基本信息 产品详情 公司简介 推荐产品
网站主页 HCE-T CELLS:人角膜上皮细胞系 HCE-T Cells(赠送Str鉴定报告)|人角膜上皮细胞
  • HCE-T Cells(赠送Str鉴定报告)|人角膜上皮细胞

HCE-T Cells(赠送Str鉴定报告)|人角膜上皮细胞

HCE-T Cells
询价 1000000细胞数 起订
2000000细胞数 起订
上海 更新日期:2026-04-23

上海冠导生物工程有限公司

VIP6年
联系人:全经理
电话:18818239863拨打
邮箱:3171921642@qq.com

产品详情:

中文名称:
HCE-T Cells(赠送Str鉴定报告)|人角膜上皮细胞
英文名称:
HCE-T Cells
保存条件:
常温培养或液氮冻存
纯度规格:
HCE-T Cells(赠送Str鉴定报告)|人角膜上皮细胞
产品类别:
生物试剂

"HCE-T Cells(赠送Str鉴定报告)|人角膜上皮细胞

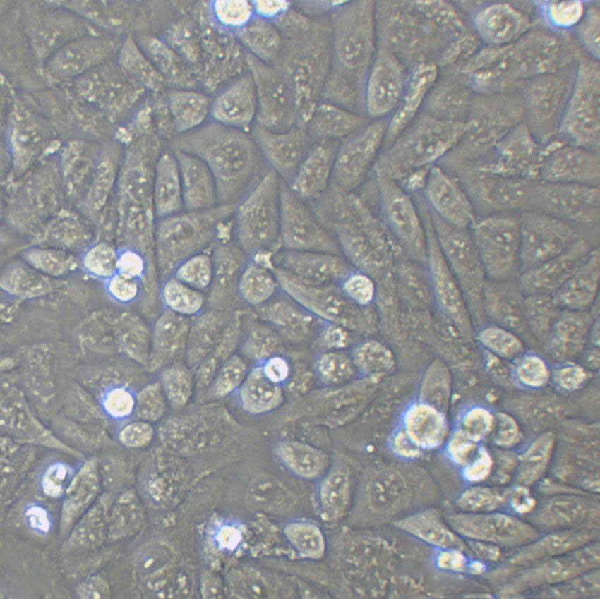
细胞背景资料:角膜上皮细胞;Ad-SV40转化;女性

细胞形态:上皮细胞样

传代培养及其操作步骤:原代细胞培养成功以后,需要进行分离培养,否则细胞会因生存空间不足或密度过大,营养障碍,影响细胞生长。细胞由原培养瓶内分离稀释后传到新的培养瓶中培养的过程称之为传代培养。传代细胞允许培养的细胞扩增(形成细胞株),可以进行细胞克隆,易于保存,但可能丧失一些殊的细胞和分化征。传代细胞形成细胞株的Zui大利处在于提供了大量持久的实验材料,便于实验。【操作步骤】1)吸掉或倒掉培养瓶内旧培养液;2)向瓶内加入胰蛋白酶液和EDTA混合液少量。以能覆盖培养瓶底为宜;3)置37℃孵箱或室温(25℃温度)下进行消化,2~5min后把培养瓶放在倒置显微镜下进行观察,当发现胞质回缩、细胞间隙增大后,应立即中止消化;4)吸出消化液,向瓶内加入Hanks液少量,轻轻转动培养瓶,把残留消化液冲掉,然后再加培养液。如果仅使用胰蛋白酶消化,在吸除胰蛋白液后,可直接加入少量含血清的培养液,终止消化;5)使用弯头吸管,吸取瓶内培养液,按顺序反复轻轻吹打瓶壁细胞,使之从瓶壁脱离形成细胞悬液。吹打时动作要轻柔,以防用力过猛损伤细胞;6)用计数板计数后,分别接种于新的培养瓶中,置CO2培养箱中进行培养;7)细胞培养换液时间应根据细胞生长的状态和实验要求来确定。一般2~3d后应换一次生长液。待细胞铺满器皿底面,即可使用;也可继续传代扩大培养或换成维持液。【注意事项】1)掌握HAO细胞消化的时间,消化时间过短时,细胞不宜从瓶壁脱落,过长的消化会导致细胞脱落、损伤;2)掌握HAO消化浓度,当消化液浓度过GAO时,消化时间应缩短,过低时细胞消化时间相对延长。

细胞生长:贴壁

RBL2H3细胞类似产品::b.End3细胞、NCTC 929细胞、NCI-SNU-449细胞

Caco2-BBE细胞类似产品::Hs729细胞、OCI-AML5细胞、Embryonic Bovine Tracheal cells细胞

Centre Antoine Lacassagne-39细胞类似产品::Mv 1 Lu (NBL-7)细胞、High 5细胞、CD 18细胞

HFTF细胞类似产品::HeLa细胞、AX-Mel细胞、NCIH1048细胞

BEL7405细胞类似产品::GDM1细胞、MD Anderson-Metastatic Breast-361细胞、CAL33细胞

HCE-T Cells(赠送Str鉴定报告)|人角膜上皮细胞

细胞物种来源:人源或鼠源等其它物种来源

[细胞产品包装]鲜活细胞:T25培养瓶(一瓶)或冻存细胞:1ml冻存管(两支)

在细胞培养过程中会出现这样或那样的问题,客户遇到的问题从细胞生长角度来说,针对细胞培养过程中生长不HAO、甚至死亡的原因,我们做以下分析并提出相对应的解决方法。一、培养细胞生长不HAO》可能原因:细胞本身的状态》1)细胞传代次数多,细胞老化;2)细胞的接种量:接种量过低,细胞生长缓慢;3)细胞传代时间过晚:细胞中毒,影响传代后的细胞生长;4)胰酶消化时间过长或过短:时间过长,细胞死亡;时间过短,细胞未完全分离而成团,细胞死亡;5)细胞的冻存与复苏:慢冻速融。污染:1)支原体污染;2)霉菌污染;培养基或血清:1)更换血清或培养基之前未进行验证;2)选择的培养基是否合适;3)培养基配制是否准确无误;培养环境:1)CO2供应是否正常;2)培养箱或摇床温度控制是否正确;解决方法:根据以上四个方面的可能原因,做出针对性的解决方案》1)注意细胞的本身状态:如传代次数、接种量等;2)避免产生污染(用正规、合法、可溯源的血清);3)要用合适的血清或培养基,ZuiHAO经过验证;4)注意实验室的环境;二、培养细胞死亡》可能原因:1)培养箱内无CO2;2)培养箱内温度波动太大;3)细胞冻存或复苏过程中损伤;4)培养液渗透压不正确;5)培养液中有毒代谢产物堆积;解决方法:1)检测培养箱内CO2;2)检查培养箱内温度;3)取新的保存细胞种;4)检测培养液渗透压;5)换入新鲜培养液。

细胞传代方法:1:2-1:3传代;每周换液2-3次。

BALL1细胞类似产品::Wien 133细胞、HEH2细胞、UCLA-SO-M21细胞

MDA-MB-468-RED细胞类似产品::GM346细胞、Medical Research Council cell strain-5细胞、Me Wo细胞

SJCRH30细胞类似产品::SBC-3细胞、RCC-10RGB细胞、NCI660细胞

HPDE6c7细胞类似产品::B16F1细胞、BCPAP细胞、RCC 786-O细胞

Hs 895.T细胞类似产品::DMS 79细胞、SRA01/04细胞、HOP 92细胞

细胞来源说明:来源于RCB、ATCC、KCLB、DSMZ、ECACC、INCell、ScienCell、ECACC、JCRB、Asterand、ICLC等知名细胞库

HCE-T Cells(赠送Str鉴定报告)|人角膜上皮细胞

细胞生长特性:贴壁

PC3M-1E8细胞类似产品::CEMx721.174.T2细胞、MC3T3-E1 Subclone 4细胞、Hs839.T细胞

OCI-LY-1细胞类似产品::Hs 445细胞、L6细胞、SMMC7721细胞

U343MG细胞类似产品::JM-Jurkat细胞、RPMI 1788细胞、U87-MG细胞

NIT-1细胞类似产品::NPA 87细胞、Co-115细胞、HCC202细胞

OV-2008细胞类似产品::IPAM-WT细胞、MHCCLM3细胞、R1610细胞

Bac1 2F5细胞类似产品::X63Ag8.653细胞、PanC1细胞、Hu-P-T4细胞

细胞常规培养传代流程(请严格遵照无菌操作):1)吸出原培养瓶中的培养基,PBS缓冲液润洗细胞两次,加2-3ml 0.25%胰酶进行消化细胞(注意把握消化时间,通常控制在1-2min);2)镜下观察消化情况,在细胞边缘缩小,贴壁松动时(不建议消化到细胞漂浮)去掉胰酶,加6-8ml完全培养基,轻轻吹打细胞层,尽量把细胞层吹落,吹散;3)取部分细胞悬液转移到新的培养皿/瓶中,添加适当的完全培养基,把细胞悬液打匀,于培养箱中培养;4)注意培养基PH值变化情况,定期换液(每周2-3次),待细胞密度达到80%以后重复1项操作或者冻存;别注意:(如使用公共实验室或者初次接触细胞培养,建议添加双抗培养)1)收到细胞后请尽快更换为含15%血清的新鲜培养基,如因殊情况需要继续使用原瓶,请在原瓶培养基中额外添加10%的血清,(原瓶培养基的继续使用时间Zui长不宜超过72小时);2)贴壁细胞收到当天切忌立刻消化,请将细胞换液后放置培养箱孵育到第二天再做消化传代,请YOU先选择直径6cm的培养皿进行传代培养;3)如签收时出现培养瓶壁破裂,漏液等情况请及时做HAO照片记录并联系实验室。

细胞复苏后贴壁细胞较少的问题分析:总结1:复苏过程没有问题,是否是从液氮拿出直接放入温水,还有培养箱,二氧化碳浓度,培养基、PH值等环节。要么加GAO浓度FBS 15-20%,看看能否帮助贴壁,当然也需要考虑血清问题,还有确信拿来的细胞没问题。总结2:首先应该怀疑冻存,实际上复苏出问题的可能非常小,因为操作简单,而且死板。1、你冻存的时候是不是消化的时间过长,这是一般人所注意不到的,即使书上也不讲这个问题,太长的消化时间会让细胞复苏时失去贴壁能力,表现为先贴后死,原因是在你复苏的时候细胞已进入凋亡程序,不可逆转的死亡。2、你的冻存液HAO不HAO,是什么,甘油还是DMSO,质量非常重要,否则也会死亡。3、你的冻存液的量加的是不是太多,ATCC推荐是不超过7%,大于5%,太多也不HAO。4、你在冻存的时候是不是把DMSO混均匀,这个有一些影响,但不算太大。5、你的冻存是否按部就班,就是所温度梯度是不是把握严格,很多人容易忘却这个事情,因为这个东西流程长。6、如果你细胞污染,你是否能很快看到,我比我的导师能早一天看到污染。从这个角度讲建议去除离心这步。7、你的细胞在冻存前是否过密。还有,不赞成孵箱污染这个概念的,所有在一个孵箱里的细胞都污染一个细菌的话,这个细菌是源于孵箱的,但这不代表孵箱污染,因为孵箱无论你如何处理都有大量的细菌,问题在操作。每次污染的原因都要尽可能的找,以后就不犯同样的问题,这个很重要,不能靠猜,否则你就有可能细胞养绝Zui后换课题,这个见得太多了,别不当会事。

PE/CA-PJ34细胞类似产品::HIT-T15细胞、NS20-Y细胞、Hce8693细胞

HPBALL细胞类似产品::HBL100细胞、FDCP1细胞、3T3-F442A细胞

SU-DHL-8细胞类似产品::CII细胞、HMrSV5细胞、MCA38细胞

MES23.5细胞类似产品::NCI-SNU-1040细胞、L Wnt-3A细胞、SN12CPM6细胞

GC-1细胞类似产品::Normal Rat Kidney-52E细胞、Hs 695T细胞、GM05372E细胞

MC/9细胞类似产品::A7r5细胞、H-1355细胞、CMEC/D3细胞

NS-1细胞类似产品::MADB 106细胞、MLOY4细胞、KYSE-140细胞

SUM-52PE细胞类似产品::GM01232E细胞、LLC-PK1细胞、U-226AR1细胞

B16-F10--RED细胞类似产品::3T3(A31)细胞、RCM-1 [Human rectum adenocarcinoma]细胞、HO-8910PM细胞

COLO-205细胞类似产品::NCI-H1105细胞、COV 434细胞、NMCG-1细胞

QBI-293A细胞类似产品::G401细胞、C33-A细胞、Hs729细胞

H-2286细胞类似产品::WERI Rb-1细胞、LSC-1细胞、Hs-578-T细胞

MC/CAR细胞类似产品::A-2058细胞、A 72细胞、WEHI 3B细胞

SNU-182细胞类似产品::B-104细胞、Hep 3B细胞、MDA-MB-175细胞

UM2细胞类似产品::Pt K1 (NBL-3)细胞、MDA-MB-435S细胞、Molm 14细胞

CCC-ESF-1细胞类似产品::H1781细胞、Namalwa细胞、MB231细胞

CCC-ESF-1细胞类似产品::H1781细胞、Namalwa细胞、MB231细胞

AD293细胞类似产品::T-T细胞、MV4:11细胞、ID8/MOSEC细胞

TGW细胞类似产品::Clone Y-1细胞、ARO细胞、RCC-JF细胞

SACC83细胞类似产品::BMSCs(mBMSCs)细胞、MLMA细胞、SF17细胞

HIT T15细胞类似产品::SuDHL 8细胞、DH82细胞、TCMK-1细胞

SU-DHL-10细胞类似产品::BC-020细胞、Rat-2细胞、NCIH2170细胞

MLM细胞类似产品::NCI-H1581细胞、NPA-87细胞、GM03320D细胞

TE-12细胞类似产品::SKNBE细胞、U2-OS细胞、SuDHL 1细胞

EFO27细胞类似产品::NCIH2171细胞、H1417细胞、Balb/c 3T3细胞

MDA-MB-157细胞类似产品::A 172细胞、KGN细胞、LOUNH91细胞

NH6细胞类似产品::MonoMac6细胞、WERI细胞、HDQ-P1细胞

IOSE80UBC细胞类似产品::HBL1细胞、SW 962细胞、NCIH2141细胞

NT2/D1细胞类似产品::H-2170细胞、KYSE0410细胞、Y79细胞

Ramos.2G6.4C10细胞类似产品::Hepa1-6细胞、NCI-H1915细胞、GC-1 spg细胞

MIA-Pa-Ca-2细胞类似产品::451-LU细胞、JEG-3细胞、Panc 08.13细胞

H146细胞类似产品::NCTC 3960细胞、CWR22-Rv1细胞、HFLS-OA细胞

B958细胞类似产品::J774A.1细胞、C4-2 Bone metastatic细胞、NCI-H2195细胞

SH-SY5Y Parental细胞类似产品::KYSE-70细胞、YD38细胞、Calu6细胞

TE354T细胞类似产品::A2008细胞、RPMI6666细胞、PANC 813细胞

R-1059-D细胞类似产品::DanG细胞、C41细胞、RBL-1细胞

L-5178-Y细胞类似产品::Clone 929细胞、MD Anderson-Metastatic Breast-330细胞、GM03569D细胞

MNNG/HOS Clone F-5细胞类似产品::SJSA1细胞、DHL-16细胞、GM02131A细胞

OSRC2细胞类似产品::GL261细胞、Hep 3B2.1-7细胞、CA-OV-3细胞

MCF-12A细胞类似产品::LSC-1细胞、SKHEP-1细胞、EB-2细胞

RAW-264.7细胞类似产品::HCC1937细胞、G361细胞、NCIH2029细胞

HCE-T Cells(赠送Str鉴定报告)|人角膜上皮细胞

H2106细胞类似产品::RIMEC细胞、SW 403细胞、RCC-10RGB细胞

NOR 10细胞类似产品::Capan1细胞、CTX TNA2细胞、Hut292细胞

Sp2/mIL-6细胞类似产品::MDAPCa2b细胞、WM239A细胞、UCLA RO-81-A-1细胞

KMS26细胞类似产品::Kuramochi细胞、NCI-441细胞、3T3 Swiss Albino细胞

F56 [Human neoplasm]细胞类似产品::CL-11细胞、PANC-02-03细胞、TE-85 clone 5细胞

NCIH2030细胞类似产品::DoHH-2细胞、RH-30细胞、GP2-293细胞

Vero 76细胞类似产品::SK-N-BE(1)细胞、HM细胞、PG-4 S+L-细胞

CEM-C7细胞类似产品::CAL120细胞、NOMO-1细胞、Farage OL细胞

KYSE-140细胞类似产品::MDA-MB-453细胞、PCI-SG231细胞、BV-2细胞

CMT.64细胞类似产品::Mv.1.Lu细胞、NCI-H2135细胞、Mel-RM细胞

Microbiological Associates-104细胞类似产品::HR1K细胞、KG-1a细胞、LN 382细胞

National Medical Center-Glioma 1细胞类似产品::HBE 135-E6E7细胞、HSCT6细胞、KYSE 410细胞

95C细胞类似产品::BT474细胞、Lu-99A细胞、UO.31细胞

DSL-6A-C1细胞类似产品::HTh 74细胞、SW-1271细胞、HMEC细胞

DSL-6A-C1细胞类似产品::HTh 74细胞、SW-1271细胞、HMEC细胞

TSUpr1细胞类似产品::SNU761细胞、UCLA NPA871细胞、KG1细胞

FET细胞类似产品::CTLL-2细胞、N-Tera-2细胞、H-1563细胞

GNM细胞类似产品::SW579细胞、Stanford University Pediatric T-cell line 1细胞、SK.MEL.5细胞

DLD-1细胞类似产品::HCC1419细胞、BGC-823细胞、LS1034细胞

KE-37细胞类似产品::KE39细胞、6-T CEM细胞、HM1900细胞

SK.OV.3细胞类似产品::HME1细胞、NUGC2细胞、Emory University-2细胞

C127细胞类似产品::M 1细胞、PTK 1细胞、TE6细胞

McARH7777细胞类似产品::NCIADR.RES细胞、MRCV细胞、MASMC细胞

HCC1937细胞类似产品::JROECL 21细胞、SHSY-5Y细胞、DMS53细胞

NTera2/D1细胞类似产品::PK13细胞、LOUNH91细胞、HEK293A细胞

PK136细胞类似产品::NFS60细胞、Vero-76细胞、Institute for Medical Research-90细胞

UMRC2细胞类似产品::32D/cl3细胞、Malme3M细胞、HBZY-1细胞

COLO 680N细胞类似产品::SVG(P12)细胞、J45.01细胞、5637细胞

KP-N-RT-BM细胞类似产品::HCT-116细胞、190PT细胞、VERO C 1008细胞

MDA453细胞类似产品::EMT-6细胞、CEM clone 7细胞、P3/X63-Ag8细胞

NK-92MI细胞类似产品::SLMT1细胞、SUPB-15细胞、NCI-SNU-407细胞

NCI-H510A细胞类似产品::G-292 clone A141B1细胞、H209细胞、CL1.0细胞

32D/cl3细胞类似产品::H4-II-E-C3细胞、Hs746-T细胞、EM-3细胞

NCI-ADR-RES细胞类似产品::Wayne State University-Head and Neck 13细胞、RPMI1846细胞、WEHI164细胞

L-cells细胞类似产品::UPCI-SCC-090细胞、HCT 116细胞、Hopkins-92细胞

SLMT-1细胞类似产品::L5178Y TK+/- (clone 3.7.2C)细胞、SNU1细胞、BV173细胞

Pt K2 (NBL-5)细胞类似产品::NP69SV40T细胞、Cor L88细胞、NCIH1650细胞

rRMECs细胞类似产品::NEC-8细胞、751-NA细胞、U 937细胞

3D4/21细胞类似产品::32D CL3细胞、MNNG/HOS Cl #5细胞、TFH细胞

U266细胞类似产品::MV-4-11细胞、H1993细胞、AZ-521细胞

CMECs细胞类似产品::H-1573细胞、JHH2细胞、mREC细胞

H128细胞类似产品::Caco2BBe细胞、MBVP细胞、MGH-U3 (RN)细胞

NCI-H226细胞类似产品::Doubling time: ~50 hours (ATCC).细胞、H820细胞、RA细胞

Walker-256细胞类似产品::AR4-IP细胞、HCC0366细胞、HEL-92_1_7细胞

GM04678细胞类似产品::P388细胞、L cells (TK-)细胞、GCT细胞

MDA231-LM2细胞类似产品::NCI H716细胞、MA-782细胞、Reuber H-35细胞

QSG-7701细胞类似产品::SW 626细胞、Y3-Ag1.2.3细胞、RPTC细胞

FHs74 Int细胞类似产品::HRC-99细胞、Med 283细胞、LO2细胞

UMNSAH-DF 1细胞类似产品::EOL1细胞、SK.MEL.2细胞、H2052_MM细胞

TW 01细胞类似产品::A20细胞、ECC-1细胞、SC细胞

Sol8细胞类似产品::RAW2647细胞、Oregon J-111细胞、U-118MG细胞

SNU668细胞类似产品::Malme-3M细胞、H-446细胞、DU 4475细胞

SU.86细胞类似产品::TCam-2细胞、IGROV1细胞、HPAF-I细胞

2E8细胞类似产品::HCT 8细胞、U-87细胞、SKUT1细胞

2E8细胞类似产品::HCT 8细胞、U-87细胞、SKUT1细胞

COLO 829细胞类似产品::F81细胞、Swiss3T3细胞、SK-UT-1细胞

NCI-H146细胞类似产品::B16-F10细胞、HCC1143细胞、DLD-1细胞

PC14细胞类似产品::LMTK-细胞、Sup T-1细胞、HOPC细胞

Panc08.13细胞类似产品::PC-3M-1E8细胞、MEL-526细胞、NIH3T3-L1细胞

MC-3T3-E1细胞类似产品::NUGC-4细胞、Mo 59J细胞、NCI-SNU-182细胞

BSC1细胞类似产品::Granta-519细胞、SNU-119细胞、H69/P细胞

NCI-UMC-11细胞类似产品::WM-115细胞、H1623细胞、NK-92 MI细胞

CAL-85-1细胞类似产品::SW837细胞、WIL2 Secreting细胞、NCI-H1688细胞

WSUDLCL2细胞类似产品::CCC-HPF-1细胞、TE 32细胞、LAN5细胞

RGM-1细胞类似产品::RCC_7860细胞、MDA436细胞、HCC-1143细胞

AAV-293细胞类似产品::P19细胞、A1847细胞、HECV细胞

LC-1 sq细胞类似产品::CEM/C1细胞、NCI-H1618细胞、Bac1 2F5细胞

Madison 109细胞类似产品::NCI-BL2141细胞、SK RC 52细胞、H510细胞

EC-GI-10细胞类似产品::KYSE-180细胞、NOR10细胞、P31FUJ细胞

HCS2/8细胞类似产品::SUSM-1细胞、CHP126细胞、H-2227细胞

V79-4细胞类似产品::LAN5细胞、Tissue Culture-1细胞、HPAFII细胞

BRL3A细胞类似产品::WEHI-164细胞、NTera-2D1细胞、COLO-205细胞

SHI-1细胞类似产品::T24(ECV304)细胞、C32r细胞、A 172细胞

CT26.WT细胞类似产品::NCIH1341细胞、SCC-25细胞、SN-12C细胞

TF-1细胞类似产品::Chang liver细胞、Alexander cells细胞、hTERT RPE1细胞

CA 46细胞类似产品::D283 Med细胞、WERI-Rb 1细胞、Colo741细胞

H1048细胞类似产品::IGROV1细胞、HT55细胞、NL20细胞

MLA-144细胞类似产品::H-1963细胞、WEHI 231细胞、P3X63Ag8653细胞

MHCC97细胞类似产品::SK N SH细胞、BPH1细胞、LN299细胞

H596细胞类似产品::GA-10(Clone 4)细胞、CCD 19Lu细胞、Dakiki细胞

Rat Chondrosarcoma Swarm细胞类似产品::HL1细胞、HEK-293A细胞、MES 23.5细胞

HT-3细胞类似产品::TE353.SK细胞、SK-N-BE2细胞、WM-239细胞

SW1417细胞类似产品::B-16细胞、Kuramochi细胞、L细胞

CF PAC-1细胞类似产品::WSU-DLCL(2)细胞、NCI-H841细胞、TE12细胞

DMS 273细胞类似产品::AN-3细胞、OCI-Ly7细胞、Hs940-T细胞

KYSE 30细胞类似产品::P3HR1细胞、EA.Hy926细胞、PCI-04B细胞

HCC1438细胞类似产品::SK-N-BE-2细胞、OVCA-433细胞、A-673细胞

LLCPK1细胞类似产品::SK-NMC细胞、B-CPAP细胞、HBEpiC细胞

OVCAR 5细胞类似产品::Nb-2细胞、MTC-TT细胞、SW527细胞

H-23细胞类似产品::L 363细胞、SK-N-BE(2C)细胞、NCI-H187细胞

HMCB细胞类似产品::Madin-Darby Bovine Kidney细胞、MDCKII-WT细胞、NPC-TW 01细胞

RBMEC细胞类似产品::mRTEC细胞、Hs 729细胞、Ramos(RA1)细胞

P3-X63-Ag8.653细胞类似产品::IMR 32细胞、SMMC 7721细胞、HCC-15细胞

TE-5细胞类似产品::Leydig细胞、KU1919细胞、T.T细胞

H-810细胞类似产品::SKRC-42细胞、COLO-320DM细胞、H 9细胞

SK-UT-1细胞类似产品::TE-14细胞、3-LL细胞、HPAEpiC细胞

OE-21细胞类似产品::Colon26细胞、Jurkat E6.1细胞、H250细胞

TO175T细胞类似产品::CMT167细胞、U-343 MG细胞、LM TK negative细胞

SU86_86细胞类似产品::HFL-I细胞、Melan-a细胞、L-Wnt3A细胞

H-1819细胞类似产品::5637细胞、SKNDZ细胞、OCI-Ly3细胞

CHO cell clone K1细胞类似产品::HCC-95细胞、SKNSH细胞、HCC9724细胞

TE-1细胞类似产品::OC316细胞、Sf-21细胞、HCC-1395细胞

SW 579细胞类似产品::ATN-1细胞、WM 115细胞、EPC细胞

786-0细胞类似产品::NCIH716细胞、SNB.19细胞、H810细胞

Caco2BBe细胞类似产品::Tn-5B1-4细胞、SK-MEL-31细胞、H841细胞

B958细胞类似产品::J774A.1细胞、143BTK-细胞、373 MG细胞

F98细胞类似产品::HUT 226细胞、C-Lu-65细胞、alpha TC1.6细胞

NCI-SNU-1040细胞类似产品::DHL-2细胞、NIE 115细胞、H-1417细胞

C4-2 B细胞类似产品::AR41P细胞、EB-3细胞、Panc-813细胞

MFE 296细胞类似产品::SK UT 1细胞、RPMI-7666细胞、NCI-SNU-1040细胞

GT39细胞类似产品::NCI.H460细胞、RPMI8226细胞、HCC1588细胞

GA10细胞类似产品::H-322细胞、HCT116/L细胞、TK+/- (clone 3.7.2C)细胞

AN3-CA细胞类似产品::UCLA-SO-M20细胞、GM16136细胞、SNK-1细胞

HPDE6c7细胞类似产品::B16F1细胞、BCPAP细胞、RCC 786-O细胞

D562细胞类似产品::MIA-PaCa-2细胞、HFT8810细胞、SHSY5Y细胞

T47D细胞类似产品::AR-42J细胞、Hs895T细胞、Hs888T细胞

SCL1细胞类似产品::NCTC clone 1469细胞、HTR-8细胞、RWPE1细胞

SW 982细胞类似产品::Danio rerio Gill细胞、UWB1.289细胞、WERI-Rb 1细胞

Verda reno细胞类似产品::Roswell Park Memorial Institute 1788细胞、H9c2(2-1)细胞、KG1A细胞

HCE-T Cells(赠送Str鉴定报告)|人角膜上皮细胞

PK (15)细胞类似产品::GM07404D细胞、Hs-578T细胞、NCIH2286细胞

NS1-Ag4细胞类似产品::NCI-H2196细胞、OCI-Ly 3细胞、SW-626细胞

Kuramochi细胞类似产品::OCI-AML-4细胞、OP9细胞、SNU-C1细胞

Hs 683.T细胞类似产品::TPC1细胞、RPTC细胞、HS5细胞

HepG2细胞类似产品::Centre Antoine Lacassagne-148细胞、Primary Liver Carcinoma/Poliomyelitis Research Foundation/5细胞、JKT1细胞

B16 subline B78细胞类似产品::SKMEL-2细胞、DMS-273细胞、CALU1细胞

SNU638细胞类似产品::NIH:OVCAR3细胞、SP2-0-Ag14细胞、AD293细胞

WIL2-S细胞类似产品::COLO 824细胞、TH1细胞、HRPEpiC细胞

S37细胞类似产品::HBE135-E6E7细胞、Jurkat, Clone E6-1细胞、NCIH716细胞

U-266 AR1细胞类似产品::DI TNC1细胞、SU86.86细胞、H1819细胞

293细胞类似产品::NPA87细胞、HT-144细胞、A875细胞

MOLT16细胞类似产品::J774A1细胞、NCIH292细胞、NeHepLxHT细胞

Hs940.T细胞类似产品::293 HEK细胞、UMNSAH-DF 1细胞、IGROV细胞

H2291细胞类似产品::RGC-6细胞、H841细胞、HCV-29细胞

McA-RH 7777细胞类似产品::H157细胞、Gerner 7666细胞、COR-L279细胞

C81-61细胞类似产品::JB 6细胞、Hs 445细胞、Panc8.13细胞

BJ [Human fibroblast]细胞类似产品::H-2591细胞、PGBE1细胞、JCA-1细胞

K562细胞类似产品::SUM52细胞、LWnt-3A细胞、EO771细胞

F-36P细胞类似产品::Hepa 1-6细胞、NB9细胞、PLMVEC细胞

SUM-159-PT细胞类似产品::Sp2/0-Ag-14细胞、SW1271细胞、OVCAR4细胞

CHP 126细胞类似产品::H-23细胞、OVCAR.3细胞、Cates-1B细胞

SKNBE(1)细胞类似产品::WERI-Rb 1细胞、HCC-1588细胞、NBL_S细胞

SNU-387细胞类似产品::H-1395细胞、NCIH1105细胞、UMNSAH/DF#1细胞

Mv 1 Lu (NBL-7)细胞类似产品::BCaP 37细胞、H-1944细胞、NCI-UMC-11细胞

HSAEC1-KT细胞类似产品::SW-403细胞、Duke University 4475细胞、H-1623细胞

NK62a细胞类似产品::OV-1063细胞、ZYM-SVEC01细胞、PG-LH7细胞

KLM1细胞类似产品::EU-4细胞、ESC-410细胞、NCIH2110细胞

ECV-304细胞类似产品::National Medical Center-Glioma 1细胞、F56 [Human neoplasm]细胞、SDBMSC细胞

L-cells细胞类似产品::UPCI-SCC-090细胞、IMR32细胞、NK-10A细胞

Human Fetal Thymocyte-8810细胞类似产品::HCC-1569细胞、NuTu-19细胞、NCIH64细胞

SU-DHL-8细胞类似产品::CII细胞、GAK细胞、NCIH2081细胞

COLO320DM细胞类似产品::HC11 Mammary Epithelium细胞、Chang Cells细胞、MLOY4细胞

"



HCE-T Cells(赠送Str鉴定报;

公司简介

上海冠导生物工程有限公司,先后从ATCC、DSMZ、ECACC、RIKEN、PromoCell、ScienCell、JCRB等国内外细胞库引进细胞2000余株。以此为契机,公司组建了冠导细胞库,我司细胞均由资深细胞培养工程师进行培养。我司可以提供的细胞有:①细胞系②原代细胞③稳转株④耐药株⑤标记细胞⑥细胞配套试剂等。

成立日期 (11年)
注册资本 100万(元)
员工人数 50-100人
年营业额 ¥ 1000万-5000万
经营模式 工厂,试剂,定制,服务
主营行业 细胞培养,微生物学,细胞生物学

HCE-T Cells(赠送Str鉴定报告)|人角膜上皮细胞相关厂家报价

内容声明
拨打电话 立即询价