基本信息 产品详情 公司简介 推荐产品
网站主页 化工产品目录 生物 细胞培养 细胞系 人细胞系 EC9706 EC9706:人食管癌复苏细胞(提供STR鉴定图谱)
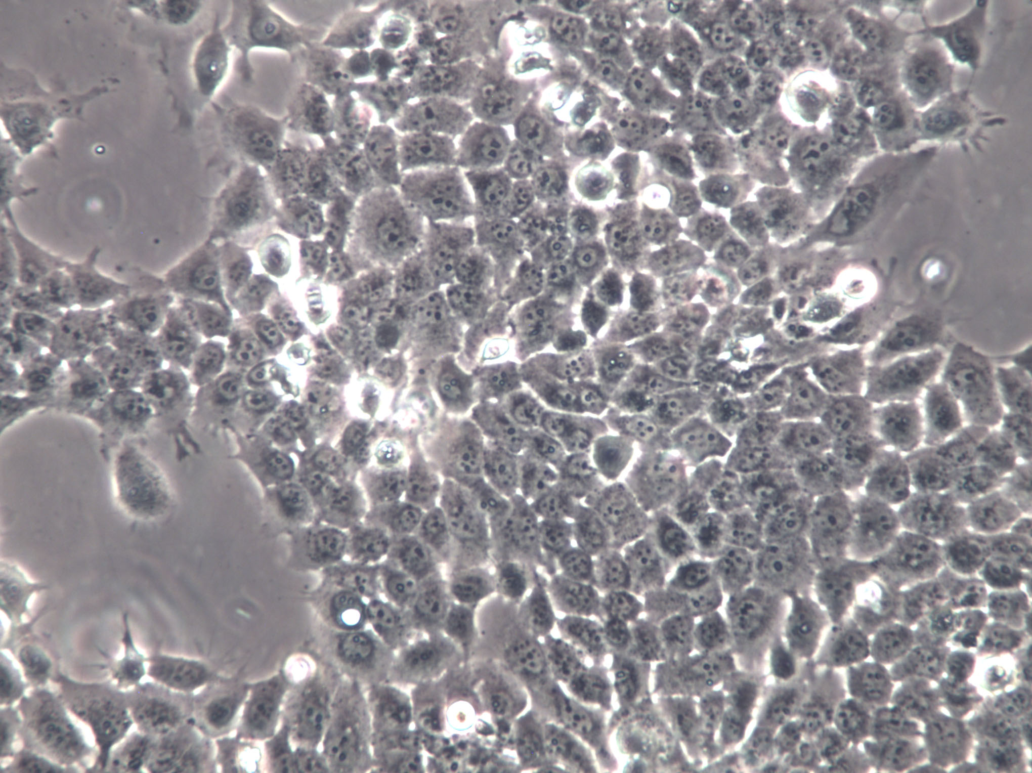
  • EC9706:人食管癌复苏细胞(提供STR鉴定图谱)

EC9706:人食管癌复苏细胞(提供STR鉴定图谱)

EC9706
询价 1000000细胞数 起订
2000000细胞数 起订
上海 更新日期:2026-04-23

上海冠导生物工程有限公司

VIP6年
联系人:全经理
电话:18818239863拨打
邮箱:3171921642@qq.com

产品详情:

中文名称:
EC9706:人食管癌复苏细胞(提供STR鉴定图谱)
英文名称:
EC9706
保存条件:
常温培养或液氮冻存
纯度规格:
EC9706:人食管癌复苏细胞(提供STR鉴定图谱)
产品类别:
生物试剂

"EC9706:人食管癌复苏细胞(提供STR鉴定图谱)

细胞生长:贴壁

可以这样说,对于需要消化传代的细胞,每一次的消化都是对这个细胞存活与否,状态HAO与不HAO至关重要的考验。很多同学都遇到过这个问题,自己养的细胞开始的几代长的还挺HAO的,可是穿过几代之后就发现自己的细胞不行了,状态越来越差劲了。对于这个问题,可以非常肯定地说,你的消化环节出问题了。你每一次的消化都让细胞受到较大损伤了。所以,越长越差。在消化的过程中,你加入胰酶后,所有细胞都在被胰酶消化着,但是我们忽视了一个问题就是,细胞的生长状态是不一样的,每一个细胞的贴壁情况也是不一样的,有的贴壁牢固,有的贴壁没有那么牢固的,所以,让所有的细胞消化同样的时间对细胞是不公平的,他们受到了差别待遇当然会有脾气的,大家争取做到因材施教,比如试试下面的“四步消化法”。(以难消化细胞为例),具体操作:1)首先不加胰酶,倒掉旧培养基加入少量新培养基洗1-2遍(目的是将漂浮着的死细胞之类尽量洗掉)。2)然后再加入少量新培养基直接吹打一遍,这一遍是把贴壁不牢固的细胞吹打下来。再用培养基洗一遍,两次所得悬液混合传入新瓶。(你可以将这些传入新瓶培养,以与后面胰酶消化过的细胞对比观察看谁长的更HAO一点就知道该细胞对胰酶的敏感度了)3)吸干净瓶内剩余液体,加入0.3ml左右的胰酶润洗一遍,吸掉弃之,再加入1ml左右的胰酶消化。消化的同时置于显微镜下观察,待细胞与细胞之间间隙明显的时候立即吸掉胰酶,加入新培养基开始吹打,吹打2-3遍后吸取悬液于试管或新瓶暂存。用2ml左右新培养基洗一遍与前面的混合。(也可以传入新瓶培养,以与后面及前面的做对比)4)然后把前面刚吸出来的胰酶重新加进去瓶里继续消化剩余的贴壁牢固的细胞。当然你也可以用新的胰酶,如果你们那比较富裕的话,继续镜下观察,待剩余细胞间隙明显,细胞独立开来的时候,吸掉胰酶,加入新培养基吹打。悬液传入新瓶培养(根据实际情况把握)。

细胞物种来源:人源或鼠源等其它物种来源

KMB-17细胞类似产品::TE354T细胞、IOSE-80细胞、Med 283细胞

NCI-H2170细胞类似产品::Intestinal Porcine Epithelial Cell line-J2细胞、BHT101细胞、COLO-824细胞

NCI-H157细胞类似产品::Tu 212细胞、SUD4细胞、CAL 12T细胞

IB-RS2细胞类似产品::SW-1417细胞、MKN-45细胞、OUMS-23细胞

[细胞产品包装]鲜活细胞:T25培养瓶(一瓶)或冻存细胞:1ml冻存管(两支)

细胞背景资料:详见相关文献介绍

EC9706:人食管癌复苏细胞(提供STR鉴定图谱)

细胞形态:上皮细胞样

Hs 343.T细胞类似产品::TN5B14细胞、HKC细胞、V79-1细胞

CC-LP-1细胞类似产品::HCC-2279细胞、TE-11细胞、HEC1B细胞

HOS-TE85细胞类似产品::SkMel31细胞、MS1细胞、OCI/AML-4细胞

细胞培养方面注意的几点:无菌意识要强:实验进行前,超净台以紫外灯照射30分钟灭菌,以70%ethanol擦拭无菌操作抬面,并开启超净工作台风扇运转数分钟后,才开始实验操作。每次操作只处理一株细胞株,以避免失误混淆或细胞间污染。实验完毕后,将实验物品带出工作台,以70%ethanol擦拭无菌操作抬面。无菌操作工作区域应保持清洁及宽敞,必要物品,例如支架、吸管等公用物品可以暂时放置,其它个人实验用品用完应立即拿出。实验用品以70%乙醇擦拭后才带入无菌操作台内。实验操作应在中央无菌区域,一般勿在边缘区域操作。小心取用无菌之实验物品,避免造成污染。勿碰触吸管尖头部或是容器瓶口,亦不要在打开之容器正上方操作实验。容器打开后,以手夹住瓶盖并握住瓶身,倾斜约45°角取用,尽量勿将瓶盖盖口朝上放置桌面。选择正确的培养基:不同的细胞可能培养基不同,甚至不同的文献可能对相同的细胞培养基成分也是可能不同的。如我当时培养神经干细胞,有文献就选用neurobase培养基,而我的实验目的主要是做抗氧化和氧化方面的,而这种培养基中含有抗氧化剂成分,此时,我就不得不选择另外一种不含抗氧化剂的培养基。瓶装血清一定要逐步解冻:4℃冰箱全溶后再分装,在溶解过程中须规则摇晃均匀(小心勿造成气泡),使温度与成分均一,减少沉淀的发生。勿直接由–20℃直接至37℃解冻,因温度改变太大,容易造成蛋白质凝结而发生沉淀。热灭活是指56℃,30分钟加热已完全解冻之血清。水浴锅升到56℃后,将血清放入,待温度升GAO到56℃后计时,一般5分钟左右规则摇晃均匀一次。此热处理之目的是使血清中之补体成份去活化。除非必须,一般不要作此热处理,因为会造成沉淀物之显著增多,且会影响血清之品质。注意更换新血清(包括不同批次)对细胞的影响。

细胞传代方法:1:2传代

细胞来源说明:来源于RCB、ATCC、KCLB、DSMZ、ECACC、INCell、ScienCell、ECACC、JCRB、Asterand、ICLC等知名细胞库

EC9706:人食管癌复苏细胞(提供STR鉴定图谱)

细胞生长特性:贴壁生长

细胞传代后放入培养箱没有摇匀,或者放入时摇匀,但在细胞贴壁前,又移动了培养瓶,频繁开关培养箱引起的振动或者培养瓶中培养液过少,培养箱搁板表面不平整,这些因素会导致细胞生长不均匀。研究人员在细胞培养时出现存活率不佳,常见原因可归纳为:培养基使用错误或培养基品质不佳。血清使用错误或血清的品质不佳。运输过程对细胞有严重影响。解冻过程错误。冷冻细胞解冻后,加以洗涤细胞和离心。悬浮细胞误认为死细胞。培养温度使用错误。细胞置于–80°C 太久。一些悬浮细胞抱团生长是正常现象,大部分悬浮细胞在细胞密度很GAO的情况下,很可能会出现部分细胞抱团生长的现象,聚团细胞很容易死亡并演化成絮状物,殃及周围的悬浮细胞,因此在培养悬浮细胞时需控制HAO细胞密度。如果出现了细胞团,可以通过细胞筛去掉部分较大的细胞团,也可以尝试一下方法:将细胞悬液收集到15ml离心管中,静置20min左右,小心取上层细胞上清培养(该方法只能去除部分较大的细胞团)。部分细胞本身存在一定的空泡(如HepG2,Ishikawa及一些耐药株等),这个是正常现象。如果只有少数细胞有内出现极少空泡,则很可能是细胞状态不佳,可以通过调整血清浓度,控制消化,控制传代比例及时间等方法来调整细胞状态;如果大部分细胞出现空泡,且单个细胞内空泡数目偏多,则可能细胞代次较GAO,细胞老化所致,需更换代次较早的细胞。

Vero-E6细胞类似产品::LS-513细胞、KMH-2细胞、PSN1细胞

H-1876细胞类似产品::DHL-6细胞、SNU-182细胞、AML-193细胞

BSC1细胞类似产品::Granta-519细胞、SNU-119细胞、H69/P细胞

SU8686细胞类似产品::BRL3A细胞、PANC-28细胞、LuCL4细胞

SNU1040细胞类似产品::16HBE14o-细胞、PLA-801D细胞、RSC 96细胞

NCIH2066细胞类似产品::CAL-62细胞、hTERT-HME-1细胞、SUDHL10细胞

NCI-H1876细胞类似产品::H-647细胞、RBL细胞、RKO细胞

HR1K细胞类似产品::JB6 Cl 30-7b细胞、TM-4细胞、IB-RS2细胞

IHH细胞类似产品::HS5细胞、Jurkat-E6细胞、LPC-H12细胞

SCL II细胞类似产品::IBRS-2细胞、HO-8910细胞、J774.A1细胞

B16BL6细胞类似产品::HEI193细胞、Rat Basophilic Leukemia-1细胞、MSF细胞

SCaBER细胞类似产品::QGY7703细胞、RGC6细胞、L 428细胞

UCLA NPA871细胞类似产品::MADB106细胞、A2780 CP70细胞、MDAMB361细胞

X63-Ag 8.6.5.3细胞类似产品::MX1细胞、FRH-0201细胞、H-1581细胞

NCI-H295细胞类似产品::NCIH2141细胞、HUC-1细胞、Keio University-19-19细胞

NCIH1963细胞类似产品::C1498细胞、NR-8383细胞、ES2细胞

CL1.0细胞类似产品::COR-L 105细胞、M14-MEL细胞、MMAc-Serum Free细胞

PCI-4B细胞类似产品::GDM-1细胞、NUGC4细胞、HUT125细胞

University of Michigan-Urothelial Carcinoma-1细胞类似产品::A 375细胞、RLE-6TN细胞、NCM-460细胞

HEK293-A细胞类似产品::UPCI:SCC154细胞、H-2170细胞、C-4-I细胞

MARC-145细胞类似产品::MC-26细胞、HUVEC细胞、HOMEC细胞

SK-MES1细胞类似产品::G519细胞、MCF7-CTRL细胞、MB468细胞

HCC0827细胞类似产品::RPMI-8402细胞、3 LL细胞、IBRS-2细胞

SUNE 1细胞类似产品::Buffalo Rat Liver-3A细胞、SUDHL6细胞、GLAG-66细胞

EC9706:人食管癌复苏细胞(提供STR鉴定图谱)

RPMI no. 8226细胞类似产品::BHT-101细胞、G292细胞、Rat Basophilic Leukemia-1细胞

LC-1/sq细胞类似产品::Panc 10.05细胞、Scott细胞、EC-GI细胞

CHO-S细胞类似产品::OPM-2细胞、NTera2 cl.D1细胞、KMB17细胞

H-220细胞类似产品::Cor L51细胞、SV-HUC-1细胞、PK 15细胞

Pa017C细胞类似产品::PLA802细胞、CWR22Rv1细胞、Li-7细胞

TEV-1细胞类似产品::4175细胞、Pan02细胞、Normal fibroblast-10细胞

MKN 7细胞类似产品::MCAEC细胞、COR-L279细胞、JEG-3细胞

Panc203细胞类似产品::SCH细胞、HCASMC细胞、Human podocyte细胞

LM8细胞类似产品::ECV 304细胞、PK-13细胞、Centre Antoine Lacassagne-62细胞

H460细胞类似产品::Karpas 299细胞、87MG细胞、MA 104细胞

BIC细胞类似产品::NCI-H1563细胞、Adeno 293细胞、Panc-3_27细胞

SUNE 1细胞类似产品::Buffalo Rat Liver-3A细胞、SUDHL6细胞、GLAG-66细胞

SKOV-3细胞类似产品::MOLT 3细胞、MADB-106细胞、G-292细胞

H-4细胞类似产品::MV522细胞、EOC20细胞、RBL 1细胞

LoMeT-ccRcc细胞类似产品::RASMCs细胞、EoL-1细胞、OVCAR.5细胞

OAW42细胞类似产品::EAC细胞、M210B4细胞、MDA-MB-175-VII细胞

Jurkat-E6细胞类似产品::Baby Hamster Kidney-21细胞、WM-451Lu细胞、NIH 3T6细胞

H-2444细胞类似产品::CAL85-1细胞、PA-1细胞、NCI-H1341细胞

DAKIKI Clone 1细胞类似产品::A-431细胞、766T细胞、LLC-MK-2细胞

RL95-2细胞类似产品::Clone 166细胞、GM03570细胞、Molm 13细胞

OCI-Ly 19细胞类似产品::SK-HEP-1细胞、UCLA RO-81-A-1细胞、J 82细胞

Y3M细胞类似产品::HCCLM3细胞、DiFi细胞、DHL8细胞

NFHIOSE-80细胞类似产品::Renal Proximal Tubule Epithelial Cells/TERT-immortalized 1细胞、RBL2H3细胞、COLO394细胞

SK-NMC细胞类似产品::Swiss 3T6细胞、PAI细胞、MAEC细胞

GM05372E细胞类似产品::SNU423细胞、NBL-7细胞、L5178YR细胞

LOU-NH-91细胞类似产品::MCF-7/AdrR细胞、SUP-M2细胞、C-33-A细胞

KP-N-NS细胞类似产品::CV 1细胞、NTERA-2cl.D1细胞、OVCAR420细胞

SK-N-DZ细胞类似产品::A-1847细胞、EC109细胞、BEL 7405细胞

QGP 1细胞类似产品::H-35细胞、LTEPsm细胞、CATH.a细胞

P3/X63/Ag8细胞类似产品::NCI-H1666细胞、HFSF细胞、CAL-62细胞

H23细胞类似产品::EC-GI细胞、HUSMC细胞、2T细胞

DMS114细胞类似产品::LL/2细胞、Nb 2细胞、HCC-9204细胞

CAL78细胞类似产品::MFE-296细胞、Hs 737.T细胞、OEC19细胞

SW-480细胞类似产品::NCI-H78细胞、MSB-1细胞、BALL-1细胞

OE-33细胞类似产品::MEC1细胞、Hs 934.T细胞、KM12 SM细胞

LU451细胞类似产品::J82 COT细胞、32D.3细胞、JC细胞

293c18细胞类似产品::NCIH23细胞、AR4-IP细胞、A427细胞

BSC1细胞类似产品::Granta-519细胞、EU-2细胞、BEAS 2B细胞

BIU-87/Adr细胞类似产品::OVCA 432细胞、PF-382细胞、KYSE50细胞

H184A1细胞类似产品::28SC细胞、Baby Hamster Kidney 21细胞、Hs888 Lu细胞

OCI Ly1细胞类似产品::NCIH1437细胞、P3X63 Ag8.653细胞、SUDHL-2细胞

L5178-R细胞类似产品::Karpas-299细胞、GM3190细胞、P3X63-Ag8.653细胞

CAL62细胞类似产品::H-2405细胞、NCI-H-82细胞、AgC11x3A细胞

Highly Aggressively Proliferating Immortalized细胞类似产品::THP 1细胞、IGR-OV1细胞、BHK-21细胞

hSCC-25细胞类似产品::SF 295细胞、K1735细胞、HDF-a细胞

GM03573细胞类似产品::L5178Y TK+/-3.7.2c细胞、GM03320细胞、H-2141细胞

MM6细胞类似产品::Kit225细胞、Rabbit Kidney 13细胞、C3A细胞

MNNG-HOS细胞类似产品::OCI-LY-3细胞、GB1细胞、TMD-8细胞

PaCa2细胞类似产品::NTera-2D1细胞、118MG细胞、OCILY19细胞

HANK-1细胞类似产品::HPAF-II/CD18细胞、Hs274T细胞、NCI-H1618细胞

HEK-293F细胞类似产品::Jurkat E6细胞、FTC-133细胞、COLO 320DM细胞

NCI-441细胞类似产品::SGC-996细胞、HCC-1569细胞、A 253细胞

R2C细胞类似产品::Y3-Ag1,2,3细胞、SW-620细胞、HOP-92细胞

Mono-Mac-1细胞类似产品::ssMCF7细胞、ATC241细胞、Normal Rat Kidney细胞

SKLMS-1细胞类似产品::NTERA2D1细胞、ASPC1细胞、16-HBE14o细胞

SP2-0-Ag14细胞类似产品::KNS-81细胞、Toledo细胞、MHH-CALL2细胞

VM-CUB-1细胞类似产品::BT-483细胞、SF-126细胞、AU565细胞

PC9细胞类似产品::CNE1细胞、HME-1细胞、SU-DHL-6细胞

P-3J细胞类似产品::TE14细胞、NCI-H1944细胞、VMCUB-1细胞

138 MG细胞类似产品::HCC-9724细胞、A-204细胞、C2BBe1细胞

N-9细胞类似产品::PK15细胞、MSF细胞、CG4细胞

TFK1细胞类似产品::ID8细胞、H520细胞、HCC1143细胞

CHO-S细胞类似产品::OPM-2细胞、NTera2 cl.D1细胞、KMB17细胞

Tb 1 Lu细胞类似产品::MCF.10A细胞、BEL 7402细胞、NHRF细胞

FET细胞类似产品::CTLL-2细胞、N-Tera-2细胞、H-1563细胞

HEC-1B细胞类似产品::HPB/ALL细胞、SW-982细胞、H226细胞

Duke University 4475细胞类似产品::SUM-190PT细胞、EM3细胞、CMT64细胞

HLF-a细胞类似产品::TW01细胞、MDAMB330细胞、COLO.205细胞

U118-MG细胞类似产品::SV-HUC细胞、brain-derived Endothelial cells.3细胞、GH 3细胞

SU86_86细胞类似产品::HFL-I细胞、Melan-a细胞、L-Wnt3A细胞

H-1963细胞类似产品::CTX TNA2细胞、OCI-AML-4细胞、SK-MEL24细胞

KP-2细胞类似产品::NBL-S细胞、Colo-206F细胞、NCI-SNU-16细胞

3T3-L1 ad细胞类似产品::D-283 Med细胞、Hs 819.T细胞、H2009细胞

CoC1细胞类似产品::D324细胞、L540细胞、74Int细胞

CHL-IU细胞类似产品::KU-812-F细胞、SK-BR3细胞、QGY-7703细胞

SW 780细胞类似产品::Hs-695-T细胞、H82sclc细胞、H-1734细胞

A673细胞类似产品::MKN1细胞、SHI-1细胞、UCW 100细胞

Mouse Colon 38细胞类似产品::KTC1细胞、SNU-484细胞、MDA-231细胞

MDA-MB 231细胞类似产品::HCT 116细胞、UM-UC-1细胞、HCC1806细胞

HELF细胞类似产品::BAR-T细胞、MBT-2细胞、CAL-120细胞

SP2细胞类似产品::CCD1095Sk细胞、SW 13细胞、HPB-ALL细胞

HPB-ALL细胞类似产品::Eca 109细胞、H3396细胞、PCI-4.2细胞

EC9706:人食管癌复苏细胞(提供STR鉴定图谱)

95D细胞类似产品::OCUM-1细胞、C4-2细胞、NTHY-ORI3.1细胞

LM6细胞类似产品::NFS 60细胞、NCI-H735细胞、P30-OHKUBO细胞

Panc 1细胞类似产品::PA317细胞、TE5细胞、OCI-Ly01细胞

T-CAM2细胞类似产品::SUM-52PE细胞、Clone Y1细胞、H1993细胞

UM-RC-2细胞类似产品::PNEC30细胞、B95.8细胞、Hs832T细胞

SKNBE-1细胞类似产品::SKOV-433细胞、BC3H-1细胞、JS1细胞

"




EC9706:人食管癌复苏细胞(提供ST;

公司简介

上海冠导生物工程有限公司,先后从ATCC、DSMZ、ECACC、RIKEN、PromoCell、ScienCell、JCRB等国内外细胞库引进细胞2000余株。以此为契机,公司组建了冠导细胞库,我司细胞均由资深细胞培养工程师进行培养。我司可以提供的细胞有:①细胞系②原代细胞③稳转株④耐药株⑤标记细胞⑥细胞配套试剂等。

成立日期 (11年)
注册资本 100万(元)
员工人数 50-100人
年营业额 ¥ 1000万-5000万
经营模式 工厂,试剂,定制,服务
主营行业 细胞培养,微生物学,细胞生物学

EC9706:人食管癌复苏细胞(提供STR鉴定图谱)相关厂家报价

内容声明
拨打电话 立即询价