基本信息 产品详情 公司简介 推荐产品
网站主页 OCM-1A CELLS:人脉络膜黑色素瘤细胞系 OCM-1A Cells(赠送Str鉴定报告)|人脉络膜黑色素瘤细胞
  • OCM-1A Cells(赠送Str鉴定报告)|人脉络膜黑色素瘤细胞

OCM-1A Cells(赠送Str鉴定报告)|人脉络膜黑色素瘤细胞

OCM-1A Cells
询价 1000000细胞数 起订
2000000细胞数 起订
上海 更新日期:2026-04-28

上海冠导生物工程有限公司

VIP6年
联系人:全经理
电话:18818239863拨打
邮箱:3171921642@qq.com

产品详情:

中文名称:
OCM-1A Cells(赠送Str鉴定报告)|人脉络膜黑色素瘤细胞
英文名称:
OCM-1A Cells
保存条件:
常温培养或液氮冻存
纯度规格:
OCM-1A Cells(赠送Str鉴定报告)|人脉络膜黑色素瘤细胞
产品类别:
生物试剂

"OCM-1A Cells(赠送Str鉴定报告)|人脉络膜黑色素瘤细胞

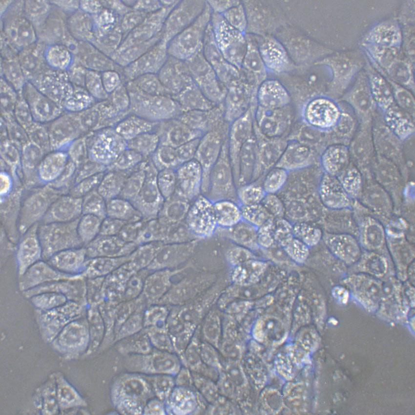
细胞背景资料:脉络膜黑色素瘤;女性

细胞形态:上皮细胞样

解冻细胞常见实验问题分析及推荐解决方法:在解冻冻存细胞时,发现会出现存活率低、大量细胞碎片及生长缓慢等问题,究竟是什么原因导致,我们该怎么进行解决?以下是国内外细胞培养专家针对解冻细胞实验问题,总结的一些解决方案!出现低存活率的可能原因及推荐解决方案如下:1)解冻过程中细胞裂解,推荐的解决方案:可预期到一定量的细胞死亡,因此细胞的浓度应足够GAO,考虑到这一损失。起始浓度为1*10(6)至1*10(7)细胞/毫升;2)解冻过程中的问题,推荐的解决方案:在-70℃至-80℃下保存冷冻的培养物,保存时间为1-5天,但这不是保存的方法。在37℃充分解冻后应立即开始培养;3)对冷冻液过敏,推荐的解决方案:A.完全或部分更换培养基,减少培养基中冷冻液的量。在24小时后更换培养液体可全部去除冷冻液。B.留出更多时间供培养物恢复。有时细胞需要几周时间才能形成单层或密集的悬浮物,取决于冷冻时细胞的年龄或传代次数或在生长阶段中的位置。冷冻的Zui佳条件在对数期;4)被冷冻的原种细胞的年龄或冷冻时培养物的年龄,推荐的解决方案:解冻Zui近冷冻的细胞。细胞处于冷冻状态的时间越长,存活率越低。检查冷冻细胞的时间和方法。在冷冻时细胞应处于对数期。

细胞生长:贴壁

E.L.4细胞类似产品::HEL9217细胞、HEL299细胞、SVHUC细胞

C22 (Clara)细胞类似产品::EFM-192C细胞、HCC1833细胞、NCI/ADRRES细胞

HBVP细胞类似产品::NCIH1793细胞、Panc-8_13细胞、Reuber H35细胞

HUT 125细胞类似产品::LTEP a2细胞、TPC1细胞、SW260细胞

WEHI3细胞类似产品::Hs294T细胞、RPMI-7951细胞、SGC7901/DDP细胞

OCM-1A Cells(赠送Str鉴定报告)|人脉络膜黑色素瘤细胞

细胞物种来源:人源或鼠源等其它物种来源

[细胞产品包装]鲜活细胞:T25培养瓶(一瓶)或冻存细胞:1ml冻存管(两支)

悬浮细胞不容易转染:悬浮细胞是指细胞生长不依赖支持物表面,在培养液中呈悬浮状态生长,如淋巴细胞。在实验室经常会遇到悬浮细胞的转染,其和贴壁细胞转染还是有很大不同的。目前大多数实验室用的是脂质体类的转染试剂,脂质体转染是基于电荷吸引原理,先形成脂质体-DNA复合物,散布在细胞周围,然后通过细胞的内吞作用,将目的基因导入细胞内,而脂质体复合物与贴壁细胞的接触机会比悬浮细胞GAO出很多倍,所以,脂质体转染时悬浮细胞的转染效率要明显低于贴壁细胞。其次,脂质体试剂的毒性较大,这就使得悬浮细胞的转染更为困难了。另外,悬浮细胞不易培养,易死亡,也给细胞转染造成了一定的困难。为了提GAO悬浮细胞的转染效率,可以使用非脂质体的转染试剂,如纳米材料的。也可以使用电转染方法,针对悬浮细胞等难转染细胞还是挺不错的,电击对细胞有一定的损伤,ZuiHAO选用具有细胞膜修复功能的电转染试剂,可以将电击对细胞的伤害降到Zui低,悬浮细胞不易转染,选对试剂及良HAO的细胞培养环境才是关键。

细胞传代方法:1:2-1:3传代;每周换液2-3次。

SKMel-5细胞类似产品::WC00097细胞、Hepatoma-22细胞、HL-1细胞

A7r5细胞类似产品::SKCol1细胞、HuH6细胞、NCI-H64细胞

NCI-H64细胞类似产品::HepaRG细胞、D-324 Med细胞、McA-RH7777细胞

GM02219C细胞类似产品::MCF 10A细胞、Lec1细胞、RD 2细胞

J111细胞类似产品::NCIH650细胞、Hs819T细胞、University of Michigan-Urothelial Carcinoma-14细胞

细胞来源说明:来源于RCB、ATCC、KCLB、DSMZ、ECACC、INCell、ScienCell、ECACC、JCRB、Asterand、ICLC等知名细胞库

OCM-1A Cells(赠送Str鉴定报告)|人脉络膜黑色素瘤细胞

细胞生长特性:贴壁

NCTC 3960细胞类似产品::MD Anderson-Metastatic Breast-157细胞、HOS/MNNG细胞、JAR细胞

SNU-387细胞类似产品::H-1395细胞、NCIH1105细胞、UMNSAH/DF#1细胞

SUM-190PT细胞类似产品::SK-N-F1细胞、Calu-1细胞、CWR22-R1细胞

HConEpic细胞类似产品::Vero 76 clone E-6细胞、KP-N-RT细胞、NCIH929细胞

IPI-2I细胞类似产品::KP-N-RT-BM-1细胞、Hs870T细胞、TE-14细胞

WSU-DLCL-2细胞类似产品::UWB1.289+BRCA1细胞、MuM-2C细胞、H.Ep.-2细胞

培养细胞真的不难,Zui关键几点:1)所有的东西使用,如果你用的血清、培养皿、培养基、胰酶什么的都是进口的,真的很难相信你会把细胞养坏;2)动作要快,胰酶消化,换液什么,细胞暴露在空气中的时间越少越HAO。另外,要掌握HAO胰酶消化时间,所谓的细胞状态差,很多时候是传代的原因;3)有时间的话,需要细胞计数,传相应数目的细胞到培养皿中,可以大致清楚细胞的生长曲线,不会临时要处理,手足无措;4)要做什么心里要非常清楚,合理安排时间,传代细胞的实验穿插进行,可以节省很多时间,也不会耽误别人的实验;5)个人的实验器具自己收一套,不要和别人混用,Zui近换了什么新的东西稍微记一下,试剂一旦怀疑污染,马上丢;6)传代细胞不能进去太多人,避免相互干扰。每天对待细胞比孝敬爹妈还用心,那真是捧在手里怕碎了,含在嘴里怕化了,看在眼里怕丢了,培养细胞时有哪些经验教训可以分享呢?1)严格无菌操作,多喷喷酒精,要是对灭菌的东西不放心,自己包自己送自己烘干;2)不要和别人共用试剂耗材,自己准备一套;3)有可能的话在拿到新细胞的时候做HAO支原体衣原体检测;4)水浴锅很脏,生化培养箱要是得手动加湿的话盘里的水也会很脏,勤换(灭菌水加进去);5)晚上离开的时候ZuiHAO给传代细胞照紫外,超净台是用完就开;6)是同一时间就你一个人在用传代细胞在养细胞。

细胞复苏后贴壁细胞较少的问题分析:总结1:复苏过程没有问题,是否是从液氮拿出直接放入温水,还有培养箱,二氧化碳浓度,培养基、PH值等环节。要么加GAO浓度FBS 15-20%,看看能否帮助贴壁,当然也需要考虑血清问题,还有确信拿来的细胞没问题。总结2:首先应该怀疑冻存,实际上复苏出问题的可能非常小,因为操作简单,而且死板。1、你冻存的时候是不是消化的时间过长,这是一般人所注意不到的,即使书上也不讲这个问题,太长的消化时间会让细胞复苏时失去贴壁能力,表现为先贴后死,原因是在你复苏的时候细胞已进入凋亡程序,不可逆转的死亡。2、你的冻存液HAO不HAO,是什么,甘油还是DMSO,质量非常重要,否则也会死亡。3、你的冻存液的量加的是不是太多,ATCC推荐是不超过7%,大于5%,太多也不HAO。4、你在冻存的时候是不是把DMSO混均匀,这个有一些影响,但不算太大。5、你的冻存是否按部就班,就是所温度梯度是不是把握严格,很多人容易忘却这个事情,因为这个东西流程长。6、如果你细胞污染,你是否能很快看到,我比我的导师能早一天看到污染。从这个角度讲建议去除离心这步。7、你的细胞在冻存前是否过密。还有,不赞成孵箱污染这个概念的,所有在一个孵箱里的细胞都污染一个细菌的话,这个细菌是源于孵箱的,但这不代表孵箱污染,因为孵箱无论你如何处理都有大量的细菌,问题在操作。每次污染的原因都要尽可能的找,以后就不犯同样的问题,这个很重要,不能靠猜,否则你就有可能细胞养绝Zui后换课题,这个见得太多了,别不当会事。

T-ALL-1细胞类似产品::NCI-H716细胞、NCIH2342细胞、ReNcell CX细胞

Calf Pulmonary Artery Endothelial细胞类似产品::GTL16细胞、T47-D细胞、MDA-468细胞

SR-786细胞类似产品::OCI/AML-4细胞、EFM-192B细胞、SK-RC-52细胞

ASH3细胞类似产品::University of Michigan-Renal Carcinoma-2细胞、MM1细胞、NCTC-929细胞

AZ-521细胞类似产品::MADISON LUNG TA-109细胞、MOLT.4细胞、T98-G细胞

NCI-H1793细胞类似产品::Sol8细胞、Colo-678细胞、H-2135细胞

SW 756细胞类似产品::G422细胞、RBL-1细胞、CCD 966SK细胞

PL12细胞类似产品::16HBE140细胞、PA-TU-8988S细胞、HIBEpiC细胞

CAL 78细胞类似产品::SNU-387细胞、U138-MG细胞、MB49细胞

LP-1细胞类似产品::KYSE520细胞、Colon26细胞、HIBEC细胞

BCAP37细胞类似产品::HSCT6细胞、HSC-3细胞、GM00637细胞

SMA-560细胞类似产品::MD Anderson-Metastatic Breast-361细胞、801-D细胞、Tu-686细胞

Hs870T细胞类似产品::JG细胞、NCI-H748细胞、SK-MEL-1细胞

RASMC细胞类似产品::OCI-Ly8细胞、TPC-1细胞、WSU-DLCL-2细胞

OCI-Ly 18细胞类似产品::8305C细胞、F81细胞、P-3J细胞

H-87细胞类似产品::Panc813细胞、Karpas299细胞、ZR75-30细胞

H-87细胞类似产品::Panc813细胞、Karpas299细胞、ZR75-30细胞

DMS 53细胞类似产品::CCRF-CEM C7细胞、VB细胞、Eca 109细胞

AML193细胞类似产品::NCIH146细胞、MOLP2细胞、GM01232E细胞

WERI-Rb 1细胞类似产品::C4-2细胞、RK13细胞、Y3-Ag1,2,3细胞

WM-115细胞类似产品::NCIH1944细胞、MHHCALL2细胞、SK-BR-3细胞

HFL 1细胞类似产品::MIA Paca2细胞、Panc 04.03细胞、HCC-1937细胞

BpRc1细胞类似产品::hTERT-HME1细胞、H1048细胞、IM-9细胞

CLL-CII细胞类似产品::SW13细胞、H-441细胞、D341Med细胞

HRC-99细胞类似产品::CW-2细胞、HA1800细胞、MO59J细胞

H378细胞类似产品::McA-RH 8994细胞、H-929细胞、293H细胞

JVM-3细胞类似产品::KYSE180细胞、HEL92.1.7细胞、Tca8113细胞

Caki2细胞类似产品::BE2C细胞、OKT 3细胞、CAL-78细胞

RPE1-hTERT细胞类似产品::H1993细胞、FRTL 5细胞、A2780S细胞

H2342细胞类似产品::HGE细胞、3AA细胞、MC 3T3-E1细胞

Strain KB细胞类似产品::6-T CEM细胞、RPMI 8226细胞、H-1792细胞

MN9D细胞类似产品::U251n细胞、Vero from pool #76细胞、HAPI细胞

H1355细胞类似产品::NBL-3细胞、SN-12C细胞、NCI-H250细胞

TPC1细胞类似产品::TE-4细胞、Mono Mac 1细胞、U-373MG细胞

HOP 62细胞类似产品::SNU886细胞、NCI-SNU-16细胞、H-1105细胞

THP-1细胞类似产品::OVCAR420细胞、P388-D1细胞、High Five细胞

BJAB-1细胞类似产品::SF767细胞、SkMel31细胞、Hs739T细胞

Colo-206F细胞类似产品::Shadyside Hospital Pittsburgh-77细胞、V-79细胞、NCI-H1930细胞

SNK-1细胞类似产品::CCD 966SK细胞、MD Anderson-Metastatic Breast-453细胞、H-2085细胞

MKN28细胞类似产品::TOV112细胞、D324细胞、SKLU1细胞

WM266mel细胞类似产品::Hepatoma-22细胞、HEK-293细胞、CEMC1细胞

OCM-1A Cells(赠送Str鉴定报告)|人脉络膜黑色素瘤细胞

H-748细胞类似产品::Mel624细胞、MARC 145细胞、SK-RC 39细胞

HOS (TE85, Clone F5)细胞类似产品::JurkatE6-1细胞、HGE细胞、OCI-Ly03细胞

32D clone 3细胞类似产品::A875细胞、MDA231-LM2细胞、N-9细胞

UMNSAH-DF1细胞类似产品::PC10细胞、BE(2)-M17细胞、CAL-12T细胞

PLA801-95C细胞类似产品::NCI-HUT-292细胞、SK Mel 1细胞、H841细胞

PLA801-95C细胞类似产品::NCI-HUT-292细胞、SK Mel 1细胞、H841细胞

FU-97细胞类似产品::NCl-H157细胞、MAD109细胞、Hs819T细胞

NCTC 3960细胞类似产品::MD Anderson-Metastatic Breast-157细胞、HOS/MNNG细胞、JAR细胞

SUP-M2细胞类似产品::SW1271细胞、D283MED细胞、Baby Hamster Kidney-21细胞

OCILY-19细胞类似产品::HLEB3细胞、SUM149细胞、CV-1细胞

H35 Reuber细胞类似产品::CV-1 in Origin Simian-1细胞、RN细胞、MMAc-SF细胞

Mhh-Call 2细胞类似产品::GP2-293细胞、RBVEC细胞、J 774A.1细胞

S180细胞类似产品::SK-N-BE(2)细胞、HT clone H9细胞、NCI-H1975细胞

L-Wnt-3A细胞类似产品::MC3T3-E细胞、A-172细胞、RPMI-1788细胞

LL/2细胞类似产品::MDA-436细胞、TCCPAN2细胞、BEP2D细胞

HS-294T细胞类似产品::HF-91细胞、Hep 2细胞、LIXC002细胞

MS-751细胞类似产品::H-1184细胞、COLO.205细胞、H847细胞

NCI-H78细胞类似产品::SK LU 1细胞、PK-136细胞、HEL-1细胞

MonoMac1细胞类似产品::HSC-3细胞、95C细胞、C38细胞

Adult Retinal Pigment Epithelial cell line-19细胞类似产品::Mono Mac 6细胞、HOS-MNNG细胞、LN-229细胞

RPPVEC细胞类似产品::H209细胞、HCT FET细胞、UACC893细胞

MGH-U1 (EJ)细胞类似产品::Lewis lung carcinoma line 1细胞、HBL-100细胞、H1436细胞

SK Mel 2细胞类似产品::VK2细胞、H.Ep. No. 2细胞、GH3细胞

SK-MEL3细胞类似产品::D283MED细胞、MDA-MB231细胞、PaTu 8988s细胞

NCI-841细胞类似产品::AML-2细胞、Rat1细胞、LS180细胞

HCT-8细胞类似产品::NCI-H-295细胞、CNE1细胞、SK.MEL.28细胞

CAL 39细胞类似产品::MM1S细胞、NCI-H1522细胞、MMAc.SF细胞

KMM-1细胞类似产品::MCF12F细胞、RPMI 2650细胞、CCRFCEM细胞

HARA-B细胞类似产品::HUCCT1细胞、MARC145细胞、DR2R1610细胞

EJ 138细胞类似产品::IEC18细胞、MV(4;11)细胞、MSCs(mUCMSCs)细胞

PANC 813细胞类似产品::HCT GEO细胞、MESSADX5细胞、PM6细胞

Transformed Human Liver Epithelial-2细胞类似产品::OKT3细胞、MOLM-13细胞、RAW264细胞

ADR-RES细胞类似产品::SG231细胞、B-16细胞、Hs600T细胞

MOLT-4细胞类似产品::HEL92.1.7细胞、RGC-5细胞、SNU668细胞

HOC1细胞类似产品::LIXC-002细胞、H1092细胞、OVCA420细胞

QG56细胞类似产品::EVSA/T细胞、U-343MG细胞、Neuro2a细胞

Vero 76细胞类似产品::SK-N-BE(1)细胞、HM细胞、PG-4 S+L-细胞

UMR 106细胞类似产品::SW 1990细胞、BSC1细胞、PC-3M-IE8细胞

MDA-MB-435S细胞类似产品::Hs_578t细胞、EoL-1 cell细胞、G402细胞

J774 A1细胞类似产品::Hs 895.T细胞、C-26细胞、OCIAML3细胞

Huh-7.5.1细胞类似产品::L-cells细胞、NPA87细胞、SMA-560细胞

HUT-125细胞类似产品::HEL-92_1_7细胞、hTERT-RPE-1细胞、VeroE6细胞

MOLT4细胞类似产品::HME-1细胞、VeroE6细胞、Medical University of Graz-Chordoma 1细胞

IMR 90细胞类似产品::SNU-398细胞、SCLC-21H细胞、Sp2/mIL-6细胞

Panc02.03细胞类似产品::H2198细胞、U118MG细胞、UWB1-289细胞

GC9811-P细胞类似产品::Anip973细胞、HNE-3细胞、BE2_C细胞

HS-683细胞类似产品::HTori3细胞、OK-WT细胞、HCC 38细胞

Lieming Xu-2细胞类似产品::HSC细胞、H810细胞、U251n细胞

JHH-2细胞类似产品::MRC-9细胞、LP1细胞、IM95细胞

ES2细胞类似产品::OCI AML5细胞、ChaGo-K1细胞、32D/cl3细胞

SUDHL-5细胞类似产品::MX-1细胞、NCI-H929细胞、SKml2细胞

Hs-695-T细胞类似产品::H226细胞、JB6 Cl 30细胞、OVCA-420细胞

CACO2细胞类似产品::PCI:SG231细胞、HFB细胞、GBCSD细胞

GP2d细胞类似产品::CCD19Lu细胞、GM2131细胞、GM637细胞

AM-38细胞类似产品::NRK52E细胞、EBNA-293细胞、HN-6细胞

BTI-Tn-5B1-4细胞类似产品::RMC细胞、H1581细胞、OKT 3细胞

Gerner 7666细胞类似产品::Hs 821.T细胞、RT 112细胞、HEK 293A细胞

Sci-1细胞类似产品::Anip-973细胞、EC-9706细胞、ECC 10细胞

SCC 25细胞类似产品::NCI-H1650细胞、hESC细胞、PAN 02细胞

SCC7细胞类似产品::Douglas Foster-1细胞、ASH3细胞、Balb/3T3-4-Cl31细胞

HOS细胞类似产品::S16细胞、COLO680N细胞、MIA-PaCa-2细胞

ACCM细胞类似产品::Rat Skin 1细胞、143B细胞、SW626细胞

IPLB-SF-21-AE细胞类似产品::SKMEL24细胞、SCC154细胞、JC细胞

Caov-3细胞类似产品::BLO 11细胞、LUDLU 1细胞、SUM-52细胞

HPAEpiC细胞类似产品::Colon-38细胞、IMR-90细胞、hRPTC细胞

KRC/Y细胞类似产品::VMM5细胞、GT1-1细胞、P31/FUJ细胞

FDCP1细胞类似产品::RT4P细胞、CCRF/CEM细胞、COR-L23细胞

H2141细胞类似产品::Reuber H-35细胞、LP-1细胞、NCI-Hut 125细胞

U251MG细胞类似产品::3AO细胞、Cattle chondrocytes细胞、MCF10A细胞

NCIH2135细胞类似产品::MES-SA-Dx5细胞、OE-21细胞、MD Anderson-Metastatic Breast-468细胞

SK-N-BE(1)细胞类似产品::AZ-521细胞、NOR-10细胞、RAMOS2G64C10细胞

RPE-hTERT细胞类似产品::alpha TC1.6细胞、NTERA2细胞、D-283MED细胞

Dakiki细胞类似产品::LS411N细胞、DU 145细胞、U031细胞

JC细胞类似产品::NCI H157细胞、THEECs细胞、MDCKII-WT细胞

Hs 281.T细胞类似产品::COLO-320-DM细胞、NCM460细胞、ARH-77细胞

PLC-8024细胞类似产品::aTC1-6细胞、BT-B细胞、AMC-HN8细胞

OVTOKO细胞类似产品::RL-65细胞、Tn 5B1-4细胞、ketr 3细胞

HSC6细胞类似产品::HOP 92细胞、Dami细胞、SNU620细胞

H-1963细胞类似产品::CTX TNA2细胞、OCI-AML-4细胞、SK-MEL24细胞

DH82细胞类似产品::IM-95细胞、J774 A1细胞、NCIH1793细胞

NCI-H2330细胞类似产品::SW 403细胞、NCI-H820细胞、MFC细胞

M 1细胞类似产品::32D.cl3细胞、NCIH187细胞、639 V细胞

IPLB-SF-21细胞类似产品::Z-138细胞、COLO320 DM细胞、786O细胞

COR L279细胞类似产品::LAN-1细胞、BLO 11细胞、MDA-157细胞

MOLM16细胞类似产品::16-HBE14o细胞、CEM-CCRF细胞、HSF细胞

T173细胞类似产品::Hep-G2/C3A细胞、GOS3细胞、SUNE-1细胞

MDCC-MSB1细胞类似产品::GA10细胞、CHO Lec1细胞、KE-37细胞

X63-Ag8.653细胞类似产品::LU451细胞、H-196细胞、SHIN3细胞

DR2R1610细胞类似产品::253J细胞、50.B1细胞、Tregs细胞

H1819细胞类似产品::HEL细胞、NCI-H446细胞、NCI-H1395细胞

Gerner 7666细胞类似产品::Hs 821.T细胞、RT 112细胞、HEK 293A细胞

KMB-17细胞类似产品::TE354T细胞、IOSE-80细胞、Med 283细胞

HPC-Y5细胞类似产品::GM02131A细胞、H1694细胞、IEC 6细胞

Hs683T细胞类似产品::H1836细胞、PBL细胞、HTori3细胞

NCI-H196细胞类似产品::NIE-115细胞、Centre Antoine Lacassagne-12T细胞、L615细胞

MC 116细胞类似产品::GM06141细胞、KFB细胞、MH-S细胞

Vertebral Cancer of the Prostate细胞类似产品::CT26.WT细胞、JTC-39细胞、MMVECs细胞

MCF-7B细胞类似产品::Jurkat E6.1细胞、TFK-1细胞、NCIH1703细胞

HT1080细胞类似产品::PK-13细胞、PANC.1细胞、OS-732细胞

C643细胞类似产品::VCaP细胞、CL1细胞、Hepa1-6细胞

SEM细胞类似产品::LTEP-a2细胞、OC-3-VGH细胞、WM115细胞

16-HBE细胞类似产品::MN60细胞、Transformed Human Liver Epithelial-2细胞、IPLB-Sf21-AE细胞

GES-1细胞类似产品::HCET细胞、PC-14细胞、GI-1细胞

GDM-1细胞类似产品::MCF7-GFP细胞、Human Embryo Kidney-2细胞、HIEC细胞

H2172细胞类似产品::alphaTC clone 6细胞、WM266-4细胞、HCT-8/V细胞

H-1355细胞类似产品::CCC-HIE-2细胞、OVCA432细胞、BC-022细胞

Fortner's melanotic melanoma #3细胞类似产品::MM-1S细胞、NCI.H460细胞、Hs746-T细胞

EA.hy 926细胞类似产品::RAMSCs细胞、SKMel-5细胞、HEI-193细胞

UCLA NPA-87-1细胞类似产品::SNU-16细胞、MHCC97-L细胞、HCC78细胞

Hs 766T细胞类似产品::HRVEC细胞、MDA MB 436细胞、WM-266-4细胞

EVSA/T细胞类似产品::OCI/AML-5细胞、NCI-H196细胞、A9细胞

HuPT4细胞类似产品::MC-38细胞、Loucy细胞、SJSA1细胞

NW38细胞类似产品::H1648细胞、MDA MB 361细胞、NTERA2-D1细胞

KLM1细胞类似产品::EU-4细胞、ESC-410细胞、NCIH2110细胞

KB细胞类似产品::T-ALL1细胞、H-2171细胞、SUM-159PT细胞

brain-derived Endothelial cells.3细胞类似产品::NH-6细胞、RPMI 7951细胞、OCI-Ly 3细胞

COV504细胞类似产品::H341细胞、Rh30细胞、Hs 27细胞

BRL 3A细胞类似产品::PFSK细胞、UO.31细胞、HCC1954BL细胞

Transformed Human Liver Epithelial-2细胞类似产品::OKT3细胞、MOLM-13细胞、RAW264细胞

OCM-1A Cells(赠送Str鉴定报告)|人脉络膜黑色素瘤细胞

HECCL-1细胞类似产品::K422细胞、OK细胞、H-1694细胞

LNCaP-ATCC细胞类似产品::MLA 144细胞、Japanese Tissue Culture-28细胞、P3HRI细胞

CCD18细胞类似产品::T-98G细胞、IM9细胞、NCI-H2110细胞

LS123细胞类似产品::HS-68细胞、A-172 MG细胞、HSMC细胞

BPH1细胞类似产品::U118MG细胞、MDA-MB-435-S细胞、Lewis lung carcinoma line 1细胞

RPMI 6666细胞类似产品::TOV-112细胞、Fetal Human Colon细胞、NCI-H1437细胞

293S细胞类似产品::CL-34细胞、LC1sq细胞、RBL-2H3细胞

639V细胞类似产品::Hs695T细胞、OPM2细胞、SUDHL-4细胞

Human Microvascular Endothelial Cell line-1细胞类似产品::Transformed C3H Mouse Kidney-1细胞、201T细胞、Hs695T细胞

TE5细胞类似产品::MN-9D细胞、NCI-H2066细胞、TE-5细胞

EAhy926细胞类似产品::Hs.27细胞、C-33 A细胞、NCI-322细胞

NB9细胞类似产品::WM451细胞、A-9细胞、MPC11细胞

3T3NIH细胞类似产品::LX-2细胞、HCC1395细胞、OV1-P细胞

OPM2细胞类似产品::KP-N-YN细胞、SKRC 39细胞、RSC-364细胞

A375-S2细胞类似产品::Roswell Park Memorial Institute 7666细胞、SU-DHL-16细胞、C8166细胞

NCI-SNU-620细胞类似产品::NCI-441细胞、MKN 28细胞、MHCC97-L细胞

MM1-S细胞类似产品::NR8383细胞、L-M (TK-)细胞、UMRC2细胞

NCI H157细胞类似产品::Hs-606-T细胞、HPAF/CD18细胞、KGN细胞

H-1993细胞类似产品::Panc02细胞、Wistar Institute, Susan Hayflick细胞、293A细胞

32D clone3细胞类似产品::A9细胞、4T1-A细胞、PANC-02-03细胞

BALB/3T3 clone A31细胞类似产品::CHO-ori细胞、RC-2细胞、LS-174细胞

OACP4 C细胞类似产品::H1581细胞、LLCPK1细胞、MOLT4细胞

OV1-P细胞类似产品::H740细胞、SK-ChA-1细胞、UPCI:SCC154细胞

SKLMS1细胞类似产品::SCLC-21H细胞、PLA 802细胞、L5178Y TK+/-3.7.2c细胞

WISH细胞类似产品::OLN 93细胞、OVCA433细胞、SW-1116细胞

P388D1细胞类似产品::MCF7ADR细胞、LTEP-sm细胞、HCC-70细胞

NCIH1435细胞类似产品::CHG-5细胞、293-GP细胞、JIII细胞

AA-Mel细胞类似产品::SW1463细胞、L 929细胞、HT-1080细胞

alpha-TC1-6细胞类似产品::SW-527细胞、MTC-TT细胞、Dakiki细胞

CT 26细胞类似产品::NCI/ADR-RES细胞、HCC1833细胞、H-1341细胞

SR-786细胞类似产品::OCI/AML-4细胞、MPC11细胞、NCI-H1819细胞

COS7细胞类似产品::Hs-746T细胞、HEK;293细胞、H157细胞

"



OCM-1A Cells(赠送Str鉴定;

公司简介

上海冠导生物工程有限公司,先后从ATCC、DSMZ、ECACC、RIKEN、PromoCell、ScienCell、JCRB等国内外细胞库引进细胞2000余株。以此为契机,公司组建了冠导细胞库,我司细胞均由资深细胞培养工程师进行培养。我司可以提供的细胞有:①细胞系②原代细胞③稳转株④耐药株⑤标记细胞⑥细胞配套试剂等。

成立日期 (11年)
注册资本 100万(元)
员工人数 50-100人
年营业额 ¥ 1000万-5000万
经营模式 工厂,试剂,定制,服务
主营行业 细胞培养,微生物学,细胞生物学

OCM-1A Cells(赠送Str鉴定报告)|人脉络膜黑色素瘤细胞相关厂家报价

  • OCM-1A细胞
  • OCM-1A细胞
  • 吉奥蓝图(广东)生命科学技术中心 VIP
  • 2026-04-28
  • 询价
内容声明
拨打电话 立即询价