基本信息 产品详情 公司简介 推荐产品
网站主页 CL-34 CELLS|人结肠癌贴壁细胞 CL-34 Cells(赠送Str鉴定报告)|人结肠癌细胞
  • CL-34 Cells(赠送Str鉴定报告)|人结肠癌细胞

CL-34 Cells(赠送Str鉴定报告)|人结肠癌细胞

CL-34 Cells
询价 1000000细胞数 起订
2000000细胞数 起订
上海 更新日期:2026-04-23

上海冠导生物工程有限公司

VIP6年
联系人:全经理
电话:18818239863拨打
邮箱:3171921642@qq.com

产品详情:

中文名称:
CL-34 Cells(赠送Str鉴定报告)|人结肠癌细胞
英文名称:
CL-34 Cells
保存条件:
常温培养或液氮冻存
纯度规格:
CL-34 Cells(赠送Str鉴定报告)|人结肠癌细胞
产品类别:
生物试剂

"CL-34 Cells(赠送Str鉴定报告)|人结肠癌细胞

细胞背景资料:详见相关文献介绍

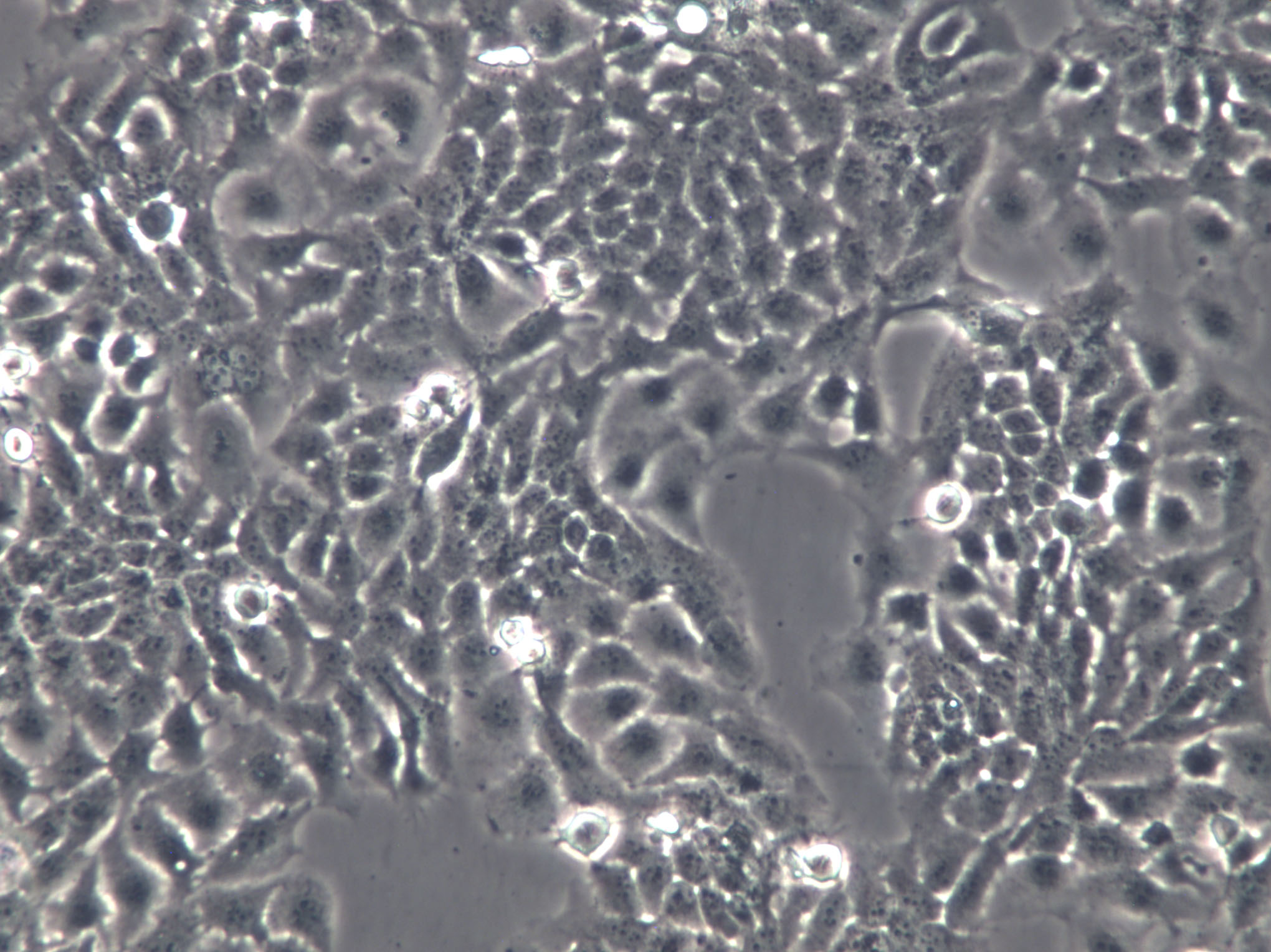
细胞形态:上皮细胞样

【细胞培养中细菌、霉菌的污染情况总结】细菌:细菌在普通倒置显微镜下为黑色细沙状,根据感染细菌的不同,可有不同的外形,培养液一般会浑浊变黄,对细胞生长影响明显。仔细检查一下器皿的灭菌情况,是否在GAO压灭菌时放气时间足够,压力足够!尤其是和储存培养液接触的移液管等物品,连续两次污染的话有可能造成储存液污染,一定要注意!下次使用前检查一下培养液是否存在浑浊的现象!可在培养液中加相应的抗生素处理;霉菌:培养液是清亮的,倒置显微镜下无杂质,37度孵箱培养2-3天,仍清亮,但出现絮状杂质,镜下可见呈细丝状的团状漂浮物,可看到明显的菌丝,细胞仍可生长,但时间长之后,细胞的活力状态变差,用酸铜溶液擦拭CO2孵箱内,再把水盘里也加上饱和量的酸铜。或者在培养箱的托盘加入饱和的消毒二钠GAO盐液体,可以防止霉菌污染。CO2孵箱被霉菌污染后,可把所有细胞暂时转移,采用擦洗孵箱(包括隔板,箱壁)。并把放置在孵箱内一个小时,使其蒸汽弥漫。待的气味消散后,再移入细胞。孵箱应定期清洁(2月左右),尤其在多雨的季节。其它培养箱清洗方法是:用84液擦洗-清水擦洗-75%酒精擦洗-紫外灯照。预防霉菌污染,可在培养基里加3u/ml的两性霉素或制霉菌素或D或双抗;但细胞一旦污染,很难挽救,制霉菌素或D或双抗都于事无补,建议舍弃该污染细胞,将环境彻底消毒,如果所有细胞都污染,可能是系统污染,检查一下培养基和器材,如果只是个别污染,可能是操作问题,就要注意操作。

细胞生长:贴壁

HCC-1500细胞类似产品::SKMES1细胞、Nb-2细胞、SW-1783细胞

SUM-159PT细胞类似产品::Hs683细胞、OCI-LY-3细胞、LC2/Ad细胞

HEC151细胞类似产品::Monomac-1细胞、LN-382细胞、253J细胞

HS578T细胞类似产品::MDA-468细胞、EAhy 926细胞、LA-N-6(OAN)细胞

SW403细胞类似产品::V-79细胞、no-11细胞、6T-CEM细胞

CL-34 Cells(赠送Str鉴定报告)|人结肠癌细胞

细胞物种来源:人源或鼠源等其它物种来源

[细胞产品包装]鲜活细胞:T25培养瓶(一瓶)或冻存细胞:1ml冻存管(两支)

传代的操作步骤注意事项:1)操作前要洗手,进入超净台后手要用75%酒精或0.2%新洁尔灭擦试。试剂等瓶口也要擦试。2)点燃酒精灯,操作在火焰附近进行,耐热物品要经常在火焰上烧灼,金属器械烧灼时间不能太长,以免退火,并冷却后才能夹取组织,吸取过营养液的用具不能再烧灼,以免烧焦形成碳膜。3)操作动作要准确敏捷,但又不能太快,以防空气流动,增加污染机会。4)不能用手触已消毒器皿的工作部分,工作台面上用品要布局合理。5)瓶子开口后要尽量保持45℃斜位。6)吸溶液的吸管等不能混用。贴壁细胞传代的操作步骤:1)吸除培养瓶内旧培养液。2)向瓶内加入胰蛋白酶和EDTA混合液少许,以能覆满瓶底为限。3)置温箱中2-5分钟,当发现细胞质回缩,细胞间隙增大后,立即终止消化。4)吸除消化液,向瓶内注入Hanks液数毫升,轻轻转动培养瓶,把残余消化液冲掉。注意加Hanks液冲洗细胞时,动作要轻,以免把已松动的细胞冲掉流失,如用胰蛋白酶液单独消化,吸除胰蛋白酶液后,可不用Hanks液冲洗,直接加入培养液。5)用吸管吸取营养液轻轻反复吹打瓶壁细胞,使之从瓶壁脱离形成细胞悬液。6)计数板计数后,把细胞悬液分成等份分装入数个培养瓶中,置温箱中培养。悬浮细胞传代的操作步骤:1)吸出细胞培养液,放入离心管中,离心1000rpm5分钟。2)吸掉上清液,加入适量之新鲜培养基,混和均匀后,依稀释比例转移至新的培养瓶中,以正常培养条件培养。

细胞传代方法:1:2-1:3传代;每周换液2-3次。

C-Lu-65细胞类似产品::CMT-167细胞、AU565细胞、RH7777细胞

H-660细胞类似产品::P3X63细胞、WM266mel细胞、Y3-Ag123细胞

NCI-H847细胞类似产品::Namalwa细胞、NCI-H-128细胞、IPLB-SF 21AE细胞

LSC-1细胞类似产品::NCIH1703细胞、NIH 3T3细胞、CF-1 MEF细胞

CCD-1095Sk细胞类似产品::SCC 9细胞、hFOB 1.19细胞、HCO细胞

细胞来源说明:来源于RCB、ATCC、KCLB、DSMZ、ECACC、INCell、ScienCell、ECACC、JCRB、Asterand、ICLC等知名细胞库

CL-34 Cells(赠送Str鉴定报告)|人结肠癌细胞

细胞生长特性:贴壁或悬浮,详见细胞说明书部分

NCTC-929细胞类似产品::SW1417细胞、HGSMC细胞、HO8910PM细胞

Mouse Colon 38细胞类似产品::KTC1细胞、SNU-484细胞、MDA-231细胞

MPC5细胞类似产品::COLO-HSR细胞、CCRF.CEM细胞、H-2052细胞

Reuber-H-35 hepatoma细胞类似产品::HCC-1588细胞、MPC5细胞、SW-527细胞

MV-4-11细胞类似产品::OCILY-3细胞、SPC-A1细胞、UACC-893细胞

BEL7405细胞类似产品::GDM1细胞、MD Anderson-Metastatic Breast-361细胞、CAL33细胞

购买的细胞死亡或细胞存活率不佳可能原因?研究人员在细胞培养时出现存活率不佳,原因比较复杂,常见原因可归纳为:培养基使用错误或培养基品质不佳;血清使用错误或血清的品质不佳;解冻过程错误;冷冻细胞解冻后,加以洗涤细胞和离心;悬浑细胞误认为死细胞;培养温度使用错误;细胞置于-80℃太久等。建议严格参照ATCC的标准操作规程进行细胞复苏、冻存等工作。欲将一般动物细胞离心下来,其离心速率应为多少转速?欲回收动物细胞,其离心速率一般为300×g(约1OOOrpm),5-10分钟,转速过GAO或离心时间过长都将造成细胞死亡。合适的离心转速是根据相对离心力决定。RCF=1.119×105×r×(rpm)2,其中r为离心机转轴中心与离心套管底部内壁的距离;rpm为离心机每分钟的转数;RCF(relative centrifugal force)为相对离心力,以重力加速度g(980.66cm/s2)的倍数来表示单位。

细胞传代培养实验:体外培养的原代细胞或细胞株要在体外持续地培养就必须传代,以便获得稳定的细胞株或得到大量的同种细胞,并维持细胞种的延续。培养的细胞形成单层汇合以后,由于密度过大生存空间不足而引起营养枯竭,将培养的细胞分散,从容器中取出,以1:2或1:3以上的比率转移到另外的容器中进行培养,即为传代培养;细胞“一代”指从细胞接种到分离再培养的一段期间,与细胞世代或倍增不同。在一代中,细胞培增3~6次。细胞传代后,一般经过三个阶段:游离期、指数增生期和停止期。常用细胞分裂指数表示细胞增殖的旺盛程度,即细胞群的分裂相数/100个细胞。一般细胞分裂指数介于0.2%~0.5%,肿瘤细胞可达3~5%;细胞接种2~3天分裂增殖旺盛,是活力ZuiHAO时期,称指数增生期(对数生长期),适宜进行各种试验。实验步骤:1.将长成的培养细胞从二氧化碳培养箱中取出,在超净工作台中倒掉瓶内的培养液,加入少许消化液。(以液面盖住细胞为宜),静置5~10分钟。2.在倒置镜下观察被消化的细胞,如果细胞变圆,相互之间不再连接成片,这时应立即在超净台中将消化液倒掉,加入3~5ml新鲜培养液,吹打,制成细胞悬液。3.将细胞悬液吸出2ml左右,加到另一个培养瓶中并向每个瓶中分别加3ml左右培养液,盖HAO瓶塞,送回二氧化碳培养箱中,继续进行培养。一般情况,传代后的细胞在2小时左右就能附着在培养瓶壁上,2~4天就可在瓶内形成单层,需要再次进行传代。

LLC-PK1细胞类似产品::TR146细胞、RBE4细胞、A549/ATCC细胞

NCI-H-128细胞类似产品::RPMI 8226/S细胞、NRK-49F细胞、C-127细胞

C17细胞类似产品::MDA-453细胞、SK-MEL-31细胞、Tn5B1-4细胞

HTh-74细胞类似产品::Mel-MeWo细胞、HSC-I细胞、YD-15细胞

MDAPCa-2b细胞类似产品::TOV-112D细胞、U-373MG细胞、HS-683细胞

RBL 2H3细胞类似产品::NCIH2023细胞、UPCI-SCC-90细胞、C4-2细胞

HRA19细胞类似产品::UMNSAH-DF1细胞、SW-1463细胞、IGROV1细胞

TW-039细胞类似产品::RT-4细胞、102PT细胞、GalK 1细胞

LLC-PK-1细胞类似产品::KHYG细胞、INS-1细胞、HEK293EBNA细胞

SKOV-3细胞类似产品::MOLT 3细胞、MADB-106细胞、G-292细胞

LU65细胞类似产品::130 T细胞、H2405细胞、SW 1573细胞

RPE1细胞类似产品::WM 266-4细胞、H-2195细胞、CCD-112 CoN细胞

H-1355细胞类似产品::CCC-HIE-2细胞、BERH-2细胞、UCLA NPA871细胞

RCS细胞类似产品::A375细胞、GM17219细胞、PANC3.27细胞

SKNBE(1)细胞类似产品::WERI-Rb 1细胞、HCC-1588细胞、NBL_S细胞

KMY1022细胞类似产品::OCILY-19细胞、CT26.CL25细胞、HCC0095细胞

KMY1022细胞类似产品::OCILY-19细胞、CT26.CL25细胞、HCC0095细胞

A-375.S2细胞类似产品::LN-229细胞、H35细胞、HCT 15细胞

MDA2B细胞类似产品::WC00079细胞、LC1/Sq细胞、NCTC clone 1469细胞

QGY-7703细胞类似产品::FLC7细胞、PFSK1细胞、MDCK2细胞

SN12CPM6细胞类似产品::SV40-HCEC细胞、COLO 320HSR细胞、Hs-274-T细胞

Blotchy fibroblast-11细胞类似产品::Mevo细胞、OCI-AML-3细胞、UMC11细胞

PC14细胞类似产品::LMTK-细胞、Sup T-1细胞、HOPC细胞

CHOS细胞类似产品::MCF 7细胞、HBE 135-E6E7细胞、TYKnu细胞

Daoy细胞类似产品::KMB-17细胞、UMRC-2细胞、Rat-2细胞

HHUA细胞类似产品::U266BL细胞、Hs-578Bst细胞、NK92-MI细胞

BT 20细胞类似产品::NCI-HUT-460细胞、NE-4C细胞、NCI-H2122细胞

HLEB-3细胞类似产品::MM1细胞、Ramos-2G6-4C10细胞、U266B1细胞

HCC-202细胞类似产品::RT4细胞、NB1-RGB细胞、ND7/23细胞

U343细胞类似产品::HEK AD293细胞、FO [Mouse myeloma]细胞、SKNBE(2)细胞

RKN细胞类似产品::Tu177细胞、OE33细胞、ECV304细胞

NBL_S细胞类似产品::KCL22细胞、HEK.EBNA细胞、Ocular Choroidal Melanoma-1细胞

OCI-LY-18细胞类似产品::ROS17/2.8细胞、MCA38细胞、HCC-9724细胞

NCI-H28细胞类似产品::Nittby-Salford 1细胞、L929(NCTC)细胞、H774细胞

PLCPRF5细胞类似产品::SCL-II细胞、QBC939细胞、L929(NCTC)细胞

NCI-H460细胞类似产品::SK Mel28细胞、NCI-H1793细胞、SW 480细胞

SR-786细胞类似产品::OCI/AML-4细胞、EFM-192B细胞、SK-RC-52细胞

HIT-T15细胞类似产品::SMA560细胞、H747细胞、SNU886细胞

C8166细胞类似产品::T 84细胞、Pa17C细胞、L-929细胞

KM932细胞类似产品::T-24细胞、Caco-2细胞、HRC-99细胞

Epithelioma Papulosum Cyprini细胞类似产品::EOMA细胞、McCoy B细胞、MES-SA Dx5细胞

CL-34 Cells(赠送Str鉴定报告)|人结肠癌细胞

SiHa细胞类似产品::SW 620细胞、HCT8细胞、A.704细胞

Stanford University-Diffuse Histiocytic Lymphoma-6细胞类似产品::Tsup-1细胞、P3X63Ag8细胞、HTori-3.1细胞

Plaepi 34细胞类似产品::MDA PCa 2b细胞、NBL_S细胞、CA922细胞

OE-21细胞类似产品::Colon26细胞、Jurkat E6.1细胞、H250细胞

IPLB-SF 21AE细胞类似产品::SKO3细胞、Intestinal Porcine Epithelial Cell line-J2细胞、HCC-2108细胞

IPLB-SF 21AE细胞类似产品::SKO3细胞、Intestinal Porcine Epithelial Cell line-J2细胞、HCC-2108细胞

MRASMC细胞类似产品::Tohoku Hospital Pediatrics-1细胞、EC9706细胞、CCD-18Co细胞

Michigan Cancer Foundation-7细胞类似产品::WM-239细胞、Hs 888Lu细胞、SW-13细胞

RAT2细胞类似产品::Rat 2细胞、Walker256细胞、P31 FUJ细胞

RA.1细胞类似产品::TT细胞、H-1092细胞、COLO 680N细胞

L(TK-)细胞类似产品::MC57G细胞、SUNE-1细胞、RKO-AS-45-1细胞

Eph4 1424细胞类似产品::HDMEC细胞、RBMVEC细胞、LC-2-Ad细胞

B16细胞类似产品::Panc-08.13细胞、CCD33Co细胞、Panc-8_13细胞

RMG-1细胞类似产品::V79-GalK1细胞、LOU-NH-91细胞、OSC-19细胞

SK-MEL2细胞类似产品::COLO824细胞、NCIH2286细胞、NBL-2细胞

SKUT1细胞类似产品::Tn5 B1-4细胞、Calf Pulmonary Artery Endothelial细胞、HepG2细胞

GM07404A细胞类似产品::SNU407细胞、HTori-3细胞、CTLL(2)细胞

Dx5细胞类似产品::NCI-UMC-11细胞、Saos2细胞、GT39细胞

HCC1359细胞类似产品::SU-DHL2细胞、MC3T3-E1 Subclone 24细胞、LL/2 (LLC1)细胞

CCD-112 CoN细胞类似产品::266 Bl细胞、H211细胞、Panc-02细胞

HCC0095细胞类似产品::Ha Fe细胞、L-1210细胞、VMRCLCD细胞

NCI.H460细胞类似产品::THP-1(ATCC)细胞、P3J HR-1细胞、NS-I/1细胞

NCIH596细胞类似产品::Tu-212细胞、NCIH2066细胞、CL1细胞

MB-49细胞类似产品::HT29细胞、KOPN-8细胞、UC-3细胞

H-727细胞类似产品::293A细胞、U251细胞、PK-13细胞

DMS-153细胞类似产品::H2052_MM细胞、OV 2008细胞、BJAB细胞

OCM-1A细胞类似产品::A.704细胞、Bronchial Epithelium transformed with Ad12-SV40 2B细胞、OCILY3细胞

K562细胞类似产品::SUM52细胞、LWnt-3A细胞、EO771细胞

Tca-8113细胞类似产品::KM12细胞、Hca-F细胞、NP-69细胞

MARC 145细胞类似产品::CoCL2细胞、CP70细胞、T-T细胞

SW-756细胞类似产品::CD-18细胞、H250细胞、PTK2细胞

Chang liver细胞类似产品::COS-7细胞、IB-RS2细胞、L-6TG细胞

Fu97细胞类似产品::KRC/Y细胞、T 84细胞、LN 229细胞

Ontario Cancer Institute-Acute Myeloid Leukemia-4细胞类似产品::Hs 294T细胞、U-118MG细胞、HNE-1细胞

NCIH2106细胞类似产品::GM03190细胞、RCF细胞、MN 60细胞

GM01232细胞类似产品::Tu212细胞、32D.3细胞、J82 COT细胞

Farage OL细胞类似产品::F-36P细胞、SK-RC 52细胞、SK-MEL5细胞

L929细胞类似产品::NCI-H1792细胞、HuCC-T1细胞、293 EBNA细胞

NCIN87细胞类似产品::H1876细胞、NCIH841细胞、NCI-H2405细胞

H1838细胞类似产品::DCS细胞、P3.NS-1/1.Ag4.1细胞、MDAMB157细胞

MEC-1细胞类似产品::HPAF-I细胞、HCC-2935细胞、NCI-H889细胞

Ramos.2G6.4C10细胞类似产品::Hepa1-6细胞、NCI-H1915细胞、GC-1 spg细胞

G-361细胞类似产品::U-118MG细胞、U-87MG细胞、HCMEC细胞

Ketr3细胞类似产品::HRA19细胞、VE细胞、RPMI7666细胞

NCI-H660细胞类似产品::SK-MEL5细胞、GM03573细胞、LS 1034细胞

Mahlavu细胞类似产品::Sp2/0-Ag14细胞、MB468细胞、HO-1-N-1细胞

GC1-SPG细胞类似产品::SaOS-2细胞、SUM149-PT细胞、H-1048细胞

HHL-5细胞类似产品::PL 5细胞、NCI-H1963细胞、LAD2细胞

KE-39细胞类似产品::Hs706T细胞、SUP-B1细胞、T47D:A细胞

NH-6细胞类似产品::SKNBE-2细胞、HS0578T细胞、SK-MES1细胞

HAEC细胞类似产品::Baby Hamster Kidney 21细胞、A-72细胞、DU4475细胞

NCI-H510A细胞类似产品::G-292 clone A141B1细胞、H209细胞、CL1.0细胞

MDA-1386细胞类似产品::786-0细胞、VMM-5A细胞、SK BR 03细胞

Vx-2细胞类似产品::HuPT3细胞、GL-261细胞、Sun Yat-sen university Ophtalmic center-Retinoblastoma 50细胞

NCIH2342细胞类似产品::RTMC细胞、ssMCF-7细胞、CAL148细胞

H-2110细胞类似产品::RCC 786-O细胞、Hs-729-T细胞、WC00079细胞

NCI-H226细胞类似产品::Doubling time: ~50 hours (ATCC).细胞、H820细胞、RA细胞

H838细胞类似产品::E.G7-OVA细胞、Hs 600.T细胞、AML-2细胞

L-929细胞类似产品::SN12PM6细胞、HANK-1细胞、Hs.27细胞

NT2/D1细胞类似产品::H-2170细胞、KYSE0410细胞、Y79细胞

NOZAWA细胞类似产品::ME180细胞、NCI-SNU-878细胞、HepaRG细胞

HCT-116细胞类似产品::TGW-I-nu细胞、HS 1.Tes细胞、HCET细胞

NBLS细胞类似产品::CEF细胞、RT-BM 1细胞、RK 13细胞

HOS-MNNG细胞类似产品::GB1细胞、HUC细胞、H187细胞

THLE2细胞类似产品::7860细胞、SCC90细胞、SNK-6细胞

Sc-1细胞类似产品::RS 4;11细胞、SCI1细胞、D283MED细胞

KBM5细胞类似产品::KMM-1细胞、Virginia Mason Research Center-Renal Cancer Z细胞、NW38细胞

MKN28细胞类似产品::TOV112细胞、D324细胞、SKLU1细胞

OVCAR-433细胞类似产品::MDA-MB-435 S细胞、BC3H1细胞、Hs578Bst细胞

LTPA细胞类似产品::NCIH244细胞、HT-55细胞、NCIH1299细胞

Hs 281.T细胞类似产品::COLO-320-DM细胞、NCM460细胞、ARH-77细胞

NCIADR.RES细胞类似产品::SUNE 1细胞、SU-DHL-5细胞、3LL细胞

HuP-T4细胞类似产品::LAN-6细胞、OCI/AML-2细胞、EL4细胞

Reuber H35细胞类似产品::TC-1[JHU-1]细胞、M-1 myeloid leukemia细胞、JM细胞

CD18/HPAF细胞类似产品::NB-9细胞、RL95-2细胞、Chinese Hamster Lung细胞

COLO-357细胞类似产品::SNU449细胞、S91细胞、MM1.S细胞

NCI-Hut 125细胞类似产品::R1800[RA]细胞、NMCG-1细胞、Strain V细胞

SKRC-52细胞类似产品::VA-ES-BJ细胞、Ly19细胞、Sci-1细胞

G-292 clone A141B1细胞类似产品::EB2细胞、NCIH244细胞、LLC1细胞

HSC-3细胞类似产品::NCIH2081细胞、Nb2细胞、HUCEC细胞

ANA1细胞类似产品::C-127细胞、KBM7细胞、H-2081细胞

Hep-G2/C3A细胞类似产品::alpha TC1-6细胞、BJA-B-1细胞、aTC1-6细胞

A-498细胞类似产品::Raji细胞、HBSMC细胞、A2780/CP细胞

MM.1S细胞类似产品::HCC-1419细胞、C-4I细胞、F36P细胞

OVCAR420细胞类似产品::SiHa细胞、MDA MB 134VI细胞、SF767细胞

aTC1 Clone 6细胞类似产品::D407 RPE细胞、NCTC 1469细胞、4T1细胞

M14细胞类似产品::SK MEL-28细胞、T1-73细胞、Douglas Foster-1细胞

WM 2664细胞类似产品::TE-9细胞、SK-MEL24细胞、MV411细胞

H-35 Reuber细胞类似产品::COLO 394细胞、SHSY5Y细胞、HCC1569细胞

DLD1细胞类似产品::AgC11x3A细胞、Roswell Park Memorial Institute 1846细胞、Mahlavu细胞

CL40细胞类似产品::HEK-293H细胞、Immortal Pig Intestinal-2I细胞、B16BL-6细胞

Neuro2a细胞类似产品::DKMG细胞、IPAM-WT细胞、H-1651细胞

MOLP-8细胞类似产品::Hs 742.T细胞、HSC-4细胞、SNU475细胞

32D.3细胞类似产品::TKB-1细胞、Hs 636.T细胞、Capan1细胞

Lec1细胞类似产品::ChaGo-K-1细胞、Caco-2/BBe 1细胞、EOMA细胞

G519细胞类似产品::NCI H747细胞、OVCAR-432细胞、GTL 16细胞

RCS细胞类似产品::A375细胞、GM17219细胞、PANC3.27细胞

NRK 49F细胞类似产品::MCA205细胞、YAC-1细胞、T-CAM2细胞

SUM-149细胞类似产品::RAMOS2G64C10细胞、HMEC-1细胞、KYSE-150细胞

VMM-5A细胞类似产品::CC-LP-I细胞、AtT20细胞、PL-9细胞

OE-33细胞类似产品::MEC1细胞、Hs 934.T细胞、KM12 SM细胞

HSC/mHSC细胞类似产品::Human Embryonic Kidney 293细胞、Danio rerio Gill细胞、hESC细胞

C1498细胞类似产品::EB-3细胞、BJA-B1细胞、Mono Mac 1细胞

HT3细胞类似产品::FDC-P1细胞、LNCaP.FGC细胞、HTori:3细胞

Panc05.04细胞类似产品::HCPEpiC细胞、HSC3细胞、LICR-LON-HN6-R细胞

OCI-LY-18细胞类似产品::ROS17/2.8细胞、P3/NS1/Ag4-1细胞、NG10815细胞

Evsa T细胞类似产品::GalK1细胞、NFS 60细胞、LIXC-002细胞

293 F细胞类似产品::Huh-7.5.1细胞、RS4-11细胞、U87细胞

HAPI细胞类似产品::ARO细胞、H1944细胞、NCIH2227细胞

SKRC20细胞类似产品::C32 mel细胞、SV40-HCEC细胞、CCD-112CoN细胞

CCRF/CEM细胞类似产品::M-1细胞、PL 5细胞、DHBE细胞

NCI522细胞类似产品::MDA-kb2细胞、Epithelioma Papulosum Cyprini细胞、OCI-LY-19细胞

NTERA2-D1细胞类似产品::TGBC11TKB细胞、H378细胞、BT-549细胞

NPC-TW-039细胞类似产品::MDAMB231细胞、OV433细胞、LWnt3A细胞

NCIH2347细胞类似产品::SW-48细胞、MFE296细胞、KOPN8细胞

LS180细胞类似产品::SW982细胞、MDA-MB453细胞、Hs 294T细胞

BRL 3A细胞类似产品::PFSK细胞、UO.31细胞、HCC1954BL细胞

RBSMC细胞类似产品::LNCaP-C4-2细胞、MDA MB231细胞、HFT 8810细胞

OAW42细胞类似产品::EAC细胞、M210B4细胞、MDA-MB-175-VII细胞

CL-34 Cells(赠送Str鉴定报告)|人结肠癌细胞

SNU-869细胞类似产品::P 3 HR 1细胞、Uhth-74细胞、T-98细胞

RPMI 8226细胞类似产品::LLC1细胞、A204细胞、Intestinal Epithelioid Cell line No. 18细胞

NB1RGB细胞类似产品::SK-MEL-2-LUC细胞、H-1819细胞、SHIN-3细胞

Caco-2BBe细胞类似产品::SW 954细胞、SCC-9细胞、NCI-H2141细胞

ECGI10细胞类似产品::CG4细胞、BDCM细胞、C3H/10T1/2 clone 8细胞

LLCPK1细胞类似产品::SK-NMC细胞、B-CPAP细胞、HBEpiC细胞

LS-411细胞类似产品::H1693细胞、MC3T3-E1 Subclone 14细胞、OVCA433_Bast细胞

Hep2细胞类似产品::H-660细胞、hFOB1.19细胞、LICR-LON-HN6-R细胞

COV504细胞类似产品::H341细胞、Rh30细胞、Hs 27细胞

NCI-H522细胞类似产品::SJCRH30细胞、RIN-m 14B细胞、H2170细胞

CT-26 WT细胞类似产品::Line 697细胞、CAL33细胞、Adult Retinal Pigment Epithelial cell line-19细胞

T173细胞类似产品::Hep-G2/C3A细胞、GOS3细胞、SUNE-1细胞

mREC细胞类似产品::SKNBE(2c)细胞、16-HBE14o细胞、LLC-PK-1细胞

HuNS1细胞类似产品::HHFK细胞、MPASMC细胞、ACHN细胞

BNCL2细胞类似产品::H647细胞、IGR.OV1细胞、U-251_MG细胞

H-9细胞类似产品::NCI-H1648细胞、NALM6细胞、H4IIE细胞

H-522细胞类似产品::HEK-293-F细胞、HTR8/SVneo细胞、H-1703细胞

HARAB细胞类似产品::EA. hy 926细胞、Jurkat FHCRC细胞、FUOV1细胞

Biopsy xenograft of Pancreatic Carcinoma line-3细胞类似产品::FU-97细胞、OCM-1细胞、WM-451Lu细胞

NFHIOSE-29细胞类似产品::NCM356细胞、NCI-H2029细胞、NCIH1341细胞

L-5178-Y-R细胞类似产品::WPE-int细胞、SW260细胞、OUMS23细胞

T98细胞类似产品::SUPB-15细胞、CF PAC-1细胞、MV-4-11细胞

HEK AD293细胞类似产品::P3-X63.Ag8.653细胞、C918细胞、SF-767细胞

MADB 106细胞类似产品::HCT FET细胞、KMS18细胞、KMS18细胞

NCIH1395细胞类似产品::C2-C12细胞、MH-S细胞、BJAB-1细胞

SCC25细胞类似产品::Hs-940细胞、Intestinal Epithelioid Cell line No. 6细胞、P3-Jiyoye细胞

NB9细胞类似产品::WM451细胞、A-9细胞、MPC11细胞

MC3T3-E1(C4)细胞类似产品::FHCRC subclone 11细胞、PC 61.5.3细胞、P388D1细胞

Hepa 1-6细胞类似产品::H-2122细胞、VERO C 1008细胞、Hs840T细胞

BALB/3T3细胞类似产品::GM03573细胞、HO-8910 PM细胞、CG4细胞

C17细胞类似产品::MDA-453细胞、IHH4细胞、PANC 327细胞

FHL 124细胞类似产品::K562/ADR细胞、32D.cl3细胞、UCLA-SO-14细胞

"



CL-34 Cells(赠送Str鉴定报;

公司简介

上海冠导生物工程有限公司,先后从ATCC、DSMZ、ECACC、RIKEN、PromoCell、ScienCell、JCRB等国内外细胞库引进细胞2000余株。以此为契机,公司组建了冠导细胞库,我司细胞均由资深细胞培养工程师进行培养。我司可以提供的细胞有:①细胞系②原代细胞③稳转株④耐药株⑤标记细胞⑥细胞配套试剂等。

成立日期 (11年)
注册资本 100万(元)
员工人数 50-100人
年营业额 ¥ 1000万-5000万
经营模式 工厂,试剂,定制,服务
主营行业 细胞培养,微生物学,细胞生物学

CL-34 Cells(赠送Str鉴定报告)|人结肠癌细胞相关厂家报价

内容声明
拨打电话 立即询价