基本信息 产品详情 公司简介 推荐产品
网站主页 NCI-H378 CELLS:人小细胞肺癌细胞系 NCI-H378 Cells(赠送Str鉴定报告)|人小细胞肺癌细胞
  • NCI-H378 Cells(赠送Str鉴定报告)|人小细胞肺癌细胞

NCI-H378 Cells(赠送Str鉴定报告)|人小细胞肺癌细胞

NCI-H378 Cells
询价 1000000细胞数 起订
2000000细胞数 起订
上海 更新日期:2026-04-28

上海冠导生物工程有限公司

VIP6年
联系人:全经理
电话:18818239863拨打
邮箱:3171921642@qq.com

产品详情:

中文名称:
NCI-H378 Cells(赠送Str鉴定报告)|人小细胞肺癌细胞
英文名称:
NCI-H378 Cells
保存条件:
常温培养或液氮冻存
纯度规格:
NCI-H378 Cells(赠送Str鉴定报告)|人小细胞肺癌细胞
产品类别:
生物试剂

"NCI-H378 Cells(赠送Str鉴定报告)|人小细胞肺癌细胞

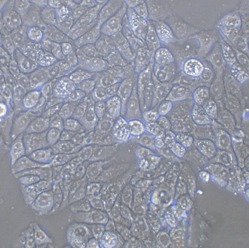
细胞背景资料:小细胞肺癌;胸腔积液转移;女性

细胞形态:上皮细胞样

【细胞培养中细菌、霉菌的污染情况总结】细菌:细菌在普通倒置显微镜下为黑色细沙状,根据感染细菌的不同,可有不同的外形,培养液一般会浑浊变黄,对细胞生长影响明显。仔细检查一下器皿的灭菌情况,是否在GAO压灭菌时放气时间足够,压力足够!尤其是和储存培养液接触的移液管等物品,连续两次污染的话有可能造成储存液污染,一定要注意!下次使用前检查一下培养液是否存在浑浊的现象!可在培养液中加相应的抗生素处理;霉菌:培养液是清亮的,倒置显微镜下无杂质,37度孵箱培养2-3天,仍清亮,但出现絮状杂质,镜下可见呈细丝状的团状漂浮物,可看到明显的菌丝,细胞仍可生长,但时间长之后,细胞的活力状态变差,用酸铜溶液擦拭CO2孵箱内,再把水盘里也加上饱和量的酸铜。或者在培养箱的托盘加入饱和的消毒二钠GAO盐液体,可以防止霉菌污染。CO2孵箱被霉菌污染后,可把所有细胞暂时转移,采用擦洗孵箱(包括隔板,箱壁)。并把放置在孵箱内一个小时,使其蒸汽弥漫。待的气味消散后,再移入细胞。孵箱应定期清洁(2月左右),尤其在多雨的季节。其它培养箱清洗方法是:用84液擦洗-清水擦洗-75%酒精擦洗-紫外灯照。预防霉菌污染,可在培养基里加3u/ml的两性霉素或制霉菌素或D或双抗;但细胞一旦污染,很难挽救,制霉菌素或D或双抗都于事无补,建议舍弃该污染细胞,将环境彻底消毒,如果所有细胞都污染,可能是系统污染,检查一下培养基和器材,如果只是个别污染,可能是操作问题,就要注意操作。

细胞生长:贴壁

H1618细胞类似产品::TE-12细胞、TCMK-1细胞、H810细胞

HUV-EC-C细胞类似产品::B16/F0细胞、H1184细胞、H2444细胞

MDCKII细胞类似产品::NCI-H774细胞、EoL-1-cell细胞、HCE细胞

V79-4细胞类似产品::LAN5细胞、Tissue Culture-1细胞、HPAFII细胞

MDA.MB.435细胞类似产品::B-cell with DC Morphology细胞、PCI-4.2细胞、Liver-02细胞

NCI-H378 Cells(赠送Str鉴定报告)|人小细胞肺癌细胞

细胞物种来源:人源或鼠源等其它物种来源

[细胞产品包装]鲜活细胞:T25培养瓶(一瓶)或冻存细胞:1ml冻存管(两支)

预防细胞污染的注意事项:实验进行前,超净台用紫外灯照射30-60min,然后用75%酒精擦拭超净台台面,并开启超净台风扇运转10min左右再开始实验操作。实验用品用75%酒精擦拭后才能放入超净台内;实验用品用完应移出超净台,以利于气流的流通。实验完成后用75%酒精擦拭超净台台面。每次操作只处理一种细胞;即使不同细胞使用相同的培养基也不要共享同一瓶培养基,避免细胞间的交叉污染。操作时小心取用无菌的物品,避免污染。勿碰触吸管尖头,不小心碰触后应立即更换;不要在打开的容器瓶口正上方操作,容器打开后,倾斜45°操作,操作完成后及时盖上瓶盖。CO2培养箱的清洁是较易被忽视的地方,应1-2个月对培养箱定期进行清洁消毒。先用75%酒精擦拭培养箱内壁、隔板、水盘2-3次,用双蒸水清洗,再用酒精棉球擦拭一遍,后紫外灯照射4h以上。水盘内加入无菌水(应每周更换),待培养箱内温度、湿度、CO2浓度稳定后再放入细胞。定期清洗或更换超净台过滤膜、预滤网。

细胞传代方法:1:2-1:3传代;每周换液2-3次。

HEK/293细胞类似产品::VMM5A细胞、Human Corneal Epithelial cells-Transformed细胞、L-M[TK-]细胞

HCC-2218细胞类似产品::WRL 68细胞、SCC4细胞、RT-BM 1细胞

HRA-19细胞类似产品::NCI-H441细胞、aTC1-6细胞、HL 60细胞

U-118-MG细胞类似产品::KP4细胞、Hs611T细胞、NB-9细胞

MV 4;11细胞类似产品::KYSE 140细胞、CV-1.K细胞、RAW2647细胞

细胞来源说明:来源于RCB、ATCC、KCLB、DSMZ、ECACC、INCell、ScienCell、ECACC、JCRB、Asterand、ICLC等知名细胞库

NCI-H378 Cells(赠送Str鉴定报告)|人小细胞肺癌细胞

细胞生长特性:贴壁

A704细胞类似产品::VP229细胞、HFLS细胞、Hs606细胞

293 F细胞类似产品::Huh-7.5.1细胞、RS4-11细胞、U87细胞

LLC-PK-1细胞类似产品::KHYG细胞、INS-1细胞、HEK293EBNA细胞

Mv.1.Lu细胞类似产品::YAC细胞、BC-027细胞、LICCF细胞

HEC1-B细胞类似产品::HConEpic细胞、HT 1376.T细胞、GDM-1细胞

LM TK negative细胞类似产品::SW1088细胞、P3J细胞、HR1K细胞

造成实验室细胞污染常见情况总结:细胞培养中Zui常见污染的是细菌、真菌和支原体污染。细胞一旦污染,大多数较难处理。那么,哪些情况我们不注意的话就会造成细胞污染呢?我们根据常见细胞培养实验分析总结下。【违规操作】1)为节省时间,有人已经用超净台四个多小时,不开紫外灭菌30min,酒精擦拭后直接开始试验;2)器材或者溶液很久没用,未检测是否污染而直接使用;离心管多次使用,枪头为了方便交叉使用;3)超净台不点酒精灯;点了酒精灯放在右上角,而你在左下角做试验;4)不带手套,徒手操作;5)细胞培养间配备枪式移液器、手术器械、离心机、冰箱等专用仪器设备以及专用的实验服和拖鞋,未定期消毒。专用物品被带出传代细胞使用。培养细胞过程中使用的所有实验用具,如移液管、一次性枪头、一次性塑料离心管、冻存管等未按要求灭菌使用(通常需121°CGAO压灭菌20分钟后37%烤干备用)。超净台和桌面,东西太多太乱:超净台不是储物箱,什么培养皿、各种规格的板子、枪头就不要堆在超净台!这样就会有许多紫外线顾不到的卫生死角。传代细胞其他的桌面,切忌东西堆积如山,不要将酒精棉球、标签纸、牛皮纸买来后全部堆在传代细胞!一不小心“飘”进你的细胞培养板里,细胞就会养的不HAO,啥时候死了都不知道!【培养箱太久没清洁】细胞污染了,并非直接扔了培养皿就不管了,首先你还得看看这个恒温培养箱里其他培养皿或孔板里的细胞是否污染,如果有而且HAO几个板子都有类似的污染块,那很可能是培养箱中的水或者空气污染了,得给培养箱做个大扫除,重新酒精消毒,照紫外;孵箱里的水,水没了要记得加,还得记得十天半个月的就用酒精擦擦托盘。【传代细胞人多口杂,难管理】在传代细胞这种卫生要求GAO,人多了,不确定因素多了,难以保证试验在无菌条件下操作。出入试验室,实验服当风衣穿,不扣纽扣,不戴,就容易造成细胞污染;超净台做实验时,喜欢说话聊着做试验,要是还不带口罩,里面就有很多细菌等着去攻击你的细胞呢!

细胞传代培养实验:体外培养的原代细胞或细胞株要在体外持续地培养就必须传代,以便获得稳定的细胞株或得到大量的同种细胞,并维持细胞种的延续。培养的细胞形成单层汇合以后,由于密度过大生存空间不足而引起营养枯竭,将培养的细胞分散,从容器中取出,以1:2或1:3以上的比率转移到另外的容器中进行培养,即为传代培养;细胞“一代”指从细胞接种到分离再培养的一段期间,与细胞世代或倍增不同。在一代中,细胞培增3~6次。细胞传代后,一般经过三个阶段:游离期、指数增生期和停止期。常用细胞分裂指数表示细胞增殖的旺盛程度,即细胞群的分裂相数/100个细胞。一般细胞分裂指数介于0.2%~0.5%,肿瘤细胞可达3~5%;细胞接种2~3天分裂增殖旺盛,是活力ZuiHAO时期,称指数增生期(对数生长期),适宜进行各种试验。实验步骤:1.将长成的培养细胞从二氧化碳培养箱中取出,在超净工作台中倒掉瓶内的培养液,加入少许消化液。(以液面盖住细胞为宜),静置5~10分钟。2.在倒置镜下观察被消化的细胞,如果细胞变圆,相互之间不再连接成片,这时应立即在超净台中将消化液倒掉,加入3~5ml新鲜培养液,吹打,制成细胞悬液。3.将细胞悬液吸出2ml左右,加到另一个培养瓶中并向每个瓶中分别加3ml左右培养液,盖HAO瓶塞,送回二氧化碳培养箱中,继续进行培养。一般情况,传代后的细胞在2小时左右就能附着在培养瓶壁上,2~4天就可在瓶内形成单层,需要再次进行传代。

LU-65M细胞类似产品::OE19细胞、LL/2细胞、NCIH1436细胞

HPB-ALL细胞类似产品::Eca 109细胞、H3396细胞、PCI-4.2细胞

Hs 766.T细胞类似产品::NCIH838细胞、HPMC细胞、HT 1376.T细胞

HuNS1细胞类似产品::HHFK细胞、MPASMC细胞、ACHN细胞

MDA MB 453细胞类似产品::M-G63细胞、T47D:A细胞、C32-mel细胞

SKML-28细胞类似产品::CT26.CL25细胞、TE32细胞、PG13细胞

T-24细胞类似产品::SK-ML2细胞、Walker 256细胞、BL-6细胞

D341细胞类似产品::hFOB1.19细胞、CAL-120细胞、KASUMI6细胞

J774 A.1细胞类似产品::SNU-1040细胞、F-81细胞、MCA205细胞

C918细胞类似产品::BNL CL.2细胞、HCT-15细胞、MDA435细胞

OCI-Ly8细胞类似产品::FRTL5细胞、LCMS细胞、NCI-H69细胞

TMD8细胞类似产品::UMNSAH/DF-1细胞、H-1915细胞、SNU387细胞

P-388细胞类似产品::ACC-3细胞、SKNBE2细胞、HLF细胞

NCI-H2052细胞类似产品::KYSE 180细胞、H22细胞、16HBE140细胞

GP2d细胞类似产品::CCD19Lu细胞、GM2131细胞、GM637细胞

Rabbit Kidney 13细胞类似产品::NCIH1650细胞、A2780CP70细胞、SK-N-BE2C细胞

Rabbit Kidney 13细胞类似产品::NCIH1650细胞、A2780CP70细胞、SK-N-BE2C细胞

TC7细胞类似产品::KMBC细胞、LC2/Ad细胞、A-72细胞

AD293细胞类似产品::T-T细胞、MV4:11细胞、ID8/MOSEC细胞

C-28I2细胞类似产品::RPPVEC细胞、H-1650细胞、NCI-H1993细胞

Mono-Mac-1细胞类似产品::ssMCF7细胞、ATC241细胞、Normal Rat Kidney细胞

MUTZ3细胞类似产品::Vero-76细胞、HCC202细胞、HUCCT1细胞

T2(174 x CEM.T2)细胞类似产品::PANC.1细胞、H295R细胞、CNE2Z细胞

OPM2细胞类似产品::KP-N-YN细胞、SKRC 39细胞、RSC-364细胞

NCM356细胞类似产品::MDCK II细胞、REC1细胞、AK细胞

NCIH2081细胞类似产品::74Int细胞、HPAFII细胞、Homo sapiens No. 578, breast cells细胞

SMC-1细胞类似产品::GM07404A细胞、FRTL5细胞、Caki-2细胞

VMM5细胞类似产品::NuTu 19细胞、HCC9724细胞、EM3细胞

B16-F10--RED细胞类似产品::3T3(A31)细胞、RCM-1 [Human rectum adenocarcinoma]细胞、HO-8910PM细胞

SKNBE2细胞类似产品::PGBE1细胞、C26细胞、DHL-2细胞

H-2009细胞类似产品::NTera 2细胞、SJSA-1细胞、Caco2-BBE细胞

OVCA-420细胞类似产品::RIN-m5F细胞、Fetal Rhesus Kidney-4细胞、Pa14C细胞

NCI-H378细胞类似产品::WRL-68细胞、RC-4B细胞、KHYG细胞

H-1417细胞类似产品::CFPAC1细胞、NCIH1581细胞、KOSC-2 cl3-43细胞

HR-8348细胞类似产品::MV(4;11)细胞、NCI-H441细胞、PLC/PRF5细胞

SuDHL 4细胞类似产品::Evsa T细胞、H-1876细胞、WTRL1细胞

Bx-PC3细胞类似产品::Hs832T细胞、HOMEC细胞、L78细胞

HEK/293细胞类似产品::VMM5A细胞、Human Corneal Epithelial cells-Transformed细胞、L-M[TK-]细胞

B-cell Acute Lymphoblastic Leukemia-1细胞类似产品::SMMC7721细胞、NCI-HUT-460细胞、LSC-1细胞

UMUC3细胞类似产品::JJN3细胞、hTERT-RPE1细胞、Rat Lung-65细胞

HCV-29细胞类似产品::E.L.4细胞、NCI-H-295细胞、Hmy.2 CIR细胞

NCI-H378 Cells(赠送Str鉴定报告)|人小细胞肺癌细胞

LICR-LON-HN6细胞类似产品::NW-38细胞、HOP-62细胞、H2023细胞

IALM细胞类似产品::DMS273细胞、COS7细胞、C28/I2细胞

HO1-N1细胞类似产品::SU-DHL-8细胞、Dakiki细胞、YH-13细胞

HEK 293 c18细胞类似产品::HBEpiC细胞、OVCAR 420细胞、Ontario Cancer Institute-Acute Myeloid Leukemia-2细胞

U-343细胞类似产品::P3HR1-BL细胞、HCCC9810细胞、786-0细胞

U-343细胞类似产品::P3HR1-BL细胞、HCCC9810细胞、786-0细胞

HME1细胞类似产品::MC 116细胞、LNCaP clone FGC细胞、NCIH1666细胞

NRK-49F细胞类似产品::SK-MEL 28细胞、SK-N-BE细胞、MCCAR细胞

C57 Mouse Tumor 93细胞类似产品::Ramos(RA1)细胞、HeLa-229细胞、Sf21细胞

SACC-83细胞类似产品::LM-TK-细胞、SGC996细胞、HCC-38细胞

3T3细胞类似产品::Me-Wo细胞、WERIRb1细胞、Line 207细胞

SW-403细胞类似产品::TF-1a细胞、HSC5细胞、Lewis-Lung细胞

BEAS 2B细胞类似产品::NTERA-2细胞、MM1.S细胞、NCI-HUT-125细胞

hTERT-HME-1细胞类似产品::293-EBNA细胞、HGF-1细胞、KOPN-8细胞

hTERT-HME-1细胞类似产品::293-EBNA细胞、HGF-1细胞、KOPN-8细胞

Rin-M-5F细胞类似产品::HuP-T3细胞、HCC-1806细胞、EOC-20细胞

GDM1细胞类似产品::Jurkat-FHCRC细胞、WPMY-1细胞、MKN-1细胞

IPLB-SF-21-AE细胞类似产品::SKMEL24细胞、SCC154细胞、JC细胞

AZ521细胞类似产品::3T6 Swiss Albino细胞、X63Ag8-653细胞、Uhth-74细胞

MPP 89细胞类似产品::KY180细胞、Sp 2/0-Ag 14细胞、INS1细胞

IBRS2细胞类似产品::DoTc2-4510细胞、NCI-H1092细胞、SW780细胞

PA12细胞类似产品::R-1059-D细胞、Tadarida brasiliensis 1 lung细胞、EMT-6细胞

ReNcell CX细胞类似产品::HM06.A1细胞、U251MG细胞、P3-x63-Ag8 653细胞

Eca-109细胞类似产品::SKMEL1细胞、F-36P细胞、HCMEC(BL12-H)细胞

16HBE140细胞类似产品::NCI-SNU-475细胞、LCLC-103H细胞、BTI-TN5B1-4细胞

JJN-3细胞类似产品::HOC1细胞、CW2细胞、UMUC14细胞

NIH:OVCAR4细胞类似产品::Ly8细胞、CHL-1细胞、DK-MG细胞

OCI-Ly10细胞类似产品::RIN-m 14B细胞、Hs 578T细胞、P388.D1细胞

PanC1细胞类似产品::TB1 Lu细胞、OLN-93细胞、M-20细胞

EO771细胞类似产品::NCIH841细胞、BALB/3T3 cl. A31细胞、Hs 852.T细胞

NCI-SNU-878细胞类似产品::VERO C 1008细胞、CCRF-CEM C7细胞、COR L279细胞

FLC-7细胞类似产品::B16 F10细胞、B95-8细胞、Menschliche Und Tierische Zellkulture-1细胞

CD18/HPAF细胞类似产品::NB-9细胞、RL95-2细胞、Chinese Hamster Lung细胞

NOMO-1细胞类似产品::786-O细胞、CII细胞、HEK293T/17细胞

hOMF细胞类似产品::Nthy ori 3.1细胞、JM-1细胞、OV 2008细胞

HSC细胞类似产品::MDAMB435S细胞、AC29细胞、D407 RPE细胞

CD18/HPAF细胞类似产品::NB-9细胞、RL95-2细胞、Chinese Hamster Lung细胞

OVCAR-8细胞类似产品::578T细胞、Epstein-Barr-1细胞、BJA-B1细胞

H-716细胞类似产品::CHL-IU细胞、KYSE140细胞、MGH-U3细胞

PE/CA-PJ34 (clone C12)细胞类似产品::MOLT 4细胞、Swiss-3T3细胞、H-2087细胞

SK-Col-1细胞类似产品::H-1838细胞、NIE-115细胞、TYK-nu细胞

NPA'87细胞类似产品::Lewis-Lung细胞、HBZY1细胞、87 MG细胞

RAG细胞类似产品::HFTF细胞、OSRC2细胞、CD18细胞

LIM-1215细胞类似产品::PANC0327细胞、CEMx721.174.T2细胞、GM00637F细胞

MCF-7/ADR细胞类似产品::CAL 62细胞、CRFK细胞、SCC9细胞

PLCPRF5细胞类似产品::SCL-II细胞、QBC939细胞、L929(NCTC)细胞

Sol8细胞类似产品::RAW2647细胞、Oregon J-111细胞、U-118MG细胞

Hs863T细胞类似产品::NCIH1836细胞、LC-1细胞、RDES-1细胞

NCI-157细胞类似产品::KP-N-RT细胞、NCIH378细胞、HCC0038细胞

7860细胞类似产品::HPAF II细胞、IMR90细胞、RS411细胞

T47D:A细胞类似产品::PL-45细胞、FLC7细胞、OACP4 C细胞

293 HEK细胞类似产品::FAO-1细胞、Huh 7.5细胞、Sp 2/0-Ag 14细胞

B16-F10-BL6细胞类似产品::OVCAR.4细胞、Rat Lung Epithelial-6-T-antigen Negative细胞、NP69细胞

PLB985细胞类似产品::Pro-5WgaRI3C细胞、P30-OHKUBO细胞、Panc-05.04细胞

A-172MG细胞类似产品::HLEpiC细胞、SKG IIIa细胞、MD Anderson-Metastatic Breast-361细胞

UO.31细胞类似产品::MDA-MB-134 VI细胞、GB-1细胞、NBL-1细胞

KNS81细胞类似产品::3T3-J2细胞、LS-513细胞、LUDLU 1细胞

MGHU1细胞类似产品::WM2664细胞、MDA-MB-415细胞、RC-K8细胞

SW527细胞类似产品::R3/1细胞、P3/NS-1细胞、RCM-1 [Human rectum adenocarcinoma]细胞

MPP-89细胞类似产品::Adeno-293细胞、COLO 738细胞、IBRS2细胞

H-446细胞类似产品::U251-MG细胞、Hs 888.T细胞、A9(Hamprecht)细胞

Ca761细胞类似产品::NCIH2170细胞、ST细胞、PTK 1细胞

P3J HR1-K细胞类似产品::A-101D细胞、HCC1008细胞、NCIH1563细胞

SNU-668细胞类似产品::Mac-1细胞、EU-4细胞、NCI-H660细胞

SK.OV.3细胞类似产品::HME1细胞、NUGC2细胞、Emory University-2细胞

FDC-P1细胞类似产品::CMT-93细胞、NCTC clone 929细胞、COLO 829细胞

HO8910PM细胞类似产品::TGBC-11-TKB细胞、SK.MEL.5细胞、NCI-H220细胞

DCS细胞类似产品::GM16136细胞、KMS-26细胞、DU_145细胞

Y1细胞类似产品::CaSki细胞、28SC细胞、LS-123细胞

Hs 737.T细胞类似产品::293 F细胞、BT细胞、Merwin Plasma Cell tumor-11细胞

KE-39细胞类似产品::Hs706T细胞、SUP-B1细胞、T47D:A细胞

SUM159细胞类似产品::DH-82细胞、GM02132C细胞、SK-RC 42细胞

MPASMC细胞类似产品::Panc_03_27细胞、H-1672细胞、T-HSC细胞

HDMEC细胞类似产品::Hs895.T细胞、GLC-82细胞、Karpas 422细胞

CCD 19Lu细胞类似产品::TE 671细胞、HCC1569细胞、H2198细胞

PL12细胞类似产品::16HBE140细胞、PA-TU-8988S细胞、HIBEpiC细胞

IEC-18细胞类似产品::McA-RH7777细胞、CTV1细胞、Kit 225细胞

MOLM-13细胞类似产品::NCI N87细胞、Sol8细胞、WEHI3B细胞

Nthy-ori 3.1细胞类似产品::CL 1-5细胞、LLC-PK(1)细胞、IPEC1细胞

MDA-MB468细胞类似产品::MDA MB 453细胞、A375S2细胞、U-343MG细胞

SVEC4-10细胞类似产品::Hx147细胞、CORL88细胞、Hs 729.T细胞

159 PT细胞类似产品::T2细胞、H526细胞、HCC1937细胞

Panc_02_03细胞类似产品::OCI-LY-19细胞、HCC1954-BL细胞、KU1919细胞

MCMEC细胞类似产品::IB-RS2细胞、HUT28细胞、PC-3/M细胞

COC1/CDDP细胞类似产品::UCLA RO-81A-1细胞、IFRS1细胞、DHL-6细胞

REC1细胞类似产品::MKN-7细胞、HEMCSS细胞、CEM clone 7细胞

WM115mel细胞类似产品::Panc203细胞、HTori-3.1细胞、UCLA RO-81A-1细胞

PC-9/GR细胞类似产品::PC 61-5-3细胞、NCI-H2172细胞、MDA MB 134VI细胞

SUD6细胞类似产品::NCI-H1623细胞、RCS细胞、Walker-256-TC细胞

SUD6细胞类似产品::NCI-H1623细胞、RCS细胞、Walker-256-TC细胞

SK.OV.3细胞类似产品::HME1细胞、NUGC2细胞、Emory University-2细胞

MPC-83细胞类似产品::PL9细胞、MC 116细胞、H1355细胞

PaCa2细胞类似产品::NTera-2D1细胞、118MG细胞、OCILY19细胞

Homo sapiens No. 578, tumor cells细胞类似产品::HS852.T细胞、NCI-H146细胞、Giant Cell Tumor细胞

L M (TK-)细胞类似产品::UT-7细胞、FRTL-5细胞、58F细胞

HT-1197细胞类似产品::766T细胞、GA-10 (Clone 4)细胞、HCT-8/V细胞

MN9D细胞类似产品::U251n细胞、Vero from pool #76细胞、HAPI细胞

U373 MG细胞类似产品::D-341细胞、NUGC-4细胞、H-1395细胞

293-F细胞类似产品::PC3M-IE8细胞、JIII细胞、C8161细胞

Hs819.T细胞类似产品::SKO-007细胞、H-524细胞、NCIH2073细胞

PLA-801D细胞类似产品::THP1细胞、PMVEC细胞、NCIH64细胞

MLFC细胞类似产品::Murine Carcinoma-38细胞、Karpas422细胞、MM1细胞

Buffalo Rat Liver-3A细胞类似产品::VMRCLCD细胞、Hs940.T细胞、Verda reno细胞

H2172细胞类似产品::alphaTC clone 6细胞、WM266-4细胞、HCT-8/V细胞

DMS53细胞类似产品::Ca-Ski细胞、GM00637F细胞、CV-1.K细胞

NCI-H378细胞类似产品::WRL-68细胞、Intestinal Porcine Epithelial Cell line-1细胞、Huh 7.5.1细胞

EJ1细胞类似产品::MOLM-14细胞、Pa18C细胞、639 V细胞

BALB 3T3 clone A31细胞类似产品::MG-63细胞、PL45细胞、TM-3细胞

NCI H345细胞类似产品::TOV112D细胞、Earles's cells细胞、PATU-S细胞

D-341Med细胞类似产品::MT2细胞、hTERT-HPNE细胞、RPMI #8226细胞

HEK293-FT细胞类似产品::SVEC 4-10细胞、LM2-4175细胞、PL12细胞

JB6 clone 30, subclone 7b细胞类似产品::JB6 Cl 30细胞、RS4;11细胞、RC92A细胞

NUGC-4细胞类似产品::WSU-DLCL-2细胞、CF-1 MEF细胞、Be-Wo细胞

KYSE-520细胞类似产品::Bx-PC3细胞、S180细胞、H35细胞

PG-BE1细胞类似产品::H-1792细胞、SUPT-1细胞、H510A细胞

OCI AML4细胞类似产品::CCRF细胞、H-1770细胞、T-HEECs细胞

HeLa.S3细胞类似产品::ND7/23细胞、Ocular Choroidal Melanoma-1细胞、BT474细胞

Beta-TC-6细胞类似产品::HEK 293-F细胞、2T细胞、OCI-Ly10细胞

Kit225/K6细胞类似产品::J111细胞、GM00215细胞、OCI-AML4细胞

NCI-H378 Cells(赠送Str鉴定报告)|人小细胞肺癌细胞

Jiyoye(P-2003)细胞类似产品::Cloudman S91 melanoma clone M-3细胞、ECC1细胞、Tb 1 Lu (NBL-12)细胞

H-1882细胞类似产品::IPECJ2细胞、K7M2细胞、MIA PaCa-2细胞

H3396细胞类似产品::NCI-H1693细胞、KYSE 410细胞、WSU-DLCL(2)细胞

HEK293-FT细胞类似产品::SVEC 4-10细胞、LM2-4175细胞、PL12细胞

CHOS细胞类似产品::MCF 7细胞、HBE 135-E6E7细胞、TYKnu细胞

HFLS-RA细胞类似产品::Evsa-T细胞、J774 A.1细胞、RAW 264.7细胞

C33A细胞类似产品::NCIH1770细胞、HCC2157细胞、Chinese Hamster Ovary细胞

PK(15)细胞类似产品::SW403细胞、T/G HA-VSMC细胞、BGC823细胞

Tu686细胞类似产品::UCLA-RO 81细胞、SUM102细胞、RPMI8402细胞

HCC-1395细胞类似产品::SCaBER细胞、MOLP8细胞、HO1-N1细胞

EoL-1 cell细胞类似产品::Hs746-T细胞、NGP细胞、143BTK-细胞

LA 4细胞类似产品::T/G HA-VSMC细胞、Fao细胞、BC3H-1细胞

TEV-1细胞类似产品::4175细胞、Pan02细胞、Normal fibroblast-10细胞

HEC-151细胞类似产品::HepG2-luc细胞、H358细胞、T2 (174 x CEM.T2)细胞

MDA-330细胞类似产品::SPC-A-1细胞、H87细胞、10RGB细胞

Hs888 Lu细胞类似产品::NE-4C细胞、NTERA-2 cl.D1细胞、Ca9-22细胞

NCI-H2052细胞类似产品::KYSE 180细胞、H22细胞、16HBE140细胞

CAL 62细胞类似产品::NTC200细胞、TB1 Lu细胞、SP2-0-Ag14细胞

EB-1细胞类似产品::SUP-M2细胞、CTLA4 Ig-24细胞、SUD6细胞

Kupffer细胞类似产品::Hs-729-T细胞、HN 4细胞、SUM 190PT细胞

NPC-TW 01细胞类似产品::SK-OV-3细胞、V79-4细胞、BLO11细胞

L929(NCTC)细胞类似产品::C-26细胞、GP-293细胞、AHH1细胞

HCC1395细胞类似产品::COLO-829细胞、3T6细胞、Human Fetal Thymocyte-8810细胞

DMS 79细胞类似产品::SH-SY5Y Parental细胞、Cates-1B细胞、HN6细胞

SW527细胞类似产品::R3/1细胞、P3/NS-1细胞、RCM-1 [Human rectum adenocarcinoma]细胞

GL261细胞类似产品::GM02131细胞、SK-N-MC细胞、HuH-1细胞

Pa14C细胞类似产品::DLD 1细胞、HL7702细胞、RPMI no. 8226细胞

MCF7细胞类似产品::CHG5细胞、GES-1细胞、L132细胞

G-Olig2细胞类似产品::C3H10T1-2细胞、MUS-M1细胞、NCI-H520细胞

OCI-AML3细胞类似产品::HCC0078细胞、143TK-细胞、HLEpiC细胞

Hs 746T细胞类似产品::APRE-19细胞、5637细胞、A9细胞

CSQT-2细胞类似产品::LIM-1215细胞、U266 Bl细胞、WILL-2细胞

"



NCI-H378 Cells(赠送Str;

公司简介

上海冠导生物工程有限公司,先后从ATCC、DSMZ、ECACC、RIKEN、PromoCell、ScienCell、JCRB等国内外细胞库引进细胞2000余株。以此为契机,公司组建了冠导细胞库,我司细胞均由资深细胞培养工程师进行培养。我司可以提供的细胞有:①细胞系②原代细胞③稳转株④耐药株⑤标记细胞⑥细胞配套试剂等。

成立日期 (11年)
注册资本 100万(元)
员工人数 50-100人
年营业额 ¥ 1000万-5000万
经营模式 工厂,试剂,定制,服务
主营行业 细胞培养,微生物学,细胞生物学

NCI-H378 Cells(赠送Str鉴定报告)|人小细胞肺癌细胞相关厂家报价

内容声明
拨打电话 立即询价