基本信息 产品详情 公司简介 推荐产品
网站主页 CCD-841 COTR CELLS:人结肠癌细胞系 CCD-841CoTr Cells(赠送Str鉴定报告)|人结肠癌细胞
  • CCD-841CoTr Cells(赠送Str鉴定报告)|人结肠癌细胞

CCD-841CoTr Cells(赠送Str鉴定报告)|人结肠癌细胞

CCD-841CoTr Cells
询价 1000000细胞数 起订
2000000细胞数 起订
上海 更新日期:2026-04-28

上海冠导生物工程有限公司

VIP6年
联系人:全经理
电话:18818239863拨打
邮箱:3171921642@qq.com

产品详情:

中文名称:
CCD-841CoTr Cells(赠送Str鉴定报告)|人结肠癌细胞
英文名称:
CCD-841CoTr Cells
保存条件:
常温培养或液氮冻存
纯度规格:
CCD-841CoTr Cells(赠送Str鉴定报告)|人结肠癌细胞
产品类别:
生物试剂

"CCD-841CoTr Cells(赠送Str鉴定报告)|人结肠癌细胞

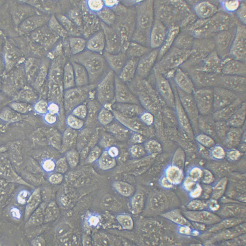
细胞背景资料:结肠癌;SV40转化;女性

细胞形态:上皮细胞样

养了几年细胞,说一点自己培养细胞方面的看法:1)培养细胞前,可以看看细胞点说明书,包括细胞正常生长的状态图、传代、培养基的类型等;2)不同细胞生长周期不同,有的生长很快,比如说MDA-MB-231,传代的时候取离心悬液的十分之一就已经足够了,有的又是别慢,等的人心焦,BT474就是,传代是一分二,复苏起始的时候两周多才能长满,所以就要在培养细胞的过程中多多摸索了;3)对于娇弱的细胞,就得细心呵护了,胰酶消化不能过久,吹得时候要轻柔,离心时候也要注意转速和时间,每天都要去看一下细胞,肉眼观察培养基状况、显微镜下观察细胞生长状况;4)冻存细胞复苏后第二天ZuiHAO更换一次培养基;5)培养箱隔一段时间彻底用酒精棉擦洗一次;6)养细胞Zui大的教训:不能偷懒!细胞虐我千百遍,我待细胞如初恋。1)不管买的细胞、惠赠的细胞,刚拿到手赶紧做两件事:检测是否有支原体污染; 迅速扩增冻存;2)发现有污染迅速处理掉,别是当你养了很多种细胞时; 细菌污染,真菌污染很容易发现,支原体污染的话,细胞会长的慢,买个支原体检测的kit定期检测一下;3)传代细胞日常的值日清洁是必须的,此外还要定期熏蒸;4)细胞的传代一定要规律,保持相同的confluency和传代时间间隔,不要随心所欲或者拖延;5)注意个人卫生。

细胞生长:贴壁

DU4475细胞类似产品::LNCaP细胞、MT-4细胞、KTC1细胞

NCIH1819细胞类似产品::CW2细胞、SUM52PE细胞、SVEC 4-10细胞

SF 295细胞类似产品::MDA-MB 453细胞、SW-1116细胞、HuP-T3细胞

H-2110细胞类似产品::RCC 786-O细胞、Hs-729-T细胞、WC00079细胞

Panc5.04细胞类似产品::Hs281T细胞、H2342细胞、TOV21细胞

CCD-841CoTr Cells(赠送Str鉴定报告)|人结肠癌细胞

细胞物种来源:人源或鼠源等其它物种来源

[细胞产品包装]鲜活细胞:T25培养瓶(一瓶)或冻存细胞:1ml冻存管(两支)

预防细胞污染的注意事项:实验进行前,超净台用紫外灯照射30-60min,然后用75%酒精擦拭超净台台面,并开启超净台风扇运转10min左右再开始实验操作。实验用品用75%酒精擦拭后才能放入超净台内;实验用品用完应移出超净台,以利于气流的流通。实验完成后用75%酒精擦拭超净台台面。每次操作只处理一种细胞;即使不同细胞使用相同的培养基也不要共享同一瓶培养基,避免细胞间的交叉污染。操作时小心取用无菌的物品,避免污染。勿碰触吸管尖头,不小心碰触后应立即更换;不要在打开的容器瓶口正上方操作,容器打开后,倾斜45°操作,操作完成后及时盖上瓶盖。CO2培养箱的清洁是较易被忽视的地方,应1-2个月对培养箱定期进行清洁消毒。先用75%酒精擦拭培养箱内壁、隔板、水盘2-3次,用双蒸水清洗,再用酒精棉球擦拭一遍,后紫外灯照射4h以上。水盘内加入无菌水(应每周更换),待培养箱内温度、湿度、CO2浓度稳定后再放入细胞。定期清洗或更换超净台过滤膜、预滤网。

细胞传代方法:1:2-1:3传代;每周换液2-3次。

CW-2细胞类似产品::NCIH2066细胞、C-4 I细胞、Rat Chondrosarcoma Swarm细胞

CCD-1112sk细胞类似产品::Renal Carcinoma细胞、Vertebral Cancer of the Prostate细胞、H727细胞

A375.S2细胞类似产品::DMS-153细胞、NH6细胞、NOZAWA细胞

H-35 Reuber细胞类似产品::COLO 394细胞、SHSY5Y细胞、HCC1569细胞

GP293细胞类似产品::KU 812细胞、CL-11细胞、BMSC/hBMSCs细胞

细胞来源说明:来源于RCB、ATCC、KCLB、DSMZ、ECACC、INCell、ScienCell、ECACC、JCRB、Asterand、ICLC等知名细胞库

CCD-841CoTr Cells(赠送Str鉴定报告)|人结肠癌细胞

细胞生长特性:贴壁

MLA144细胞类似产品::HCA7细胞、LA-4 [Mouse lung adenoma]细胞、Scott and White No. 13细胞

Clone M-3细胞类似产品::MDA-MB435细胞、MOPC细胞、SNU-368细胞

MCF10-A细胞类似产品::ME-1 [Human leukemia]细胞、SNU387细胞、SNU251细胞

NCIH2227细胞类似产品::OK细胞、RCC-JF细胞、HMrSV5细胞

HEL9217细胞类似产品::Kato-III细胞、H1836细胞、TE 85.T细胞

NCIH1876细胞类似产品::OP-9细胞、HO1-N1细胞、NCI H2106细胞

为什么培养的细胞要及时传代?体外培养的细胞大多具有生长接触抑制的性,也就是说当一个细胞被其他细胞包围的时候,它就会停止生长,及时传代后,细胞的生长得以继续。培养细胞生长减慢的原因在哪些?其解决办法有哪些?可能的原因有:更换了不同的培养液或血清;培养液中一些细胞生长必需成分如谷眈肢或生长因子等耗尽或缺乏或己被破坏;培养物中有少量细菌或真菌污染;试剂保存不当;比较新培养液与原培养液成分,比较新血清与旧血清等,找出其它可能的原因。解决办法:增加起始培养细胞浓度;让细胞逐渐适应新培养液;换入新鲜配制培养液;补加谷酷肢或生长因子等;用无抗生素培养液培养,如发现污染,去弃培养物,或用抗生素除菌;血清需保存在5℃到20℃; 培养液需在2-8℃避光保存;含血清完全培养液在2-8℃保存,并在2周内用完;分离培养物,检测支原体。冷冻管应如何解冻?取出冷冻管后,须立即放入37℃水槽中快速解冻,轻摇冷冻管使其在1-2分钟内大部分融化,别注意,需残留一小块冰块,就可拿到超净工作台操作细胞,用75%酒精消毒冻存管,用新鲜培养基将细胞转移至培养瓶。另外冷冻管由液氮桶中取出解冻时,必须注意安全,预防冷冻管爆裂。

贴壁细胞消化传代时通常采用两种方法:一、加入胰酶等细胞脱落后,再加培养基中止胰酶作用,离心传代;二、加入胰酶后,镜下观察待细胞始脱落时,弃胰酶,加培养液分瓶。但前者太麻烦,而后者有可能对细胞施加胰酶选择,因为总是贴壁不牢的细胞先脱落,对肿瘤细胞来说,这部分细胞有可能是恶性程度较GAO的细胞亚群。一种简单的消化传代方法。加入PBS洗去血清或加入胰酶先中和血清的作用(30s),弃之,再加入适量胰酶作用10s-40s(根据细胞消化的难易程度),弃之,这样依赖残余的胰酶就可将细胞消化单细胞。对于较难消化的细胞,可以用2%利多卡因消化5-8分钟,然后再弃去,加培养基吹打也可以,对细胞的影响不大。不用PBS也不用Hanks洗,只要把旧培养液吸的干净一点,直接加酶消化应该不会有什么问题。弃培养液后,用0.04%的EDTA冲洗一次,再用1/4v的0.04%的EDTA室温孵育5min,弃取大部分EDTA,加入与剩余EDTA等量的胰酶(预热)总体积1/10v。消化到有细胞脱落。不过有人说EDTA对细胞不HAO,有证据吗?培养的BASMC:倒掉旧培养液加入少量胰酶冲一下,倒掉再加入0.125-0.25%胰酶约6-10滴或1ml(25ml bottle)消化再加入适量新培养基中和,并分瓶这种方法简单、省事;效果很HAO并且不损失细胞!

HS940细胞类似产品::Panc_02_03细胞、Anip-973细胞、A-9细胞

HEC-1-B细胞类似产品::QBC939细胞、BrCL15细胞、KP-4细胞

OCILY10细胞类似产品::HLF-a细胞、RSMC细胞、C3H10T1/2 clone8细胞

A.704细胞类似产品::HEK293-EBNA细胞、16HBE140细胞、HSC-2细胞

QGY-7703细胞类似产品::FLC7细胞、PFSK1细胞、MDCK2细胞

TK.10细胞类似产品::HeLa/DDP细胞、ECV-304细胞、TOV112细胞

H35 Reuber细胞类似产品::CV-1 in Origin Simian-1细胞、RN细胞、MMAc-SF细胞

HNSC细胞类似产品::HCASMC细胞、MDAMB435S细胞、HEL细胞

PG-4 S+L-细胞类似产品::PLMVEC细胞、SW-780细胞、HSC-3细胞

NCI-H2286细胞类似产品::SBC-5细胞、OVCAR.4细胞、NTera2/D1细胞

SW-756细胞类似产品::CD-18细胞、H250细胞、PTK2细胞

X63-Ag8-653细胞类似产品::CemT4细胞、C-4-I细胞、NCIH1155细胞

MIA-Pa-Ca-2细胞类似产品::451-LU细胞、JEG-3细胞、Panc 08.13细胞

CBRH-7919细胞类似产品::MH-S细胞、J774A.1细胞、BT20细胞

NCTC 1469细胞类似产品::WiDrTC细胞、Rat Glomerular Endothelial细胞、HCC-1171细胞

BT细胞类似产品::OCI-Ly 19细胞、SHP-77细胞、SCC25细胞

BT细胞类似产品::OCI-Ly 19细胞、SHP-77细胞、SCC25细胞

NCI-H660细胞类似产品::SK-MEL5细胞、GM03573细胞、LS 1034细胞

HEMCSS细胞类似产品::STTG1细胞、SKCO 1细胞、RL95细胞

MC3T3-E1 Subclone 4细胞类似产品::RCF细胞、H184A1细胞、CAL 148细胞

HS 683T细胞类似产品::NCI-H522细胞、U266细胞、3T3-Swiss细胞

JVM-3细胞类似产品::KYSE180细胞、HEL92.1.7细胞、Tca8113细胞

PG-4 S+L-细胞类似产品::PLMVEC细胞、SW-780细胞、HSC-3细胞

Hs 636.T细胞类似产品::EFO-27细胞、HCC1428细胞、PAa细胞

NL-20细胞类似产品::RERF-LC-MS细胞、9L细胞、Hs832.Tc细胞

NCI-Hut 125细胞类似产品::R1800[RA]细胞、NMCG-1细胞、Strain V细胞

Roswell Park Memorial Institute 1788细胞类似产品::EM3细胞、SGC7901/DDP细胞、C3H10T1/2细胞

IEC6细胞类似产品::HEK 293-EBNA细胞、COR-L23细胞、ME-180细胞

BNCL-2细胞类似产品::CAKI 2细胞、QGY-7701细胞、A72细胞

MDA MB 231细胞类似产品::L5178Y-R细胞、MX1细胞、E.G7-OVA细胞

APRE-19细胞类似产品::HuTu-80细胞、RAW2647细胞、OCI-LY-1细胞

PFSK细胞类似产品::NCI H548细胞、RAW264细胞、SUSM-1细胞

IBRS-2细胞类似产品::Lewis Lung Cancer细胞、OV2008细胞、NCIH1092细胞

U-118MG细胞类似产品::PK-15细胞、293EBNA细胞、HPDEC细胞

ARO 81-1细胞类似产品::FHCRC-11细胞、MV-3细胞、CNE-2Z细胞

SJ-Rh 30细胞类似产品::LLC PK1细胞、H716细胞、RKN细胞

OAC-P4C细胞类似产品::Hut292细胞、Karpas 422细胞、AG06814-M细胞

Hs 888.T细胞类似产品::SPDC-CCL141细胞、LC-MS细胞、TCC-PAN2细胞

H-2286细胞类似产品::WERI Rb-1细胞、LSC-1细胞、Hs-578-T细胞

LC1-Sq细胞类似产品::SCI1细胞、NBL-2细胞、Pa17C细胞

OCI AML3细胞类似产品::SW 839细胞、MOLP-8细胞、OVISE细胞

CCD-841CoTr Cells(赠送Str鉴定报告)|人结肠癌细胞

P3J HR1-K细胞类似产品::A-101D细胞、HCC1008细胞、NCIH1563细胞

RT4细胞类似产品::U-118-MG细胞、OLN 93细胞、SVOG细胞

KBM-7细胞类似产品::KY-50细胞、GS-9L细胞、SK-N-MC细胞

JM-1细胞类似产品::RPMI No. 1846细胞、Clone Y-1细胞、H7721细胞

G 401细胞类似产品::PC-9细胞、HO8910细胞、HEB细胞

G 401细胞类似产品::PC-9细胞、HO8910细胞、HEB细胞

VERO76细胞类似产品::AN3CA细胞、SCC090细胞、CAKI.1细胞

MLTC-1细胞类似产品::MV3细胞、HemECs细胞、SK N SH细胞

BL6细胞类似产品::UO-31细胞、MC-38细胞、NIH:OVCAR-8细胞

P3/ag细胞类似产品::HECCL-1细胞、NCI-HUT-292细胞、B-cell with DC Morphology细胞

CW-2细胞类似产品::NCIH2066细胞、C-4 I细胞、Rat Chondrosarcoma Swarm细胞

REC 1细胞类似产品::HCC-4006细胞、U266B1细胞、HOS (TE85, Clone F5)细胞

RCC10细胞类似产品::LAPC4细胞、H2108细胞、P116细胞

MKN-28细胞类似产品::H820细胞、Japanese Tissue Culture-39细胞、HTh 74细胞

MKN-28细胞类似产品::H820细胞、Japanese Tissue Culture-39细胞、HTh 74细胞

Hs934T细胞类似产品::Kit-225-K6细胞、hRPTC细胞、HEK293F细胞

HL60细胞类似产品::MT-3 [Human leukocytes]细胞、Farage细胞、MDA MB 436细胞

HET-1A细胞类似产品::GM3190细胞、Caco2-BBE细胞、LX-2细胞

Caco 2细胞类似产品::HEM-L细胞、hSCC-25细胞、FRO细胞

NCI-H774细胞类似产品::UMUC14细胞、BE2_C细胞、CCC-HEL-1细胞

HEK AD293细胞类似产品::P3-X63.Ag8.653细胞、C918细胞、SF-767细胞

L-363细胞类似产品::H2342细胞、MCF-7细胞、SK ES 01细胞

SW-620细胞类似产品::COR-L51细胞、CHO/dhFr-细胞、SW1088细胞

SKMES-1细胞类似产品::PCI-04B细胞、MDBK细胞、GES1细胞

BALB/c 3T3 clone A31细胞类似产品::SVHUC细胞、SUM-159细胞、H-1573细胞

G-292, clone A141B1细胞类似产品::Hs 766.T细胞、SCC-1395细胞、MT4细胞

Mink Lung细胞类似产品::NCI-H1915细胞、HCC-44细胞、LNCaP clone FGC细胞

HCCC9810细胞类似产品::Hs 840.T细胞、MEL细胞、Human Lung Microvascular Endothelial Cell line-5a细胞

P3-X63-Ag8.653细胞类似产品::IMR 32细胞、SMMC 7721细胞、HCC-15细胞

Normal Rat Kidney-52E细胞类似产品::U-138-MG细胞、MDA-MB157细胞、Wayne State University-Head and Neck 13细胞

SKMEL-2细胞类似产品::M-20细胞、GC-2spd(ts)细胞、BAC1.2F5细胞

TH1细胞类似产品::A9(Hamprecht)细胞、Large Cell Lung Cancer-103H细胞、SC1细胞

BTI-Tn5B14细胞类似产品::Hs 281.T细胞、CNE2细胞、LNCaP-ATCC细胞

OSA细胞类似产品::SHIN3细胞、SUDHL-4细胞、OCI-Ly07细胞

PCI:SG231细胞类似产品::NCTC-1469细胞、NCI747细胞、A10细胞

HCC1395细胞类似产品::COLO-829细胞、3T6细胞、Human Fetal Thymocyte-8810细胞

HCM细胞类似产品::HEK-AD293细胞、AG 9细胞、WIL2-S细胞

Vertebral Cancer of the Prostate细胞类似产品::CT26.WT细胞、JTC-39细胞、MMVECs细胞

16-HBE细胞类似产品::MN60细胞、Transformed Human Liver Epithelial-2细胞、IPLB-Sf21-AE细胞

SCC 9细胞类似产品::MLE-12细胞、SK-MEL-24细胞、GM03671C细胞

253JBV细胞类似产品::BT549细胞、Hs 578.T细胞、BJ [Human fibroblast]细胞

H4-II-E-C3细胞类似产品::Mel-624细胞、CESS细胞、THEECs细胞

IHH-4细胞类似产品::PE CA PJ34细胞、CEM-C1细胞、L 132细胞

MRCV细胞类似产品::NCI-H524细胞、BEP2D细胞、D-283细胞

Ca-Ski细胞类似产品::LIM1215细胞、KPNRTBM1细胞、L-1210细胞

CCLP-1细胞类似产品::NPC-TW-039细胞、CORL51细胞、A20细胞

DHBE细胞类似产品::SW900细胞、Suzhou Human Glioma-44细胞、Hep 3B2_1-7细胞

RIN14B细胞类似产品::CFSC-8B细胞、SCC-15细胞、LC-1-sq细胞

8226/S细胞类似产品::LCD细胞、HCC-4006细胞、293细胞

U20S细胞类似产品::GP-293细胞、HNE-1细胞、GA-10(Clone 4)细胞

NSI/1-Ag4-1细胞类似产品::NCI-H2066细胞、Nthy-ori 3.1细胞、alpha TC1 clone 6细胞

WTRL1细胞类似产品::AAV-293细胞、H-920细胞、DanG细胞

VK2 (E6/E7)细胞类似产品::COLO-320细胞、GM0637细胞、CNE1-LUC细胞

X63-Ag8细胞类似产品::H187细胞、SW 1783细胞、H1930细胞

X63-Ag8细胞类似产品::H187细胞、SW 1783细胞、H1930细胞

DB细胞类似产品::RGB细胞、NBL-3细胞、HEL299细胞

JB-6细胞类似产品::H322细胞、NCIH740细胞、COLO 824细胞

Jiyoye细胞类似产品::ABC-1细胞、LNCaP C4-2细胞、3AO细胞

MES23.5细胞类似产品::NCI-SNU-1040细胞、L Wnt-3A细胞、SN12CPM6细胞

CA922细胞类似产品::MOLT4细胞、Mv.1.Lu细胞、SK-N-SH细胞

A 375细胞类似产品::Hs 746T细胞、MCF-7/ADR细胞、451Lu细胞

UCLA SO M21细胞类似产品::MAVER-1细胞、Mono Mac 6细胞、SF-295细胞

OVCAR-8细胞类似产品::578T细胞、Epstein-Barr-1细胞、BJA-B1细胞

CHP-212细胞类似产品::RGM-1细胞、NCl-H157细胞、P3-X63-Ag8-6-5-3细胞

NHA细胞类似产品::MPP-89细胞、CNE细胞、NIE 115细胞

CCRFCEM细胞类似产品::MM-1S细胞、SR786细胞、HTori:3细胞

SNU368细胞类似产品::NB-4细胞、GM02219细胞、Detroit562细胞

HuCC-T1细胞类似产品::HOP 62细胞、P3HR1-BL细胞、H-209细胞

32D:cl3细胞类似产品::Farage OL细胞、LS174细胞、HepG2/C3A细胞

NCI-H1341细胞类似产品::SNU-407细胞、Case 3细胞、Dysplastic Oral Keratinocyte细胞

WM115细胞类似产品::NE1细胞、SN12PM6细胞、Jurkat FHCRC细胞

U-138MG细胞类似产品::NS-20Y细胞、PC-9S1细胞、HFTF细胞

NCI-H2066细胞类似产品::Panc_08_13细胞、Hs606T细胞、3T3细胞

GM17346细胞类似产品::A-375.S2细胞、Line 697细胞、NCIH2342细胞

343 MG细胞类似产品::SUD6细胞、alpha-TC1.6细胞、H-747细胞

AE1201细胞类似产品::COLO 357细胞、WM-266-mel细胞、MM1S细胞

CNE2Z细胞类似产品::LOU-NH-91细胞、COS-1细胞、CNE细胞

WM 239A细胞类似产品::WEHI 164 TC细胞、NCI-H1672细胞、JHH-2细胞

EVSAT细胞类似产品::MB49细胞、HCC0044细胞、PVEC细胞

SKMEL3细胞类似产品::H146细胞、NCI-ADR-RES细胞、COV434细胞

SK-ML2细胞类似产品::COR L279细胞、Sp2/0-Ag14细胞、J 111细胞

EBTr细胞类似产品::RWPE2细胞、SNU869细胞、TSU-Pr1细胞

WC00059细胞类似产品::GM01232细胞、LTEPa2细胞、NCI H157细胞

Lu99A细胞类似产品::B16-F1细胞、Renal Carcinoma细胞、MBT2细胞

MA 104细胞类似产品::IHHA-1细胞、NCIH1876细胞、NCI-H1568细胞

MDAMB361细胞类似产品::HuH-6细胞、SW1783细胞、HT1080细胞

U-hth74细胞类似产品::MEL-526细胞、HuT-78细胞、P3HR1细胞

HPAF/CD18细胞类似产品::MUS-M1细胞、PANC 813细胞、BSC-40细胞

Swiss-3T3细胞类似产品::H-1688细胞、Capan2细胞、HCC1395细胞

MBT2细胞类似产品::PC-9/GR细胞、M-14细胞、MHCC97H细胞

HCT 116细胞类似产品::H1694细胞、MOLT-16细胞、Metastatic Variant-522细胞

MKN-28细胞类似产品::H820细胞、Japanese Tissue Culture-39细胞、HTh 74细胞

TE-13细胞类似产品::Jurkat clone A3细胞、HOS (TE85)细胞、NRK细胞

HEK 293细胞类似产品::WM266细胞、PaTu8988s细胞、LN382细胞

MA-104细胞类似产品::Rin-M-5F细胞、RT4-D6P2T细胞、UMR106细胞

LIPF155C细胞类似产品::DMS-114细胞、MonoMac6细胞、Mv 1 Lu (NBL-7)细胞

Me-Wo细胞类似产品::CEM细胞、HO1-N-1细胞、SW837细胞

FRTL-5细胞类似产品::Hs-675-T细胞、P3X63Ag8.653细胞、SO-RB50细胞

SW1116细胞类似产品::KYSE0520细胞、HT-1197细胞、NCI-H719细胞

M210B4细胞类似产品::BT-20细胞、NCIH358细胞、H-920细胞

ZR75-30细胞类似产品::NCI-H1522细胞、SCC VII细胞、HEC1-B细胞

SHIN3细胞类似产品::HO8910PM细胞、H187细胞、PC 61细胞

SKNBE(2c)细胞类似产品::Melan-a细胞、HCA 7细胞、NCI-H522细胞

MIN6细胞类似产品::NCIH1568细胞、PLC/PRF5细胞、ARIP细胞

SCC7细胞类似产品::Douglas Foster-1细胞、T1-73细胞、NCIH250细胞

IBRS2细胞类似产品::DoTc2-4510细胞、SP2细胞、J82 COT细胞

MCF-7/ADR细胞类似产品::EOMA细胞、Caco-2/BBe 1细胞、AR41P细胞

GM04154B细胞类似产品::CG-4细胞、HCV-29细胞、SNU-354细胞

CCD18Co细胞类似产品::HLE B-3细胞、NCI-H1385细胞、HBL 100细胞

DK-MG细胞类似产品::CAL-12T细胞、NRCC细胞、OCI-LY-18细胞

MB468细胞类似产品::Pt-K2细胞、BT325细胞、HEK-293A细胞

SUSM1细胞类似产品::SW 527细胞、KNS-42细胞、Eca109细胞

B95.8细胞类似产品::BC-3-H-I细胞、HT29细胞、Kit-225-K6细胞

H676细胞类似产品::HCC38细胞、SKMES-1细胞、BC-025细胞

Transformed Human Liver Epithelial-3细胞类似产品::NRCC细胞、TE-1细胞、S.B.细胞

MPC-83细胞类似产品::PL9细胞、MC 116细胞、H1355细胞

TCam-2细胞类似产品::SKMES-1细胞、NB-9细胞、HFF细胞

TEC细胞类似产品::BNL.CL2细胞、SK Mel 2细胞、LM3细胞

NCIH1755细胞类似产品::FET细胞、RGM-1细胞、MILE SVEN1细胞

CCD-841CoTr Cells(赠送Str鉴定报告)|人结肠癌细胞

BaF3细胞类似产品::ECV304细胞、NCIH526细胞、H-1437细胞

LA-4 [Mouse lung adenoma]细胞类似产品::H2347细胞、DSL-6A-C1细胞、RIMEC细胞

HL-60细胞类似产品::Panc-813细胞、CX-1细胞、KNS62细胞

SW-839细胞类似产品::OCILY19细胞、H-87细胞、Hi5细胞

HEK293EBNA细胞类似产品::OACP4 C细胞、NCIH2110细胞、3AA细胞

SK-NSH细胞类似产品::COV-362细胞、HCC 38细胞、C4-1细胞

Neuro 2a细胞类似产品::A10细胞、HCC-95细胞、OLN 93细胞

NALM-6-M1细胞类似产品::HCC-15细胞、KRCY细胞、LAD 2细胞

PIG3细胞类似产品::HT 29细胞、786-O RCC细胞、JURKAT E-61细胞

MCF-7/ADR细胞类似产品::CAL 62细胞、CRFK细胞、SCC9细胞

G 401细胞类似产品::PC-9细胞、HO8910细胞、HEB细胞

G519细胞类似产品::NCI H747细胞、OVCAR-432细胞、GTL 16细胞

MKN28细胞类似产品::TOV112细胞、D324细胞、SKLU1细胞

A20细胞类似产品::HNE2细胞、HME1细胞、95C细胞

A20细胞类似产品::HNE2细胞、HME1细胞、95C细胞

Hs 822.T细胞类似产品::SK-N-MC细胞、CV 1细胞、GCT0404细胞

DC2.4细胞类似产品::Psi-2-DAP细胞、PK136细胞、HNSC细胞

OKT3细胞类似产品::TNC-1B12B4细胞、Experimental Mammary Tumour-6细胞、343 MG细胞

BSC1细胞类似产品::Granta-519细胞、SNU-119细胞、H69/P细胞

H-69细胞类似产品::VK2 (E6/E7)细胞、E304细胞、NCI-H1048细胞

NBL-3细胞类似产品::RL952细胞、H-2085细胞、WSUDLCL2细胞

NCI-H1975细胞类似产品::LS-174细胞、H-889细胞、Jurkat-E6细胞

PGLH7细胞类似产品::CHL-11细胞、293 EBNA细胞、OACP4C细胞

251 MG细胞类似产品::2BS细胞、NCIH1618细胞、Hep G2/C3A细胞

HCT116细胞类似产品::Rat podocyte细胞、MKN 45细胞、SK-N-BE(2)C细胞

MDCK (NBL-2)细胞类似产品::KMS-26细胞、As-PC1细胞、NCI-H69C细胞

NU-GC-3细胞类似产品::MGC803细胞、ACCM细胞、MC 116细胞

KTA7细胞类似产品::NuTu-19细胞、M07e细胞、QGY7701细胞

NPC-039细胞类似产品::MCF 7B细胞、P3/X63/Ag8细胞、Danio rerio Gill细胞

NCI-A549细胞类似产品::M14-MEL细胞、C-33-A细胞、Metastatic Variant 522细胞

OCILY10细胞类似产品::HLF-a细胞、YD15细胞、ROS-17/2.8细胞

CORL51细胞类似产品::MDA231-LM2-4175细胞、Stanford University-Diffuse Histiocytic Lymphoma-16细胞、Pa14C细胞

"



CCD-841CoTr Cells(赠送;

公司简介

上海冠导生物工程有限公司,先后从ATCC、DSMZ、ECACC、RIKEN、PromoCell、ScienCell、JCRB等国内外细胞库引进细胞2000余株。以此为契机,公司组建了冠导细胞库,我司细胞均由资深细胞培养工程师进行培养。我司可以提供的细胞有:①细胞系②原代细胞③稳转株④耐药株⑤标记细胞⑥细胞配套试剂等。

成立日期 (11年)
注册资本 100万(元)
员工人数 50-100人
年营业额 ¥ 1000万-5000万
经营模式 工厂,试剂,定制,服务
主营行业 细胞培养,微生物学,细胞生物学

CCD-841CoTr Cells(赠送Str鉴定报告)|人结肠癌细胞相关厂家报价

内容声明
拨打电话 立即询价