基本信息 产品详情 公司简介 推荐产品
网站主页 BHT101 CELLS|人甲状腺癌贴壁细胞 BHT101 Cells(赠送Str鉴定报告)|人甲状腺癌细胞
  • BHT101 Cells(赠送Str鉴定报告)|人甲状腺癌细胞

BHT101 Cells(赠送Str鉴定报告)|人甲状腺癌细胞

BHT101 Cells
询价 1000000细胞数 起订
2000000细胞数 起订
上海 更新日期:2026-04-17

上海冠导生物工程有限公司

VIP6年
联系人:全经理
电话:18818239863拨打
邮箱:3171921642@qq.com

产品详情:

中文名称:
BHT101 Cells(赠送Str鉴定报告)|人甲状腺癌细胞
英文名称:
BHT101 Cells
保存条件:
常温培养或液氮冻存
纯度规格:
BHT101 Cells(赠送Str鉴定报告)|人甲状腺癌细胞
产品类别:
生物试剂

"BHT101 Cells(赠送Str鉴定报告)|人甲状腺癌细胞

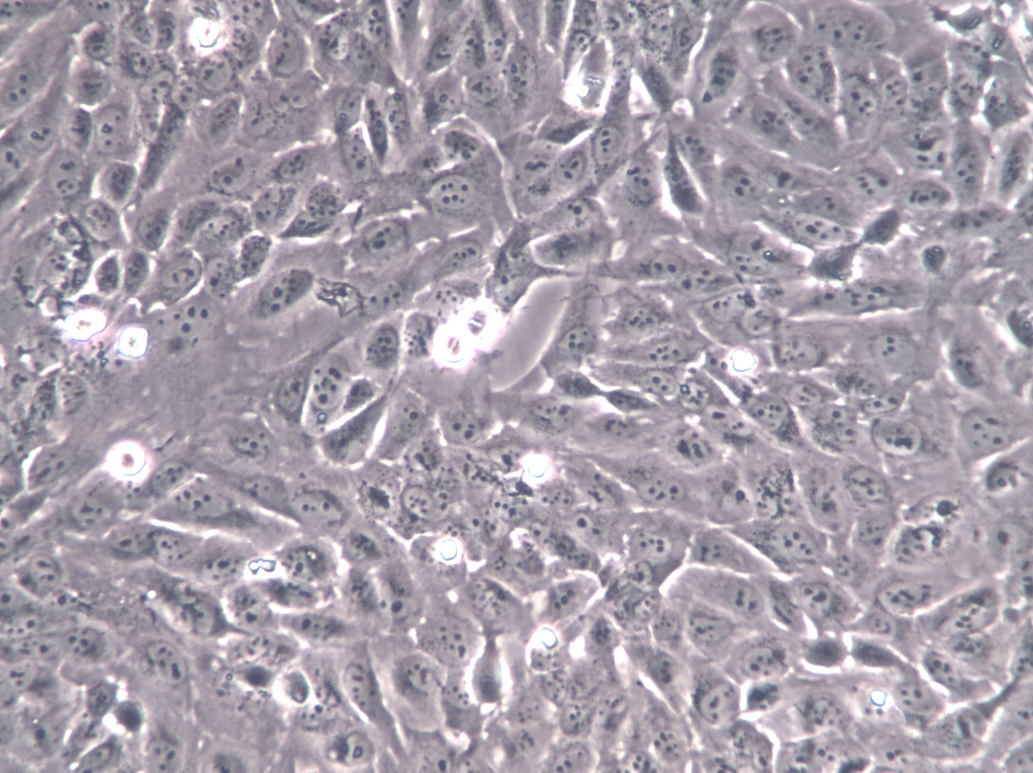
细胞背景资料:甲状腺癌;女性

细胞形态:上皮细胞样

接收细胞相关问题:如不能在收到细胞后及时操作细胞,T25及离心管发货的细胞将可以消毒后在37度过夜,血清发货的细胞在室温下静置1-2天(注意不要放冰箱),干冰发货的可以在确认干冰未完全升华时将细胞直接放回液氮或者-80度冰箱,若干冰完全升华,请即刻复苏细胞。T25瓶及离心管在培养箱平衡是为了让细胞尽快适应培养箱环境,同时使部分因运输导致脱落的细胞贴壁,此步骤非常必要。T25瓶如果在显微镜下可以看到部分不贴壁的细胞,可以收集上清后离心(1200rpm,5min)后,将沉淀用新的培养基重悬后接种至新的培养瓶或皿中。部分细胞在运输过程中,由于不断震荡及环境不适,可能导致细胞破碎死亡,从而使培养基中漂浮很多细胞碎片及颗粒状物质。这种情况下,平衡后,贴壁细胞用PBS洗两遍再加新的培养基培养或者传代至新瓶中培养即可;悬浮细胞可以离心(1000rpm,3min)收集细胞,并用PBS重悬后再离心一次,再用新的培养基重悬并接种细胞。

细胞生长:贴壁

U14细胞类似产品::IFRS1细胞、DR2R 1610细胞、H-1838细胞

Caco-2/BBe 1细胞类似产品::SW620细胞、RA-FLSs细胞、SK HEP-1细胞

MV-4-11细胞类似产品::OCILY-3细胞、SPC-A1细胞、UACC-893细胞

LICCF细胞类似产品::Emory University-3细胞、DB细胞、EJ1细胞

H2330细胞类似产品::MeT-5A细胞、OEC19细胞、hTERTHME1细胞

BHT101 Cells(赠送Str鉴定报告)|人甲状腺癌细胞

细胞物种来源:人源或鼠源等其它物种来源

[细胞产品包装]鲜活细胞:T25培养瓶(一瓶)或冻存细胞:1ml冻存管(两支)

细胞培养过程中,总是会出现各种意想不到的问题,一不留神就会全盘皆输。所谓细胞虐我千百遍,我待细胞如初恋。下面是贴壁细胞的保藏方法,希望对细胞培养初学操作者有所帮助:1)观察细胞状态:贴壁细胞密度达到85-90%,即可以细胞冻存形式进行保藏,拍照,记录细胞状态;2)细胞清洗:培养皿表面消毒后,转移至生物安全柜中,去除培养皿中培养液,加入12mlPBS,轻轻摇晃培养皿清洗细胞,随后吸除PBS清洗液;3)细胞消化:将2ml胰酶加入培养皿中,完全覆盖细胞,置于显微镜下观察(期间禁止摇晃培养皿),当细胞刚开始脱落时,立即转移至生物安全柜中,除去大部分胰酶,剩余约0.5ml胰酶,转移至培养箱内继续消化,每30秒肉眼观察细胞状态,至细胞成流沙状完全脱落,转移至生物安全柜中,加入12ml完全培养基,终止消化;4)细胞离心:将终止消化后的细胞悬液吹打均匀,吸取至15ml离心管中,1000r/min(110g),离心3min;5)细胞冻存:离心后去除细胞上清液,按照冻存细胞量5*10^5/ml,吸取冻存液重悬细胞沉淀,吹打均匀后分装至相应的冻存管中,进行冻存;6)细胞保藏:冻存管做HAO标记,放至程序降温盒中,于4℃冰箱放置30min,转移至-80℃超低温冰箱过夜,将过夜后的冻存细胞转移至液氮中保藏。

细胞传代方法:1:2-1:3传代;每周换液2-3次。

MRC-9细胞类似产品::NCIH1155细胞、Hep-3B细胞、SNU-C2A细胞

OUMS-23细胞类似产品::210RCY3-Ag1.2.3细胞、SF 763细胞、COLO206F细胞

Me Wo细胞类似产品::MDAMB453细胞、SUM 159PT细胞、SW 1417细胞

H2066细胞类似产品::H889细胞、T-84细胞、PLA802细胞

KYSE450细胞类似产品::NALM 6细胞、HEK293FT细胞、KMBC细胞

细胞来源说明:来源于RCB、ATCC、KCLB、DSMZ、ECACC、INCell、ScienCell、ECACC、JCRB、Asterand、ICLC等知名细胞库

BHT101 Cells(赠送Str鉴定报告)|人甲状腺癌细胞

细胞生长特性:贴壁

3T3(A31)细胞类似产品::MKN-1细胞、H-548细胞、PL-11细胞

LS174T细胞类似产品::Rat Lung-65细胞、Ra #1细胞、P3/X63/Ag8细胞

VMM39细胞类似产品::A498细胞、SK-ML2细胞、KCL22细胞

P36细胞类似产品::MGSMC细胞、NCIH2227细胞、NHDF细胞

RBVEC细胞类似产品::OCI AML2细胞、HDLM2细胞、HBZY 1细胞

H-1793细胞类似产品::ECC-10细胞、Swiss 3T6细胞、SCC-25细胞

培养细胞真的不难,Zui关键几点:1)所有的东西使用,如果你用的血清、培养皿、培养基、胰酶什么的都是进口的,真的很难相信你会把细胞养坏;2)动作要快,胰酶消化,换液什么,细胞暴露在空气中的时间越少越HAO。另外,要掌握HAO胰酶消化时间,所谓的细胞状态差,很多时候是传代的原因;3)有时间的话,需要细胞计数,传相应数目的细胞到培养皿中,可以大致清楚细胞的生长曲线,不会临时要处理,手足无措;4)要做什么心里要非常清楚,合理安排时间,传代细胞的实验穿插进行,可以节省很多时间,也不会耽误别人的实验;5)个人的实验器具自己收一套,不要和别人混用,Zui近换了什么新的东西稍微记一下,试剂一旦怀疑污染,马上丢;6)传代细胞不能进去太多人,避免相互干扰。每天对待细胞比孝敬爹妈还用心,那真是捧在手里怕碎了,含在嘴里怕化了,看在眼里怕丢了,培养细胞时有哪些经验教训可以分享呢?1)严格无菌操作,多喷喷酒精,要是对灭菌的东西不放心,自己包自己送自己烘干;2)不要和别人共用试剂耗材,自己准备一套;3)有可能的话在拿到新细胞的时候做HAO支原体衣原体检测;4)水浴锅很脏,生化培养箱要是得手动加湿的话盘里的水也会很脏,勤换(灭菌水加进去);5)晚上离开的时候ZuiHAO给传代细胞照紫外,超净台是用完就开;6)是同一时间就你一个人在用传代细胞在养细胞。

贴壁细胞的消化方法介绍:1、胰酶。这是用得Zui多的。一般浓度在0.25-0.5%。作用时间根据细胞种类、作用温度等因素而变化很大,从几分钟到几十分钟不等。0.25%的胰酶作用于单层贴壁的细胞,在37度条件下,一般消化1-5分钟就足够了。终止是用血清。主要作用于细胞间。配制时不能用含、镁的平衡液,否则影响活性。保存于-20度。2、胶原酶。这种方法比较少,一般是用原代培养时,从组织消化下细胞。这种方法作用温和,对细胞损伤较小,但是,价格也较贵。中止同样是用血清。3、EDTA。用得也是非常多。一般浓度在0.02%左右。作用于细胞与间质,对细胞间也有一定作用。注意,它能显著影响pH值,而且在弱碱性条件下才易溶。因此,配制时应调节HAO酸碱度。它不能被终和。因此,消化下来的细胞要洗一遍。4、商品化的无酶消化液。个人的使用经常觉得对细胞的损伤比较大,但是分离成单细胞悬液的能力确实比较强。5、物理法。直接吹打或用细胞刮子将细胞刮下来。6、冷冻法。此方法仅能用于细胞传代时。无法使组织上的细胞脱落下来。本方法的原理,我想是因细胞冷冻后收缩,从而从培养瓶上脱落下来。YOU点是:对细胞损伤小,不需要中止或洗细胞,方便,不需要另外配制消化液。别适用那些贴壁不是别紧,又别娇气的细胞。不足是细胞常成小片脱落。此种方法曾用于因用其它方法传代导致大量细胞死亡操作的间充质干细胞、DC细胞的培养,效果非常满意。具体过程是:1、用较多的4度的PBS 洗涤一遍细胞(以6孔板为例,加1.5ml/孔),2、再加0.5毫升4度的PBS,静置操作台上,很快细胞就小片脱落,3、轻轻吹打,细胞即完全脱落,4、按一定比例传代。

L1210细胞类似产品::HCA-7细胞、SVG p12细胞、TE9细胞

P3J HR1-K细胞类似产品::A-101D细胞、HCC1008细胞、NCIH1563细胞

FDC-P1细胞类似产品::CMT-93细胞、NCTC clone 929细胞、COLO 829细胞

Rainbow Trout Embryo细胞类似产品::SupB15W细胞、BOWES细胞、TOG细胞

HS 445T细胞类似产品::MDA.MB.435细胞、PK15细胞、L-cells细胞

TPC-1细胞类似产品::OUMS23细胞、D407 RPE细胞、RTE细胞

PAI细胞类似产品::UPCISCC090细胞、MS751细胞、H1404细胞

K562细胞类似产品::SUM52细胞、LWnt-3A细胞、EO771细胞

C33细胞类似产品::2B4细胞、B16-F10--RED细胞、MNNG-HOS (TE 85, clone F-5)细胞

Hs 888Lu细胞类似产品::Ramos 2G6 4C10细胞、KP2细胞、KYSE70细胞

PC615.3细胞类似产品::HCC827细胞、LIM1215细胞、BEL7402细胞

CA-46细胞类似产品::B-95-8细胞、Daoy细胞、9L细胞

B16/F1细胞类似产品::H345细胞、HEK293E细胞、NCIH1648细胞

AM-38细胞类似产品::NRK52E细胞、EBNA-293细胞、HN-6细胞

Pro-5WgaRI3C细胞类似产品::NCI-SNU-423细胞、NCIH69细胞、Hs 934.T细胞

Adult Retinal Pigment Epithelial cell line-19细胞类似产品::Mono Mac 6细胞、HOS-MNNG细胞、LN-229细胞

Adult Retinal Pigment Epithelial cell line-19细胞类似产品::Mono Mac 6细胞、HOS-MNNG细胞、LN-229细胞

SU-DHL-16细胞类似产品::RH8994细胞、NPC-TW 01细胞、H184A1细胞

RPMI8226细胞类似产品::TERT-RPE1细胞、PLA801-95C细胞、LIPF178C细胞

BAEC细胞类似产品::C28/I2细胞、H295细胞、LK2细胞

H2347细胞类似产品::ChaGo-K1细胞、P388细胞、Centre Antoine Lacassagne-148细胞

SKO3细胞类似产品::143 B细胞、NCIH460细胞、CV-1 in Origin Simian-7细胞

SKN-AS细胞类似产品::NCI-H1238细胞、Glioma-261细胞、Earle's L cells细胞

TE353.SK细胞类似产品::Calu-3细胞、P3/NSI/1-AG4-1细胞、BC-021细胞

HS940细胞类似产品::Panc_02_03细胞、Anip-973细胞、A-9细胞

Eca109细胞类似产品::H283细胞、B104 [Rat neuroblastoma]细胞、H1341细胞

293T细胞类似产品::CMT-64细胞、HL-60 clone15细胞、SMA560细胞

NCI-H1404细胞类似产品::THP-1细胞、159PT细胞、XWLC-05细胞

Eca 109细胞类似产品::HO8910/PM细胞、PC 12细胞、SNU869细胞

UACC 812细胞类似产品::RL-952细胞、VMM5细胞、Tu212细胞

NCIH2029细胞类似产品::16-HBE细胞、CFPAC1细胞、Transformed Human Liver Epithelial-3细胞

143BTK-细胞类似产品::H9细胞、NCIH1770细胞、HCEC细胞

Med 341细胞类似产品::373MG细胞、HG2855细胞、U-87 MG细胞

SJRH 30细胞类似产品::NCI-H498细胞、GA-10(Clone 4)细胞、HVSMC细胞

H-2126细胞类似产品::A253细胞、VCaP细胞、Be Wo细胞

JROECL 33细胞类似产品::HOCF细胞、BHK细胞、C3H10T1/2CL8细胞

IPLB-Sf21AE细胞类似产品::NCI-H378细胞、NCI-SNU-520细胞、hFOB细胞

MC-3T3细胞类似产品::CESS细胞、A-172MG细胞、RFL 6细胞

KYSE 410细胞类似产品::ZR7530细胞、Dysplastic Oral Keratinocyte细胞、786.O细胞

Daudi细胞类似产品::SW 837细胞、SK-Mel 1细胞、NKM1细胞

H2342细胞类似产品::HGE细胞、3AA细胞、MC 3T3-E1细胞

BHT101 Cells(赠送Str鉴定报告)|人甲状腺癌细胞

JM-1细胞类似产品::RPMI No. 1846细胞、Clone Y-1细胞、H7721细胞

COC1/CDDP细胞类似产品::UCLA RO-81A-1细胞、IFRS1细胞、DHL-6细胞

GCT细胞类似产品::BRL-3A细胞、M1细胞、EFM-192B细胞

VSC4.1细胞类似产品::UCH-1细胞、KE-37细胞、118 MG细胞

HIT T15细胞类似产品::SuDHL 8细胞、DH82细胞、TCMK-1细胞

HIT T15细胞类似产品::SuDHL 8细胞、DH82细胞、TCMK-1细胞

hTERT-HME1细胞类似产品::A-673细胞、COLO 320 HSR细胞、NL-20细胞

MN9D细胞类似产品::U251n细胞、Vero from pool #76细胞、HAPI细胞

CHP100细胞类似产品::NIH:OVCAR-5细胞、NCI-1155细胞、PLB985细胞

U-87 MG细胞类似产品::LAC细胞、L-6TG细胞、ST 486细胞

Balb/c 3T3细胞类似产品::ACCM细胞、NRK细胞、TOV-21G细胞

RPE-1细胞类似产品::Human Hepatocyte Line 5细胞、H-1793细胞、HFLS细胞

M109细胞类似产品::JAR细胞、RGC5细胞、Hs895.T细胞

TFH细胞类似产品::RAW 264.7细胞、NU-GC-2细胞、OCILY-10细胞

TFH细胞类似产品::RAW 264.7细胞、NU-GC-2细胞、OCILY-10细胞

NCI-H1573细胞类似产品::CCD19-Lu细胞、CNE1-LUC细胞、Scott细胞

PBL细胞类似产品::H35细胞、RAW 264.7细胞、MA-782细胞

C22细胞类似产品::OVCAR 420细胞、Ca759细胞、NCIH1417细胞

DBTRG-05MG细胞类似产品::EBTr细胞、HB611细胞、NCI-SNU-216细胞

SCC 4细胞类似产品::JTC-39细胞、RSC96细胞、Z-138细胞

HANK1细胞类似产品::MCA-38细胞、H-1781细胞、NCI-H322细胞

L5178Y TK+/-3.7.2c细胞类似产品::293S细胞、A375mel细胞、H4IIEC3细胞

NCIH441细胞类似产品::ASH-3细胞、HA细胞、A-204细胞

SKOV-3细胞类似产品::MOLT 3细胞、MADB-106细胞、G-292细胞

LoVo细胞类似产品::KYSE 270细胞、SNU878细胞、NCI-H1105细胞

C3H10T1/2CL8细胞类似产品::SKNFI细胞、TE-15细胞、H-2073细胞

HN4细胞类似产品::LA4细胞、MDA361细胞、H-1618细胞

Fetal Bovine Heart Endothelial细胞类似产品::HT22细胞、U 266细胞、PLCPRF5细胞

NCI-H157细胞类似产品::Tu 212细胞、SUD4细胞、CAL 12T细胞

T8细胞类似产品::Lu-65细胞、SK-SH-SY5Y细胞、RCC23细胞

H4IIEC3细胞类似产品::Virginia Mason Research Center-Lung Cancer D细胞、MM1-S细胞、HCC2108细胞

N9细胞类似产品::KB细胞、KU-812-F细胞、HT144mel细胞

OUMS-27细胞类似产品::KYSE270细胞、H774细胞、B-cell Acute Lymphoblastic Leukemia-1细胞

Panc_04_03细胞类似产品::YD38细胞、J 111细胞、SNU-739细胞

74Int细胞类似产品::RT-BM细胞、H-1581细胞、H6c7细胞

CAL 27细胞类似产品::NIH:OVCAR-4细胞、OCI Ly19细胞、H1373细胞

BNL.1ME A.7R.1细胞类似产品::NCI-H740细胞、NCI-SNU-C1细胞、3T3-Swiss albino细胞

HCC-15细胞类似产品::MRMT-1细胞、Swiss 3T3细胞、OCI-Ly1细胞

SCC-9细胞类似产品::Ls-174-T细胞、TU 686细胞、A2780/CP70细胞

Astrocyte type I clone细胞类似产品::NCI-SNU-1细胞、H2.35细胞、SHI1细胞

HCC9724细胞类似产品::BIU87细胞、MRAEC细胞、T-47D细胞

343MG细胞类似产品::Fox/NY细胞、ECC-12细胞、BCP-1细胞

WM266细胞类似产品::KE-39细胞、NTERA2-cloneD1细胞、293EBNA细胞

NBLAN5T细胞类似产品::KFB细胞、HEL-299细胞、CEK细胞

MDA361细胞类似产品::HCC0038细胞、RCC 786-O细胞、QG56细胞

Panc-10.05细胞类似产品::OVCA432_Bast细胞、GP2-293细胞、Rat1细胞

MSTO211H细胞类似产品::NFS-60细胞、SUM-159PT细胞、CATH-a细胞

SK-N-F1细胞类似产品::Hs 274.T细胞、IM-95细胞、SW 1271细胞

MDAMB435细胞类似产品::NCIH647细胞、PTK1细胞、UACC 812细胞

M-NFS-60细胞类似产品::ACC-2细胞、EOL1细胞、Caco-2 BBe细胞

HFF1细胞类似产品::BNL 1ME A.7R.1细胞、MB39细胞、H295R-S1细胞

VP303细胞类似产品::Huh-7细胞、COLO 205细胞、MOLP-8细胞

266 Bl细胞类似产品::GM03671C细胞、KM-H2细胞、SACC-83细胞

PL-9细胞类似产品::IOSE-29细胞、NCIH508细胞、NPC-039细胞

OCI Ly1细胞类似产品::NCIH1437细胞、P3X63 Ag8.653细胞、SUDHL-2细胞

DrG细胞类似产品::H1373细胞、OAW42细胞、JB6 clone 30, subclone 7b细胞

H-526细胞类似产品::HMEC-1细胞、GM05384细胞、Mono-Mac-1细胞

OCIAML4细胞类似产品::NG10815细胞、A2780/Taxol细胞、3T3 clone A31细胞

WiDr细胞类似产品::HPAF细胞、TOV-112细胞、L cell细胞

T84细胞类似产品::A-2780细胞、KU 812细胞、GTL16细胞

A549/DDP细胞类似产品::NCI-H2029细胞、SW 948细胞、COLO320 DM细胞

HCT8细胞类似产品::P3 NS1 Ag4细胞、G361mel细胞、MDA MB231细胞

Hs 863.T细胞类似产品::CHO-Lec1细胞、A431细胞、WEHI-231细胞

UM-UC-1细胞类似产品::FM88细胞、YT细胞、C3H/10T1/2细胞

MLE-12细胞类似产品::MDA361细胞、Sp 2817细胞、TMK1细胞

SACC-83细胞类似产品::LM-TK-细胞、SGC996细胞、HCC-38细胞

P3HRI细胞类似产品::SCL I细胞、CCF-STTG1细胞、MDST8细胞

H2172细胞类似产品::alphaTC clone 6细胞、Med 341细胞、MKN74细胞

HSC-6细胞类似产品::PC3M-2B4细胞、OVCAR.8细胞、Ca Ski细胞

OVCAR-420细胞类似产品::LICR-HN-6细胞、MDA435细胞、SNU-216细胞

Rh30细胞类似产品::HT 115细胞、Ramos.G6.C10细胞、JM-Jurkat细胞

Centre Antoine Lacassagne-33细胞类似产品::Det. 562细胞、MV522细胞、MAC1细胞

H-2198细胞类似产品::KMS-11细胞、NCCIT细胞、JJN-3细胞

SMMC-7721细胞类似产品::CCD841CoN细胞、NCIH1651细胞、L Wnt-3A细胞

GM03569细胞类似产品::UCLA NPA-87-1细胞、NCIH3255细胞、BV2细胞

Vero from pool #76细胞类似产品::TM-3细胞、DoTc2 4510细胞、HCE-2 [50.B1]细胞

H-1793细胞类似产品::ECC-10细胞、Swiss 3T6细胞、SCC-25细胞

RetroPack PT67细胞类似产品::MAD109细胞、CAL78细胞、T84细胞

NIH-3T3细胞类似产品::TM-4细胞、CAL-85-1细胞、HA1800细胞

WM 239A细胞类似产品::WEHI 164 TC细胞、NCI-H1672细胞、JHH-2细胞

CHP212细胞类似产品::CTV1细胞、T-98细胞、Farage Original Line细胞

NCIH1385细胞类似产品::P 815细胞、NCI H345细胞、Kobe university Oral Squamous Cell culture-2细胞

MLE12细胞类似产品::KATO 3细胞、Hs 606.T细胞、SK-ES1细胞

Kobe university Oral Squamous Cell culture-2细胞类似产品::SHEE细胞、NCI-H660细胞、NS-1-Ag4-1细胞

OCI-Ly 3细胞类似产品::32Dc3细胞、LA 4细胞、SR-786细胞

H-524细胞类似产品::SRA01/04细胞、FC33细胞、Rat Glomerular Endothelial细胞

OCI-AML-3细胞类似产品::HS-294T细胞、MHCC-97细胞、UMUC3细胞

ND7/23细胞类似产品::BA/F3细胞、LN229细胞、P3X63 Ag8细胞

NCIH522细胞类似产品::Pa16C细胞、CAL 120细胞、OVCAR433细胞

COLO 205细胞类似产品::H4-II-E细胞、SUM 102PT细胞、COLO_320DM细胞

KMH2细胞类似产品::SKNBE(2)细胞、ARIP细胞、PG-4 (S+L-)细胞

AMC-HN8细胞类似产品::Hs746T细胞、LTEP-a-2细胞、PC3M细胞

Colon38细胞类似产品::H125细胞、RC13细胞、JF305细胞

TMK1细胞类似产品::HMEC细胞、NCIH1819细胞、RSC-96细胞

Strain L-929细胞类似产品::LED-WiDr细胞、H1915细胞、MT-4细胞

HEK 293-F细胞类似产品::TR 146细胞、Chang liver细胞、RPMI No. 1846细胞

ZR-75-30细胞类似产品::EBC-1/original细胞、SiHa细胞、EAC-E2G8细胞

HCC-1171细胞类似产品::MCF-10A细胞、LNCaP.FGC细胞、FDC-P1细胞

EU-4细胞类似产品::FUOV1细胞、ZYM-DIEC02细胞、HEK-293F细胞

AR41P细胞类似产品::SW527细胞、P3/X63/Ag8.653细胞、EC-GI-10细胞

SUM52PE细胞类似产品::AtT-20细胞、451Lu细胞、JM1细胞

NCI-H2107细胞类似产品::MCF-7/ADR-RES细胞、COLO206F细胞、K422细胞

PATU-S细胞类似产品::SHZ-88细胞、NCI-460细胞、SW620细胞

MV4;11细胞类似产品::Transformed Human Liver Epithelial-2细胞、CEM.C1细胞、L 428细胞

RGM-1细胞类似产品::RCC_7860细胞、BCPAP细胞、MIN6细胞

Med 341细胞类似产品::373MG细胞、WM-266-4细胞、SW948细胞

50.B1细胞类似产品::Adeno 293细胞、COV 504细胞、SuDHL 10细胞

NCIH1355细胞类似产品::HMSC细胞、D341细胞、T. T细胞

ST-2细胞类似产品::SW 756细胞、HEK-293-H细胞、JOSK-M细胞

Tb1Lu细胞类似产品::J-774细胞、SUM-52细胞、BE(2)C细胞

Hs 737.T细胞类似产品::293 F细胞、BT细胞、Merwin Plasma Cell tumor-11细胞

H-1838细胞类似产品::SVG p12细胞、H1734细胞、WM-239A细胞

Biologics Standards-Cercopithecus-1细胞类似产品::H-810细胞、KAT-5细胞、MB39细胞

NCIH1694细胞类似产品::GC1-SPG细胞、S3-HeLa细胞、Hs 636 T细胞

NTC200细胞类似产品::SUPB15细胞、SK-ES细胞、P815细胞

NCIH510细胞类似产品::N-9细胞、HCT GEO细胞、SNU-886细胞

RPMI-8226细胞类似产品::Human Epithelioma-2细胞、CCRF-CEM细胞、Turbot Embryonic Cell line细胞

M21细胞类似产品::NCIH1385细胞、RKO细胞、SKCO 1细胞

W256细胞类似产品::HUC细胞、SNU-739细胞、SKMES1细胞

BHT101 Cells(赠送Str鉴定报告)|人甲状腺癌细胞

A2780/Taxol细胞类似产品::RT112细胞、OVMANA细胞、HSC/mHSC细胞

T-ALL1细胞类似产品::RS(4;11)细胞、HFE-145细胞、SKMel-5细胞

EB-3细胞类似产品::SW 1783细胞、SK-NM-C细胞、Y3-Ag 1.2.3细胞

OVCAR3细胞类似产品::BLO-11细胞、SNB.19细胞、NCI-H711细胞

OCI Ly1细胞类似产品::NCIH1437细胞、P3X63 Ag8.653细胞、SUDHL-2细胞

P3-X63-Ag8.653细胞类似产品::IMR 32细胞、SMMC 7721细胞、HCC-15细胞

A-498细胞类似产品::Raji细胞、HBSMC细胞、A2780/CP细胞

HLE B-3细胞类似产品::M.D. Anderson-Prostate Cancer-2b细胞、Ly1细胞、CZ-1细胞

Caki-1细胞类似产品::NPA-87细胞、NCIH929细胞、GM-3573细胞

NCI-H1672细胞类似产品::BL2141细胞、Turbot Embryonic Cell line细胞、OVCA432_Bast细胞

HGC-27细胞类似产品::FLS细胞、H510细胞、Roswell Park Memorial Institute 7951细胞

HLF-a细胞类似产品::TW01细胞、MDAMB330细胞、COLO.205细胞

578T细胞类似产品::ME1细胞、MES 23.5细胞、HT 29细胞

He-La细胞类似产品::NCI-H1703细胞、J 82细胞、THP1细胞

HCT FET细胞类似产品::NBLAN5T细胞、MDCK supertube细胞、HO1-N-1细胞

SK MEL-28细胞类似产品::Mv 1 Lu细胞、SK-ChA1细胞、RGCs细胞

OCI Ly10细胞类似产品::SCL-1细胞、HD-LM-2细胞、A2780-CP细胞

PL45细胞类似产品::4T1细胞、NHDF细胞、Centre Antoine Lacassagne-12T细胞

Mono Mac 1细胞类似产品::BHP-10细胞、KE 37细胞、Leukemia 1210细胞

HR8348细胞类似产品::DHL10细胞、LS174T细胞、DMS153细胞

Human Embryo Kidney-2细胞类似产品::U-251-MG细胞、JROECL 21细胞、C-26细胞

TE-10细胞类似产品::NGEC细胞、SK-N-BE(2)-C细胞、SUPB-15细胞

NCIH1092细胞类似产品::RCC-JF细胞、D283细胞、SK-OV-433细胞

BI-Mel细胞类似产品::KHYG-1细胞、SkChA1细胞、SW.620细胞

FHCRC-11细胞类似产品::Metastatic Variant-522细胞、SupT1细胞、NCI-H2227细胞

HBdSMC细胞类似产品::SUM 52细胞、IHH细胞、H526细胞

MV522细胞类似产品::PANC-28细胞、MCF-10A细胞、JROECL 33细胞

NCM-460细胞类似产品::H-2227细胞、H-220细胞、Roswell Park Memorial Institute 8226细胞

JB6 clone 30, subclone 7b细胞类似产品::JB6 Cl 30细胞、HSC-1细胞、OK细胞

HCV 29细胞类似产品::Ly19细胞、HCC0070细胞、TE7细胞

FDC-P1细胞类似产品::CMT-93细胞、NCI-H740细胞、KM-H2细胞

D341 Med细胞类似产品::HCC1500细胞、Mahlavu细胞、HNEpC细胞

"



BHT101 Cells(赠送Str鉴定;

公司简介

上海冠导生物工程有限公司,先后从ATCC、DSMZ、ECACC、RIKEN、PromoCell、ScienCell、JCRB等国内外细胞库引进细胞2000余株。以此为契机,公司组建了冠导细胞库,我司细胞均由资深细胞培养工程师进行培养。我司可以提供的细胞有:①细胞系②原代细胞③稳转株④耐药株⑤标记细胞⑥细胞配套试剂等。

成立日期 (11年)
注册资本 100万(元)
员工人数 50-100人
年营业额 ¥ 1000万-5000万
经营模式 工厂,试剂,定制,服务
主营行业 细胞培养,微生物学,细胞生物学

BHT101 Cells(赠送Str鉴定报告)|人甲状腺癌细胞相关厂家报价

内容声明
拨打电话 立即询价