基本信息 产品详情 公司简介 推荐产品
网站主页 NCI-H1915 CELLS:人非小细胞肺癌细胞系 NCI-H1915 Cells|人非小细胞肺癌克隆细胞(包送STR鉴定报告)
  • NCI-H1915 Cells|人非小细胞肺癌克隆细胞(包送STR鉴定报告)

NCI-H1915 Cells|人非小细胞肺癌克隆细胞(包送STR鉴定报告)

NCI-H1915 Cells
询价 1000000细胞数 起订
2000000细胞数 起订
上海 更新日期:2026-04-30

上海冠导生物工程有限公司

VIP6年
联系人:全经理
电话:18818239863拨打
邮箱:3171921642@qq.com

产品详情:

中文名称:
NCI-H1915 Cells|人非小细胞肺癌克隆细胞(包送STR鉴定报告)
英文名称:
NCI-H1915 Cells
保存条件:
常温培养或液氮冻存
纯度规格:
NCI-H1915 Cells|人非小细胞肺癌克隆细胞(包送STR鉴定报告)
产品类别:
生化试剂

"NCI-H1915 Cells|人非小细胞肺癌克隆细胞(包送STR鉴定报告)

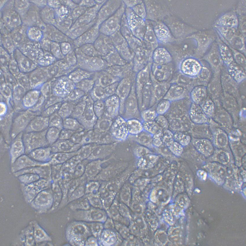
细胞形态:上皮细胞样

细胞生长:贴壁

目前,细胞冻存常用的技术是液氮冷冻保存法,主要采用加适量保护剂的缓慢冷冻法冻存细胞。细胞在不加任何保护剂的情况下直接冷冻,细胞内外的水分会很快形成冰晶,从而引起一系列不良反应。如细胞脱水使局部电解质浓度增GAO,pH值改变,部分蛋白质由于上述原因而变性,引起细胞内部空间结构紊乱,溶酶体膜由此遭到损伤而释放出溶酶体酶,使细胞内结构成分造成破坏,线粒体肿胀,功能丢失,并造成能量代谢障碍。胞膜上的类脂蛋白复合体也易破坏引起细胞膜通透性的改变,使细胞内容物丢失。如果细胞内冰晶形成较多,随冷冻温度的降低,冰晶体积膨胀造成细胞核DNA空间构型发生不可逆的损伤,而致细胞死亡。因此,细胞冷冻技术的关键是尽可能地减少细胞内水分,减少细胞内冰晶的形成。通常采用甘油或二甲基亚砜(DMSO)作保护剂,这两种物质分子量小,溶解度大,易穿透细胞,可以使冰点下降,提GAO细胞膜对水的通透性,且对细胞无明显毒性。慢速冷冻方法又可使细胞内的水分渗出细胞外,减少胞内形成冰结晶的机会,从而减少冰晶对细胞的损伤。

Hs 294TCells;细胞背景资料:详见相关文献介绍;细胞传代方法:1:2-1:4传代,2-3天换液1次。;细胞生长特性:贴壁生长;细胞形态特性:混合星状和多边形;相关细胞有:NTERA-2 clone D1Cells、OVCAR.5Cells、CHL细胞

Stanford University-Diffuse Histiocytic Lymphoma-4Cells;细胞背景资料:详见相关文献介绍;细胞传代方法:1:2-1:3传代;每周换液2-3次。;细胞生长特性:悬浮;细胞形态特性:淋巴母Cells;相关细胞有:MDA-MB361Cells、SW-837Cells、Cloudman M3细胞

RCC10 RGBCells;细胞背景资料:详见相关文献介绍;细胞传代方法:1:2-1:3传代;每周换液2-3次。;细胞生长特性:贴壁或悬浮,详见细胞说明书部分;细胞形态特性:详见细胞说明书;相关细胞有:HCC1187Cells、HEC-1BCells、Rat Skin 1细胞

Hs-606-TCells;细胞背景资料:详见相关文献介绍;细胞传代方法:1:2—1:3传代,2—3天换液一次;细胞生长特性:贴壁生长;细胞形态特性:成纤维Cells;相关细胞有:SKES1Cells、NCIH1838Cells、LP-1细胞

细胞物种来源:人源或鼠源等其它物种来源

NCI-H1915 Cells|人非小细胞肺癌克隆细胞(包送STR鉴定报告)

[细胞产品包装]鲜活细胞:T25培养瓶(一瓶)或冻存细胞:1ml冻存管(两支)

悬浮细胞成簇,可能原因:培养液中含钙、镁离子;支原体污染;蛋白酶过度消化使得细胞裂解;DNA污染;解决方法:用无钙镁平衡盐溶液洗涤细胞,轻巧吹吸细胞获得单细胞悬液;分离培养物,检测支原体;用DNaseI处理细胞;培养细胞生长缓慢;可能原因:由于更换不同培养液或血清;培养液中一些细胞生长必需成分如谷氨酰胺或生长因子耗尽或缺乏或已被破坏;培养物中有少量细菌或真菌污染;试剂保存不当;接种细胞起始浓度太低;细胞已老化;支原体污染;解决方法:比较新培养液与原培养液成分,比较新血清与旧血清支持细胞生长实验,让细胞逐渐适应新培养液;换入新鲜配置培养液,或补加谷氨酰胺及生长因子;用无抗生素培养液培养,如发现污染,丢弃培养物;血清需保存在-10到-20℃。培养液需在2-8℃避光保存。含血清完全培养液在2-8℃保存,需在1周内用完;增加接种细胞起始浓度;换用新的保种细胞;分离培养物,检测支原体。清洁支架和培养箱。如发现支原体污染,丢弃培养物。

细胞背景资料:详见相关文献介绍

PC9Cells;细胞背景资料:详见相关文献介绍;细胞传代方法:1:2传代;细胞生长特性:贴壁生长;细胞形态特性:上皮样;相关细胞有:CNE1Cells、HME-1Cells、SU-DHL-6细胞

HUT 125Cells;细胞背景资料:腺鳞状肺癌;男性;细胞传代方法:1:2-1:3传代;每周换液2-3次。;细胞生长特性:贴壁;细胞形态特性:详见细胞说明书;相关细胞有:LTEP a2Cells、TPC1Cells、SW260细胞

CORL23Cells;细胞背景资料:详见相关文献介绍;细胞传代方法:1:2-1:3传代;每周换液2-3次。;细胞生长特性:贴壁或悬浮,详见细胞说明书部分;细胞形态特性:详见细胞说明书;相关细胞有:DoTc2Cells、Madin Darby Bovine KidneyCells、RF/6A细胞

3 LLCells;细胞背景资料:详见相关文献介绍;细胞传代方法:1:2传代;细胞生长特性:贴壁生长;细胞形态特性:详见细胞说明书;相关细胞有:UM-UC14Cells、NCI-H1954Cells、GM03671细胞

细胞传代方法:每周换液2—3次

NCI-H1915 Cells|人非小细胞肺癌克隆细胞(包送STR鉴定报告)

细胞来源说明:来源于RCB、ATCC、KCLB、DSMZ、ECACC、INCell、ScienCell、ECACC、JCRB、Asterand、ICLC等知名细胞库

原代细胞与细胞系有什么区别?细胞培养物来源于原代外植体或分散的细胞悬液。通常在这样的培养物中细胞增殖形成汇合地单层细胞或密集地细胞悬液。根据传统定义,次收获和接种的细胞被称为原代细胞[Freshney, R.I. (1987). Culture of Animal Cells. A Manual of Basic Technique. (New York, Alan R. Liss, Inc.)].这类细胞生命周期有限,在有限的生命周期内需掌握HAO细胞大的生长空间,以保持细胞群中基因型和表型的一致性。细胞系是不断生长,分化的细胞群,因其经过遗传改造,致使其具有无限增长的潜能。体外生长的细胞系用于医疗或科研。实际上,连续细胞系可以用大量次培养基培养,随着代数的增加细胞的基因型和表型都有可能发生改变。需要指出的是,在不同的科研小组中这些术语的定义会有所不同。许多研究员不用细胞系这个词表示细胞群除非细胞经过了遗传改造。

细胞生长特性:贴壁生长

细胞系(cell line)指原代细胞培养物经首次传代成功后所繁殖的细胞群体。 也指可长期连续传代的培养细胞。(由此便引申出了后来的有限细胞系(FiniteCellLine)、无限细胞系(InfiniteCellLine)),因此,细胞系狭义的是指可连续传代的细胞(定环境下口语和书面语都使用),广义是指可传代的细胞。肿瘤细胞系多由癌瘤建成,多呈类上皮型细胞,常已传几十代或百代以上,并具有不死性和异体接种致瘤性,丧失接触抑制能力。国际上美、英和日本等国已建有细胞库;美国已有美国标准细胞库或细胞银行(ATCC)和人遗传突变细胞库(HGMR)、细胞衰老细胞库(CAR)等,其中ATCC不仅是美国也世界大的细胞库。细胞系建立要求:什么样的体外培养群可被认可为己鉴定的细胞,视具体情况而定,无统一规定。对于用作原代培养的细胞只要供体均一,取材部位及组织种类等条件稳定即可,如用做长期培养,别是反复传代的细胞,常需做如下说明:组织来源:细胞供体所属物种,来自人体或者动物;个体性别、年龄;取材的器官或组织。如系肿瘤组织,应说明临床和病理诊断,以及病历号等。细胞生物学检测:了解细胞一般和殊的生物学性状,如细胞一般形态,异结构,细胞生长曲线和分裂指数,倍增时间,接种率等。如为肿瘤细胞,为说明来源于原肿瘤组织并保持恶性,须做软琼脂培养,异体接种致瘤和对正常组织侵润力等实验。培养条件和方法;应说明细胞系(或株)适应的生存环境,即指明使用的培养基、血清种类、用量以及适宜PH值。

Immortalized Human Hepatocytes细胞类似产品::H-7721细胞、H-774细胞、CaES-17细胞

Madin-Darby Bovine Kidney细胞类似产品::C3H/10T1/2细胞、WM 239-A细胞、U-266 AR1细胞

NCI-522细胞类似产品::SR细胞、He La细胞、TE14细胞

Mel RM细胞类似产品::MFC细胞、HEK-293-F细胞、H2135细胞

159PT细胞类似产品::NCI-H2122细胞、SuDHL 8细胞、CCD-1112sk细胞

FOXNY细胞类似产品::B16/F1细胞、P815细胞、251 MG细胞

YES2细胞类似产品::MDAMB175细胞、WM2664细胞、H-295R细胞

D324细胞类似产品::IMR32细胞、NCI-H211细胞、RMC-1细胞

CHP 212细胞类似产品::HCC-1806细胞、H-1155细胞、KMS-11细胞

HOC1细胞类似产品::LIXC-002细胞、H1092细胞、OVCA420细胞

NCI-H1915 Cells|人非小细胞肺癌克隆细胞(包送STR鉴定报告)

IPLB-Sf21-AE细胞类似产品::SNU1细胞、H-1648细胞、MT-2J细胞

7860细胞类似产品::HPAF II细胞、IMR90细胞、RS411细胞

CNE-2Z细胞类似产品::Centre Antoine Lacassagne-27细胞、WM35细胞、Line 870 Emory University-4细胞

TE12细胞类似产品::UMNSAH/DF#1细胞、Rat podocyte细胞、OCI-Ly 1细胞

COV504细胞类似产品::H341细胞、Rh30细胞、Hs 27细胞

HUT-226细胞类似产品::RCC23细胞、COLO-699细胞、OVCAR10细胞

HUT-226细胞类似产品::RCC23细胞、COLO-699细胞、OVCAR10细胞

HTori:3细胞类似产品::KBM-7/Hap8细胞、H4-II-E细胞、SCC7细胞

HPAFII细胞类似产品::UM-UC-1细胞、SKG-3a细胞、Centre Antoine Lacassagne-85-1细胞

PC-3M-2B4细胞类似产品::GBC-SD细胞、HUT125细胞、Jurkat77细胞

HCT 116细胞类似产品::H1694细胞、MOLT-16细胞、Metastatic Variant-522细胞

HepG2-luc细胞类似产品::SKNO1细胞、TE 671细胞、NRK clone 49F细胞

IEC-18细胞类似产品::McA-RH7777细胞、CTV1细胞、Kit 225细胞

Huh-7.5细胞类似产品::HEK 293-H细胞、NCI-H510细胞、MA104细胞

1301细胞类似产品::L cell line细胞、CoCL2细胞、PSN-1细胞

H1651细胞类似产品::OVSAHO细胞、LC-2-Ad细胞、SkChA1细胞

Tn5 B1-4细胞类似产品::CORL51细胞、UCLA-RO 81细胞、B-3细胞

SUM 149细胞类似产品::Detroit-562细胞、CHL1细胞、HT(H9)细胞

Roswell Park Memorial Institute 7666细胞类似产品::G-Olig2细胞、Centre Antoine Lacassagne-85-1细胞、Wistar Institute-38细胞

UM-UC-14细胞类似产品::CF-1 MEF细胞、GL261细胞、ZYM-DIEC02细胞

MC-CAR细胞类似产品::NSH细胞、SKLU1细胞、BE2M17细胞

H-1568细胞类似产品::HKC细胞、Me Wo细胞、NP69SV40T细胞

LSECs细胞类似产品::NCI-H295细胞、QGY7701细胞、DHL10细胞

SK-N-BE(2)-M17细胞类似产品::MAntle cell VERona-1细胞、Mono-Mac-1细胞、J111细胞

HT1376细胞类似产品::RH30SJ细胞、RL-65细胞、NK62a细胞

MC57G细胞类似产品::HTR8svn细胞、MIA Paca2细胞、HT144细胞

COLO 824细胞类似产品::KY-270细胞、NP-69细胞、HEK293-EBNA细胞

LS-180细胞类似产品::COLO678细胞、ABC1细胞、K1735细胞

IOSE29细胞类似产品::C32r细胞、SCC7细胞、CORL26细胞

PM6细胞类似产品::H-1694细胞、hEEC细胞、HCT116细胞

H838细胞类似产品::E.G7-OVA细胞、Hs 600.T细胞、AML-2细胞

H2170细胞类似产品::MBdSMC细胞、IM95细胞、MADB 106细胞

FCCH1018细胞类似产品::VP 229细胞、210RCY3-Ag1.2.3细胞、EFM-192C细胞

HCC-1954细胞类似产品::CMECs细胞、P3-X63Ag8细胞、EST50细胞

MDAPC2B细胞类似产品::M07e细胞、H2106细胞、SF539细胞

RCC 786-O细胞类似产品::IM95细胞、NCI-H1869细胞、T-84细胞

5637细胞类似产品::2T细胞、H292细胞、SUP T1细胞

LUDLU-1细胞类似产品::HOP62细胞、SY5Y细胞、NCIH1734细胞

SU.86.86细胞类似产品::D6P2T细胞、U031细胞、IMR90细胞

SF-767细胞类似产品::SNU251细胞、IOSE-Mar细胞、CT 26细胞

M3 Clone M-3细胞类似产品::HMy2.CIR细胞、HN-6细胞、T/G HA-VSMC细胞

OAC-P4C细胞类似产品::Hut292细胞、Karpas 422细胞、AG06814-M细胞

LUDLU1细胞类似产品::OCILY3细胞、CT-26 WT细胞、K562细胞

UCLA-SO-14细胞类似产品::NCI-H650细胞、HDSMC细胞、H-711细胞

BALL-1细胞类似产品::HepG2细胞、SACC-LM细胞、LCLC-103H细胞

HOP-92细胞类似产品::L-WRN细胞、SCC25细胞、LA-N-6细胞

OCI-Ly8细胞类似产品::FRTL5细胞、LCMS细胞、NCI-H69细胞

MCAECCells;细胞背景资料:冠状动脉内皮Cells;细胞传代方法:1:2-1:3传代;每周换液2-3次。;细胞生长特性:贴壁;细胞形态特性:详见细胞说明书;相关细胞有:GM15452Cells、293TCells、McA-RH 7777细胞

COLO_320DMCells;细胞背景资料:该细胞可产生5-羟色胺、去甲、、ACTH和甲状旁腺素。角蛋白、波形蛋白弱阳性。培养条件: RPMI 1640  10%FBS;细胞传代方法:1:2-1:3传代;每周换液2-3次。;细胞生长特性:悬浮+贴壁;细胞形态特性:淋巴Cells;相关细胞有:HANK-1Cells、SUDHL-8Cells、H22细胞

MES-SA Dx5Cells;细胞背景资料:详见相关文献介绍;细胞传代方法:1:2-1:8传代;每周2-3次。;细胞生长特性:贴壁生长;细胞形态特性:成纤维细胞样 ;相关细胞有:Hs294Cells、HSC6Cells、C-33 A细胞

OVCA-432Cells;细胞背景资料:详见相关文献介绍;细胞传代方法:1:2-1:3传代;每周换液2-3次。;细胞生长特性:贴壁或悬浮,详见细胞说明书部分;细胞形态特性:详见细胞说明书;相关细胞有:MRC-5Cells、NCI-H209Cells、SCC90细胞

EFM-192ACells;细胞背景资料:乳腺癌;胸腔积液转移;女性;细胞传代方法:1:2-1:3传代;每周换液2-3次。;细胞生长特性:贴壁;细胞形态特性:详见细胞说明书;相关细胞有:H524Cells、Anip 973Cells、Mv1Lu细胞

HTSMCCells;细胞背景资料:气管平滑肌;细胞传代方法:1:2-1:3传代;每周换液2-3次。;细胞生长特性:贴壁;细胞形态特性:详见细胞说明书;相关细胞有:LIM-1215Cells、Ej138Cells、HTori-3细胞

NU-GC-4Cells;细胞背景资料:胃癌;女性;细胞传代方法:1:2-1:3传代;每周换液2-3次。;细胞生长特性:半贴壁;细胞形态特性:详见细胞说明书;相关细胞有:TK-1Cells、Ramos G6.C10Cells、BERH-2细胞

BGC823Cells;细胞背景资料:建自一位62岁的胃癌患者;细胞传代方法:1:3传代,2-3天换液一次;细胞生长特性:贴壁生长;细胞形态特性:上皮样;相关细胞有:KM12SMCells、Hep G2/C3ACells、MLMA细胞

RK 13Cells;细胞背景资料:详见相关文献介绍;细胞传代方法:1:2-1:3传代;每周换液2-3次。;细胞生长特性:贴壁或悬浮,详见细胞说明书部分;细胞形态特性:详见细胞说明书;相关细胞有:NCIH2405Cells、HNE3Cells、SNU601细胞

NCI-H1915 Cells|人非小细胞肺癌克隆细胞(包送STR鉴定报告)

N2aCells;细胞背景资料:详见相关文献介绍;细胞传代方法:1:2-1:4传代;2-3天换液1次;细胞生长特性:贴壁生长;细胞形态特性:详见细胞说明书;相关细胞有:MPP89Cells、Gejiu Lung Carcinoma-82Cells、SNU16细胞

RS1Cells;细胞背景资料:该细胞系来源于一大鼠的皮肤组织。2007年由中国科学院昆明细胞库建立。;细胞传代方法:1:2传代;细胞生长特性:贴壁生长 ;细胞形态特性:详见细胞说明书;相关细胞有:HT 144Cells、MSTO-211Cells、Namalwa细胞

HBL 100Cells;细胞背景资料:该细胞由E.V.Gaffney及其同事从一位没有乳癌家族史的供者乳汁中建立,培养出来的细胞染色体组型在第7代时就不正常;电镜照片显示有微丝、张力原纤维和桥粒;Southern转移表明有整合型SV40病毒基因,当作正常细胞。;细胞传代方法:1:2传代;细胞生长特性:贴壁生长;细胞形态特性:上皮样;相关细胞有:RKOE6Cells、HCT 8Cells、ZR751细胞

SK-N-BE(2)-M17Cells;细胞背景资料:详见相关文献介绍;细胞传代方法:1:2-1:3传代;每周换液2-3次。;细胞生长特性:贴壁或悬浮,详见细胞说明书部分;细胞形态特性:详见细胞说明书;相关细胞有:MAntle cell VERona-1Cells、Mono-Mac-1Cells、J111细胞

SU-DHL-6Cells;细胞背景资料:详见相关文献介绍;细胞传代方法:1:3—1:6传代,3—4天换液1次;细胞生长特性:悬浮生长 ;细胞形态特性:淋巴母细胞样;相关细胞有:SL-1Cells、H2227Cells、B-CPAP细胞

BT20Cells;细胞背景资料:该细胞1958年由E.Y. Lasfargues 和 L. Ozzello 建系,源自一位74岁白人女性的乳腺癌组织。该细胞表达WNT3和WNT78。TNF alpha抑制该细胞生长。该细胞雌激素受体阴性,但表达5'外显子缺失的雌激素mRNA。;细胞传代方法:1:2—1:4传代,2—3天换液一次;细胞生长特性:贴壁生长;细胞形态特性:上皮细胞样;相关细胞有:OV-90Cells、MDAMB361Cells、PANC-04-03细胞

BXPC3Cells;细胞背景资料:这个细胞株不表达囊肿性纤维化跨膜电导调节子(CFTR)。CFTR阳性的细胞株是Capan-1(ATCCHTB-79)。;细胞传代方法:消化5-10分钟。1:2。3天内可长满。;细胞生长特性:贴壁生长;细胞形态特性:上皮样;相关细胞有:ARPE-19Cells、Roswell Park Memorial Institute 6666Cells、H-7721细胞

BXPC3Cells;细胞背景资料:这个细胞株不表达囊肿性纤维化跨膜电导调节子(CFTR)。CFTR阳性的细胞株是Capan-1(ATCCHTB-79)。;细胞传代方法:消化5-10分钟。1:2。3天内可长满。;细胞生长特性:贴壁生长;细胞形态特性:上皮样;相关细胞有:ARPE-19Cells、Roswell Park Memorial Institute 6666Cells、H-7721细胞

LUDLU 1Cells;细胞背景资料:详见相关文献介绍;细胞传代方法:1:2-1:3传代;每周换液2-3次。;细胞生长特性:贴壁或悬浮,详见细胞说明书部分;细胞形态特性:详见细胞说明书;相关细胞有:HCC9204Cells、CCD841CoTrCells、NPC-TW-039细胞

H1238Cells;细胞背景资料:详见相关文献介绍;细胞传代方法:1:2-1:3传代;每周换液2-3次。;细胞生长特性:贴壁或悬浮,详见细胞说明书部分;细胞形态特性:详见细胞说明书;相关细胞有:Dysplastic Oral KeratinocyteCells、PC-3M-IE8Cells、A549-Taxol细胞

624-melCells;细胞背景资料:黑色素瘤;男性;细胞传代方法:1:2-1:3传代;每周换液2-3次。;细胞生长特性:贴壁;细胞形态特性:详见细胞说明书;相关细胞有:HSC-5 [Human skin squamous cell carcinoma]Cells、aNKCells、NUGC-2细胞

NCI-H28Cells;细胞背景资料:详见相关文献介绍;细胞传代方法:1:3-1:6传代,每周换液2-3次;细胞生长特性:贴壁生长;细胞形态特性:详见细胞说明书;相关细胞有:Nittby-Salford 1Cells、L929(NCTC)Cells、H774细胞

T 98 GCells;细胞背景资料:详见相关文献介绍;细胞传代方法:按1:3传代;细胞生长特性:贴壁生长;细胞形态特性:详见细胞说明书;相关细胞有:FHs74IntCells、MLA144Cells、MPC-83细胞

NCIH1373Cells;细胞背景资料:详见相关文献介绍;细胞传代方法:1:3-1:4传代;2-3天换液1次。;细胞生长特性:贴壁生长;细胞形态特性:上皮样;相关细胞有:H774Cells、BAR-TCells、OVTOKO细胞

MRC-VCells;细胞背景资料:MRC-5细胞系来自14周龄男性胎儿的正常肺组织,该细胞老化前能传代42~46个倍增时间。;细胞传代方法:1:2-1:5传代;每周1-2次。;细胞生长特性:贴壁生长;细胞形态特性:成纤维细胞样;相关细胞有:Human Pancreatic Duct EpithelialCells、HSC 3Cells、HO8910细胞

FRO 81-2Cells;细胞背景资料:未分化甲状腺癌;男性;细胞传代方法:1:2-1:3传代;每周换液2-3次。;细胞生长特性:贴壁;细胞形态特性:详见细胞说明书;相关细胞有:hTERT-RPE1Cells、Ect1/E6E7Cells、IMCD3细胞

MILE SVEN1Cells;细胞背景资料:MS1是1994年建株的胰岛内皮细胞株。原代培养的胰岛内皮细胞用抗G418的温度敏感型SV40大T抗原(tsA-58-3)转染。抗性克隆用克隆环分离,并筛选吸收dil-Ac-LDL的。这株细胞保留了内皮细胞的许多特性,如吸收乙酰化LDL和表达八因子相关抗原及BEGF受体。;细胞传代方法:消化3-5分钟。1:2。3天内可长满。;细胞生长特性:贴壁生长;细胞形态特性:详见细胞说明书;相关细胞有:3T3-A31Cells、HuH7Cells、IFRS1细胞

LNCaP clone FGCCells;细胞背景资料:人前列腺癌细胞LNCaP克隆FGC是从一位50岁白人男性(血型B+)的左锁骨淋巴结针刺活检中分离,该患者经确诊为前列腺癌转移。 这株细胞对5-α-二睾酮(生长调节子和酸性脂酶产物)有响应。这株细胞并不形成一致的单层,而是形成集落,在传代时可以用滴管反复吹吸打碎。它们仅仅轻轻地吸附在基底上,不形成汇合,很快使培养基变酸。生长很慢。传代后48小时内不应扰动。当培养瓶封包后,多数细胞从培养瓶底分离,悬浮在培养基中。收到后,在通常培养单层细胞的条件下培养24到48小时,以合细胞再贴壁。;细胞传代方法:消化3-5分钟。1:2。3天内可长满。;细胞生长特性:贴壁生长;细胞形态特性:上皮Cells;相关细胞有:Centre Antoine Lacassagne-51Cells、H2330Cells、JKT-1细胞

Jurkat 77Cells;细胞背景资料:详见相关文献介绍;细胞传代方法:1:2-1:3传代;每周换液2-3次。;细胞生长特性:贴壁或悬浮,详见细胞说明书部分;细胞形态特性:详见细胞说明书;相关细胞有:QBI-293ACells、M.D. Anderson-Prostate Cancer-2bCells、Kupffer细胞

BBECells;细胞背景资料:详见相关文献介绍;细胞传代方法:1:6—1:10传代,每周换液2次;细胞生长特性:贴壁生长;细胞形态特性:上皮Cells;相关细胞有:KupfferCells、Y1Cells、HuCCT-1细胞

MHCC 97-HCells;细胞背景资料:来源于中山医院,用人肝癌细胞株MHCC97-H接种裸鼠,进行3次肺转移筛选,取肺转移瘤建成皮下接种后高度自发性肺转移的肝癌细胞系;细胞传代方法:1:2传代;细胞生长特性:贴壁生长;细胞形态特性:上皮样;相关细胞有:NIT-1Cells、SW-626Cells、16HBEo-细胞

NCI-H661Cells;细胞背景资料:该细胞1982年建系,源自一位患有大细胞肺癌的男性的胸腔积液。该细胞角蛋白、波形蛋白阳性。;细胞传代方法:1:3—1:5传代,每周换液2—3次;细胞生长特性:贴壁生长;细胞形态特性:上皮样;相关细胞有:MDA-MB-231Cells、NCI H295RCells、RetroPack PT67细胞

OCILY-19Cells;细胞背景资料:弥漫大B淋巴瘤;女性;细胞传代方法:1:2-1:3传代;每周换液2-3次。;细胞生长特性:悬浮;细胞形态特性:详见细胞说明书;相关细胞有:HLEB3Cells、SUM149Cells、CV-1细胞

THP 1Cells;细胞背景资料:该细胞从一名1岁的患有急性单核细胞性白血病的男孩的外周血中分离建立。该细胞可以吞噬乳胶颗粒和激活的红细胞,细胞膜和胞浆内均没有免疫球蛋白,表达C3R和FcR;可受佛波酯TPA诱导向单核系方向分化;可作为转染宿主。;细胞传代方法:维持细胞浓度在2-4×105-8×105/ml,勿超过1×106/ml;2-3天换液1次。;细胞生长特性:悬浮生长;细胞形态特性:单核Cells;相关细胞有:HUT-226Cells、C2C12Cells、KMS-26细胞

HNTECCells;细胞背景资料:详见相关文献介绍;细胞传代方法:1:2-1:3传代;每周换液2-3次。;细胞生长特性:贴壁或悬浮,详见细胞说明书部分;细胞形态特性:详见细胞说明书;相关细胞有:MES-SACells、NRK clone 52ECells、MCM细胞

OVCAR-4Cells;细胞背景资料:详见相关文献介绍;细胞传代方法:1:2-1:3传代;每周换液2-3次。;细胞生长特性:贴壁或悬浮,详见细胞说明书部分;细胞形态特性:详见细胞说明书;相关细胞有:WML2Cells、MBT2Cells、H-2591细胞

Murine Thymic Epithelial Cell line 1Cells;细胞背景资料:胸腺;上皮Cells;自发永生;细胞传代方法:1:2-1:3传代;每周换液2-3次。;细胞生长特性:贴壁;细胞形态特性:详见细胞说明书;相关细胞有:T-84Cells、Lilly Laboratories Cell-Porcine Kidney 1Cells、PA I细胞

4T1-LUCCells;细胞背景资料:详见相关文献介绍;细胞传代方法:1:2-1:3传代;每周换液2-3次。;细胞生长特性:贴壁或悬浮,详见细胞说明书部分;细胞形态特性:详见细胞说明书;相关细胞有:HEL-92.1.7Cells、BT-325Cells、H650细胞

KBM-7/Hap8Cells;细胞背景资料:慢性髓原白血病;男性;细胞传代方法:1:2-1:3传代;每周换液2-3次。;细胞生长特性:悬浮;细胞形态特性:详见细胞说明书;相关细胞有:HEP3B2Cells、GCT0404Cells、4T1-A细胞

H460Cells;细胞背景资料:该细胞1982年由A.F.Gazdar建系,源自一位患有大细胞肺癌的男性的胸腔积液。该细胞角蛋白、波形蛋白阳性。;细胞传代方法:1:2传代;细胞生长特性:贴壁生长;细胞形态特性:上皮样;相关细胞有:Karpas 299Cells、87MGCells、MA 104细胞

KOSC-2Cells;细胞背景资料:详见相关文献介绍;细胞传代方法:2.2 x 10^4 cells/ml ;细胞生长特性:贴壁生长;细胞形态特性:上皮样;相关细胞有:OAW42Cells、Mel-MeWoCells、T-ALL-1细胞

NPC-TW-039Cells;细胞背景资料:鼻咽癌;细胞传代方法:1:2-1:3传代;每周换液2-3次。;细胞生长特性:贴壁;细胞形态特性:详见细胞说明书;相关细胞有:MDAMB231Cells、OV433Cells、LWnt3A细胞

NamalwaCells;细胞背景资料:这株细胞有EB病毒基因组。;细胞传代方法:1:2传代。3天内可长满。;细胞生长特性:悬浮生长 ;细胞形态特性:淋巴母细胞样;相关细胞有:A 253Cells、CV-1 in Origin Simian-7Cells、Mc Ardle 7777细胞

"


NCI-H1915 Ce人肺癌克隆细胞(;

公司简介

上海冠导生物工程有限公司,先后从ATCC、DSMZ、ECACC、RIKEN、PromoCell、ScienCell、JCRB等国内外细胞库引进细胞2000余株。以此为契机,公司组建了冠导细胞库,我司细胞均由资深细胞培养工程师进行培养。我司可以提供的细胞有:①细胞系②原代细胞③稳转株④耐药株⑤标记细胞⑥细胞配套试剂等。

成立日期 (11年)
注册资本 100万(元)
员工人数 50-100人
年营业额 ¥ 1000万-5000万
经营模式 工厂,试剂,定制,服务
主营行业 细胞培养,微生物学,细胞生物学

NCI-H1915 Cells|人非小细胞肺癌克隆细胞(包送STR鉴定报告)相关厂家报价

内容声明
拨打电话 立即询价