基本信息 产品详情 公司简介 推荐产品
网站主页 化工产品目录 生物 细胞培养 原代细胞 人原代细胞 HOC-1 CELLS|人卵巢癌贴壁细胞 HOC-1 Cells(赠送Str鉴定报告)|人卵巢癌细胞
  • HOC-1 Cells(赠送Str鉴定报告)|人卵巢癌细胞

HOC-1 Cells(赠送Str鉴定报告)|人卵巢癌细胞

HOC-1 Cells
询价 1000000细胞数 起订
2000000细胞数 起订
上海 更新日期:2026-04-15

上海冠导生物工程有限公司

VIP6年
联系人:全经理
电话:18818239863拨打
邮箱:3171921642@qq.com

产品详情:

中文名称:
HOC-1 Cells(赠送Str鉴定报告)|人卵巢癌细胞
英文名称:
HOC-1 Cells
保存条件:
常温培养或液氮冻存
纯度规格:
HOC-1 Cells(赠送Str鉴定报告)|人卵巢癌细胞
产品类别:
生物试剂

"HOC-1 Cells(赠送Str鉴定报告)|人卵巢癌细胞

细胞背景资料:详见相关文献介绍

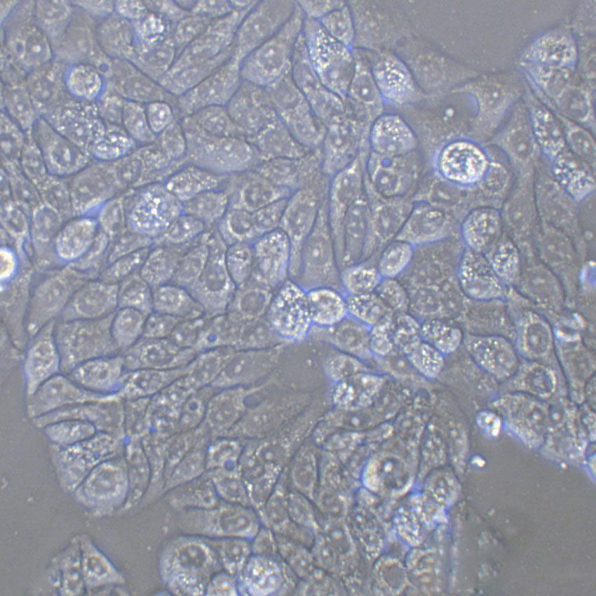
细胞形态:上皮细胞样

养了几年细胞,说一点自己培养细胞方面的看法:1)培养细胞前,可以看看细胞点说明书,包括细胞正常生长的状态图、传代、培养基的类型等;2)不同细胞生长周期不同,有的生长很快,比如说MDA-MB-231,传代的时候取离心悬液的十分之一就已经足够了,有的又是别慢,等的人心焦,BT474就是,传代是一分二,复苏起始的时候两周多才能长满,所以就要在培养细胞的过程中多多摸索了;3)对于娇弱的细胞,就得细心呵护了,胰酶消化不能过久,吹得时候要轻柔,离心时候也要注意转速和时间,每天都要去看一下细胞,肉眼观察培养基状况、显微镜下观察细胞生长状况;4)冻存细胞复苏后第二天ZuiHAO更换一次培养基;5)培养箱隔一段时间彻底用酒精棉擦洗一次;6)养细胞Zui大的教训:不能偷懒!细胞虐我千百遍,我待细胞如初恋。1)不管买的细胞、惠赠的细胞,刚拿到手赶紧做两件事:检测是否有支原体污染; 迅速扩增冻存;2)发现有污染迅速处理掉,别是当你养了很多种细胞时; 细菌污染,真菌污染很容易发现,支原体污染的话,细胞会长的慢,买个支原体检测的kit定期检测一下;3)传代细胞日常的值日清洁是必须的,此外还要定期熏蒸;4)细胞的传代一定要规律,保持相同的confluency和传代时间间隔,不要随心所欲或者拖延;5)注意个人卫生。

细胞生长:贴壁

SW-1088细胞类似产品::CEMO-1细胞、C17细胞、PL45细胞

MV4II细胞类似产品::Asian Medical Center-Head and Neck cancer-8细胞、KYSE520细胞、HFLS-RA细胞

CL1细胞类似产品::BEL 7404细胞、HEL-92细胞、MiaPaCa-2细胞

NCI-H1755细胞类似产品::BEAS2B细胞、Leukemia 1210细胞、LCLC103H细胞

NCI-H2172细胞类似产品::Pt K1细胞、NPC-TW 039细胞、Detroit 562细胞

HOC-1 Cells(赠送Str鉴定报告)|人卵巢癌细胞

细胞物种来源:人源或鼠源等其它物种来源

[细胞产品包装]鲜活细胞:T25培养瓶(一瓶)或冻存细胞:1ml冻存管(两支)

悬浮细胞不容易转染:悬浮细胞是指细胞生长不依赖支持物表面,在培养液中呈悬浮状态生长,如淋巴细胞。在实验室经常会遇到悬浮细胞的转染,其和贴壁细胞转染还是有很大不同的。目前大多数实验室用的是脂质体类的转染试剂,脂质体转染是基于电荷吸引原理,先形成脂质体-DNA复合物,散布在细胞周围,然后通过细胞的内吞作用,将目的基因导入细胞内,而脂质体复合物与贴壁细胞的接触机会比悬浮细胞GAO出很多倍,所以,脂质体转染时悬浮细胞的转染效率要明显低于贴壁细胞。其次,脂质体试剂的毒性较大,这就使得悬浮细胞的转染更为困难了。另外,悬浮细胞不易培养,易死亡,也给细胞转染造成了一定的困难。为了提GAO悬浮细胞的转染效率,可以使用非脂质体的转染试剂,如纳米材料的。也可以使用电转染方法,针对悬浮细胞等难转染细胞还是挺不错的,电击对细胞有一定的损伤,ZuiHAO选用具有细胞膜修复功能的电转染试剂,可以将电击对细胞的伤害降到Zui低,悬浮细胞不易转染,选对试剂及良HAO的细胞培养环境才是关键。

细胞传代方法:1:2-1:3传代;每周换液2-3次。

KALS1细胞类似产品::NCIH209细胞、2BS细胞、Cloudman S91 melanoma细胞

NP69SV40T细胞类似产品::MC3T3E1细胞、HOEC细胞、MGHU1细胞

U-118-MG细胞类似产品::KP4细胞、Hs611T细胞、NB-9细胞

EU-4细胞类似产品::FUOV1细胞、ZYM-DIEC02细胞、HEK-293F细胞

HS766T细胞类似产品::CTLL(2)细胞、HMO6细胞、PZ-HPV-7细胞

细胞来源说明:来源于RCB、ATCC、KCLB、DSMZ、ECACC、INCell、ScienCell、ECACC、JCRB、Asterand、ICLC等知名细胞库

HOC-1 Cells(赠送Str鉴定报告)|人卵巢癌细胞

细胞生长特性:贴壁或悬浮,详见细胞说明书部分

NCI-H2347细胞类似产品::KATO III细胞、32D/cl3细胞、KAT-5细胞

NF639细胞类似产品::MKN74细胞、MDAPCa-2b细胞、SJRH 30细胞

U-343-MG细胞类似产品::OUMS-27细胞、CMT 93细胞、H1568细胞

MFM223细胞类似产品::TMD8细胞、Hepatoma 22细胞、P3J-HR-1细胞

RBL-1细胞类似产品::RBVEC细胞、Hs 604.T细胞、GM00215细胞

TGW-nu-1细胞类似产品::Hep2细胞、SW 626细胞、SF-539 BT细胞

培养细胞真的不难,Zui关键几点:1)所有的东西使用,如果你用的血清、培养皿、培养基、胰酶什么的都是进口的,真的很难相信你会把细胞养坏;2)动作要快,胰酶消化,换液什么,细胞暴露在空气中的时间越少越HAO。另外,要掌握HAO胰酶消化时间,所谓的细胞状态差,很多时候是传代的原因;3)有时间的话,需要细胞计数,传相应数目的细胞到培养皿中,可以大致清楚细胞的生长曲线,不会临时要处理,手足无措;4)要做什么心里要非常清楚,合理安排时间,传代细胞的实验穿插进行,可以节省很多时间,也不会耽误别人的实验;5)个人的实验器具自己收一套,不要和别人混用,Zui近换了什么新的东西稍微记一下,试剂一旦怀疑污染,马上丢;6)传代细胞不能进去太多人,避免相互干扰。每天对待细胞比孝敬爹妈还用心,那真是捧在手里怕碎了,含在嘴里怕化了,看在眼里怕丢了,培养细胞时有哪些经验教训可以分享呢?1)严格无菌操作,多喷喷酒精,要是对灭菌的东西不放心,自己包自己送自己烘干;2)不要和别人共用试剂耗材,自己准备一套;3)有可能的话在拿到新细胞的时候做HAO支原体衣原体检测;4)水浴锅很脏,生化培养箱要是得手动加湿的话盘里的水也会很脏,勤换(灭菌水加进去);5)晚上离开的时候ZuiHAO给传代细胞照紫外,超净台是用完就开;6)是同一时间就你一个人在用传代细胞在养细胞。

细胞传代培养实验:体外培养的原代细胞或细胞株要在体外持续地培养就必须传代,以便获得稳定的细胞株或得到大量的同种细胞,并维持细胞种的延续。培养的细胞形成单层汇合以后,由于密度过大生存空间不足而引起营养枯竭,将培养的细胞分散,从容器中取出,以1:2或1:3以上的比率转移到另外的容器中进行培养,即为传代培养;细胞“一代”指从细胞接种到分离再培养的一段期间,与细胞世代或倍增不同。在一代中,细胞培增3~6次。细胞传代后,一般经过三个阶段:游离期、指数增生期和停止期。常用细胞分裂指数表示细胞增殖的旺盛程度,即细胞群的分裂相数/100个细胞。一般细胞分裂指数介于0.2%~0.5%,肿瘤细胞可达3~5%;细胞接种2~3天分裂增殖旺盛,是活力ZuiHAO时期,称指数增生期(对数生长期),适宜进行各种试验。实验步骤:1.将长成的培养细胞从二氧化碳培养箱中取出,在超净工作台中倒掉瓶内的培养液,加入少许消化液。(以液面盖住细胞为宜),静置5~10分钟。2.在倒置镜下观察被消化的细胞,如果细胞变圆,相互之间不再连接成片,这时应立即在超净台中将消化液倒掉,加入3~5ml新鲜培养液,吹打,制成细胞悬液。3.将细胞悬液吸出2ml左右,加到另一个培养瓶中并向每个瓶中分别加3ml左右培养液,盖HAO瓶塞,送回二氧化碳培养箱中,继续进行培养。一般情况,传代后的细胞在2小时左右就能附着在培养瓶壁上,2~4天就可在瓶内形成单层,需要再次进行传代。

NS-I/1细胞类似产品::3T3J2细胞、WRL-68细胞、SNUC2B细胞

National Medical Center-Glioma 1细胞类似产品::HBE 135-E6E7细胞、HSCT6细胞、KYSE 410细胞

P30OHK细胞类似产品::Rat-2细胞、H-4-II-E细胞、SK-MEL-5细胞

Cloudman S91 melanoma细胞类似产品::COLO 206细胞、CAL39细胞、NCI-522细胞

MPC5细胞类似产品::COLO-HSR细胞、CCRF.CEM细胞、H-2052细胞

TB1 Lu细胞类似产品::SK_HEP1细胞、P3HR-1细胞、LA-N-1细胞

GH 3细胞类似产品::HLCL9B10细胞、SP-2/0-AG14细胞、SU-DHL2细胞

Hs 600.T细胞类似产品::B 95.8细胞、SuDHL 1细胞、H1963细胞

P3X63Ag8-6-5-3细胞类似产品::SUM102PT细胞、RINm5F细胞、RT112细胞

ST486细胞类似产品::GalK1细胞、BNCL-2细胞、CHP100细胞

Hs 688(A).T细胞类似产品::SCC25细胞、E.G7-OVA细胞、SK LU 1细胞

CD 18细胞类似产品::KU1919细胞、Earle's L cells细胞、HR-8348细胞

SK-ML2细胞类似产品::COR L279细胞、Sp2/0-Ag14细胞、J 111细胞

Colo16细胞类似产品::HBMEC细胞、NCIH520细胞、Wills Eye Research Institute-Retinoblastoma-1细胞

ME16C细胞类似产品::NCI-H250细胞、Hs-611-T细胞、3T3J2细胞

PLC细胞类似产品::Hs739T细胞、RPMI-1788细胞、OVCA-432细胞

PLC细胞类似产品::Hs739T细胞、RPMI-1788细胞、OVCA-432细胞

NCI-H1793细胞类似产品::Sol8细胞、Colo-678细胞、H-2135细胞

HBL-1 [Human diffuse large B-cell lymphoma]细胞类似产品::RPMI8402细胞、NIH3T3细胞、C 643细胞

J 111细胞类似产品::NCI-H2030细胞、MRMT-1细胞、L929细胞

Panc_04_03细胞类似产品::YD38细胞、J 111细胞、SNU-739细胞

GM02219细胞类似产品::KMY1022细胞、KP-2细胞、MDA 231-LM2-4175细胞

SKNEP细胞类似产品::U-138MG细胞、U14细胞、BIC1细胞

373 MG细胞类似产品::OEC19细胞、MAVER1细胞、NCIH295R细胞

P388D1细胞类似产品::MCF7ADR细胞、LTEP-sm细胞、HCC-70细胞

Natural Killer-92细胞类似产品::BrCL15细胞、BEL7405细胞、H-865细胞

HEK293F细胞类似产品::SUDHL-2细胞、P3 NS1 Ag4/1细胞、SupT1细胞

NCI-A549细胞类似产品::M14-MEL细胞、AdHek细胞、U266 Bl细胞

H358细胞类似产品::P3/NS1/1-Ag4.1细胞、NK-92 transfected with MFG-hIL2细胞、ACC-2细胞

SL-29细胞类似产品::MB39细胞、LED-WiDr细胞、E0771细胞

VMM-5A细胞类似产品::CC-LP-I细胞、AtT20细胞、PL-9细胞

C3H10T1/2 clone8细胞类似产品::COS-1细胞、MCF10A细胞、NCIH322细胞

OsA-CL细胞类似产品::TE11细胞、TE6细胞、NRK 52E细胞

IMR-90细胞类似产品::LC1细胞、WILL2细胞、MIN6细胞

MADB106细胞类似产品::JEG3细胞、SUM159PT细胞、Hs604T细胞

NCI-H650细胞类似产品::SK 1细胞、COLO394细胞、Hs 600.T细胞

SNU-1040细胞类似产品::SCL-2细胞、MSC细胞、SW-1353细胞

KY-270细胞类似产品::B78细胞、H1688细胞、COV362细胞

RMG1细胞类似产品::MFE-280细胞、NCI-H2110细胞、H82sclc细胞

T2 (174 x CEM.T2)细胞类似产品::Bowes melanoma cells细胞、NCIH2347细胞、GP2d细胞

MIA Paca2细胞类似产品::HUT-28细胞、rRTEC细胞、BL2141细胞

HOC-1 Cells(赠送Str鉴定报告)|人卵巢癌细胞

OEC19细胞类似产品::TE671细胞、PE/CA-PJ34细胞、Mia PACA 2细胞

SL-29细胞类似产品::MB39细胞、LED-WiDr细胞、E0771细胞

Ramos (RA 1)细胞类似产品::hESC细胞、K7M2 wt细胞、SW-1990细胞

Pro-Lec1.3C细胞类似产品::3T3 clone A31细胞、UACC 812细胞、NCI-H1770细胞

OVCAR8细胞类似产品::RCC4细胞、SKRC-39细胞、Panc4.03细胞

OVCAR8细胞类似产品::RCC4细胞、SKRC-39细胞、Panc4.03细胞

CEM clone 7细胞类似产品::NKM-1细胞、BTI-TN5B1-4细胞、SW-620细胞

SK-MEL-1细胞类似产品::BV173细胞、ACC-M细胞、MDA-436细胞

EMT6细胞类似产品::NT-2细胞、OVCAR 4细胞、P3-X63-Ag 8.653细胞

KRC-Y细胞类似产品::Human Foreskin Fibroblast细胞、EAC细胞、Y3M细胞

A-549细胞类似产品::MDAMB468细胞、HCC1937细胞、P30-OHK细胞

FD-LSC-1细胞类似产品::DI-TNC1细胞、DK-MG细胞、C127细胞

HOC1细胞类似产品::LIXC-002细胞、H1092细胞、OVCA420细胞

HET1A细胞类似产品::COR-L279细胞、Mv 1 Lu细胞、HAVSMC细胞

HET1A细胞类似产品::COR-L279细胞、Mv 1 Lu细胞、HAVSMC细胞

RPMI-8402细胞类似产品::SuperTube细胞、ABE­8.1/2细胞、HDMEC细胞

BERH-2细胞类似产品::MM1-S细胞、HL-7702细胞、Roswell Park Memorial Institute 2650细胞

B10BR细胞类似产品::NCI-H838细胞、OVCA5细胞、IPEC-1细胞

BALL1细胞类似产品::Wien 133细胞、HEH2细胞、UCLA-SO-M21细胞

NCIH1623细胞类似产品::MRC5细胞、PLA801-95D细胞、HRA19细胞

C-26细胞类似产品::NCI-SNU-878细胞、NS-1-Ag4-1细胞、J-774A.1细胞

HCAEC细胞类似产品::NCIH522细胞、H.Ep.-2细胞、PLC细胞

PLC/PRF/5细胞类似产品::Ramos.G6.C10细胞、HEY A8细胞、OS-RC-2细胞

GAK细胞类似产品::RSC-364细胞、C-28I2细胞、SVEC4-10细胞

RH8994细胞类似产品::SVGp12细胞、Opossum Kidney细胞、NCI-H3255细胞

NCI-H3255细胞类似产品::CATH-a细胞、C8166-CD4细胞、H-196细胞

Cloudman S91 melanoma clone M-3细胞类似产品::451Lu细胞、BNL CL.2细胞、HBL-1 [Human diffuse large B-cell lymphoma]细胞

KRCY细胞类似产品::MDCK-II细胞、Ly18细胞、MDA231-LM2细胞

LLC-WRC 256细胞类似产品::HuNS1细胞、HEEpiC细胞、MHCC-LM3细胞

BIC细胞类似产品::NCI-H1563细胞、Adeno 293细胞、Panc-3_27细胞

AG06814-M细胞类似产品::J774 A.1细胞、SNU-761细胞、Walker/LLC-WRC256细胞

BrCL18细胞类似产品::MUTZ3细胞、SKMEL-2细胞、VK-2/E6E7细胞

Astrocyte type I clone细胞类似产品::NCI-SNU-1细胞、H2.35细胞、SHI1细胞

UCLA SO M21细胞类似产品::MAVER-1细胞、Mono Mac 6细胞、SF-295细胞

ChaGo-K-1细胞类似产品::Michigan Cancer Foundation-7细胞、LS123细胞、CAKI1细胞

VMM-5A细胞类似产品::CC-LP-I细胞、AtT20细胞、PL-9细胞

FHCRC-11细胞类似产品::Metastatic Variant-522细胞、SupT1细胞、NCI-H2227细胞

CAL-78细胞类似产品::NCI-H1435细胞、COLO 680N细胞、Ontario Cancer Institute-Acute Myeloid Leukemia-5细胞

RBE4细胞类似产品::B95-8细胞、MCF-12F细胞、NCIH522细胞

OCI-LY-19细胞类似产品::CCD-18Co细胞、A-427细胞、NCIH2452细胞

KMB 17细胞类似产品::MCF10A细胞、COV362细胞、SNU216细胞

HTori-3.1细胞类似产品::BEL-7405细胞、TEC细胞、P3HR-1细胞

H1299细胞类似产品::C-4-I细胞、Jurkat细胞、T8细胞

TE 85.T细胞类似产品::BE(2)M17细胞、RPTEC/TERT1细胞、GA-10 (Clone 4)细胞

UACC-893细胞类似产品::HGC27细胞、NCIH810细胞、NB19细胞

EBNA-293细胞类似产品::SKNBE(1)细胞、QBC(939)细胞、GP5d细胞

H-676细胞类似产品::X63-Ag 8.6.5.3细胞、Hs742T细胞、H1238细胞

RCM1细胞类似产品::J-82细胞、RMS 1598细胞、Laboratory of Allergic Diseases 2细胞

G-292, clone A141B1细胞类似产品::Hs 766.T细胞、SCC-1395细胞、MT4细胞

SNU-601细胞类似产品::NT2/D1细胞、PANC-03-27细胞、DSL-6A-C1细胞

HEK 293T/17细胞类似产品::SKML-28细胞、FHs 74 Int细胞、BHT-101细胞

P3/NS1/1-Ag4-1细胞类似产品::EU-3细胞、GM 2132细胞、SHP-77细胞

LICCF细胞类似产品::Emory University-3细胞、DB细胞、EJ1细胞

AR42J细胞类似产品::COR-L88细胞、TI-73细胞、HeLa S 3细胞

L细胞类似产品::PMVEC细胞、DU-4475细胞、NCI-SNU-668细胞

CF Pac1细胞类似产品::bEND.3细胞、32D-Cl3细胞、HCC-1588细胞

OCI-LY-18细胞类似产品::ROS17/2.8细胞、MCA38细胞、HCC-9724细胞

HCC-1419细胞类似产品::Adeno 293细胞、MCFs细胞、INS-1E细胞

IMCD3细胞类似产品::P560细胞、MKN-1细胞、NCI-H2052细胞

UPCI-SCC090细胞类似产品::L M (TK-)细胞、Panc 1细胞、NCI.H460细胞

ZR751细胞类似产品::PK (15)细胞、DI TNC1细胞、CHP-212细胞

SHI1细胞类似产品::RAG细胞、U266 Bl细胞、LIM1215细胞

C-32细胞类似产品::EST81细胞、Cloudman M3细胞、UK Pan-1细胞

COLO 357细胞类似产品::MB-49细胞、PC 61-5-3细胞、AR42J细胞

U343MG细胞类似产品::JM-Jurkat细胞、RPMI 1788细胞、U87-MG细胞

KYSE-70细胞类似产品::HEK/293细胞、NCI-H82细胞、Nthy-ori 3.1细胞

58F细胞类似产品::BNL CL2细胞、H1395细胞、NCI-H2135细胞

EAC细胞类似产品::U-373 MG细胞、Acanthosis Nigricans 3rd attempt-CArcinoma细胞、Swiss-3T3细胞

P3J HR1-K细胞类似产品::A-101D细胞、HCC1008细胞、NCIH1563细胞

293-EBNA1细胞类似产品::NS-1-Ag4-1细胞、RAW264.7细胞、Blotchy fibroblast-11细胞

LTEP-a-2细胞类似产品::BOWES细胞、SKNBE(2c)细胞、A498细胞

NCIH1734细胞类似产品::SUDHL-1细胞、NCI-H1395细胞、SW-403细胞

H-2286细胞类似产品::WERI Rb-1细胞、LSC-1细胞、Hs-578-T细胞

OCILY10细胞类似产品::HLF-a细胞、RSMC细胞、C3H10T1/2 clone8细胞

P 3 HR 1细胞类似产品::SK-MEL-31细胞、Monomac-1细胞、NCI-HUT-460细胞

Panc-08.13细胞类似产品::C4-I细胞、Normal Rat, August 3, 1983细胞、MCF 7细胞

RT112细胞类似产品::RS4;11细胞、P 815细胞、HaCaT细胞

TE-7细胞类似产品::Human Intestinal Epithelial Cell-6细胞、MGH-UI细胞、H2291细胞

SPC-A-1细胞类似产品::CEM.C1细胞、BC-024细胞、751细胞

3T3F442A细胞类似产品::Microbiological Associates-104细胞、JB-6 Cl 30细胞、NWA细胞

SK-N-BE(2)C细胞类似产品::MDA-MB157细胞、NCI-H64细胞、J-111细胞

DHL-16细胞类似产品::MyLa2059细胞、NS1-Ag4细胞、ARO81-1细胞

AMC-HN-8细胞类似产品::BEL7405细胞、HMSC细胞、SKMES-1细胞

SKMEL24细胞类似产品::32D clone 3细胞、UMNSAH/DF-1细胞、RGC6细胞

MMAc-SF细胞类似产品::HEB细胞、Kit-225-K6细胞、MB157细胞

HOS-TE85细胞类似产品::SkMel31细胞、MS1细胞、OCI/AML-4细胞

NCIH2291细胞类似产品::Mouse Colon 38细胞、WB F344细胞、KE37细胞

Transformed Human Liver Epithelial-3细胞类似产品::NRCC细胞、TE-1细胞、S.B.细胞

P31/Fujioka细胞类似产品::B958细胞、SK BR 03细胞、D562细胞

NCI-SNU-407细胞类似产品::CAMA1细胞、UC-3细胞、H-2009细胞

RA细胞类似产品::T47D细胞、NCIH2291细胞、MV522细胞

Duck embryo细胞类似产品::ECC12细胞、SCLC21H细胞、Sp 2817细胞

no.11细胞类似产品::HCE-2 [50.B1]细胞、THC-8307细胞、HCA-7细胞

Jiyoye (P-2003)细胞类似产品::H-1299细胞、COS1细胞、HMCB细胞

NCIH2052细胞类似产品::G361mel细胞、A10细胞、Radiation Effects Research Foundation-Lung Cancer-MS细胞

WEHI 231细胞类似产品::Tn 5B1-4细胞、H1793细胞、H647细胞

GM04680细胞类似产品::PL11细胞、KYSE270细胞、WSU-HN13细胞

LM TK negative细胞类似产品::SW1088细胞、P3J细胞、HR1K细胞

SNU-368细胞类似产品::AML12细胞、MS 751细胞、5-8F细胞

C-4I细胞类似产品::BMF细胞、YH-13细胞、Pa18C细胞

SRA01/04 (HLE)细胞类似产品::AMO-1细胞、SBC3细胞、3-LL细胞

MiaPaca.2细胞类似产品::MGHU1细胞、L-428细胞、MDA-MB-330细胞

2BS细胞类似产品::alphaTC1 Clone 6细胞、NCI-H2030细胞、H69细胞

NCI H929细胞类似产品::SUM 159细胞、Pt-K2细胞、J 111细胞

LS 123细胞类似产品::LS1034细胞、NCIH1436细胞、WM-266-mel细胞

OsA-CL细胞类似产品::TE11细胞、PFSK细胞、38C13细胞

NCIH2029细胞类似产品::SW 1353细胞、IM-95细胞、DMS79细胞

KYSE140细胞类似产品::H1573细胞、BJ1细胞、H1299细胞

SK-MES-1细胞类似产品::NEC细胞、SU-86-86细胞、Simpson细胞

Rh30细胞类似产品::HT 115细胞、Ramos.G6.C10细胞、JM-Jurkat细胞

LAN-6细胞类似产品::H82sclc细胞、207细胞、CFPAC细胞

H1385细胞类似产品::MM.1S细胞、MD Anderson-Metastatic Breast-175-VIII细胞、HeLa229细胞

COLO-680N细胞类似产品::HEK-293FT细胞、KP 4细胞、HGSMC细胞

NHEK细胞类似产品::MDA 435细胞、526 mel细胞、OCI-Ly 18细胞

HFF1细胞类似产品::BNL 1ME A.7R.1细胞、MB39细胞、H295R-S1细胞

GS-9L细胞类似产品::BC-028细胞、Neukoplast细胞、OAW42细胞

TMD8细胞类似产品::UMNSAH/DF-1细胞、H-1915细胞、SNU387细胞

IPEC1细胞类似产品::SKNBE2C细胞、hFOB细胞、Mel526细胞

SHI-1细胞类似产品::T24(ECV304)细胞、C32r细胞、A 172细胞

HOC-1 Cells(赠送Str鉴定报告)|人卵巢癌细胞

Panc 04.03细胞类似产品::Mono-Mac-1细胞、T2(174 x CEM.T2)细胞、L428细胞

Walker/LLC-WRC256细胞类似产品::INS1-E细胞、CL1-0细胞、Vero 76 clone E-6细胞

AR4-IP细胞类似产品::S3 HeLa细胞、Scott and White No. 13细胞、Rat Fetal Lung-6细胞

H-35细胞类似产品::KP 4细胞、SUDHL2细胞、BSC1细胞

H226细胞类似产品::H-1882细胞、SK N SH细胞、CEM.C1细胞

MDA157细胞类似产品::Mink Lung细胞、T-cell Acute Lymphoblastic Leukemia-1细胞、UCLA NPA-87-1细胞

USMC细胞类似产品::UT7细胞、Hs 840.T细胞、HEK-293-F细胞

COR-L51细胞类似产品::C26细胞、MC/9细胞、LM8细胞

CATHa细胞类似产品::KMB17细胞、GM 637细胞、GM 637细胞

WSU-HN13细胞类似产品::RPMI 8402细胞、H2073细胞、DAN-G细胞

ZYM-DIEC02细胞类似产品::HPaSteC(HPSC)细胞、RPPVEC细胞、NL20SV细胞

GM00637H细胞类似产品::A101D细胞、SUDHL16细胞、IM-95细胞

OSC-19细胞类似产品::BE2_C细胞、MDA 1386细胞、CL 1-0细胞

B16 melanoma F10细胞类似产品::NCIH69细胞、OKT3细胞、EFO-27细胞

B16 melanoma F10细胞类似产品::NCIH69细胞、OKT3细胞、EFO-27细胞

IEC-6细胞类似产品::AdHek细胞、OCI-LY-7细胞、Hs 839.T细胞

Hs 606.T细胞类似产品::NCI-SNU-16细胞、TM3细胞、HDSMC细胞

RAMSCs细胞类似产品::H920细胞、DHL-6细胞、A3细胞

GM03570细胞类似产品::Onda 11细胞、NIHOVCAR3细胞、Mouse Bladder Tumor line-2细胞

RINm5F细胞类似产品::AMO1细胞、U138MG细胞、SKHEP-1细胞

NBLAN5T细胞类似产品::KFB细胞、HEL-299细胞、CEK细胞

PLC细胞类似产品::Hs739T细胞、RPMI-1788细胞、OVCA-432细胞

TE-7细胞类似产品::Human Intestinal Epithelial Cell-6细胞、MGH-UI细胞、H2291细胞

PC-9/GR细胞类似产品::PC 61-5-3细胞、NCI-H2172细胞、MDA MB 134VI细胞

UCD-MLA-144细胞类似产品::SW-900细胞、L132细胞、SK MEL 5细胞

GM00637F细胞类似产品::TMD-8细胞、H766T细胞、X63-Ag8细胞

MDA-MB-468细胞类似产品::V79-4细胞、H82细胞、Ra No. 1细胞

D-341Med细胞类似产品::MT2细胞、hTERT-HPNE细胞、RPMI #8226细胞

OCI-AML-4细胞类似产品::SK-N-DZ细胞、RPMI-6666细胞、HEM-L细胞

CA-46细胞类似产品::B-95-8细胞、CCD-1095Sk细胞、PCI-4B细胞

P30OHK细胞类似产品::Rat-2细胞、H69/P细胞、SK-ES-1细胞

EM-3细胞类似产品::TE671/RD细胞、NCI-H2066细胞、N1E-115细胞

"



HOC-1 Cells(赠送Str鉴定报;

公司简介

上海冠导生物工程有限公司,先后从ATCC、DSMZ、ECACC、RIKEN、PromoCell、ScienCell、JCRB等国内外细胞库引进细胞2000余株。以此为契机,公司组建了冠导细胞库,我司细胞均由资深细胞培养工程师进行培养。我司可以提供的细胞有:①细胞系②原代细胞③稳转株④耐药株⑤标记细胞⑥细胞配套试剂等。

成立日期 (11年)
注册资本 100万(元)
员工人数 50-100人
年营业额 ¥ 1000万-5000万
经营模式 工厂,试剂,定制,服务
主营行业 细胞培养,微生物学,细胞生物学

HOC-1 Cells(赠送Str鉴定报告)|人卵巢癌细胞相关厂家报价

内容声明
拨打电话 立即询价