"F81:猫肾复苏细胞(提供STR鉴定图谱)
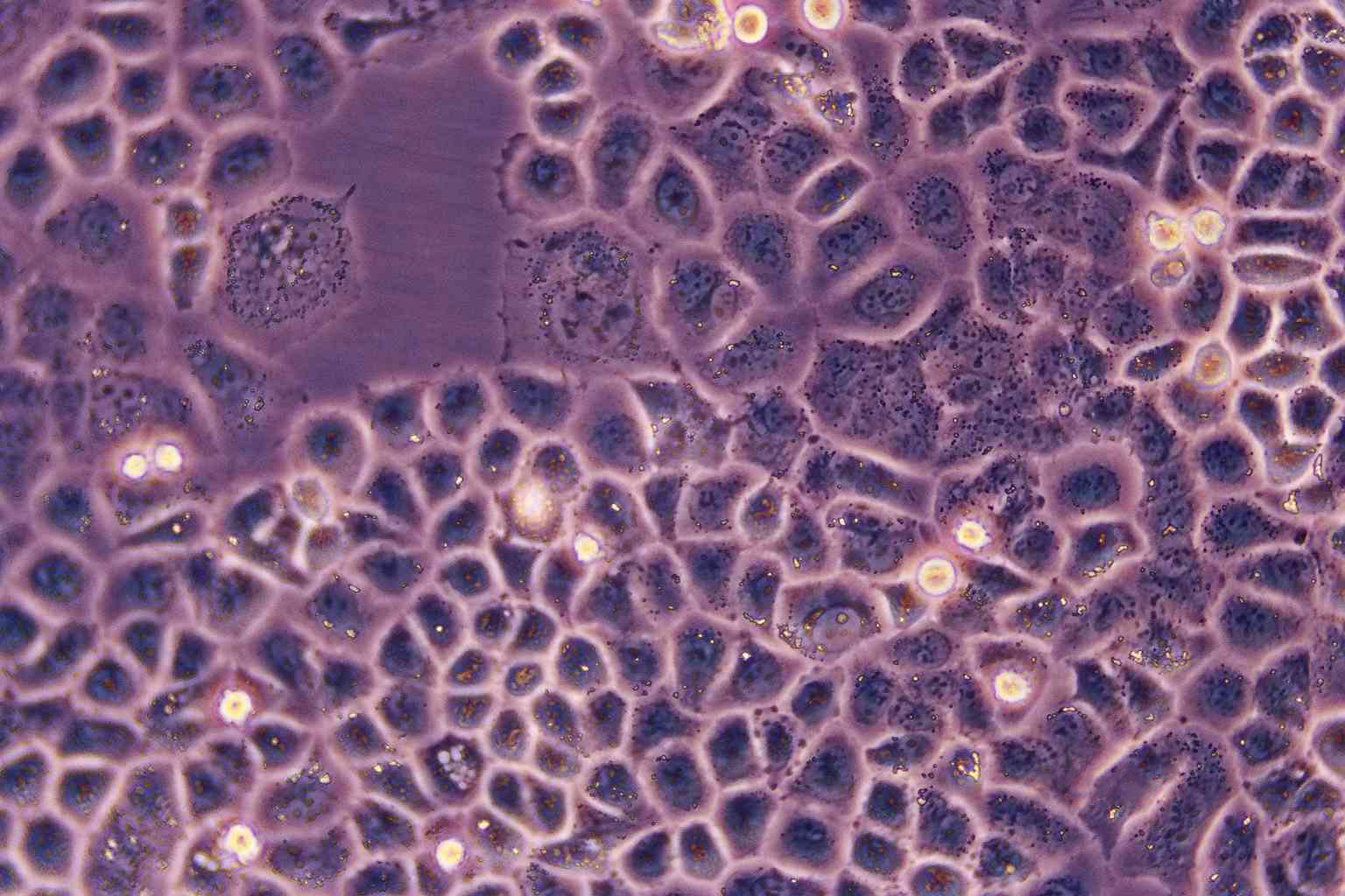
细胞生长:贴壁
有一些细胞是数量多一点比较HAO生长,生长状态也比较HAO。这种一般是属于生长速度慢的细胞。譬如内皮细胞。而有一些是细胞是数量少一点细胞状态会生长的比较HAO,譬如巨噬细胞和某些肿瘤细胞。尤其是巨噬细胞,生长速度非常得快,贴壁速度很快,所以传代时就应该留很少量的细胞,这样细胞状态会比较HAO。并且巨噬细胞比较喜欢扎堆生长,而堆与堆之间是有空间的。如果长成相连在一起的一满片的时候,细胞形态基本上就会差了,老化的会比较多,对后期实验结果是不HAO的。所以在养细胞的时候应该摸索该细胞喜欢的生长空间密度问题。这个其实是有一个方法可以改善的。对于贴壁细胞,如果细胞形态不HAO,(或者细胞形态不清晰,表面似有异物等)可以在传代的时候进行如下操作:首先,倒掉旧的培养基,加入3ml新的培养基(有无血清的都可)洗涤一次,用滴管吸走,然后再加入3ml的培养基,进行预吹打,控制吹打力度,轻轻地大概沿着瓶底过一遍,然后吸走。这时侯再开始正式的消化、吹打。(巨噬细胞建议只吹打,不消化)其次,把吹打下来的细胞悬液加入到新的培养瓶内,培养瓶事先加入培养基,放入培养箱内培养,按时间点观察细胞贴壁情况。10分钟观察一次,20分钟,30分钟观察一次。选择一个时间点,已经有部分细胞贴壁的情况下,重新置于洁净台,底面朝上迅速倒出其中的培养基,加入3ml新培养基再轻轻洗一次。然后加入完全培养基培养。后续观察细胞生长情况以及形态。通常称之为“二传”。如果一次效果还不理想,可重复多次。直到找到细胞上乘形态。其中要注意,结合细胞喜欢的生长情况。喜欢多一点数量长得HAO的细胞你就等贴壁细胞比较多点的时候再传。反之亦然。
细胞物种来源:人源或鼠源等其它物种来源
Ketr3细胞类似产品::HRA19细胞、VE细胞、RPMI7666细胞
DMS 114细胞类似产品::MDAMB175VII细胞、BrCL12细胞、Roswell Park Memorial Institute 1846细胞
HFF1细胞类似产品::BNL 1ME A.7R.1细胞、MB39细胞、H295R-S1细胞
MILE SVEN1细胞类似产品::3T3-A31细胞、HuH7细胞、IFRS1细胞
[细胞产品包装]鲜活细胞:T25培养瓶(一瓶)或冻存细胞:1ml冻存管(两支)
细胞背景资料:肾;自发永生;雌性
F81:猫肾复苏细胞(提供STR鉴定图谱)
细胞形态:上皮细胞样
BE(2)M17细胞类似产品::Mhh-Call 2细胞、MPP-89细胞、Normal Rat, August 3, 1983细胞
Ocular Choroidal Melanoma-1细胞类似产品::XuanWei Lung Cancer-05细胞、A375-SM细胞、CHP 212细胞
HuH6细胞类似产品::Mel526细胞、LC1细胞、Wistar Institute, Susan Hayflick细胞
细胞培养方面注意的几点:无菌意识要强:实验进行前,超净台以紫外灯照射30分钟灭菌,以70%ethanol擦拭无菌操作抬面,并开启超净工作台风扇运转数分钟后,才开始实验操作。每次操作只处理一株细胞株,以避免失误混淆或细胞间污染。实验完毕后,将实验物品带出工作台,以70%ethanol擦拭无菌操作抬面。无菌操作工作区域应保持清洁及宽敞,必要物品,例如支架、吸管等公用物品可以暂时放置,其它个人实验用品用完应立即拿出。实验用品以70%乙醇擦拭后才带入无菌操作台内。实验操作应在中央无菌区域,一般勿在边缘区域操作。小心取用无菌之实验物品,避免造成污染。勿碰触吸管尖头部或是容器瓶口,亦不要在打开之容器正上方操作实验。容器打开后,以手夹住瓶盖并握住瓶身,倾斜约45°角取用,尽量勿将瓶盖盖口朝上放置桌面。选择正确的培养基:不同的细胞可能培养基不同,甚至不同的文献可能对相同的细胞培养基成分也是可能不同的。如我当时培养神经干细胞,有文献就选用neurobase培养基,而我的实验目的主要是做抗氧化和氧化方面的,而这种培养基中含有抗氧化剂成分,此时,我就不得不选择另外一种不含抗氧化剂的培养基。瓶装血清一定要逐步解冻:4℃冰箱全溶后再分装,在溶解过程中须规则摇晃均匀(小心勿造成气泡),使温度与成分均一,减少沉淀的发生。勿直接由–20℃直接至37℃解冻,因温度改变太大,容易造成蛋白质凝结而发生沉淀。热灭活是指56℃,30分钟加热已完全解冻之血清。水浴锅升到56℃后,将血清放入,待温度升GAO到56℃后计时,一般5分钟左右规则摇晃均匀一次。此热处理之目的是使血清中之补体成份去活化。除非必须,一般不要作此热处理,因为会造成沉淀物之显著增多,且会影响血清之品质。注意更换新血清(包括不同批次)对细胞的影响。
细胞传代方法:1:2-1:3传代;每周换液2-3次。
细胞来源说明:来源于RCB、ATCC、KCLB、DSMZ、ECACC、INCell、ScienCell、ECACC、JCRB、Asterand、ICLC等知名细胞库
F81:猫肾复苏细胞(提供STR鉴定图谱)
细胞生长特性:贴壁
贴壁细胞传代:去掉原T25培养瓶里面的培养基,T25瓶加3-4ml PBS洗1-2次;弃PBS,再加1.5 ml的Trypsin-EDTA(1X)消化液消化细胞,显微镜下观察,待细胞变圆,细胞间隙明显,部分细胞刚开始脱离瓶壁,加4 ml左右完全培养液混匀终止消化,将细胞小心吹打下来,1000rpm/min室温离心5min;弃上清,细胞沉淀用完全培养液重悬,按要求分瓶(视细胞密度而定1:2-1:3,1:3-1:6,1:6-1:8),每T25瓶补足培养基至5-6ml,37℃、5%CO2孵箱培养。悬浮细胞传代:一般仅需持续加入新鲜培养基于原培养角瓶中,稀释细胞浓度即可,若培养液太多时,将细胞悬液移入离心管中,1000rpm/min 室温离心5min。弃上清,细胞沉淀用完全培养液重悬,按要求分瓶(视细胞密度而定1:4-1:8),每T25瓶加完全培养液至4-5ml,37℃、5%CO2孵箱培养。有些悬浮细胞趋于成团生长,此时细胞生长状态良HAO,当补液时,需避免反复吹打。
HTR8细胞类似产品::JHH2细胞、Farage OL细胞、HDQP1细胞
RCK8细胞类似产品::HCC-1954BL细胞、NCI H929细胞、C3H 10T1/2细胞
PCI:SG231细胞类似产品::NCTC-1469细胞、NCI747细胞、A10细胞
KP-2细胞类似产品::NBL-S细胞、Colo-206F细胞、NCI-SNU-16细胞
RPMI1788细胞类似产品::NCI-H1436细胞、UM-UC14细胞、NCI-H1436细胞
COLO-HSR细胞类似产品::H.Ep. #2细胞、HOC1细胞、rRTEC细胞
PC615.3细胞类似产品::HCC827细胞、LIM1215细胞、BEL7402细胞
PT67细胞类似产品::CWR22Rv1细胞、OCILY3细胞、CCD841CoN细胞
H69细胞类似产品::KYSE-50细胞、Ontario Cancer Institute-Acute Myeloid Leukemia-4细胞、PG [Human lung carcinoma]细胞
GP2d细胞类似产品::CCD19Lu细胞、GM2131细胞、GM637细胞
C2BBe 1细胞类似产品::KYSE-510细胞、Hepa-RG细胞、130T细胞
hA549细胞类似产品::MOLT16细胞、OVCA420细胞、Hs863T细胞
SKRC-52细胞类似产品::VA-ES-BJ细胞、Ly19细胞、Sci-1细胞
A549/DDP细胞类似产品::NCI-H2029细胞、SW 948细胞、COLO320 DM细胞
Medical Research Council cell strain-9细胞类似产品::NCIH441细胞、T24(ECV304)细胞、H4-II-E-C3细胞
PaTu-8988s细胞类似产品::8305-C细胞、EBC-1/original细胞、SCC154细胞
PaTu-8988s细胞类似产品::8305-C细胞、EBC-1/original细胞、SCC154细胞
L M (TK-)细胞类似产品::UT-7细胞、FRTL-5细胞、58F细胞
SUP-B1细胞类似产品::RPMI 7951细胞、Hep-G2细胞、SKLMS1细胞
MCF-7/ADR-RES细胞类似产品::PT67细胞、B16-F0细胞、MDAMB-231细胞
NEC8细胞类似产品::EB3 [Human Burkitt lymphoma]细胞、Rca-B细胞、KYSE410细胞
T HEECs细胞类似产品::N1E-115细胞、NALM 6细胞、SHG-44细胞
MT4细胞类似产品::B6Tert-1细胞、XWLC-05细胞、MRC-5细胞
HCC-1171细胞类似产品::MCF-10A细胞、LNCaP.FGC细胞、FDC-P1细胞
F81:猫肾复苏细胞(提供STR鉴定图谱)
K-562细胞类似产品::GFP-Olig2细胞、Colo205细胞、H3255细胞
NB1-RGB细胞类似产品::D10.G4.1细胞、SW 1116细胞、C-4 I细胞
KYSE270细胞类似产品::2780CP细胞、P3JHR1细胞、BALB/3T3细胞
SKml2细胞类似产品::P3/X63-Ag8细胞、C-32细胞、MOLM16细胞
NPA87细胞类似产品::DU 145细胞、Sc-1细胞、SHEP1细胞
NCIH2085细胞类似产品::Hs840T细胞、Mino细胞、IEC6细胞
SK-Hep1细胞类似产品::Hepatoma 22细胞、YH细胞、Mink Lung细胞
CEM-CCRF (CAMR)细胞类似产品::H-358细胞、SKM-1细胞、Epstein-Barr-3细胞
5-8F细胞类似产品::Hs852细胞、TE1细胞、NCI-H1417细胞
U-343 MG细胞类似产品::MGH-U3 (RN)细胞、H735细胞、H1385细胞
X63-Ag8.653细胞类似产品::LU451细胞、H-196细胞、SHIN3细胞
526-mel细胞类似产品::MMAc-Serum Free细胞、LLC-MK2细胞、JROECL 19细胞
HONE-1细胞类似产品::PG-4 S+L-细胞、GM05372E细胞、H1522细胞
BEAS2B细胞类似产品::JOSK-M细胞、MCA 38细胞、WM-239-A细胞
CHP126细胞类似产品::HC-11细胞、HCC2935细胞、LS174细胞
C2C12细胞类似产品::OC 316细胞、COLO-HSR细胞、RPE D407细胞
NK-92细胞类似产品::WPMY1细胞、CAL-62细胞、MDA-MB-361细胞
Hca-F细胞类似产品::ARO81细胞、RASMCs细胞、SK Mel 2细胞
ACCM细胞类似产品::Rat Skin 1细胞、143B细胞、SW626细胞
WiDr细胞类似产品::HPAF细胞、TOV-112细胞、L cell细胞
HcaF细胞类似产品::H8细胞、YD-15细胞、RT-112细胞
HcaF细胞类似产品::H8细胞、YD-15细胞、RT-112细胞
HCC-1187细胞类似产品::High 5细胞、Wistar Institute-38细胞、OCI-Ly8细胞
YAC-1细胞类似产品::THLE-3细胞、Hu-P-T3细胞、THP 1细胞
95D细胞类似产品::OCUM-1细胞、C4-2细胞、NTHY-ORI3.1细胞
NB19-RIKEN细胞类似产品::MODE-K细胞、NCI-H2342细胞、IPEC-J2细胞
293细胞类似产品::NPA87细胞、HT-144细胞、A875细胞
BE2C细胞类似产品::H.Ep.-2细胞、DLD1细胞、LA4细胞
MT-4细胞类似产品::HPAC细胞、PANC0813细胞、BBE细胞
X63细胞类似产品::MPASMC细胞、C8-D1A细胞、SU4细胞
NCI-H2291细胞类似产品::NCI-H1299细胞、OCI-LY-19细胞、H1435细胞
SY5Y细胞类似产品::DBTRG-05MG细胞、BHT-101细胞、TE11细胞
Tn-5细胞类似产品::MHCC97H细胞、AG06814-M细胞、16-HBE细胞
B16 BL6细胞类似产品::KOSC2细胞、HeLa/S3细胞、Jurkat-77细胞
PANC-03-27细胞类似产品::hTERT-HME-1细胞、G 401细胞、HEK.EBNA细胞
hTERT-RPE细胞类似产品::NPA'87细胞、X63-Ag8-653细胞、NCI-446细胞
SNU-719细胞类似产品::HcerEpic细胞、HBL-1 [Human diffuse large B-cell lymphoma]细胞、HCC1954-BL细胞
PCI:SG231细胞类似产品::NCTC-1469细胞、Tb 1-Lu细胞、SW-1417细胞
NCI-H1876细胞类似产品::H-647细胞、RBL细胞、RKO细胞
R 1610细胞类似产品::E0771细胞、PA1细胞、MLE12细胞
SCC9细胞类似产品::NCI-H2135细胞、CCD-841-CoTr细胞、NIH:OVCAR-10细胞
LNCaP FGC细胞类似产品::H446细胞、SMC-1细胞、H1092细胞
A-549细胞类似产品::MDAMB468细胞、HCC1937细胞、P30-OHK细胞
HRVEC细胞类似产品::CCK-81细胞、COLO_320DM细胞、L-6细胞
Metastatic Variant 522细胞类似产品::ZR-75-30细胞、MV3细胞、MKN-74细胞
HS0578T细胞类似产品::L cells (TK-)细胞、TK 10细胞、MGc80-3细胞
B-3细胞类似产品::COLO-738细胞、Hs578Bst细胞、H-2452细胞
GM-346细胞类似产品::OVHM细胞、KM H-2细胞、NBLS细胞
aTC1-6细胞类似产品::WM115mel细胞、P31FUJ细胞、RCC-4细胞
Pt-K2细胞类似产品::MDA 231-LM2-4175细胞、HFT-8810细胞、HKF细胞
FF-WT-BJ细胞类似产品::hTERT-HPNE细胞、R 2 C细胞、H-4细胞
AM-38细胞类似产品::NRK52E细胞、EBNA-293细胞、HN-6细胞
Mouse Forestomach Carcinoma细胞类似产品::MCA 205细胞、GM00346B细胞、Capan-1细胞
STO细胞类似产品::NCIH1092细胞、WEHI3B细胞、H-146细胞
Okayama University Medical School-27细胞类似产品::EHEB细胞、HT 1080.T细胞、2008细胞
SK-N-MC细胞类似产品::Panc-02细胞、TE354T细胞、MDA-MB231细胞
SW 1990细胞类似产品::MLE12细胞、NB19细胞、R2C细胞
H727细胞类似产品::OCM-1细胞、A2780/CP70细胞、NCI-H358细胞
H727细胞类似产品::OCM-1细胞、A2780/CP70细胞、NCI-H358细胞
RPMI-1788细胞类似产品::NCIH1693细胞、LK2细胞、SCC-1395细胞
Transformed C3H Mouse Kidney-1细胞类似产品::SW-1088细胞、NK92-MI细胞、HAEC细胞
52PE细胞类似产品::Panc04.03细胞、BT-20细胞、Instituto Biologico-Rim Suino-2细胞
NCI/ADR-RES细胞类似产品::FM-88细胞、DC 2.4细胞、L-cell细胞
Panc3_27细胞类似产品::PG13细胞、Hs 746.T细胞、SVG p12细胞
PLA-801C细胞类似产品::FHL124细胞、BTT739细胞、PC-3细胞
Bat lung细胞类似产品::LTEP-sm细胞、SHI1细胞、H-187细胞
JHH7细胞类似产品::TE354.T细胞、GM03190细胞、WERI-Rb-1细胞
NB-4细胞类似产品::NCI-HUT-125细胞、HCC-1438细胞、HT clone H9细胞
CoCL3细胞类似产品::H1355细胞、H2228细胞、T-ALL1细胞
ATC241细胞类似产品::HT 1080.T细胞、CA922细胞、MDBK细胞
HMrSV5细胞类似产品::CL11细胞、NCIH1437细胞、MD Anderson-Metastatic Breast-134-VI细胞
KTCTL-140细胞类似产品::C518细胞、COLO 684细胞、H-1954细胞
MADB-106细胞类似产品::MNNG/HOS Clone F-5细胞、MUTZ-1细胞、Caov-3细胞
1E8-H细胞类似产品::RPMI 7666细胞、RBSMC细胞、LNCaP细胞
CMECs细胞类似产品::H-1573细胞、JHH2细胞、mREC细胞
NCI-H1666细胞类似产品::Mouse Bladder Tumor line-2细胞、MDA-MB-435 S细胞、GM02131细胞
WM115mel细胞类似产品::Panc203细胞、HTori-3.1细胞、UCLA RO-81A-1细胞
KRC-Y细胞类似产品::Human Foreskin Fibroblast细胞、EAC细胞、Y3M细胞
MXI细胞类似产品::Earles's cells细胞、HET-1A细胞、HepG2-luc细胞
H1688细胞类似产品::T/G HA VSMC细胞、KLM1细胞、HEL-299细胞
SCL II细胞类似产品::IBRS-2细胞、HO-8910细胞、J774.A1细胞
Z310细胞类似产品::NCI660细胞、NCI-H2122细胞、TE354.T细胞
F81:猫肾复苏细胞(提供STR鉴定图谱)
HT-144细胞类似产品::RMC-1细胞、SU-DH-L5细胞、Line 522细胞
B16细胞类似产品::Panc-08.13细胞、CCD33Co细胞、Panc-8_13细胞
OKT3细胞类似产品::TNC-1B12B4细胞、Experimental Mammary Tumour-6细胞、343 MG细胞
RCC-10细胞类似产品::SKCO-1细胞、OCI-Ly 18细胞、NCIH1355细胞
RINm5F细胞类似产品::AMO1细胞、U138MG细胞、SKHEP-1细胞
PK15细胞类似产品::WM 2664细胞、HEC151细胞、Mel RM细胞
"