基本信息 产品详情 公司简介 推荐产品
网站主页 化工产品目录 生物 细胞培养 细胞系 小鼠细胞系 PY8119 CELLS|小鼠乳腺癌贴壁细胞 PY8119 Cells(赠送Str鉴定报告)|小鼠乳腺癌细胞
  • PY8119 Cells(赠送Str鉴定报告)|小鼠乳腺癌细胞

PY8119 Cells(赠送Str鉴定报告)|小鼠乳腺癌细胞

PY8119 Cells
询价 1000000细胞数 起订
2000000细胞数 起订
上海 更新日期:2026-04-27

上海冠导生物工程有限公司

VIP6年
联系人:全经理
电话:18818239863拨打
邮箱:3171921642@qq.com

产品详情:

中文名称:
PY8119 Cells(赠送Str鉴定报告)|小鼠乳腺癌细胞
英文名称:
PY8119 Cells
保存条件:
常温培养或液氮冻存
纯度规格:
PY8119 Cells(赠送Str鉴定报告)|小鼠乳腺癌细胞
产品类别:
生物试剂

"PY8119 Cells(赠送Str鉴定报告)|小鼠乳腺癌细胞

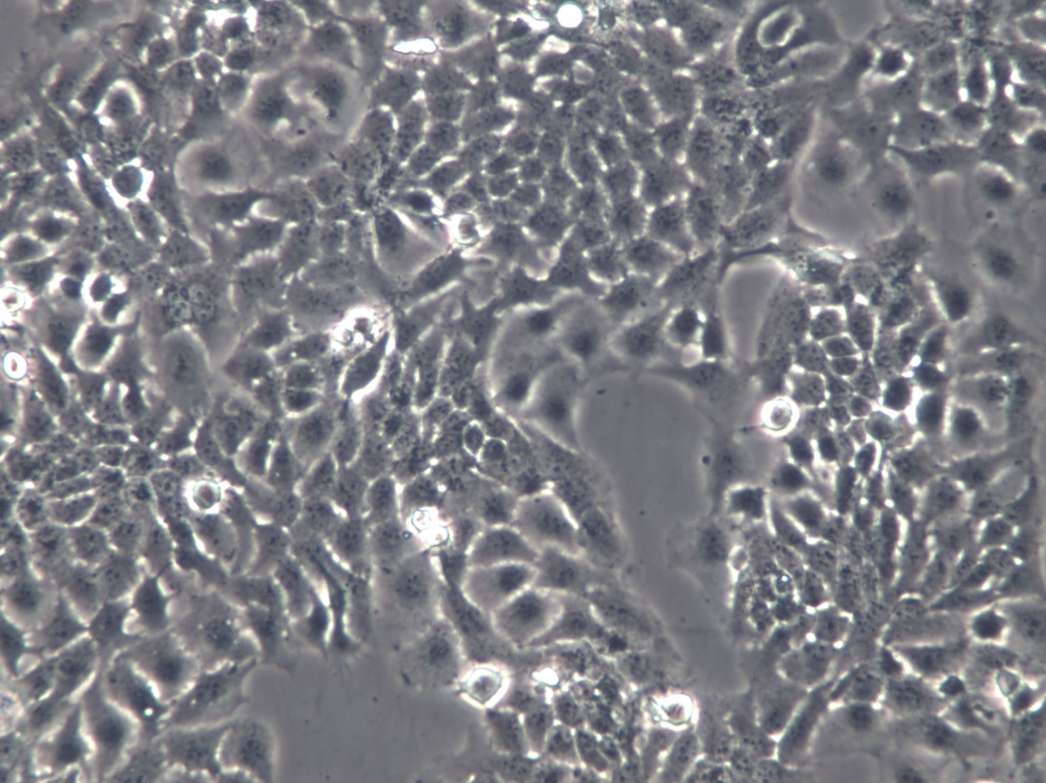
细胞背景资料:乳腺癌;雌性;C57BL/6

细胞形态:上皮细胞样

接收细胞相关问题:如不能在收到细胞后及时操作细胞,T25及离心管发货的细胞将可以消毒后在37度过夜,血清发货的细胞在室温下静置1-2天(注意不要放冰箱),干冰发货的可以在确认干冰未完全升华时将细胞直接放回液氮或者-80度冰箱,若干冰完全升华,请即刻复苏细胞。T25瓶及离心管在培养箱平衡是为了让细胞尽快适应培养箱环境,同时使部分因运输导致脱落的细胞贴壁,此步骤非常必要。T25瓶如果在显微镜下可以看到部分不贴壁的细胞,可以收集上清后离心(1200rpm,5min)后,将沉淀用新的培养基重悬后接种至新的培养瓶或皿中。部分细胞在运输过程中,由于不断震荡及环境不适,可能导致细胞破碎死亡,从而使培养基中漂浮很多细胞碎片及颗粒状物质。这种情况下,平衡后,贴壁细胞用PBS洗两遍再加新的培养基培养或者传代至新瓶中培养即可;悬浮细胞可以离心(1000rpm,3min)收集细胞,并用PBS重悬后再离心一次,再用新的培养基重悬并接种细胞。

细胞生长:贴壁

HCC-1588细胞类似产品::H-2087细胞、ARH77细胞、KU 19-19细胞

Hs-695-T细胞类似产品::H226细胞、JB6 Cl 30细胞、OVCA-420细胞

NBL-3细胞类似产品::RL952细胞、H-2085细胞、WSUDLCL2细胞

N1E115细胞类似产品::ST-2细胞、Calu-6细胞、Kit225 K6细胞

H1581细胞类似产品::HSC-6细胞、L 132细胞、SPDC-CCL141细胞

PY8119 Cells(赠送Str鉴定报告)|小鼠乳腺癌细胞

细胞物种来源:人源或鼠源等其它物种来源

[细胞产品包装]鲜活细胞:T25培养瓶(一瓶)或冻存细胞:1ml冻存管(两支)

预防细胞污染的注意事项:实验进行前,超净台用紫外灯照射30-60min,然后用75%酒精擦拭超净台台面,并开启超净台风扇运转10min左右再开始实验操作。实验用品用75%酒精擦拭后才能放入超净台内;实验用品用完应移出超净台,以利于气流的流通。实验完成后用75%酒精擦拭超净台台面。每次操作只处理一种细胞;即使不同细胞使用相同的培养基也不要共享同一瓶培养基,避免细胞间的交叉污染。操作时小心取用无菌的物品,避免污染。勿碰触吸管尖头,不小心碰触后应立即更换;不要在打开的容器瓶口正上方操作,容器打开后,倾斜45°操作,操作完成后及时盖上瓶盖。CO2培养箱的清洁是较易被忽视的地方,应1-2个月对培养箱定期进行清洁消毒。先用75%酒精擦拭培养箱内壁、隔板、水盘2-3次,用双蒸水清洗,再用酒精棉球擦拭一遍,后紫外灯照射4h以上。水盘内加入无菌水(应每周更换),待培养箱内温度、湿度、CO2浓度稳定后再放入细胞。定期清洗或更换超净台过滤膜、预滤网。

细胞传代方法:1:2-1:3传代;每周换液2-3次。

MDA PCa 2b细胞类似产品::COLO357细胞、NCI-H78细胞、HCT/FU细胞

HT22细胞类似产品::Ramos细胞、Kato-III细胞、MDA-MB453细胞

KYSE 150 KYSE150 Kyse150 KY150

细胞类似产品::NCIH1299细胞、SUP-B15细胞、C6细胞

R 1610细胞类似产品::E0771细胞、PA1细胞、MLE12细胞

KE37细胞类似产品::H2107细胞、J111细胞、M14细胞

细胞来源说明:来源于RCB、ATCC、KCLB、DSMZ、ECACC、INCell、ScienCell、ECACC、JCRB、Asterand、ICLC等知名细胞库

PY8119 Cells(赠送Str鉴定报告)|小鼠乳腺癌细胞

细胞生长特性:贴壁

GM04154B细胞类似产品::CG-4细胞、HCV-29细胞、SNU-354细胞

Pt K2 (NBL-5)细胞类似产品::NP69SV40T细胞、Cor L88细胞、NCIH1650细胞

RTMC细胞类似产品::PL 45细胞、J-111细胞、KMH-2细胞

A72细胞类似产品::JROECL19细胞、P3/NS1/1-Ag4.1细胞、PF382细胞

McG-1细胞类似产品::Y3.AG.1.2.3细胞、HPDEC细胞、ECV-304细胞

GI-1细胞类似产品::SUDHL-10细胞、SW-1088细胞、National Medical Center-Glioma 1细胞

如何进行细胞复苏:1)从液氮容器中取出冻存管,直接浸入37℃温水中,并不时摇动令其尽快融化;2)从37℃水浴中取出冻存管,打开盖子,用吸管吸出细胞悬液,加到离心管并滴加10倍以上培养液,混匀;3)离心,1000rpm,5min;4)弃去上清液,加入含10%小牛血清培养液重悬细胞,计数,调整细胞密度,接种培养瓶,37℃培养箱静置培养;5)次日更换一次培养液,继续培养。【温馨提醒】1)从增殖期到形成致密的单层细胞以前的培养细胞都可以用于冻存,但ZuiHAO为对数生长期细胞。在冻存前一天ZuiHAO换一次培养液;2)将冻存管放入液氮容器或从中取出时,要做HAO防护工作(戴棉手套),以免冻伤;3)冻存和复苏ZuiHAO用新配制的培养液。细胞复苏的时候,有些初次实验员将冻存管从液氮中取出后,放在室温下,经常发生冻存管爆炸,该怎么避免出现这种情况吗?其中在拧紧冻存管的时候是否有哪些细节要注意的?一般常用的方法是取出冻存管后在超净工作台中用酒精棉球擦试管口,再稍拧松盖子,再放37度水浴锅中摇溶,在将细胞转移到装有37度预热过的培养基的试管中,迅速离心,再用培养基洗一遍。

贴壁细胞的消化方法介绍:1、胰酶。这是用得Zui多的。一般浓度在0.25-0.5%。作用时间根据细胞种类、作用温度等因素而变化很大,从几分钟到几十分钟不等。0.25%的胰酶作用于单层贴壁的细胞,在37度条件下,一般消化1-5分钟就足够了。终止是用血清。主要作用于细胞间。配制时不能用含、镁的平衡液,否则影响活性。保存于-20度。2、胶原酶。这种方法比较少,一般是用原代培养时,从组织消化下细胞。这种方法作用温和,对细胞损伤较小,但是,价格也较贵。中止同样是用血清。3、EDTA。用得也是非常多。一般浓度在0.02%左右。作用于细胞与间质,对细胞间也有一定作用。注意,它能显著影响pH值,而且在弱碱性条件下才易溶。因此,配制时应调节HAO酸碱度。它不能被终和。因此,消化下来的细胞要洗一遍。4、商品化的无酶消化液。个人的使用经常觉得对细胞的损伤比较大,但是分离成单细胞悬液的能力确实比较强。5、物理法。直接吹打或用细胞刮子将细胞刮下来。6、冷冻法。此方法仅能用于细胞传代时。无法使组织上的细胞脱落下来。本方法的原理,我想是因细胞冷冻后收缩,从而从培养瓶上脱落下来。YOU点是:对细胞损伤小,不需要中止或洗细胞,方便,不需要另外配制消化液。别适用那些贴壁不是别紧,又别娇气的细胞。不足是细胞常成小片脱落。此种方法曾用于因用其它方法传代导致大量细胞死亡操作的间充质干细胞、DC细胞的培养,效果非常满意。具体过程是:1、用较多的4度的PBS 洗涤一遍细胞(以6孔板为例,加1.5ml/孔),2、再加0.5毫升4度的PBS,静置操作台上,很快细胞就小片脱落,3、轻轻吹打,细胞即完全脱落,4、按一定比例传代。

OCI-Ly 10细胞类似产品::IEC 18细胞、HLE B-3细胞、WILL-2细胞

WM 115细胞类似产品::FU-OV-1细胞、N-2a细胞、BT325细胞

B16-BL6细胞类似产品::C6661细胞、COLO 357细胞、HLEC-B3细胞

HCC15细胞类似产品::FRO81-2细胞、YD-38细胞、MOLT.4细胞

KY-50细胞类似产品::CL MC/9细胞、NCI-SNU-407细胞、Hs 606细胞

GM12878细胞类似产品::KM-12细胞、COR-L26细胞、HDLM2细胞

RS4-11细胞类似产品::H1688细胞、H-292细胞、C-643细胞

KP-N-RT-BM-1细胞类似产品::OCIAML3细胞、KAT5细胞、578T细胞

CMT 93细胞类似产品::FaDu细胞、Hs445细胞、P3/NS-1细胞

CAL-12T细胞类似产品::BEL-7404细胞、RF/6A细胞、NCI-HUT-292细胞

V 79细胞类似产品::Liver-02细胞、LS 123细胞、Microbiological Associates-104细胞

TKB1细胞类似产品::Anip[973]细胞、GM05862细胞、NCI-H1694细胞

U-343细胞类似产品::P3HR1-BL细胞、HCCC9810细胞、786-0细胞

CEL细胞类似产品::FCCH1024细胞、U266S细胞、H-2342细胞

CCD-841-CoN细胞类似产品::DOK细胞、SK MEL 28细胞、LK 2细胞

L-363细胞类似产品::H2342细胞、MCF-7细胞、SK ES 01细胞

SW 1417细胞类似产品::OB2细胞、SKMEL1细胞、U-2 OS细胞

MKN-28细胞类似产品::H820细胞、Japanese Tissue Culture-39细胞、HTh 74细胞

NTERA-2cl.D1细胞类似产品::DHBE细胞、MDA PCa 2b细胞、KCL22S细胞

He La细胞类似产品::C81-61细胞、EST50细胞、M210B4细胞

SW 579细胞类似产品::ATN-1细胞、WM 115细胞、EPC细胞

Hs 611.T细胞类似产品::PE/CA-PJ34 (clone C12)细胞、P3/X63-Ag8细胞、HPAF/CD18细胞

MUM2B细胞类似产品::EL4细胞、H-187细胞、KP-N-RT-BM-1细胞

Hs895T细胞类似产品::Roswell Park Memorial Institute 7951细胞、SK-N-AS细胞、MOLP2细胞

SK 1细胞类似产品::Colo-206F细胞、SW 756细胞、Hep 3B2细胞

4175细胞类似产品::OVCAR433细胞、MDCK II细胞、Human Melanoma Cell Bowes细胞

NCI H82细胞类似产品::SP2/0 Ag-14细胞、SNU668细胞、Clone Y-1细胞

SF17细胞类似产品::HCC2157细胞、OCI-Ly3细胞、SK-N-BE-2细胞

H-1048细胞类似产品::3T3-442A细胞、C 6细胞、OC316细胞

NCIH820细胞类似产品::HBE细胞、SNU-668细胞、SKBr3细胞

DHL8细胞类似产品::Rat Chondrosarcoma Swarm细胞、Hu-P-T4细胞、SBC5细胞

SK MEL 5细胞类似产品::OVCA 420细胞、AKR细胞、Case 3细胞

JHH7细胞类似产品::TE354.T细胞、GM03190细胞、WERI-Rb-1细胞

HPAF-I细胞类似产品::KM.12细胞、HC11 Mammary Epithelium细胞、Hs 832(C).T细胞

hADSCs细胞类似产品::CLONE M3细胞、MESSA Dx5细胞、J82COT细胞

GM02131A细胞类似产品::B16/F10细胞、PLC-8024细胞、MDA MB 453细胞

A-549细胞类似产品::MDAMB468细胞、HCC1937细胞、P30-OHK细胞

A-172 MG细胞类似产品::HCC-827细胞、COLO-824细胞、MEC1细胞

HCCC-9810细胞类似产品::ES2细胞、CAL-148细胞、MDA-MB-231细胞

MDA-MB-435 S细胞类似产品::MDA231-LM2细胞、DHL6细胞、INS1E细胞

FOX-NY细胞类似产品::A-875细胞、C8161细胞、MLO-Y4细胞

PY8119 Cells(赠送Str鉴定报告)|小鼠乳腺癌细胞

SU-DHL-4细胞类似产品::NCI-522细胞、SW 579细胞、NIHOVCAR3细胞

K7M2细胞类似产品::GM03569D细胞、Pro-Lec1.3C细胞、NCI-H1092细胞

NIH3T3-L1细胞类似产品::KE 37细胞、Hs294细胞、HCC38细胞

Hs1.Tes细胞类似产品::hCMEC/D3细胞、UT7细胞、RPTEC/TERT 1细胞

H-1385细胞类似产品::WIL2 Secreting细胞、H125细胞、Bat lung细胞

MV411细胞类似产品::SCC7细胞、Transformed C3H Mouse Kidney-1细胞、PFSK细胞

F81细胞类似产品::UPCI-SCC-90细胞、Natural Killer-92细胞、BHK21细胞

CCRF-CEM/S细胞类似产品::Panc05.04细胞、PANC0403细胞、MLOY4细胞

SPC-A-1细胞类似产品::CEM.C1细胞、BC-024细胞、751细胞

alpha TC1 clone 6细胞类似产品::Leukemic 1210细胞、COLO-320-HSR细胞、H19-7细胞

MADB-106细胞类似产品::MNNG/HOS Clone F-5细胞、MUTZ-1细胞、Caov-3细胞

TCC Sup细胞类似产品::Hs 695.T细胞、OCI-Ly01细胞、OCILY10细胞

MonoMac 6细胞类似产品::MDA-MB-231-luc细胞、LA795细胞、AMC-HN-8细胞

293S细胞类似产品::CL-34细胞、LC1sq细胞、RBL-2H3细胞

293S细胞类似产品::CL-34细胞、LC1sq细胞、RBL-2H3细胞

IPEC-1细胞类似产品::P3 (Jiyoye)细胞、CCRF/CEM/0细胞、SKNO1细胞

CHO细胞类似产品::MT-2细胞、EVSAT细胞、HECCL-1细胞

FDCP1细胞类似产品::RT4P细胞、CCRF/CEM细胞、COR-L23细胞

KYSE30细胞类似产品::MCF7/WT细胞、Lymph Node Carcinoma of the prostate细胞、HCA7细胞

T_T_细胞类似产品::BN-CL2细胞、NCIH82细胞、LP1细胞

NCI-H1618细胞类似产品::3396细胞、H-1417细胞、SNU-1细胞

NCIH28细胞类似产品::SJRH 30细胞、Tu 177细胞、3 LL细胞

MEC-1细胞类似产品::HPAF-I细胞、HCC-2935细胞、NCI-H889细胞

Panc 05.04细胞类似产品::KMST6细胞、CMEC/D3细胞、NUGC-4细胞

C3H/10T1/2细胞类似产品::JIMT-1细胞、SF763细胞、RTMC细胞

Hs 706.T细胞类似产品::NUGC4细胞、HCC1438细胞、HCC-1599细胞

H-1341细胞类似产品::A1847细胞、MDBK (NBL-1)细胞、D-341Med细胞

TYK-nu细胞类似产品::SEG-1细胞、Mv 1 Lu (NBL-7)细胞、HTSMC细胞

MA 104细胞类似产品::IHHA-1细胞、NCIH1876细胞、NCI-H1568细胞

Hs445细胞类似产品::SK-RC-39细胞、CAL85-1细胞、CEM-C1细胞

SGC996细胞类似产品::HEI-193细胞、HDF-a细胞、SNU-407细胞

BEL7405细胞类似产品::GDM1细胞、MD Anderson-Metastatic Breast-361细胞、CAL33细胞

BALL1细胞类似产品::Wien 133细胞、HEH2细胞、UCLA-SO-M21细胞

SK BR 03细胞类似产品::3T3NIH细胞、KTC1细胞、Hs 739.T细胞

HOMEC细胞类似产品::SK-MES细胞、KYSE-510细胞、BEL 7404细胞

OACP4C细胞类似产品::B-cell Acute Lymphoblastic Leukemia-1细胞、EOC 20细胞、NB-4细胞

293细胞类似产品::NPA87细胞、HT-144细胞、A875细胞

L-Wnt3A细胞类似产品::Hk-2细胞、Hs1.Tes细胞、MUGCHOR1细胞

NK-92 MI细胞类似产品::H2291细胞、GP293细胞、BE(2)M17细胞

TE-12细胞类似产品::SKNBE细胞、U2-OS细胞、SuDHL 1细胞

MCA 205细胞类似产品::SW 1417细胞、Vero-E6细胞、SCL1细胞

HFT8810细胞类似产品::MV 3细胞、Bac12F5细胞、CCD1095Sk细胞

AN3-CA细胞类似产品::UCLA-SO-M20细胞、GM16136细胞、SNK-1细胞

P3HR-1细胞类似产品::CA-OV-3细胞、REC 1细胞、KMS11细胞

EU-4细胞类似产品::FUOV1细胞、ZYM-DIEC02细胞、HEK-293F细胞

SACCLM细胞类似产品::HEK 293细胞、HCT/Taxo1细胞、Det. 562细胞

7860细胞类似产品::HPAF II细胞、IMR90细胞、RS411细胞

WI-38细胞类似产品::RD细胞、LMTK-细胞、OCI-AML3细胞

NCIH441细胞类似产品::ASH-3细胞、HA细胞、A-204细胞

Hs934T细胞类似产品::Kit-225-K6细胞、hRPTC细胞、HEK293F细胞

RCM-1 [Human rectum adenocarcinoma]细胞类似产品::HPDE细胞、TOV-21G细胞、H-2107细胞

T/G HA-VSMC细胞类似产品::OVCAR-433细胞、PLC/PRF5细胞、NCI-H1563细胞

Hs688(A)T细胞类似产品::WM266-4细胞、mousepodocyte细胞、HTR8/SVneo细胞

PNT1/A细胞类似产品::HCC-1599细胞、Hs729T细胞、NRK-49F细胞

HEp-2细胞类似产品::Jurkat-E6细胞、HCC38细胞、beta TC6细胞

SPC-A-1细胞类似产品::CEM.C1细胞、BC-024细胞、751细胞

MES-13细胞类似产品::OSK-1细胞、CTLL(2)细胞、Calu3细胞

VMCUB1细胞类似产品::H-508细胞、CEMC1细胞、PANC0403细胞

JEG3细胞类似产品::L428细胞、CCRF-CEM C1细胞、HuO9细胞

HBL 100细胞类似产品::RKOE6细胞、HCT 8细胞、ZR751细胞

NIHOVCAR3细胞类似产品::FL62891细胞、H2052细胞、MC-116细胞

TFH细胞类似产品::RAW 264.7细胞、NU-GC-2细胞、OCILY-10细胞

CCRF/CEM-C7细胞类似产品::SLMT-1细胞、COLO206细胞、SCCVII/St细胞

ECC 12细胞类似产品::GC-2细胞、J774细胞、3T3 J2细胞

Sci-1细胞类似产品::Anip-973细胞、EC-9706细胞、ECC 10细胞

C17细胞类似产品::MDA-453细胞、SK-MEL-31细胞、Tn5B1-4细胞

MCF/Adr细胞类似产品::BE(2)M-17细胞、BEL-7404细胞、CCC-ESF-1细胞

H-292细胞类似产品::WEHI164细胞、PC3M细胞、NCI-H-128细胞

MIO-M1细胞类似产品::PL12细胞、OCI/AML2细胞、ZR7530细胞

COLO-1细胞类似产品::Hs 766T细胞、OACP4 C细胞、Hs-675-T细胞

Tu 212细胞类似产品::H-187细胞、769P细胞、ssMCF7细胞

H-1522细胞类似产品::KNS-42细胞、CAL-78细胞、Hs 766.T细胞

PC-10细胞类似产品::NCI-HUT-69细胞、NCIH2591细胞、P3X63NS1细胞

VP 229细胞类似产品::COLO-680N细胞、BTI-Tn-5B1-4细胞、UM-UC3细胞

Pt K2 (NBL-5)细胞类似产品::NP69SV40T细胞、Cor L88细胞、NCIH1650细胞

HepG2/C3A细胞类似产品::SUM-102PT细胞、HUCCT1细胞、LS411细胞

WM451Lu细胞类似产品::HS 1.Tes细胞、U-138 MG细胞、NK10a细胞

KP 4细胞类似产品::Saos2细胞、D341Med细胞、CCD 19Lu细胞

H-2196细胞类似产品::HTori 3细胞、PANC3.27细胞、C1R细胞

OSKM-1细胞类似产品::CMEC/D3细胞、Hs 839.T细胞、CCD-841-CoTr细胞

alphaTC clone 6细胞类似产品::L细胞、PK(15)细胞、Hs 683.T细胞

HEL-299细胞类似产品::EoL-1细胞、TE3A细胞、NCIH810细胞

MC 116细胞类似产品::GM06141细胞、KFB细胞、MH-S细胞

ARO 81-1细胞类似产品::FHCRC-11细胞、MV-3细胞、CNE-2Z细胞

RA.1细胞类似产品::TT细胞、H-1092细胞、COLO 680N细胞

YD-38细胞类似产品::H64细胞、293-FT细胞、MS 751细胞

HIT T15细胞类似产品::SuDHL 8细胞、DH82细胞、TCMK-1细胞

HGSMC细胞类似产品::TE12细胞、RC92A细胞、NCI H82细胞

TE13细胞类似产品::H1944细胞、GM05372细胞、CT26.CL25细胞

NHEK细胞类似产品::MDA 435细胞、526 mel细胞、OCI-Ly 18细胞

HCC1395细胞类似产品::COLO-829细胞、3T6细胞、Human Fetal Thymocyte-8810细胞

H 9细胞类似产品::Tadarida brasiliensis 1 lung细胞、BE(2)C细胞、P3/NS1/1-Ag4.1细胞

DBTRG-05MG细胞类似产品::EBTr细胞、HB611细胞、NCI-SNU-216细胞

NE-1细胞类似产品::159 PT细胞、MGC803细胞、HSC-6细胞

SUD4细胞类似产品::HNTEC细胞、T HEECs细胞、Hs688(A)T细胞

PNT1-a细胞类似产品::DHL4细胞、GC-1细胞、MSTO-211细胞

NCI-H1672细胞类似产品::BL2141细胞、Turbot Embryonic Cell line细胞、OVCA432_Bast细胞

293EBNA细胞类似产品::GM-3573细胞、A375-MEL细胞、Hs-281-T细胞

NBL-1细胞类似产品::LC-1 sq细胞、Highly Aggressively Proliferating Immortalized细胞、KU19-19细胞

JJN3细胞类似产品::DrG细胞、SK-RC 39细胞、MiaPaca.2细胞

HBE 135-E6E7细胞类似产品::SaOS细胞、HPAEpiC细胞、Clone 929细胞

293 Ad5细胞类似产品::MO59J细胞、639V细胞、NCIADR.RES细胞

Eph4 1424细胞类似产品::HDMEC细胞、RBMVEC细胞、LC-2-Ad细胞

SKRC-52细胞类似产品::VA-ES-BJ细胞、WM115mel细胞、Sp2/O-Ag14细胞

MA-c细胞类似产品::H69/P细胞、SNU-119细胞、KYSE 510细胞

JHH-7细胞类似产品::GM03671细胞、NCI-H1954细胞、RMS1598细胞

GM12878细胞类似产品::Earle's L cells细胞、Glioma-261细胞、SNK6细胞

SCL-2细胞类似产品::BNCL-2细胞、LNCaP subline C4-2细胞、PIG3细胞

HEK293FT细胞类似产品::U-87-MG细胞、251MG细胞、B16F10细胞

NRK细胞类似产品::DC2.4细胞、Sp2/O-Ag14细胞、NCTC-3960细胞

MCA 38细胞类似产品::MeSoTheliOma-211H细胞、NSI/1-Ag4-1细胞、GC-1spg细胞

293-FT细胞类似产品::P3-NS1/1Ag 4.1细胞、H-2066细胞、LADMAC细胞

OSC-19细胞类似产品::BE2_C细胞、MDA 1386细胞、CL 1-0细胞

SNU-16细胞类似产品::2E8细胞、JurkatE6-1细胞、X63-Ag8.653细胞

COLO679细胞类似产品::EPC细胞、Hs-940细胞、SCH细胞

HEK 293 EBNA细胞类似产品::Rca-B细胞、Hs 683.T细胞、CHL-CL-11细胞

Hep G2细胞类似产品::SKLU1细胞、NCI-H187细胞、C8166-CD4细胞

Fetal Human Colon细胞类似产品::GM04154细胞、PBMC细胞、SR786细胞

SKUT-1细胞类似产品::H-498细胞、Kit225细胞、Ra #1细胞

PY8119 Cells(赠送Str鉴定报告)|小鼠乳腺癌细胞

Sf21细胞类似产品::U-251_MG细胞、NHRF细胞、HT-3细胞

Lilly Laboratories Cell-Porcine Kidney 1细胞类似产品::LIM 1215细胞、HMC-1细胞、HuH28细胞

JKT1细胞类似产品::Hi-5细胞、PC3M-1E8细胞、CAL 120细胞

NCIH2085细胞类似产品::Hs840T细胞、Mino细胞、IEC6细胞

H-1341细胞类似产品::A1847细胞、MDBK (NBL-1)细胞、D-341Med细胞

BC-021细胞类似产品::Highly Aggressively Proliferating Immortalized细胞、BRL细胞、MDA-MB 453细胞

M210B4细胞类似产品::BT-20细胞、NCIH358细胞、H-920细胞

J774 A.1细胞类似产品::SNU-1040细胞、F-81细胞、MCA205细胞

A549-Taxol细胞类似产品::MLM细胞、KYSE410细胞、LNCaP-Clone-FGC细胞

786-O细胞类似产品::P-19细胞、Y3M细胞、KU812-F细胞

H-1651细胞类似产品::A431/P细胞、SC1细胞、LTEP-sm细胞

SK-N-BE2C细胞类似产品::MDA-MB468细胞、TE 32.T细胞、OVCAR-432细胞

SW620细胞类似产品::Granta 519细胞、MD Anderson-Metastatic Breast-436细胞、Vero-76细胞

B16/F1细胞类似产品::H345细胞、HEK293E细胞、NCIH1648细胞

CMT64细胞类似产品::LN382细胞、Ramos(RA1)细胞、LMH细胞

PIG1细胞类似产品::L78细胞、FTC133细胞、SKMEL24细胞

HFT-8810细胞类似产品::NCI-H1155细胞、TJ905细胞、Capan2细胞

ESC-410细胞类似产品::HOS-143B细胞、FOXNY细胞、HANK-1细胞

P3J-HR-1细胞类似产品::HFF1细胞、HIEC6细胞、MCF7-GFP细胞

H125细胞类似产品::MOLM16细胞、LLC-WRC 256细胞、RPPVEC细胞

NCIH2171细胞类似产品::CAL-148细胞、NCI-H2073细胞、LICR-LON-HN6细胞

BN-CL2细胞类似产品::SW-1271细胞、OCI/AML-4细胞、Calu-3细胞

NCI-HUT-520细胞类似产品::P3J HR-1细胞、RS(4;11)细胞、MF2059细胞

HME-1细胞类似产品::ACT-1细胞、GM02219C细胞、MIHA细胞

MBVP细胞类似产品::COLO-16细胞、Human Corneal Endothelial Cells-12细胞、SK-N-DZ细胞

SK N SH细胞类似产品::MDCC MSB1细胞、Hopkins-92细胞、H-1341细胞

K7M2 wt细胞类似产品::Caov-4细胞、J-774A.1细胞、Jeko1细胞

A 2058细胞类似产品::SK-N-BE2C细胞、G-292, clone A141B1细胞、LS 174 T细胞

WM115F细胞类似产品::WIL2S细胞、B/C3T3细胞、CHP-212细胞

HepaRG细胞类似产品::Sp2/O细胞、PE/CA-PJ-34细胞、Hs742T细胞

B16-BL6细胞类似产品::C6661细胞、Clone 15 HL-60细胞、CII细胞

Det. 562细胞类似产品::EVSA/T细胞、WEHI164细胞、F81细胞

"



PY8119 Cells(赠送Str鉴定;

公司简介

上海冠导生物工程有限公司,先后从ATCC、DSMZ、ECACC、RIKEN、PromoCell、ScienCell、JCRB等国内外细胞库引进细胞2000余株。以此为契机,公司组建了冠导细胞库,我司细胞均由资深细胞培养工程师进行培养。我司可以提供的细胞有:①细胞系②原代细胞③稳转株④耐药株⑤标记细胞⑥细胞配套试剂等。

成立日期 (11年)
注册资本 100万(元)
员工人数 50-100人
年营业额 ¥ 1000万-5000万
经营模式 工厂,试剂,定制,服务
主营行业 细胞培养,微生物学,细胞生物学

PY8119 Cells(赠送Str鉴定报告)|小鼠乳腺癌细胞相关厂家报价

内容声明
拨打电话 立即询价