基本信息 产品详情 公司简介 推荐产品
网站主页 化工产品目录 生物 细胞培养 细胞系 人细胞系 EBC-1 人肺鳞癌细胞系 EBC-1:人肺鳞癌复苏细胞(提供STR鉴定图谱)
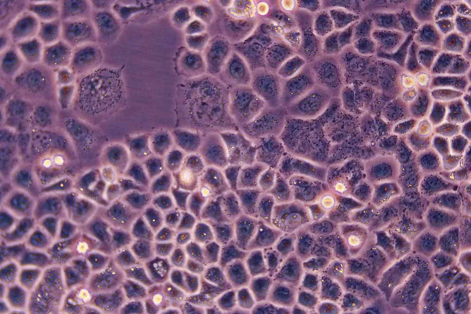
  • EBC-1:人肺鳞癌复苏细胞(提供STR鉴定图谱)

EBC-1:人肺鳞癌复苏细胞(提供STR鉴定图谱)

EBC-1
询价 1000000细胞数 起订
2000000细胞数 起订
上海 更新日期:2026-04-21

上海冠导生物工程有限公司

VIP6年
联系人:全经理
电话:18818239863拨打
邮箱:3171921642@qq.com

产品详情:

中文名称:
EBC-1:人肺鳞癌复苏细胞(提供STR鉴定图谱)
英文名称:
EBC-1
保存条件:
常温培养或液氮冻存
纯度规格:
EBC-1:人肺鳞癌复苏细胞(提供STR鉴定图谱)
产品类别:
生物试剂

"EBC-1:人肺鳞癌复苏细胞(提供STR鉴定图谱)

细胞生长:贴壁

贴壁细胞冻存注意事项:细胞冻存液需提前配制,不可直接将DMSO加入细胞悬液中;不同细胞消化时间有差异,以实际镜检结果为准,大部分细胞回缩变圆并有少量细胞脱落即可中止消化,消化时间不宜过长;应选择汇合度80%-90%左右,细胞处于对数生长期时进行冻存操作,确保细胞冻存时状态Zui佳,冻存密度可根据细胞性进行调整;冻存细胞保存温度应低于-130℃,不可在-80℃长期保存。贴壁细胞冻存操作步骤:从培养箱中取出准备冻存的细胞;显微镜下观察细胞状态并拍照记录;酒精消毒培养瓶后放入安全柜中;吸去多余的培养基,加人2~3ml(PBS缓冲液)润洗一次;加入1ml胰酶,放入37℃消化;消化1min左右,在显微镜下观察细胞消化情况;消化完全后,加3ml完全培养基终止;将细胞悬液移入15ml离心管中离心,1000rpm/min(约200g)离心3-5min;吸去多余的液体,向细胞沉淀中加入适量的冻存液,轻轻吸打混匀;按比例分装至冻存管中;贴HAO标签后放入梯度冻存盒中;将冻存盒放入-80℃,降温过夜后,移入液氮中保存。贴壁细胞冻存实验准备事项:将15mL离心管、冻存管、PBS缓冲液、移液管、电动移液器等物品提前放入生物安全柜中,紫外照射30min消毒灭菌;细胞完全培养基、0.25%胰酶-0.02%EDTA、细胞冻存液等从4℃冰箱中取出后,复温至室温,备用;程序降温盒复温至室温备用。

细胞物种来源:人源或鼠源等其它物种来源

H-1838细胞类似产品::SVG p12细胞、H1734细胞、WM-239A细胞

Hs739T细胞类似产品::OCI-Ly 7细胞、B-cell with DC Morphology细胞、H-2171细胞

IMR90细胞类似产品::Natural Killer-92细胞、Line 522细胞、COLO684细胞

MG-63细胞类似产品::TEV-1细胞、NRK-52E细胞、FK81细胞

[细胞产品包装]鲜活细胞:T25培养瓶(一瓶)或冻存细胞:1ml冻存管(两支)

细胞背景资料:肺鳞癌;皮肤转移;男性

EBC-1:人肺鳞癌复苏细胞(提供STR鉴定图谱)

细胞形态:上皮细胞样

University of Michigan-Urothelial Carcinoma-1细胞类似产品::A 375细胞、RLE-6TN细胞、NCM-460细胞

Cor L51细胞类似产品::NU-GC-3细胞、8305C细胞、MeSoTheliOma-211H细胞

MDA-MB-415细胞类似产品::NCI.H23细胞、QSG7701细胞、H-1930细胞

细胞培养实验基本操作:①进无菌室前要彻底洗手,按规定穿隔离衣。开始操作前要用75%酒精棉球擦手、擦瓶口和烧灼瓶口。②操作者动作要轻,安装吸管帽、打开或封闭瓶口等操作应在火焰近处并经过烧灼进行。但要注意,金属器械不能在火焰中长时间烧灼,以防退火;烧过的器械要冷却后才能使用;已吸过培养液的吸管不能再用火焰烧灼,因残留在吸管内的培养液成分如蛋白质等烧焦后会产生有害物质,吸管再用时会将其带到培养液中;胶塞、橡皮乳头及塑料的细胞培养用品过火焰是也不能时间太长,以免烧焦产生有毒气体,危害培养细胞,同时塑料细胞培养用品也会产生变形影响使用。③使用培养液前不宜过早开瓶,开瓶后的培养液应保持斜位,避免直立,以防止下落细菌的污染。不再使用的培养液应立即封闭瓶口,培养的细胞在处理之前勿过早暴露在空气中。④操作时尽量不要谈话,咳嗽以防止来自唾沫和呼出的气流所造成的污染。⑤吸取培养液、细胞悬液时,应专管专用,一旦发现吸管口接触了手和其他污染物品应弃去,以防止污染扩大或造成培养物之间的交叉污染。⑥操作完毕后应整理HAO工作台面,用消毒水浸泡的纱布擦拭台面;防止细胞交叉污染:所有从别处转来的或是自己所建的细胞系都要早期留有的充足的冻存储备,一旦怀疑发生交叉污染,可做细胞遗传学方面的鉴定,如发现原有的细胞遗传物发生改变,可以复苏早期冻存的细胞使用。重要细胞系的传代工作应由两人独立进行;无菌室的彻底消毒①新洁尔灭全面彻底擦洗无菌室。使用前应稀释即配即用。新洁尔灭和酒精相比,Zui大的YOU点是便宜,而且可以稀释50倍用,而同样量的酒精价格可能是新洁尔灭的几十倍。②甲醛熏蒸法:甲醛是一种广谱灭菌剂菌,其水溶液和气体对各种细菌、芽孢及真菌等微生物均有杀灭作用。甲醛价廉,熏蒸消毒时不损坏衣服、家具、皮革、橡胶等。市售的甲醛水溶液中一般含37-40%的甲醛。

细胞传代方法:1:2-1:3传代;每周换液2-3次。

细胞来源说明:来源于RCB、ATCC、KCLB、DSMZ、ECACC、INCell、ScienCell、ECACC、JCRB、Asterand、ICLC等知名细胞库

EBC-1:人肺鳞癌复苏细胞(提供STR鉴定图谱)

细胞生长特性:贴壁

一般使用trypsin-EDTA 浓度为0.25%trypsin-0.53mM EDTA.2Na或0.05%trypsin-0.02mM EDTA.2Na。消化液浓度过GAO时,易造成培养基中细胞碎片增多,黑渣子增多,常规细胞传代时建议用0.05%的胰酶进行消化,对于难消化的细胞可采用0.25%胰酶进行消化,细胞密度过GAO超过80%时,采用分步消化法。胰酶储存在-20°C,解冻在4°C进行,次开瓶后应立即少量分装于无菌试管中,保存于-20°C,避免反复冷冻解冻造成trypsin之活性降低,并可减少污染之机会。胰酶消化的程度是细胞培养中的一个关键步骤:消化过度细胞碎片增多,黑渣子增多,细胞会成片脱落,严重影响细胞活性,并有部分细胞漂浮,随弃去的胰酶流失;消化不足则细胞难于从瓶壁上吹下,反复吹打同样也会损伤细胞活性。不同细胞对消化液的敏感性不同,胰酶消化的时间也会有差异。胰酶消化时间与胰酶的浓度,是否含EDTA,胰酶的储存时间,胰酶的储存温度,是否反复冻融,消化加入的胰酶体积,消化温度及细胞的密度有关。对于新购买的细胞,建议客户先用低浓度的胰酶仔细去摸索一下消化时间,可每隔1分钟镜下观察细胞是否变圆,记录Zui佳消化时间,下一次操作参考之前的记录来控制时间即可。

HEK293细胞类似产品::U-343-MG细胞、HIMEC细胞、Murine Carcinoma-38细胞

TFK1细胞类似产品::ID8细胞、H520细胞、HCC1143细胞

LTEP-a2细胞类似产品::S37细胞、Intestinal Porcine Epithelial Cell line-1细胞、WRL68细胞

ECC 12细胞类似产品::GC-2细胞、J774细胞、3T3 J2细胞

H446细胞类似产品::SUIT 2细胞、OV-CA 432细胞、SF 767细胞

SK-RC-52细胞类似产品::SC细胞、H4IIE细胞、HT 1080.T细胞

PCI:SG231细胞类似产品::NCTC-1469细胞、NCI747细胞、A10细胞

KE37细胞类似产品::H2107细胞、J111细胞、M14细胞

RTMC细胞类似产品::PL 45细胞、J-111细胞、KMH-2细胞

High5细胞类似产品::C2BBe 1细胞、Kit225 K6细胞、BrCL15细胞

OCI AML4细胞类似产品::CCRF细胞、H-1770细胞、T-HEECs细胞

NCIH2347细胞类似产品::SW-48细胞、MFE296细胞、KOPN8细胞

Tb1Lu细胞类似产品::J-774细胞、SUM-52细胞、BE(2)C细胞

138 MG细胞类似产品::HCC-9724细胞、A-204细胞、C2BBe1细胞

NCI-H1694细胞类似产品::H1048细胞、OKAC1细胞、NCI-H441细胞

B-104细胞类似产品::COLO-320DM细胞、SaOS细胞、RMS 13细胞

B-104细胞类似产品::COLO-320DM细胞、SaOS细胞、RMS 13细胞

DI TNC1细胞类似产品::H-2172细胞、HREC细胞、ATDC5细胞

451Lu细胞类似产品::NS1-1 Ag4.1细胞、RPMI No. 1846细胞、HCa/16A3-F细胞

MH7A细胞类似产品::HOK细胞、BHP-10细胞、H1793细胞

Tu177细胞类似产品::CMT64细胞、Mhh-Call 2细胞、HPDE细胞

SW 1573细胞类似产品::Sp 2817细胞、CBRH7919细胞、MDA231细胞

HH [Human lymphoma]细胞类似产品::NCIH1184细胞、H-1882细胞、C2A细胞

NCIH1618细胞类似产品::CFSC-2G细胞、LAN1细胞、KP-N-YN细胞

EBC-1:人肺鳞癌复苏细胞(提供STR鉴定图谱)

MIN-6细胞类似产品::SCC090细胞、DCS细胞、Caov-4细胞

H-1819细胞类似产品::5637细胞、SKNDZ细胞、OCI-Ly3细胞

CHL-11细胞类似产品::U373 MG细胞、Chang Cells细胞、HC11 Mammary Epithelium细胞

Normal Rat Kidney-52E细胞类似产品::U-138-MG细胞、MDA-MB157细胞、Wayne State University-Head and Neck 13细胞

SCI1细胞类似产品::HC11 Mammary Epithelium细胞、SK-NSH细胞、PIGI细胞

B16F10细胞类似产品::CFPAC细胞、SupB15WT细胞、NB1RGB细胞

H6c7细胞类似产品::Y-1细胞、253JB-V细胞、LL/2细胞

TOG细胞类似产品::Human Epidermoid carcinoma #2细胞、H441细胞、CCRF-SB细胞

AM细胞类似产品::HFLS-RA细胞、GLC-15细胞、HO1N1细胞

Tu177细胞类似产品::CMT64细胞、Mhh-Call 2细胞、HPDE细胞

G422细胞类似产品::SKGT2细胞、B16F1细胞、H-2170细胞

BGC-823细胞类似产品::Pa17C细胞、7404细胞、H-2106细胞

Madin Darby Bovine Kidney细胞类似产品::LU65细胞、JB6 [Mouse]细胞、H1623细胞

RPMI 8226细胞类似产品::LLC1细胞、A204细胞、Intestinal Epithelioid Cell line No. 18细胞

COLO 320 DM细胞类似产品::HT 1197.T细胞、WPMY1细胞、SK-MEL-2-LUC细胞

NUGC-3细胞类似产品::H-735细胞、MOLT 16细胞、HTR-8/SV neo细胞

OCI Ly3细胞类似产品::Tokyo Medical and Dental university 8细胞、MDAMB436细胞、CESS细胞

T/GHA-VSMC细胞类似产品::SGC-7901细胞、NCIH441细胞、KOSC2细胞

MD Anderson-Metastatic Breast-468细胞类似产品::YH-13细胞、SLK细胞、NCIH1869细胞

TE12细胞类似产品::UMNSAH/DF#1细胞、Rat podocyte细胞、OCI-Ly 1细胞

COS1细胞类似产品::Pa14C细胞、H-1373细胞、YT细胞

Melanoma 14细胞类似产品::T. T细胞、NSC-34细胞、OVCAR5细胞

Sp 2/0-Ag 14细胞类似产品::SHP77细胞、MC3T3E1细胞、MX1细胞

Emory University-3细胞类似产品::NCI747细胞、CHP100细胞、Capan-2细胞

COLO 741细胞类似产品::NCI-H820细胞、hs 68细胞、LA-795细胞

WiDrTC细胞类似产品::SNU-251细胞、H-1954细胞、CHO-K1细胞

DSL-6A-C1细胞类似产品::HTh 74细胞、SW-1271细胞、HMEC细胞

COLO320-DM细胞类似产品::HuO9细胞、RBMEC细胞、Cloudman S91 melanoma clone M-3细胞

GS-9L细胞类似产品::BC-028细胞、Neukoplast细胞、OAW42细胞

BBE细胞类似产品::Kupffer细胞、Y1细胞、HuCCT-1细胞

SKNEP-1细胞类似产品::HuLEC-5a细胞、KM-12细胞、786-O细胞

MDA.MB.231细胞类似产品::PANC 203细胞、VP267细胞、KY70细胞

PCI-4B细胞类似产品::GDM-1细胞、NUGC4细胞、HUT125细胞

NHLF细胞类似产品::149PT细胞、A-1847细胞、Anglne细胞

HL7702细胞类似产品::HPAFII细胞、MCAEC细胞、H-1373细胞

hRPTC细胞类似产品::PANC0504细胞、P30-OHKUBO细胞、KY180细胞

no.11细胞类似产品::HCE-2 [50.B1]细胞、DoTc2 4510细胞、OC 316细胞

LTEP-a2细胞类似产品::S37细胞、HPMEC细胞、GM07404细胞

SMMC7721细胞类似产品::CTLA4Ig-24细胞、C-6细胞、GM07404细胞

IMR-90细胞类似产品::LC1细胞、WILL2细胞、MIN6细胞

EC-GI-10细胞类似产品::KYSE-180细胞、NOR10细胞、P31FUJ细胞

CCRF-CEM细胞类似产品::SNU-601细胞、ZR-75-1细胞、OCLY8细胞

MDBK (NBL-1)细胞类似产品::H378细胞、RIN-m细胞、COR-L23/P细胞

H-295R细胞类似产品::SNU-182细胞、HCMEC细胞、UCH1细胞

Mc Coy细胞类似产品::FHs74 Int细胞、526细胞、KASUMI1细胞

PC-12细胞类似产品::SW-13细胞、P3X63NS1细胞、KM933细胞

MRC-9细胞类似产品::NCIH1155细胞、Hep-3B细胞、SNU-C2A细胞

MDA-MB-436细胞类似产品::CCRF/CEM/0细胞、MRASMC细胞、SCC090细胞

WI38细胞类似产品::NCIH748细胞、WC00059细胞、CCRF/CEM-C7细胞

HT 1197.T细胞类似产品::RBSMC细胞、RMS 13细胞、KNS-42细胞

C6661细胞类似产品::MOLP-8细胞、THLE-3细胞、NS1细胞

HK2细胞类似产品::OCI-Ly 10细胞、2E8细胞、H-4-II-E细胞

COLO 205细胞类似产品::H4-II-E细胞、SUM 102PT细胞、COLO_320DM细胞

HNTEC细胞类似产品::MES-SA细胞、NRK clone 52E细胞、MCM细胞

Caov-3细胞类似产品::BLO 11细胞、LUDLU 1细胞、SUM-52细胞

CV-1 in Origin Simian-7细胞类似产品::MCF-7/ADR细胞、U937细胞、Vero C1008细胞

MHH-CALL-2细胞类似产品::HIEC细胞、KYSE 270细胞、OCI/AML-3细胞

H526细胞类似产品::PLCPRF5细胞、HMy2.CIR细胞、GTL-16细胞

H526细胞类似产品::PLCPRF5细胞、HMy2.CIR细胞、GTL-16细胞

GT38细胞类似产品::TOG细胞、CoCL3细胞、Mv 1 Lu细胞

FHs 74 Int细胞类似产品::KPL1细胞、H-510细胞、HEC-251细胞

PLB 985细胞类似产品::SHI1细胞、OEC33细胞、FRH-0201细胞

H1930细胞类似产品::NB.4细胞、HPBALL细胞、HuTu 80细胞

PLMVEC细胞类似产品::JB6 clone 30, subclone 7b细胞、HTh-74细胞、L(TK-)细胞

HEK 293-EBNA细胞类似产品::HIT clone T15细胞、NCIH211细胞、SUM-52-PE细胞

NCI-H1793细胞类似产品::Sol8细胞、Colo-678细胞、H-2135细胞

PLB 985细胞类似产品::SHI1细胞、OEC33细胞、FRH-0201细胞

RPMI7666细胞类似产品::MFD-1细胞、EFM192C细胞、Panc_05_04细胞

RPE1细胞类似产品::WM 266-4细胞、H-2195细胞、CCD-112 CoN细胞

PLC PRF 5细胞类似产品::RLE-6TN细胞、U-2932细胞、DMS-53细胞

Buffalo Rat Liver-3A细胞类似产品::VMRCLCD细胞、Hs940.T细胞、Verda reno细胞

NCI-HUT-460细胞类似产品::TR-146细胞、ECV 304细胞、H-1869细胞

J82细胞类似产品::Y1细胞、SW-480细胞、CAKI 1细胞

Kit 225 K6细胞类似产品::H-1385细胞、251 MG细胞、VMM5细胞

MES-23.5细胞类似产品::P3J.HR1K细胞、TMD-8细胞、RT4细胞

UWB1289细胞类似产品::A 2780 CP细胞、Panc_05_04细胞、NCIH2081细胞

Tokyo Medical and Dental university 8细胞类似产品::CEK细胞、HB 611细胞、FLC-7细胞

WPMY-1细胞类似产品::8226细胞、K7M2-WT细胞、VM Cub 1细胞

ML-2细胞类似产品::CAMA细胞、H2452细胞、NCIH508细胞

MDCC-MSB1细胞类似产品::GA10细胞、CHO Lec1细胞、KE-37细胞

HGBEC细胞类似产品::BEAS-2B细胞、MGH-U1 (EJ)细胞、LNCaP C4-2B细胞

H-35细胞类似产品::KP 4细胞、SUDHL2细胞、BSC1细胞

EBC-1:人肺鳞癌复苏细胞(提供STR鉴定图谱)

HCT8细胞类似产品::P3 NS1 Ag4细胞、G361mel细胞、MDA MB231细胞

HCO细胞类似产品::SNU368细胞、Wien 133细胞、SJSA-1细胞

HCC0078细胞类似产品::HT144细胞、OVCAR-4细胞、HRCEC细胞

OSRC2细胞类似产品::GL261细胞、Hep 3B2.1-7细胞、CA-OV-3细胞

TU 686细胞类似产品::NF639细胞、KOPN8细胞、N-Tera-2细胞

SK RC 52细胞类似产品::RCC-10细胞、NCI-BL2141细胞、H-322细胞

"



EBC-1:人肺鳞癌复苏细胞(提供STR;

公司简介

上海冠导生物工程有限公司,先后从ATCC、DSMZ、ECACC、RIKEN、PromoCell、ScienCell、JCRB等国内外细胞库引进细胞2000余株。以此为契机,公司组建了冠导细胞库,我司细胞均由资深细胞培养工程师进行培养。我司可以提供的细胞有:①细胞系②原代细胞③稳转株④耐药株⑤标记细胞⑥细胞配套试剂等。

成立日期 (11年)
注册资本 100万(元)
员工人数 50-100人
年营业额 ¥ 1000万-5000万
经营模式 工厂,试剂,定制,服务
主营行业 细胞培养,微生物学,细胞生物学

EBC-1:人肺鳞癌复苏细胞(提供STR鉴定图谱)相关厂家报价

内容声明
拨打电话 立即询价