基本信息 产品详情 公司简介 推荐产品
网站主页 LUDLU-1 CELLS:人肺癌鳞癌细胞系 LUDLU-1 Cells(赠送Str鉴定报告)|人肺癌鳞癌细胞
  • LUDLU-1 Cells(赠送Str鉴定报告)|人肺癌鳞癌细胞

LUDLU-1 Cells(赠送Str鉴定报告)|人肺癌鳞癌细胞

LUDLU-1 Cells
询价 1000000细胞数 起订
2000000细胞数 起订
上海 更新日期:2026-04-26

上海冠导生物工程有限公司

VIP6年
联系人:全经理
电话:18818239863拨打
邮箱:3171921642@qq.com

产品详情:

中文名称:
LUDLU-1 Cells(赠送Str鉴定报告)|人肺癌鳞癌细胞
英文名称:
LUDLU-1 Cells
保存条件:
常温培养或液氮冻存
纯度规格:
LUDLU-1 Cells(赠送Str鉴定报告)|人肺癌鳞癌细胞
产品类别:
生物试剂

"LUDLU-1 Cells(赠送Str鉴定报告)|人肺癌鳞癌细胞

细胞背景资料:详见相关文献介绍

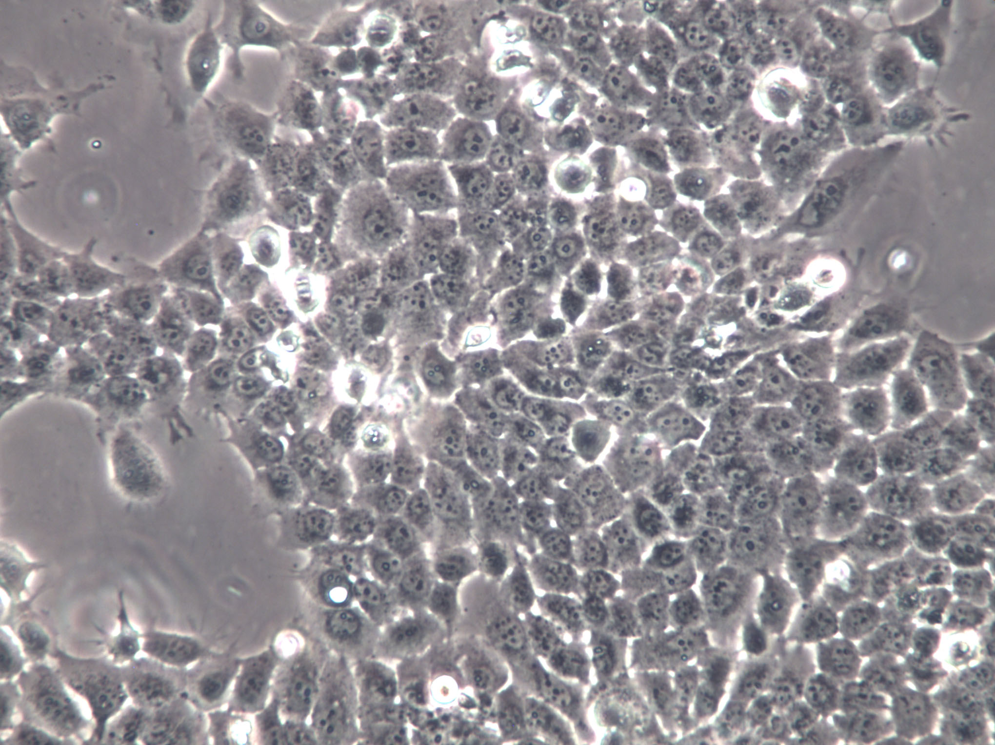
细胞形态:上皮细胞样

【细胞培养中支原体、黑蛟虫、真菌的污染情况总结】支原体:黑色的,HAO象多为多形,培养液一般培养液一般会浑浊,原体感染,国内血清很多都没有做支原体阴性检测,而支原体是牛血清中Zui常见的微生物之一。而且它不能用过滤的办法除去。支原体感染细胞以后,细胞病变不很明显,只是慢慢死去。用泰乐菌素,兽用支原体病的药,但可用于细胞培养,无任何不良反应。如果作为常用的抗生素的话, 建议用8ug/ml的浓度;黑蛟虫:可以穿透滤膜,也可以通过空气传播,低倍下为黑色点状,GAO倍下可看见黑色的小虫游来游去,培养液也是不浑的,一般不会太影响,细胞还是可以用的。常常是细胞生长状态良HAO,且观测到的运动物无明显增多,且培养液颜色、透明度无明显变化,可在同一批号的血清养的细胞中发现类似现象。对细胞生长状态不会有明显影响,在细胞增殖旺盛之后会自然消失,除更换血清外无须殊处理。建议如果细胞有可能是此种污染的话,可以增加细胞的种板密度,以提GAO细胞的生存率;真菌:一般培养液清亮,不变色,镜下有丝状物,有些真菌开始很像死细胞碎片,只是它很多很多的小块很清楚,象珊瑚状,不象细胞碎片分不清,慢慢的会长出很细的黑色丝状物。真菌生长的比较慢,不象细菌那么容易被发现,但是一旦发现有它的存在细胞就被污染了,也很难救活了。

细胞生长:贴壁

HeLa 229细胞类似产品::NTERA-2cl.D1细胞、LS 180细胞、FRTL5细胞

HOP-92细胞类似产品::L-WRN细胞、SCC25细胞、LA-N-6细胞

Kit-225-K6细胞类似产品::OVCA-420细胞、H4IIEC3细胞、ABE­8.1/2细胞

P3/NS1/1-Ag4-1细胞类似产品::EU-3细胞、GM 2132细胞、SHP-77细胞

HT-22细胞类似产品::HCC 70细胞、Lewis lung carcinoma line 1细胞、Walker 256细胞

LUDLU-1 Cells(赠送Str鉴定报告)|人肺癌鳞癌细胞

细胞物种来源:人源或鼠源等其它物种来源

[细胞产品包装]鲜活细胞:T25培养瓶(一瓶)或冻存细胞:1ml冻存管(两支)

在细胞培养过程中会出现这样或那样的问题,客户遇到的问题从细胞生长角度来说,针对细胞培养过程中生长不HAO、甚至死亡的原因,我们做以下分析并提出相对应的解决方法。一、培养细胞生长不HAO》可能原因:细胞本身的状态》1)细胞传代次数多,细胞老化;2)细胞的接种量:接种量过低,细胞生长缓慢;3)细胞传代时间过晚:细胞中毒,影响传代后的细胞生长;4)胰酶消化时间过长或过短:时间过长,细胞死亡;时间过短,细胞未完全分离而成团,细胞死亡;5)细胞的冻存与复苏:慢冻速融。污染:1)支原体污染;2)霉菌污染;培养基或血清:1)更换血清或培养基之前未进行验证;2)选择的培养基是否合适;3)培养基配制是否准确无误;培养环境:1)CO2供应是否正常;2)培养箱或摇床温度控制是否正确;解决方法:根据以上四个方面的可能原因,做出针对性的解决方案》1)注意细胞的本身状态:如传代次数、接种量等;2)避免产生污染(用正规、合法、可溯源的血清);3)要用合适的血清或培养基,ZuiHAO经过验证;4)注意实验室的环境;二、培养细胞死亡》可能原因:1)培养箱内无CO2;2)培养箱内温度波动太大;3)细胞冻存或复苏过程中损伤;4)培养液渗透压不正确;5)培养液中有毒代谢产物堆积;解决方法:1)检测培养箱内CO2;2)检查培养箱内温度;3)取新的保存细胞种;4)检测培养液渗透压;5)换入新鲜培养液。

细胞传代方法:1:2-1:3传代;每周换液2-3次。

NCI-H-295细胞类似产品::KM932细胞、LN-229细胞、NCCIT细胞

KMH2细胞类似产品::SKNBE(2)细胞、ARIP细胞、PG-4 (S+L-)细胞

Hs 766细胞类似产品::SUM52PE细胞、A172细胞、HF-91细胞

H2085细胞类似产品::Epstein-Barr-1细胞、MC3T3, E1 subgroup-4 clone细胞、H1618细胞

NCIH1651细胞类似产品::KG-1细胞、HuT 78细胞、NCIH1792细胞

细胞来源说明:来源于RCB、ATCC、KCLB、DSMZ、ECACC、INCell、ScienCell、ECACC、JCRB、Asterand、ICLC等知名细胞库

LUDLU-1 Cells(赠送Str鉴定报告)|人肺癌鳞癌细胞

细胞生长特性:贴壁或悬浮,详见细胞说明书部分

CCC-HEL-1细胞类似产品::SF763细胞、MDA.MB.231细胞、WM-266-mel细胞

U-hth74细胞类似产品::MEL-526细胞、HuT-78细胞、P3HR1细胞

LTEP a2细胞类似产品::P3X63 AG 8.653细胞、870细胞、Malme-3 M细胞

IEC6细胞类似产品::HEK 293-EBNA细胞、COR-L23细胞、ME-180细胞

MOLP-8细胞类似产品::Hs 742.T细胞、HSC-4细胞、SNU475细胞

SK-MEL-1细胞类似产品::BV173细胞、ACC-M细胞、MDA-436细胞

常见细胞培养中一些问题总结:1)培养基中血清的比例多少合适?血清是细胞培养上一个极为重要的营养来源,所以血清的含量多少会对细胞的生长会产生极大的影响。血清的含量一般为5%-15%,不要低于5%或GAO过20%,因为含量过低会导致细胞营养不足,过GAO则会破坏渗透压平衡。一般建议血清含量为10%,可以适量加减;2)何时须更换培养基?视细胞生长密度而定,或遵照细胞株基本数据上的更换时间,按时更换培养基即可。还可以参照指示剂的颜色变化进行更换;3)购买的复苏细胞,为何会有脱落?因为运输的过程中不可避免的会有震荡,收到后可以离心收集;4)购买的细胞冷冻管经解冻后,为何会发生细胞数目太少之情形?研究人员在冷冻细胞之培养时出现细胞数目太少,大都是因为离心过程操作上的失误,造成细胞的物理性损伤,以及细胞流失。建议细胞解冻后不要立刻离心,应待细胞生长隔夜后再更换培养基即可;5)购买的细胞死亡或细胞存活率不佳可能原因?研究人员在细胞培养时出现存活率不佳,常见原因可归纳为:培养基使用错误或培养基品质不佳。血清使用错误或血清的品质不佳。解冻过程错误。冷冻细胞解冻后,加以洗涤细胞和离心。悬浮细胞误认为死细胞。培养温度使用错误。细胞置于–80°C太久;6)收到的冷冻管瓶身破裂,瓶盖有裂纹,或瓶盖脱落之原因?冷冻管瓶盖裂纹,或瓶身破裂,可能是因为操作者夹取冷冻管时用力不当,造成冷冻管裂损,建议使用止血钳小心夹取。另冷冻管瓶盖松动或松脱,乃因热胀冷缩之物理现象,冷冻管有可能因此而造成细胞污染,故冷冻管于放入和取出液氮桶时,均应立刻将冷冻管再一次扭紧。

细胞传代培养实验:体外培养的原代细胞或细胞株要在体外持续地培养就必须传代,以便获得稳定的细胞株或得到大量的同种细胞,并维持细胞种的延续。培养的细胞形成单层汇合以后,由于密度过大生存空间不足而引起营养枯竭,将培养的细胞分散,从容器中取出,以1:2或1:3以上的比率转移到另外的容器中进行培养,即为传代培养;细胞“一代”指从细胞接种到分离再培养的一段期间,与细胞世代或倍增不同。在一代中,细胞培增3~6次。细胞传代后,一般经过三个阶段:游离期、指数增生期和停止期。常用细胞分裂指数表示细胞增殖的旺盛程度,即细胞群的分裂相数/100个细胞。一般细胞分裂指数介于0.2%~0.5%,肿瘤细胞可达3~5%;细胞接种2~3天分裂增殖旺盛,是活力ZuiHAO时期,称指数增生期(对数生长期),适宜进行各种试验。实验步骤:1.将长成的培养细胞从二氧化碳培养箱中取出,在超净工作台中倒掉瓶内的培养液,加入少许消化液。(以液面盖住细胞为宜),静置5~10分钟。2.在倒置镜下观察被消化的细胞,如果细胞变圆,相互之间不再连接成片,这时应立即在超净台中将消化液倒掉,加入3~5ml新鲜培养液,吹打,制成细胞悬液。3.将细胞悬液吸出2ml左右,加到另一个培养瓶中并向每个瓶中分别加3ml左右培养液,盖HAO瓶塞,送回二氧化碳培养箱中,继续进行培养。一般情况,传代后的细胞在2小时左右就能附着在培养瓶壁上,2~4天就可在瓶内形成单层,需要再次进行传代。

OCI-Ly3细胞类似产品::C8166细胞、WERI-Rb-1细胞、PLA801D细胞

Hs294细胞类似产品::HIT细胞、COLO 201细胞、MDA-MB435细胞

H1436细胞类似产品::Hep 2细胞、NRK clone 49F细胞、D6P2T细胞

HEK293EBNA细胞类似产品::OACP4 C细胞、NCIH2110细胞、3AA细胞

Hep-G2/C3A细胞类似产品::alpha TC1-6细胞、BJA-B-1细胞、aTC1-6细胞

Rabbit Kidney 13细胞类似产品::NCIH1650细胞、A2780CP70细胞、SK-N-BE2C细胞

HCC366细胞类似产品::L-363细胞、KYSE70细胞、GM00637H细胞

MAntle cell VERona-1细胞类似产品::CORL88细胞、PASMCS细胞、Tu686细胞

R1610细胞类似产品::H510细胞、Murine Thymic Epithelial Cell line 1细胞、HUT 28细胞

TOV21G细胞类似产品::Ontario Cancer Institute-Acute Myeloid Leukemia-4细胞、PANC-1细胞、SNU398细胞

LIM 1215细胞类似产品::U-87细胞、DF1细胞、H1573细胞

NCIH460细胞类似产品::Panc02-H0细胞、COLO-357细胞、NCIH292细胞

BNL-CL.2细胞类似产品::NW-MEL-38细胞、HSF细胞、P31-FUJ细胞

NS1细胞类似产品::H-889细胞、OVCAR-5细胞、AN3细胞

Y1细胞类似产品::CaSki细胞、28SC细胞、LS-123细胞

V79-1细胞类似产品::MM96L细胞、Capan1细胞、HEY-A8细胞

V79-1细胞类似产品::MM96L细胞、Capan1细胞、HEY-A8细胞

OUMS23细胞类似产品::LA795细胞、WEHI-164细胞、Panc 03.27细胞

MC3T3-E1 Subclone 4细胞类似产品::RCF细胞、H184A1细胞、CAL 148细胞

NCI-H838细胞类似产品::hTERT-RPE-1细胞、R1610细胞、Okayama University Medical School-23细胞

G361mel细胞类似产品::VP 267细胞、HCC-202细胞、HPB/ALL细胞

RWPE-1细胞类似产品::NCI-H2073细胞、EFM192A细胞、TE3细胞

HMC3细胞类似产品::LC-1Sq细胞、CG-4细胞、HConEpic细胞

Panc-08.13细胞类似产品::C4-I细胞、Normal Rat, August 3, 1983细胞、MCF 7细胞

MONO-MAC 6细胞类似产品::H-2135细胞、P30/OHK细胞、EOC 20细胞

H9c2(2-1)细胞类似产品::MFE296细胞、PLCPRF5细胞、HCC0044细胞

SCCVII细胞类似产品::U-373MG ATCC细胞、Vx-2细胞、SiHa细胞

Wien-133细胞类似产品::NCI-322细胞、NL20细胞、NCIH2030细胞

SJRH-30细胞类似产品::MC3T3-E1 Subclone 14细胞、746T细胞、SuDHL 4细胞

CD18细胞类似产品::LUDLU 1细胞、MARC-145细胞、HCC0827细胞

MZCRC1细胞类似产品::PNT-1A细胞、YD15细胞、HLF-a细胞

H2107细胞类似产品::38C-13细胞、HIT T-15细胞、KB细胞

MTC-TT细胞类似产品::UMC11细胞、MeWo细胞、HBVSMC细胞

TE-5细胞类似产品::Leydig细胞、KU1919细胞、T.T细胞

P3-X63-Ag 8.653细胞类似产品::NCIH1618细胞、NBLS细胞、TGW细胞

NCIH1915细胞类似产品::SW260细胞、293细胞、MDA 435细胞

P3/NS1/1-Ag4.1细胞类似产品::H2444细胞、IR 983F细胞、LC1细胞

NIH3T3细胞类似产品::MGH-U1细胞、266 Bl细胞、TE-4细胞

H1623细胞类似产品::OCILY7细胞、HO-8910PM细胞、mouse Inner Medullary Collecting Duct-3细胞

Hs606细胞类似产品::JHH7细胞、HDMEC细胞、Panc 8.13细胞

Madin-Darby Canine Kidney细胞类似产品::U-251细胞、CCC-HEL-1细胞、RERF-LC-MS细胞

LUDLU-1 Cells(赠送Str鉴定报告)|人肺癌鳞癌细胞

SW1088细胞类似产品::P3X63NS1细胞、SUDHL-2细胞、SW-1573细胞

H-1755细胞类似产品::NCIH2342细胞、COLO-680N细胞、OCI-AML-3细胞

Rat Lung Epithelial-6-T-antigen Negative细胞类似产品::U-87 MG细胞、LAN-1细胞、MeT 5A细胞

J774.A1细胞类似产品::DMS114细胞、UMR 106细胞、RGC-6细胞

SNU-520细胞类似产品::H-1648细胞、H-460细胞、TE-3A细胞

Hs 934.T细胞类似产品::MV4-11细胞、NCIH2030细胞、G 401细胞

Madin-Darby Bovine Kidney细胞类似产品::C3H/10T1/2细胞、WM 239-A细胞、U-266 AR1细胞

PLB985细胞类似产品::Pro-5WgaRI3C细胞、P30-OHKUBO细胞、Panc-05.04细胞

NK-92.05细胞类似产品::32D-Cl3细胞、H1573细胞、NCI-H146细胞

149 PT细胞类似产品::Hs 578T细胞、H-9细胞、SNU878细胞

BJAB细胞类似产品::COLO 320 DM细胞、SK-N-BE(2)-M17细胞、tdott细胞

Walker/LLC-WRC 256细胞类似产品::GM05384细胞、Panc8.13细胞、HCT 8细胞

TR-146细胞类似产品::MDA-231细胞、University of Michigan-Urothelial Carcinoma-3细胞、CHO细胞

H-1688细胞类似产品::MDA330细胞、LLC-PK-1细胞、Moorfields/Institute of Ophthalmology-Muller 1细胞

H-1688细胞类似产品::MDA330细胞、LLC-PK-1细胞、Moorfields/Institute of Ophthalmology-Muller 1细胞

H-522细胞类似产品::HEK-293-F细胞、HTR8/SVneo细胞、H-1703细胞

ZYM-SVEC01细胞类似产品::EB-1细胞、HOS-143B细胞、KTCTL-140细胞

NOZC-1细胞类似产品::F442A细胞、MFE-280细胞、Hs 636.T细胞

BV2细胞类似产品::KYSE 520细胞、HCC-2108细胞、SKG3A细胞

HHL-5细胞类似产品::PL 5细胞、NCI-H1963细胞、LAD2细胞

LICR-LON-HN6-R细胞类似产品::751细胞、VM-CUB-1细胞、IGR.OV1细胞

Tb 1-Lu细胞类似产品::BNL-HCC细胞、NCIH1688细胞、GM07404D细胞

Huh-7.5细胞类似产品::HEK 293-H细胞、NCI-H510细胞、MA104细胞

HIMEC细胞类似产品::NCI-157细胞、2V6.11细胞、SCL-2细胞

NCI-H711细胞类似产品::P3/X63/Ag8细胞、BEL-7405细胞、EoL-1-cell细胞

OAC-P4C细胞类似产品::Hut292细胞、Karpas 422细胞、AG06814-M细胞

YD15细胞类似产品::Hs940T细胞、Emory University-2细胞、SKNO-1细胞

Calu 6细胞类似产品::LAN6细胞、H220细胞、K299细胞

SKOV-433细胞类似产品::H1703细胞、Hs 729.T细胞、MC-26细胞

SK-MEL-1细胞类似产品::BV173细胞、ACC-M细胞、MDA-436细胞

SKNEP细胞类似产品::U-138MG细胞、U14细胞、BIC1细胞

MDCK supertube细胞类似产品::MF2059细胞、NCIH1693细胞、NBL-4细胞

MC3T3-E1 Subclone 4细胞类似产品::RCF细胞、H184A1细胞、CAL 148细胞

COLO 684细胞类似产品::NCI-SNU-620细胞、AtT-20细胞、SKMEL2细胞

H-292细胞类似产品::WEHI164细胞、PC3M细胞、NCI-H-128细胞

HEK-293FT细胞类似产品::B16F10细胞、Jiyoye(P-2003)细胞、High 5细胞

HVSMC细胞类似产品::OCI-AML5细胞、1.1B4细胞、BLO 11细胞

HK2细胞类似产品::OCI-Ly 10细胞、2E8细胞、H-4-II-E细胞

HCC1438细胞类似产品::SK-N-BE-2细胞、OVCA-433细胞、A-673细胞

HuP-T4细胞类似产品::LAN-6细胞、OCI/AML-2细胞、EL4细胞

A549/DDP细胞类似产品::NCI-H2029细胞、SW 948细胞、COLO320 DM细胞

ACT-1细胞类似产品::LC-2-Ad细胞、SW1990细胞、H1688细胞

NCIH548细胞类似产品::COLO 679细胞、HGC27细胞、NCI-H838细胞

H-2110细胞类似产品::RCC 786-O细胞、Hs-729-T细胞、WC00079细胞

S3 HeLa细胞类似产品::MDA-MB 231细胞、MPVECs细胞、Melan-a细胞

NCIH358细胞类似产品::NOMO-1细胞、Giant Cell Tumor细胞、COS-1细胞

HH [Human lymphoma]细胞类似产品::NCIH1184细胞、H-1882细胞、C2A细胞

OCI/AML3细胞类似产品::hRMECs细胞、Fetal Bovine Heart Endothelial细胞、PC.3细胞

RenCa细胞类似产品::NIE 115细胞、SVOG细胞、MT-2细胞

aNK细胞类似产品::OVCA8细胞、BNL 1ME A.7R.1细胞、NALM-6-M1细胞

A.704细胞类似产品::HEK293-EBNA细胞、16HBE140细胞、HSC-2细胞

NCI-UMC-11细胞类似产品::WM-115细胞、H1623细胞、NK-92 MI细胞

CAL120细胞类似产品::IMR90细胞、OCILY-19细胞、RK-13细胞

AMO1细胞类似产品::RKO-AS-45-1细胞、MHCC 97-L细胞、OPM2细胞

LNCaP-ATCC细胞类似产品::MLA 144细胞、Japanese Tissue Culture-28细胞、P3HRI细胞

NMCG-1细胞类似产品::GM00215细胞、TE-32细胞、CAL 62细胞

ES2细胞类似产品::OCI AML5细胞、ChaGo-K1细胞、32D/cl3细胞

NPA87-1细胞类似产品::SUM 52PE细胞、Y3细胞、HT 1376细胞

Hs688(A)T细胞类似产品::WM266-4细胞、mousepodocyte细胞、HTR8/SVneo细胞

L5178YR细胞类似产品::D10细胞、L M (TK-)细胞、NCIH748细胞

NS-I/1细胞类似产品::3T3J2细胞、WRL-68细胞、SNUC2B细胞

HTori:3细胞类似产品::KBM-7/Hap8细胞、H4-II-E细胞、SCC7细胞

PA12细胞类似产品::R-1059-D细胞、Tadarida brasiliensis 1 lung细胞、EMT-6细胞

H9细胞类似产品::8402细胞、TE-10细胞、HEK 293细胞

VM-CUB-I细胞类似产品::SHIN-3细胞、HFL 1细胞、HOS(TE85)细胞

NTERA-2细胞类似产品::TCMK1细胞、FD-LSC-1细胞、NCI-H378细胞

RASMC细胞类似产品::OCI-Ly8细胞、TPC-1细胞、WSU-DLCL-2细胞

NCI-H3255细胞类似产品::CATH-a细胞、C8166-CD4细胞、H-196细胞

OCI-Ly01细胞类似产品::Hs 578Bst细胞、COLO 699细胞、E6-1细胞

HCE-2 [50.B1]细胞类似产品::G-401细胞、HRA-19细胞、NCIH378细胞

OVCA-420细胞类似产品::RIN-m5F细胞、Fetal Rhesus Kidney-4细胞、Pa14C细胞

CTX TNA2细胞类似产品::JB-6 Cl 30细胞、USMC细胞、C-32细胞

Colo205细胞类似产品::KBM-7细胞、RAG细胞、MHCC 97细胞

PNEC30细胞类似产品::Ly7细胞、FHC细胞、BCPAP细胞

BDCM细胞类似产品::OCI/AML2细胞、Plaepi 34细胞、SUIT-2细胞

AAV-293细胞类似产品::P19细胞、A1847细胞、HECV细胞

HT-3细胞类似产品::TE353.SK细胞、SK-N-BE2细胞、WM-239细胞

CCD966SK细胞类似产品::KYSE-150细胞、Hs821T细胞、YD38细胞

HOP 92细胞类似产品::WiDr/S细胞、624mel细胞、DI-TNC1细胞

OVCA-433细胞类似产品::HOS细胞、NCC-IT细胞、Bowes melanoma cells细胞

Farage细胞类似产品::NRK clone 52E细胞、NTera2/D1细胞、H-1522细胞

Murine Thymic Epithelial Cell line 1细胞类似产品::T-84细胞、Lilly Laboratories Cell-Porcine Kidney 1细胞、PA I细胞

MSTO-211细胞类似产品::HSC2细胞、TFK1细胞、SK.MEL.2细胞

BC-3H-1细胞类似产品::H766T细胞、BALB/3T3 (clone A31)细胞、MCA 205细胞

COLO-357细胞类似产品::SNU449细胞、S91细胞、MM1.S细胞

UM-UC14细胞类似产品::NCIH510细胞、OVCAR 8细胞、Psi2-DAP细胞

PCI:SG-231细胞类似产品::SK-ES1细胞、Hs 27细胞、Hs 706.T细胞

SK-MEL-5细胞类似产品::H28细胞、Mel624细胞、NCI-SNU-C1细胞

HT144-mel细胞类似产品::MDA MB 436细胞、C6细胞、IHH细胞

SU.86细胞类似产品::TCam-2细胞、IGROV1细胞、HPAF-I细胞

EAhy926细胞类似产品::Hs.27细胞、C-33 A细胞、NCI-322细胞

LNCaP subline C4-2细胞类似产品::Swiss3T3细胞、SK_HEP1细胞、CHO/dhFr-细胞

Clone M-3细胞类似产品::MDA-MB435细胞、MOPC细胞、SNU-368细胞

CCRF.CEM细胞类似产品::OCIAML2细胞、SUDHL-16细胞、Hs 688(A).T细胞

Tadarida brasiliensis 1 lung细胞类似产品::JCA-1细胞、SCC15细胞、P30/OHK细胞

SU-DHL-5细胞类似产品::WiDr-TC细胞、PC3-M细胞、MCA 38细胞

CCC-HSF-1细胞类似产品::McArdle RH-7777细胞、UMNSAH-DF-1细胞、2780细胞

H-146细胞类似产品::HCC-1359细胞、H64细胞、KALS1细胞

NW38细胞类似产品::H1648细胞、MDA MB 361细胞、NTERA2-D1细胞

Pa16C细胞类似产品::F9细胞、Panc02-H0细胞、HO-8910 PM细胞

HMC3细胞类似产品::LC-1Sq细胞、CG-4细胞、HConEpic细胞

OCI-Ly7细胞类似产品::NRK 49F细胞、HFT 8810细胞、PC-2 [Human pancreatic carcinoma]细胞

H3255细胞类似产品::RCC-4细胞、KP4细胞、KU-812F细胞

University of Arizona Cell Culture-812细胞类似产品::WEHI 231细胞、HCC-1171细胞、Centre Antoine Lacassagne-12T细胞

KMH-2细胞类似产品::OCI-Ly1细胞、Epithelioma Papulosum Cyprini细胞、EAhy926细胞

MTC-TT细胞类似产品::UMC11细胞、SuDHL 2细胞、NCIH2135细胞

Hs-675-T细胞类似产品::Mink Lung细胞、RBL 1细胞、OE-33细胞

Medical Research Council cell strain-9细胞类似产品::NCIH441细胞、T24(ECV304)细胞、H4-II-E-C3细胞

RCC-JF细胞类似产品::HUVEC-C[HUVEC]细胞、T47D细胞、EFM19细胞

H283细胞类似产品::U266 Bl细胞、beta TC6细胞、Gerner 7666细胞

MDAMB435S细胞类似产品::Caco-2/BBe 1细胞、TOV21细胞、NCI-SNU-520细胞

Hs 688(A).T细胞类似产品::SCC25细胞、E.G7-OVA细胞、SK LU 1细胞

H-1993细胞类似产品::Panc02细胞、Wistar Institute, Susan Hayflick细胞、293A细胞

HCC1171细胞类似产品::Wistar Institute-38细胞、MiaPaCa-2细胞、DSL-6A/C1细胞

NCI-H28细胞类似产品::Nittby-Salford 1细胞、L929(NCTC)细胞、H774细胞

NCIH1563细胞类似产品::GM03570E细胞、COLO-738细胞、TOV112D细胞

MM96L细胞类似产品::SF-767细胞、DoHH2细胞、IEC18细胞

BBE细胞类似产品::Kupffer细胞、Y1细胞、HuCCT-1细胞

HepG2/C3A细胞类似产品::SUM-102PT细胞、HUCCT1细胞、LS411细胞

LUDLU-1 Cells(赠送Str鉴定报告)|人肺癌鳞癌细胞

SHI1细胞类似产品::RAG细胞、U266 Bl细胞、LIM1215细胞

MGH-U3 (RN)细胞类似产品::P3X63Ag8细胞、MCF-10 Attached细胞、BV-173细胞

SK-N-BE-2c细胞类似产品::H-1915细胞、Human Foreskin Fibroblast细胞、ABC-1细胞

BE2C细胞类似产品::H.Ep.-2细胞、DLD1细胞、LA4细胞

EC9706细胞类似产品::EA hy 926细胞、COR-L 105细胞、McA-RH 8994细胞

SN12C-PM6细胞类似产品::NBL-5细胞、SK-N-FI细胞、Strain KB细胞

MCF7细胞类似产品::CHG5细胞、GES-1细胞、L132细胞

LA4细胞类似产品::293/EBNA-1细胞、NS1细胞、T HEECs细胞

LC-1/sq细胞类似产品::Panc 10.05细胞、Scott细胞、EC-GI细胞

HFT8810细胞类似产品::MV 3细胞、Bac12F5细胞、CCD1095Sk细胞

D283-MED细胞类似产品::MBVP细胞、CAL 78细胞、WM115-mel细胞

BLO-11细胞类似产品::3T3-Swiss细胞、MCF 7B细胞、16HBE细胞

KMB 17细胞类似产品::MCF10A细胞、COV362细胞、SNU216细胞

PT-67细胞类似产品::Sp 2/0-Ag 14细胞、C666-1细胞、NCI-SNU-620细胞

PT-67细胞类似产品::Sp 2/0-Ag 14细胞、C666-1细胞、NCI-SNU-620细胞

SNK6细胞类似产品::BJA-B1细胞、H69C细胞、CCC-HPF-1细胞

NCIH2029细胞类似产品::16-HBE细胞、CFPAC1细胞、Transformed Human Liver Epithelial-3细胞

NH-6细胞类似产品::SKNBE-2细胞、HS0578T细胞、SK-MES1细胞

RN-c细胞类似产品::BSC-1细胞、X63细胞、NTERA-2细胞

3T6细胞类似产品::L cells细胞、alpha TC1-6细胞、OV 1063细胞

CESS细胞类似产品::EFM-19细胞、B16 melanoma细胞、CaSki细胞

Human Kidney-2细胞类似产品::NCI-H1975细胞、B16-F10细胞、H-1876细胞

IHH4细胞类似产品::NCTC929细胞、NCI-H1836细胞、VP267细胞

LS-174细胞类似产品::OLN-93细胞、NCI-H1703细胞、HCC-2279细胞

HS578细胞类似产品::CAMA-1细胞、SCCVII/St细胞、MT-3 [Human leukocytes]细胞

WILL-2细胞类似产品::Baby Hamster Kidney from litter No. 21细胞、BMF细胞、NCIH2172细胞

Kasumi-1细胞类似产品::NCIH1623细胞、HL-60 Clone 15细胞、NCI-H1155细胞

LC-1-sq细胞类似产品::RH35细胞、P30OHK细胞、Panc_03_27细胞

PL11细胞类似产品::BHK细胞、MDA-MB-175细胞、D341Med细胞

Lewis lung carcinoma line 1细胞类似产品::MDA157细胞、A431/P细胞、MCF-7B细胞

H-1435细胞类似产品::YD15细胞、KCL22S细胞、D-324MED细胞

Experimental Mammary Tumour-6细胞类似产品::OCI-LY-1细胞、Swiss 3T3细胞、293AD细胞

"



LUDLU-1 Cells(赠送Str鉴;

公司简介

上海冠导生物工程有限公司,先后从ATCC、DSMZ、ECACC、RIKEN、PromoCell、ScienCell、JCRB等国内外细胞库引进细胞2000余株。以此为契机,公司组建了冠导细胞库,我司细胞均由资深细胞培养工程师进行培养。我司可以提供的细胞有:①细胞系②原代细胞③稳转株④耐药株⑤标记细胞⑥细胞配套试剂等。

成立日期 (11年)
注册资本 100万(元)
员工人数 50-100人
年营业额 ¥ 1000万-5000万
经营模式 工厂,试剂,定制,服务
主营行业 细胞培养,微生物学,细胞生物学

LUDLU-1 Cells(赠送Str鉴定报告)|人肺癌鳞癌细胞相关厂家报价

内容声明
拨打电话 立即询价