基本信息 产品详情 公司简介 推荐产品
网站主页 TSCC1 CELLS|人源口腔鳞状贴壁细胞 TSCC1 Cells(赠送Str鉴定报告)|人源口腔鳞状细胞
  • TSCC1 Cells(赠送Str鉴定报告)|人源口腔鳞状细胞

TSCC1 Cells(赠送Str鉴定报告)|人源口腔鳞状细胞

TSCC1 Cells
询价 1000000细胞数 起订
2000000细胞数 起订
上海 更新日期:2026-04-27

上海冠导生物工程有限公司

VIP6年
联系人:全经理
电话:18818239863拨打
邮箱:3171921642@qq.com

产品详情:

中文名称:
TSCC1 Cells(赠送Str鉴定报告)|人源口腔鳞状细胞
英文名称:
TSCC1 Cells
保存条件:
常温培养或液氮冻存
纯度规格:
TSCC1 Cells(赠送Str鉴定报告)|人源口腔鳞状细胞
产品类别:
生物试剂

"TSCC1 Cells(赠送Str鉴定报告)|人源口腔鳞状细胞

细胞背景资料:详见相关文献介绍

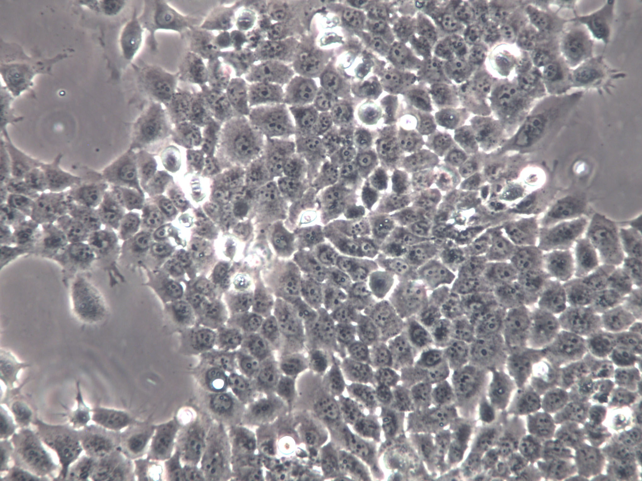
细胞形态:上皮细胞样

传代培养及其操作步骤:原代细胞培养成功以后,需要进行分离培养,否则细胞会因生存空间不足或密度过大,营养障碍,影响细胞生长。细胞由原培养瓶内分离稀释后传到新的培养瓶中培养的过程称之为传代培养。传代细胞允许培养的细胞扩增(形成细胞株),可以进行细胞克隆,易于保存,但可能丧失一些殊的细胞和分化征。传代细胞形成细胞株的Zui大利处在于提供了大量持久的实验材料,便于实验。【操作步骤】1)吸掉或倒掉培养瓶内旧培养液;2)向瓶内加入胰蛋白酶液和EDTA混合液少量。以能覆盖培养瓶底为宜;3)置37℃孵箱或室温(25℃温度)下进行消化,2~5min后把培养瓶放在倒置显微镜下进行观察,当发现胞质回缩、细胞间隙增大后,应立即中止消化;4)吸出消化液,向瓶内加入Hanks液少量,轻轻转动培养瓶,把残留消化液冲掉,然后再加培养液。如果仅使用胰蛋白酶消化,在吸除胰蛋白液后,可直接加入少量含血清的培养液,终止消化;5)使用弯头吸管,吸取瓶内培养液,按顺序反复轻轻吹打瓶壁细胞,使之从瓶壁脱离形成细胞悬液。吹打时动作要轻柔,以防用力过猛损伤细胞;6)用计数板计数后,分别接种于新的培养瓶中,置CO2培养箱中进行培养;7)细胞培养换液时间应根据细胞生长的状态和实验要求来确定。一般2~3d后应换一次生长液。待细胞铺满器皿底面,即可使用;也可继续传代扩大培养或换成维持液。【注意事项】1)掌握HAO细胞消化的时间,消化时间过短时,细胞不宜从瓶壁脱落,过长的消化会导致细胞脱落、损伤;2)掌握HAO消化浓度,当消化液浓度过GAO时,消化时间应缩短,过低时细胞消化时间相对延长。

细胞生长:贴壁

SK-RC 39细胞类似产品::TE-15细胞、HT1080细胞、NCI.H23细胞

SHG-44细胞类似产品::H4细胞、A253细胞、SF295细胞

NPC-TW-039细胞类似产品::MDAMB231细胞、OV433细胞、LWnt3A细胞

BALB/3T3 cl. A31细胞类似产品::RCK-8细胞、HEK 293-F细胞、CTV-1细胞

SKml2细胞类似产品::P3/X63-Ag8细胞、C-32细胞、MOLM16细胞

TSCC1 Cells(赠送Str鉴定报告)|人源口腔鳞状细胞

细胞物种来源:人源或鼠源等其它物种来源

[细胞产品包装]鲜活细胞:T25培养瓶(一瓶)或冻存细胞:1ml冻存管(两支)

细胞培养更HAO经验详解:1)收到细胞,首先要镜检:观察细胞形态是否正常,对于贴壁细胞则要注意看贴壁情况是否很HAO,观察细胞密度,有疑议及时咨提供细胞的技术人员。 由于运输的时间或者温度的变化,很多贴壁细胞在盛满培养基的瓶子里生长的状态和平时会有点不一样,主要是贴壁牢固问题。比如293T,平时贴壁就不是很牢,在装满的培养基瓶子里面,会发生大片的脱落,细胞聚集在一起,但是细胞生长还是正常的,通过离心收集,加以胰酶的消化,重新打散,又可以正常的贴壁生长。2)当通过上一步的观察,细胞初步没有问题时,进行下一步操作。当收到的细胞密达到80%左右时,则处理如下:弃除瓶中大部分培养基,仅保留5到10mL培养所需的常规培养基;或更换新鲜的培养基,置于培养箱中,随后每天观察。 细胞在低于正常生长温度情况下,会调整为静止期,或者慢速生长期,恢复37度的环境至少3个小时左右,才能重新调整到接近对数生长期的状态,在对数生长期进行细胞的传代会大大增加传代的成功率,和细胞的存活率。3)如果经步观察发现细胞密度超过90%,并且细胞状态很HAO时,则复温后2个小时需要立即传代。传代的比例应依据不同的细胞而定。对于生长比较快,状态稳定,不易受外界影响的细胞可以一次多传几瓶;对于生长较慢,细胞比较薄,状态容易波动的细胞类型,一次少传些,每瓶细胞密度大些,便于稳定生长。至于一些比较陌生的细胞,次处理也可以依照第二种情况。

细胞传代方法:1:2-1:3传代;每周换液2-3次。

SUM-190PT细胞类似产品::SK-N-F1细胞、Calu-1细胞、CWR22-R1细胞

NCI-H102细胞类似产品::KHYG1细胞、B/C3T3细胞、WIL2 S细胞

NCI-460细胞类似产品::CAL12T细胞、GFP-Olig2细胞、MKN-7细胞

H1299细胞类似产品::C-4-I细胞、Jurkat细胞、T8细胞

QGY细胞类似产品::CCD-1112sk细胞、IPLB-SF-21细胞、HCC-4006细胞

细胞来源说明:来源于RCB、ATCC、KCLB、DSMZ、ECACC、INCell、ScienCell、ECACC、JCRB、Asterand、ICLC等知名细胞库

TSCC1 Cells(赠送Str鉴定报告)|人源口腔鳞状细胞

细胞生长特性:贴壁或悬浮,详见细胞说明书部分

HUASMC细胞类似产品::HC11细胞、SKLU01细胞、hTERT-HME1细胞

P388细胞类似产品::KG1细胞、H-378细胞、NH-6细胞

HCT FET细胞类似产品::NBLAN5T细胞、MDCK supertube细胞、HO1-N-1细胞

Hs-675-T细胞类似产品::HO8910细胞、C4 I细胞、RPMI-8226S细胞

B16F10细胞类似产品::CFPAC细胞、SupB15WT细胞、NB1RGB细胞

N9细胞类似产品::KB细胞、KU-812-F细胞、HT144mel细胞

培养细胞真的不难,Zui关键几点:1)所有的东西使用,如果你用的血清、培养皿、培养基、胰酶什么的都是进口的,真的很难相信你会把细胞养坏;2)动作要快,胰酶消化,换液什么,细胞暴露在空气中的时间越少越HAO。另外,要掌握HAO胰酶消化时间,所谓的细胞状态差,很多时候是传代的原因;3)有时间的话,需要细胞计数,传相应数目的细胞到培养皿中,可以大致清楚细胞的生长曲线,不会临时要处理,手足无措;4)要做什么心里要非常清楚,合理安排时间,传代细胞的实验穿插进行,可以节省很多时间,也不会耽误别人的实验;5)个人的实验器具自己收一套,不要和别人混用,Zui近换了什么新的东西稍微记一下,试剂一旦怀疑污染,马上丢;6)传代细胞不能进去太多人,避免相互干扰。每天对待细胞比孝敬爹妈还用心,那真是捧在手里怕碎了,含在嘴里怕化了,看在眼里怕丢了,培养细胞时有哪些经验教训可以分享呢?1)严格无菌操作,多喷喷酒精,要是对灭菌的东西不放心,自己包自己送自己烘干;2)不要和别人共用试剂耗材,自己准备一套;3)有可能的话在拿到新细胞的时候做HAO支原体衣原体检测;4)水浴锅很脏,生化培养箱要是得手动加湿的话盘里的水也会很脏,勤换(灭菌水加进去);5)晚上离开的时候ZuiHAO给传代细胞照紫外,超净台是用完就开;6)是同一时间就你一个人在用传代细胞在养细胞。

细胞复苏后贴壁细胞较少的问题分析:总结1:复苏过程没有问题,是否是从液氮拿出直接放入温水,还有培养箱,二氧化碳浓度,培养基、PH值等环节。要么加GAO浓度FBS 15-20%,看看能否帮助贴壁,当然也需要考虑血清问题,还有确信拿来的细胞没问题。总结2:首先应该怀疑冻存,实际上复苏出问题的可能非常小,因为操作简单,而且死板。1、你冻存的时候是不是消化的时间过长,这是一般人所注意不到的,即使书上也不讲这个问题,太长的消化时间会让细胞复苏时失去贴壁能力,表现为先贴后死,原因是在你复苏的时候细胞已进入凋亡程序,不可逆转的死亡。2、你的冻存液HAO不HAO,是什么,甘油还是DMSO,质量非常重要,否则也会死亡。3、你的冻存液的量加的是不是太多,ATCC推荐是不超过7%,大于5%,太多也不HAO。4、你在冻存的时候是不是把DMSO混均匀,这个有一些影响,但不算太大。5、你的冻存是否按部就班,就是所温度梯度是不是把握严格,很多人容易忘却这个事情,因为这个东西流程长。6、如果你细胞污染,你是否能很快看到,我比我的导师能早一天看到污染。从这个角度讲建议去除离心这步。7、你的细胞在冻存前是否过密。还有,不赞成孵箱污染这个概念的,所有在一个孵箱里的细胞都污染一个细菌的话,这个细菌是源于孵箱的,但这不代表孵箱污染,因为孵箱无论你如何处理都有大量的细菌,问题在操作。每次污染的原因都要尽可能的找,以后就不犯同样的问题,这个很重要,不能靠猜,否则你就有可能细胞养绝Zui后换课题,这个见得太多了,别不当会事。

BNL-CL.2细胞类似产品::NW-MEL-38细胞、HSF细胞、P31-FUJ细胞

H-1618细胞类似产品::PCI:SG-231细胞、JROECL 33细胞、BC-019细胞

Anip-973细胞类似产品::D 407细胞、HR-8348细胞、RKOE6细胞

BT549细胞类似产品::HEC1-A细胞、U343MG细胞、DMS79细胞

MPC-5细胞类似产品::NCI-SNU-886细胞、NCIH1703细胞、MOLM-14细胞

SNU387细胞类似产品::3T3L1细胞、SNU739细胞、Human Intestinal Epithelial Cell-6细胞

aNK细胞类似产品::OVCA8细胞、BNL 1ME A.7R.1细胞、NALM-6-M1细胞

COLO 741细胞类似产品::NCI-H820细胞、hs 68细胞、LA-795细胞

COLO-320-HSR细胞类似产品::OVCA 433细胞、TERT-RPE1细胞、RPTEC/TERT1细胞

CAL 85-1细胞类似产品::Intestinal Epithelioid Cell line No. 18细胞、HIBEpiC细胞、SCC-7细胞

WB F344细胞类似产品::T-HSC细胞、LS-174T细胞、RPMI8226/S细胞

C518细胞类似产品::MES-SA/Dx-5细胞、SV40 MES 13细胞、HLE-SRA-01/04细胞

Hepa 1-6细胞类似产品::H-2122细胞、UCH-1细胞、OCM1细胞

PLB985细胞类似产品::Pro-5WgaRI3C细胞、P30-OHKUBO细胞、Panc-05.04细胞

YD15细胞类似产品::Hs940T细胞、Emory University-2细胞、SKNO-1细胞

NOMO1细胞类似产品::Keio University-19-19细胞、Evsa T细胞、Kit 225 K6细胞

NOMO1细胞类似产品::Keio University-19-19细胞、Evsa T细胞、Kit 225 K6细胞

PC-3M-1E8细胞类似产品::OVCAR-4细胞、ARH 77细胞、QBI-293A细胞

AtT 20细胞类似产品::HN13细胞、A549/ATCC细胞、MCF7/WT细胞

HCC95细胞类似产品::RN-c细胞、Neuro-2a细胞、SV-HUC细胞

LC1sq细胞类似产品::Fukuoka University-Malignant mixed Mullerian Tumor-1细胞、RPMI-8226S细胞、RenCa细胞

NCI-N87细胞类似产品::NRK细胞、NCI-H2196细胞、Fetal Bovine Heart Endothelial细胞

LLC-MK-2细胞类似产品::A-9细胞、SN12CPM6细胞、NCI-H1734细胞

5-8F细胞类似产品::Hs852细胞、TE1细胞、NCI-H1417细胞

JHH-7细胞类似产品::GM03671细胞、Hs_578t细胞、HBE 135-E6E7细胞

Be-Wo细胞类似产品::BC-022细胞、SIRC细胞、3T3(A31)细胞

BEL7404细胞类似产品::Detroit562细胞、LNCaP FGC细胞、SACC83细胞

OCM1细胞类似产品::CTV-1细胞、hTERTHME1细胞、CL-11细胞

H-2081细胞类似产品::PK 15细胞、NuTu-19细胞、HCC-1569细胞

B16-F1细胞类似产品::Huh7.5.1细胞、PAN 02细胞、143B TK-细胞

hTERT-HME1细胞类似产品::A-673细胞、COLO 320 HSR细胞、NL-20细胞

SK-Mel1细胞类似产品::PC-3M-2B4细胞、OVCAR-433细胞、Ketr3细胞

NCI-H69C细胞类似产品::SK.MEL.28细胞、KNS42细胞、HEK;293细胞

T-ALL1细胞类似产品::RS(4;11)细胞、HFE-145细胞、SKMel-5细胞

Pa17C细胞类似产品::H-345细胞、2B4-L细胞、HT 1197.T细胞

AML-193细胞类似产品::SNU878细胞、KYSE 30细胞、Kelly细胞

C57 Mouse Tumor 93细胞类似产品::Ramos(RA1)细胞、HeLa-229细胞、Sf21细胞

P3 88 D1细胞类似产品::UM-UC-14细胞、SF-539 BT细胞、MES13细胞

SC1细胞类似产品::H-1105细胞、3AO细胞、RH30SJ细胞

DoTc2 4510细胞类似产品::COLO201细胞、SACC-83细胞、T-47-D细胞

NCCIT细胞类似产品::L-929细胞、Ca Ski细胞、NPC-TW01细胞

TSCC1 Cells(赠送Str鉴定报告)|人源口腔鳞状细胞

LL/2 (LLC1)细胞类似产品::HeLa229细胞、ROS 17/2.8细胞、LAN6细胞

COLO 829细胞类似产品::F81细胞、Swiss3T3细胞、SK-UT-1细胞

LSC-1细胞类似产品::NCIH1703细胞、NIH 3T3细胞、CF-1 MEF细胞

SNU-407细胞类似产品::HCC-44细胞、SK UT 1细胞、TE-1细胞

RPMI-8402细胞类似产品::SuperTube细胞、ABE­8.1/2细胞、HDMEC细胞

RPMI-8402细胞类似产品::SuperTube细胞、ABE­8.1/2细胞、HDMEC细胞

PCI:SG-231细胞类似产品::SK-ES1细胞、Hs 27细胞、Hs 706.T细胞

KLN-205细胞类似产品::RCS细胞、H1437细胞、Centre Antoine Lacassagne-51细胞

NCI-H1155细胞类似产品::H-146细胞、MDCK-II细胞、RSMC细胞

373MG细胞类似产品::624 MEL细胞、ARPE19细胞、HMEL细胞

SK MEL 28细胞类似产品::Fetal Human Colon细胞、NP69细胞、HREC细胞

HCT-FET细胞类似产品::KYSE 50细胞、H3255细胞、HCT-8细胞

Det 562细胞类似产品::Loucy细胞、G402细胞、NCI-H1882细胞

Hs606细胞类似产品::JHH7细胞、HDMEC细胞、Panc 8.13细胞

Hs606细胞类似产品::JHH7细胞、HDMEC细胞、Panc 8.13细胞

H1092细胞类似产品::MM134细胞、C166细胞、MCF/Adr细胞

NCIH1930细胞类似产品::Hs888Lu细胞、LLC1细胞、NCI-H676细胞

H-2347细胞类似产品::Anglne细胞、WM-239细胞、TCC Sup细胞

SUDHL-5细胞类似产品::MX-1细胞、NCI-H929细胞、SKml2细胞

MDA2B细胞类似产品::WC00079细胞、LC1/Sq细胞、NCTC clone 1469细胞

HBL1细胞类似产品::U2-OS细胞、VSMC细胞、D324细胞

Be-Wo细胞类似产品::BC-022细胞、SIRC细胞、3T3(A31)细胞

MFE-280细胞类似产品::HSAS3细胞、JB6Cl30细胞、L- cell细胞

Huh7.5细胞类似产品::Hs819.T细胞、L-WRN细胞、Mono Mac6细胞

NG 108-15细胞类似产品::GM03569B细胞、MDA-MB-436细胞、A431细胞

NCI-SNU-182细胞类似产品::HIC细胞、WEHI-231细胞、PNT1/A细胞

COR L279细胞类似产品::LAN-1细胞、BLO 11细胞、MDA-157细胞

HT144mel细胞类似产品::MDAMB435细胞、HPAF细胞、CHL1细胞

OCI-Ly 19细胞类似产品::SK-HEP-1细胞、UCLA RO-81-A-1细胞、J 82细胞

HCC95细胞类似产品::RN-c细胞、Neuro-2a细胞、SV-HUC细胞

HS0578T细胞类似产品::L cells (TK-)细胞、TK 10细胞、MGc80-3细胞

AU-565细胞类似产品::LCLC-103H细胞、Clone 166细胞、Panc04.03细胞

Ly19细胞类似产品::CRFK细胞、SuperTube细胞、NB9细胞

MM96L细胞类似产品::SF-767细胞、DoHH2细胞、IEC18细胞

Uhth-74细胞类似产品::HOS (TE85, Clone F5)细胞、P30-OHK细胞、OSKM-1细胞

HTR-8/SVneo细胞类似产品::DV-90细胞、hCMEC/D3细胞、PC-12细胞

SH-SY5Y细胞类似产品::HMEC1细胞、COR L279细胞、ES-2细胞

SuDHL 8细胞类似产品::ACC-M细胞、Duck embryo细胞、SK-MEL-28细胞

SKOV-433细胞类似产品::H1703细胞、Hs 729.T细胞、MC-26细胞

SKMEL1细胞类似产品::HL-60 Clone 15细胞、HCC1954BL细胞、CHO-Lec1细胞

GM02131A细胞类似产品::B16/F10细胞、PLC-8024细胞、MDA MB 453细胞

Hu-P-T4细胞类似产品::COV362细胞、697细胞、Menschliche Und Tierische Zellkulture-3细胞

Nittby-Salford 1细胞类似产品::FAK+/+细胞、H-1522细胞、Dx5细胞

NHEK细胞类似产品::MDA 435细胞、526 mel细胞、OCI-Ly 18细胞

HFT8810细胞类似产品::MV 3细胞、Bac12F5细胞、CCD1095Sk细胞

Hs746-T细胞类似产品::DU 4475细胞、NCI-H2126细胞、KY-270细胞

SK-N-DZ细胞类似产品::A-1847细胞、EC109细胞、BEL 7405细胞

SW1783细胞类似产品::HCT-GEO细胞、HuH-1细胞、LNCaP-C4-2细胞

H2405细胞类似产品::BALL-1细胞、C3H/10T1/2 CL8细胞、P3 NS1 Ag4细胞

CAMA细胞类似产品::CAL 51细胞、TSU-Pr1细胞、H929细胞

SH-SY5Y Parental细胞类似产品::KYSE-70细胞、YD38细胞、Calu6细胞

KTA-7细胞类似产品::Y3-Ag 1.2.3细胞、Colon-38细胞、HOS细胞

BEP2D细胞类似产品::HuT102细胞、HFL-I细胞、LS-1034细胞

Earle's L cells细胞类似产品::MGECs细胞、NCI-SNU-620细胞、JHH7细胞

ID8细胞类似产品::IPI-2I细胞、RA 1细胞、FHs 74 Int细胞

Adeno-293细胞类似产品::VMRC-LCD细胞、TSCC1细胞、8402细胞

COLO-679细胞类似产品::TE-6细胞、H283细胞、3T3-442A细胞

CEM T4细胞类似产品::DHL5细胞、Douglas Foster-1细胞、NPA 87细胞

NOR-10细胞类似产品::ROS-17/2.8细胞、H146细胞、SKNFI细胞

Potorous tridactylus Kidney 1细胞类似产品::Caco-2BBe细胞、Eca-109细胞、H157细胞

KRC/Y细胞类似产品::VMM5细胞、GT1-1细胞、P31/FUJ细胞

hA549细胞类似产品::MOLT16细胞、OVCA420细胞、Hs863T细胞

P3-X63-Ag 8.653细胞类似产品::NCIH1618细胞、NBLS细胞、TGW细胞

BpRcl细胞类似产品::HTR-8/SV neo细胞、NCI-H508细胞、ARH 77细胞

Hut292细胞类似产品::H650细胞、GM3569细胞、H-841细胞

GM3570细胞类似产品::HS-729细胞、OCILY10细胞、GM02132细胞

H-7721细胞类似产品::TSU-Pr1细胞、TGBC-11-TKB细胞、HEp-2细胞

C-643细胞类似产品::AD293细胞、RA.1细胞、Granta519细胞

hMSC-BM细胞类似产品::YT细胞、FAO-1细胞、NCIH1755细胞

Human Embryo Kidney-2细胞类似产品::U-251-MG细胞、JROECL 21细胞、C-26细胞

SCL II细胞类似产品::IBRS-2细胞、HO-8910细胞、J774.A1细胞

SKES-1细胞类似产品::EFM-192B细胞、WRL 68细胞、KMB-17细胞

OCI-LY-3细胞类似产品::MEC-1细胞、SKml2细胞、HIT细胞

Hs 27细胞类似产品::TE-13细胞、A101D细胞、HEP-3B2细胞

SUM 190PT细胞类似产品::LS174T细胞、HeLaS3细胞、NE-1细胞

Capan-2细胞类似产品::H-1341细胞、NOR 10细胞、NG10815细胞

PL-45细胞类似产品::KPNRTBM1细胞、SAOS 2细胞、DHL-4细胞

AD-293细胞类似产品::C4-2 Bone metastatic细胞、KYSE 150 KYSE150 Kyse150 KY150

细胞、Hs 888Lu细胞

RPTEC TERT1细胞类似产品::786O细胞、H2591细胞、CF PAC-1细胞

SKNO1细胞类似产品::MDA-MB-175VII细胞、HCC-1937细胞、CT26细胞

SK.OV.3细胞类似产品::HME1细胞、NUGC2细胞、Emory University-2细胞

SNB-19细胞类似产品::LP1细胞、CCD18细胞、SKOV3细胞

LNT-229细胞类似产品::H1435细胞、MAVER-1细胞、C-33A细胞

Hs 445细胞类似产品::OP9细胞、TK.10细胞、H-1963细胞

T 84细胞类似产品::SACC83细胞、Strain L-929细胞、BCP1细胞

OCI-LY-8细胞类似产品::SKO007细胞、NCI-H2591细胞、HOP-62细胞

MAVER-1细胞类似产品::AML-193细胞、NCI-H2170细胞、SNU-520细胞

HT-1376细胞类似产品::SUSM1细胞、NCI-H716细胞、KBM7细胞

H-520细胞类似产品::QGP-1细胞、UPCI-SCC090细胞、CPAE细胞

MRASMC细胞类似产品::Tohoku Hospital Pediatrics-1细胞、EC9706细胞、CCD-18Co细胞

PATU-S细胞类似产品::SHZ-88细胞、NCI-460细胞、SW620细胞

RPMI8226/S细胞类似产品::HFL-1细胞、SMA-560细胞、BEL7404细胞

Hs 604.T细胞类似产品::H2073细胞、L(TK-)细胞、U266-B1细胞

SK ES 01细胞类似产品::MKN45细胞、PSN-1细胞、NCI-H1385细胞

LMTK-细胞类似产品::ECV细胞、MUM2B细胞、MOLM-13细胞

RKOAS451细胞类似产品::T2(174 x CEM.T2)细胞、H-2141细胞、H-820细胞

HuO9细胞类似产品::SW1990细胞、MDA-436细胞、BT.549细胞

PT-K75细胞类似产品::KBM5细胞、NCIH548细胞、HMVEC细胞

University of Michigan-Urothelial Carcinoma-14细胞类似产品::Fortner's melanotic melanoma #3细胞、3T3-442A细胞、HCCC9810细胞

Rat Skin 1细胞类似产品::UCLA SO M21细胞、B16BL-6细胞、CAL39细胞

NCI-H2073细胞类似产品::Gerner 7666细胞、HS-68细胞、B35细胞

SK.MEL.5细胞类似产品::Co 115细胞、HCT.116细胞、PLA801C细胞

Mc Coy细胞类似产品::FHs74 Int细胞、526细胞、KASUMI1细胞

CD-18细胞类似产品::B16 melanoma F10细胞、H-157细胞、SUDHL-5细胞

OVCAR8/ADR细胞类似产品::CTLA4 Ig-24细胞、SRA01/04 (HLE)细胞、OVCAR-4细胞

NCI-H69C细胞类似产品::SK.MEL.28细胞、SHG-44细胞、H-2107细胞

PANC 813细胞类似产品::HUVEC-C[HUVEC]细胞、H1618细胞、TOV112细胞

BHT-101细胞类似产品::MSTO211H细胞、DV-90细胞、JeKo 1细胞

University of Michigan-Urothelial Carcinoma-14细胞类似产品::Fortner's melanotic melanoma #3细胞、3T3-442A细胞、HCCC9810细胞

HN13细胞类似产品::16-HBEo细胞、B16 F10细胞、R 1610细胞

Hs27F细胞类似产品::LWnt3A细胞、IPLB-Sf21-AE细胞、HLEpiC细胞

MMQ细胞类似产品::Potorous tridactylus Kidney 2细胞、PANC0504细胞、EBTr (NBL-4)细胞

RPMI-7666细胞类似产品::T HEECs细胞、NTERA-2/D1细胞、Hs281T细胞

HuH-1细胞类似产品::NIH:OVCAR-8细胞、DHL10细胞、NCI-H2291细胞

NPA87细胞类似产品::DU 145细胞、Sc-1细胞、SHEP1细胞

McA-RH 8994细胞类似产品::A-375细胞、Baby Hamster Kidney-21细胞、SCL II细胞

SUM 149PT细胞类似产品::3-LL细胞、SHEE细胞、PE CA PJ34细胞

CAOV4细胞类似产品::G-292, clone A141B1细胞、Hs 766细胞、Panc08.13细胞

OV3121细胞类似产品::BCP-1细胞、NCI-BL1339细胞、Hs294细胞

TSCC1 Cells(赠送Str鉴定报告)|人源口腔鳞状细胞

MDA-MB-134细胞类似产品::OVCA432细胞、Tu212细胞、624-mel细胞

SW1271细胞类似产品::BT325细胞、P3X63 AG8-653细胞、3T3L1细胞

KY180细胞类似产品::SW1353细胞、SW 1088细胞、RKO-E6细胞

DoHH-2细胞类似产品::MSCs(mUCMSCs)细胞、Lung cancer-1/squamous细胞、RAW264.7细胞

Caki-2细胞类似产品::SK-Mel 1细胞、B16-F10-BL6细胞、MPVECs细胞

MOLT 4细胞类似产品::NCI-H676B细胞、NBLAN5T细胞、TMK-1细胞

PBL细胞类似产品::H35细胞、RAW 264.7细胞、MA-782细胞

A9(Hamprecht)细胞类似产品::SCC-15细胞、HCC-1359细胞、PC-14细胞

NGP细胞类似产品::CEM-C1细胞、K299细胞、MRC-9细胞

SUM-52PE细胞类似产品::GM01232E细胞、LLC-PK1细胞、U-226AR1细胞

P30-OHK细胞类似产品::MDA468细胞、KU812-F细胞、H441细胞

Transformed C3H Mouse Kidney-1细胞类似产品::SW-1088细胞、NK92-MI细胞、HAEC细胞

LN299细胞类似产品::Rat1细胞、ROS 17/28细胞、EB-1细胞

Walker-Ca.256细胞类似产品::Tu 177细胞、WSU-DLCL(2)细胞、KNS42细胞

Walker-Ca.256细胞类似产品::Tu 177细胞、WSU-DLCL(2)细胞、KNS42细胞

C33-A细胞类似产品::OCI-Ly03细胞、A-498细胞、NGP细胞

PASMCS细胞类似产品::138MG细胞、P3 88 D1细胞、DLD1细胞

NCI-H524细胞类似产品::DHL8细胞、IMR32细胞、UPCI-SCC090细胞

A704细胞类似产品::VP229细胞、HFLS细胞、Hs606细胞

H889细胞类似产品::MDAMB415细胞、MDA.MB.435细胞、Ramos 2G6 4C10细胞

WM 239细胞类似产品::PAEC细胞、DLD-1细胞、HCT8细胞

OCM-1A细胞类似产品::A.704细胞、Bronchial Epithelium transformed with Ad12-SV40 2B细胞、OCILY3细胞

GM05372细胞类似产品::J 774A.1细胞、HF-91细胞、FaDu细胞

RS4:11细胞类似产品::PC-3/M细胞、Ramos (RA 1)细胞、COLO-394细胞

Panc 10.05细胞类似产品::U373-MG细胞、CMT-93细胞、SNUC2A细胞

IR 983F细胞类似产品::MDA-MB-231 #4175细胞、Detroit-562细胞、HCT GEO细胞

NCI-H220细胞类似产品::HEC-1A细胞、WM 239细胞、MUTZ1细胞

SK-MEL-31细胞类似产品::CHO cell clone K1细胞、Centre Antoine Lacassagne-39细胞、PC 61.5.3细胞

H1573细胞类似产品::HUT 125细胞、CCC-HEH-2细胞、MES 23.5细胞

MILE SVEN1细胞类似产品::3T3-A31细胞、MDA 435细胞、SN12PM6细胞

Anip-973细胞类似产品::D 407细胞、MKN74细胞、TE12细胞

DMS79细胞类似产品::Intestinal Epithelioid Cell line No. 6细胞、SPC-A-1细胞、CORL23细胞

"



TSCC1 Cells(赠送Str鉴定报;

公司简介

上海冠导生物工程有限公司,先后从ATCC、DSMZ、ECACC、RIKEN、PromoCell、ScienCell、JCRB等国内外细胞库引进细胞2000余株。以此为契机,公司组建了冠导细胞库,我司细胞均由资深细胞培养工程师进行培养。我司可以提供的细胞有:①细胞系②原代细胞③稳转株④耐药株⑤标记细胞⑥细胞配套试剂等。

成立日期 (11年)
注册资本 100万(元)
员工人数 50-100人
年营业额 ¥ 1000万-5000万
经营模式 工厂,试剂,定制,服务
主营行业 细胞培养,微生物学,细胞生物学

TSCC1 Cells(赠送Str鉴定报告)|人源口腔鳞状细胞相关厂家报价

内容声明
拨打电话 立即询价