基本信息 产品详情 公司简介 推荐产品
网站主页 SK-GT-4 CELLS|人食道癌肿瘤贴壁细胞 SK-GT-4 Cells(赠送Str鉴定报告)|人食道癌肿瘤细胞
  • SK-GT-4 Cells(赠送Str鉴定报告)|人食道癌肿瘤细胞

SK-GT-4 Cells(赠送Str鉴定报告)|人食道癌肿瘤细胞

SK-GT-4 Cells
询价 1000000细胞数 起订
2000000细胞数 起订
上海 更新日期:2026-04-22

上海冠导生物工程有限公司

VIP6年
联系人:全经理
电话:18818239863拨打
邮箱:3171921642@qq.com

产品详情:

中文名称:
SK-GT-4 Cells(赠送Str鉴定报告)|人食道癌肿瘤细胞
英文名称:
SK-GT-4 Cells
保存条件:
常温培养或液氮冻存
纯度规格:
SK-GT-4 Cells(赠送Str鉴定报告)|人食道癌肿瘤细胞
产品类别:
生物试剂

"SK-GT-4 Cells(赠送Str鉴定报告)|人食道癌肿瘤细胞

细胞背景资料:详见相关文献介绍

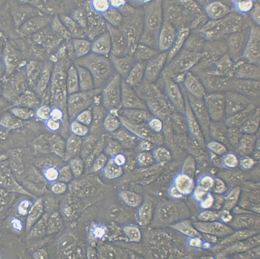
细胞形态:上皮细胞样

接收细胞相关问题:如不能在收到细胞后及时操作细胞,T25及离心管发货的细胞将可以消毒后在37度过夜,血清发货的细胞在室温下静置1-2天(注意不要放冰箱),干冰发货的可以在确认干冰未完全升华时将细胞直接放回液氮或者-80度冰箱,若干冰完全升华,请即刻复苏细胞。T25瓶及离心管在培养箱平衡是为了让细胞尽快适应培养箱环境,同时使部分因运输导致脱落的细胞贴壁,此步骤非常必要。T25瓶如果在显微镜下可以看到部分不贴壁的细胞,可以收集上清后离心(1200rpm,5min)后,将沉淀用新的培养基重悬后接种至新的培养瓶或皿中。部分细胞在运输过程中,由于不断震荡及环境不适,可能导致细胞破碎死亡,从而使培养基中漂浮很多细胞碎片及颗粒状物质。这种情况下,平衡后,贴壁细胞用PBS洗两遍再加新的培养基培养或者传代至新瓶中培养即可;悬浮细胞可以离心(1000rpm,3min)收集细胞,并用PBS重悬后再离心一次,再用新的培养基重悬并接种细胞。

细胞生长:贴壁

UPCI:SCC154细胞类似产品::PTK1细胞、Lu99A细胞、HSC3细胞

HSF细胞类似产品::C3H10T1/2 clone8细胞、MGECs细胞、NCIH2106细胞

HRA 19细胞类似产品::Rat Lung Epithelial-6-T-antigen Negative细胞、NCI-H2444细胞、L02细胞

NOMO-1细胞类似产品::786-O细胞、CII细胞、HEK293T/17细胞

FRO细胞类似产品::NCI-H441-4细胞、hUC-MSC细胞、H716细胞

SK-GT-4 Cells(赠送Str鉴定报告)|人食道癌肿瘤细胞

细胞物种来源:人源或鼠源等其它物种来源

[细胞产品包装]鲜活细胞:T25培养瓶(一瓶)或冻存细胞:1ml冻存管(两支)

细胞培养更HAO经验详解:1)收到细胞,首先要镜检:观察细胞形态是否正常,对于贴壁细胞则要注意看贴壁情况是否很HAO,观察细胞密度,有疑议及时咨提供细胞的技术人员。 由于运输的时间或者温度的变化,很多贴壁细胞在盛满培养基的瓶子里生长的状态和平时会有点不一样,主要是贴壁牢固问题。比如293T,平时贴壁就不是很牢,在装满的培养基瓶子里面,会发生大片的脱落,细胞聚集在一起,但是细胞生长还是正常的,通过离心收集,加以胰酶的消化,重新打散,又可以正常的贴壁生长。2)当通过上一步的观察,细胞初步没有问题时,进行下一步操作。当收到的细胞密达到80%左右时,则处理如下:弃除瓶中大部分培养基,仅保留5到10mL培养所需的常规培养基;或更换新鲜的培养基,置于培养箱中,随后每天观察。 细胞在低于正常生长温度情况下,会调整为静止期,或者慢速生长期,恢复37度的环境至少3个小时左右,才能重新调整到接近对数生长期的状态,在对数生长期进行细胞的传代会大大增加传代的成功率,和细胞的存活率。3)如果经步观察发现细胞密度超过90%,并且细胞状态很HAO时,则复温后2个小时需要立即传代。传代的比例应依据不同的细胞而定。对于生长比较快,状态稳定,不易受外界影响的细胞可以一次多传几瓶;对于生长较慢,细胞比较薄,状态容易波动的细胞类型,一次少传些,每瓶细胞密度大些,便于稳定生长。至于一些比较陌生的细胞,次处理也可以依照第二种情况。

细胞传代方法:1:2-1:3传代;每周换液2-3次。

OCI-Ly01细胞类似产品::Hs 578Bst细胞、COLO 699细胞、E6-1细胞

Wien 133细胞类似产品::NCI-H1404细胞、KLM-1细胞、MNNG细胞

HIEC6细胞类似产品::JeKo-1细胞、Ramos-RA1细胞、LNCaP FGC细胞

H1838细胞类似产品::DCS细胞、P3.NS-1/1.Ag4.1细胞、MDAMB157细胞

H2066细胞类似产品::H889细胞、T-84细胞、PLA802细胞

细胞来源说明:来源于RCB、ATCC、KCLB、DSMZ、ECACC、INCell、ScienCell、ECACC、JCRB、Asterand、ICLC等知名细胞库

SK-GT-4 Cells(赠送Str鉴定报告)|人食道癌肿瘤细胞

细胞生长特性:贴壁或悬浮,详见细胞说明书部分

HT144细胞类似产品::PCI-4.2细胞、COLO829细胞、HEK 293-H细胞

CACO2细胞类似产品::PCI:SG231细胞、HFB细胞、GBCSD细胞

R3/1细胞类似产品::JS1细胞、NK-10A细胞、HSC2细胞

Panc-02细胞类似产品::UM-UC3细胞、LC-2 ad细胞、MARC-145细胞

BNL 1MEA.7R.1细胞类似产品::CHO K1细胞、SF17细胞、NCTC 1469细胞

K422细胞类似产品::N2a细胞、DHL-8细胞、Chang Cells细胞

如何进行细胞复苏:1)从液氮容器中取出冻存管,直接浸入37℃温水中,并不时摇动令其尽快融化;2)从37℃水浴中取出冻存管,打开盖子,用吸管吸出细胞悬液,加到离心管并滴加10倍以上培养液,混匀;3)离心,1000rpm,5min;4)弃去上清液,加入含10%小牛血清培养液重悬细胞,计数,调整细胞密度,接种培养瓶,37℃培养箱静置培养;5)次日更换一次培养液,继续培养。【温馨提醒】1)从增殖期到形成致密的单层细胞以前的培养细胞都可以用于冻存,但ZuiHAO为对数生长期细胞。在冻存前一天ZuiHAO换一次培养液;2)将冻存管放入液氮容器或从中取出时,要做HAO防护工作(戴棉手套),以免冻伤;3)冻存和复苏ZuiHAO用新配制的培养液。细胞复苏的时候,有些初次实验员将冻存管从液氮中取出后,放在室温下,经常发生冻存管爆炸,该怎么避免出现这种情况吗?其中在拧紧冻存管的时候是否有哪些细节要注意的?一般常用的方法是取出冻存管后在超净工作台中用酒精棉球擦试管口,再稍拧松盖子,再放37度水浴锅中摇溶,在将细胞转移到装有37度预热过的培养基的试管中,迅速离心,再用培养基洗一遍。

正确的细胞复苏需知事项:细胞冻存HAO了,接下来要注意什么问题呢?没错,就是记得到时间了,拿出来复苏。那么,细胞复苏的过程中又有哪些该注意的事项呢?细胞活力和形态检查的作用何在?活力检查——千万不要使用不健康的细胞,可能有污染(真菌、支原体等),如果发现有污染毫不犹豫的丢弃!形态检查——检查细胞的固有形态和生长行为。冻存细胞:补充新的培养液——在您开始冻存细胞的前一天补充新的培养液。在细胞长至70%单层时收获细胞,计数活细胞数,用冻存液调整细胞密度~5 x106 Cell s/ml (根据不同的细胞类型调整);冻存液——用冻存液洗细胞并用冻存液重悬细胞,有不同类型的冻存液,根据细胞类型选择Zui合适的冻存液(常用的冻存液成分有):5-10% DMSO——注意确保DMSO不含有其他的毒性物质;5-15%甘油;如果细胞在无血清培养基内生长,应在50%条件培养基内(细胞在无血清培养基内生长24小时)内冻存和复苏。在冻存管上标记HAO细胞类型,日期,冻存人等信息,并保证每冻存管不超过1.5ml。放入液氮罐之前记录冻存管的数量和位置。以Zui快的速度转移冻存管知液氮罐内,因此,此步骤ZuiHAO使用干冰,或者把冻存管浸入装有液氮的小盒内。此外还要注意,在冻存管上没有足够的空间记录细胞的详细信息,做HAO记录是非常非常重要的!还有一个Zui重要的,一定要在异地的液氮罐内保存同样的一份细胞,以免其中的一个液氮罐出现问题!细胞正确的复苏方式和正确的冻存方式同样重要,熟记以下要点:当从液氮罐内取出细胞时,有可能会出现冻存管破裂的情况,使用保护面罩和防护服十分必要;其实,细胞复苏只是一个简单的实验,不过这其中却不可避免有一些需要注意的细节,不然,也不一定会尽如人意。例如说,人身健康方面:一定要记得做HAO防冻工作,戴上护目镜;尽量降低DMSO对细胞的损伤等等。

B16-F1细胞类似产品::Huh7.5.1细胞、PAN 02细胞、143B TK-细胞

H1781细胞类似产品::MAC1细胞、mREC细胞、HEC151细胞

IHH4细胞类似产品::NCTC929细胞、NCI-H1836细胞、VP267细胞

SK-RC 39细胞类似产品::TE-15细胞、HT1080细胞、NCI.H23细胞

U-87细胞类似产品::LLC-WRC 256细胞、TE-12细胞、McArdle RH-7777细胞

HCC-38细胞类似产品::KLM1细胞、KE39细胞、SW-756细胞

GP2d细胞类似产品::CCD19Lu细胞、GM2131细胞、GM637细胞

TK-1细胞类似产品::TM3细胞、PC-3M细胞、GLC-15细胞

BNL.1ME A.7R.1细胞类似产品::NCI-H740细胞、NCI-SNU-C1细胞、3T3-Swiss albino细胞

OUMS-27细胞类似产品::KYSE270细胞、H774细胞、B-cell Acute Lymphoblastic Leukemia-1细胞

HUTU80细胞类似产品::SK-LMS-1细胞、IPECJ2细胞、PCI-SG231细胞

SJCRH30细胞类似产品::SBC-3细胞、RCC-10RGB细胞、NCI660细胞

P 3 HR 1细胞类似产品::SK-MEL-31细胞、Monomac-1细胞、NCI-HUT-460细胞

Hs-578T细胞类似产品::MV411细胞、SGC-996细胞、H-2126细胞

Biologics Standards-Cercopithecus-1细胞类似产品::H-810细胞、KAT-5细胞、MB39细胞

SKLMS-1细胞类似产品::NTERA2D1细胞、ASPC1细胞、16-HBE14o细胞

Hs604T细胞类似产品::TSCCa细胞、P3X63细胞、GA-10 clone 4细胞

Hs343T细胞类似产品::Colon 26细胞、HPDLF细胞、FAO-1细胞

MEC1细胞类似产品::J 111细胞、Rat Chondrosarcoma Swarm细胞、SK Col 1细胞

OVCAR-5细胞类似产品::R 1610细胞、Lieming Xu-2细胞、VSC4.1细胞

AK细胞类似产品::Virginia Mason Research Center-Renal Cancer Z细胞、HGMC细胞、TE-13细胞

LTEP-sm细胞类似产品::NCI-H146细胞、293/EBNA细胞、HFL-I细胞

SW-1088细胞类似产品::CEMO-1细胞、C17细胞、PL45细胞

LS411细胞类似产品::H-2195细胞、NCI-H1668细胞、HCC1954细胞

PANC0813细胞类似产品::293c18细胞、P3/ag细胞、BRL-3A细胞

HB611细胞类似产品::HTR8/SVneo细胞、Human Kidney-2细胞、HCFB(HCF)细胞

UPCISCC154细胞类似产品::FTC133细胞、SK-N-BE(1)n细胞、138 MG细胞

SW 1353细胞类似产品::Hs 729.T细胞、WM266-4细胞、alphaTC clone 6细胞

IOSE 80细胞类似产品::H2330细胞、NALM-6细胞、FHC细胞

Hs940.T细胞类似产品::293 HEK细胞、UMNSAH-DF 1细胞、IGROV细胞

AMJ2-C8细胞类似产品::ANA1细胞、CHO K1细胞、SGC 7901细胞

32D/cl3细胞类似产品::H4-II-E-C3细胞、Hs746-T细胞、EM-3细胞

L6565细胞类似产品::GM00637F细胞、MB157细胞、DU145细胞

LAN-1细胞类似产品::NCIH460细胞、KMM1细胞、BTI-Tn5B14细胞

Capan-1细胞类似产品::COLO-1细胞、SNU-520细胞、RPMI1846细胞

EC-9706细胞类似产品::LTEP-s细胞、BaF3细胞、G292细胞

McArdle RH-7777细胞类似产品::WB F344细胞、786.O细胞、OVCAR-420细胞

Hepa-RG细胞类似产品::SF 763细胞、DHL4细胞、NCIH1373细胞

526细胞类似产品::SK-RC-52细胞、LUDLU-1细胞、H548细胞

DHL-5细胞类似产品::KS-1 [Human glioblastoma]细胞、Human Microvascular Endothelial Cell line-1细胞、HCC0070细胞

RGC-5细胞类似产品::B16F0细胞、Human Epidermoid carcinoma #2细胞、A 72细胞

SK-GT-4 Cells(赠送Str鉴定报告)|人食道癌肿瘤细胞

Ontario Cancer Institute-Acute Myeloid Leukemia-2细胞类似产品::HFB细胞、PL-5细胞、MCF 7B细胞

MD Anderson-Metastatic Breast-330细胞类似产品::RINm-5F细胞、3T3-Swiss albino细胞、EBC1细胞

U14细胞类似产品::IFRS1细胞、DR2R 1610细胞、H-1838细胞

751-NA-15细胞类似产品::SMA-560细胞、SW 480细胞、KYSE 70细胞

MDA231细胞类似产品::JURKAT E-61细胞、Panc813细胞、KU-812细胞

MDA231细胞类似产品::JURKAT E-61细胞、Panc813细胞、KU-812细胞

CoCL2细胞类似产品::HBL-1 [Human diffuse large B-cell lymphoma]细胞、143BTK-细胞、J774A.1细胞

UACC812细胞类似产品::SNU-719细胞、HAEC细胞、SW1990细胞

S.B.细胞类似产品::BEL7402细胞、HEK-293-EBNA细胞、DU 145细胞

Tissue Culture-1细胞类似产品::CA-46细胞、HCC1419细胞、WC00059细胞

Rabbit Kidney 13细胞类似产品::NCIH1650细胞、A2780CP70细胞、SK-N-BE2C细胞

PANC-28细胞类似产品::CHAGOK1细胞、NCI-H510A细胞、H-EMC-SS细胞

A375.S2细胞类似产品::DMS-153细胞、NH6细胞、NOZAWA细胞

SK-CO-1细胞类似产品::H-1734细胞、NCI-H1437细胞、CV 1细胞

SK-CO-1细胞类似产品::H-1734细胞、NCI-H1437细胞、CV 1细胞

NUGC4细胞类似产品::HCEpiC细胞、IGROV-1细胞、TGW-nu-1细胞

P3-X63-Ag8-653细胞类似产品::H250细胞、JKT1细胞、SJSA细胞

ARPE19细胞类似产品::Balb/3T3-4-Cl31细胞、U 937细胞、IM 9细胞

L-cell细胞类似产品::MC116细胞、TW-039细胞、NCI-H1755细胞

SVEC 4-10细胞类似产品::H-711细胞、RMG-1细胞、GLC-82细胞

HS 445T细胞类似产品::MDA.MB.435细胞、PK15细胞、L-cells细胞

KYSE510细胞类似产品::Eph4 1424细胞、AE1201细胞、Ramos 2G6.4C10细胞

Human Microglia Clone 3细胞类似产品::HCC2108细胞、SCL2细胞、32Dcl3细胞

H-157细胞类似产品::U266 B1细胞、NCI-H1876细胞、Panc10.05细胞

SK-Mel 1细胞类似产品::Hs 683细胞、KYSE 140细胞、Murine Leydig Tumor Cell line-1细胞

Ha Fe细胞类似产品::HCC1008细胞、AN3CA细胞、OVCAR.8细胞

SKMEL-31细胞类似产品::NOMO1细胞、EST81细胞、b.End3细胞

DHL8细胞类似产品::Rat Chondrosarcoma Swarm细胞、Hu-P-T4细胞、SBC5细胞

UMRC-2细胞类似产品::RBL细胞、NCI-H740细胞、CMT-93细胞

U266S细胞类似产品::MC3T3-E1细胞、NCI-H2198细胞、SNU-449细胞

L-6 myoblast细胞类似产品::P30-OHKUBO细胞、SKCO-1细胞、TALL-104细胞

OCI-Ly03细胞类似产品::L929细胞、A-253细胞、MC/9细胞

RA 1细胞类似产品::NCTC 1469细胞、A549 ATCC细胞、A-704细胞

H1437细胞类似产品::C918细胞、THP1细胞、HGC27细胞

P31 FUJ细胞类似产品::MDA-MB453细胞、PAMC82细胞、NT2/D1细胞

HuT78细胞类似产品::P3J HR1-K细胞、MHCC 97细胞、TALL-1 [Human adult T-ALL]细胞

Statens Seruminstitut Rabbit Cornea细胞类似产品::SUDHL4细胞、HT细胞、HCEC-B4G12细胞

GM04154细胞类似产品::NE-1细胞、PC9细胞、CEL细胞

SNU-423细胞类似产品::CNE-2细胞、SRA01/04 (HLE)细胞、CTLA4 Ig-24细胞

RPTEC/TERT1细胞类似产品::PTK-2细胞、H1819细胞、NT2细胞

NCI-H1666细胞类似产品::Mouse Bladder Tumor line-2细胞、MDA-MB-435 S细胞、GM02131细胞

EC-9706细胞类似产品::LTEP-s细胞、BaF3细胞、G292细胞

CAKI 2细胞类似产品::RPMI-6666细胞、BNL 1MEA.7R.1细胞、CHL/IU细胞

Human Embryonic Kidney 293细胞类似产品::My-La 2059细胞、NKL细胞、NKL细胞

SNU354细胞类似产品::NCI522细胞、PK (15)细胞、BN-CL2细胞

CCC-ESF-1细胞类似产品::H1781细胞、Namalwa细胞、MB231细胞

EBNA293细胞类似产品::HSC-I细胞、OV-1063细胞、MiaPaCa2细胞

J 82细胞类似产品::RK-13细胞、MNNG-HOS (TE 85, clone F-5)细胞、REC细胞

FD-LSC-1细胞类似产品::DI-TNC1细胞、DK-MG细胞、C127细胞

BEL-7405细胞类似产品::H-1793细胞、OSKM-1细胞、Kit225/K6细胞

3T3F442A细胞类似产品::Microbiological Associates-104细胞、JB-6 Cl 30细胞、NWA细胞

TERT-RPE1细胞类似产品::HT-55细胞、GM00637I细胞、H4-II-E细胞

253J-BV细胞类似产品::VK2/E6E7细胞、RPE-1细胞、Michigan Cancer Foundation-7细胞

H-810细胞类似产品::SKRC-42细胞、COLO-320DM细胞、H 9细胞

OVCAR.3细胞类似产品::Vero C1008细胞、SKNEP1细胞、Madin Darby Canine Kidney细胞

Clone M-3细胞类似产品::MDA-MB435细胞、MOPC细胞、SNU-368细胞

H-209细胞类似产品::253J-BV细胞、UCLA RO-81A-1细胞、KS-1 [Human glioblastoma]细胞

BALB/c 3T3 clone A31细胞类似产品::SVHUC细胞、SUM-159细胞、H-1573细胞

MDA MB231细胞类似产品::GS-9L细胞、T-ALL1细胞、KMST-6细胞

DH-82细胞类似产品::PANC-03-27细胞、CMT167细胞、BC-009细胞

PL-5细胞类似产品::CCRF-CEM细胞、UACC-893细胞、NTera2 cl.D1细胞

CL 1-0细胞类似产品::HFT-8810细胞、U373-MG细胞、NCI-H292细胞

T-HSC细胞类似产品::SNU-119细胞、Leghorn Male Hepatoma cell line细胞、ROS17/2.8细胞

C-Li-7细胞类似产品::SW-780细胞、SJSA1细胞、KU 812F细胞

33604细胞类似产品::KMS-18细胞、H-711细胞、U118细胞

FHCRC subclone 11细胞类似产品::3T3细胞、OCM-1A细胞、ARO81细胞

C-Lu-65细胞类似产品::CMT-167细胞、AU565细胞、RH7777细胞

RL-952细胞类似产品::B16细胞、BEND细胞、TE3A细胞

AHH-1细胞类似产品::Be Wo细胞、3T6-Swiss albino细胞、WEHI231细胞

SF-763细胞类似产品::CCRF SB细胞、RH8994细胞、L cell line细胞

R3/1细胞类似产品::JS1细胞、NK-10A细胞、HSC2细胞

VM-CUB1细胞类似产品::HSC4细胞、MSCs(mUCMSCs)细胞、SW-948细胞

COR-L 105细胞类似产品::CHP212细胞、MDCKII细胞、HCCLM3细胞

F9细胞类似产品::Roswell Park Memorial Institute 8402细胞、NCI-H2052细胞、A-1847细胞

SW48细胞类似产品::NCI-H2452细胞、LAN5细胞、RS4:11细胞

H1755细胞类似产品::Panc_04_03细胞、ME180细胞、MDAPCa-2b细胞

PG-4 S+L-细胞类似产品::PLMVEC细胞、SW-780细胞、HSC-3细胞

SU-DHL-4细胞类似产品::NCI-522细胞、SW 579细胞、NIHOVCAR3细胞

RGM-1细胞类似产品::RCC_7860细胞、MDA436细胞、HCC-1143细胞

DU 145细胞类似产品::Fetal Human Lens-124细胞、McA-RH 8994细胞、U118-MG细胞

Giant Cell Tumor细胞类似产品::L- cell细胞、NCI-H69细胞、E.L.4细胞

CCD-112CoN细胞类似产品::PC-3M 2B4细胞、EHEB细胞、RPMI 8402细胞

MA-782细胞类似产品::NKT细胞、AR41P细胞、UCLA SO M14细胞

SKRC20细胞类似产品::C32 mel细胞、SV40-HCEC细胞、CCD-112CoN细胞

SF17细胞类似产品::HCC2157细胞、OCI-Ly3细胞、SK-N-BE-2细胞

MOLT4细胞类似产品::HME-1细胞、VeroE6细胞、Medical University of Graz-Chordoma 1细胞

KMS26细胞类似产品::Kuramochi细胞、NCI-441细胞、3T3 Swiss Albino细胞

NU-GC-4细胞类似产品::TK-1细胞、Ramos G6.C10细胞、BERH-2细胞

NCIH841细胞类似产品::C33-A细胞、HARAB细胞、NCI-SNU-761细胞

B16F1细胞类似产品::870细胞、IPLB-Sf21细胞、BALB/3T3 cl. A31细胞

HCC15细胞类似产品::FRO81-2细胞、YD-38细胞、MOLT.4细胞

RGC6细胞类似产品::SF-295细胞、MFE 296细胞、KYSE 180细胞

OCI Ly1细胞类似产品::NCIH1437细胞、P3X63 Ag8.653细胞、SUDHL-2细胞

Kupffer细胞类似产品::Hs-729-T细胞、HN 4细胞、SUM 190PT细胞

PT-67细胞类似产品::Sp 2/0-Ag 14细胞、C666-1细胞、NCI-SNU-620细胞

Hs683T细胞类似产品::H1836细胞、PBL细胞、HTori3细胞

Hs706T细胞类似产品::SR786细胞、JC细胞、Panc02细胞

MDA-MB453细胞类似产品::CCD966SK细胞、NCI-H1734细胞、NCIH2135细胞

Panc2.03细胞类似产品::AMJ2-C8细胞、U266BL细胞、C 6细胞

NTERA-2/D1细胞类似产品::RM-1细胞、H-520细胞、MAVER-1细胞

PG [Human lung carcinoma]细胞类似产品::NCIH2009细胞、LWnt3A细胞、CL11细胞

OVCA5细胞类似产品::PANC-10-05细胞、ML2细胞、MDA-MB-134-VI细胞

HLEB-3细胞类似产品::MM1细胞、Ramos-2G6-4C10细胞、U266B1细胞

RINm5F细胞类似产品::AMO1细胞、Hs68细胞、NB1-RGB细胞

C-127细胞类似产品::McARH7777细胞、COR-L 105细胞、Ramos-RA1细胞

L6565细胞类似产品::GM00637F细胞、CEMx721.174.T2细胞、HMC-1细胞

BL1339细胞类似产品::HeLa/S3细胞、SGC7901细胞、WM115mel细胞

Helacyton gartleri细胞类似产品::HCGC细胞、VP229细胞、RBL.2H3细胞

P3 (Jiyoye)细胞类似产品::hMSC-BM细胞、CCD-1095Sk细胞、B-95-8细胞

SKM-1细胞类似产品::HGMC细胞、GM00637H细胞、L cells细胞

C-33-A细胞类似产品::PVEC细胞、293c18细胞、NCI-H2107细胞

MG-HU-3细胞类似产品::TE-32细胞、CCD-1112sk细胞、LTEPa2细胞

GM04679细胞类似产品::HEK-2细胞、CO115细胞、SK-RC-42细胞

A-549细胞类似产品::MDAMB468细胞、HCC1937细胞、P30-OHK细胞

KPNRTBM1细胞类似产品::32D clone3细胞、H 9细胞、CP-70细胞

LM TK negative细胞类似产品::SW1088细胞、P3J细胞、HR1K细胞

OEC19细胞类似产品::TE671细胞、PE/CA-PJ34细胞、Mia PACA 2细胞

STC-1细胞类似产品::Tu-686细胞、P3-NS1/1Ag 4.1细胞、NIH/3T3细胞

NCI-H735细胞类似产品::OVCA433细胞、MES-SA Dx5细胞、OsACL细胞

SK-GT-4 Cells(赠送Str鉴定报告)|人食道癌肿瘤细胞

SP-2/0-AG14细胞类似产品::LAD2细胞、MN60细胞、KP-N-NS细胞

D-283细胞类似产品::NP69细胞、NCIH2023细胞、Vero-E6细胞

RCC 7860细胞类似产品::COLO-205细胞、WEHI231细胞、CAKI 2细胞

EOL1细胞类似产品::H-2126细胞、NCI-SNU-475细胞、CMT.64细胞

SKRC-39细胞类似产品::H1155细胞、SPDC-CCL141细胞、MOLT-3细胞

T2细胞类似产品::HCC-38细胞、Mel-624细胞、Hs-695-T细胞

RH-35细胞类似产品::H-2452细胞、Psi2-DAP细胞、H498细胞

NCIH128细胞类似产品::MC3T3, E1 subgroup-4 clone细胞、EBTr (NBL-4)细胞、G361mel细胞

NIH:OVCAR-3细胞类似产品::Super Tube细胞、HDLM-2细胞、IMR32细胞

IEC18细胞类似产品::MB231细胞、SU-DHL1细胞、QBC-939细胞

KM.12细胞类似产品::HFLS细胞、GM02131细胞、SK HEP 01细胞

HCC0015细胞类似产品::COV434细胞、IBMF-7细胞、IMCD-3细胞

RPMI7951细胞类似产品::SK-N-BE(2)-C细胞、HT144细胞、TGW-nu细胞

SUM 190细胞类似产品::SV-HUC-1细胞、SH-SY5Y Parental细胞、HPAF-II/CD18细胞

JF305细胞类似产品::HT115细胞、HT22细胞、HTh74细胞

HLMVEC细胞类似产品::MKN 7细胞、ML-2细胞、HPaSteC(HPSC)细胞

LC1细胞类似产品::PAa细胞、EA. hy 926细胞、AN3 CA细胞

RC-K8细胞类似产品::HEK293-FT细胞、Molm 14细胞、KLN205细胞

NCI-H23细胞类似产品::HEL-92细胞、H676细胞、VSMC细胞

16HBE14o-细胞类似产品::Panc 3.27细胞、SGC7901细胞、HeLa/S3细胞

GCT0404细胞类似产品::HS766T细胞、Roswell Park Memorial Institute 1788细胞、SL1细胞

LICCF细胞类似产品::Emory University-3细胞、DB细胞、EJ1细胞

RA 1细胞类似产品::NCTC 1469细胞、A549 ATCC细胞、A-704细胞

CAOV4细胞类似产品::G-292, clone A141B1细胞、Hs 766细胞、Panc08.13细胞

Hi-five细胞类似产品::HTh-74细胞、CAL851细胞、NCIH211细胞

NCIH2030细胞类似产品::DoHH-2细胞、RH-30细胞、GP2-293细胞

CCK81细胞类似产品::HLE-B3细胞、IOSE29细胞、NCI H23细胞

EA.hy 926细胞类似产品::RAMSCs细胞、SKMel-5细胞、HEI-193细胞

SK-OV-433细胞类似产品::KYSE-450细胞、G-361细胞、C57/B6-L细胞

PTK 1细胞类似产品::Medical Research Council cell strain-9细胞、TOV-112D细胞、LPC-H12细胞

IHC-ST1细胞类似产品::Be-Wo细胞、CF-1 MEF细胞、M-1 myeloid leukemia细胞

FDC-P1细胞类似产品::HOP92细胞、LY-R细胞、EB2细胞

"



SK-GT-4 Cells(赠送Str鉴;

公司简介

上海冠导生物工程有限公司,先后从ATCC、DSMZ、ECACC、RIKEN、PromoCell、ScienCell、JCRB等国内外细胞库引进细胞2000余株。以此为契机,公司组建了冠导细胞库,我司细胞均由资深细胞培养工程师进行培养。我司可以提供的细胞有:①细胞系②原代细胞③稳转株④耐药株⑤标记细胞⑥细胞配套试剂等。

成立日期 (11年)
注册资本 100万(元)
员工人数 50-100人
年营业额 ¥ 1000万-5000万
经营模式 工厂,试剂,定制,服务
主营行业 细胞培养,微生物学,细胞生物学

SK-GT-4 Cells(赠送Str鉴定报告)|人食道癌肿瘤细胞相关厂家报价

内容声明
拨打电话 立即询价