基本信息 产品详情 公司简介 推荐产品
网站主页 化工产品目录 生物 细胞培养 细胞系 人细胞系 人黑色素瘤细胞株 A-375:人恶性黑色素瘤复苏细胞(提供STR鉴定图谱)
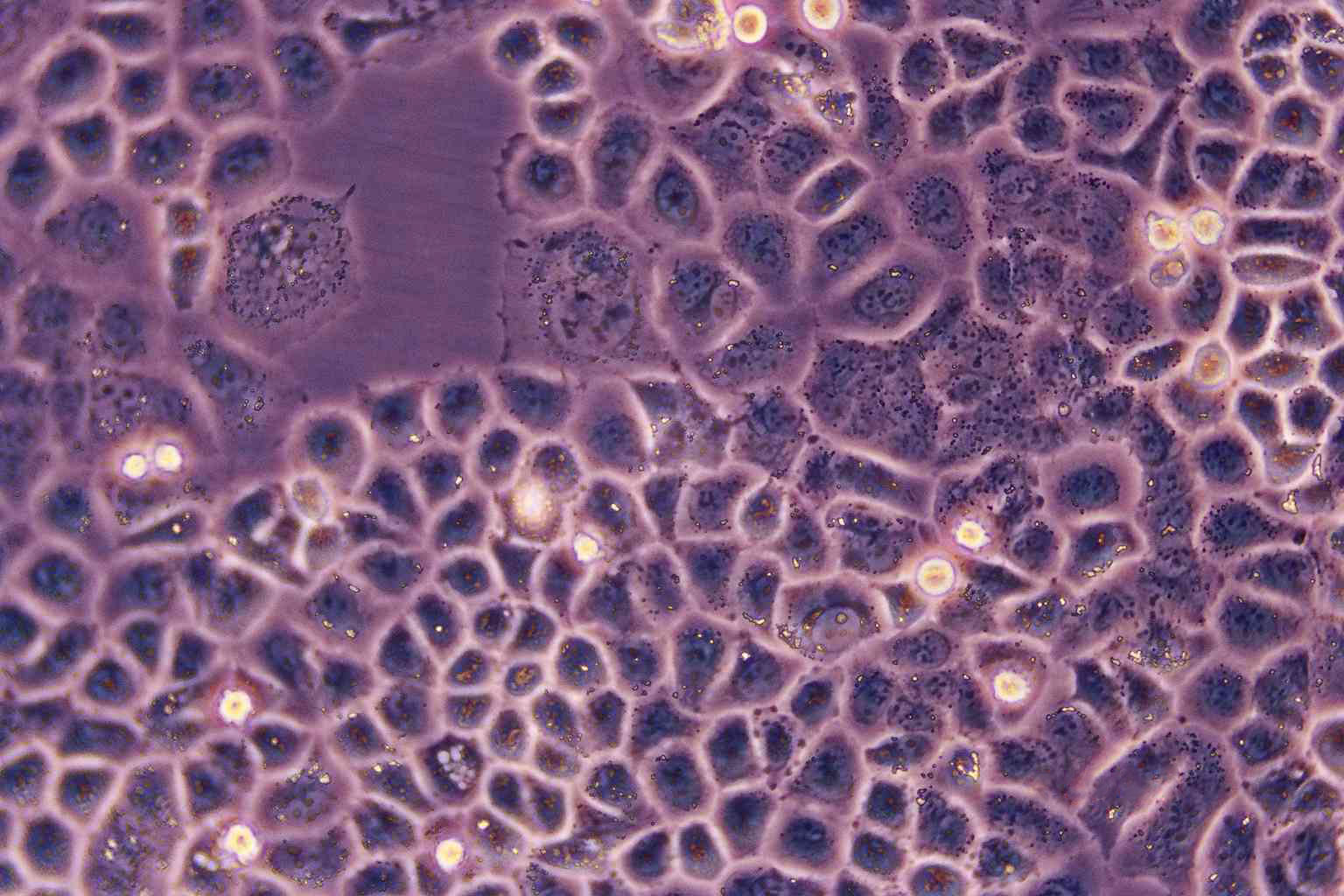
  • A-375:人恶性黑色素瘤复苏细胞(提供STR鉴定图谱)

A-375:人恶性黑色素瘤复苏细胞(提供STR鉴定图谱)

A-375
询价 1000000ASSAYS 起订
2000000ASSAYS 起订
上海 更新日期:2026-04-22

上海冠导生物工程有限公司

VIP6年
联系人:全经理
电话:18818239863拨打
邮箱:3171921642@qq.com

产品详情:

中文名称:
A-375:人恶性黑色素瘤复苏细胞(提供STR鉴定图谱)
英文名称:
A-375
保存条件:
常温培养或液氮冻存
纯度规格:
A-375:人恶性黑色素瘤复苏细胞(提供STR鉴定图谱)
产品类别:
生物试剂

"A-375:人恶性黑色素瘤复苏细胞(提供STR鉴定图谱)

细胞生长:贴壁

冻存和复苏的原则:慢冻快融》当细胞冷到零度以下,可以产生以下变化:细胞器脱水,细胞中可溶性物质浓度升GAO,并在细胞内形成冰晶。如果缓慢冷冻,可使细胞逐步脱水,细胞内不致产生大的冰晶;相反,结晶就大,大结晶会造成细胞膜、纲胞器的损伤和破裂。复苏过程应快融,目的是防止小冰晶形成大冰晶,即冰晶的重结晶。慢冻程序》1.标准程序:采用细胞冻存器》当温度在-25℃以上时,1~2℃/min;当温度达-25℃以下时,5~10℃/min;当温度达-100℃时,可迅速放入液氮中。2.简易程序:将冷冻管(管口要朝上)放入纱布袋内,纱布袋系以线绳,通过线绳将纱布袋固定于液氮罐罐口,按每分钟温度下降1~2℃的速度,在40min内降至液氮表面过夜,次晨投人液氮中。3.传统程序:冷冻管置于4℃10分钟→-20℃30分钟→-80℃16~18小时(或隔夜)→液氮槽长期储存。细胞冻存方法:1.预先配制冻存液》(1)8%DMSO+细胞生长液(92%血清)2.取对数生长期细胞,经胰酶消化后,加入适量冻存液,用吸管吹打制成细胞悬液(1×10(6)~5×10(6)细胞/ml)。3.加入1ml细胞于冻存管中,密封后标记冷冻细胞名称和冷冻日期。液氮长期保存。保存细胞的复苏方法:1.快速解冻》冻存细胞从液氮中取出后,立即放入37℃水浴中,轻轻摇动冷冻管,使其在1分钟内全部融化(不要超过3分钟)。2.解冻后的细胞可直接接种到含完全生长培养液的细胞培养瓶中直接进行培养,24小时后再用新鲜完全培养液替换旧培养液,以去除DMSO。3.如果细胞对冷冻保护剂别敏感解冻后的细胞应先通过离心去除冷冻保护剂,然后再接种到含完全生长培养液的培养瓶中。

细胞物种来源:人源或鼠源等其它物种来源

CTLL-2细胞类似产品::M14细胞、CemT4细胞、KLM-1细胞

PIG1细胞类似产品::L78细胞、FTC133细胞、SKMEL24细胞

Mouse Podocyte Clone-5细胞类似产品::DSL-6A/C1细胞、HCEC-12细胞、U-251细胞

Panc 02细胞类似产品::T47-D细胞、Hs675T细胞、Pan02细胞

[细胞产品包装]鲜活细胞:T25培养瓶(一瓶)或冻存细胞:1ml冻存管(两支)

细胞背景资料:A375源自一位54岁女性,是Giard DJ等人建立的一系列细胞株中的一株。该细胞可在免疫抑制小鼠上成瘤,在琼脂上形成克隆。

A-375:人恶性黑色素瘤复苏细胞(提供STR鉴定图谱)

细胞形态:上皮细胞样

A172细胞类似产品::OCI-Ly 8细胞、SN12C-PM6细胞、RPMI-7951细胞

Hs-746T细胞类似产品::NOZAWA细胞、CCRF/CEM-C7细胞、EAhy926细胞

HLEC-B3细胞类似产品::MOLT 16细胞、BN-CL2细胞、MTEC1细胞

目前,跟公司签订长期战略合作伙伴的科研单位有山西中医学院、福建医科大学附属第二医院、上海市第六人民医院、北京大学医学部、同济大学、四平中心医院、广州中医药大学、中科院上海生命科学研究院生化与细胞研究所、解放军第306医院、江南大学、西南医院、吉首大学、西南大学化学化工学院、宁波大学、福建医科大学附属医院、苏州市同济医院、中南大学、延安大学附属医院、中国科学院上海药物研究所、天津市儿童医院、江苏省中医药研究院、湘雅医学院、第四军医大学预防系劳动与环境教研室、扬州大学、上海交通大学、中国医科大学、浙江省立同德医院、中国人民解放军第150中心医院、苏州大学、四川大学华西医院、云南大学、扬州大学兽医学院、上海交通大学医学院附属第九人民医院、海南医学院、江苏肿瘤医院、上海市闵行区中心医院、大连医科大学附属医院、中国科学院广州生物医药与健康研究院、沈阳药科大学、广州市第八人民医院、南京大学、浙江中医药大学、兰州大学、上海中医药大学、中国农业科学院饲料研究所、厦门市妇幼保健院、大学、南京军区总医院、天津市人民医院、北京医学科学肿瘤医院、上海市同济医院、江苏大学、桂林医学院附属医院、中国科学院化学研究所

细胞传代方法:1:2-1:3传代;每周换液2-3次。

细胞来源说明:来源于RCB、ATCC、KCLB、DSMZ、ECACC、INCell、ScienCell、ECACC、JCRB、Asterand、ICLC等知名细胞库

A-375:人恶性黑色素瘤复苏细胞(提供STR鉴定图谱)

细胞生长特性:贴壁

贴壁细胞传代:去掉原T25培养瓶里面的培养基,T25瓶加3-4ml PBS洗1-2次;弃PBS,再加1.5 ml的Trypsin-EDTA(1X)消化液消化细胞,显微镜下观察,待细胞变圆,细胞间隙明显,部分细胞刚开始脱离瓶壁,加4 ml左右完全培养液混匀终止消化,将细胞小心吹打下来,1000rpm/min室温离心5min;弃上清,细胞沉淀用完全培养液重悬,按要求分瓶(视细胞密度而定1:2-1:3,1:3-1:6,1:6-1:8),每T25瓶补足培养基至5-6ml,37℃、5%CO2孵箱培养。悬浮细胞传代:一般仅需持续加入新鲜培养基于原培养角瓶中,稀释细胞浓度即可,若培养液太多时,将细胞悬液移入离心管中,1000rpm/min 室温离心5min。弃上清,细胞沉淀用完全培养液重悬,按要求分瓶(视细胞密度而定1:4-1:8),每T25瓶加完全培养液至4-5ml,37℃、5%CO2孵箱培养。有些悬浮细胞趋于成团生长,此时细胞生长状态良HAO,当补液时,需避免反复吹打。

MDA-MB 361细胞类似产品::Roswell Park Memorial Institute 6666细胞、HUASMC细胞、SF-126细胞

2008细胞类似产品::T241细胞、1301细胞、SK-Col-1细胞

IAR-20细胞类似产品::LM1细胞、VA-ES-BJ细胞、BE(2)-M17细胞

CWR22R细胞类似产品::EAhy926细胞、A72细胞、SK_N_BE2C细胞

SK-Col-1细胞类似产品::H-1838细胞、NIE-115细胞、TYK-nu细胞

CL 1-5细胞类似产品::PANC-1细胞、H-1563细胞、IBMF-7细胞

D-341Med细胞类似产品::MT2细胞、hTERT-HPNE细胞、RPMI #8226细胞

SUP T1细胞类似产品::BT-325细胞、MT-2细胞、SKNF1细胞

JVM2细胞类似产品::YES-2细胞、MES-SA/Dx-5细胞、SKHEP1细胞

Tu-686细胞类似产品::HEK-AD 293细胞、Tohoku Hospital Pediatrics-1细胞、ROS 17/2.8细胞

Kit 225细胞类似产品::NCC-IT细胞、MC3T3-L1细胞、NFHIOSE-29细胞

A2058细胞类似产品::SW-480细胞、AMC-HN8细胞、A7r5细胞

FDC-P1细胞类似产品::CMT-93细胞、NCTC clone 929细胞、COLO 829细胞

A 253细胞类似产品::P31 FUJ细胞、HFLS-RA细胞、FOXNY细胞

OS-RC-2细胞类似产品::NUGC2细胞、SF-767细胞、3T6细胞

CTLL(2)细胞类似产品::KU-19-19细胞、SLMT-1细胞、MC9细胞

293/EBNA细胞类似产品::LS-180细胞、Line 870 Emory University-4细胞、MC3T3, E1 subgroup-4 clone细胞

Centre Antoine Lacassagne-78细胞类似产品::H-548细胞、LNT-229细胞、NTERA2-cloneD1细胞

IA-LM细胞类似产品::CCD-19Lu细胞、H2009细胞、H-220细胞

MOLP2细胞类似产品::MDA231细胞、Panc2.03细胞、PTK1细胞

P3-X63Ag8.653细胞类似产品::PL-11细胞、RMS1598细胞、MUTZ-1细胞

HL-1细胞类似产品::HK-2 [Human kidney]细胞、H1792细胞、OCI-Ly7细胞

McCoy细胞类似产品::NCIH1373细胞、HAVSMC细胞、CA-46细胞

NCI-ADR-RES细胞类似产品::Wayne State University-Head and Neck 13细胞、RPMI1846细胞、WEHI164细胞

A-375:人恶性黑色素瘤复苏细胞(提供STR鉴定图谱)

HT1080细胞类似产品::PK-13细胞、PANC.1细胞、OS-732细胞

MES23.5细胞类似产品::NCI-SNU-1040细胞、L Wnt-3A细胞、SN12CPM6细胞

BNL-HCC细胞类似产品::Walker 256细胞、Vero细胞、QGY细胞

DHL5细胞类似产品::B16 BL6细胞、HCC-366细胞、PL-12细胞

McCoy细胞类似产品::NCIH1373细胞、HAVSMC细胞、CA-46细胞

KP 4细胞类似产品::Saos2细胞、D341Med细胞、CCD 19Lu细胞

RN细胞类似产品::SCC-4细胞、4T1细胞、NCI-H1963细胞

Malme3M细胞类似产品::NCIH1993细胞、MDCK2细胞、HEP3B2细胞

PL-11细胞类似产品::PA1细胞、RINm-5F细胞、B 95.8细胞

CLL-CII细胞类似产品::SW13细胞、H-441细胞、D341Med细胞

HEK AD293细胞类似产品::P3-X63.Ag8.653细胞、C918细胞、SF-767细胞

TE354.T细胞类似产品::S.B.细胞、HCC44细胞、RS1细胞

HN4细胞类似产品::LA4细胞、MDA361细胞、H-1618细胞

C22细胞类似产品::OVCAR 420细胞、Ca759细胞、NCIH1417细胞

CMT93细胞类似产品::SK-MEL-2细胞、HCS2/8细胞、SK.OV.3细胞

MES-23.5细胞类似产品::P3J.HR1K细胞、TMD-8细胞、RT4细胞

HNE3细胞类似产品::GM04678细胞、KYSE-410细胞、LM-TK-细胞

Tokyo Medical and Dental university 8细胞类似产品::CEK细胞、HB 611细胞、FLC-7细胞

CCRF-CEM C7细胞类似产品::1301细胞、Colon 26细胞、Alexander细胞

MDA-MB157细胞类似产品::hUC-MSC细胞、CZ-1细胞、SUM-102细胞

PY8119细胞类似产品::Lu-165细胞、LN382细胞、BC-022细胞

U-87细胞类似产品::LLC-WRC 256细胞、TE-12细胞、McArdle RH-7777细胞

KOSC2细胞类似产品::TALL-104细胞、SU-DHL2细胞、HGF-1细胞

OVCAR-432细胞类似产品::SK-N-BE细胞、SKMEL24细胞、Human Embryonic Kidney 293细胞

Hs746-T细胞类似产品::DU 4475细胞、NCI-H2126细胞、KY-270细胞

KP 4细胞类似产品::Saos2细胞、D341Med细胞、CCD 19Lu细胞

H-1734细胞类似产品::JM-1细胞、3T3NIH细胞、HBL-100细胞

KBM7细胞类似产品::C3A细胞、MDA-MB-231-luc细胞、HS-766-T细胞

HEK293细胞类似产品::U-343-MG细胞、HIMEC细胞、Murine Carcinoma-38细胞

Hs934T细胞类似产品::Kit-225-K6细胞、hRPTC细胞、HEK293F细胞

COLO-320-DM细胞类似产品::GEO细胞、KYSE-520细胞、SW1353细胞

Spodoptera frugiperda clone 9细胞类似产品::IPLB-Sf21细胞、VP 267细胞、KBM5细胞

Dx5细胞类似产品::NCI-UMC-11细胞、Saos2细胞、GT39细胞

Colon38细胞类似产品::H125细胞、RC13细胞、JF305细胞

Uhth-74细胞类似产品::HOS (TE85, Clone F5)细胞、P30-OHK细胞、OSKM-1细胞

OVCAR-433细胞类似产品::MDA-MB-435 S细胞、LC1-Sq细胞、OVCA-433细胞

MES-23.5细胞类似产品::P3J.HR1K细胞、U-251-MG细胞、RPMI8226/S细胞

IAR 20细胞类似产品::NG-108-15细胞、HIBEC细胞、RINm-5F细胞

NCI-H1672细胞类似产品::BL2141细胞、Turbot Embryonic Cell line细胞、OVCA432_Bast细胞

LTEPa2细胞类似产品::SNU-484细胞、PTK-1细胞、MADB106细胞

KM933细胞类似产品::Psi-2 DAP细胞、SK-Mel1细胞、BT549细胞

P3/X63/Ag8细胞类似产品::NCI-H1666细胞、HFSF细胞、CAL-62细胞

RL-952细胞类似产品::B16细胞、BEND细胞、TE3A细胞

CTX TNA2细胞类似产品::JB-6 Cl 30细胞、USMC细胞、C-32细胞

L5178-R细胞类似产品::Karpas-299细胞、GM3190细胞、P3X63-Ag8.653细胞

IPLB-Sf21AE细胞类似产品::NCI-H378细胞、NCI-SNU-520细胞、hFOB细胞

SK-MES细胞类似产品::624-mel细胞、BBE细胞、MPP 89细胞

LN-229细胞类似产品::RGCs细胞、786-0细胞、hSCC-25细胞

COLO-829细胞类似产品::A-10细胞、SW48细胞、CA 46细胞

EB2细胞类似产品::CX1细胞、786O细胞、NCIH524细胞

Evsa T细胞类似产品::SF-539细胞、U138细胞、IOSE 80细胞

Dunn LM8细胞类似产品::343MG细胞、Fortner's melanotic melanoma #3细胞、BMSCs(mBMSCs)细胞

GM00215A细胞类似产品::HOSEpiC细胞、H2122细胞、GM02219D细胞

WERI-Rb1细胞类似产品::GCT细胞、Human Intestinal Epithelial Cell-6细胞、CAOV3细胞

SUM52PE细胞类似产品::AtT-20细胞、451Lu细胞、JM1细胞

U-251细胞类似产品::Hs 606细胞、293E细胞、CT26-clone 25细胞

HUT125细胞类似产品::MLE 12细胞、P3X63Ag8653细胞、32D clone3细胞

NR8383细胞类似产品::HAPI细胞、WM 451-Lu细胞、HEK293细胞

NR8383细胞类似产品::HAPI细胞、WM 451-Lu细胞、HEK293细胞

JM1细胞类似产品::MG-HU-3细胞、MOLT 4细胞、S3-HeLa细胞

GB1细胞类似产品::COLO 680N细胞、HL1细胞、rUCMSCs细胞

NCI-H920细胞类似产品::HLEC-B3细胞、Gingival carcinoma Neck Metastasis细胞、CORL279细胞

769P细胞类似产品::AHH1细胞、AU-565细胞、H-1770细胞

Det. 562细胞类似产品::H19-7细胞、SNU620细胞、MES 13细胞

P3X63Ag8-6-5-3细胞类似产品::SUM102PT细胞、RINm5F细胞、RT112细胞

MAC1细胞类似产品::MuM-2B细胞、HCC-1428细胞、SACC-LM细胞

LA795细胞类似产品::Vero from pool #76细胞、HLF-a细胞、OVCAR-5细胞

P-2003细胞类似产品::SCC 15细胞、TYK-nu细胞、HSAS4细胞

801-D细胞类似产品::IPEC1细胞、Panc02细胞、PANC0813细胞

GM-215细胞类似产品::H2286细胞、KP-N-YN细胞、MonoMac 6细胞

H4-II-EC3细胞类似产品::SUM-190细胞、SKRC-20细胞、T241细胞

HCA 7细胞类似产品::H-292细胞、GC1-SPG细胞、AR4-IP细胞

D10.G4.1细胞类似产品::CHP-126细胞、QGY-7703细胞、MDA-MB157细胞

HT1376细胞类似产品::RH30SJ细胞、RL-65细胞、NK62a细胞

DH82细胞类似产品::IM-95细胞、J774 A1细胞、NCIH1793细胞

K562/ADP细胞类似产品::SJRH-30细胞、TE-85 clone 5细胞、Renal Proximal Tubule Epithelial Cells/TERT-immortalized 1细胞

NK-92 MI细胞类似产品::H2291细胞、GP293细胞、BE(2)M17细胞

NCM460细胞类似产品::Metastatic Variant 522细胞、Panc-02细胞、NCI-H774细胞

PG [Human lung carcinoma]细胞类似产品::NCIH2009细胞、LWnt3A细胞、CL11细胞

NCI-H2029细胞类似产品::Ku812细胞、P30 OHK细胞、SK-NEP-1细胞

B16/F10细胞类似产品::Panc_05_04细胞、CAL 39细胞、HCC366细胞

VM-CUB-1细胞类似产品::BT-483细胞、SF-126细胞、AU565细胞

A-375:人恶性黑色素瘤复苏细胞(提供STR鉴定图谱)

NG-108-15细胞类似产品::TC-1 [Mouse lung]细胞、CL11细胞、BNL CL.2细胞

FD-LSC-1细胞类似产品::DI-TNC1细胞、DK-MG细胞、C127细胞

DU-145细胞类似产品::HRGEC细胞、Human Pancreatic Duct Epithelial细胞、Hx-147细胞

1.1B4细胞类似产品::LN-18细胞、GM637A细胞、Human Kidney-2细胞

H1581细胞类似产品::HSC-6细胞、L 132细胞、SPDC-CCL141细胞

H1963细胞类似产品::SK Col 1细胞、GA-10 clone 4细胞、MCF-7/ADR细胞

"



A-375:人恶性黑色素瘤复苏细胞(提供;

公司简介

上海冠导生物工程有限公司,先后从ATCC、DSMZ、ECACC、RIKEN、PromoCell、ScienCell、JCRB等国内外细胞库引进细胞2000余株。以此为契机,公司组建了冠导细胞库,我司细胞均由资深细胞培养工程师进行培养。我司可以提供的细胞有:①细胞系②原代细胞③稳转株④耐药株⑤标记细胞⑥细胞配套试剂等。

成立日期 (11年)
注册资本 100万(元)
员工人数 50-100人
年营业额 ¥ 1000万-5000万
经营模式 工厂,试剂,定制,服务
主营行业 细胞培养,微生物学,细胞生物学

A-375:人恶性黑色素瘤复苏细胞(提供STR鉴定图谱)相关厂家报价

  • A375
  • A375
  • 吉奥蓝图(广东)生命科学技术中心 VIP
  • 2026-04-17
  • ¥10000
内容声明
拨打电话 立即询价