基本信息 产品详情 公司简介 推荐产品
网站主页 化工产品目录 生物 细胞培养 细胞系 人细胞系 NCI-H810 人肺癌细胞系 NCI-H810:人肺癌复苏细胞(提供STR鉴定图谱)
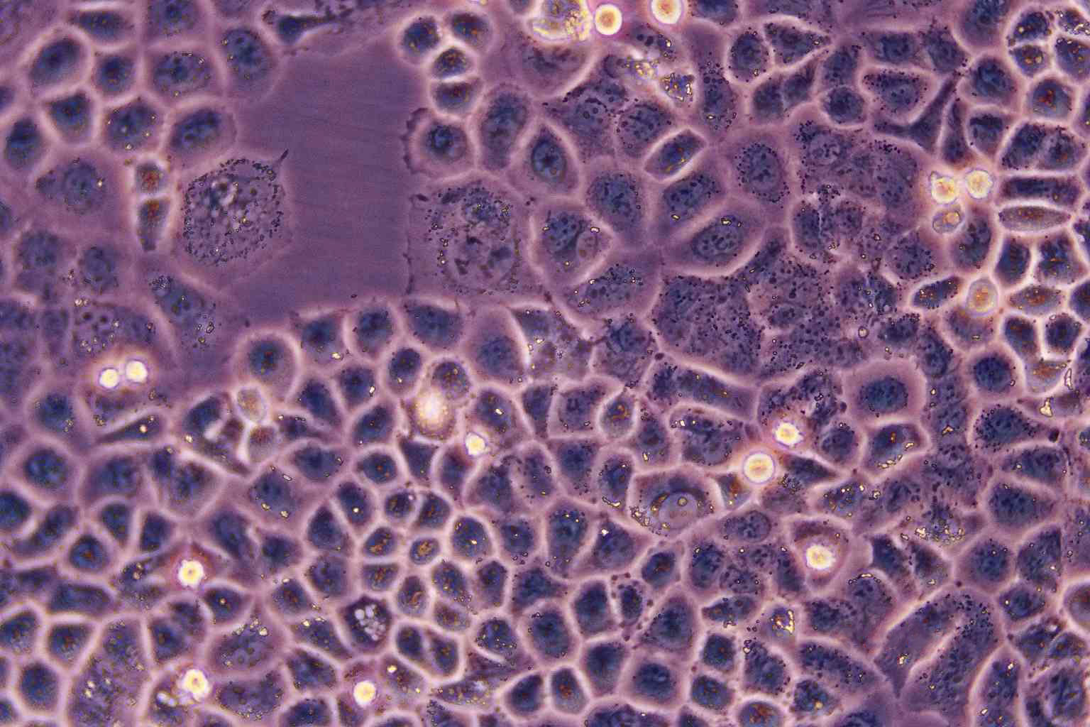
  • NCI-H810:人肺癌复苏细胞(提供STR鉴定图谱)

NCI-H810:人肺癌复苏细胞(提供STR鉴定图谱)

NCI-H810
询价 1000000细胞数 起订
2000000细胞数 起订
上海 更新日期:2026-04-15

上海冠导生物工程有限公司

VIP6年
联系人:全经理
电话:18818239863拨打
邮箱:3171921642@qq.com

产品详情:

中文名称:
NCI-H810:人肺癌复苏细胞(提供STR鉴定图谱)
英文名称:
NCI-H810
保存条件:
常温培养或液氮冻存
纯度规格:
NCI-H810:人肺癌复苏细胞(提供STR鉴定图谱)
产品类别:
生物试剂

"NCI-H810:人肺癌复苏细胞(提供STR鉴定图谱)

细胞生长:贴壁

可以这样说,对于需要消化传代的细胞,每一次的消化都是对这个细胞存活与否,状态HAO与不HAO至关重要的考验。很多同学都遇到过这个问题,自己养的细胞开始的几代长的还挺HAO的,可是穿过几代之后就发现自己的细胞不行了,状态越来越差劲了。对于这个问题,可以非常肯定地说,你的消化环节出问题了。你每一次的消化都让细胞受到较大损伤了。所以,越长越差。在消化的过程中,你加入胰酶后,所有细胞都在被胰酶消化着,但是我们忽视了一个问题就是,细胞的生长状态是不一样的,每一个细胞的贴壁情况也是不一样的,有的贴壁牢固,有的贴壁没有那么牢固的,所以,让所有的细胞消化同样的时间对细胞是不公平的,他们受到了差别待遇当然会有脾气的,大家争取做到因材施教,比如试试下面的“四步消化法”。(以难消化细胞为例),具体操作:1)首先不加胰酶,倒掉旧培养基加入少量新培养基洗1-2遍(目的是将漂浮着的死细胞之类尽量洗掉)。2)然后再加入少量新培养基直接吹打一遍,这一遍是把贴壁不牢固的细胞吹打下来。再用培养基洗一遍,两次所得悬液混合传入新瓶。(你可以将这些传入新瓶培养,以与后面胰酶消化过的细胞对比观察看谁长的更HAO一点就知道该细胞对胰酶的敏感度了)3)吸干净瓶内剩余液体,加入0.3ml左右的胰酶润洗一遍,吸掉弃之,再加入1ml左右的胰酶消化。消化的同时置于显微镜下观察,待细胞与细胞之间间隙明显的时候立即吸掉胰酶,加入新培养基开始吹打,吹打2-3遍后吸取悬液于试管或新瓶暂存。用2ml左右新培养基洗一遍与前面的混合。(也可以传入新瓶培养,以与后面及前面的做对比)4)然后把前面刚吸出来的胰酶重新加进去瓶里继续消化剩余的贴壁牢固的细胞。当然你也可以用新的胰酶,如果你们那比较富裕的话,继续镜下观察,待剩余细胞间隙明显,细胞独立开来的时候,吸掉胰酶,加入新培养基吹打。悬液传入新瓶培养(根据实际情况把握)。

细胞物种来源:人源或鼠源等其它物种来源

TC-1 [Mouse lung]细胞类似产品::Hs 274细胞、HuH-28细胞、NCIH2023细胞

Colo16细胞类似产品::HBMEC细胞、NCIH520细胞、Wills Eye Research Institute-Retinoblastoma-1细胞

THP-1细胞类似产品::OVCAR420细胞、P388-D1细胞、High Five细胞

22Rv-1细胞类似产品::SGC7901细胞、HCC-70细胞、Monomac-1细胞

[细胞产品包装]鲜活细胞:T25培养瓶(一瓶)或冻存细胞:1ml冻存管(两支)

细胞背景资料:详见相关文献介绍

NCI-H810:人肺癌复苏细胞(提供STR鉴定图谱)

细胞形态:上皮细胞样

HEK 293A细胞类似产品::ESC-410细胞、LC-1/sq细胞、RGC5细胞

SK-MEL-3细胞类似产品::HBZY-1细胞、GM07404D细胞、Strain L-929细胞

CAL39细胞类似产品::SK-UT-1细胞、RBE细胞、BT-20细胞

细胞培养无菌操作的演示:凡是带入超净工作台内的酒精、PBS、培养基、胰蛋白酶的瓶子均要用75%酒精擦拭瓶子的外表面;靠近酒精灯火焰操作。器皿使用前必须过火灭菌,继续使用的器皿(如瓶盖、滴管)要放在GAO处,使用时仍要过火。各种操作要靠近酒精灯,动作要轻、准确,不能乱碰。如吸管不能碰到废液缸。吸取两种以上的使用液时要注意更换吸管,防止交叉污染。玻璃器械洗消:一、新的玻璃器皿的洗消:自来水刷洗,除去灰尘。烘干、泡:烤箱中烘干,然后再浸入5%稀中12小时以除去脏物、铅、等物。刷洗、烘干:12小时后立即用自来水冲洗,再用洗涤剂刷洗,自来水冲干净后用烤箱烘干;泡酸、清洗:用清洁液浸泡12小时,然后从酸缸内捞出器皿用自来水冲洗15次,Zui后蒸馏水冲洗3-5次和用双蒸水过3次。烘干、包装:洗干净后先烘干,然后用牛皮纸(油光纸)包装。GAO压消毒:包装HAO的器皿装入GAO压锅内盖HAO盖子,打开开关和安全阀,当蒸气成直线上升时,关闭安全阀,当指针指向15磅时,维持20-30分钟。GAO压消毒后烘干。二、旧的玻璃器皿的洗消:刷洗、烘干:使用过的玻璃器皿可直接泡入来苏尔液或洗涤剂溶液中,泡过来苏尔溶液(洗涤剂)的器皿要用清水刷洗干净,然后烘干。泡酸、清洗:烘干后泡入清洁液(酸液),12小时后从酸缸内捞出器皿立即用自来水冲洗(避免蛋白质干涸后粘附于玻璃上难以清洗),再用蒸馏水冲洗3次。烘干、包装:洗干净的器皿烘干后取出用牛皮纸(油光纸)等包装。

细胞传代方法:1:2-1:6传代,每周2-3次。

细胞来源说明:来源于RCB、ATCC、KCLB、DSMZ、ECACC、INCell、ScienCell、ECACC、JCRB、Asterand、ICLC等知名细胞库

NCI-H810:人肺癌复苏细胞(提供STR鉴定图谱)

细胞生长特性:贴壁生长

贴壁细胞传代:去掉原T25培养瓶里面的培养基,T25瓶加3-4ml PBS洗1-2次;弃PBS,再加1.5 ml的Trypsin-EDTA(1X)消化液消化细胞,显微镜下观察,待细胞变圆,细胞间隙明显,部分细胞刚开始脱离瓶壁,加4 ml左右完全培养液混匀终止消化,将细胞小心吹打下来,1000rpm/min室温离心5min;弃上清,细胞沉淀用完全培养液重悬,按要求分瓶(视细胞密度而定1:2-1:3,1:3-1:6,1:6-1:8),每T25瓶补足培养基至5-6ml,37℃、5%CO2孵箱培养。悬浮细胞传代:一般仅需持续加入新鲜培养基于原培养角瓶中,稀释细胞浓度即可,若培养液太多时,将细胞悬液移入离心管中,1000rpm/min 室温离心5min。弃上清,细胞沉淀用完全培养液重悬,按要求分瓶(视细胞密度而定1:4-1:8),每T25瓶加完全培养液至4-5ml,37℃、5%CO2孵箱培养。有些悬浮细胞趋于成团生长,此时细胞生长状态良HAO,当补液时,需避免反复吹打。

SW 954细胞类似产品::A375-S2细胞、Mel526细胞、SUIT 2细胞

OVHM细胞类似产品::MV-522细胞、NCIH1963细胞、H9c2(2-1)细胞

BT20细胞类似产品::OV-90细胞、MDAMB361细胞、PANC-04-03细胞

MKN74细胞类似产品::AtT20细胞、NCI-H838细胞、VeroC1008细胞

COLO-HSR细胞类似产品::H.Ep. #2细胞、HOC1细胞、rRTEC细胞

VMCUB1细胞类似产品::H-508细胞、CEMC1细胞、PANC0403细胞

52PE细胞类似产品::Panc04.03细胞、BT-20细胞、Instituto Biologico-Rim Suino-2细胞

A431/P细胞类似产品::NCIH2135细胞、MCF12F细胞、LMTK-细胞

SKNFI细胞类似产品::Acanthosis Nigricans 3rd attempt-CArcinoma细胞、NCI-H1155细胞、WBF344细胞

M-20细胞类似产品::HCCC9810细胞、CAL148细胞、MUVEC细胞

ASH-3细胞类似产品::H-1703细胞、SW756细胞、NCI-H2342细胞

HFE-145细胞类似产品::VSMC细胞、H1876细胞、T 84细胞

Jiyoye (P-2003)细胞类似产品::H-1299细胞、COS1细胞、HMCB细胞

159PT细胞类似产品::NCI-H2122细胞、SuDHL 8细胞、CCD-1112sk细胞

BJA-B1细胞类似产品::Me Wo细胞、Granta 519细胞、TR146细胞

SUDHL-2细胞类似产品::LP-1细胞、SK-N-BE-2细胞、8226细胞

SUDHL-2细胞类似产品::LP-1细胞、SK-N-BE-2细胞、8226细胞

VAESBJ细胞类似产品::ELD-1细胞、NCI-H322T细胞、MyLa2059细胞

M2-10B4细胞类似产品::CMT 64细胞、IOSE-Van细胞、H522细胞

RC-4B细胞类似产品::RIN-14B细胞、MDA468细胞、MonoMac1细胞

LM(TK-)细胞类似产品::HCC0015细胞、373 MG细胞、B/C3T3细胞

HCT-8/V细胞类似产品::DR2R 1610细胞、B-cell Acute Lymphoblastic Leukemia-1细胞、TCCSUP细胞

H2342细胞类似产品::HGE细胞、3AA细胞、MC 3T3-E1细胞

NR 8383细胞类似产品::RH-30细胞、SF 539细胞、PLC8024细胞

NCI-H810:人肺癌复苏细胞(提供STR鉴定图谱)

EPC细胞类似产品::M059J细胞、SPCA1细胞、HCC1419细胞

KYSE 450细胞类似产品::Med 283细胞、WM239细胞、SNU354细胞

PC10细胞类似产品::MIMVEC细胞、BNCL2细胞、NCI-H2106细胞

OACP4C细胞类似产品::B-cell Acute Lymphoblastic Leukemia-1细胞、EOC 20细胞、NB-4细胞

NCIH2291细胞类似产品::Mouse Colon 38细胞、WB F344细胞、KE37细胞

SKLMS-1细胞类似产品::NTERA2D1细胞、ASPC1细胞、16-HBE14o细胞

Y3-Ag1,2,3细胞类似产品::HO-8910细胞、CD18/HPAF细胞、LLC-MK2细胞

HCC0015细胞类似产品::COV434细胞、IBMF-7细胞、IMCD-3细胞

FHL 124细胞类似产品::38C13细胞、L-M[TK-]细胞、FRO 81-2细胞

IOSE29细胞类似产品::C32r细胞、SCC7细胞、CORL26细胞

H-1568细胞类似产品::HKC细胞、Me Wo细胞、NP69SV40T细胞

Panc-05.04细胞类似产品::SW 1353细胞、WEHI164细胞、EVSA/T细胞

KMS26细胞类似产品::Kuramochi细胞、NCI-441细胞、3T3 Swiss Albino细胞

CHL1细胞类似产品::MBMEC细胞、NCI-H220细胞、MDA157细胞

Jurkat, Clone E6-1细胞类似产品::H2452细胞、HEYA8细胞、MC3T3E1细胞

HFSF细胞类似产品::526-mel细胞、C4-I细胞、TE15细胞

DI-TNC1细胞类似产品::SN12CPM6细胞、Baby Hamster Kidney from litter No. 21细胞、hEM15A细胞

H-526细胞类似产品::HMEC-1细胞、GM05384细胞、Mono-Mac-1细胞

SN12PM6细胞类似产品::COLO679细胞、HeLa细胞、KYSE180细胞

H-2347细胞类似产品::Anglne细胞、WM-239细胞、TCC Sup细胞

Hs739T细胞类似产品::OCI-Ly 7细胞、B-cell with DC Morphology细胞、H-2171细胞

Hs739T细胞类似产品::OCI-Ly 7细胞、B-cell with DC Morphology细胞、H-2171细胞

Stanford University-Diffuse Histiocytic Lymphoma-6细胞类似产品::Tsup-1细胞、P3X63Ag8细胞、HTori-3.1细胞

HCC-1954细胞类似产品::CMECs细胞、P3-X63Ag8细胞、EST50细胞

Ramos (RA 1)细胞类似产品::hESC细胞、K7M2 wt细胞、SW-1990细胞

UMNSAH/DF-1细胞类似产品::NCM-460细胞、NCIH1666细胞、H-1993细胞

THP 1细胞类似产品::HUT-226细胞、C2C12细胞、KMS-26细胞

High-5细胞类似产品::NCIH446细胞、CL-40细胞、HCC-1359细胞

MGH-U3细胞类似产品::RC-K8细胞、AR4-2J细胞、PANC1005细胞

MFE 296细胞类似产品::SK UT 1细胞、RPMI-7666细胞、NCI-SNU-1040细胞

GM03573细胞类似产品::L5178Y TK+/-3.7.2c细胞、GM03320细胞、H-2141细胞

SNUC2A细胞类似产品::A 549细胞、Panc_02_03细胞、Michigan Cancer Foundation-12A细胞

GS9L细胞类似产品::Mouse INsulinoma 6细胞、RAMOS2G64C10细胞、RGE细胞

KP-N-YN细胞类似产品::SW-954细胞、Bovine ENDometrial cells细胞、COV504细胞

DLD 1细胞类似产品::PC-3细胞、MCF-12A细胞、NK-92 transfected with MFG-hIL2细胞

Madin Darby Canine Kidney细胞类似产品::M20 [Human melanoma]细胞、H-EMC-SS细胞、CHP 212细胞

COLO680N细胞类似产品::CCC-HSF-1细胞、FK81细胞、L5178Y-R细胞

BT20细胞类似产品::OV-90细胞、alphaTC clone 6细胞、Murine Long bone Osteocyte-Y4细胞

OVCAR432细胞类似产品::LU-65M细胞、Malme-3M细胞、H-2030细胞

ML-2细胞类似产品::CAMA细胞、H2452细胞、NCIH508细胞

Jiyoye(P-2003)细胞类似产品::Cloudman S91 melanoma clone M-3细胞、ECC1细胞、Tb 1 Lu (NBL-12)细胞

OCIAML5细胞类似产品::Leukemia 1210细胞、HS-294细胞、HEL-92-1-7细胞

H820细胞类似产品::CHP-100细胞、PC 61细胞、IAR-20细胞

CCD 1112SK细胞类似产品::OVCAR-432细胞、OV1-P细胞、H-1650细胞

PCI-4.2细胞类似产品::CWR22-R1细胞、D-283细胞、DMS114细胞

Gerner 7666细胞类似产品::Hs 821.T细胞、RT 112细胞、HEK 293A细胞

SUDHL8细胞类似产品::OCI Ly19细胞、N1E115细胞、GM05887细胞

JB6 [Mouse]细胞类似产品::NRK49F细胞、CL1-5细胞、ST-2细胞

H522细胞类似产品::HUASMC细胞、JHH-2细胞、Daudi细胞

NCTC-3960细胞类似产品::JVM-2细胞、HuT102细胞、TPC-1细胞

T-ALL 1细胞类似产品::ZR75-30细胞、NUGC-3细胞、OCI-Ly 19细胞

624mel细胞类似产品::COLO206细胞、K-562细胞、HUT-28细胞

A549 ATCC细胞类似产品::ECC1细胞、NCI-H2023细胞、NCIH2122细胞

S3-HeLa细胞类似产品::Hi-five细胞、RPTEC/TERT 1细胞、HNTEC细胞

ZYM-DIEC02细胞类似产品::HPaSteC(HPSC)细胞、RPPVEC细胞、NL20SV细胞

LTPA细胞类似产品::NCIH244细胞、HT-55细胞、NCIH1299细胞

HCC1833细胞类似产品::HBL-100细胞、NGEC细胞、HUT-125细胞

143BTK-细胞类似产品::H9细胞、NCIH1770细胞、HCEC细胞

143BTK-细胞类似产品::H9细胞、NCIH1770细胞、HCEC细胞

OVCAR-3细胞类似产品::TE10细胞、SW1417细胞、LN-382细胞

LIXC002细胞类似产品::OCI/AML4细胞、Becker细胞、PC2细胞

MM1细胞类似产品::MV 4;11细胞、Tregs细胞、NIH-3T3细胞

HN6细胞类似产品::HPB-ALL细胞、NOZ细胞、MOPC细胞

THEECs细胞类似产品::SK-N-BE2细胞、NTC200细胞、L-5178-Y-R细胞

H-2228细胞类似产品::VB细胞、KE-39细胞、KP-N-RT-BM细胞

Tn 5B1-4细胞类似产品::H2029细胞、OV1/P细胞、Centre Antoine Lacassagne-78细胞

HO1N1细胞类似产品::Case 3细胞、Clone M-3细胞、VMM5A细胞

159PT细胞类似产品::NCI-H2122细胞、SuDHL 8细胞、CCD-1112sk细胞

U14细胞类似产品::IFRS1细胞、DR2R 1610细胞、H-1838细胞

M059J细胞类似产品::Reuber-H-35 hepatoma细胞、RPE D407细胞、CFSC-8B细胞

SU-DHL-5细胞类似产品::WiDr-TC细胞、PC3-M细胞、MCA 38细胞

MCF-7细胞类似产品::MONO-MAC 6细胞、NCIH1436细胞、LS 513细胞

SW-982细胞类似产品::LADMAC细胞、C4I细胞、YD-38细胞

HT clone H9细胞类似产品::AsPC-1细胞、KU-19-19细胞、NCI-H2081细胞

MES 23.5细胞类似产品::C2A细胞、Mono Mac6细胞、P3/ag细胞

BCECs细胞类似产品::PANC403细胞、MCF-7/ADR-RES细胞、MDA-MB 468细胞

EBNA-293细胞类似产品::SKNBE(1)细胞、QBC(939)细胞、GP5d细胞

Centre Antoine Lacassagne-33细胞类似产品::Det. 562细胞、MV522细胞、MAC1细胞

KGN细胞类似产品::SO-RB50细胞、HS688AT细胞、SKCO1细胞

T-ALL-1细胞类似产品::NCI-H716细胞、NCIH2342细胞、ReNcell CX细胞

SKLU1细胞类似产品::BTI-Tn-5B1-4细胞、H2085细胞、CNE2细胞

Normal fibroblast-10细胞类似产品::58F细胞、PNT1A细胞、JVM-2细胞

NCI-H810:人肺癌复苏细胞(提供STR鉴定图谱)

A10细胞类似产品::SK-MEL2细胞、alphaTC clone 6细胞、OV90细胞

HCCC-9810细胞类似产品::ES2细胞、CAL-148细胞、MDA-MB-231细胞

HEY A8细胞类似产品::ME-180细胞、H-2198细胞、CMK细胞

BCaP-37细胞类似产品::HCT-FET细胞、High Five细胞、H22-H8D8细胞

Tb1.Lu细胞类似产品::CPA47细胞、H-1869细胞、L363细胞

NFHIOSE-29细胞类似产品::NCM356细胞、NCI-H2029细胞、NCIH1341细胞

"



NCI-H810:人肺癌复苏细胞(提供S;

公司简介

上海冠导生物工程有限公司,先后从ATCC、DSMZ、ECACC、RIKEN、PromoCell、ScienCell、JCRB等国内外细胞库引进细胞2000余株。以此为契机,公司组建了冠导细胞库,我司细胞均由资深细胞培养工程师进行培养。我司可以提供的细胞有:①细胞系②原代细胞③稳转株④耐药株⑤标记细胞⑥细胞配套试剂等。

成立日期 (11年)
注册资本 100万(元)
员工人数 50-100人
年营业额 ¥ 1000万-5000万
经营模式 工厂,试剂,定制,服务
主营行业 细胞培养,微生物学,细胞生物学

NCI-H810:人肺癌复苏细胞(提供STR鉴定图谱)相关厂家报价

内容声明
拨打电话 立即询价