基本信息 产品详情 公司简介 推荐产品
网站主页 化工产品目录 生物 细胞培养 细胞系 人细胞系 MHCC97-L MHCC97-L:低转移人肝癌复苏细胞(提供STR鉴定图谱)
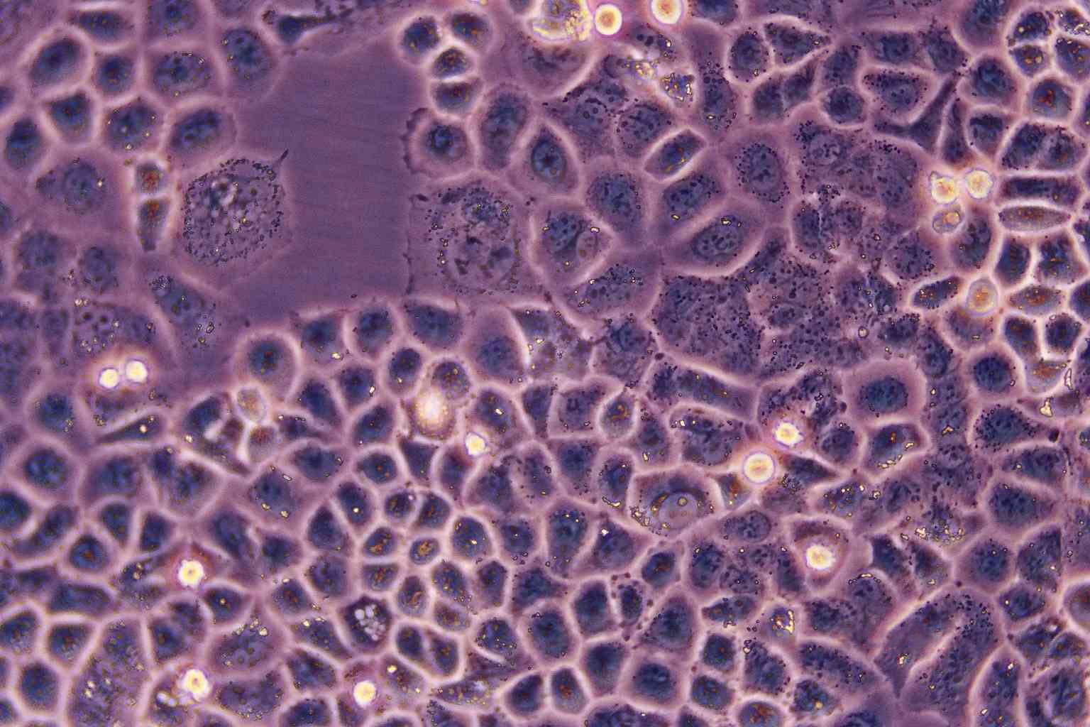
  • MHCC97-L:低转移人肝癌复苏细胞(提供STR鉴定图谱)

MHCC97-L:低转移人肝癌复苏细胞(提供STR鉴定图谱)

MHCC97-L
询价 1000000细胞数 起订
2000000细胞数 起订
上海 更新日期:2026-04-16

上海冠导生物工程有限公司

VIP6年
联系人:全经理
电话:18818239863拨打
邮箱:3171921642@qq.com

产品详情:

中文名称:
MHCC97-L:低转移人肝癌复苏细胞(提供STR鉴定图谱)
英文名称:
MHCC97-L
保存条件:
常温培养或液氮冻存
纯度规格:
MHCC97-L:低转移人肝癌复苏细胞(提供STR鉴定图谱)
产品类别:
生物试剂

"MHCC97-L:低转移人肝癌复苏细胞(提供STR鉴定图谱)

细胞生长:贴壁

细胞组成了组织,组织组成了器官,器官的组织就形成了一个个体,所有的组织和器官都是由细胞分化增殖形成的,通过汲取营养物质,Zui后形成个体。把人体的单个小细胞比喻成一个地球,人体组织呢就是一个太阳系,器官就是银河系,这样生动形象的比喻,可以让我们很容易了解到细胞与组织、组织与器官之间的关系。人的身体就像一个庞大的机器工厂,每时每秒都在进行着能量的传输与转化,它也像个巨大的产业链,一旦某个环节出了问题,同样伴随着的是人的身体也会出现不同程度的功能障碍,这也就是为什么人到某一定阶段以后身体的某些功能会逐渐衰退的原因。人的基本生命活动是通过细胞实现的,细胞的活动或功能异常,人体就容易生病。人之所以会得病就是人体内的细胞除了问题,一旦细胞有问题——组织就有问题——器官就有问题——系统就有问题——人就会得病。人体细胞每天都在分裂增殖,但是增长到一定阶段后就开始停止、病变或凋亡,如果不及时修复或增加,人体就会出现不同程度的疾病症状,小到病毒感冒,大到疑难杂症无一不都是因为人体内的细胞出了问题。

细胞物种来源:人源或鼠源等其它物种来源

Stanford University-Diffuse Histiocytic Lymphoma-10细胞类似产品::NHEK细胞、T-HEECs细胞、SV40-MES13细胞

RPMI8226细胞类似产品::TERT-RPE1细胞、PLA801-95C细胞、LIPF178C细胞

NR 8383细胞类似产品::RH-30细胞、SF 539细胞、PLC8024细胞

RWPE1细胞类似产品::Walker-256细胞、mIMCD3细胞、P3-X63-Ag8.653细胞

[细胞产品包装]鲜活细胞:T25培养瓶(一瓶)或冻存细胞:1ml冻存管(两支)

细胞背景资料:来源于中山医院,生长较缓慢

MHCC97-L:低转移人肝癌复苏细胞(提供STR鉴定图谱)

细胞形态:上皮细胞样

NOK细胞类似产品::Biologics Standards-Cercopithecus-1细胞、RPMI 1846细胞、DoHH2细胞

hTERT-RPE1细胞类似产品::Hs821T细胞、STTG1细胞、DR2R 1610细胞

IPLB-Sf21细胞类似产品::OV-2008细胞、HNTEC细胞、KYSE-510细胞

购买细胞注意事项:1)收到细胞后首先观察细胞瓶是否完HAO,培养液是否有漏液、浑浊等现象,若有上述现象发生请及时和我们联系;2)仔细阅读细胞说明书,了解细胞相关信息,如细胞形态、所用培养基、血清比例、所需细胞因子等;3)用75%酒精擦拭细胞瓶表面,显微镜下观察细胞状态。因运输问题贴壁细胞会有少量从瓶壁脱落,将细胞置于培养箱内静置培养过夜,隔天再取出观察。此时多数细胞均会贴壁,若细胞仍不能贴壁请用台盼蓝染色测定细胞活力,如果证实细胞活力正常,请将细胞离心后用新鲜培养基再次贴壁培养;如果染色结果显示细胞无活力,请拍下照片及时和我们联系,信息确认后我们为您再免费寄送一次;4)建议客户收到细胞后前3天各拍几张细胞照片,记录细胞状态,便于和公司技术部沟通交流。【细胞传代操作步骤】一、贴壁细胞传代:1)提前将培养基、PBS放入37℃水浴锅内预热,用75%酒精擦拭后再放入超净台内;2)吸除或倒掉细胞瓶内旧培养液,加少量PBS润洗细胞;3)加入适量胰酶,使胰酶的量能盖住细胞,37℃孵育,每隔2~3min显微镜下观察,待贴壁细胞间间隙变大、细胞趋于圆形但还未漂起时弃去胰酶,加入新鲜培养基,晃动细胞瓶,终止胰酶作用;4)用吸管小心吹打贴壁的细胞,制成细胞悬液。控制吹打的力度,避免产生大量的气泡;5)将细胞悬液分别接种到另外的2~3个细胞瓶内,加入新鲜培养基,置37℃温箱培养,隔天观察贴壁生长情况。二、悬浮细胞传代:1)将细胞悬液转移到无菌离心管内,1000rpm离心5min;2)弃去上清,加入新鲜的培养基,用吸管小心吹散沉淀,制成细胞悬液;3)将细胞悬液分别接种到另外的2~3个细胞瓶内,加入新鲜培养基,置37℃温箱培养。

细胞传代方法:1:2传代

细胞来源说明:来源于RCB、ATCC、KCLB、DSMZ、ECACC、INCell、ScienCell、ECACC、JCRB、Asterand、ICLC等知名细胞库

MHCC97-L:低转移人肝癌复苏细胞(提供STR鉴定图谱)

细胞生长特性:贴壁生长

细胞培养中常用设施及设备:实验室设计:细胞培养是一种无菌操作技术,要求工作环境和条件必须保证无微生物污染和不受其它有害因素的影响。细胞培养室和设计原则是防止微生物污染和有害因素影响,要求工作环境清洁、空气清新,干燥和无烟尘。细胞培养室的设计原则一般是无菌操作区设在室内较少走动的内侧,常规操作和封闭培养于一室,而洗刷消毒在另一室。常用设施及设备:1)超净工作台:也称净化工作台,分为侧流式、直流式和外流式三大类。2)无菌操作间:一般由更衣间、缓冲间和操作间三部分组成。操作间放置净化工作台及二氧化碳培养箱、离心机、倒置显微镜等。缓冲间可放置电冰箱、冷藏器及消毒HAO的无菌物品等。3)操作间:普通培养箱、离心机、水浴锅、定时钟、普通天平及日常分析处理物。4)洗刷消毒间:烤箱、消毒锅、蒸馏水处理器及酸缸等。5)分析室:显微镜、计算机及打印机等。

MCA 205细胞类似产品::SW 1417细胞、Vero-E6细胞、SCL1细胞

Rat Lung Epithelial-6-T-antigen Negative细胞类似产品::U-87 MG细胞、LAN-1细胞、MeT 5A细胞

DR2R1610细胞类似产品::253J细胞、50.B1细胞、Tregs细胞

C518细胞类似产品::MES-SA/Dx-5细胞、SV40 MES 13细胞、HLE-SRA-01/04细胞

HuH6细胞类似产品::Mel526细胞、LC1细胞、Wistar Institute, Susan Hayflick细胞

SJRH 30细胞类似产品::NCI-H498细胞、GA-10(Clone 4)细胞、HVSMC细胞

Sp2/O-Ag14细胞类似产品::MUVEC细胞、SJ-RH30细胞、H-87细胞

CEL细胞类似产品::FCCH1024细胞、U266S细胞、H-2342细胞

KATOIII细胞类似产品::NCI-841细胞、Z310细胞、NIH:OVCAR-4细胞

COLO-824细胞类似产品::Med 341细胞、Rat Skin 1细胞、M1细胞

SV40 MES 13细胞类似产品::DITNC1细胞、OCI-Ly 10细胞、HCC-95细胞

10T1/2细胞类似产品::BGC-823细胞、MT2细胞、NTERA2细胞

MEF (CF-1)细胞类似产品::HPDE6c7细胞、RMG-I细胞、1301细胞

Nthy-ori 3.1细胞类似产品::CL 1-5细胞、LLC-PK(1)细胞、IPEC1细胞

University of Michigan-Urothelial Carcinoma-3细胞类似产品::HCC366细胞、CG4细胞、COLO-680N细胞

Central Adrenergic TH-expressing a细胞类似产品::MPC-11细胞、H-128细胞、LAPC4细胞

Central Adrenergic TH-expressing a细胞类似产品::MPC-11细胞、H-128细胞、LAPC4细胞

H1944细胞类似产品::Giant Cell Tumor细胞、HFF1细胞、8505C细胞

Y1细胞类似产品::CaSki细胞、28SC细胞、LS-123细胞

2B4细胞类似产品::MOPC细胞、PK 15细胞、KY180细胞

MUM2B细胞类似产品::EL4细胞、H-187细胞、KP-N-RT-BM-1细胞

NCI-H1618细胞类似产品::3396细胞、H-1417细胞、SNU-1细胞

NCI-H2286细胞类似产品::SBC-5细胞、OVCAR.4细胞、NTera2/D1细胞

EAC细胞类似产品::U-373 MG细胞、Acanthosis Nigricans 3rd attempt-CArcinoma细胞、Swiss-3T3细胞

MHCC97-L:低转移人肝癌复苏细胞(提供STR鉴定图谱)

MES-SA/Dx-5细胞类似产品::RS1细胞、HEK 293T/17细胞、HSCT6细胞

NCM460细胞类似产品::Metastatic Variant 522细胞、Panc-02细胞、NCI-H774细胞

Hs 870.T细胞类似产品::RPVSMC细胞、MRC5细胞、KYSE510细胞

HSC(Human Schwann)细胞类似产品::CCC-HHM-2细胞、SupB15W细胞、GM17219细胞

293F细胞类似产品::NCIH1876细胞、T_T_细胞、MV4;11细胞

2780CP细胞类似产品::KOPN8细胞、TFH细胞、CHP-100细胞

U 138 MG细胞类似产品::A375-MEL细胞、R-1059-D细胞、32D-Cl3细胞

MOLT 3细胞类似产品::BC-009细胞、OAW-42细胞、LA-4 [Mouse lung adenoma]细胞

MDAMB175VII细胞类似产品::HCV-29细胞、CT-26细胞、WM451细胞

Hep-3B细胞类似产品::Hs445细胞、T24细胞、HOS/MNNG细胞

786O细胞类似产品::OCI-Ly 1细胞、NCI/ADR-RES细胞、NCI-H441-4细胞

HR8348细胞类似产品::DHL10细胞、LS174T细胞、DMS153细胞

CAL-148细胞类似产品::253J-Bladder-V细胞、T-47-D细胞、COLO680N细胞

MDCK (NBL-2)细胞类似产品::KMS-26细胞、As-PC1细胞、NCI-H69C细胞

Panc 03.27细胞类似产品::Scott细胞、PANC-04-03细胞、MAVER1细胞

COV434细胞类似产品::SRS-82细胞、NWA细胞、FL83B细胞

RBE4细胞类似产品::B95-8细胞、MCF-12F细胞、NCIH522细胞

GC-1 spg细胞类似产品::NCI-H3255细胞、CHL-CL-11细胞、NMC-G1细胞

BHK21细胞类似产品::MHCC97细胞、H2135细胞、SU 86.86细胞

RS411细胞类似产品::NT2-D1细胞、LAN-5细胞、HEK293-FT细胞

SK-N-SH细胞类似产品::Moorfields/Institute of Ophthalmology-Muller 1细胞、DMS-79细胞、STC-1细胞

MGH-UI细胞类似产品::ASH3细胞、Bovine Turbinate细胞、SK-MEL3细胞

Farage OL细胞类似产品::F-36P细胞、SK-RC 52细胞、SK-MEL5细胞

MESSA细胞类似产品::M109细胞、KYSE-70细胞、L1210细胞

V 79-4细胞类似产品::FHs 74 Int细胞、K 562细胞、AU-565细胞

BAEC细胞类似产品::C28/I2细胞、H295细胞、LK2细胞

4T1细胞类似产品::BSC40细胞、T173细胞、SK_HEP1细胞

SKNBE2细胞类似产品::PGBE1细胞、C26细胞、DHL-2细胞

C8161细胞类似产品::H1238细胞、H196细胞、FO [Mouse myeloma]细胞

H-1092细胞类似产品::Hs 863.T细胞、MCF 10A细胞、H-1238细胞

NCI-H2023细胞类似产品::G-292细胞、Stanford University-Diffuse Histiocytic Lymphoma-5细胞、HOS (TE85)细胞

Kelly细胞类似产品::OSC19细胞、CHL-IU细胞、CCD-1095Sk细胞

HuT-102细胞类似产品::102PT细胞、SK-UT-1细胞、P3-X63Ag8细胞

Murine Lung Epithelial-12细胞类似产品::OCI-LY-10细胞、JEG3细胞、HBVP细胞

SKBR-3细胞类似产品::RPMI 1846细胞、NCIH2085细胞、RT-BM-1细胞

L cell细胞类似产品::C38细胞、95C细胞、SK-MES-1细胞

U118-MG细胞类似产品::SV-HUC细胞、HEL299细胞、U-2932细胞

DR2R1610细胞类似产品::253J细胞、LN-382细胞、BLO 11细胞

TALL-1 [Human adult T-ALL]细胞类似产品::NCI-1155细胞、H-2052细胞、Panc05.04细胞

Z310细胞类似产品::NCI660细胞、NCI-H2122细胞、TE354.T细胞

SUPT-1细胞类似产品::RIN14B细胞、Hs852T细胞、Cates 1B细胞

J 774A.1细胞类似产品::Panc4.03细胞、SKCol1细胞、KBM-5细胞

HMCB细胞类似产品::Madin-Darby Bovine Kidney细胞、MDCKII-WT细胞、NPC-TW 01细胞

SK 1细胞类似产品::Colo-206F细胞、SW 756细胞、Hep 3B2细胞

H2170细胞类似产品::MBdSMC细胞、IM95细胞、MADB 106细胞

T-cell Acute Lymphoblastic Leukemia-1细胞类似产品::Hs 766细胞、H-676细胞、RPVSMC细胞

HCC1833细胞类似产品::HBL-100细胞、NGEC细胞、HUT-125细胞

H-2452细胞类似产品::S-16细胞、hOMF细胞、BCaP 37细胞

MOLM16细胞类似产品::16-HBE14o细胞、CEM-CCRF细胞、HSF细胞

KOSC-2 cl3-43细胞类似产品::Calu6细胞、MDCC-MSB1细胞、MD Anderson-Metastatic Breast-175-VIII细胞

HR1K细胞类似产品::JB6 Cl 30-7b细胞、TM-4细胞、IB-RS2细胞

MDCK-2细胞类似产品::Ku812F细胞、HS578T细胞、Swiss/3T3细胞

GC9811-P细胞类似产品::Anip973细胞、HNE-3细胞、BE2_C细胞

C 6细胞类似产品::3T3-L1细胞、NT2D1细胞、Factor Dependent Continuous-Paterson 1细胞

MCM细胞类似产品::P-36细胞、C3H 10T1/2细胞、MFE280细胞

GC1-SPG细胞类似产品::SaOS-2细胞、SUM149-PT细胞、H-1048细胞

LA-N-5细胞类似产品::Merwin Plasma Cell tumor-11细胞、NIH:OVCAR-8细胞、LAD-2细胞

HCASMC细胞类似产品::NR-8383细胞、J-774细胞、MA-104细胞

HCASMC细胞类似产品::NR-8383细胞、J-774细胞、MA-104细胞

DV-90细胞类似产品::Eca-109细胞、Wayne State University-Head and Neck 13细胞、Duck embryo细胞

JS1细胞类似产品::786-O RCC细胞、GM07404A细胞、CHP-126细胞

H2081细胞类似产品::hFOB细胞、NCI-H2171细胞、CP70细胞

Ramos-RA1细胞类似产品::H-740细胞、H2052_MM细胞、870细胞

COLO678细胞类似产品::P30 OHK细胞、PANC403细胞、H9细胞

WiDr-TC细胞类似产品::Los Angeles Prostate Cancer-4细胞、SUM-190PT细胞、WIL2 Secreting细胞

OCI-LY-19细胞类似产品::CCD-18Co细胞、A-427细胞、NCIH2452细胞

Human Hepatocyte Line 5细胞类似产品::COLO206F细胞、NB.4细胞、Huh7.5细胞

A375-SM细胞类似产品::RT4-D6-P2T细胞、HepG2细胞、NCI-H165细胞

TERT-RPE1细胞类似产品::HT-55细胞、GM00637I细胞、H4-II-E细胞

J82 COT细胞类似产品::TE-1细胞、Namalva细胞、NCIH196细胞

SNU-719细胞类似产品::HcerEpic细胞、P36细胞、Sp2/0-Ag14细胞

SL1细胞类似产品::Cates-1B细胞、NCI-H2347细胞、TFK1细胞

NCIH841细胞类似产品::C33-A细胞、HARAB细胞、NCI-SNU-761细胞

RM1细胞类似产品::NCIH208细胞、RAMSCs细胞、CFPAC-1细胞

Mia PACA 2细胞类似产品::U118细胞、Ramos 1细胞、GM06141B细胞

293AD细胞类似产品::AHH-1细胞、GC-1spg细胞、UCLA-SO-14细胞

GM03320D细胞类似产品::TK.10细胞、HLEB3细胞、RH35细胞

MDCK Type II细胞类似产品::LMH细胞、Michigan Cancer Foundation-12F细胞、HEC-1A细胞

Dx5细胞类似产品::NCI-UMC-11细胞、Saos2细胞、GT39细胞

Dx5细胞类似产品::NCI-UMC-11细胞、Saos2细胞、GT39细胞

BNL 1ME A.7R.1细胞类似产品::HCC2218细胞、SW 1573细胞、COLO 684细胞

SW-1463细胞类似产品::HO1-N-1细胞、MCF.7细胞、BEAS2B细胞

MHCC97-L:低转移人肝癌复苏细胞(提供STR鉴定图谱)

H283细胞类似产品::U266 Bl细胞、beta TC6细胞、Gerner 7666细胞

AML-193细胞类似产品::SNU878细胞、KYSE 30细胞、Kelly细胞

G292细胞类似产品::Nb 2细胞、HS940细胞、Lymph Node Carcinoma of the prostate细胞

CORL23细胞类似产品::DoTc2细胞、Madin Darby Bovine Kidney细胞、RF/6A细胞

HL1细胞类似产品::EM-3细胞、KU-812F细胞、Human Foreskin Fibroblast细胞

VM-CUB1细胞类似产品::HSC4细胞、MSCs(mUCMSCs)细胞、SW-948细胞

"



MHCC97-L:低转移人肝癌复苏细胞(;

公司简介

上海冠导生物工程有限公司,先后从ATCC、DSMZ、ECACC、RIKEN、PromoCell、ScienCell、JCRB等国内外细胞库引进细胞2000余株。以此为契机,公司组建了冠导细胞库,我司细胞均由资深细胞培养工程师进行培养。我司可以提供的细胞有:①细胞系②原代细胞③稳转株④耐药株⑤标记细胞⑥细胞配套试剂等。

成立日期 (11年)
注册资本 100万(元)
员工人数 50-100人
年营业额 ¥ 1000万-5000万
经营模式 工厂,试剂,定制,服务
主营行业 细胞培养,微生物学,细胞生物学

MHCC97-L:低转移人肝癌复苏细胞(提供STR鉴定图谱)相关厂家报价 更多

  • MHCC97L
  • MHCC97L
  • 吉奥蓝图(广东)生命科学技术中心 VIP
  • 2026-04-15
  • 询价
内容声明
拨打电话 立即询价