基本信息 产品详情 公司简介 推荐产品
网站主页 UPCI-SCC-154 CELLS|人舌鳞癌贴壁细胞 UPCI-SCC-154 Cells(赠送Str鉴定报告)|人舌鳞癌细胞
  • UPCI-SCC-154 Cells(赠送Str鉴定报告)|人舌鳞癌细胞

UPCI-SCC-154 Cells(赠送Str鉴定报告)|人舌鳞癌细胞

UPCI-SCC-154 Cells
询价 1000000细胞数 起订
2000000细胞数 起订
上海 更新日期:2026-04-08

上海冠导生物工程有限公司

VIP6年
联系人:全经理
电话:18818239863拨打
邮箱:3171921642@qq.com

产品详情:

中文名称:
UPCI-SCC-154 Cells(赠送Str鉴定报告)|人舌鳞癌细胞
英文名称:
UPCI-SCC-154 Cells
保存条件:
常温培养或液氮冻存
纯度规格:
UPCI-SCC-154 Cells(赠送Str鉴定报告)|人舌鳞癌细胞
产品类别:
生物试剂

"UPCI-SCC-154 Cells(赠送Str鉴定报告)|人舌鳞癌细胞

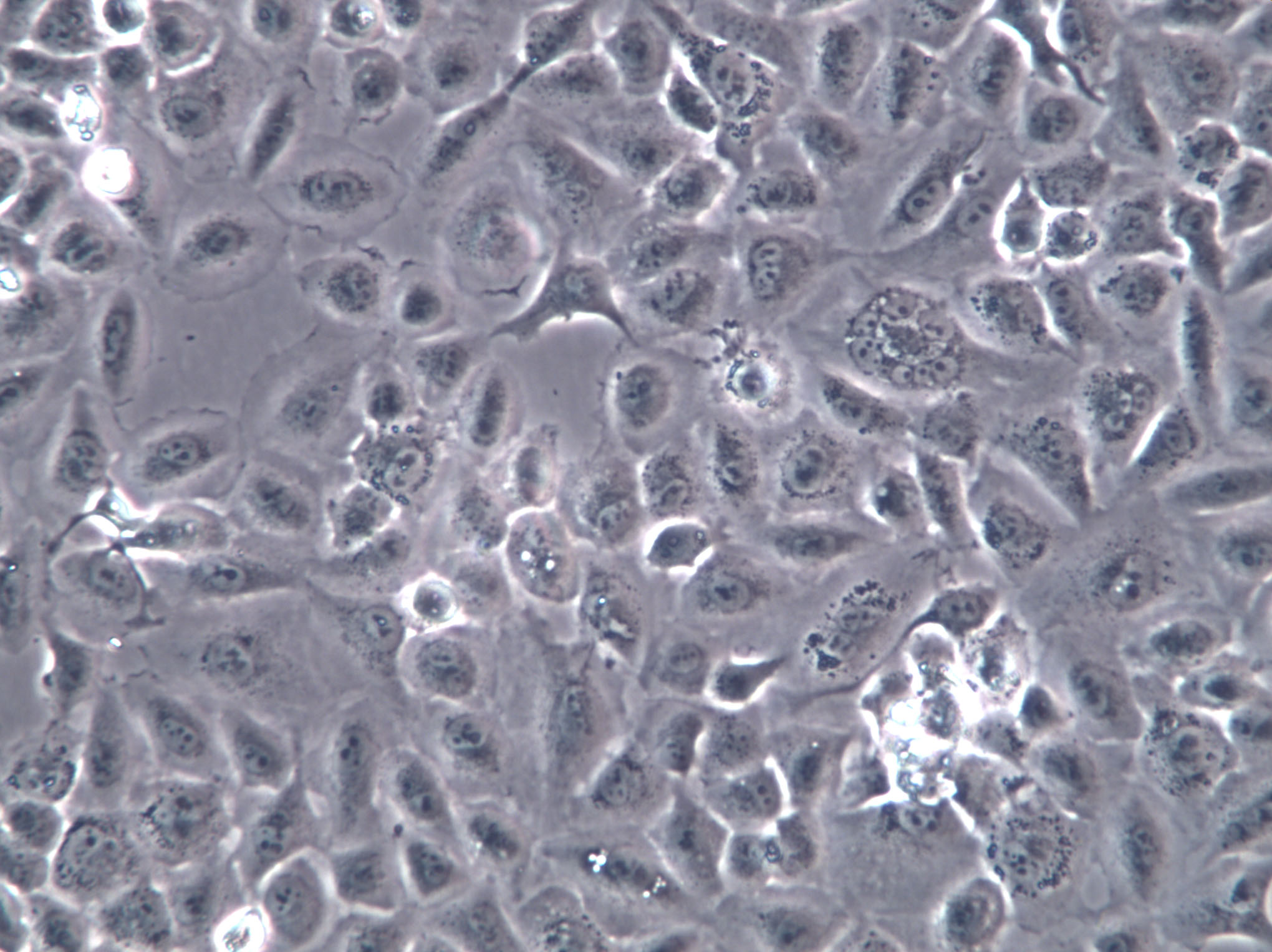
细胞背景资料:舌鳞癌;男性;HPV6转化

细胞形态:上皮细胞样

体内细胞培养及其操作步骤:【瘤细胞悬液接种】1)无菌选取生长良HAO(有光泽,淡红色)瘤组织或对数生长期培养瘤细胞;2)在PBS中将瘤组织剪碎后用匀浆器研磨,经80~100目筛网过滤成细胞悬液;3)培养细胞应用PBS洗两遍;4)计数并调整细胞浓度至107~108/ml;5)常规消毒后,于接种部位(通常为背部或腋窝腹股沟皮下)用医用注射器皮下潜行一段后注入细胞悬液(0.1ml/部位,>106细胞)。初次接种成功率低,细胞数尽可能多一些;6)次日注意观察动物一般情况。初次接种一般有一段较长的潜伏期,以后随着传代潜伏期逐渐缩短,Zui后固定为一个相对稳定的时间。【腹水瘤的建立与腹水瘤的接种】将实体瘤细胞直接种于小鼠腹腔、腹壁或其他部位,引起腹水,腹水中含有瘤细胞,将这种腹水反复传代,即可成为腹水瘤。初次传代时,腹水常呈血性(含大量红细胞),反复传代后腹水逐渐变成乳白色。腹水瘤的接种过程如下。1)将冻存或培养的腹水瘤细胞离心和洗涤,进行细胞计数;2)消毒动物,左下腹穿刺接种106腹水瘤细胞;3)接种腹水瘤细胞后约7~12d,待小鼠腹部明显膨大。用碘酒棉球消毒小鼠腹部,用9号针头抽取腹水,也可行腹部解剖后,用滴管吸取。每只小鼠可抽3~5ml;4)抽取的腹水经3000rpm离心15min,收集上清,分装冻存备用。

细胞生长:贴壁

MUM2B细胞类似产品::EL4细胞、H-187细胞、KP-N-RT-BM-1细胞

Intestinal Porcine Epithelial Cell line-J2细胞类似产品::B10BR细胞、C-33A细胞、HuH 6细胞

SR细胞类似产品::RPMI 1788细胞、CaEs17细胞、MALME.3M细胞

C4-1细胞类似产品::IOSE80UBC细胞、HeLa S 3细胞、COR-L88细胞

B16-F10-BL6细胞类似产品::OVCAR.4细胞、Rat Lung Epithelial-6-T-antigen Negative细胞、NP69细胞

UPCI-SCC-154 Cells(赠送Str鉴定报告)|人舌鳞癌细胞

细胞物种来源:人源或鼠源等其它物种来源

[细胞产品包装]鲜活细胞:T25培养瓶(一瓶)或冻存细胞:1ml冻存管(两支)

在细胞培养过程中会出现这样或那样的问题,客户遇到的问题从细胞生长角度来说,针对细胞培养过程中生长不HAO、甚至死亡的原因,我们做以下分析并提出相对应的解决方法。一、培养细胞生长不HAO》可能原因:细胞本身的状态》1)细胞传代次数多,细胞老化;2)细胞的接种量:接种量过低,细胞生长缓慢;3)细胞传代时间过晚:细胞中毒,影响传代后的细胞生长;4)胰酶消化时间过长或过短:时间过长,细胞死亡;时间过短,细胞未完全分离而成团,细胞死亡;5)细胞的冻存与复苏:慢冻速融。污染:1)支原体污染;2)霉菌污染;培养基或血清:1)更换血清或培养基之前未进行验证;2)选择的培养基是否合适;3)培养基配制是否准确无误;培养环境:1)CO2供应是否正常;2)培养箱或摇床温度控制是否正确;解决方法:根据以上四个方面的可能原因,做出针对性的解决方案》1)注意细胞的本身状态:如传代次数、接种量等;2)避免产生污染(用正规、合法、可溯源的血清);3)要用合适的血清或培养基,ZuiHAO经过验证;4)注意实验室的环境;二、培养细胞死亡》可能原因:1)培养箱内无CO2;2)培养箱内温度波动太大;3)细胞冻存或复苏过程中损伤;4)培养液渗透压不正确;5)培养液中有毒代谢产物堆积;解决方法:1)检测培养箱内CO2;2)检查培养箱内温度;3)取新的保存细胞种;4)检测培养液渗透压;5)换入新鲜培养液。

细胞传代方法:1:2-1:3传代;每周换液2-3次。

SPDC-CCL141细胞类似产品::CCC-HEH-2细胞、CHP-126细胞、LTEP a2细胞

CALU1细胞类似产品::LUDLU1细胞、NCI-HUT-69细胞、H1770细胞

Hs 819.T细胞类似产品::MPVECs细胞、NU-GC-3细胞、M3 Clone M-3细胞

HuH1细胞类似产品::NCI-H747细胞、Wien133细胞、AKR细胞

CNE1细胞类似产品::OE33细胞、KMS-11细胞、HEK-293细胞

细胞来源说明:来源于RCB、ATCC、KCLB、DSMZ、ECACC、INCell、ScienCell、ECACC、JCRB、Asterand、ICLC等知名细胞库

UPCI-SCC-154 Cells(赠送Str鉴定报告)|人舌鳞癌细胞

细胞生长特性:贴壁

TK+/- (clone 3.7.2C)细胞类似产品::NCI-H2106细胞、130 T细胞、PLC-8024细胞

SK-MEL-2细胞类似产品::SNU638细胞、Mouse Bladder Tumor line-2细胞、CCD 841 CoN细胞

Sarcoma OSteogenic-2细胞类似产品::8305C_1细胞、MZ-CRC-1细胞、MC116细胞

MDA-PCa-2b细胞类似产品::H-2110细胞、HT144mel细胞、MLMEC细胞

Giant Cell Tumor细胞类似产品::L- cell细胞、NCI-H69细胞、E.L.4细胞

Huh-7细胞类似产品::MCM细胞、EAhy926细胞、MDAMB435S细胞

细胞常规培养传代流程(请严格遵照无菌操作):1)吸出原培养瓶中的培养基,PBS缓冲液润洗细胞两次,加2-3ml 0.25%胰酶进行消化细胞(注意把握消化时间,通常控制在1-2min);2)镜下观察消化情况,在细胞边缘缩小,贴壁松动时(不建议消化到细胞漂浮)去掉胰酶,加6-8ml完全培养基,轻轻吹打细胞层,尽量把细胞层吹落,吹散;3)取部分细胞悬液转移到新的培养皿/瓶中,添加适当的完全培养基,把细胞悬液打匀,于培养箱中培养;4)注意培养基PH值变化情况,定期换液(每周2-3次),待细胞密度达到80%以后重复1项操作或者冻存;别注意:(如使用公共实验室或者初次接触细胞培养,建议添加双抗培养)1)收到细胞后请尽快更换为含15%血清的新鲜培养基,如因殊情况需要继续使用原瓶,请在原瓶培养基中额外添加10%的血清,(原瓶培养基的继续使用时间Zui长不宜超过72小时);2)贴壁细胞收到当天切忌立刻消化,请将细胞换液后放置培养箱孵育到第二天再做消化传代,请YOU先选择直径6cm的培养皿进行传代培养;3)如签收时出现培养瓶壁破裂,漏液等情况请及时做HAO照片记录并联系实验室。

贴壁消化难题:1,先用PBS 把细胞洗两遍,使瓶内没有血清了,减少对胰酶的中和,然后用新配的0.25%的胰酶加入3ml左右,放在37度,然后可以在细胞有些消化下来时,拿着瓶口,运用手腕的力量轻轻震荡瓶内液体,这样细胞很快就下来了,还不需要吹打,分散也均匀;2,成团、絮状:消化液里加入edta可以减少细胞成团的现象,血清可以终止胰酶的作用,如果是进口血清的话也能终止edta的作用。用胰酶消化后胰酶可以倒掉,也可以不倒,直接加血清终止,如果消化液中加入了edta的话,就要将消化液倒干净,如果细胞贴壁要求不是很严格的话,一般不需要进行离心。鼻咽癌细胞的贴壁能力很强,用0.5%胰酶(含0.1%EDTA)一般要消化12~15min。用PBS洗涤时要洗净残余的培养基,加入胰酶后在培养箱中消化(避免细胞室温下受损以及在此温度时胰酶活性Zui强)至细胞收缩变圆(可显微镜下观察)且有少许细胞脱落(有流下来的趋势),随后立即弃去胰酶(如果脱落的细胞很多且需要大量细胞实验,则不能弃去胰酶),加入培养基仔细吹打(不能用无血清培养基或者PBS替代,否则细胞聚集成团块或絮状)。一般我都离心一次弃去上清(去除残留的胰酶及漂浮的死细胞或细胞碎片);消化过度:马上用培养基中和,用吸管吹打细胞,收集全部的细胞到以无菌的离心管中800RPM 3分钟。弃上清,用全培重悬,换新的培养瓶继续培养,状态不HAO的细胞在培养的过程中会死亡脱落,在换液的时候可以清除掉!

B16 subline B78细胞类似产品::SKMEL-2细胞、DMS-273细胞、CALU1细胞

HCT-FET细胞类似产品::KYSE 50细胞、H3255细胞、HCT-8细胞

H2.35细胞类似产品::LNT-229细胞、CCD1112Sk细胞、Karpas 299细胞

CMT 93细胞类似产品::FaDu细胞、Hs445细胞、P3/NS-1细胞

NCI-SNU-182细胞类似产品::HIC细胞、WEHI-231细胞、PNT1/A细胞

High5细胞类似产品::C2BBe 1细胞、Kit225 K6细胞、BrCL15细胞

H.Ep. #2细胞类似产品::H1792细胞、Hs 739.T细胞、COV-362细胞

HUVEC-C[HUVEC]细胞类似产品::N1S1细胞、M-07e细胞、Virginia Mason Research Center-Lung Cancer D细胞

LAC细胞类似产品::SGC 7901细胞、CFSC-8B细胞、Panc 5.04细胞

OAW 42细胞类似产品::RMG-I细胞、ME-180细胞、RPMI no 8226细胞

DHL-6细胞类似产品::MLMA细胞、H719细胞、A549/DDP细胞

Panc10.05细胞类似产品::MUGCHOR1细胞、MLE-12细胞、Japanese Tissue Culture-28细胞

2PK-3细胞类似产品::OC-3-VGH细胞、MLA 144细胞、A 2780 CP细胞

He La细胞类似产品::C81-61细胞、EST50细胞、M210B4细胞

NCIH345细胞类似产品::COLO 738细胞、MT4细胞、Jurkat clone A3细胞

Simpson细胞类似产品::RERFLCMS细胞、TE-9细胞、UMRC-2细胞

NCI/ADRRES细胞类似产品::118 MG细胞、WiDr/S细胞、ACCM细胞

Hs 839.T细胞类似产品::NCI-H661细胞、HEK 293细胞、HEK293-A细胞

Mac-1细胞类似产品::U87细胞、SNU761细胞、3396细胞

Murine Leydig Tumor Cell line-1细胞类似产品::GH3细胞、DrG细胞、Hs 819.T细胞

A-375.S2细胞类似产品::LN-229细胞、H35细胞、HCT 15细胞

Hela-Ap-1细胞类似产品::LC-2/ad细胞、HSKMC细胞、MKN1细胞

LED-WiDr细胞类似产品::SVOG细胞、H1404细胞、ARO-81细胞

Hs1.Tes细胞类似产品::hCMEC/D3细胞、UT7细胞、RPTEC/TERT 1细胞

Caco2BBe细胞类似产品::Tn-5B1-4细胞、OVCAR4细胞、LS174T细胞

NCI-H69C细胞类似产品::SK.MEL.28细胞、KNS42细胞、HEK;293细胞

BEL7402细胞类似产品::Radiation Effects Research Foundation-Lung Cancer-MS细胞、2PK3细胞、Potorous tridactylus Kidney 2细胞

VSMC细胞类似产品::Hce8693细胞、Calu3细胞、IGROV 1细胞

NB-4细胞类似产品::NCI-HUT-125细胞、HCC-1438细胞、HT clone H9细胞

H-196细胞类似产品::HCC941122细胞、NCIH510细胞、X63Ag8-653细胞

EFO-27细胞类似产品::PLA-802细胞、NCIH1092细胞、PNT1A细胞

MFE 280细胞类似产品::C57 Mouse Tumor 64细胞、SK ES 01细胞、HCC-1833细胞

CCFSTTG1细胞类似产品::CORL105细胞、HSAEC1-KT细胞、HCC2279细胞

hESC细胞类似产品::BCAP37细胞、TE12细胞、174xCEM.T2细胞

COLO-357细胞类似产品::SNU449细胞、S91细胞、MM1.S细胞

TE 32.T细胞类似产品::SF 767细胞、WEHI-3B细胞、C1498细胞

V79-4细胞类似产品::LAN5细胞、Tissue Culture-1细胞、HPAFII细胞

RMG-I细胞类似产品::HMCB细胞、C3H-10T1/2细胞、293T/17细胞

IPLB-Sf21-AE细胞类似产品::SNU1细胞、H-1648细胞、MT-2J细胞

OVCA432细胞类似产品::KU 19-19细胞、REC-1细胞、H-838细胞

CV-1 in Origin Simian-1细胞类似产品::H-1993细胞、PG-4 (S+L-)细胞、TF-1a细胞

UPCI-SCC-154 Cells(赠送Str鉴定报告)|人舌鳞癌细胞

NCl-H157细胞类似产品::BC-027细胞、HITT15细胞、MDA-134细胞

MA104细胞类似产品::ONS-76细胞、MOLM16细胞、HSC1细胞

GOS-3细胞类似产品::SW-837细胞、8305C_1细胞、OV-90细胞

Hs606T细胞类似产品::FL-83B细胞、H322细胞、HCC2935细胞

RIMEC细胞类似产品::AKR细胞、H-2081细胞、H8细胞

RIMEC细胞类似产品::AKR细胞、H-2081细胞、H8细胞

COR-L88细胞类似产品::FLC-7细胞、JCA1细胞、H-1385细胞

H-1648细胞类似产品::OVCAR-3细胞、MLMEC细胞、CPA47细胞

HEI193细胞类似产品::DLD1细胞、138MG细胞、UMNSAH/DF-1细胞

COLO320-DM细胞类似产品::HuO9细胞、RBMEC细胞、Cloudman S91 melanoma clone M-3细胞

SW756细胞类似产品::UCLA-SO-M14细胞、7860细胞、CAL120细胞

LTEP-sm细胞类似产品::NCI-H146细胞、293/EBNA细胞、HFL-I细胞

HCC0366细胞类似产品::MCF/Adr细胞、RN-c细胞、NTC200细胞

COLO320HSR细胞类似产品::H2110细胞、SuDHL 4细胞、H2073细胞

COLO320HSR细胞类似产品::H2110细胞、SuDHL 4细胞、H2073细胞

WiDr-TC细胞类似产品::Los Angeles Prostate Cancer-4细胞、SUM-190PT细胞、WIL2 Secreting细胞

H-1651细胞类似产品::A431/P细胞、SC1细胞、LTEP-sm细胞

Hs 863.T细胞类似产品::CHO-Lec1细胞、A431细胞、WEHI-231细胞

H4-IIE-C3细胞类似产品::CAL 27细胞、Human Embryonic Kidney 293细胞、Walker-Ca.256细胞

LWnt-3A细胞类似产品::A549 ATCC细胞、Epstein-Barr-3细胞、DMS 114细胞

P3/NS-1细胞类似产品::3LL细胞、SUM-102PT细胞、IPLB-Sf21细胞

TOG细胞类似产品::Human Epidermoid carcinoma #2细胞、H441细胞、CCRF-SB细胞

Human Embryonic Skin细胞类似产品::BeWo细胞、UMUC3细胞、SUDHL1细胞

NCIH345细胞类似产品::COLO 738细胞、MT4细胞、Jurkat clone A3细胞

MFM-223细胞类似产品::SKLU-1细胞、KM12-SM细胞、P3X63Ag8-6-5-3细胞

RAW264.7细胞类似产品::SK MEL 5细胞、U-266细胞、Panc02-H0细胞

Centre Antoine Lacassagne-12T细胞类似产品::MDA MB 134VI细胞、HOS细胞、Bronchial Epithelium transformed with Ad12-SV40 2B细胞

MDA MB 453细胞类似产品::M-G63细胞、T47D:A细胞、C32-mel细胞

H-1436细胞类似产品::PNT1/A细胞、SUM-52-PE细胞、Hca-F细胞

CCC-ESF-1细胞类似产品::H1781细胞、Namalwa细胞、MB231细胞

CAKI 1细胞类似产品::OCI Ly10细胞、MILE SVEN1细胞、RC-4B/C细胞

NIH:OVCAR-10细胞类似产品::RPTEC TERT1细胞、HONE-1细胞、MDA MB 175 VII细胞

RIN m5F细胞类似产品::H-2141细胞、ROS-17/2.8细胞、SF 295细胞

Hs746T细胞类似产品::CEMC1细胞、TE-6细胞、U-87细胞

TALL-104细胞类似产品::Mino细胞、LTEP-sm 1细胞、HEK-293-EBNA细胞

HT-115细胞类似产品::32D.3细胞、HSMC细胞、A-172 MG细胞

HEC-1-A细胞类似产品::WSU-DLCL2细胞、U-87 MG细胞、Ramos.2G6.4C10细胞

58F细胞类似产品::BNL CL2细胞、H1395细胞、NCI-H2135细胞

SK-HEP-1细胞类似产品::SKM-1细胞、MC3T3-E1细胞、rRMECs细胞

WM451Lu细胞类似产品::HS 1.Tes细胞、U-138 MG细胞、NK10a细胞

HCC 94细胞类似产品::624mel细胞、SK-MEL 28细胞、hTERT RPE-1细胞

MT4细胞类似产品::B6Tert-1细胞、XWLC-05细胞、MRC-5细胞

HM1900细胞类似产品::Hs 636.T细胞、RFL6细胞、Immortal Pig Intestinal-2I细胞

SNU-216细胞类似产品::MHCC97-L细胞、JVM-3细胞、M-NFS-60细胞

OKT3细胞类似产品::TNC-1B12B4细胞、Experimental Mammary Tumour-6细胞、343 MG细胞

BC-024细胞类似产品::MGH-UI细胞、SUM 159细胞、MV-1-Lu细胞

ATN-1细胞类似产品::Kit 225细胞、EMT-6细胞、H1915细胞

OCI-Ly 8细胞类似产品::K562/ADP细胞、MOLT3细胞、MDA-MB-436细胞

HL-60细胞类似产品::Panc-813细胞、CX-1细胞、KNS62细胞

LY-R细胞类似产品::EJ1细胞、A498细胞、Colon-26细胞

NB-19细胞类似产品::HREC细胞、PGLH7细胞、F98细胞

TMK-1细胞类似产品::MGHU3细胞、SF 295细胞、BOWES细胞

THLE-2细胞类似产品::TALL-1 [Human adult T-ALL]细胞、EBC-1细胞、NPC-TW039细胞

PTK-2细胞类似产品::MHCC97L细胞、SUDHL-1细胞、Ramos (RA 1)细胞

PTK-2细胞类似产品::MHCC97L细胞、SUDHL-1细胞、Ramos (RA 1)细胞

GC-2spd(ts)细胞类似产品::Lilly Laboratories Cell-Monkey Kidney 2细胞、TMD8细胞、SKNBE-1细胞

CoCL2细胞类似产品::HBL-1 [Human diffuse large B-cell lymphoma]细胞、143BTK-细胞、J774A.1细胞

Rh30细胞类似产品::HT 115细胞、Ramos.G6.C10细胞、JM-Jurkat细胞

LM8细胞类似产品::ECV 304细胞、PK-13细胞、Centre Antoine Lacassagne-62细胞

U 266细胞类似产品::SUDHL-4细胞、AML-EOL-1细胞、HCS-2/8细胞

Pt K2 (NBL-5)细胞类似产品::NP69SV40T细胞、Cor L88细胞、NCIH1650细胞

MKN74细胞类似产品::AtT20细胞、NCI-H838细胞、VeroC1008细胞

SGC-7901细胞类似产品::NCIH596细胞、NK-92细胞、V-79-4细胞

MUGCHOR1细胞类似产品::no.11细胞、HCCC-9810细胞、WIL2S细胞

NCI-H2029细胞类似产品::Ku812细胞、P30 OHK细胞、SK-NEP-1细胞

HAEC细胞类似产品::Baby Hamster Kidney 21细胞、A-72细胞、DU4475细胞

KG1A细胞类似产品::Colon-26细胞、UWB1.289+BRCA1细胞、Anip973细胞

U-87-MG细胞类似产品::MFHL-2细胞、A375细胞、T98 G细胞

LU-65M细胞类似产品::OE19细胞、LL/2细胞、NCIH1436细胞

H-510细胞类似产品::LC-2 ad细胞、FHL124细胞、SK-BR3细胞

WPMY-1细胞类似产品::8226细胞、K7M2-WT细胞、VM Cub 1细胞

KHYG细胞类似产品::Cates 1B细胞、OVCAR8/ADR细胞、H2172细胞

624-mel细胞类似产品::HSC-5 [Human skin squamous cell carcinoma]细胞、aNK细胞、NUGC-2细胞

L615细胞类似产品::GM02132C细胞、KOSC-2细胞、Earles's cells细胞

PA I细胞类似产品::GM00637H细胞、P3J.HR1K细胞、EU-2细胞

Mv1Lu细胞类似产品::P3X63-Ag8.653细胞、KU-812细胞、BIU-87细胞

SJRH30细胞类似产品::HMEL细胞、SKOV3细胞、WEHI 164 TC细胞

T9细胞类似产品::PLA801D细胞、CWR22-R1细胞、NCIH250细胞

FLC7细胞类似产品::GM00346B细胞、OVCAR8细胞、Nb2细胞

U14细胞类似产品::IFRS1细胞、DR2R 1610细胞、H-1838细胞

2BS细胞类似产品::alphaTC1 Clone 6细胞、NCI-H2030细胞、H69细胞

SNU620细胞类似产品::NCI-H196细胞、NCI-H1838细胞、DU-145细胞

Mel-MeWo细胞类似产品::UK Pan-1细胞、K562细胞、P3HR1-BL细胞

COLO680N细胞类似产品::CCC-HSF-1细胞、SNU182细胞、LS411N细胞

A2780细胞类似产品::RMG1细胞、Sf21细胞、CCD 841 CoTr细胞

LS-513细胞类似产品::NCIH1792细胞、OCIAML4细胞、brain-derived Endothelial cells.3细胞

DanG细胞类似产品::207细胞、TGW细胞、T2(174 x CEM.T2)细胞

FBHE细胞类似产品::NCI-H1781细胞、A2780/CP细胞、MHCC97L细胞

SHIN-3细胞类似产品::Ball 1细胞、N2a细胞、HTR8细胞

TM-3细胞类似产品::LS174细胞、3T3-A31细胞、746T细胞

University of Michigan-Urothelial Carcinoma-3细胞类似产品::HCC366细胞、CG4细胞、COLO-680N细胞

REC 1细胞类似产品::HCC-4006细胞、U266B1细胞、HOS (TE85, Clone F5)细胞

NCI-H1417细胞类似产品::KTCTL-140细胞、SNU-620细胞、HuT78细胞

SF-539细胞类似产品::SCCVII细胞、HCC4006细胞、UMR 106细胞

ND7/23细胞类似产品::BA/F3细胞、LN229细胞、P3X63 Ag8细胞

HEM细胞类似产品::SW 1116细胞、KASUMI6细胞、NCI-446细胞

LA-N-6细胞类似产品::NCIH1781细胞、HLEC-SRA 01/04细胞、KLN 205细胞

BMF细胞类似产品::TK10细胞、SW 1990细胞、N9细胞

H-889细胞类似产品::NCI-H1930细胞、NS-I/1细胞、SCL-1细胞

Kupffer细胞类似产品::Hs-729-T细胞、HN 4细胞、SUM 190PT细胞

RAW264.7细胞类似产品::SK MEL 5细胞、U-266细胞、Panc02-H0细胞

ECC12细胞类似产品::HEK-EBNA细胞、U-118 MG细胞、Tadarida brasiliensis 1 lung细胞

Co 115细胞类似产品::COLO829细胞、JHH7细胞、NCIH1688细胞

HIT clone T15细胞类似产品::NL20细胞、RPPVEC细胞、LCD细胞

RKO-AS45-1细胞类似产品::HCC0827细胞、MARC-145细胞、LC1-Sq细胞

CCFSTTG1细胞类似产品::CORL105细胞、SNT8细胞、Y3M细胞

HT 1197细胞类似产品::P30/Ohkubo细胞、UK Pan-1细胞、A-673细胞

H2052细胞类似产品::K-562细胞、P560细胞、L cells (TK-)细胞

HOC细胞类似产品::H-2073细胞、293S细胞、H1648细胞

DMS273细胞类似产品::CF PAC-1细胞、CC-LP-I细胞、P-815细胞

M210B4细胞类似产品::BT-20细胞、NCIH358细胞、H-920细胞

L-Wnt-3A细胞类似产品::MC3T3-E细胞、A-172细胞、RPMI-1788细胞

Immortal Pig Intestinal-2I细胞类似产品::CHO Lec1细胞、LM TK negative细胞、Centre Antoine Lacassagne-27细胞

NCI-SNU-16细胞类似产品::IHH细胞、NTERA-2细胞、T98细胞

OVCA432_Bast细胞类似产品::NCI-A549细胞、130-T细胞、SW-1271细胞

Leydig细胞类似产品::CTSC-3细胞、BPH-1细胞、MC3T3-L1细胞

NCIH1930细胞类似产品::Hs888Lu细胞、LLC1细胞、NCI-H676细胞

SIRC细胞类似产品::YD-15细胞、RPE-hTERT细胞、NIH 3T3细胞

NT2细胞类似产品::T1-73细胞、C 643细胞、NFHIOSE-80细胞

UPCI-SCC-154 Cells(赠送Str鉴定报告)|人舌鳞癌细胞

HPAC细胞类似产品::JVM-3细胞、H2198细胞、YES2细胞

BEAS-2B细胞类似产品::PA-1细胞、143TK-细胞、HCC0078细胞

Cates-1B细胞类似产品::BHK 21细胞、AAV-293细胞、DC 2.4细胞

MA-782细胞类似产品::NKT细胞、AR41P细胞、UCLA SO M14细胞

C4-2 Bone metastatic细胞类似产品::H-82细胞、SW-527细胞、NBL-7细胞

Mac-1细胞类似产品::U87细胞、SNU761细胞、3396细胞

KYSE-450细胞类似产品::MHHCALL2细胞、LA-N-1细胞、SW480细胞

PF382细胞类似产品::FRTL-5 Cl 2细胞、RWPE1细胞、PC 61 5.3细胞

NCIH1915细胞类似产品::SW260细胞、293细胞、MDA 435细胞

PLC/PRF/5细胞类似产品::Ramos.G6.C10细胞、HEY A8细胞、OS-RC-2细胞

OVCAR420细胞类似产品::SiHa细胞、MDA MB 134VI细胞、SF767细胞

NE1-E6E7细胞类似产品::SNU668细胞、H-1105细胞、MOLT 4细胞

VMRCRCZ细胞类似产品::BE(2)-C细胞、SL1细胞、NU-GC-3细胞

CAL 85-1细胞类似产品::Intestinal Epithelioid Cell line No. 18细胞、HIBEpiC细胞、SCC-7细胞

COLO-320-HSR细胞类似产品::OVCA 433细胞、TERT-RPE1细胞、RPTEC/TERT1细胞

LS-513细胞类似产品::NCIH1792细胞、OCIAML4细胞、brain-derived Endothelial cells.3细胞

X63-Ag8-653细胞类似产品::CemT4细胞、C-4-I细胞、NCIH1155细胞

HCCLM3细胞类似产品::HAEC细胞、Panc_03_27细胞、EB-3细胞

IEC-18细胞类似产品::McA-RH7777细胞、CTV1细胞、Kit 225细胞

H-1648细胞类似产品::OVCAR-3细胞、MLMEC细胞、CPA47细胞

SW-1990细胞类似产品::H-2342细胞、NB19-RIKEN细胞、SKNEP细胞

MXI细胞类似产品::Earles's cells细胞、HET-1A细胞、HepG2-luc细胞

HCT/Taxo1细胞类似产品::NTERA2-D1细胞、RKN细胞、NW-MEL-38细胞

TOV21G细胞类似产品::Ontario Cancer Institute-Acute Myeloid Leukemia-4细胞、PANC-1细胞、SNU398细胞

GM03190细胞类似产品::H-1092细胞、H69细胞、WiDr/S细胞

HTh74细胞类似产品::NCI-H1568细胞、KG1A细胞、KY-50细胞

MDAMB-231细胞类似产品::KTCTL140细胞、SUM 149PT细胞、PC3-M细胞

SVGp12细胞类似产品::H-2066细胞、SW-1573细胞、TE354T细胞

Michigan Cancer Foundation-7细胞类似产品::WM-239细胞、LC-1 sq细胞、rRTEC细胞

SHG 44细胞类似产品::HD-LM-2细胞、H1299细胞、CCC-HPF-1细胞

H-1993细胞类似产品::Panc02细胞、U-266细胞、Lewis-Lung细胞

D-341细胞类似产品::OV 2008细胞、alpha TC1-6细胞、HSC1细胞

"



UPCI-SCC-154 Cells(赠;

公司简介

上海冠导生物工程有限公司,先后从ATCC、DSMZ、ECACC、RIKEN、PromoCell、ScienCell、JCRB等国内外细胞库引进细胞2000余株。以此为契机,公司组建了冠导细胞库,我司细胞均由资深细胞培养工程师进行培养。我司可以提供的细胞有:①细胞系②原代细胞③稳转株④耐药株⑤标记细胞⑥细胞配套试剂等。

成立日期 (11年)
注册资本 100万(元)
员工人数 50-100人
年营业额 ¥ 1000万-5000万
经营模式 工厂,试剂,定制,服务
主营行业 细胞培养,微生物学,细胞生物学

UPCI-SCC-154 Cells(赠送Str鉴定报告)|人舌鳞癌细胞相关厂家报价

内容声明
拨打电话 立即询价