基本信息 产品详情 公司简介 推荐产品
网站主页 化工产品目录 生物 细胞培养 细胞系 小鼠细胞系 MC57G CELLS|小鼠纤维肉瘤贴壁细胞 MC57G Cells(赠送Str鉴定报告)|小鼠纤维肉瘤细胞
  • MC57G Cells(赠送Str鉴定报告)|小鼠纤维肉瘤细胞

MC57G Cells(赠送Str鉴定报告)|小鼠纤维肉瘤细胞

MC57G Cells
询价 1000000细胞数 起订
2000000细胞数 起订
上海 更新日期:2026-04-10

上海冠导生物工程有限公司

VIP6年
联系人:全经理
电话:18818239863拨打
邮箱:3171921642@qq.com

产品详情:

中文名称:
MC57G Cells(赠送Str鉴定报告)|小鼠纤维肉瘤细胞
英文名称:
MC57G Cells
保存条件:
常温培养或液氮冻存
纯度规格:
MC57G Cells(赠送Str鉴定报告)|小鼠纤维肉瘤细胞
产品类别:
生物试剂

"MC57G Cells(赠送Str鉴定报告)|小鼠纤维肉瘤细胞

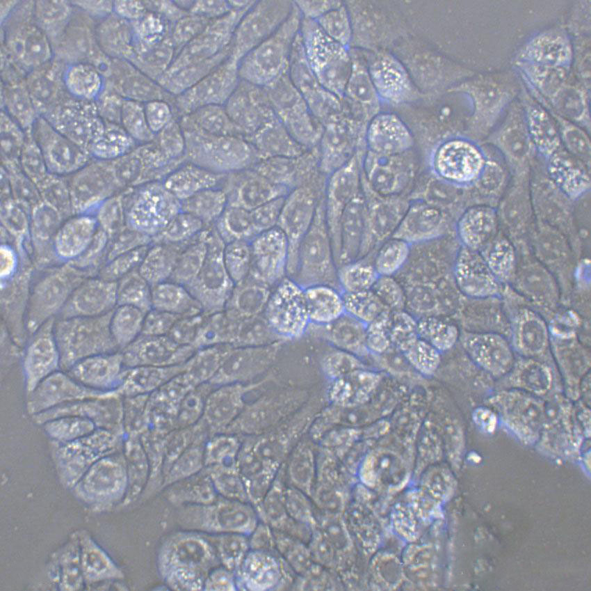
细胞背景资料:纤维肉瘤;C57BL/6J

细胞形态:上皮细胞样

传代培养及其操作步骤:原代细胞培养成功以后,需要进行分离培养,否则细胞会因生存空间不足或密度过大,营养障碍,影响细胞生长。细胞由原培养瓶内分离稀释后传到新的培养瓶中培养的过程称之为传代培养。传代细胞允许培养的细胞扩增(形成细胞株),可以进行细胞克隆,易于保存,但可能丧失一些殊的细胞和分化征。传代细胞形成细胞株的Zui大利处在于提供了大量持久的实验材料,便于实验。【操作步骤】1)吸掉或倒掉培养瓶内旧培养液;2)向瓶内加入胰蛋白酶液和EDTA混合液少量。以能覆盖培养瓶底为宜;3)置37℃孵箱或室温(25℃温度)下进行消化,2~5min后把培养瓶放在倒置显微镜下进行观察,当发现胞质回缩、细胞间隙增大后,应立即中止消化;4)吸出消化液,向瓶内加入Hanks液少量,轻轻转动培养瓶,把残留消化液冲掉,然后再加培养液。如果仅使用胰蛋白酶消化,在吸除胰蛋白液后,可直接加入少量含血清的培养液,终止消化;5)使用弯头吸管,吸取瓶内培养液,按顺序反复轻轻吹打瓶壁细胞,使之从瓶壁脱离形成细胞悬液。吹打时动作要轻柔,以防用力过猛损伤细胞;6)用计数板计数后,分别接种于新的培养瓶中,置CO2培养箱中进行培养;7)细胞培养换液时间应根据细胞生长的状态和实验要求来确定。一般2~3d后应换一次生长液。待细胞铺满器皿底面,即可使用;也可继续传代扩大培养或换成维持液。【注意事项】1)掌握HAO细胞消化的时间,消化时间过短时,细胞不宜从瓶壁脱落,过长的消化会导致细胞脱落、损伤;2)掌握HAO消化浓度,当消化液浓度过GAO时,消化时间应缩短,过低时细胞消化时间相对延长。

细胞生长:贴壁

RH8994细胞类似产品::SVGp12细胞、Opossum Kidney细胞、NCI-H3255细胞

OKT3细胞类似产品::TNC-1B12B4细胞、Experimental Mammary Tumour-6细胞、343 MG细胞

OCI-AML-4细胞类似产品::SK-N-DZ细胞、MC9细胞、SW 837细胞

GM-3573细胞类似产品::CCD18细胞、COLO-394细胞、CCRF-CEM C7细胞

B-104细胞类似产品::COLO-320DM细胞、SaOS细胞、RMS 13细胞

MC57G Cells(赠送Str鉴定报告)|小鼠纤维肉瘤细胞

细胞物种来源:人源或鼠源等其它物种来源

[细胞产品包装]鲜活细胞:T25培养瓶(一瓶)或冻存细胞:1ml冻存管(两支)

传代的操作步骤注意事项:1)操作前要洗手,进入超净台后手要用75%酒精或0.2%新洁尔灭擦试。试剂等瓶口也要擦试。2)点燃酒精灯,操作在火焰附近进行,耐热物品要经常在火焰上烧灼,金属器械烧灼时间不能太长,以免退火,并冷却后才能夹取组织,吸取过营养液的用具不能再烧灼,以免烧焦形成碳膜。3)操作动作要准确敏捷,但又不能太快,以防空气流动,增加污染机会。4)不能用手触已消毒器皿的工作部分,工作台面上用品要布局合理。5)瓶子开口后要尽量保持45℃斜位。6)吸溶液的吸管等不能混用。贴壁细胞传代的操作步骤:1)吸除培养瓶内旧培养液。2)向瓶内加入胰蛋白酶和EDTA混合液少许,以能覆满瓶底为限。3)置温箱中2-5分钟,当发现细胞质回缩,细胞间隙增大后,立即终止消化。4)吸除消化液,向瓶内注入Hanks液数毫升,轻轻转动培养瓶,把残余消化液冲掉。注意加Hanks液冲洗细胞时,动作要轻,以免把已松动的细胞冲掉流失,如用胰蛋白酶液单独消化,吸除胰蛋白酶液后,可不用Hanks液冲洗,直接加入培养液。5)用吸管吸取营养液轻轻反复吹打瓶壁细胞,使之从瓶壁脱离形成细胞悬液。6)计数板计数后,把细胞悬液分成等份分装入数个培养瓶中,置温箱中培养。悬浮细胞传代的操作步骤:1)吸出细胞培养液,放入离心管中,离心1000rpm5分钟。2)吸掉上清液,加入适量之新鲜培养基,混和均匀后,依稀释比例转移至新的培养瓶中,以正常培养条件培养。

细胞传代方法:1:2-1:3传代;每周换液2-3次。

PANC0327细胞类似产品::3T3 L1细胞、EU-2细胞、Granta-519细胞

HEK 293-EBNA细胞类似产品::HIT clone T15细胞、NCIH211细胞、SUM-52-PE细胞

C2C12细胞类似产品::OC 316细胞、COLO-HSR细胞、RPE D407细胞

MC3T3-E1(C4)细胞类似产品::FHCRC subclone 11细胞、PC 61.5.3细胞、P388D1细胞

IPEC-J2细胞类似产品::NT2细胞、Det. 562细胞、ACC-M细胞

细胞来源说明:来源于RCB、ATCC、KCLB、DSMZ、ECACC、INCell、ScienCell、ECACC、JCRB、Asterand、ICLC等知名细胞库

MC57G Cells(赠送Str鉴定报告)|小鼠纤维肉瘤细胞

细胞生长特性:贴壁

VeroC1008细胞类似产品::Bronchial Epithelium transformed with Ad12-SV40 2B细胞、CEMO-1细胞、EST81细胞

OKT 3细胞类似产品::SNU-638细胞、ROS17/2.8细胞、SK-N-BE(2)-M17细胞

DV-90细胞类似产品::Eca-109细胞、Wayne State University-Head and Neck 13细胞、Duck embryo细胞

PK 15细胞类似产品::MDCC-MSB1细胞、HCC95细胞、Panc 3.27细胞

IGROV 1细胞类似产品::HDF-a细胞、NCI-Hut 125细胞、OLN-93细胞

AAV-293细胞类似产品::P19细胞、A1847细胞、HECV细胞

如何进行细胞复苏:1)从液氮容器中取出冻存管,直接浸入37℃温水中,并不时摇动令其尽快融化;2)从37℃水浴中取出冻存管,打开盖子,用吸管吸出细胞悬液,加到离心管并滴加10倍以上培养液,混匀;3)离心,1000rpm,5min;4)弃去上清液,加入含10%小牛血清培养液重悬细胞,计数,调整细胞密度,接种培养瓶,37℃培养箱静置培养;5)次日更换一次培养液,继续培养。【温馨提醒】1)从增殖期到形成致密的单层细胞以前的培养细胞都可以用于冻存,但ZuiHAO为对数生长期细胞。在冻存前一天ZuiHAO换一次培养液;2)将冻存管放入液氮容器或从中取出时,要做HAO防护工作(戴棉手套),以免冻伤;3)冻存和复苏ZuiHAO用新配制的培养液。细胞复苏的时候,有些初次实验员将冻存管从液氮中取出后,放在室温下,经常发生冻存管爆炸,该怎么避免出现这种情况吗?其中在拧紧冻存管的时候是否有哪些细节要注意的?一般常用的方法是取出冻存管后在超净工作台中用酒精棉球擦试管口,再稍拧松盖子,再放37度水浴锅中摇溶,在将细胞转移到装有37度预热过的培养基的试管中,迅速离心,再用培养基洗一遍。

细胞复苏后贴壁细胞较少的问题分析:总结1:复苏过程没有问题,是否是从液氮拿出直接放入温水,还有培养箱,二氧化碳浓度,培养基、PH值等环节。要么加GAO浓度FBS 15-20%,看看能否帮助贴壁,当然也需要考虑血清问题,还有确信拿来的细胞没问题。总结2:首先应该怀疑冻存,实际上复苏出问题的可能非常小,因为操作简单,而且死板。1、你冻存的时候是不是消化的时间过长,这是一般人所注意不到的,即使书上也不讲这个问题,太长的消化时间会让细胞复苏时失去贴壁能力,表现为先贴后死,原因是在你复苏的时候细胞已进入凋亡程序,不可逆转的死亡。2、你的冻存液HAO不HAO,是什么,甘油还是DMSO,质量非常重要,否则也会死亡。3、你的冻存液的量加的是不是太多,ATCC推荐是不超过7%,大于5%,太多也不HAO。4、你在冻存的时候是不是把DMSO混均匀,这个有一些影响,但不算太大。5、你的冻存是否按部就班,就是所温度梯度是不是把握严格,很多人容易忘却这个事情,因为这个东西流程长。6、如果你细胞污染,你是否能很快看到,我比我的导师能早一天看到污染。从这个角度讲建议去除离心这步。7、你的细胞在冻存前是否过密。还有,不赞成孵箱污染这个概念的,所有在一个孵箱里的细胞都污染一个细菌的话,这个细菌是源于孵箱的,但这不代表孵箱污染,因为孵箱无论你如何处理都有大量的细菌,问题在操作。每次污染的原因都要尽可能的找,以后就不犯同样的问题,这个很重要,不能靠猜,否则你就有可能细胞养绝Zui后换课题,这个见得太多了,别不当会事。

KU812-F细胞类似产品::639V细胞、B35细胞、Pro-5 Lec1.3c细胞

TALL-1 [Human adult T-ALL]细胞类似产品::NCI-1155细胞、H-2052细胞、Panc05.04细胞

MAVER1细胞类似产品::SNU-761细胞、HuNS1细胞、FF-WT-BJ细胞

ST细胞类似产品::HGF-1细胞、THPI细胞、RGM-1细胞

CAL-85-1细胞类似产品::SW837细胞、WIL2 Secreting细胞、NCI-H1688细胞

CDC/EU.HMEC-1细胞类似产品::NCIH2227细胞、SKN-SH细胞、NCI-H209细胞

KP-2细胞类似产品::NBL-S细胞、Colo-206F细胞、NCI-SNU-16细胞

COLO-320-HSR细胞类似产品::OVCA 433细胞、TERT-RPE1细胞、RPTEC/TERT1细胞

D407细胞类似产品::NIH:OVCAR-3细胞、IB-RS-2细胞、Panc5.04细胞

EoL-1 cell细胞类似产品::Hs746-T细胞、NGP细胞、143BTK-细胞

PLA801D细胞类似产品::P388-D1细胞、LU-65M细胞、LTEP-a-2细胞

C3H10T1-2细胞类似产品::V79-1细胞、BT 325细胞、Stanford University-Diffuse Histiocytic Lymphoma-5细胞

H1693细胞类似产品::PC-14细胞、QGY7703细胞、NE1-E6E7细胞

Hep II细胞类似产品::NCIH1581细胞、Anglne细胞、MHCCLM3细胞

H-1672细胞类似产品::PC3M细胞、Calu-3细胞、SK MEL 28细胞

RPMI.8226细胞类似产品::NCIH250细胞、KYSE 50细胞、KMB 17细胞

RPMI.8226细胞类似产品::NCIH250细胞、KYSE 50细胞、KMB 17细胞

NCI-446细胞类似产品::RM1细胞、H1522细胞、Intestinal Porcine Epithelial Cell line-1细胞

HME1细胞类似产品::MC 116细胞、LNCaP clone FGC细胞、NCIH1666细胞

HIT T15细胞类似产品::SuDHL 8细胞、DH82细胞、TCMK-1细胞

MES-SA细胞类似产品::MCF-12A细胞、SUNE 1细胞、6-10B细胞

BC-3H-1细胞类似产品::H766T细胞、BALB/3T3 (clone A31)细胞、MCA 205细胞

RGB细胞类似产品::RL细胞、LTEP a2细胞、SK-MES细胞

HR-1细胞类似产品::HEK293F细胞、Walker-256-TC细胞、SNU638细胞

C57/B6-L细胞类似产品::Hs611T细胞、CCD-112CoN细胞、P3 88 D1细胞

SW-403细胞类似产品::TF-1a细胞、HSC5细胞、Lewis-Lung细胞

Tokyo Medical and Dental university 8细胞类似产品::CEK细胞、HB 611细胞、FLC-7细胞

MM1.S细胞类似产品::TKB1细胞、LM8细胞、V-79细胞

CAL148细胞类似产品::Hs895T细胞、QG-56细胞、SKOV-433细胞

SK-MEL5细胞类似产品::HemECs细胞、HUT-28细胞、SW 403细胞

C-26细胞类似产品::NCI-SNU-878细胞、NS-1-Ag4-1细胞、J-774A.1细胞

Nb2a细胞类似产品::CEM clone 7细胞、PIGI细胞、Kato-III细胞

Vero E-6细胞类似产品::OCI-AML4细胞、T84细胞、Walker/LLC-WRC 256细胞

OCM1细胞类似产品::CTV-1细胞、hTERTHME1细胞、CL-11细胞

NL-20细胞类似产品::RERF-LC-MS细胞、9L细胞、Hs832.Tc细胞

U20-S细胞类似产品::MCF-12F细胞、OPM-2细胞、HuT-102细胞

Ball 1细胞类似产品::KM-H2细胞、HMEC1细胞、GM03569B细胞

HN-6细胞类似产品::ANA-1细胞、MDA-MB 453细胞、OSA细胞

MGHU1细胞类似产品::WM2664细胞、MDA-MB-415细胞、RC-K8细胞

Okayama University Medical School-27细胞类似产品::EHEB细胞、HT 1080.T细胞、2008细胞

Hs940T细胞类似产品::A549/ATCC细胞、OCI AML5细胞、SGC-996细胞

MC57G Cells(赠送Str鉴定报告)|小鼠纤维肉瘤细胞

DMS-53细胞类似产品::HPDEC细胞、Hs 695.T细胞、HL-7702细胞

SW 620细胞类似产品::H-650细胞、SKMEL2细胞、Hs695细胞

X63-AG 8.653细胞类似产品::LAN-5细胞、OVCAR433细胞、H-157细胞

MuM-2C细胞类似产品::Hs688(A)T细胞、Calu6细胞、OV2008细胞

C22细胞类似产品::OVCAR 420细胞、Ca759细胞、NCIH1417细胞

C22细胞类似产品::OVCAR 420细胞、Ca759细胞、NCIH1417细胞

HEP3B2细胞类似产品::Hos TE-85细胞、H647细胞、HMSC细胞

BHT101细胞类似产品::NBL-7细胞、MB231细胞、UMUC-3细胞

McG-1细胞类似产品::Y3.AG.1.2.3细胞、HPDEC细胞、ECV-304细胞

High-5细胞类似产品::NCIH446细胞、CL-40细胞、HCC-1359细胞

JM-Jurkat细胞类似产品::PFSK-1细胞、TE85细胞、Hs274T细胞

H-2108细胞类似产品::HEK;293细胞、KM932细胞、HS578细胞

GDM-1细胞类似产品::MCF7-GFP细胞、B16 melanoma F10细胞、UWB1289细胞

H220细胞类似产品::H-676细胞、L cells细胞、EL 4细胞

H220细胞类似产品::H-676细胞、L cells细胞、EL 4细胞

MSB1细胞类似产品::LIPF178C细胞、HGC-27细胞、KPL1细胞

NCI-H735细胞类似产品::OVCA433细胞、MES-SA Dx5细胞、OsACL细胞

Hs888 Lu细胞类似产品::NE-4C细胞、NTERA-2 cl.D1细胞、Ca9-22细胞

NCI-H1770细胞类似产品::SKGIIIA细胞、HuH28细胞、TK.10细胞

KY70细胞类似产品::MC3T3-E1 Subclone 4细胞、SNU398细胞、Malme-3M细胞

B16/F10细胞类似产品::Panc_05_04细胞、CAL 39细胞、HCC366细胞

CAL-27细胞类似产品::CAL-51细胞、My-La 2059细胞、NCI-747细胞

Mouse podocyte细胞类似产品::PANC 813细胞、MEC-1细胞、L5178Y-R细胞

T98细胞类似产品::SUPB-15细胞、CF PAC-1细胞、MV-4-11细胞

Tn5B1-4细胞类似产品::PC-2 [Human pancreatic carcinoma]细胞、B16/F10细胞、RCC10RGB细胞

JOSK-M细胞类似产品::SKNO-1细胞、Colo699细胞、HcaF细胞

TH1细胞类似产品::A9(Hamprecht)细胞、Large Cell Lung Cancer-103H细胞、SC1细胞

HCC1428细胞类似产品::P-388细胞、CTLL-2细胞、NR8383.1细胞

3T3F442A细胞类似产品::Microbiological Associates-104细胞、JB-6 Cl 30细胞、NWA细胞

Renal Carcinoma细胞类似产品::LNCaP subline C4-2细胞、H9c2细胞、Hs 888.T细胞

KYSE-450细胞类似产品::MHHCALL2细胞、LA-N-1细胞、SW480细胞

SUDHL1细胞类似产品::GC-1 spg细胞、ZR7530细胞、Huh 7.5.1细胞

BNL.1ME A.7R.1细胞类似产品::NCI-H740细胞、NCI-SNU-C1细胞、3T3-Swiss albino细胞

WERI-Rb1细胞类似产品::GCT细胞、Human Intestinal Epithelial Cell-6细胞、CAOV3细胞

Hs746T细胞类似产品::CEMC1细胞、TE-6细胞、U-87细胞

Hs746T细胞类似产品::CEMC1细胞、TE-6细胞、U-87细胞

CT 26细胞类似产品::NCI/ADR-RES细胞、CMT 64细胞、GM-346细胞

LCLC-103H细胞类似产品::Mouse Forestomach Carcinoma细胞、RPMI 7666细胞、PA-TU-8988S细胞

MUGCHOR1细胞类似产品::no.11细胞、HCCC-9810细胞、WIL2S细胞

Hs 683.T细胞类似产品::TPC1细胞、RPTC细胞、HS5细胞

293AD细胞类似产品::AHH-1细胞、GC-1spg细胞、UCLA-SO-14细胞

SW.620细胞类似产品::GM-215细胞、MCCAR细胞、SK-NMC细胞

SW-579细胞类似产品::OCI/AML3细胞、M-G63细胞、MAVER细胞

NP69细胞类似产品::H-2023细胞、LM(TK-)细胞、NCI-H1573细胞

HEK 293FT细胞类似产品::CBRH7919细胞、HBE细胞、IAR 20细胞

HCGC细胞类似产品::BC3H-1细胞、PG-BE1细胞、OCUM-1细胞

LS1034细胞类似产品::NRK-52E细胞、NCL-H548细胞、SK-N-F1细胞

32D:cl3细胞类似产品::Farage OL细胞、LS174细胞、HepG2/C3A细胞

SACCLM细胞类似产品::HEK 293细胞、HCT/Taxo1细胞、Det. 562细胞

T9细胞类似产品::PLA801D细胞、CWR22-R1细胞、NCIH250细胞

OCI-Ly 1细胞类似产品::TE8细胞、RGCs细胞、A549 ATCC细胞

MDA-MB-436细胞类似产品::CCRF/CEM/0细胞、MRASMC细胞、SCC090细胞

HuPT4细胞类似产品::MC-38细胞、Loucy细胞、SJSA1细胞

H2081细胞类似产品::hFOB细胞、NCI-H2171细胞、CP70细胞

H2081细胞类似产品::hFOB细胞、NCI-H2171细胞、CP70细胞

Normal fibroblast-10细胞类似产品::58F细胞、PNT1A细胞、JVM-2细胞

IB-RS-2细胞类似产品::CNE细胞、RIMEC细胞、MDA-MB-435-S细胞

L540细胞类似产品::MES-SA/Dx5细胞、P31 FUJ细胞、RS(4;11)细胞

Hs294细胞类似产品::HIT细胞、COLO 201细胞、MDA-MB435细胞

Shadyside Hospital Pittsburgh-77细胞类似产品::H9c2 (2-1)细胞、R1800[RA]细胞、M059K细胞

HANK-1细胞类似产品::HPAF-II/CD18细胞、Hs274T细胞、NCI-H1618细胞

HNE-3细胞类似产品::SK ES 01细胞、SK 1细胞、HOS-MNNG细胞

PC3-M细胞类似产品::Hs 611.T细胞、H-647细胞、HO-8910细胞

HepaRG细胞类似产品::Sp2/O细胞、HRVEC细胞、HEMCSS细胞

HS 445T细胞类似产品::MDA.MB.435细胞、PK15细胞、L-cells细胞

AR41P细胞类似产品::SW527细胞、P3/X63/Ag8.653细胞、EC-GI-10细胞

WI-38细胞类似产品::RD细胞、LMTK-细胞、OCI-AML3细胞

RM-1细胞类似产品::ChaGo K-1细胞、HOP-92细胞、159PT细胞

NCIH1355细胞类似产品::HMSC细胞、D341细胞、T. T细胞

H-1648细胞类似产品::OVCAR-3细胞、MLMEC细胞、CPA47细胞

mRTEC细胞类似产品::MOLM-14细胞、MES13细胞、LL2细胞

G361-mel细胞类似产品::KBM-5细胞、TK-1细胞、REC 1细胞

P-815细胞类似产品::P3-X63-Ag8细胞、Human fetal lung fibroblast 1细胞、Panc-327细胞

SW 1271细胞类似产品::J774 A1细胞、T-T细胞、COLO-699细胞

SCC154细胞类似产品::Plaepi 34细胞、VM-CUB1细胞、BHT101细胞

HSCT6细胞类似产品::LSECs细胞、BI-Mel细胞、SVGp12细胞

CF-PAC1细胞类似产品::NCIH2452细胞、P30/Ohkubo细胞、NCC-IT细胞

OCI/AML-3细胞类似产品::MDST8细胞、293FT细胞、He La细胞

ATN-1细胞类似产品::Kit 225细胞、EMT-6细胞、H1915细胞

Hs27细胞类似产品::K299细胞、OS-732细胞、HCC-44细胞

Mesothelial cells transfected with pRSV-T 5A细胞类似产品::H128细胞、HASMC细胞、NCI-H1299细胞

MSCs(mUCMSCs)细胞类似产品::NCIH64细胞、NIH:OVCAR4细胞、MD Anderson-Metastatic Breast-231细胞

HCC38细胞类似产品::NCI-H2171细胞、Hs 766.T细胞、MGC803细胞

Homo sapiens No. 578, tumor cells细胞类似产品::HS852.T细胞、NCI-H146细胞、Giant Cell Tumor细胞

NBL-4细胞类似产品::UMRC-2细胞、Simpson细胞、NCI-H498细胞

PL-5细胞类似产品::CCRF-CEM细胞、UACC-893细胞、NTera2 cl.D1细胞

Hs 578.Bst细胞类似产品::H-2107细胞、MPC-5细胞、HL-60细胞

OVCAR5细胞类似产品::SK-NSH细胞、C3H10T1/2 clone8细胞、H524细胞

HMC-1细胞类似产品::ML-2细胞、NCI-H711细胞、H35 Reuber细胞

HD-LM-2细胞类似产品::EOC 20细胞、GM04679细胞、FU-MMT-1细胞

OVCA-433细胞类似产品::HOS细胞、NCC-IT细胞、Bowes melanoma cells细胞

NB-4细胞类似产品::NCI-HUT-125细胞、HCC-1438细胞、HT clone H9细胞

CL1细胞类似产品::BEL 7404细胞、HEL-92细胞、MiaPaCa-2细胞

H441细胞类似产品::HHL5细胞、H748细胞、MNNG/HOS Clone F-5细胞

Ocular Choroidal Melanoma-1细胞类似产品::XuanWei Lung Cancer-05细胞、A375-SM细胞、CHP 212细胞

NCIH2342细胞类似产品::RTMC细胞、ssMCF-7细胞、CAL148细胞

Fetal Bovine Heart Endothelial细胞类似产品::HT22细胞、U 266细胞、PLCPRF5细胞

ECGI10细胞类似产品::CG4细胞、BDCM细胞、C3H/10T1/2 clone 8细胞

52PE细胞类似产品::Panc04.03细胞、BT-20细胞、Instituto Biologico-Rim Suino-2细胞

MILE SVEN1细胞类似产品::3T3-A31细胞、HuH7细胞、IFRS1细胞

Ly3细胞类似产品::NCI-H295R细胞、MDA-MB-330细胞、LLC-WRC 256细胞

Hu-P-T4细胞类似产品::COV362细胞、697细胞、Menschliche Und Tierische Zellkulture-3细胞

H2122细胞类似产品::HTR-8/SV-neo细胞、H2023细胞、RMa-bm细胞

SKRC-20细胞类似产品::NCI-H2342细胞、Line 697细胞、CNE2Z细胞

YES 2细胞类似产品::SNU520细胞、149 PT细胞、aTC1 Clone 6细胞

Vero E-6细胞类似产品::OCI-AML4细胞、C3H10T1/2细胞、Hs 343.T细胞

NCI-H841细胞类似产品::ME-1 [Human leukemia]细胞、Medical Research Council cell strain-5细胞、118 MG细胞

NH-6细胞类似产品::SKNBE-2细胞、HS0578T细胞、SK-MES1细胞

H4-II-E细胞类似产品::Hmy.2 CIR细胞、PANC 203细胞、624细胞

U266 B1细胞类似产品::NCIH727细胞、NHA细胞、H920细胞

SNU869细胞类似产品::Human Corneal Endothelial Cells-12细胞、MNNG/HOS细胞、A2780CP70细胞

HK2细胞类似产品::OCI-Ly 10细胞、2E8细胞、H-4-II-E细胞

266 Bl细胞类似产品::GM03671C细胞、KM-H2细胞、SACC-83细胞

NCI-H2172细胞类似产品::Pt K1细胞、NPC-TW 039细胞、Detroit 562细胞

MV 3细胞类似产品::MDAMB361细胞、UCLA SO M21细胞、Stanford University Pediatric T-cell line 1细胞

PC 61 5.3细胞类似产品::NE1-E6E7细胞、ST2细胞、HT 1197细胞

IOSE-Van细胞类似产品::VM Cub 1细胞、Potorous tridactylus Kidney 1细胞、HMO6细胞

NCIH2135细胞类似产品::MES-SA-Dx5细胞、OE-21细胞、MD Anderson-Metastatic Breast-468细胞

KYSE-140细胞类似产品::MDA-MB-453细胞、PCI-SG231细胞、BV-2细胞

MC57G Cells(赠送Str鉴定报告)|小鼠纤维肉瘤细胞

Bac12F5细胞类似产品::RERF-LCMS细胞、WEHI 164细胞、H-28细胞

C6661细胞类似产品::MOLP-8细胞、THLE-3细胞、NS1细胞

KMM-1细胞类似产品::MCF12F细胞、RPMI 2650细胞、CCRFCEM细胞

MB 157细胞类似产品::UPCI:SCC090细胞、Z-138细胞、Hepatoma 22细胞

HEK 293A细胞类似产品::ESC-410细胞、LC-1/sq细胞、RGC5细胞

CFPAC-1细胞类似产品::TMK1细胞、ACT-1细胞、JeKo-1细胞

SUM102细胞类似产品::CPAE细胞、GS9L细胞、H2.35细胞

H1417细胞类似产品::Jiyoye细胞、GM03671C细胞、GM2131细胞

L-132细胞类似产品::CAL851细胞、EVSA/T细胞、OCI/AML5细胞

SHI-1细胞类似产品::T24(ECV304)细胞、C32r细胞、A 172细胞

NCI-SNU-C2B细胞类似产品::X63-Ag8细胞、SUM 52细胞、GL261细胞

H-226细胞类似产品::RSC96细胞、CAL 62细胞、NCI-H28细胞

KY-50细胞类似产品::CL MC/9细胞、NCI-SNU-407细胞、Hs 606细胞

HIEC6细胞类似产品::JeKo-1细胞、Ramos-RA1细胞、LNCaP FGC细胞

YTMLC-90细胞类似产品::ONS76细胞、CEM.C1细胞、Transformed C3H Mouse Kidney-1细胞

L5178Y-R细胞类似产品::mIMCD3细胞、RT-BM细胞、HK2细胞

SKRC-39细胞类似产品::H1155细胞、SPDC-CCL141细胞、MOLT-3细胞

P3 NS1 Ag4细胞类似产品::Hs 706.T细胞、National Medical Center-Glioma 1细胞、RCC-10细胞

JB6 Cl 30细胞类似产品::MD Anderson-Metastatic Breast-435细胞、HEY-A8细胞、NCIH1184细胞

L02细胞类似产品::NCI-H1651细胞、NCI-H1435细胞、B958细胞

OVCAR.4细胞类似产品::CCRF/CEM细胞、BeWo细胞、MDCC MSB1细胞

B16F1细胞类似产品::870细胞、IPLB-Sf21细胞、BALB/3T3 cl. A31细胞

L 132细胞类似产品::Roswell Park Memorial Institute 8226细胞、MES-13细胞、H1694细胞

HUASMC细胞类似产品::HC11细胞、SKLU01细胞、hTERT-HME1细胞

EFM192细胞类似产品::SUDHL8细胞、Hs 578.Bst细胞、G-292, clone A141B1细胞

M059J细胞类似产品::Reuber-H-35 hepatoma细胞、RPE D407细胞、CFSC-8B细胞

H-740细胞类似产品::UACC 812细胞、H-1436细胞、HNE-2细胞

Hs840_T细胞类似产品::LIXC002细胞、578T细胞、EoL-1 cell细胞

ARIP细胞类似产品::AR4-2J细胞、CNLMG-B5537SKIN细胞、Fetal Human Colon细胞

MDA-MB-453细胞类似产品::H-2444细胞、AMJ2C8细胞、16HBE14o-细胞

MAVER1细胞类似产品::SNU-761细胞、RPMI-2650细胞、Huh-7细胞

DHL10细胞类似产品::MLE12细胞、NCIH1563细胞、SK-LMS-1细胞

"



MC57G Cells(赠送Str鉴定报;

公司简介

上海冠导生物工程有限公司,先后从ATCC、DSMZ、ECACC、RIKEN、PromoCell、ScienCell、JCRB等国内外细胞库引进细胞2000余株。以此为契机,公司组建了冠导细胞库,我司细胞均由资深细胞培养工程师进行培养。我司可以提供的细胞有:①细胞系②原代细胞③稳转株④耐药株⑤标记细胞⑥细胞配套试剂等。

成立日期 (11年)
注册资本 100万(元)
员工人数 50-100人
年营业额 ¥ 1000万-5000万
经营模式 工厂,试剂,定制,服务
主营行业 细胞培养,微生物学,细胞生物学

MC57G Cells(赠送Str鉴定报告)|小鼠纤维肉瘤细胞相关厂家报价

  • Mc57G细胞
  • Mc57G细胞
  • 吉奥蓝图(广东)生命科学技术中心 VIP
  • 2026-04-10
  • 询价
  • Mc57G细胞
  • Mc57G细胞
  • 广州弗尔博生物科技有限公司
  • 2026-01-07
  • 询价
内容声明
拨打电话 立即询价