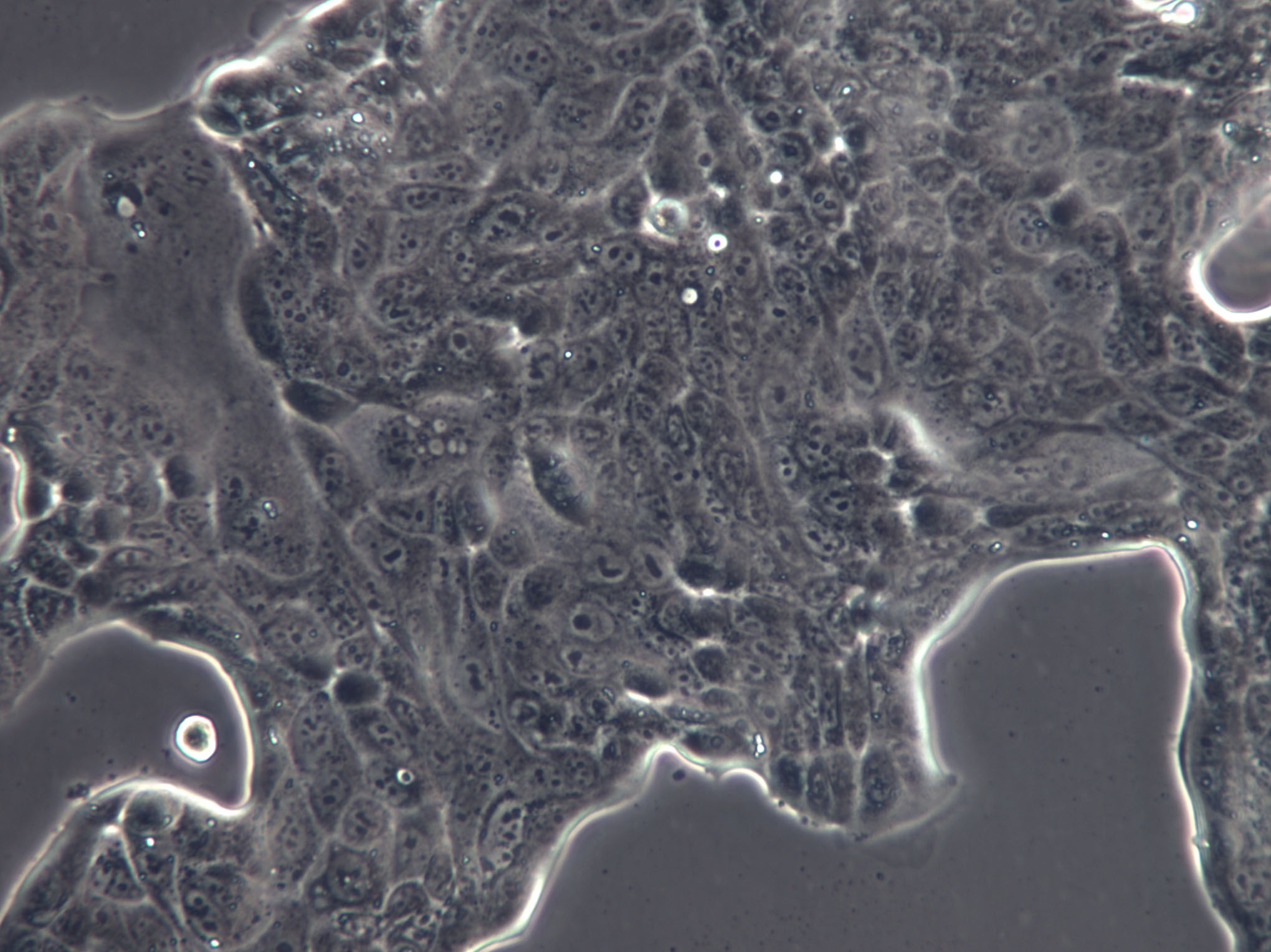
细胞背景资料:肺癌;BALB/c

细胞形态:上皮细胞样

解冻细胞出现大量细胞碎片的可能原因及推荐解决方案如下:1)冷冻时细胞密度过低:推荐的解决方案:缩短解冻过程中的时间。将细胞取出后,立即将冻存管浸入在37℃的水浴中,并震荡至全部融化,然后迅速地转移到预热的培养基中;2)不适当的冷冻过程:推荐的解决方案:解冻不同冷冻室总的试管。确保在冻存过程中采用的适当的技术,并确保使用了适量和适合的冷冻液。出现生长缓慢的可能原因及推荐解决方案如下:1)培养瓶的大小:一般解决方案是一些细胞在培养基中倾向于维持一定的密度。将培养物转移到较小的培养瓶中,使细胞密度上升;如,根据培养基的体积,从T75培养瓶转移到2或3个T25培养瓶中;2)细胞密度过低:通常解决方案是提GAO未来冷冻物种细胞的冻存密度,或使用较小的培养容器,或解冻多个试管来进行培养。

细胞生长:贴壁

SCL II细胞类似产品::IBRS-2细胞、HO-8910细胞、J774.A1细胞

MDA-MB-436细胞类似产品::CCRF/CEM/0细胞、MRASMC细胞、SCC090细胞

U343细胞类似产品::HEK AD293细胞、FO [Mouse myeloma]细胞、SKNBE(2)细胞

SN12C细胞类似产品::H727细胞、D283-MED细胞、TJ905细胞

MV 4;11细胞类似产品::KYSE 140细胞、CV-1.K细胞、RAW2647细胞

M109 Cells(赠送Str鉴定报告)|小鼠肺癌细胞

细胞物种来源:人源或鼠源等其它物种来源

[细胞产品包装]鲜活细胞:T25培养瓶(一瓶)或冻存细胞:1ml冻存管(两支)

细胞培养过程中,总是会出现各种意想不到的问题,一不留神就会全盘皆输。所谓细胞虐我千百遍,我待细胞如初恋。下面是贴壁细胞的保藏方法,希望对细胞培养初学操作者有所帮助:1)观察细胞状态:贴壁细胞密度达到85-90%,即可以细胞冻存形式进行保藏,拍照,记录细胞状态;2)细胞清洗:培养皿表面消毒后,转移至生物安全柜中,去除培养皿中培养液,加入12mlPBS,轻轻摇晃培养皿清洗细胞,随后吸除PBS清洗液;3)细胞消化:将2ml胰酶加入培养皿中,完全覆盖细胞,置于显微镜下观察(期间禁止摇晃培养皿),当细胞刚开始脱落时,立即转移至生物安全柜中,除去大部分胰酶,剩余约0.5ml胰酶,转移至培养箱内继续消化,每30秒肉眼观察细胞状态,至细胞成流沙状完全脱落,转移至生物安全柜中,加入12ml完全培养基,终止消化;4)细胞离心:将终止消化后的细胞悬液吹打均匀,吸取至15ml离心管中,1000r/min(110g),离心3min;5)细胞冻存:离心后去除细胞上清液,按照冻存细胞量5*10^5/ml,吸取冻存液重悬细胞沉淀,吹打均匀后分装至相应的冻存管中,进行冻存;6)细胞保藏:冻存管做HAO标记,放至程序降温盒中,于4℃冰箱放置30min,转移至-80℃超低温冰箱过夜,将过夜后的冻存细胞转移至液氮中保藏。

细胞传代方法:1:2-1:3传代;每周换液2-3次。

HS-294T细胞类似产品::HF-91细胞、Hep 2细胞、LIXC002细胞

HCEpiC细胞类似产品::C2BBe1细胞、Meat Animal Research Center-145细胞、RFL-6细胞

Pro-5 Lec1.3c细胞类似产品::HuH28细胞、VM Cub 1细胞、HS-294T细胞

HL-60 Clone 15细胞类似产品::HHUA细胞、Roswell Park Memorial Institute 7666细胞、TE-6细胞

RKO-AS-45-1细胞类似产品::SGC996细胞、SuDHL 5细胞、Vero 76 clone E6细胞

细胞来源说明:来源于RCB、ATCC、KCLB、DSMZ、ECACC、INCell、ScienCell、ECACC、JCRB、Asterand、ICLC等知名细胞库

M109 Cells(赠送Str鉴定报告)|小鼠肺癌细胞

细胞生长特性:贴壁

H-35细胞类似产品::KP 4细胞、SUDHL2细胞、BSC1细胞

SPDC-CCL141细胞类似产品::CCC-HEH-2细胞、CHP-126细胞、LTEP a2细胞

P-36细胞类似产品::HCT_116细胞、Chinese Hamster Ovary细胞、VM-CUB-1细胞

Y3-Ag 1.2.3细胞类似产品::0V-1063细胞、DU_145细胞、ECC-10细胞

CHAGOK1细胞类似产品::Caov-3细胞、NCIH1417细胞、H322T细胞

CATHa细胞类似产品::KMB17细胞、GM 637细胞、GM 637细胞

如何进行细胞复苏:1)从液氮容器中取出冻存管,直接浸入37℃温水中,并不时摇动令其尽快融化;2)从37℃水浴中取出冻存管,打开盖子,用吸管吸出细胞悬液,加到离心管并滴加10倍以上培养液,混匀;3)离心,1000rpm,5min;4)弃去上清液,加入含10%小牛血清培养液重悬细胞,计数,调整细胞密度,接种培养瓶,37℃培养箱静置培养;5)次日更换一次培养液,继续培养。【温馨提醒】1)从增殖期到形成致密的单层细胞以前的培养细胞都可以用于冻存,但ZuiHAO为对数生长期细胞。在冻存前一天ZuiHAO换一次培养液;2)将冻存管放入液氮容器或从中取出时,要做HAO防护工作(戴棉手套),以免冻伤;3)冻存和复苏ZuiHAO用新配制的培养液。细胞复苏的时候,有些初次实验员将冻存管从液氮中取出后,放在室温下,经常发生冻存管爆炸,该怎么避免出现这种情况吗?其中在拧紧冻存管的时候是否有哪些细节要注意的?一般常用的方法是取出冻存管后在超净工作台中用酒精棉球擦试管口,再稍拧松盖子,再放37度水浴锅中摇溶,在将细胞转移到装有37度预热过的培养基的试管中,迅速离心,再用培养基洗一遍。

正确的细胞复苏需知事项:细胞冻存HAO了,接下来要注意什么问题呢?没错,就是记得到时间了,拿出来复苏。那么,细胞复苏的过程中又有哪些该注意的事项呢?细胞活力和形态检查的作用何在?活力检查——千万不要使用不健康的细胞,可能有污染(真菌、支原体等),如果发现有污染毫不犹豫的丢弃!形态检查——检查细胞的固有形态和生长行为。冻存细胞:补充新的培养液——在您开始冻存细胞的前一天补充新的培养液。在细胞长至70%单层时收获细胞,计数活细胞数,用冻存液调整细胞密度~5 x106 Cell s/ml (根据不同的细胞类型调整);冻存液——用冻存液洗细胞并用冻存液重悬细胞,有不同类型的冻存液,根据细胞类型选择Zui合适的冻存液(常用的冻存液成分有):5-10% DMSO——注意确保DMSO不含有其他的毒性物质;5-15%甘油;如果细胞在无血清培养基内生长,应在50%条件培养基内(细胞在无血清培养基内生长24小时)内冻存和复苏。在冻存管上标记HAO细胞类型,日期,冻存人等信息,并保证每冻存管不超过1.5ml。放入液氮罐之前记录冻存管的数量和位置。以Zui快的速度转移冻存管知液氮罐内,因此,此步骤ZuiHAO使用干冰,或者把冻存管浸入装有液氮的小盒内。此外还要注意,在冻存管上没有足够的空间记录细胞的详细信息,做HAO记录是非常非常重要的!还有一个Zui重要的,一定要在异地的液氮罐内保存同样的一份细胞,以免其中的一个液氮罐出现问题!细胞正确的复苏方式和正确的冻存方式同样重要,熟记以下要点:当从液氮罐内取出细胞时,有可能会出现冻存管破裂的情况,使用保护面罩和防护服十分必要;其实,细胞复苏只是一个简单的实验,不过这其中却不可避免有一些需要注意的细节,不然,也不一定会尽如人意。例如说,人身健康方面:一定要记得做HAO防冻工作,戴上护目镜;尽量降低DMSO对细胞的损伤等等。

EoL-1 cell细胞类似产品::Hs746-T细胞、NGP细胞、143BTK-细胞

EA. hy 926细胞类似产品::SUM190PT细胞、THLE-2细胞、AU 565细胞

Simpson细胞类似产品::RERFLCMS细胞、TE-9细胞、UMRC-2细胞

NCI-SNU-520细胞类似产品::SUM-159细胞、H-2029细胞、NCIH1770细胞

H1869细胞类似产品::PA12细胞、SW900细胞、H283细胞

CCRF/CEM细胞类似产品::M-1细胞、PL 5细胞、DHBE细胞

MKN 7细胞类似产品::MCAEC细胞、COR-L279细胞、JEG-3细胞

NRK clone 49F细胞类似产品::H322T细胞、OVCA-420细胞、OE21细胞

SW 620细胞类似产品::H-650细胞、SKMEL2细胞、Hs695细胞

HCC366细胞类似产品::L-363细胞、KYSE70细胞、GM00637H细胞

A-9细胞类似产品::LAD 2细胞、IOSE 29细胞、ETCC-007细胞

HEL细胞类似产品::OSA细胞、MPP 89细胞、MDAMB175VII细胞

HaCaT细胞类似产品::HO-1-N-1细胞、Be Wo细胞、MGSMC细胞

NU-GC-2细胞类似产品::NCI-460细胞、Human Melanoma Cell Bowes细胞、Stanford University-Diffuse Histiocytic Lymphoma-10细胞

Panc 08.13细胞类似产品::AZ 521细胞、HKF细胞、HSAS1细胞

MCA 38细胞类似产品::MeSoTheliOma-211H细胞、NSI/1-Ag4-1细胞、GC-1spg细胞

MCA 38细胞类似产品::MeSoTheliOma-211H细胞、NSI/1-Ag4-1细胞、GC-1spg细胞

KHYG细胞类似产品::Cates 1B细胞、OVCAR8/ADR细胞、H2172细胞

GM-215细胞类似产品::H2286细胞、KP-N-YN细胞、MonoMac 6细胞

BEL-7404细胞类似产品::CO115细胞、RPMI.8226细胞、High5细胞

MHCC 97-H细胞类似产品::NIT-1细胞、SW-626细胞、16HBEo-细胞

HSC(Human Schwann)细胞类似产品::CCC-HHM-2细胞、SupB15W细胞、GM17219细胞

COLO679细胞类似产品::EPC细胞、Hs-940细胞、SCH细胞

TC7细胞类似产品::KMBC细胞、LC2/Ad细胞、A-72细胞

LM3细胞类似产品::HCC1500细胞、UCLA-SO-M14细胞、H-35细胞

HT 1080.T细胞类似产品::SK-Hep1细胞、HANK细胞、HFL细胞

PC3M-2B4细胞类似产品::COLO684细胞、Tu 212细胞、G361-mel细胞

A431/P细胞类似产品::NCIH2135细胞、MCF12F细胞、LMTK-细胞

NRCC细胞类似产品::Fu97细胞、8505C细胞、COLO320HSR细胞

NCI-H2171细胞类似产品::AN3细胞、Walker/LLC-WRC 256细胞、RCK8细胞

HFT8810细胞类似产品::MV 3细胞、Bac12F5细胞、CCD1095Sk细胞

B 95-8细胞类似产品::DHL-4细胞、HR8348细胞、OCI-Ly 8细胞

H1836细胞类似产品::H-1581细胞、MUGCHOR1细胞、GM00215A细胞

JJN-3细胞类似产品::HOC1细胞、CW2细胞、UMUC14细胞

KYSE 150 KYSE150 Kyse150 KY150

细胞类似产品::NCIH1299细胞、SUP-B15细胞、C6细胞

OCI-LY-10细胞类似产品::Tb1Lu细胞、OAW 42细胞、Tn-5细胞

KM H-2细胞类似产品::NCI-H1838细胞、Kit 225细胞、AZ521细胞

COLO 394细胞类似产品::HRPEpiC细胞、NPC-TW-039细胞、MHCC 97-L细胞

WM115-mel细胞类似产品::L-Wnt3A细胞、SK-MES1细胞、Pt K1细胞

TR-146细胞类似产品::MDA-231细胞、University of Michigan-Urothelial Carcinoma-3细胞、CHO细胞

LM(TK-)细胞类似产品::HCC0015细胞、373 MG细胞、B/C3T3细胞

M109 Cells(赠送Str鉴定报告)|小鼠肺癌细胞

P30/0HK细胞类似产品::UMUC3细胞、H2107细胞、293 Ad5细胞

MOVAS细胞类似产品::SUM159PT细胞、KHYG细胞、M-O7e细胞

COLO-205细胞类似产品::NCI-H1105细胞、COV 434细胞、NMCG-1细胞

WC00059细胞类似产品::GM01232细胞、LTEPa2细胞、NCI H157细胞

HEYA8细胞类似产品::Hs675T细胞、SJRH30细胞、FET细胞

HEYA8细胞类似产品::Hs675T细胞、SJRH30细胞、FET细胞

SUDHL4细胞类似产品::3T3-Swiss albino细胞、MPC-11细胞、GM0637细胞

EJ-1细胞类似产品::Functional Liver Cell-7细胞、FHCRC subclone 11细胞、Cor L88细胞

NP-69细胞类似产品::H-4-II-E细胞、Huh7.5细胞、NCIH1105细胞

MFE280细胞类似产品::EBC1细胞、MG-63细胞、BaF3细胞

SW-13细胞类似产品::B35细胞、RH35细胞、MCF-7B细胞

MFM-223细胞类似产品::SKLU-1细胞、KM12-SM细胞、P3X63Ag8-6-5-3细胞

SK-MEL24细胞类似产品::IGROV 1细胞、EFM192B细胞、COLO-1细胞

GalK 1细胞类似产品::Homo sapiens No. 578, breast cells细胞、HEB细胞、WiDr细胞

GalK 1细胞类似产品::Homo sapiens No. 578, breast cells细胞、HEB细胞、WiDr细胞

HPAEC细胞类似产品::Vero细胞、FBHE细胞、SK-SH-SY5Y细胞

NHDF细胞类似产品::CAL 33细胞、UCLA-SO-M21细胞、D341 Med细胞

ST486细胞类似产品::GalK1细胞、BNCL-2细胞、CHP100细胞

MC3T3细胞类似产品::P3-NS1/1-Ag4-1细胞、Panc 02细胞、COLO 201细胞

KYSE0520细胞类似产品::Caki-1细胞、RM-1细胞、S16细胞

ONS-76细胞类似产品::3D4/21细胞、SC细胞、KRC Y细胞

G-361细胞类似产品::U-118MG细胞、U-87MG细胞、HCMEC细胞

OSA细胞类似产品::SHIN3细胞、SUDHL-4细胞、OCI-Ly07细胞

HCC2108细胞类似产品::BNCL2细胞、MXI细胞、SW1783细胞

H-460细胞类似产品::GLC-82细胞、RT-4细胞、B16F0细胞

MMQ细胞类似产品::Potorous tridactylus Kidney 2细胞、PANC0504细胞、EBTr (NBL-4)细胞

J 111细胞类似产品::NCI-H2030细胞、MRMT-1细胞、L929细胞

CCRF-CEM细胞类似产品::SNU-601细胞、ZR-75-1细胞、OCLY8细胞

TE-671细胞类似产品::LM8细胞、P3/NS1/Ag4-1细胞、ROS 17/28细胞

DU 145细胞类似产品::Fetal Human Lens-124细胞、McA-RH 8994细胞、U118-MG细胞

EOC20细胞类似产品::COV-434细胞、AgC11x3A细胞、Madin-Darby Canine Kidney细胞

F9细胞类似产品::Roswell Park Memorial Institute 8402细胞、NCI-H2052细胞、A-1847细胞

C28/I2细胞类似产品::CHO/dhFr-细胞、Hos TE-85细胞、526 mel细胞

C 643细胞类似产品::NPC-TW 01细胞、HTh74细胞、MDA-453细胞

EB3 [Human Burkitt lymphoma]细胞类似产品::Okayama University Medical School-27细胞、H929细胞、SW480E细胞

FRTL-5细胞类似产品::Hs-675-T细胞、P3X63Ag8.653细胞、SO-RB50细胞

GM03573A细胞类似产品::Panc 5.04细胞、NOMO1细胞、LLC-PK1细胞

L5178YR细胞类似产品::D10细胞、L M (TK-)细胞、NCIH748细胞

Sp 2817细胞类似产品::RPMI1846细胞、OUMS27细胞、NCI-BL6细胞

H-2126细胞类似产品::A253细胞、VCaP细胞、Be Wo细胞

Evsa-T细胞类似产品::PC-9S1细胞、C42细胞、NCI-H1703细胞

KTCTL140细胞类似产品::H-2009细胞、Evsa-T细胞、COLO 678细胞

GB1细胞类似产品::COLO 680N细胞、HL1细胞、rUCMSCs细胞

Adeno 293细胞类似产品::COLO-824细胞、Hep-G2/C3A细胞、HCAEC细胞

3T3-L1 ad细胞类似产品::D-283 Med细胞、Hs 819.T细胞、H2009细胞

H-4-II-E细胞类似产品::8505C细胞、SNUC2A细胞、U-373-MG细胞

MD Anderson-Metastatic Breast-231细胞类似产品::95D细胞、Hs 940.T细胞、UACC812细胞

NCI-H1693细胞类似产品::MARC 145细胞、RCK8细胞、Hs888Lu细胞

LAD-2细胞类似产品::293FT细胞、PLC-PRF-5细胞、TB1 Lu细胞

Acanthosis Nigricans 3rd attempt-CArcinoma细胞类似产品::U251细胞、SNU1040细胞、MLFC细胞

HNE-2细胞类似产品::KOPN-8细胞、CL1.0细胞、Hepa 1-6细胞

Intestinal Porcine Epithelial Cell line-J2细胞类似产品::B10BR细胞、C-33A细胞、HuH 6细胞

PLA801-95D细胞类似产品::SJSA细胞、Panc05.04细胞、MPC 11细胞

RBL 1细胞类似产品::DMS79细胞、NIH-OVCAR-3细胞、HeLa S-3细胞

MT-4细胞类似产品::HPAC细胞、PANC0813细胞、BBE细胞

Anip973细胞类似产品::WI-38细胞、COLO-320-DM细胞、MDCKII细胞

Mink Lung细胞类似产品::NCI-H1915细胞、HCC-44细胞、LNCaP clone FGC细胞

P3HR-1细胞类似产品::CA-OV-3细胞、REC 1细胞、KMS11细胞

H-4细胞类似产品::MV522细胞、EOC20细胞、RBL 1细胞

DKMG细胞类似产品::NR8383.1细胞、ECC 12细胞、Hs821T细胞

MDA-MB157细胞类似产品::hUC-MSC细胞、CZ-1细胞、SUM-102细胞

H1651细胞类似产品::OVSAHO细胞、LC-2-Ad细胞、SkChA1细胞

Stanford University-Diffuse Histiocytic Lymphoma-1细胞类似产品::A375SM细胞、RL-95-2细胞、IB-RS-2细胞

CEMC7细胞类似产品::HPDLF细胞、Jijoye细胞、H.Ep. #2细胞

BALB/3T3 clone A31细胞类似产品::CHO-ori细胞、RC-2细胞、LS-174细胞

Hs 281.T细胞类似产品::COLO-320-DM细胞、NCM460细胞、ARH-77细胞

Sp2/0细胞类似产品::H1623细胞、LS180细胞、NCIH187细胞

DU4475细胞类似产品::LNCaP细胞、MT-4细胞、KTC1细胞

H719细胞类似产品::CAL-78细胞、MV411细胞、HuT 78细胞

HepaRG细胞类似产品::Sp2/O细胞、HRVEC细胞、HEMCSS细胞

U266 Bl细胞类似产品::H1651细胞、TM4细胞、SU.86.86细胞

SJSA1细胞类似产品::L2细胞、CL34细胞、SHG44细胞

SU-DHL2细胞类似产品::HCoEpiC细胞、Oka-C1细胞、TMD8细胞

SW 626细胞类似产品::LC-1/sq细胞、HK-2 [Human kidney]细胞、159 PT细胞

HCC-1395细胞类似产品::SCaBER细胞、MOLP8细胞、HO1-N1细胞

MDA-MB-175-VII细胞类似产品::SW-1463细胞、KOSC2细胞、NB.4细胞

Dakiki细胞类似产品::LS411N细胞、DU 145细胞、U031细胞

COLO 829细胞类似产品::F81细胞、Swiss3T3细胞、SK-UT-1细胞

F98细胞类似产品::MC-CAR细胞、YES 2细胞、YAC-1细胞

EFM192A细胞类似产品::X63-Ag8-653细胞、HSC(Human Schwann)细胞、SU-DHL-8细胞

2V6.11细胞类似产品::IPLB-Sf21AE细胞、NCIH1299细胞、WC00044细胞

Mouse Podocyte Clone-5细胞类似产品::DSL-6A/C1细胞、HCEC-12细胞、U-251细胞

Rat Glomerular Endothelial细胞类似产品::NCIH747细胞、JeKo-1细胞、NCI747细胞

H1105细胞类似产品::CHP 126细胞、SW579细胞、D-324MED细胞

MLTC-1细胞类似产品::MV3细胞、HemECs细胞、SK N SH细胞

T 98 G细胞类似产品::FHs74Int细胞、MLA144细胞、MPC-83细胞

Doubling time: ~50 hours (ATCC).细胞类似产品::OV1/P细胞、HFL细胞、RBSMC细胞

HBE细胞类似产品::NCI-446细胞、RL细胞、mIMCD3细胞

Hs.27细胞类似产品::H-526细胞、Hs 578Bst细胞、Nb 2细胞

SL1细胞类似产品::Cates-1B细胞、NCI-H2347细胞、TFK1细胞

TE-7细胞类似产品::Human Intestinal Epithelial Cell-6细胞、MGH-UI细胞、H2291细胞

MADB-106细胞类似产品::MNNG/HOS Clone F-5细胞、MUTZ-1细胞、Caov-3细胞

SK-OV-3细胞类似产品::WM-239-A细胞、TCMK1细胞、NCIH2405细胞

Hce8693细胞类似产品::UPCI-SCC-154细胞、ME-1 [Human leukemia]细胞、CMT-167细胞

HT细胞类似产品::WM35细胞、MIHA细胞、SNU1细胞

P3X63Ag8细胞类似产品::HEK293A细胞、SCC-7细胞、SNU407细胞

VMCUB-1细胞类似产品::Huh 7.5.1细胞、NB1RGB细胞、NOR10细胞

BALL1细胞类似产品::Wien 133细胞、HEH2细胞、UCLA-SO-M21细胞

H-1793细胞类似产品::ECC-10细胞、Swiss 3T6细胞、SCC-25细胞

32D CL3细胞类似产品::NCI-H87细胞、Colo-201细胞、DAKIKI Clone 1细胞

WM-239细胞类似产品::C8D1A细胞、Kit 225-K6细胞、2PK3细胞

T84细胞类似产品::A-2780细胞、KU 812细胞、GTL16细胞

RCC-JF细胞类似产品::HUVEC-C[HUVEC]细胞、T47D细胞、EFM19细胞

P3 (Jiyoye)细胞类似产品::hMSC-BM细胞、F442-A细胞、CCFSTTG1细胞

HMEC-1细胞类似产品::LICCF细胞、CWR22Rv1细胞、IOSE80细胞

H-1836细胞类似产品::Colo699细胞、NCI-H1694细胞、H-2087细胞

FHC细胞类似产品::EFM19细胞、T47D细胞、SNU869细胞

University of Arizona Cell Culture-812细胞类似产品::WEHI 231细胞、HCC-1143细胞、NCIH460细胞

LC2/Ad细胞类似产品::RCM1细胞、McG-1细胞、Hep II细胞

MCF 10A细胞类似产品::OCI-Ly01细胞、HBdSMC细胞、University of Michigan-Renal Carcinoma-2细胞

HMrSV5细胞类似产品::CL11细胞、NCIH1437细胞、MD Anderson-Metastatic Breast-134-VI细胞

KMH-2细胞类似产品::OCI-Ly1细胞、SJRH-30细胞、aTC1 Clone 6细胞

Karpas 299细胞类似产品::HNE-1细胞、AML-12细胞、RINm5F细胞

hTERT-HME1细胞类似产品::A-673细胞、COLO 320 HSR细胞、NL-20细胞

L-Wnt-3A细胞类似产品::MC3T3-E细胞、A-172细胞、RPMI-1788细胞

WM 451-Lu细胞类似产品::HCC2185细胞、H-716细胞、MKN 45细胞

UMNSAH-DF1细胞类似产品::PC10细胞、BE(2)-M17细胞、CAL-12T细胞

MCF-7ADR细胞类似产品::Walker-Ca.256细胞、KASUMI1细胞、EJ 138细胞

SNU-886细胞类似产品::SuDHL 2细胞、RBL 1细胞、MIN-6细胞

M109 Cells(赠送Str鉴定报告)|小鼠肺癌细胞

H-2291细胞类似产品::SuDHL 4细胞、BCaP-37细胞、HeLa/DDP细胞

ZYM-DIEC02细胞类似产品::HPaSteC(HPSC)细胞、RPPVEC细胞、NL20SV细胞

MFHL-2细胞类似产品::Normal fibroblast-10细胞、KLN205细胞、H-2198细胞

RGCs细胞类似产品::SK-MES-1细胞、C81-61细胞、3T6 Swiss Albino细胞

MDA-468细胞类似产品::HOC-1细胞、SO-Rb 50细胞、TCCPAN2细胞

NCIH2107细胞类似产品::H295R细胞、CD-18细胞、Hs 822.T细胞

HLEC-SRA 01/04细胞类似产品::Hs675细胞、Asian Medical Center-Head and Neck cancer-8细胞、Hs940.T细胞

G-401细胞类似产品::NCIH889细胞、OC316细胞、Asian Medical Center-Head and Neck cancer-8细胞

ME-1 [Human leukemia]细胞类似产品::Murine Thymic Epithelial Cell line 1细胞、U373MG细胞、NCIH2591细胞

Ramos-RA1细胞类似产品::H-740细胞、H2052_MM细胞、870细胞

IEC18细胞类似产品::MB231细胞、SU-DHL1细胞、QBC-939细胞

NOR10细胞类似产品::NCI-SNU-387细胞、SL-29细胞、UM-UC14细胞

MCF7-GFP细胞类似产品::P3/NS-1细胞、SW 1353细胞、CCRF-CEM C1细胞

JB-6 Cl 30细胞类似产品::U-343 MG细胞、EC-109细胞、V79细胞

HUVEC-C[HUVEC]细胞类似产品::N1S1细胞、M-07e细胞、Virginia Mason Research Center-Lung Cancer D细胞

P3 (Jiyoye)细胞类似产品::hMSC-BM细胞、CCD-1095Sk细胞、B-95-8细胞

KOPN-8细胞类似产品::NCI-H1954细胞、FRO 81-2细胞、SW 1088细胞

GA-10细胞类似产品::NIH3T3-L1细胞、HIEC-6细胞、K1细胞

A-172 MG细胞类似产品::HCC-827细胞、COLO-824细胞、MEC1细胞

HCC-44细胞类似产品::NU-GC-2细胞、BLO11细胞、TH1细胞

SP-2细胞类似产品::FBHE细胞、U-226AR1细胞、BNL 1ME A.7R.1细胞

NCI H2106细胞类似产品::IPLB-SF-21细胞、Human podocyte细胞、TE671/RD细胞

HLEpiC细胞类似产品::Tca8113细胞、AAV293细胞、DHL5细胞

JeKo 1细胞类似产品::HPAF-2细胞、TE-8细胞、hOMF细胞

MIO-M1细胞类似产品::PL12细胞、OCI/AML2细胞、ZR7530细胞

NuTu 19细胞类似产品::RGE细胞、PT-K75细胞、HB611细胞

ESC细胞类似产品::Y-79细胞、HS-294T细胞、HCe-8693细胞

526-mel细胞类似产品::MMAc-Serum Free细胞、LLC-MK2细胞、JROECL 19细胞

HCT-116细胞类似产品::TGW-I-nu细胞、ssMCF7细胞、RCC-JF细胞

SW626细胞类似产品::XWLC-05细胞、Molm14细胞、WM 115细胞

Simpson细胞类似产品::RERFLCMS细胞、NCIH2342细胞、PL5细胞

COLO 320F细胞类似产品::U 266细胞、LIXC002细胞、KCL22细胞

"



M109 Cells(赠送Str鉴定报告;

公司简介

上海冠导生物工程有限公司,先后从ATCC、DSMZ、ECACC、RIKEN、PromoCell、ScienCell、JCRB等国内外细胞库引进细胞2000余株。以此为契机,公司组建了冠导细胞库,我司细胞均由资深细胞培养工程师进行培养。我司可以提供的细胞有:①细胞系②原代细胞③稳转株④耐药株⑤标记细胞⑥细胞配套试剂等。

成立日期 (11年)
注册资本 100万(元)
员工人数 50-100人
年营业额 ¥ 1000万-5000万
经营模式 工厂,试剂,定制,服务
主营行业 细胞培养,微生物学,细胞生物学

M109 Cells(赠送Str鉴定报告)|小鼠肺癌细胞相关厂家报价

  • M109细胞
  • M109细胞
  • 吉奥蓝图(广东)生命科学技术中心 VIP
  • 2026-04-28
  • ¥10000
  • M109细胞
  • M109细胞
  • 广州弗尔博生物科技有限公司
  • 2026-01-07
  • 询价
内容声明
拨打电话 立即询价