基本信息 产品详情 公司简介 推荐产品
网站主页 化工产品目录 生物 细胞培养 细胞系 小鼠细胞系 L-M(TK-) CELLS|小鼠结缔组织贴壁细胞 L-M(TK-) Cells|小鼠结缔组织克隆细胞(包送STR鉴定报告)
  • L-M(TK-) Cells|小鼠结缔组织克隆细胞(包送STR鉴定报告)

L-M(TK-) Cells|小鼠结缔组织克隆细胞(包送STR鉴定报告)

L-M(TK-) Cells
询价 1000000细胞数 起订
2000000细胞数 起订
上海 更新日期:2026-04-23

上海冠导生物工程有限公司

VIP6年
联系人:全经理
电话:18818239863拨打
邮箱:3171921642@qq.com

产品详情:

中文名称:
L-M(TK-) Cells|小鼠结缔组织克隆细胞(包送STR鉴定报告)
英文名称:
L-M(TK-) Cells
保存条件:
常温培养或液氮冻存
纯度规格:
L-M(TK-) Cells|小鼠结缔组织克隆细胞(包送STR鉴定报告)
产品类别:
生化试剂

"L-M(TK-) Cells|小鼠结缔组织克隆细胞(包送STR鉴定报告)

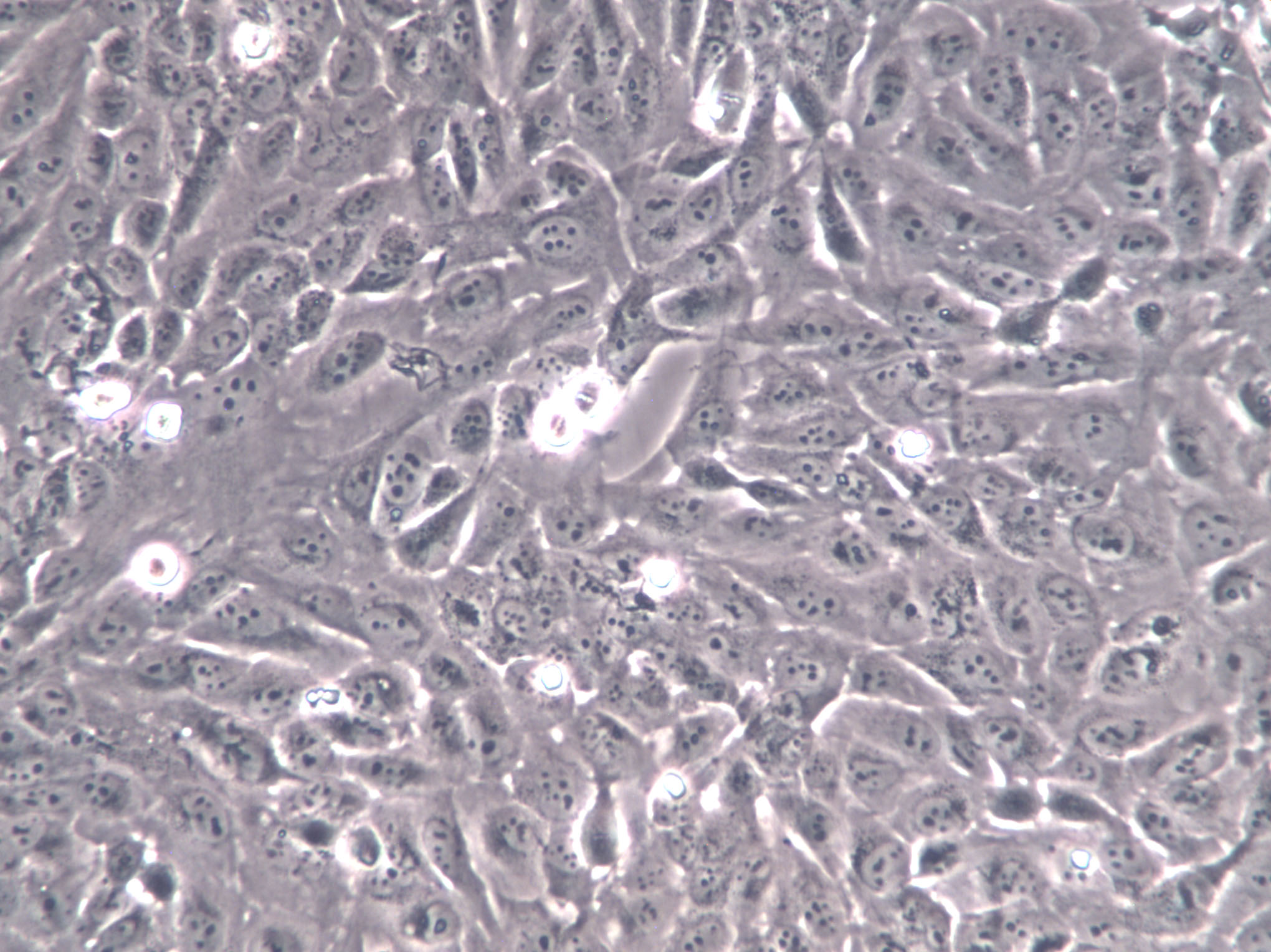
细胞形态:上皮细胞样

细胞生长:贴壁

原理:细胞在培养瓶长成致密单层后,已基本上饱和,为使细胞能继续生长,同时也将细胞数量扩大,就必须进行传代(再培养)。传代培养也是一种将细胞种保存下去的方法。同时也是利用培养细胞进行各种实验的必经过程。悬浮型细胞直接分瓶就可以,而贴壁细胞需经消化后才能分瓶。试剂:0.25%胰酶、1640培养基(含10%小牛血清);仪器和器材:倒置显微镜,培养箱、培养瓶、吸管、废液缸等;操作步骤:吸除培养瓶内旧培养液。向瓶内加入胰蛋白酶和EDTA混合液少许,以能覆满瓶底为限。置温箱中2-5分钟,当发现细胞质回缩,细胞间隙增大后,立即终止消化。吸除消化液,向瓶内注入Hanks液数毫升,轻轻转动培养瓶,把残余消化液冲掉。注意加Hanks液冲洗细胞时,动作要轻,以免把已松动的细胞冲掉流失,如用胰蛋白酶液单独消化,吸除胰蛋白酶液后,可不用Hanks液冲洗,直接加入培养液。用吸管吸取营养液轻轻反复吹打瓶壁细胞,使之从瓶壁脱离形成细胞悬液。计数板计数后,把细胞悬液分成等份分装入数个培养瓶中,置温箱中培养。无菌操作注意事项:操作前要洗手,进入超净台后手要用75%酒精或0.2%新洁尔灭擦试。试剂等瓶口也要擦试。点燃酒精灯,操作在火焰附近进行,耐热物品要经常在火焰上烧灼,金属器械烧灼时间不能太长,以免退火,并冷却后才能夹取组织,吸取过营养液的用具不能再烧灼,以免烧焦形成碳膜。操作动作要准确敏捷,但又不能太快,以防空气流动,增加污染机会。不能用手触已消毒器皿的工作部分,工作台面上用品要布局合理。瓶子开口后要尽量保持45℃斜位。吸溶液的吸管等不能混用。

CD 18Cells;细胞背景资料:详见相关文献介绍;细胞传代方法:1:2传代;细胞生长特性:贴壁生长;细胞形态特性:详见细胞说明书;相关细胞有:KU1919Cells、Earle's L cellsCells、HR-8348细胞

Sp 2817Cells;细胞背景资料:前列腺癌;左锁骨上淋巴结转移;男性;细胞传代方法:1:2-1:3传代;每周换液2-3次。;细胞生长特性:贴壁;细胞形态特性:详见细胞说明书;相关细胞有:RPMI1846Cells、OUMS27Cells、NCI-BL6细胞

WRL 68Cells;细胞背景资料:胚胎;肝Cells;细胞传代方法:1:2-1:3传代;每周换液2-3次。;细胞生长特性:贴壁;细胞形态特性:详见细胞说明书;相关细胞有:RAT2Cells、LIXC002Cells、U 138 MG细胞

CTLL2Cells;细胞背景资料:该细胞是源自C57BL/6的细胞毒性的T淋巴细胞。其生长以来IL-2。;细胞传代方法:1:2传代;细胞生长特性:悬浮生长;细胞形态特性:详见细胞说明书;相关细胞有:HeLa-S3Cells、CCRF SBCells、NCI-H125细胞

细胞物种来源:人源或鼠源等其它物种来源

L-M(TK-) Cells|小鼠结缔组织克隆细胞(包送STR鉴定报告)

[细胞产品包装]鲜活细胞:T25培养瓶(一瓶)或冻存细胞:1ml冻存管(两支)

悬浮细胞成簇,可能原因:培养液中含钙、镁离子;支原体污染;蛋白酶过度消化使得细胞裂解;DNA污染;解决方法:用无钙镁平衡盐溶液洗涤细胞,轻巧吹吸细胞获得单细胞悬液;分离培养物,检测支原体;用DNaseI处理细胞;培养细胞生长缓慢;可能原因:由于更换不同培养液或血清;培养液中一些细胞生长必需成分如谷氨酰胺或生长因子耗尽或缺乏或已被破坏;培养物中有少量细菌或真菌污染;试剂保存不当;接种细胞起始浓度太低;细胞已老化;支原体污染;解决方法:比较新培养液与原培养液成分,比较新血清与旧血清支持细胞生长实验,让细胞逐渐适应新培养液;换入新鲜配置培养液,或补加谷氨酰胺及生长因子;用无抗生素培养液培养,如发现污染,丢弃培养物;血清需保存在-10到-20℃。培养液需在2-8℃避光保存。含血清完全培养液在2-8℃保存,需在1周内用完;增加接种细胞起始浓度;换用新的保种细胞;分离培养物,检测支原体。清洁支架和培养箱。如发现支原体污染,丢弃培养物。

细胞背景资料:详见相关文献介绍

HuT-78Cells;细胞背景资料:皮肤;T淋巴瘤;男性;细胞传代方法:1:2-1:3传代;每周换液2-3次。;细胞生长特性:悬浮;细胞形态特性:详见细胞说明书;相关细胞有:LLC-PK1Cells、University of Arizona Cell Culture-812Cells、LS-513细胞

GM15452Cells;细胞背景资料:1957年,PuckTT从成年中国仓鼠卵巢的活检组织建立了CHO细胞,CHO-K1是CHO的一个亚克隆。CHO-K1的生长需要脯酸。;细胞传代方法:1:2传代;细胞生长特性:贴壁生长;细胞形态特性:上皮样;相关细胞有:Hs 343.TCells、Human Hepatocyte Line 5Cells、COLO 320细胞

MV411Cells;细胞背景资料:详见相关文献介绍;细胞传代方法:1:2-1:3传代;每周换液2-3次。;细胞生长特性:贴壁或悬浮,详见细胞说明书部分;细胞形态特性:详见细胞说明书;相关细胞有:SCC7Cells、Transformed C3H Mouse Kidney-1Cells、PFSK细胞

343MGCells;细胞背景资料:详见相关文献介绍;细胞传代方法:1:2传代;细胞生长特性:贴壁生长 ;细胞形态特性:详见细胞说明书;相关细胞有:Fox/NYCells、ECC-12Cells、BCP-1细胞

细胞传代方法:1:2-1:3传代;每周换液2-3次。

L-M(TK-) Cells|小鼠结缔组织克隆细胞(包送STR鉴定报告)

细胞来源说明:来源于RCB、ATCC、KCLB、DSMZ、ECACC、INCell、ScienCell、ECACC、JCRB、Asterand、ICLC等知名细胞库

原代细胞与细胞系有什么区别?细胞培养物来源于原代外植体或分散的细胞悬液。通常在这样的培养物中细胞增殖形成汇合地单层细胞或密集地细胞悬液。根据传统定义,次收获和接种的细胞被称为原代细胞[Freshney, R.I. (1987). Culture of Animal Cells. A Manual of Basic Technique. (New York, Alan R. Liss, Inc.)].这类细胞生命周期有限,在有限的生命周期内需掌握HAO细胞大的生长空间,以保持细胞群中基因型和表型的一致性。细胞系是不断生长,分化的细胞群,因其经过遗传改造,致使其具有无限增长的潜能。体外生长的细胞系用于医疗或科研。实际上,连续细胞系可以用大量次培养基培养,随着代数的增加细胞的基因型和表型都有可能发生改变。需要指出的是,在不同的科研小组中这些术语的定义会有所不同。许多研究员不用细胞系这个词表示细胞群除非细胞经过了遗传改造。

细胞生长特性:贴壁或悬浮,详见细胞说明书部分

细胞培养中的污染分为两类,化学污染和生物污染;生物污染包括比较容易发现的细菌、霉菌和酵母的污染,和较难发现的病毒、支原体和其他细胞的污染。细菌、霉菌和酵母到处存在,它们能在合适的环境中非常快速的生长。这些污染比较容易观察到,它们往往会使其污染的培养液产生可见的变化,或者通过显微镜观察就可以看见。由于病毒有种属异性,所以病毒污染的概率比较小。但是病毒污染难于发现,因为病毒颗粒别微小,一般的实验室都没能力检查细胞培养中污染的病毒。由于病毒一般潜伏在细胞内,对整个细胞培养不是致死的,所以它可能会使研究人员长期得到受病毒影响的细胞的实验结果。1956年Robinson及其同事首次发现细胞培养中的支原体污染。90年代初的一个调查发现,在美国培养的细胞中,至少有15%被支原体污染。由于支原体没有细胞壁,在细胞培养液中几乎是透明的,同时对常用于细胞培养中的抗生素不敏感,不引起pH变化,不使培养液浑浊,所以支原体污染不容易被发现,但是其存在会影响实验的结果。培养多种细胞时操作不当,会导致细胞的交叉污染。由于不同细胞的生产速率不同,污染的生长速率快的细胞终会完全取代被污染的细胞。

H-2085细胞类似产品::BC-PAP细胞、GTL16细胞、NCTC 3960细胞

VMRCLCD细胞类似产品::L-5178-Y-R细胞、PaTu-8988s细胞、Astrocyte type I clone细胞

CHL/IU细胞类似产品::NCI-747细胞、DoTc2细胞、MOLP8细胞

HIT clone T15细胞类似产品::NL20细胞、SVEC4-10细胞、NW-38细胞

NIH:OVCAR-8细胞类似产品::X63-Ag8.653细胞、QBI-HEK 293A细胞、IEC-6细胞

HCC1954BL细胞类似产品::HA1800细胞、S-16细胞、LOU-NH-91细胞

Huh7.5细胞类似产品::Hs819.T细胞、L-WRN细胞、Mono Mac6细胞

PanC1细胞类似产品::TB1 Lu细胞、OLN-93细胞、M-20细胞

NCI H69细胞类似产品::SU.86.86细胞、CAL51细胞、SNU-387细胞

MM134细胞类似产品::H526细胞、SKOV-433细胞、KFB细胞

L-M(TK-) Cells|小鼠结缔组织克隆细胞(包送STR鉴定报告)

S37细胞类似产品::HBE135-E6E7细胞、Jurkat, Clone E6-1细胞、NCIH716细胞

3T3 Swiss Albino细胞类似产品::OVTOKO细胞、BNL CL2细胞、CCK81细胞

AZ 521细胞类似产品::A72细胞、H1651细胞、U-343-MG细胞

SKMEL1细胞类似产品::HL-60 Clone 15细胞、HCC1954BL细胞、CHO-Lec1细胞

Centre Antoine Lacassagne-85-1细胞类似产品::CHP-212细胞、Caco2BBe细胞、MDA330细胞

NCIH1650细胞类似产品::MUTZ1细胞、Anip973细胞、32Dc3细胞

NCIH1650细胞类似产品::MUTZ1细胞、Anip973细胞、32Dc3细胞

H-345细胞类似产品::V79细胞、X63.Ag8.653细胞、MDA-PCa-2b细胞

GTL 16细胞类似产品::FO [Mouse myeloma]细胞、UPCISCC154细胞、MDAMB436细胞

H1404细胞类似产品::He-La细胞、Hs-343-T细胞、PT-67细胞

HEK293F细胞类似产品::SUDHL-2细胞、P3 NS1 Ag4/1细胞、SupT1细胞

BetaTC6细胞类似产品::NIH-OVCAR-3细胞、Hs895.T细胞、A-172细胞

NHDF细胞类似产品::CAL 33细胞、UCLA-SO-M21细胞、D341 Med细胞

H-1993细胞类似产品::Panc02细胞、Wistar Institute, Susan Hayflick细胞、293A细胞

Mel-MeWo细胞类似产品::UK Pan-1细胞、K562细胞、P3HR1-BL细胞

E304细胞类似产品::SR-786细胞、3LL细胞、U138细胞

NCM356细胞类似产品::MDCK II细胞、REC1细胞、AK细胞

SF539细胞类似产品::K562细胞、SJ-Rh 30细胞、3T3NIH细胞

SACCLM细胞类似产品::HEK 293细胞、HCT/Taxo1细胞、Det. 562细胞

Helacyton gartleri细胞类似产品::HCGC细胞、VP229细胞、RBL.2H3细胞

COLO684细胞类似产品::GP5d细胞、MDA134细胞、SNUC1细胞

J 82细胞类似产品::RK-13细胞、MNNG-HOS (TE 85, clone F-5)细胞、REC细胞

SNU-407细胞类似产品::HCC-44细胞、SK UT 1细胞、TE-1细胞

OCI-Ly 18细胞类似产品::8305C细胞、F81细胞、P-3J细胞

MOLT-3细胞类似产品::HKBML细胞、NE1-E6E7细胞、BEL-7402细胞

P3J HR-1细胞类似产品::GM02219C细胞、NCI.H23细胞、MDA-MB-231-luc细胞

SUM159细胞类似产品::DH-82细胞、GM02132C细胞、SK-RC 42细胞

B16 melanoma细胞类似产品::As-PC1细胞、End1/E6E7细胞、H889细胞

H441细胞类似产品::HHL5细胞、H748细胞、MNNG/HOS Clone F-5细胞

SW 480细胞类似产品::Balb/c 3T3细胞、CAL120细胞、NCI/ADR-RES细胞

PL11细胞类似产品::BHK细胞、Madin Darby Canine Kidney细胞、PF-382细胞

EO771细胞类似产品::NCIH841细胞、BALB/3T3 cl. A31细胞、Hs 852.T细胞

HSC5细胞类似产品::SW 900细胞、AR42J细胞、H-510A细胞

CV1细胞类似产品::OVISE细胞、HSC细胞、H-2110细胞

H82sclc细胞类似产品::Y 1细胞、SCC-4细胞、Pro-5WgaRI3C细胞

CAL 120细胞类似产品::CV-1.K细胞、D562细胞、MRC9细胞

NCM-460细胞类似产品::H-2227细胞、H-220细胞、Roswell Park Memorial Institute 8226细胞

C2-C12细胞类似产品::AQ-Mel细胞、WEHI3细胞、KYSE-450细胞

MLMEC细胞类似产品::U-266细胞、GDM-1细胞、HuT-78细胞

JTC-39细胞类似产品::H460细胞、OS-RC-2细胞、MOLT-4细胞

DU4475细胞类似产品::LNCaP细胞、MT-4细胞、KTC1细胞

LL/2 (LLC1)细胞类似产品::HeLa229细胞、ROS 17/2.8细胞、LAN6细胞

JURKAT E-6.1细胞类似产品::MEL细胞、NCIH647细胞、Balb/c3T3细胞

HEM细胞类似产品::SW 1116细胞、KASUMI6细胞、NCI-446细胞

3T3F442A细胞类似产品::Microbiological Associates-104细胞、JB-6 Cl 30细胞、NWA细胞

OV 1063细胞类似产品::Pt K2 (NBL-5)细胞、B6Tert-1细胞、RL细胞

OV 1063细胞类似产品::Pt K2 (NBL-5)细胞、B6Tert-1细胞、RL细胞

HEK293EBNACells;细胞背景资料:详见相关文献介绍;细胞传代方法:1:4-1:10传代;每周2次。;细胞生长特性:贴壁生长;细胞形态特性:上皮细胞样;相关细胞有:OACP4 CCells、NCIH2110Cells、3AA细胞

95CCells;细胞背景资料:肺巨细胞癌;细胞传代方法:1:2-1:3传代;每周换液2-3次。;细胞生长特性:贴壁;细胞形态特性:详见细胞说明书;相关细胞有:BT474Cells、Lu-99ACells、UO.31细胞

H-1944Cells;细胞背景资料:详见相关文献介绍;细胞传代方法:1:3—1:6传代,每周换液2—3次;细胞生长特性:贴壁生长;细胞形态特性:上皮细胞样;相关细胞有:SNB.19Cells、H-35Cells、Rat 2细胞

DLD 1Cells;细胞背景资料:DLD-1是1977-1979年间D.L.Dexter和同事分离的两株结直肠腺癌细胞株中的一株。在ATCC和其它地方进行的DNAfingerprinting和染色体组型分析表明这株细胞与HCT-15(CCL-225)相似,说明这两者是来自同一个人的不同克隆。他们的遗传起源可通过DNAfingerprinting证实,但染色体组型分析显示它们缺乏染色体标记一致改变或数目上一致改变。细胞的CSAp阴性(CSAp-)。DLD-1细胞的p53抗原表达呈阳性(p53抗原产生了一个C->;细胞传代方法:消化5分钟。1:2。4-5天长满。;细胞生长特性:贴壁生长;细胞形态特性:上皮细胞样;相关细胞有:PC-3Cells、MCF-12ACells、NK-92 transfected with MFG-hIL2细胞

KFBCells;细胞背景资料:肾;成纤维Cells;细胞传代方法:1:2-1:3传代;每周换液2-3次。;细胞生长特性:贴壁;细胞形态特性:详见细胞说明书;相关细胞有:YAC-1Cells、KYSE0030Cells、TK-10细胞

NCI-H1944Cells;细胞背景资料:详见相关文献介绍;细胞传代方法:1:3—1:6传代,每周换液2—3次;细胞生长特性:贴壁生长;细胞形态特性:上皮细胞样;相关细胞有:RBL2H3Cells、RACells、NCI-H596细胞

H4-II-E-C3Cells;细胞背景资料:在糖皮质激素、胰岛素或cAMP衍生物的诱导下可以产生酪酸基转移酶;可被逆转录病毒感染;可产生白蛋白、转铁蛋白、凝血酶原;在AxC大鼠中可以成瘤。;细胞传代方法:1:2传代;细胞生长特性:贴壁生长;细胞形态特性:上皮样;相关细胞有:Mel-624Cells、CESSCells、THEECs细胞

U266BLCells;细胞背景资料:详见相关文献介绍;细胞传代方法:1:3传代,2-3天传一代;细胞生长特性:悬浮生长 ;细胞形态特性:淋巴母细胞样;相关细胞有:HP615Cells、RMG1Cells、NOZ细胞

NRK 52ECells;细胞背景资料:详见相关文献介绍;细胞传代方法:1:2传代;细胞生长特性:贴壁生长;细胞形态特性:上皮细胞样;相关细胞有:OVCAR8Cells、Human Fetal Thymocyte-8810Cells、GC-1细胞

L-M(TK-) Cells|小鼠结缔组织克隆细胞(包送STR鉴定报告)

T84Cells;细胞背景资料:T84细胞株是从一位72岁男性结肠癌患者的肺转移灶建立的可移植人类癌细胞株。 肿瘤组织皮下接种于BALB/c裸鼠,并连续进行移植。 [26072] 在裸鼠身上的移植过程中,细胞株始终保持结肠癌的原始组织性状。 [26072] 在无胸腺小鼠中传代23代后建立了T84细胞株。 这些细胞单层生长到饱和并在接触细胞间展现出紧密连接和桥粒。 [1155] 有很多关于多肽类激素和神经递质并维持定向电解质传输的受体。 [1155] 这株细胞展现了接触细胞中的紧密连接和桥粒。 [1155] 角蛋白免疫过氧化物酶染色阳性。;细胞传代方法:1:2-1:4传代;每周2次。;细胞生长特性:贴壁生长;细胞形态特性:上皮细胞,多角;相关细胞有:A-2780Cells、KU 812Cells、GTL16细胞

HONE-1Cells;细胞背景资料:鼻咽癌;男性;细胞传代方法:1:2-1:3传代;每周换液2-3次。;细胞生长特性:贴壁;细胞形态特性:详见细胞说明书;相关细胞有:PG-4 S+L-Cells、GM05372ECells、H1522细胞

TO 175.TCells;细胞背景资料:详见相关文献介绍;细胞传代方法:1:2传代;每周换液2-3次。;细胞生长特性:贴壁生长;细胞形态特性:详见细胞说明书;相关细胞有:RAW264.7Cells、HCC70Cells、SCL2细胞

CWR22RCells;细胞背景资料:22RV1是来自异种移植(在阉割引起前列腺癌衰退又在其父亲的雄性激素信赖型CWR22嫁接后复发的小鼠中连续传代)的人前列腺癌上皮细胞系。此细胞系表达前列腺特异抗原。二羟基睾丸脂酮轻微刺激细胞生长,经westernblot检测溶解产物与抗雄性激素受体抗体起免疫反应。EGF刺激细胞生长,但TGFβ-1不能抑制细胞生长。该细胞在裸鼠中成瘤。;细胞传代方法:消化3-5分钟。1:2。3天内可长满。;细胞生长特性:贴壁生长;细胞形态特性:上皮Cells;相关细胞有:EAhy926Cells、A72Cells、SK_N_BE2C细胞

FM88Cells;细胞背景资料:详见相关文献介绍;细胞传代方法:1:2-1:3传代;每周换液2-3次。;细胞生长特性:贴壁或悬浮,详见细胞说明书部分;细胞形态特性:详见细胞说明书;相关细胞有:BaF3Cells、NCTC-1469Cells、SKO007细胞

SNU-475Cells;细胞背景资料:详见相关文献介绍;细胞传代方法:1:2传代;细胞生长特性:贴壁生长;细胞形态特性:上皮样;相关细胞有:SuDHL 10Cells、TF-1aCells、SuDHL 10细胞

P31FUJCells;细胞背景资料:详见相关文献介绍;细胞传代方法:1:5传代;细胞生长特性:悬浮生长;细胞形态特性:淋巴母Cells;相关细胞有:DHL-16Cells、ME1Cells、FU-OV-1细胞

CAL62Cells;细胞背景资料:详见相关文献介绍;细胞传代方法:1:2-1:3传代;每周换液2-3次。;细胞生长特性:贴壁或悬浮,详见细胞说明书部分;细胞形态特性:详见细胞说明书;相关细胞有:H-2405Cells、NCI-H-82Cells、AgC11x3A细胞

NCI-H125Cells;细胞背景资料:腺鳞状肺癌;男性;细胞传代方法:1:2-1:3传代;每周换液2-3次。;细胞生长特性:贴壁;细胞形态特性:详见细胞说明书;相关细胞有:J82COTCells、SKMEL28Cells、HT144-mel细胞

NCI H716Cells;细胞背景资料:从一位经5-尿嘧啶治疗的患者腹水中得到的细胞建立了这个细胞株。 与其它结直肠癌细胞系不同,这株细胞有多巴脱羧酶,细胞质中有核心致密的内分泌型颗粒。 这株细胞不表达TAG-72 或CA19-9抗原,也不生成癌胚抗原(CEA);细胞传代方法:1:3—1:6传代,每周换液2—3次;细胞生长特性:悬浮生长,聚团,少数贴壁;细胞形态特性:上皮细胞样;相关细胞有:OCI-Ly10Cells、NW-38Cells、SW 1990细胞

KTA7Cells;细胞背景资料:肺腺癌;细胞传代方法:1:2-1:3传代;每周换液2-3次。;细胞生长特性:贴壁;细胞形态特性:详见细胞说明书;相关细胞有:NuTu-19Cells、M07eCells、QGY7701细胞

HELCells;细胞背景资料:这株淋巴母细胞样细胞株,源自一位30岁白人男性一,患有恶性红细胞白血病,能够自然产生并能诱导球蛋白合成。细胞的EB病毒核抗原阴性,没有表面免疫球蛋白与细胞质免疫球蛋白。HEL细胞表达HLA抗原(HLA-A3,AW32,BW35),β-2小球蛋白,一定比例的细胞还表达Ia抗原。这个细胞株提供了一种用于研究红细胞分化和球蛋白基因表达的模型。它类似于小鼠中的血友病。;细胞传代方法:1:2传代。3天内可长满。;细胞生长特性:悬浮生长;细胞形态特性:淋巴母细胞样;相关细胞有:OSACells、MPP 89Cells、MDAMB175VII细胞

RS(4;11)Cells;细胞背景资料:详见相关文献介绍;细胞传代方法:每周2-3次;细胞生长特性:悬浮生长;细胞形态特性:成淋巴Cells;相关细胞有:Stanford University Pediatric T-cell line 1Cells、MUTZ1Cells、THLE2细胞

YD-38Cells;细胞背景资料:详见相关文献介绍;细胞传代方法:1:2传代;细胞生长特性:贴壁或悬浮,详见细胞说明书部分;细胞形态特性:详见细胞说明书;相关细胞有:H64Cells、293-FTCells、MS 751细胞

IEC18Cells;细胞背景资料:详见相关文献介绍;细胞传代方法:1:2传代;细胞生长特性:贴壁生长;细胞形态特性:上皮样;相关细胞有:MB231Cells、SU-DHL1Cells、QBC-939细胞

OVCAR4Cells;细胞背景资料:详见相关文献介绍;细胞传代方法:1:2-1:3传代;每周换液2-3次。;细胞生长特性:贴壁或悬浮,详见细胞说明书部分;细胞形态特性:详见细胞说明书;相关细胞有:PL45Cells、Duke University 145Cells、H-2195细胞

MD Anderson-Metastatic Breast-436Cells;细胞背景资料:该细胞源于一名43岁患有乳腺腺癌女性的胸腔积液。;细胞传代方法:1:2传代,每周换液2—3次;细胞生长特性:贴壁生长;细胞形态特性:多角形;相关细胞有:GLRK 13Cells、EJ1Cells、HTR-8/SVneo细胞

H295R-S1Cells;细胞背景资料:肾上腺皮质癌;女性;细胞传代方法:1:2-1:3传代;每周换液2-3次。;细胞生长特性:贴壁;细胞形态特性:详见细胞说明书;相关细胞有:AU565Cells、AN3-CACells、HEK-2细胞

JCA1Cells;细胞背景资料:详见相关文献介绍;细胞传代方法:1:2-1:3传代;每周换液2-3次。;细胞生长特性:贴壁或悬浮,详见细胞说明书部分;细胞形态特性:详见细胞说明书;相关细胞有:NCI-Hut 125Cells、Sp2/OCells、H-64细胞

H-2108Cells;细胞背景资料:详见相关文献介绍;细胞传代方法:1:2-1:3传代;每周换液2-3次。;细胞生长特性:贴壁或悬浮,详见细胞说明书部分;细胞形态特性:详见细胞说明书;相关细胞有:HEK;293Cells、KM932Cells、HS578细胞

H295R-S1Cells;细胞背景资料:肾上腺皮质癌;女性;细胞传代方法:1:2-1:3传代;每周换液2-3次。;细胞生长特性:贴壁;细胞形态特性:详见细胞说明书;相关细胞有:AU565Cells、AN3-CACells、HEK-2细胞

HOC-1Cells;细胞背景资料:详见相关文献介绍;细胞传代方法:1:2-1:3传代;每周换液2-3次。;细胞生长特性:贴壁或悬浮,详见细胞说明书部分;细胞形态特性:详见细胞说明书;相关细胞有:SCC 25Cells、Cloudman S91 melanoma clone M-3Cells、H-2023细胞

KOPN8Cells;细胞背景资料:B淋巴细胞白血病;女性;细胞传代方法:1:2-1:3传代;每周换液2-3次。;细胞生长特性:悬浮;细胞形态特性:详见细胞说明书;相关细胞有:HCC 94Cells、OE-19Cells、BS-C-1细胞

RPMI-1846Cells;细胞背景资料:详见相关文献介绍;细胞传代方法:1:2-1:3传代;每周换液2-3次。;细胞生长特性:贴壁或悬浮,详见细胞说明书部分;细胞形态特性:详见细胞说明书;相关细胞有:Hs940.TCells、NCI-HUT-125Cells、HUASMC细胞

HOCFCells;细胞背景资料:脉络膜;成纤维Cells;细胞传代方法:1:2-1:3传代;每周换液2-3次。;细胞生长特性:贴壁;细胞形态特性:详见细胞说明书;相关细胞有:Psi2-DAPCells、RPMI1788Cells、Clone Y1细胞

B10BRCells;细胞背景资料:永生化黑素Cells;细胞传代方法:1:2-1:3传代;每周换液2-3次。;细胞生长特性:贴壁;细胞形态特性:详见细胞说明书;相关细胞有:NCI-H838Cells、OVCA5Cells、IPEC-1细胞

Caco-2/BBeCells;细胞背景资料:详见相关文献介绍;细胞传代方法:1:6—1:10传代,每周换液2次;细胞生长特性:贴壁生长;细胞形态特性:上皮Cells;相关细胞有:TB-1 LuCells、NB4Cells、TE 671细胞

REC1Cells;细胞背景资料:详见相关文献介绍;细胞传代方法:1:3—1:6传代,2-3天换液1次;细胞生长特性:悬浮生长 ;细胞形态特性:淋巴母细胞样;相关细胞有:MKN-7Cells、HEMCSSCells、CEM clone 7细胞

CL 1-5Cells;细胞背景资料:肺腺癌;男性;细胞传代方法:1:2-1:3传代;每周换液2-3次。;细胞生长特性:贴壁;细胞形态特性:详见细胞说明书;相关细胞有:PANC-1Cells、H-1563Cells、IBMF-7细胞

GLC-82Cells;细胞背景资料:详见相关文献介绍;细胞传代方法:1:2-1:3传代;每周换液2-3次。;细胞生长特性:贴壁或悬浮,详见细胞说明书部分;细胞形态特性:详见细胞说明书;相关细胞有:C2C12Cells、NCI-H292Cells、1E8-H细胞

MDAMB453Cells;细胞背景资料:该细胞系由CailleauR在1976年从一名48岁的患有转移性乳腺癌的白人女性的心包渗出液中分离建立的。该细胞表达FGF的受体。;细胞传代方法:1:2-1:4传代;2-3天换液1次;细胞生长特性:贴壁生长;细胞形态特性:上皮样;多角形;相关细胞有:MDA-MB-436Cells、H-1651Cells、SK-ML2细胞

52PECells;细胞背景资料:乳腺癌;胸腔积液转移;女性;细胞传代方法:1:2-1:3传代;每周换液2-3次。;细胞生长特性:贴壁;细胞形态特性:详见细胞说明书;相关细胞有:Panc04.03Cells、BT-20Cells、Instituto Biologico-Rim Suino-2细胞

2780Cells;细胞背景资料:详见相关文献介绍;细胞传代方法:1:2传代;细胞生长特性:贴壁生长;细胞形态特性:上皮细胞样;相关细胞有:aTC1 Clone 6Cells、T-47DCells、HCC-1428细胞

"



L-M(TK-) Cells|小鼠结缔组;

公司简介

上海冠导生物工程有限公司,先后从ATCC、DSMZ、ECACC、RIKEN、PromoCell、ScienCell、JCRB等国内外细胞库引进细胞2000余株。以此为契机,公司组建了冠导细胞库,我司细胞均由资深细胞培养工程师进行培养。我司可以提供的细胞有:①细胞系②原代细胞③稳转株④耐药株⑤标记细胞⑥细胞配套试剂等。

成立日期 (11年)
注册资本 100万(元)
员工人数 50-100人
年营业额 ¥ 1000万-5000万
经营模式 工厂,试剂,定制,服务
主营行业 细胞培养,微生物学,细胞生物学

L-M(TK-) Cells|小鼠结缔组织克隆细胞(包送STR鉴定报告)相关厂家报价

内容声明
拨打电话 立即询价