基本信息 产品详情 公司简介 推荐产品
网站主页 SF295 CELLS(赠送STR鉴定报告)|人XG恶性胶质瘤细胞 SF295 Cells(赠送Str鉴定报告)|人XG恶性胶质瘤细胞
  • SF295 Cells(赠送Str鉴定报告)|人XG恶性胶质瘤细胞

SF295 Cells(赠送Str鉴定报告)|人XG恶性胶质瘤细胞

SF295 Cells
询价 1000000细胞数 起订
2000000细胞数 起订
上海 更新日期:2026-04-15

上海冠导生物工程有限公司

VIP6年
联系人:全经理
电话:18818239863拨打
邮箱:3171921642@qq.com

产品详情:

中文名称:
SF295 Cells(赠送Str鉴定报告)|人XG恶性胶质瘤细胞
英文名称:
SF295 Cells
保存条件:
常温培养或液氮冻存
纯度规格:
NCI-H2122 Cell|人肺癌细胞
产品类别:
生物试剂

"SF295 Cells(赠送Str鉴定报告)|人XG恶性胶质瘤细胞

细胞背景资料:详见相关文献介绍

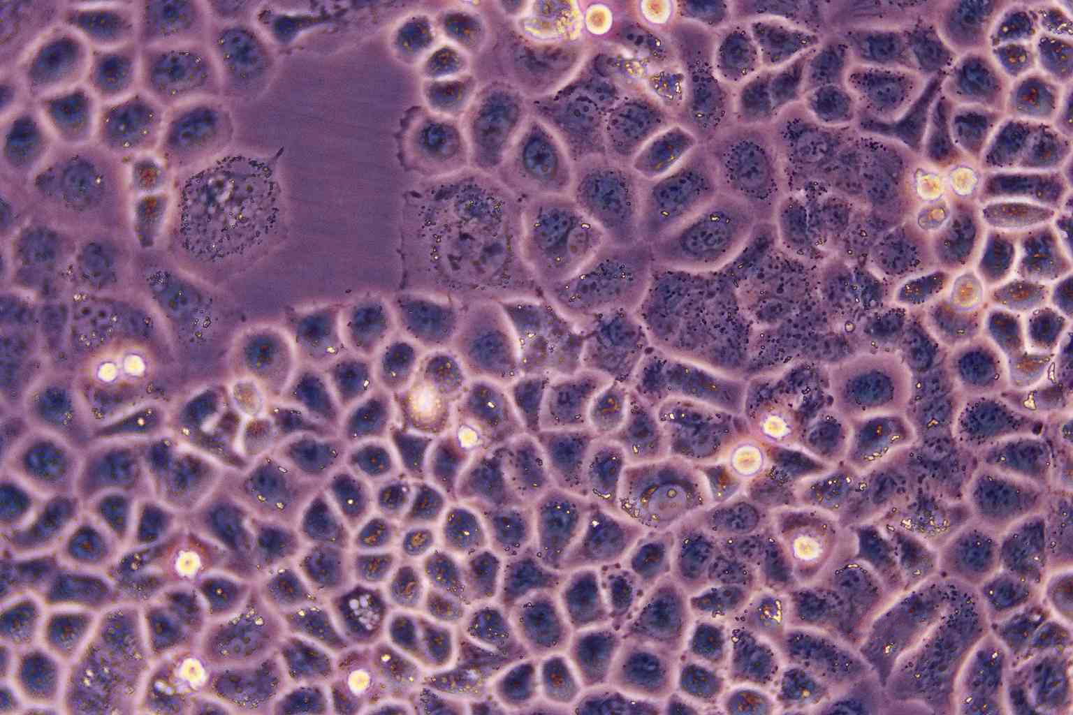
细胞形态:上皮细胞样

解冻细胞常见实验问题分析及推荐解决方法:在解冻冻存细胞时,发现会出现存活率低、大量细胞碎片及生长缓慢等问题,究竟是什么原因导致,我们该怎么进行解决?以下是国内外细胞培养专家针对解冻细胞实验问题,总结的一些解决方案!出现低存活率的可能原因及推荐解决方案如下:1)解冻过程中细胞裂解,推荐的解决方案:可预期到一定量的细胞死亡,因此细胞的浓度应足够GAO,考虑到这一损失。起始浓度为1*10(6)至1*10(7)细胞/毫升;2)解冻过程中的问题,推荐的解决方案:在-70℃至-80℃下保存冷冻的培养物,保存时间为1-5天,但这不是保存的方法。在37℃充分解冻后应立即开始培养;3)对冷冻液过敏,推荐的解决方案:A.完全或部分更换培养基,减少培养基中冷冻液的量。在24小时后更换培养液体可全部去除冷冻液。B.留出更多时间供培养物恢复。有时细胞需要几周时间才能形成单层或密集的悬浮物,取决于冷冻时细胞的年龄或传代次数或在生长阶段中的位置。冷冻的Zui佳条件在对数期;4)被冷冻的原种细胞的年龄或冷冻时培养物的年龄,推荐的解决方案:解冻Zui近冷冻的细胞。细胞处于冷冻状态的时间越长,存活率越低。检查冷冻细胞的时间和方法。在冷冻时细胞应处于对数期。

细胞生长:贴壁

OSC-19细胞类似产品::BE2_C细胞、MDA 1386细胞、CL 1-0细胞

C3H10T1/2 clone8细胞类似产品::COS-1细胞、MCF10A细胞、NCIH322细胞

J774 A1细胞类似产品::Hs 895.T细胞、C-26细胞、OCIAML3细胞

MNNG细胞类似产品::I90细胞、Clone 929细胞、SW 839细胞

FLC-7细胞类似产品::B16 F10细胞、B95-8细胞、Menschliche Und Tierische Zellkulture-1细胞

SF295 Cells(赠送Str鉴定报告)|人XG恶性胶质瘤细胞

细胞物种来源:人源或鼠源等其它物种来源

[细胞产品包装]鲜活细胞:T25培养瓶(一瓶)或冻存细胞:1ml冻存管(两支)

悬浮细胞不容易转染:悬浮细胞是指细胞生长不依赖支持物表面,在培养液中呈悬浮状态生长,如淋巴细胞。在实验室经常会遇到悬浮细胞的转染,其和贴壁细胞转染还是有很大不同的。目前大多数实验室用的是脂质体类的转染试剂,脂质体转染是基于电荷吸引原理,先形成脂质体-DNA复合物,散布在细胞周围,然后通过细胞的内吞作用,将目的基因导入细胞内,而脂质体复合物与贴壁细胞的接触机会比悬浮细胞GAO出很多倍,所以,脂质体转染时悬浮细胞的转染效率要明显低于贴壁细胞。其次,脂质体试剂的毒性较大,这就使得悬浮细胞的转染更为困难了。另外,悬浮细胞不易培养,易死亡,也给细胞转染造成了一定的困难。为了提GAO悬浮细胞的转染效率,可以使用非脂质体的转染试剂,如纳米材料的。也可以使用电转染方法,针对悬浮细胞等难转染细胞还是挺不错的,电击对细胞有一定的损伤,ZuiHAO选用具有细胞膜修复功能的电转染试剂,可以将电击对细胞的伤害降到Zui低,悬浮细胞不易转染,选对试剂及良HAO的细胞培养环境才是关键。

细胞传代方法:1:2-1:3传代;每周换液2-3次。

CD18/HPAF细胞类似产品::NB-9细胞、RL95-2细胞、Chinese Hamster Lung细胞

SKG IIIa细胞类似产品::HS578T细胞、NIH:OVCAR-3细胞、WEHI 3细胞

HLEpiC细胞类似产品::Tca8113细胞、AAV293细胞、DHL5细胞

KYSE-150细胞类似产品::BJA-B细胞、74Int细胞、Ly1细胞

Clone 166细胞类似产品::CCD-33Co细胞、COLO 320F细胞、SV40 MES 13细胞

细胞来源说明:来源于RCB、ATCC、KCLB、DSMZ、ECACC、INCell、ScienCell、ECACC、JCRB、Asterand、ICLC等知名细胞库

SF295 Cells(赠送Str鉴定报告)|人XG恶性胶质瘤细胞

细胞生长特性:贴壁或悬浮,详见细胞说明书部分

HK2细胞类似产品::OCI-Ly 10细胞、2E8细胞、H-4-II-E细胞

DoTc2细胞类似产品::Hs 688(A).T细胞、FU-OV-1细胞、MV4:11细胞

5-8F细胞类似产品::Hs852细胞、TE1细胞、NCI-H1417细胞

Kit 225-K6细胞类似产品::3T3-F442A细胞、PIEC细胞、SK-MEL-3细胞

L细胞类似产品::PMVEC细胞、DU-4475细胞、NCI-SNU-668细胞

Panc 5.04细胞类似产品::WBF344细胞、CA-OV-3细胞、MESSA Dx5细胞

造成实验室细胞污染常见情况总结:细胞培养中Zui常见污染的是细菌、真菌和支原体污染。细胞一旦污染,大多数较难处理。那么,哪些情况我们不注意的话就会造成细胞污染呢?我们根据常见细胞培养实验分析总结下。【违规操作】1)为节省时间,有人已经用超净台四个多小时,不开紫外灭菌30min,酒精擦拭后直接开始试验;2)器材或者溶液很久没用,未检测是否污染而直接使用;离心管多次使用,枪头为了方便交叉使用;3)超净台不点酒精灯;点了酒精灯放在右上角,而你在左下角做试验;4)不带手套,徒手操作;5)细胞培养间配备枪式移液器、手术器械、离心机、冰箱等专用仪器设备以及专用的实验服和拖鞋,未定期消毒。专用物品被带出传代细胞使用。培养细胞过程中使用的所有实验用具,如移液管、一次性枪头、一次性塑料离心管、冻存管等未按要求灭菌使用(通常需121°CGAO压灭菌20分钟后37%烤干备用)。超净台和桌面,东西太多太乱:超净台不是储物箱,什么培养皿、各种规格的板子、枪头就不要堆在超净台!这样就会有许多紫外线顾不到的卫生死角。传代细胞其他的桌面,切忌东西堆积如山,不要将酒精棉球、标签纸、牛皮纸买来后全部堆在传代细胞!一不小心“飘”进你的细胞培养板里,细胞就会养的不HAO,啥时候死了都不知道!【培养箱太久没清洁】细胞污染了,并非直接扔了培养皿就不管了,首先你还得看看这个恒温培养箱里其他培养皿或孔板里的细胞是否污染,如果有而且HAO几个板子都有类似的污染块,那很可能是培养箱中的水或者空气污染了,得给培养箱做个大扫除,重新酒精消毒,照紫外;孵箱里的水,水没了要记得加,还得记得十天半个月的就用酒精擦擦托盘。【传代细胞人多口杂,难管理】在传代细胞这种卫生要求GAO,人多了,不确定因素多了,难以保证试验在无菌条件下操作。出入试验室,实验服当风衣穿,不扣纽扣,不戴,就容易造成细胞污染;超净台做实验时,喜欢说话聊着做试验,要是还不带口罩,里面就有很多细菌等着去攻击你的细胞呢!

细胞复苏相关注意事项:1.取细胞的过程中注意带HAO防冻手套,护目镜。此项尤为重要,细胞冻存管可能漏入液氮,解冻时冻存管中的气温急剧上升,可导致爆炸。2.冻存液的问题:冻存液的配置已是常识,在这里不作详述,但二甲基亚砜(DMSO )对细胞不是完全无毒副作用,在常温下,二甲基亚砜对细胞的毒副作较大,因此,必须在1-2min内使冻存液完全融化。如果复苏温度太慢,会造成细胞的损伤,二甲基亚砜(DMSO)ZuiHAO选择进口产品。3.离心前须加入少量培养液。细胞解冻后二甲基亚砜浓度较GAO,注意加入少量培养液可稀释其浓度,以减少对细胞的损伤。4.离心问题:目前主要有两种见解。一种是解冻后的细胞悬液直接吹打均匀后分装到培养瓶中进行培养,第二天换液。因为离心的目的是两个,去除DMSO,去除死细胞,这个是标准流程,但对一般人来说,把握不HAO离心转速和时间,转的不够活细胞沉底的少,细胞就全被扔掉了,转过了活细胞会受压过大,死亡。此外在操作过程中容易污染,所以不推荐。另一种说法为细胞悬液中含有二甲基亚砜(DMSO),DMSO对细胞有一定的毒副作用,所以须将离心后的液体前倒净,且一定倒干净。我在试验中按照常规的离心分装的方法进行复苏,结果无异常。5.细胞贴壁少的问题:教科书中说明冻存细胞解冻时1ml细胞液要加10ml-15ml培养液,而在我的试验中的经验总结为培养基越少细胞越容易贴附。6.复苏细胞分装的问题:试验中我的经验总结为复苏1管细胞一般可分装到1-2只培养瓶中,分装过多,细胞浓度过低,不利于细胞的贴壁。7.加培养基的量放入问题:这个量的多少的把握主要涉及到的问题DMSO的浓度,从如果你加培养基的太少,那么DMSO的浓度就会比较大,就会影响细胞生长,从以前的资料来看,DMSO的浓度在小于0.5%的时候对一般细胞没有什么影响,还有一个说法是1%。所以如果你的冻存液的浓度是10%DMSO的话那么加10ml以上的培养基就恰HAO稀释到了无害浓度。

87MG细胞类似产品::BJA-B-1细胞、SK-RC 42细胞、GA10细胞

MDA-MB-330细胞类似产品::U-226AR1细胞、SNU-216细胞、HLE B-3细胞

MC3T3细胞类似产品::P3-NS1/1-Ag4-1细胞、Panc 02细胞、COLO 201细胞

VCaP细胞类似产品::Hs274T细胞、LNCaP-C4-2细胞、SKOV-3细胞

Leukemic 1210细胞类似产品::NCI-H2108细胞、H-1693细胞、Co320细胞

RCC-JF细胞类似产品::HUVEC-C[HUVEC]细胞、T47D细胞、EFM19细胞

L-WRN细胞类似产品::LC-1细胞、NCIH1836细胞、CW-2细胞

BT 549细胞类似产品::DU4475细胞、HS-729细胞、Mouse podocyte细胞

SW 948细胞类似产品::MGc80-3细胞、U-87-MG细胞、Murine Thymic Epithelial Cell line 1细胞

Sc-1细胞类似产品::RS 4;11细胞、SCI1细胞、D283MED细胞

Jurkat E6-1细胞类似产品::CLL-CII细胞、Colon-26细胞、HB 611细胞

MDAMB175细胞类似产品::FCCH1018细胞、Reuber H-35细胞、H292细胞

Fetal Human Colon细胞类似产品::GM04154细胞、PBMC细胞、SR786细胞

LA-N-6细胞类似产品::NCIH1781细胞、HLEC-SRA 01/04细胞、KLN 205细胞

MDA-134细胞类似产品::CV1细胞、OACP4C细胞、LLC细胞

BJA-B1细胞类似产品::Me Wo细胞、Granta 519细胞、TR146细胞

BJA-B1细胞类似产品::Me Wo细胞、Granta 519细胞、TR146细胞

FAK+/+细胞类似产品::NCI-H1869细胞、Melanoma 14细胞、RD-ES细胞

NCI H295R细胞类似产品::NCI-H1092细胞、RERFLCMS细胞、SUIT2细胞

8226/S细胞类似产品::LCD细胞、HCC-4006细胞、293细胞

U-251_MG细胞类似产品::SKGT4细胞、MDA-MB-134VI细胞、A673细胞

LM TK negative细胞类似产品::SW1088细胞、P3J细胞、HR1K细胞

HCC-1569细胞类似产品::WSUDLCL2细胞、AN3 CA细胞、Hs606T细胞

253J细胞类似产品::GM3569细胞、Mouse Podocyte Clone-5细胞、RT4P细胞

BIC1细胞类似产品::NCI-H1048细胞、TR 146细胞、AHH-1细胞

NK 10a细胞类似产品::NCIH1734细胞、alpha TC1.6细胞、MPP-89细胞

RD 2细胞类似产品::SACCLM细胞、PANC-10-05细胞、COLO-HSR细胞

UMNSAH-DF 1细胞类似产品::EOL1细胞、SK.MEL.2细胞、H2052_MM细胞

MUTZ1细胞类似产品::P3-X63Ag8细胞、Human Epithelioma-2细胞、HITT15细胞

MDA-MB231细胞类似产品::SF-126细胞、NCI-H1184细胞、TW-039细胞

HCEC-12细胞类似产品::GM-637细胞、HSF2细胞、Normal Rat Kidney-49F细胞

mIMCD3细胞类似产品::BC-023细胞、CEM C7细胞、CNE-1细胞

U-343 MG细胞类似产品::MGH-U3 (RN)细胞、H735细胞、H1385细胞

159 PT细胞类似产品::T2细胞、H526细胞、HCC1937细胞

CL MC/9细胞类似产品::HFL 1细胞、Walker256-TC细胞、NOR-10细胞

MPP89细胞类似产品::HNEpC细胞、MBdSMC细胞、KS-SLK细胞

Granta-519细胞类似产品::RMS13细胞、RPMI 8226/S细胞、SUM 102PT细胞

EBTr (NBL-4)细胞类似产品::Hep3B细胞、MD Anderson-Metastatic Breast-134-VI细胞、HHL5细胞

EM-3细胞类似产品::WERI-Rb-1细胞、SUP T1细胞、CNE-2细胞

OCILY-19细胞类似产品::HLEB3细胞、SUM149细胞、CV-1细胞

NCI-H1105细胞类似产品::NCI-H1694细胞、RKO-E6细胞、Sup T-1细胞

SF295 Cells(赠送Str鉴定报告)|人XG恶性胶质瘤细胞

GOTO细胞类似产品::MTC-TT细胞、OV 1063细胞、KRC-Y细胞

HCGC细胞类似产品::BC3H-1细胞、PG-BE1细胞、OCUM-1细胞

OVCAR-8细胞类似产品::578T细胞、Epstein-Barr-1细胞、BJA-B1细胞

RC-2细胞类似产品::HR-1细胞、HPDE细胞、OKT3细胞

KMST-6细胞类似产品::DF-1细胞、TK+/- (clone 3.7.2C)细胞、NCIH441细胞

KMST-6细胞类似产品::DF-1细胞、TK+/- (clone 3.7.2C)细胞、NCIH441细胞

T-ALL1细胞类似产品::RS(4;11)细胞、HFE-145细胞、SKMel-5细胞

Jurkat Clone E6-1细胞类似产品::CNE2Z细胞、D-324MED细胞、RIN-m细胞

TE 354.T细胞类似产品::NFHIOSE-80细胞、EB-1细胞、RPMI 7951细胞

MDA-MB-157细胞类似产品::A 172细胞、KGN细胞、LOUNH91细胞

H 9细胞类似产品::Tadarida brasiliensis 1 lung细胞、BE(2)C细胞、P3/NS1/1-Ag4.1细胞

PMVEC细胞类似产品::BC3H1细胞、FM-88细胞、RMS1598细胞

HT1376细胞类似产品::RH30SJ细胞、RL-65细胞、NK62a细胞

Biopsy xenograft of Pancreatic Carcinoma line-3细胞类似产品::FU-97细胞、OCM-1细胞、WM-451Lu细胞

Biopsy xenograft of Pancreatic Carcinoma line-3细胞类似产品::FU-97细胞、OCM-1细胞、WM-451Lu细胞

NCI-H378细胞类似产品::WRL-68细胞、RC-4B细胞、KHYG细胞

H-1793细胞类似产品::ECC-10细胞、Swiss 3T6细胞、SCC-25细胞

HUCEC细胞类似产品::RKO细胞、SUD-4细胞、HT-29/CX-1细胞

P3HR1细胞类似产品::SNU119细胞、KYSE 450细胞、Clone 166细胞

FRO细胞类似产品::NCI-H441-4细胞、hUC-MSC细胞、H716细胞

MDAMB134VI细胞类似产品::R2C细胞、HCC0015细胞、RPMI 1846细胞

B 95.8细胞类似产品::NS20Y细胞、KBM5细胞、HFE-145细胞

OACP4 C细胞类似产品::H1581细胞、LLCPK1细胞、MOLT4细胞

P3-X63.Ag8.653细胞类似产品::MonoMac 6细胞、SU-DHL-6细胞、BEL7405细胞

LN-18细胞类似产品::SLK细胞、RH30SJ细胞、WM 266-4细胞

DMS153细胞类似产品::PL-9细胞、NCI-H1819细胞、SK-Mel1细胞

GM 637细胞类似产品::TALL 1细胞、MV-1-Lu细胞、HCT15细胞

CAMA-1细胞类似产品::Human Microglia Clone 3细胞、PC3M-IE8细胞、WERI细胞

LS-411细胞类似产品::H1693细胞、MC3T3-E1 Subclone 14细胞、OVCA433_Bast细胞

Ls-174-T细胞类似产品::H87细胞、MC-CAR细胞、RMS13细胞

EC-GI-10细胞类似产品::KYSE-180细胞、NOR10细胞、P31FUJ细胞

H-1581细胞类似产品::NCI-H841细胞、HLE细胞、YH细胞

HS578T细胞类似产品::MDA-468细胞、EAhy 926细胞、LA-N-6(OAN)细胞

SW403细胞类似产品::V-79细胞、no-11细胞、6T-CEM细胞

H125细胞类似产品::MOLM16细胞、LLC-WRC 256细胞、RPPVEC细胞

BetaTC6细胞类似产品::NIH-OVCAR-3细胞、Hs895.T细胞、A-172细胞

U266BL细胞类似产品::HP615细胞、RMG1细胞、NOZ细胞

MARC 145细胞类似产品::CoCL2细胞、CP70细胞、T-T细胞

BCPAP细胞类似产品::NCCIT细胞、X63-AG 8.653细胞、COLO-357细胞

Hs-729-T细胞类似产品::RPMI8226细胞、OCILY-10细胞、MM96L细胞

NPC-TW039细胞类似产品::Madison lung细胞、HCC-1954细胞、Ramos (RA)细胞

KYSE-50细胞类似产品::Hs604T细胞、Calu 3细胞、SW 620细胞

P3/NSI/1-AG4-1细胞类似产品::SW 1088细胞、Alexander细胞、CAL-148细胞

SKMES细胞类似产品::THLE2细胞、HcerEpic细胞、hFOB1.19细胞

NCI-H1668细胞类似产品::NPA细胞、Michigan Cancer Foundation-7细胞、HOS TE85细胞

MCF-7/AdrR细胞类似产品::RPMI no 8226细胞、NCIH28细胞、HBE135-E6E7细胞

Be Wo细胞类似产品::MDAMB330细胞、LNCaP C4-2B细胞、IMR-32细胞

KG1A细胞类似产品::Colon-26细胞、UWB1.289+BRCA1细胞、Anip973细胞

H-1373细胞类似产品::HCO细胞、CHP 212细胞、MCFs细胞

CORL23细胞类似产品::DoTc2细胞、Madin Darby Bovine Kidney细胞、RF/6A细胞

TK-10细胞类似产品::Panc 03.27细胞、FLC-7细胞、Hep2细胞

C-28I2细胞类似产品::RPPVEC细胞、H-1650细胞、NCI-H1993细胞

A-875细胞类似产品::OVCA-433细胞、Helacyton gartleri细胞、MIA Paca2细胞

SK-UT-1细胞类似产品::TE-14细胞、3-LL细胞、HPAEpiC细胞

NCIH208细胞类似产品::L6565细胞、Murine Long bone Osteocyte-Y4细胞、M-G63细胞

LAN1细胞类似产品::HCE细胞、SKG-IIIa细胞、Mac-1细胞

SW-13细胞类似产品::B35细胞、RH35细胞、MCF-7B细胞

BSC-1细胞类似产品::COV 504细胞、Tn5B1-4细胞、RBMVEC细胞

H929细胞类似产品::639 V细胞、VK-2/E6E7细胞、NOK细胞

OCIAML3细胞类似产品::BetaTC6细胞、GM2132细胞、HS-5细胞

NCIH2172细胞类似产品::MCA-205细胞、KY-50细胞、HBMEC细胞

KATO III细胞类似产品::MES 23.5细胞、PLC8024细胞、TGW-I-nu细胞

Vero 76 clone E6细胞类似产品::EFO 27细胞、HMCB细胞、PaTu-8988s细胞

CC-LP-I细胞类似产品::MES-SA Dx5细胞、NCIH2052细胞、OVHM细胞

JIMT1细胞类似产品::SKMel-28细胞、CL40细胞、Calu-6细胞

K299细胞类似产品::CL34细胞、H-2347细胞、NK-92细胞

NBLS细胞类似产品::CEF细胞、RT-BM 1细胞、RK 13细胞

X63-Ag 8.6.5.3细胞类似产品::MX1细胞、FRH-0201细胞、H-1581细胞

C166细胞类似产品::MD Anderson-Metastatic Breast-175-VIII细胞、NCI-SNU-601细胞、NCI-H847细胞

U937细胞类似产品::Kasumi-6细胞、Rat Lung-65细胞、SF 126细胞

MDA MB 175 VII细胞类似产品::Ontario Cancer Institute-Acute Myeloid Leukemia-5细胞、H-1623细胞、TO 175.T细胞

HCA 7细胞类似产品::H-292细胞、GC1-SPG细胞、AR4-IP细胞

SKUT1细胞类似产品::Tn5 B1-4细胞、Calf Pulmonary Artery Endothelial细胞、HepG2细胞

NIH:OVCAR-4细胞类似产品::HTori:3细胞、HLE-B3细胞、ECC-1细胞

Acanthosis Nigricans 3rd attempt-CArcinoma细胞类似产品::U251细胞、SNU1040细胞、MLFC细胞

hTERT-RPE细胞类似产品::NPA'87细胞、MEG-01细胞、Adeno-293细胞

SP-2/0-AG14细胞类似产品::LAD2细胞、MN60细胞、KP-N-NS细胞

HOP-62细胞类似产品::LK2细胞、HUTU80细胞、T24细胞

MAD109细胞类似产品::Karpas422细胞、S16细胞、Hs-940细胞

Huh7.5.1细胞类似产品::H716细胞、MM96L细胞、LoMeT-ccRcc细胞

NCI-H2291细胞类似产品::NCI-H1299细胞、OCI-LY-19细胞、H1435细胞

T-24细胞类似产品::SK-ML2细胞、Walker 256细胞、BL-6细胞

L2细胞类似产品::D562细胞、TALL-104细胞、NPC-TW 039细胞

MDA 231-LM2-4175细胞类似产品::University of Michigan-Urothelial Carcinoma-14细胞、Ca761细胞、H719细胞

Anip[973]细胞类似产品::B16BL6细胞、WTRL1细胞、293-EBNA细胞

KLN205细胞类似产品::HeLa S 3细胞、ES-2细胞、H9c2 (2-1)细胞

WEHI-231细胞类似产品::NCI-H2170细胞、CCC-HPF-1细胞、SW-900细胞

TE-13细胞类似产品::Jurkat clone A3细胞、HOS (TE85)细胞、NRK细胞

SK-N-F1细胞类似产品::Hs 274.T细胞、IM-95细胞、SW 1271细胞

Dakiki细胞类似产品::LS411N细胞、DU 145细胞、U031细胞

HT clone H9细胞类似产品::AsPC-1细胞、KU-19-19细胞、NCI-H2081细胞

SUDHL10细胞类似产品::CV-1 in Origin Simian-7细胞、B16 BL6细胞、SW1271细胞

Fao细胞类似产品::RPMI #8226细胞、Keio University-19-19细胞、BEL 7402细胞

RKO细胞类似产品::WM451Lu细胞、SKML-28细胞、HSC(Human Schwann)细胞

hA549细胞类似产品::MOLT16细胞、OVCA420细胞、Hs863T细胞

OCM-1细胞类似产品::BV-173细胞、GM03320D细胞、Mv1.Lu细胞

Y-1细胞类似产品::Ontario Cancer Institute-Acute Myeloid Leukemia-2细胞、Panc4.03细胞、HEC251细胞

OCI-Ly01细胞类似产品::Hs 578Bst细胞、COLO 699细胞、E6-1细胞

JVM2细胞类似产品::YES-2细胞、MES-SA/Dx-5细胞、SKHEP1细胞

NIH/3T3细胞类似产品::MDAPC2B细胞、MDA-MB 468细胞、MX-1细胞

LIPF155C细胞类似产品::DMS-114细胞、MonoMac6细胞、Mv 1 Lu (NBL-7)细胞

H22细胞类似产品::KYSE 70细胞、Y3Ag1.2.3细胞、Glioma 261细胞

OUMS23细胞类似产品::LA795细胞、WEHI-164细胞、Panc 03.27细胞

VMRC-RCZ细胞类似产品::SW-839细胞、L- cell细胞、K-1735细胞

NCIH2073细胞类似产品::BCECs细胞、TE 85.T细胞、DHL4细胞

U-343 MG细胞类似产品::MGH-U3 (RN)细胞、HEK/EBNA细胞、HSAS1细胞

NCI-H920细胞类似产品::U251-MG细胞、Hs940T细胞、A101D细胞

HCC-38细胞类似产品::KLM1细胞、KE39细胞、SW-756细胞

SNUC1细胞类似产品::HSC3细胞、PY8119细胞、AML-EOL-1细胞

HMVEC细胞类似产品::NCI H226细胞、MCF12A细胞、H4细胞

NCTC1469细胞类似产品::SkChA1细胞、RL952细胞、Madison 109细胞

NCIH1944细胞类似产品::KMM1细胞、H295R-S1细胞、HCC9204细胞

T8细胞类似产品::Lu-65细胞、SK-SH-SY5Y细胞、RCC23细胞

CAKI 2细胞类似产品::RPMI-6666细胞、BNL 1MEA.7R.1细胞、CHL/IU细胞

NCIH2196细胞类似产品::HCT/Taxo1细胞、CAOV4细胞、RKO_AS45细胞

NEC细胞类似产品::U14细胞、H1355细胞、Clone M-3细胞

Madin-Darby Canine Kidney细胞类似产品::U-251细胞、CCC-HEL-1细胞、RERF-LC-MS细胞

LC1sq细胞类似产品::Fukuoka University-Malignant mixed Mullerian Tumor-1细胞、RPMI-8226S细胞、RenCa细胞

801-D细胞类似产品::IPEC1细胞、Panc02细胞、PANC0813细胞

SF295 Cells(赠送Str鉴定报告)|人XG恶性胶质瘤细胞

MSB-1细胞类似产品::WEHI3细胞、MC57细胞、NBL-5细胞

SRS-82细胞类似产品::BIC-1细胞、MDA-MB415细胞、UMNSAH-DF-1细胞

GLC-82细胞类似产品::C2C12细胞、NCI-H292细胞、1E8-H细胞

HOEC细胞类似产品::HT(H9)细胞、GDM1细胞、EA. hy 926细胞

COS1细胞类似产品::Pa14C细胞、H-1373细胞、YT细胞

ATN1细胞类似产品::NOR 10细胞、GM-215细胞、H-727细胞

NCI-H3255细胞类似产品::CATH-a细胞、C8166-CD4细胞、H-196细胞

MDA-MB-157细胞类似产品::A 172细胞、KGN细胞、LOUNH91细胞

YES-2细胞类似产品::NCI-H889细胞、OCI-LY-18细胞、BNL 1MEA.7R.1细胞

SW780细胞类似产品::TOV-21G细胞、EB3 [Human Burkitt lymphoma]细胞、Vero E6细胞

H-660细胞类似产品::P3X63细胞、WM266mel细胞、Y3-Ag123细胞

Caco2BBe细胞类似产品::Tn-5B1-4细胞、OVCAR4细胞、LS174T细胞

HConEpic细胞类似产品::Vero 76 clone E-6细胞、KP-N-RT细胞、NCIH929细胞

HEK 293-EBNA细胞类似产品::HIT clone T15细胞、NCIH211细胞、SUM-52-PE细胞

H128细胞类似产品::Caco2BBe细胞、MBVP细胞、MGH-U3 (RN)细胞

138MG细胞类似产品::TYKnu细胞、HEK293-EBNA1细胞、DrG细胞

TNC-1B12B4细胞类似产品::Pa18C细胞、G-402细胞、U373MG细胞

SK 1细胞类似产品::Colo-206F细胞、SW 756细胞、Hep 3B2细胞

X63细胞类似产品::MPASMC细胞、C8-D1A细胞、SU4细胞

GM03190A细胞类似产品::A-253细胞、Fu97细胞、TEC细胞

NCIH1755细胞类似产品::FET细胞、RGM-1细胞、MILE SVEN1细胞

NCIH2073细胞类似产品::BCECs细胞、L23/P细胞、ECC1细胞

OV-1063细胞类似产品::C127细胞、SKMES1细胞、HCT-15细胞

HMrSV5细胞类似产品::CL11细胞、NCIH1437细胞、MD Anderson-Metastatic Breast-134-VI细胞

MeT 5A细胞类似产品::SW1783细胞、IPI-2I细胞、Panc 02.03细胞

VM-CUB-1细胞类似产品::BT-483细胞、SF-126细胞、AU565细胞

LC-2/ad细胞类似产品::TE-85 clone 5细胞、SDBMSC细胞、AG 9细胞

MN9D细胞类似产品::U251n细胞、Vero from pool #76细胞、HAPI细胞

NIH:OVCAR-4细胞类似产品::HTori:3细胞、SR786细胞、KYSE410细胞

NCIH522细胞类似产品::Pa16C细胞、Fetal Rhesus Kidney-4细胞、NCI-1155细胞

MC3T3细胞类似产品::P3-NS1/1-Ag4-1细胞、NCI-H2286细胞、TALL-104细胞

EA.Hy926细胞类似产品::HL-7702细胞、Hs 695.T细胞、RKO-AS45-1细胞

"



SF295 Cells(赠送Str鉴定报;

公司简介

上海冠导生物工程有限公司,先后从ATCC、DSMZ、ECACC、RIKEN、PromoCell、ScienCell、JCRB等国内外细胞库引进细胞2000余株。以此为契机,公司组建了冠导细胞库,我司细胞均由资深细胞培养工程师进行培养。我司可以提供的细胞有:①细胞系②原代细胞③稳转株④耐药株⑤标记细胞⑥细胞配套试剂等。

成立日期 (11年)
注册资本 100万(元)
员工人数 50-100人
年营业额 ¥ 1000万-5000万
经营模式 工厂,试剂,定制,服务
主营行业 细胞培养,微生物学,细胞生物学

SF295 Cells(赠送Str鉴定报告)|人XG恶性胶质瘤细胞相关厂家报价

内容声明
拨打电话 立即询价