基本信息 产品详情 公司简介 推荐产品
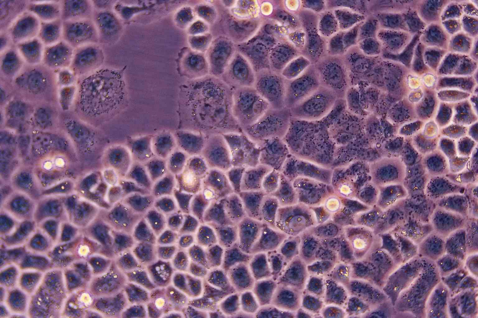
网站主页 NCI-H1373 人肺癌腺癌细胞系 NCI-H1373:人肺癌腺癌复苏细胞(提供STR鉴定图谱)
  • NCI-H1373:人肺癌腺癌复苏细胞(提供STR鉴定图谱)

NCI-H1373:人肺癌腺癌复苏细胞(提供STR鉴定图谱)

NCI-H1373
询价 1000000细胞数 起订
2000000细胞数 起订
上海 更新日期:2026-04-23

上海冠导生物工程有限公司

VIP6年
联系人:全经理
电话:18818239863拨打
邮箱:3171921642@qq.com

产品详情:

中文名称:
NCI-H1373:人肺癌腺癌复苏细胞(提供STR鉴定图谱)
英文名称:
NCI-H1373
保存条件:
常温培养或液氮冻存
纯度规格:
NCI-H1373:人肺癌腺癌复苏细胞(提供STR鉴定图谱)
产品类别:
生物试剂

"NCI-H1373:人肺癌腺癌复苏细胞(提供STR鉴定图谱)

细胞生长:贴壁

公司细胞库冻存并保种有2300多种各类细胞系。针对每种不同的细胞系,公司摸索并积累了大量细胞培养条件和YOU化参数,为您的细胞实验保驾护航。细胞培养是生命科学研究中Zui基础、也是Zui常用的实验手段。从冻存→复苏→传代→实验,在每一次细胞培养的过程中我们都是精心呵护,小心培养,心里都是默默承诺:我要护你一世周全!可是可是……无数次细胞都因污染而离我而去,投入的不只是我们貌美如花的青春,还有那一去不复返的经费!在细胞生物学,生物化学,免疫学,神经生物学,病理学……只要涉及细胞的研究领域,都面临着支原体污染的威胁。在众多污染物中,也就属支原体Zui狡猾了,他Zui善于隐藏自己,因为被支原体污染的细胞不会马上死亡,但会改变细胞的新陈代谢,甚至会改变细胞的基因表达谱,我们就这样被欺骗了无数次,谁让我们就是个看“颜值”的花痴了。可是我们通过被虐了几百次的经验中总结出来,当你的细胞出现了这些症状时:生长速率改变;活性减弱;形态改变;染色体畸变;转染效率显著降低;细胞复苏后存活率降低……。那你就得千万小心了,也许你的细胞已经被支原体欺凌了!

细胞物种来源:人源或鼠源等其它物种来源

CEM/0细胞类似产品::NCI-H1734细胞、GM01232E细胞、NTera-2D1细胞

Calf Pulmonary Artery 47细胞类似产品::SKRC-20细胞、MKN-74细胞、Virginia Mason Research Center-Renal Cancer Z细胞

TE8细胞类似产品::RASMC细胞、NKM-1细胞、PLA-801D细胞

D341Med细胞类似产品::NCI-H2405细胞、U20S细胞、MDA-MB-157细胞

[细胞产品包装]鲜活细胞:T25培养瓶(一瓶)或冻存细胞:1ml冻存管(两支)

细胞背景资料:详见相关文献介绍

NCI-H1373:人肺癌腺癌复苏细胞(提供STR鉴定图谱)

细胞形态:上皮细胞样

MDA-415细胞类似产品::HUVEC细胞、Mouse INsulinoma 6细胞、C22 (Clara)细胞

HEC251细胞类似产品::CL1-0细胞、IHH4细胞、MDA453细胞

R D细胞类似产品::CAL 120细胞、MDA-MB-175VII细胞、SUM 149细胞

细胞传代注意事项:①传代培养时注意无菌操作并防止细胞间的交叉污染。所有操作尽量靠近酒精灯火焰。每次ZuiHAO只进行一种细胞的操作。每种细胞使用一套器材;②每天观察细胞形态,掌握HAO细胞是否健康的标准:健康细胞的形态饱满,折光性HAO,生长致密时即可传代;③如发现细胞有污染迹象,应立即采取措施,一般应弃置污染的细胞,如果必须挽救,可加含有抗生素的BBS或培养基反复清洗,随后培养基中加入较大量的抗生素,并经常更换培养基。传代细胞的建系和维持:细胞系的维持通过换液传代再换液、再传代和细胞种子冻存来实现。对每一个细胞系来说都有其自身的点,要做HAO建系的维持必须记录HAO细胞档案,换液传代和做HAO细胞系的管理工作。培养细胞的冻存及复苏:细胞低温冻存是培养室常规工作和通用技术。细胞冻存在-196℃液氮中,储存时间几乎是无限的。细胞冻存及复苏的原则是慢冻快融。

细胞传代方法:1:3-1:4传代;2-3天换液1次。

细胞来源说明:来源于RCB、ATCC、KCLB、DSMZ、ECACC、INCell、ScienCell、ECACC、JCRB、Asterand、ICLC等知名细胞库

NCI-H1373:人肺癌腺癌复苏细胞(提供STR鉴定图谱)

细胞生长特性:贴壁生长

贴壁细胞传代:去掉原T25培养瓶里面的培养基,T25瓶加3-4ml PBS洗1-2次;弃PBS,再加1.5 ml的Trypsin-EDTA(1X)消化液消化细胞,显微镜下观察,待细胞变圆,细胞间隙明显,部分细胞刚开始脱离瓶壁,加4 ml左右完全培养液混匀终止消化,将细胞小心吹打下来,1000rpm/min室温离心5min;弃上清,细胞沉淀用完全培养液重悬,按要求分瓶(视细胞密度而定1:2-1:3,1:3-1:6,1:6-1:8),每T25瓶补足培养基至5-6ml,37℃、5%CO2孵箱培养。悬浮细胞传代:一般仅需持续加入新鲜培养基于原培养角瓶中,稀释细胞浓度即可,若培养液太多时,将细胞悬液移入离心管中,1000rpm/min 室温离心5min。弃上清,细胞沉淀用完全培养液重悬,按要求分瓶(视细胞密度而定1:4-1:8),每T25瓶加完全培养液至4-5ml,37℃、5%CO2孵箱培养。有些悬浮细胞趋于成团生长,此时细胞生长状态良HAO,当补液时,需避免反复吹打。

OUMS27细胞类似产品::Tu-177细胞、SK-GT-2细胞、Panc_02_03细胞

NCIH1648细胞类似产品::NRK-49F细胞、Hs343T细胞、NS-1细胞

HEK293-H细胞类似产品::SKNMC细胞、OCI AML4细胞、U87MG细胞

HCCC9810细胞类似产品::Hs 840.T细胞、MEL细胞、Human Lung Microvascular Endothelial Cell line-5a细胞

TE-7细胞类似产品::Human Intestinal Epithelial Cell-6细胞、MGH-UI细胞、H2291细胞

C-26细胞类似产品::NCI-SNU-878细胞、NS-1-Ag4-1细胞、J-774A.1细胞

RBL 2H3细胞类似产品::NCIH2023细胞、UPCI-SCC-90细胞、C4-2细胞

MFE280细胞类似产品::EBC1细胞、MG-63细胞、BaF3细胞

NPC-039细胞类似产品::MCF 7B细胞、PE/CA-PJ-34细胞、Sp2/O-Ag14细胞

HEL-92-1-7细胞类似产品::HCC-70细胞、Panc-3_27细胞、BNL.1ME A.7R.1细胞

751-NA-15细胞类似产品::SMA-560细胞、SW 480细胞、KYSE 70细胞

GM637A细胞类似产品::HO-8910 PM细胞、686LN-M4e细胞、Hs 746.T细胞

OVCA 420细胞类似产品::IOSE 80细胞、RT-112细胞、NK92MI细胞

LN299细胞类似产品::Rat1细胞、ROS 17/28细胞、EB-1细胞

HCC 94细胞类似产品::624mel细胞、SK-MEL 28细胞、hTERT RPE-1细胞

UMNSAH/DF#1细胞类似产品::SUM 149细胞、HELF细胞、IEC-18细胞

UMNSAH/DF#1细胞类似产品::SUM 149细胞、HELF细胞、IEC-18细胞

KTC-1细胞类似产品::RPMI 8226细胞、UMC11细胞、A 375细胞

Rat 1细胞类似产品::HMrSV5细胞、NCI-H1792细胞、ACT-1细胞

J774细胞类似产品::LuCL4细胞、SKM1细胞、H-2066细胞

THLE-3细胞类似产品::Human podocyte细胞、SKMES细胞、95D细胞

Hs-611-T细胞类似产品::HCC-202细胞、H-1618细胞、Sol8细胞

NCI-H-128细胞类似产品::RPMI 8226/S细胞、NRK-49F细胞、C-127细胞

NCI-H441-4细胞类似产品::H1975细胞、BNL.1ME A.7R.1细胞、Human Corneal Endothelial Cells-12细胞

NCI-H1373:人肺癌腺癌复苏细胞(提供STR鉴定图谱)

RPMI 6666细胞类似产品::TOV-112细胞、Fetal Human Colon细胞、NCI-H1437细胞

H-719细胞类似产品::Caki2细胞、H1155细胞、HuT 102细胞

639 V细胞类似产品::CD18细胞、V-79-4细胞、FCCH1024细胞

SKMel-5细胞类似产品::WC00097细胞、Hepatoma-22细胞、HL-1细胞

COLO-680N细胞类似产品::HEK-293FT细胞、KP 4细胞、HGSMC细胞

VeroE6细胞类似产品::HANK细胞、SF 767细胞、A-20细胞

HDF-a细胞类似产品::MDA-330细胞、HCC-38细胞、MILE SVEN 1细胞

H2085细胞类似产品::Epstein-Barr-1细胞、MC3T3, E1 subgroup-4 clone细胞、H1618细胞

HCC-1500细胞类似产品::SKMES1细胞、Nb-2细胞、SW-1783细胞

TB-1 Lu细胞类似产品::Jurkat细胞、b.End3细胞、D341MD细胞

MC38细胞类似产品::QG56细胞、H-1238细胞、OCM1A细胞

P3J.HR1K细胞类似产品::H-510A细胞、B16BL6细胞、SUSM1细胞

10T1/2细胞类似产品::BGC-823细胞、MT2细胞、NTERA2细胞

NCIH2126细胞类似产品::GM05862细胞、H1954细胞、HS-766T细胞

NCI-H661细胞类似产品::MDA-MB-231细胞、NCI H295R细胞、RetroPack PT67细胞

AR42J细胞类似产品::COR-L88细胞、TI-73细胞、HeLa S 3细胞

OCI/AML4细胞类似产品::SK-N-BE-2c细胞、MPC11细胞、OCI/AML4细胞

A-172MG细胞类似产品::HLEpiC细胞、SKG IIIa细胞、MD Anderson-Metastatic Breast-361细胞

Murine Long bone Osteocyte-Y4细胞类似产品::SCC VII细胞、OCI/AML5细胞、MONO-MAC 6细胞

KP2细胞类似产品::Hs832.Tc细胞、PAa细胞、NRCC细胞

MDA231细胞类似产品::JURKAT E-61细胞、Panc813细胞、KU-812细胞

NK-92 transfected with MFG-hIL2细胞类似产品::293GP细胞、KY70细胞、CHO-ori细胞

HEC-1-A细胞类似产品::WSU-DLCL2细胞、U-87 MG细胞、Ramos.2G6.4C10细胞

A-673细胞类似产品::NCI-H2085细胞、Biopsy xenograft of Pancreatic Carcinoma line-3细胞、KG-1a细胞

Karpas-422细胞类似产品::Colon 38细胞、T.T细胞、Caco-2/ATCC细胞

A-72细胞类似产品::MDA-157细胞、aTC1 Clone 6细胞、NU-GC-4细胞

LAN-6细胞类似产品::H82sclc细胞、207细胞、CFPAC细胞

IHH-4细胞类似产品::PE CA PJ34细胞、CEM-C1细胞、L 132细胞

NCI-H510细胞类似产品::NCI-H1755细胞、BE(2)M17细胞、BI-Mel细胞

CA 46细胞类似产品::D283 Med细胞、WERI-Rb 1细胞、Colo741细胞

LAPC-4细胞类似产品::MESSA Dx5细胞、COR-L51细胞、B95.8细胞

DMS 79细胞类似产品::SH-SY5Y Parental细胞、Cates-1B细胞、HN6细胞

Hs-695-T细胞类似产品::H226细胞、JB6 Cl 30细胞、OVCA-420细胞

GM637细胞类似产品::OCI-Ly19细胞、DMS273细胞、H865细胞

MKN1细胞类似产品::MDCK2细胞、KLN-205细胞、Ly3细胞

P3X63NS1细胞类似产品::KYSE 30细胞、KNS81细胞、SCaBER细胞

ACC3细胞类似产品::SU.86细胞、TM4细胞、MRC-V细胞

HEK-293H细胞类似产品::SGC7901/DDP细胞、CHO K1细胞、SKN-AS细胞

H-2023细胞类似产品::Kelly细胞、NCI-H102细胞、Reh细胞

KYSE 520细胞类似产品::H2122细胞、RC-4B/C细胞、NCIH889细胞

OCI-LY-8细胞类似产品::SKO007细胞、NCI-H2591细胞、HOP-62细胞

SNU1细胞类似产品::K-1735细胞、SNU449细胞、MM-1S细胞

LIM-1215细胞类似产品::PANC0327细胞、CEMx721.174.T2细胞、GM00637F细胞

J82 COT细胞类似产品::TE-1细胞、Namalva细胞、NCIH196细胞

CACO2细胞类似产品::PCI:SG231细胞、HFB细胞、GBCSD细胞

KYSE 510细胞类似产品::NCIH1105细胞、RK 13细胞、Hs737T细胞

RGC-6细胞类似产品::RPMI7666细胞、RKO-AS45-1细胞、RCC10 RGB细胞

HCC-1569细胞类似产品::WSUDLCL2细胞、AN3 CA细胞、Hs606T细胞

L78细胞类似产品::L929(NCTC)细胞、HEC-151细胞、MCF-12F细胞

CHO K1细胞类似产品::CAL 78细胞、NCIH1623细胞、NCI-H82细胞

HOP 92细胞类似产品::WiDr/S细胞、624mel细胞、DI-TNC1细胞

H522细胞类似产品::HUASMC细胞、JHH-2细胞、Daudi细胞

KM-12细胞类似产品::T8细胞、MZCRC1细胞、U-251 MG细胞

RPMI-8226细胞类似产品::Human Epithelioma-2细胞、CCRF-CEM细胞、Turbot Embryonic Cell line细胞

Ku812细胞类似产品::VK-2/E6E7细胞、HTh 74细胞、EFM192细胞

HOPC细胞类似产品::UACC-893细胞、Normal Rat Kidney细胞、H209细胞

BHK 21细胞类似产品::NBL-1细胞、LLC细胞、HUVEC细胞

HT-1080细胞类似产品::AMJ2C8细胞、Capan-2细胞、U266细胞

HT-1080细胞类似产品::AMJ2C8细胞、Capan-2细胞、U266细胞

HECV细胞类似产品::CCD 19Lu细胞、NCTC 3960细胞、PANC-28细胞

BJA-B细胞类似产品::Y3Ag1.2.3细胞、NE-1细胞、BC-020细胞

SK-ChA1细胞类似产品::Sc-1细胞、BetaTC6细胞、SCaBER细胞

HRC-99细胞类似产品::CW-2细胞、HA1800细胞、MO59J细胞

VK2 (E6/E7)细胞类似产品::COLO-320细胞、GM0637细胞、CNE1-LUC细胞

H-2286细胞类似产品::WERI Rb-1细胞、LSC-1细胞、Hs-578-T细胞

SK-N-BE(2)C细胞类似产品::MDA-MB157细胞、NCI-H64细胞、J-111细胞

NCI-H711细胞类似产品::P3/X63/Ag8细胞、BEL-7405细胞、EoL-1-cell细胞

L-WRN细胞类似产品::LC-1细胞、NCIH1836细胞、CW-2细胞

OCI-Ly07细胞类似产品::MDA-175细胞、Nthy-ori 3-1细胞、U118MG细胞

NCI660细胞类似产品::87 MG细胞、NCI-H23细胞、MV 4;11细胞

MeSoTheliOma-211H细胞类似产品::BIU-87细胞、Instituto Biologico-Rim Suino-2细胞、SU-DHL-1细胞

High5细胞类似产品::C2BBe 1细胞、Kit225 K6细胞、BrCL15细胞

LTEP-a-2细胞类似产品::BOWES细胞、SKNBE(2c)细胞、A498细胞

H711细胞类似产品::IMCD-3细胞、SW 982细胞、MGHU3细胞

SUM 159细胞类似产品::C8-D1A细胞、IALM细胞、NCI-H2066细胞

OCI-LY-8细胞类似产品::SKO007细胞、NCI-H2591细胞、HOP-62细胞

SNU1细胞类似产品::K-1735细胞、SNU449细胞、MM-1S细胞

WERI-Rb-1细胞类似产品::HDLM-2细胞、RT112细胞、UM-UC-1细胞

BC-3H-1细胞类似产品::H766T细胞、BALB/3T3 (clone A31)细胞、MCA 205细胞

C-643细胞类似产品::AD293细胞、RA.1细胞、Granta519细胞

CCD 1112SK细胞类似产品::OVCAR-432细胞、OV1-P细胞、H-1650细胞

SK HEP-1细胞类似产品::HEK-293-H细胞、HTR8细胞、HTori 3细胞

NCI-H1373:人肺癌腺癌复苏细胞(提供STR鉴定图谱)

L-540细胞类似产品::FRO 81-2细胞、NCI-H2405细胞、RL-95-2细胞

PC3M-IE8细胞类似产品::NWA细胞、SW-1417细胞、X63.Ag8.653细胞

HEC1-B细胞类似产品::HConEpic细胞、HT 1376.T细胞、GDM-1细胞

Caki-1细胞类似产品::NPA-87细胞、NCIH929细胞、GM-3573细胞

C4-2 Bone metastatic细胞类似产品::H-82细胞、SW-527细胞、NBL-7细胞

H-211细胞类似产品::SUM 190细胞、HT1197细胞、CEM C7细胞

"



NCI-H1373:人肺癌腺癌复苏细胞(;

公司简介

上海冠导生物工程有限公司,先后从ATCC、DSMZ、ECACC、RIKEN、PromoCell、ScienCell、JCRB等国内外细胞库引进细胞2000余株。以此为契机,公司组建了冠导细胞库,我司细胞均由资深细胞培养工程师进行培养。我司可以提供的细胞有:①细胞系②原代细胞③稳转株④耐药株⑤标记细胞⑥细胞配套试剂等。

成立日期 (11年)
注册资本 100万(元)
员工人数 50-100人
年营业额 ¥ 1000万-5000万
经营模式 工厂,试剂,定制,服务
主营行业 细胞培养,微生物学,细胞生物学

NCI-H1373:人肺癌腺癌复苏细胞(提供STR鉴定图谱)相关厂家报价

内容声明
拨打电话 立即询价