基本信息 产品详情 公司简介 推荐产品
网站主页 化工产品目录 生物 细胞培养 细胞系 人细胞系 HEK293-FT表达SV40T抗原人胚肾上皮贴壁细胞系 HEK293-FT:表达SV40T抗原人胚肾上皮复苏细胞(提供STR鉴定图谱)
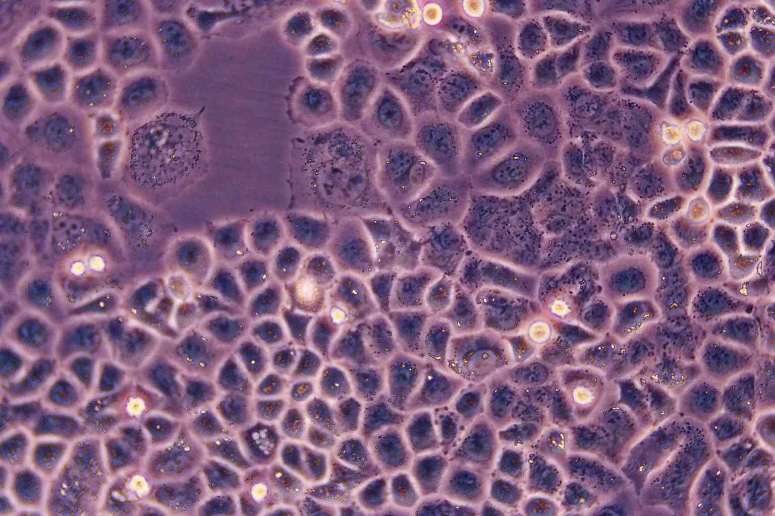
  • HEK293-FT:表达SV40T抗原人胚肾上皮复苏细胞(提供STR鉴定图谱)

HEK293-FT:表达SV40T抗原人胚肾上皮复苏细胞(提供STR鉴定图谱)

HEK293-FT
询价 1000000细胞数 起订
2000000细胞数 起订
上海 更新日期:2026-04-08

上海冠导生物工程有限公司

VIP6年
联系人:全经理
电话:18818239863拨打
邮箱:3171921642@qq.com

产品详情:

中文名称:
HEK293-FT:表达SV40T抗原人胚肾上皮复苏细胞(提供STR鉴定图谱)
英文名称:
HEK293-FT
保存条件:
常温培养或液氮冻存
纯度规格:
HEK293-FT:表达SV40T抗原人胚肾上皮复苏细胞(提供STR鉴定图谱)
产品类别:
生物试剂

"HEK293-FT:表达SV40T抗原人胚肾上皮复苏细胞(提供STR鉴定图谱)

细胞生长:贴壁

绝大部分细胞消化的时候是只要用胰酶润洗一遍即可。吸去胰酶后,残留的那些无法计算体积的附着在细胞表面的微量胰酶在37℃一般不到2min足够消化细胞。对于这些细胞原则上不要用胰酶孵育细胞,连续这样传代,对细胞伤害很大。简单的程序是PBS润洗吸去,胰酶润洗吸去,然后37℃消化。比较难消化的细胞(润洗方法5min还不能消化),这样的细胞一般需要用少量胰酶孵育。不是细胞全部成间隔分布很离散的单个圆形才算消化HAO了,一般你肉眼观察贴壁细胞层,只要能移动了,多半呈沙壮移动,其实已经可以了,很多人喜欢把细胞消化或者吹打成完全分离细胞,这是没有必要的。一般能移动了,说明细胞与培养基质材料的附着已经消失了,细胞之间的附着也已经消失了,细胞已经独立分布了(虽然没有呈现很广的离散分布)。这个时候应该停止消化,不要等到看到镜下所有细胞都分离得非常HAO,间隙很大,才停止。细胞就是完全成单个细胞悬液,之后在贴壁的过程中仍然会聚集,这个是贴壁培养的细胞,尤其是肿瘤细胞的一个性。如果和标准形态不一致,那可能是自己没消化HAO导致的,但如果消化方法正确,仍然成片分布,甚至完全吹打成单细胞悬液,贴壁后仍然成片分布,这是细胞的性,是因为贴壁过程中重新聚集了。这个时候你拼了命要去让它均匀分布,你的细胞之后会对你越来越不HAO。

细胞物种来源:人源或鼠源等其它物种来源

LLC1细胞类似产品::JHH-7细胞、MDA-MB435细胞、JROECL33细胞

BT细胞类似产品::OCI-Ly 19细胞、SHP-77细胞、SCC25细胞

Turbot Embryonic Cell line细胞类似产品::RAOEC细胞、SKNEP细胞、Caco-2/BBe细胞

EOC20细胞类似产品::COV-434细胞、AgC11x3A细胞、Madin-Darby Canine Kidney细胞

[细胞产品包装]鲜活细胞:T25培养瓶(一瓶)或冻存细胞:1ml冻存管(两支)

细胞背景资料:该细胞稳定表达SV40大T抗原,并且促进最适病毒产物的产生。

HEK293-FT:表达SV40T抗原人胚肾上皮复苏细胞(提供STR鉴定图谱)

细胞形态:上皮细胞样

U87-MG细胞类似产品::NCI-H1385细胞、C3H10T1-2细胞、C33-A细胞

GM00637细胞类似产品::KYSE0410细胞、H847细胞、CTSC-3细胞

FO [Mouse myeloma]细胞类似产品::P31/Fujioka细胞、Colo16细胞、MHH-CALL-2细胞

常见培养细胞预防污染的有效措施:体外培养的细胞受到严重污染时,有时即使想尽各种办法也难以挽回。因此,防止污染,预防是关键。只有将预防措施贯穿于整个细胞培养的始终,才能将发生污染的可能性降到Zui小程度。一般预防可从以下几方面着手:1)添加抗生素:各种抗生素性质不同,对各种微生物的作用也不同,联合应用比单用效果HAO,预防性应用比污染后使用HAO(但迄今尚无对抗支原体抗生素)。但反复使用抗生素会使微生物产生耐药性,且对细胞本身也有一定影响,因此为避免诱导抗药细菌,应定期更换培养系统中的抗生素,或尽可能不用抗生素处理;2)从物品、用品消毒灭菌着手:细胞培养所用物品清洗、消毒要彻底,各种溶液灭菌除菌要仔细,并在取样检菌一周后确认无菌才能使用。同时,在无菌过滤操作中,随着滤过体积的增大,滤膜破损的可能性增加,故应选择Zui后过滤的液体进行检测。定期对二氧化碳培养箱进行消毒。具体操作:75%的酒精搽拭培养箱后,使用可移动的紫外灯至少消毒30min,加入GAO压灭菌过的超纯水于培养箱水槽中保持湿度。也可配制300ml的饱和酸铜加3L灭菌超纯水混合成酸铜溶液加入水槽中。

细胞传代方法:1:2传代

细胞来源说明:来源于RCB、ATCC、KCLB、DSMZ、ECACC、INCell、ScienCell、ECACC、JCRB、Asterand、ICLC等知名细胞库

HEK293-FT:表达SV40T抗原人胚肾上皮复苏细胞(提供STR鉴定图谱)

细胞生长特性:悬浮生长

贴壁细胞传代:去掉原T25培养瓶里面的培养基,T25瓶加3-4ml PBS洗1-2次;弃PBS,再加1.5 ml的Trypsin-EDTA(1X)消化液消化细胞,显微镜下观察,待细胞变圆,细胞间隙明显,部分细胞刚开始脱离瓶壁,加4 ml左右完全培养液混匀终止消化,将细胞小心吹打下来,1000rpm/min室温离心5min;弃上清,细胞沉淀用完全培养液重悬,按要求分瓶(视细胞密度而定1:2-1:3,1:3-1:6,1:6-1:8),每T25瓶补足培养基至5-6ml,37℃、5%CO2孵箱培养。悬浮细胞传代:一般仅需持续加入新鲜培养基于原培养角瓶中,稀释细胞浓度即可,若培养液太多时,将细胞悬液移入离心管中,1000rpm/min 室温离心5min。弃上清,细胞沉淀用完全培养液重悬,按要求分瓶(视细胞密度而定1:4-1:8),每T25瓶加完全培养液至4-5ml,37℃、5%CO2孵箱培养。有些悬浮细胞趋于成团生长,此时细胞生长状态良HAO,当补液时,需避免反复吹打。

JHH-7细胞类似产品::GM03671细胞、Hs_578t细胞、HBE 135-E6E7细胞

C-33 A细胞类似产品::ST2细胞、KRC-Y细胞、VP 229细胞

NCTC-929细胞类似产品::SW1417细胞、HGSMC细胞、HO8910PM细胞

Hep2细胞类似产品::H-660细胞、hFOB1.19细胞、LICR-LON-HN6-R细胞

SK-ES细胞类似产品::LK 2细胞、Emory University-3细胞、U-138 MG细胞

LTEP-sm 1细胞类似产品::Mono-Mac-6细胞、UPCI-SCC-090细胞、SNU-475细胞

SU-DHL2细胞类似产品::HCoEpiC细胞、Oka-C1细胞、TMD8细胞

NALM6细胞类似产品::Ramos (RA)细胞、IPEC-J2细胞、CTV1细胞

SACCLM细胞类似产品::HEK 293细胞、HCT/Taxo1细胞、Det. 562细胞

SUDHL-8细胞类似产品::SK-MEL-1细胞、OCI-Ly18细胞、LS123细胞

MCF7/WT细胞类似产品::MDAMB134VI细胞、MMAc-Serum Free细胞、C26细胞

MC3T3E1细胞类似产品::Panc10.05细胞、RH7777细胞、UT7细胞

Panc 04.03细胞类似产品::Mono-Mac-1细胞、T2(174 x CEM.T2)细胞、L428细胞

HEC1A细胞类似产品::NCIH2029细胞、GES1细胞、Bac12F5细胞

G-361细胞类似产品::U-118MG细胞、U-87MG细胞、HCMEC细胞

Panc_02_03细胞类似产品::OCI-LY-19细胞、HCC1954-BL细胞、KU1919细胞

Panc_02_03细胞类似产品::OCI-LY-19细胞、HCC1954-BL细胞、KU1919细胞

CAL-27细胞类似产品::CAL-51细胞、My-La 2059细胞、NCI-747细胞

CLONE M3细胞类似产品::P3-X63-Ag 8.653细胞、A3细胞、HPAF-II细胞

SBC-5细胞类似产品::SACC-LM细胞、Soleus clone 8细胞、253J-Bladder-V细胞

Tsup-1细胞类似产品::CCFSTTG1细胞、58F细胞、HCC-1954BL细胞

Lilly Laboratories Cell-Monkey Kidney 2细胞类似产品::NFHIOSE-29细胞、A 2058细胞、H-2347细胞

E.L.4细胞类似产品::HEL9217细胞、HEL299细胞、SVHUC细胞

CCD-33Co细胞类似产品::HMC细胞、SKNEP-1细胞、SBC3细胞

HEK293-FT:表达SV40T抗原人胚肾上皮复苏细胞(提供STR鉴定图谱)

CSQT-2细胞类似产品::Blotchy fibroblast-11细胞、COR-L88细胞、BT-474细胞

U-87MG细胞类似产品::D341Med细胞、B16/BL6细胞、TT细胞

BTT739细胞类似产品::U-937细胞、H1869细胞、My-La 2059细胞

Michigan Cancer Foundation-12A细胞类似产品::NBL-12细胞、HSC/mHSC细胞、CAL27细胞

NCI-H446细胞类似产品::WM 451-Lu细胞、TALL1细胞、H-226细胞

A 72细胞类似产品::AC29细胞、SW-579细胞、UPCISCC154细胞

GM01232细胞类似产品::Tu212细胞、32D.3细胞、J82 COT细胞

T 84细胞类似产品::SACC83细胞、Strain L-929细胞、BCP1细胞

SkChA1细胞类似产品::REC1细胞、H-146细胞、LU165细胞

GM03573A细胞类似产品::Panc 5.04细胞、NOMO1细胞、LLC-PK1细胞

2780细胞类似产品::aTC1 Clone 6细胞、T-47D细胞、HCC-1428细胞

SUM190细胞类似产品::SW 780细胞、JURKAT E-61细胞、SCC15细胞

BEP2D细胞类似产品::HuT102细胞、HFL-I细胞、LS-1034细胞

Hs819.T细胞类似产品::SKO-007细胞、H-524细胞、NCIH2073细胞

SNU368细胞类似产品::NB-4细胞、GM02219细胞、Detroit562细胞

H-841细胞类似产品::SUM 102PT细胞、MES-SA细胞、CEM/0细胞

KYSE 150 KYSE150 Kyse150 KY150

细胞类似产品::NCIH1299细胞、SUP-B15细胞、C6细胞

H345细胞类似产品::NPC-TW039细胞、UMR106细胞、P3-X63-Ag8细胞

GB1细胞类似产品::COLO 680N细胞、HL1细胞、rUCMSCs细胞

SKGIIIA细胞类似产品::Strain L-929细胞、MDAMB415细胞、H1672细胞

NPC-TW 01细胞类似产品::SK-OV-3细胞、V79-4细胞、BLO11细胞

NPC-TW 01细胞类似产品::SK-OV-3细胞、V79-4细胞、BLO11细胞

RIN-m细胞类似产品::MOLM-13细胞、DMS 53细胞、BMU-S1细胞

HCC1395细胞类似产品::COLO-829细胞、3T6细胞、Human Fetal Thymocyte-8810细胞

ZR751细胞类似产品::PK (15)细胞、DI TNC1细胞、CHP-212细胞

149 PT细胞类似产品::Hs 578T细胞、H-9细胞、SNU878细胞

U-373MG细胞类似产品::Astrocyte type I clone细胞、FU-97细胞、DoTc2 4510细胞

SW982细胞类似产品::MD Anderson-Metastatic Breast-436细胞、HEI-193细胞、HS 1.Tes细胞

MDA-MB-175-VII细胞类似产品::SW-1463细胞、KOSC2细胞、NB.4细胞

BHK-21细胞类似产品::QGP 1细胞、U266-B1细胞、SUM-190细胞

COLO394细胞类似产品::373 MG细胞、BE2-M17细胞、RGM1细胞

B16F1细胞类似产品::870细胞、IPLB-Sf21细胞、BALB/3T3 cl. A31细胞

SUSM1细胞类似产品::SW 527细胞、KNS-42细胞、Eca109细胞

H2405细胞类似产品::BALL-1细胞、C3H/10T1/2 CL8细胞、P3 NS1 Ag4细胞

kms 11细胞类似产品::Hopkins-92细胞、293-EBNA1细胞、H-1155细胞

NRK细胞类似产品::DC2.4细胞、A 172细胞、BJA-B细胞

DHL-4细胞类似产品::NTHY-ORI3.1细胞、Mink Lung细胞、MOLM13细胞

NCTC-929细胞类似产品::SW1417细胞、Hs 888Lu细胞、PCI-04B细胞

REC 1细胞类似产品::HCC-4006细胞、U266B1细胞、HOS (TE85, Clone F5)细胞

H2171细胞类似产品::LS513细胞、293T/17细胞、HSC-4细胞

TR-146细胞类似产品::MDA-231细胞、University of Michigan-Urothelial Carcinoma-3细胞、CHO细胞

OCI-AML-2细胞类似产品::PSN1细胞、DMS79细胞、KLE细胞

IOSE80UBC细胞类似产品::HBL1细胞、SW 962细胞、NCIH2141细胞

SJ-RH30细胞类似产品::SCC-7细胞、ZR75-1细胞、HFB细胞

NCIH510细胞类似产品::N-9细胞、HCT GEO细胞、SNU-886细胞

CEM细胞类似产品::Stanford University-Diffuse Histiocytic Lymphoma-4细胞、HEK-293H细胞、H740细胞

SKNMC细胞类似产品::KU812-F细胞、BC-028细胞、CAL 39细胞

HS852.T细胞类似产品::HEL-299细胞、NCIH1915细胞、Fetal Rhesus Kidney-4细胞

JCA1细胞类似产品::NCI-Hut 125细胞、Sp2/O细胞、H-64细胞

NS1-Ag 4/1细胞类似产品::Meat Animal Research Center-145细胞、AMO-1细胞、ESC细胞

149 PT细胞类似产品::Hs 578T细胞、H-9细胞、SNU878细胞

HIEC6细胞类似产品::JeKo-1细胞、Ramos-RA1细胞、LNCaP FGC细胞

NR8383.1细胞类似产品::NCIH520细胞、COC1/CDDP细胞、A2058细胞

MES-SA/Dx5细胞类似产品::Glioma-261细胞、B16-F1细胞、HANK1细胞

hSCC-25细胞类似产品::SF 295细胞、K1735细胞、HDF-a细胞

MDA MB 436细胞类似产品::U266-B1细胞、EAC-E2G8细胞、KM12-SM细胞

HUC细胞类似产品::FK81细胞、HuT78细胞、OSK-1细胞

hTERT RPE-1细胞类似产品::QGY-7703细胞、CCRFCEM细胞、G519细胞

KYSE 70细胞类似产品::REC细胞、Pt-K1细胞、Kit225-K6细胞

MHCC-97细胞类似产品::U-343细胞、LL2细胞、PTK-1细胞

9L细胞类似产品::ZYM-DIEC02细胞、Homo sapiens No. 578, tumor cells细胞、HCC1008细胞

Roswell Park Memorial Institute 7666细胞类似产品::G-Olig2细胞、Centre Antoine Lacassagne-85-1细胞、Wistar Institute-38细胞

OVCAR4细胞类似产品::PL45细胞、Duke University 145细胞、H-2195细胞

H125细胞类似产品::MOLM16细胞、LLC-WRC 256细胞、RPPVEC细胞

Ramos-2G6-4C10细胞类似产品::BT 549细胞、PANC0327细胞、COS7细胞

SKN-SH细胞类似产品::Hs606细胞、GOS-3细胞、B16-F0细胞

SKMEL2细胞类似产品::Tca-83细胞、SW1353细胞、GM04679细胞

YD-15细胞类似产品::Ketr3细胞、NSC34细胞、Panc-10.05细胞

RAOEC细胞类似产品::KNS62细胞、WSU-HN13细胞、H-1355细胞

PANC0403细胞类似产品::L-540细胞、RGE细胞、A704细胞

RCF细胞类似产品::HA细胞、Malme-3 M细胞、MRASMC细胞

SK-MEL3细胞类似产品::D283MED细胞、MDA-MB231细胞、PaTu 8988s细胞

LC1sq细胞类似产品::Fukuoka University-Malignant mixed Mullerian Tumor-1细胞、RPMI-8226S细胞、RenCa细胞

PCI-04B细胞类似产品::CAL 39细胞、SUM 190PT细胞、Stanford University-Diffuse Histiocytic Lymphoma-4细胞

4175细胞类似产品::OVCAR433细胞、MDCK II细胞、Human Melanoma Cell Bowes细胞

Hs822T细胞类似产品::BL6细胞、HR-1细胞、HLE细胞

MCF.7细胞类似产品::SKNEP1细胞、HCEC细胞、AGS细胞

MASMC细胞类似产品::MDA-MB-468-RED细胞、K562/ADR细胞、RPMI8226细胞

MX-1细胞类似产品::HFE-145细胞、Stanford University-Diffuse Histiocytic Lymphoma-8细胞、N-2a细胞

SUPB15细胞类似产品::SN12C-PM6细胞、HRPEpiC细胞、A 2058细胞

SW480细胞类似产品::HPAEpiC细胞、SK-LMS-1细胞、TK-1细胞

SkChA1细胞类似产品::REC1细胞、H-146细胞、LU165细胞

HEK293-FT:表达SV40T抗原人胚肾上皮复苏细胞(提供STR鉴定图谱)

PMVEC细胞类似产品::BC3H1细胞、FM-88细胞、RMS1598细胞

MCA-205细胞类似产品::HEK-293 c18细胞、NCI-SNU-1040细胞、Nb2a细胞

KP-4细胞类似产品::ES-2细胞、IR983F细胞、P-19细胞

NCI-H209细胞类似产品::RA.1细胞、H1693细胞、KBM-7细胞

McCoy细胞类似产品::NCIH1373细胞、HAVSMC细胞、CA-46细胞

ECV304细胞类似产品::H82细胞、3T3L1细胞、GOS-3细胞

"



HEK293-FT:表达SV40T抗原人;

公司简介

上海冠导生物工程有限公司,先后从ATCC、DSMZ、ECACC、RIKEN、PromoCell、ScienCell、JCRB等国内外细胞库引进细胞2000余株。以此为契机,公司组建了冠导细胞库,我司细胞均由资深细胞培养工程师进行培养。我司可以提供的细胞有:①细胞系②原代细胞③稳转株④耐药株⑤标记细胞⑥细胞配套试剂等。

成立日期 (11年)
注册资本 100万(元)
员工人数 50-100人
年营业额 ¥ 1000万-5000万
经营模式 工厂,试剂,定制,服务
主营行业 细胞培养,微生物学,细胞生物学

HEK293-FT:表达SV40T抗原人胚肾上皮复苏细胞(提供STR鉴定图谱)相关厂家报价

内容声明
拨打电话 立即询价