基本信息 产品详情 公司简介 推荐产品
网站主页 NCI-H510 CELLS:人小细胞肺癌细胞系 NCI-H510 Cells|人小细胞肺癌克隆细胞(包送STR鉴定报告)
  • NCI-H510 Cells|人小细胞肺癌克隆细胞(包送STR鉴定报告)

NCI-H510 Cells|人小细胞肺癌克隆细胞(包送STR鉴定报告)

NCI-H510 Cells
询价 1000000细胞数 起订
2000000细胞数 起订
上海 更新日期:2026-04-30

上海冠导生物工程有限公司

VIP6年
联系人:全经理
电话:18818239863拨打
邮箱:3171921642@qq.com

产品详情:

中文名称:
NCI-H510 Cells|人小细胞肺癌克隆细胞(包送STR鉴定报告)
英文名称:
NCI-H510 Cells
保存条件:
常温培养或液氮冻存
纯度规格:
NCI-H510 Cells|人小细胞肺癌克隆细胞(包送STR鉴定报告)
产品类别:
生化试剂

"NCI-H510 Cells|人小细胞肺癌克隆细胞(包送STR鉴定报告)

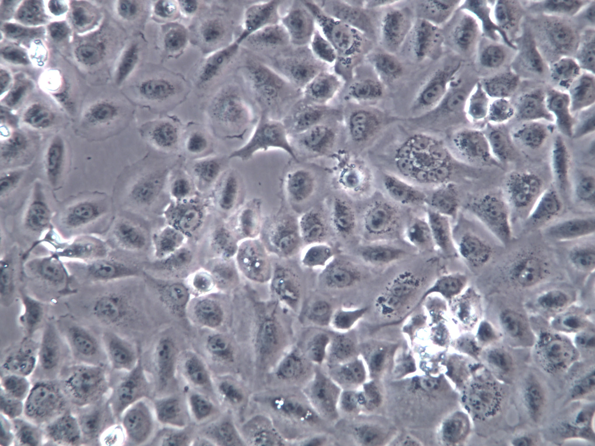
细胞形态:上皮细胞样

细胞生长:贴壁

复苏细胞:将含有1mL细胞悬液的冻存管在37℃水浴中迅速摇晃解冻,加入4mL培养基混合均匀。在1000RPM条件下离心4分钟,弃去上清液,补加1-2mL培养基后吹匀。然后将所有细胞悬液加入培养瓶中培养隔夜(或将细胞悬液加入10cm皿中,加入约8ml培养基,培养隔夜)。第二天换液并检查细胞密度。细胞传代:如果细胞密度达80%-90%,即可进行传代培养。对于悬浮细胞,传代可参考以下方法:方法一:收集细胞,1000RPM条件下离心4分钟,弃去上清液,补加1-2mL培养液后吹匀,将细胞悬液按1:2到1:5的比例分到新的含8ml培养基的新皿中或者瓶中。方法二:可选择半数换液方式,弃去半数培养基后,将剩余细胞悬起,将细胞悬液按1:2到1:3的比例分到新的含8ml培养基的新皿中或者瓶中。细胞冻存:待细胞生长状态良HAO时,可进行细胞冻存。悬浮细胞冻存时,应将细胞收集,1000RPM条件下离心5分钟,少量保存上清液(防止细胞吸走),加入部分新鲜培养基,加入到冻存管中,在冻存管中加入10%DMSO后进行冻存。

Ly1Cells;细胞背景资料:弥漫大B淋巴瘤;男性;细胞传代方法:1:2-1:3传代;每周换液2-3次。;细胞生长特性:悬浮;细胞形态特性:详见细胞说明书;相关细胞有:Intestinal Porcine Epithelial Cell line-1Cells、Sp2/0Cells、NCIH847细胞

OVCA 432Cells;细胞背景资料:详见相关文献介绍;细胞传代方法:1:2-1:3传代;每周换液2-3次。;细胞生长特性:贴壁或悬浮,详见细胞说明书部分;细胞形态特性:详见细胞说明书;相关细胞有:YES2Cells、NT-2Cells、HOC细胞

GP-293Cells;细胞背景资料:详见相关文献介绍;细胞传代方法:1:2-1:3传代;每周换液2-3次。;细胞生长特性:贴壁或悬浮,详见细胞说明书部分;细胞形态特性:详见细胞说明书;相关细胞有:Mo7eCells、NCI-522Cells、LCMS细胞

D10G41Cells;细胞背景资料:T淋巴Cells;AKR/J;细胞传代方法:1:2-1:3传代;每周换液2-3次。;细胞生长特性:悬浮;细胞形态特性:详见细胞说明书;相关细胞有:SUM-102Cells、AR4IPCells、bEnd3细胞

细胞物种来源:人源或鼠源等其它物种来源

NCI-H510 Cells|人小细胞肺癌克隆细胞(包送STR鉴定报告)

[细胞产品包装]鲜活细胞:T25培养瓶(一瓶)或冻存细胞:1ml冻存管(两支)

细胞分化(cell differentiation)是指同一来源的细胞逐渐产生出形态结构、功能征各不相同的细胞类群的过程,其结果是在空间上细胞产生差异,在时间上同一细胞与其从前的状态有所不同。细胞分化的本质是基因组在时间和空间上的选择性表达,通过不同基因表达的开启或关闭,终产生标志性蛋白质。一般情况下,细胞分化过程是不可逆的。然而,在某些条件下,分化了的细胞也不稳定,其基因表达模式也可以发生可逆性变化,又回到其未分化状态,这一过程称为去分化(dedifferentiation)。细胞分化的点包括:细胞分化的潜能随个体发育进程逐渐“缩窄”,在胚胎发育过程中,细胞逐渐由“全能”到“多能”,后向“单能”的趋向,是细胞分化的一般规律;细胞分化具有时空性,在个体发育过程中,多细胞生物细胞既有时间上的分化,也有空间上的分化;细胞分化与细胞的分裂状态和速度相适应,分化必须建立在分裂的基础上,即分化必然伴随着分裂,但分裂的细胞不一定就分化。分化程度越GAO,分裂能力也就越差;细胞分化具有GAO度的稳定性,正常生理条件下,已经分化为某种异的、稳定类型的细胞一般不可能逆转到未分化状态或者成为其他类型的分化细胞;细胞分化具有可塑性,已分化的细胞在殊条件下重新进入未分化状态或转分化为另一种类型细胞的现象。

细胞背景资料:详见相关文献介绍

T9Cells;细胞背景资料:胶质瘤;Fischer 344;细胞传代方法:1:2-1:3传代;每周换液2-3次。;细胞生长特性:贴壁;细胞形态特性:详见细胞说明书;相关细胞有:PLA801DCells、CWR22-R1Cells、NCIH250细胞

RenCaCells;细胞背景资料:详见相关文献介绍;细胞传代方法:1:2传代;细胞生长特性:贴壁生长;细胞形态特性:上皮细胞样;相关细胞有:NIE 115Cells、SVOGCells、MT-2细胞

YTCells;细胞背景资料:详见相关文献介绍;细胞传代方法:1:2-1:3传代;每周换液2-3次。;细胞生长特性:贴壁或悬浮,详见细胞说明书部分;细胞形态特性:详见细胞说明书;相关细胞有:LLCCells、HCEpiCCells、SKNMC细胞

MLE12Cells;细胞背景资料:肺;上皮Cells;SV40转化;FVB/N;细胞传代方法:1:2-1:3传代;每周换液2-3次。;细胞生长特性:贴壁;细胞形态特性:详见细胞说明书;相关细胞有:KATO 3Cells、Hs 606.TCells、SK-ES1细胞

细胞传代方法:1:3-1:8传代;每周换液2次。

NCI-H510 Cells|人小细胞肺癌克隆细胞(包送STR鉴定报告)

细胞来源说明:来源于RCB、ATCC、KCLB、DSMZ、ECACC、INCell、ScienCell、ECACC、JCRB、Asterand、ICLC等知名细胞库

原代细胞与细胞系有什么区别?细胞培养物来源于原代外植体或分散的细胞悬液。通常在这样的培养物中细胞增殖形成汇合地单层细胞或密集地细胞悬液。根据传统定义,次收获和接种的细胞被称为原代细胞[Freshney, R.I. (1987). Culture of Animal Cells. A Manual of Basic Technique. (New York, Alan R. Liss, Inc.)].这类细胞生命周期有限,在有限的生命周期内需掌握HAO细胞大的生长空间,以保持细胞群中基因型和表型的一致性。细胞系是不断生长,分化的细胞群,因其经过遗传改造,致使其具有无限增长的潜能。体外生长的细胞系用于医疗或科研。实际上,连续细胞系可以用大量次培养基培养,随着代数的增加细胞的基因型和表型都有可能发生改变。需要指出的是,在不同的科研小组中这些术语的定义会有所不同。许多研究员不用细胞系这个词表示细胞群除非细胞经过了遗传改造。

细胞生长特性:混合生长

细胞系永生化原理介绍:多数正常细胞的寿命是有限的,能传20-100代,但有些细胞,尤其是来自啮齿类或来自多数肿瘤的细胞,可以产生具有无限寿命的连续细胞系。啮齿类动物细胞在分离时核型是正常的,在传到12代左右以后可能出现危相,多数细胞在这个阶段死亡了,但少数细胞存活下来,并拥有了更GAO的生长率,成为连续细胞系。目前认为永生化是一个多步骤的过程,包括一系列细胞周期的调节基因(如Rb和p53)失活。目前主要从两个方向进行操作,病毒基因致永生化和端粒酶诱导的永生化,其原理如下:SV40 LT基因常用于诱导永生化。这个基因的产物-T抗原,可与Rb和p53结合。这样不仅使细胞增殖的寿命得以延长,同时也限制了如p53这样基因的DNA监控活性,从而使基因组的不稳定性增加,也增加了向永生化发展的进一步突变的机会(如上调端粒酶或下调端粒酶抑制物的活性)。用含可调节启动子的端粒酶基因进行转染,足以形成永生化细胞。这些基因中已被广泛应用的有:EBV用于淋巴母细胞样细胞;SV40 LT用于黏附细胞,如成纤维细胞(Mayne et al., 1996)、 角质形成细胞(Steinberg,1996) 和内皮细胞(Punchard et al.,1996)等;而hTERT则用于间充质干细胞和其他一些细胞。

NCI-H676B细胞类似产品::J82细胞、CPAE细胞、A-427细胞

NCIN87细胞类似产品::H1876细胞、NCIH841细胞、NCI-H2405细胞

786.O细胞类似产品::NCIH2347细胞、Caov-3细胞、NCIH1838细胞

AN3细胞类似产品::Kasumi 1细胞、alpha TC1 clone 6细胞、MNNG/HOS Cl #5细胞

ONS76细胞类似产品::TCam 2细胞、He-La细胞、MG63细胞

SW1463细胞类似产品::H69细胞、SF539细胞、TE1细胞

MZ-CRC-1细胞类似产品::H2030细胞、KM933细胞、SUM 102细胞

G-292 clone A141B1细胞类似产品::EB2细胞、NCIH244细胞、LLC1细胞

FDCP-1细胞类似产品::M21细胞、HCC1599细胞、GT1-1细胞

SNU638细胞类似产品::NIH:OVCAR3细胞、SP2-0-Ag14细胞、AD293细胞

NCI-H510 Cells|人小细胞肺癌克隆细胞(包送STR鉴定报告)

PC3M-1E8细胞类似产品::CEMx721.174.T2细胞、MC3T3-E1 Subclone 4细胞、Hs839.T细胞

NCI-H2052细胞类似产品::KYSE 180细胞、H22细胞、16HBE140细胞

MIA-PaCa-2细胞类似产品::Dakiki细胞、HSC3细胞、HCPEpiC细胞

NCIN87细胞类似产品::H1876细胞、NCIH841细胞、NCI-H2405细胞

PNT1A细胞类似产品::RPE-1细胞、HCCLM6细胞、HLEC-SRA 01/04细胞

CATHa细胞类似产品::KMB17细胞、GM 637细胞、GM 637细胞

CATHa细胞类似产品::KMB17细胞、GM 637细胞、GM 637细胞

Caco 2细胞类似产品::HEM-L细胞、hSCC-25细胞、FRO细胞

HUT-28细胞类似产品::P-815细胞、Hut292细胞、NMCG1细胞

Hs940-T细胞类似产品::NCI-H2228细胞、SNU-886细胞、DMS 79细胞

NCI-H2081细胞类似产品::NCI-H102细胞、Mouse podocyte细胞、Evsa-T细胞

Huh-7.5细胞类似产品::HEK 293-H细胞、NCI-H510细胞、MA104细胞

H-2330细胞类似产品::Soleus clone 8细胞、RL-952细胞、HEK293FT细胞

SG231细胞类似产品::K7M2细胞、32Dc3细胞、MRMT-1细胞

H-920细胞类似产品::JVM3细胞、SNU475细胞、NCIH2052细胞

HLE细胞类似产品::PLC细胞、D10G41细胞、NB4细胞

RDES-1细胞类似产品::HuT 78细胞、U-373-MG细胞、C-Lu-65细胞

NCIH524细胞类似产品::SDBMSC细胞、MDA-415细胞、Kit225细胞

KM-12细胞类似产品::T8细胞、MZCRC1细胞、U-251 MG细胞

Panc 2.03细胞类似产品::CC-LP-1细胞、SNU-368细胞、SKML-28细胞

HCC-827细胞类似产品::MCF-7B细胞、NCI-H1341细胞、SW 527细胞

PC14细胞类似产品::LMTK-细胞、Sup T-1细胞、HOPC细胞

MCF.10A细胞类似产品::HEP-3B2细胞、P1-Raji细胞、F442A细胞

Det 562细胞类似产品::Loucy细胞、G402细胞、NCI-H1882细胞

AD-293细胞类似产品::C4-2 Bone metastatic细胞、KYSE 150 KYSE150 Kyse150 KY150

细胞、Hs 888Lu细胞

CCF-STTG1细胞类似产品::MT-2J细胞、ME 180细胞、NCI-H1184细胞

H820细胞类似产品::CHP-100细胞、PC 61细胞、IAR-20细胞

Virginia Mason Research Center-Renal Cancer Z细胞类似产品::MDA-PCa-2b细胞、HT-22细胞、293FT细胞

PT-67细胞类似产品::Sp 2/0-Ag 14细胞、C666-1细胞、NCI-SNU-620细胞

DHL6细胞类似产品::KASUMI6细胞、C22细胞、LM(TK-)细胞

MH7A细胞类似产品::HOK细胞、BHP-10细胞、H1793细胞

WM-239-A细胞类似产品::Daudi细胞、Jurkat (clone E6-1)细胞、MKN-28细胞

OCILY-3细胞类似产品::Hs 888Lu细胞、Walker/LLC-WRC256细胞、P3X63 Ag8.653细胞

EAhy926细胞类似产品::Hs.27细胞、C-33 A细胞、NCI-322细胞

U-87-MG细胞类似产品::MFHL-2细胞、A375细胞、T98 G细胞

HLEC细胞类似产品::50.B1细胞、HEK293A细胞、KE-39细胞

FAK+/+细胞类似产品::NCI-H1869细胞、Melanoma 14细胞、RD-ES细胞

LS 123细胞类似产品::LS1034细胞、GRSL细胞、YTMLC-90细胞

SUP-M2细胞类似产品::SW1271细胞、D283MED细胞、Baby Hamster Kidney-21细胞

CaEs17细胞类似产品::X63Ag8-653细胞、SU-DHL-4细胞、B16/BL6细胞

C6细胞类似产品::NCIH1975细胞、GNM细胞、MUTZ-3细胞

SuperTube细胞类似产品::H1930细胞、TGW-I-nu细胞、LM6细胞

Granta519细胞类似产品::TE15细胞、Balb/c 3T3细胞、Ishikawa细胞

MKN 28细胞类似产品::AG06814-N细胞、RPMI #1846细胞、University of Michigan-Urothelial Carcinoma-1细胞

HP615细胞类似产品::Panc 8.13细胞、HPASMC细胞、PIG1细胞

3-LL细胞类似产品::CCD 966 SK细胞、SRS-82细胞、SW-954细胞

3-LL细胞类似产品::CCD 966 SK细胞、SRS-82细胞、SW-954细胞

MTC-TTCells;细胞背景资料:TT细胞由LeongSS等,自一位77岁白人女性甲状腺髓样癌患者的穿刺活检样本中建立。TT细胞持续产生高水平的降血素和CEA。更换培养基后24h和72h,在培养基中检测到的免疫活性的降血素浓度分别为3900pg/106个细胞和7700pg/106个细胞。72小时后CEA积累浓度超过27ng/106个Cells;该细胞Zui初是在RPMI1640培养液中培养,可产生神经肽,但还不知道在F12培养液中培养是否会产生。;细胞传代方法:1:3-1:4传代,每周换液2次。;细胞生长特性:贴壁生长;细胞形态特性:上皮样;相关细胞有:UMC11Cells、MeWoCells、HBVSMC细胞

SUDHL-8Cells;细胞背景资料:弥漫大B淋巴瘤;腹腔积液转移;男性;细胞传代方法:1:2-1:3传代;每周换液2-3次。;细胞生长特性:悬浮;细胞形态特性:详见细胞说明书;相关细胞有:SK-MEL-1Cells、OCI-Ly18Cells、LS123细胞

PM6Cells;细胞背景资料:肾癌;男性;细胞传代方法:1:2-1:3传代;每周换液2-3次。;细胞生长特性:贴壁;细胞形态特性:详见细胞说明书;相关细胞有:H-1694Cells、hEECCells、HCT116细胞

LLCPK1Cells;细胞背景资料:肾;自发永生;Hampshire;细胞传代方法:1:2-1:3传代;每周换液2-3次。;细胞生长特性:贴壁;细胞形态特性:详见细胞说明书;相关细胞有:SK-NMCCells、B-CPAPCells、HBEpiC细胞

BCaP 37Cells;细胞背景资料:源自一位48岁女性乳癌患者。;细胞传代方法:消化3-5分钟,1:2,3天内可长满;细胞生长特性:贴壁生长;细胞形态特性:上皮样;相关细胞有:LA-N-1Cells、PC615.3Cells、AG06814-N细胞

Super TubeCells;细胞背景资料:详见相关文献介绍;细胞传代方法:1:2-1:3传代;每周换液2-3次。;细胞生长特性:贴壁或悬浮,详见细胞说明书部分;细胞形态特性:详见细胞说明书;相关细胞有:SCCVII/StCells、COR-L23/PCells、TE5细胞

HT144Cells;细胞背景资料:详见相关文献介绍;细胞传代方法:1:3-1:8传代,2-3天换液1次。;细胞生长特性:贴壁生长;细胞形态特性:成纤维Cells;相关细胞有:PCI-4.2Cells、COLO829Cells、HEK 293-H细胞

MDA157Cells;细胞背景资料:该细胞源自一位患有乳腺髓样癌的44岁黑人女性,表达WNT7B癌基因,细胞与细胞边界处有细胞桥粒、微绒毛、张力细丝。;细胞传代方法:1:2-1:3传代;每周换液2-3次。;细胞生长特性:贴壁生长;细胞形态特性:上皮样;相关细胞有:Mink LungCells、T-cell Acute Lymphoblastic Leukemia-1Cells、UCLA NPA-87-1细胞

MPP89Cells;细胞背景资料:详见相关文献介绍;细胞传代方法:1:2-1:3传代;每周换液2-3次。;细胞生长特性:贴壁或悬浮,详见细胞说明书部分;细胞形态特性:详见细胞说明书;相关细胞有:HNEpCCells、MBdSMCCells、KS-SLK细胞

NCI-H510 Cells|人小细胞肺癌克隆细胞(包送STR鉴定报告)

GM03569DCells;细胞背景资料:该细胞是由绵羊红细胞免疫的BALB/c小鼠脾细胞和P3X63Ag8骨髓瘤细胞融合得到的。该细胞不分泌免疫球蛋白,对20μg/ml的8-氮鸟嘌呤有抗性,对HAT比较敏感;该细胞可以作为细胞融合时的B细胞组分用于制备杂交瘤;鼠痘病毒阴性。;细胞传代方法:1:2传代;细胞生长特性:悬浮生长;细胞形态特性:淋巴母细胞样;圆形;相关细胞有:MSTO-211HCells、MDA MB 175 VIICells、HL-60 clone15细胞

HS-729Cells;细胞背景资料:详见相关文献介绍;细胞传代方法:1:2传代;每周换液2-3次。;细胞生长特性:贴壁生长;细胞形态特性:成纤维Cells;相关细胞有:Murine Long bone Osteocyte-Y4Cells、SKNMCCells、RPMI 6666细胞

NTera 2Cells;细胞背景资料:畸胎瘤;男性;细胞传代方法:1:2-1:3传代;每周换液2-3次。;细胞生长特性:贴壁;细胞形态特性:详见细胞说明书;相关细胞有:N1E115Cells、NK62aCells、NCI-H295细胞

AC16 [Human hybrid]Cells;细胞背景资料:心肌;细胞传代方法:1:2-1:3传代;每周换液2-3次。;细胞生长特性:贴壁;细胞形态特性:详见细胞说明书;相关细胞有:SU86.86Cells、L2Cells、L23/P细胞

LA4Cells;细胞背景资料:肺癌;A/He;细胞传代方法:1:2-1:3传代;每周换液2-3次。;细胞生长特性:贴壁;细胞形态特性:详见细胞说明书;相关细胞有:293/EBNA-1Cells、NS1Cells、T HEECs细胞

CL-11Cells;细胞背景资料:详见相关文献介绍;细胞传代方法:1:2-1:3传代;每周换液2-3次。;细胞生长特性:贴壁或悬浮,详见细胞说明书部分;细胞形态特性:详见细胞说明书;相关细胞有:University of Michigan-Urothelial Carcinoma-1Cells、MGH-U3 (RN)Cells、RC13细胞

CORL23Cells;细胞背景资料:详见相关文献介绍;细胞传代方法:1:2-1:3传代;每周换液2-3次。;细胞生长特性:贴壁或悬浮,详见细胞说明书部分;细胞形态特性:详见细胞说明书;相关细胞有:DoTc2Cells、Madin Darby Bovine KidneyCells、RF/6A细胞

CORL23Cells;细胞背景资料:详见相关文献介绍;细胞传代方法:1:2-1:3传代;每周换液2-3次。;细胞生长特性:贴壁或悬浮,详见细胞说明书部分;细胞形态特性:详见细胞说明书;相关细胞有:DoTc2Cells、Madin Darby Bovine KidneyCells、RF/6A细胞

MDA-MB-468Cells;细胞背景资料:该细胞是1977年由CailleauR等从一位患有转移性乳腺癌的51岁黑人女性的胸腔积液中分离得到的。虽然供体组织的G6PD等位基因杂合,但此细胞株始终表现为G6PDA表型。P53基因273位密码子存在G→A突变,从而导致Arg→His替代。每个细胞上存在1×106个EGF受体。;细胞传代方法:1:2-1:4传代;2-3天换液1次;细胞生长特性:贴壁生长;细胞形态特性:上皮样;相关细胞有:V79-4Cells、H82Cells、Ra No. 1细胞

EoL-1-cellCells;细胞背景资料:急性髓系白血病;男性;细胞传代方法:1:2-1:3传代;每周换液2-3次。;细胞生长特性:悬浮;细胞形态特性:详见细胞说明书;相关细胞有:BRLCells、H-1048Cells、SPCA-1细胞

Human Melanoma Cell BowesCells;细胞背景资料:详见相关文献介绍;细胞传代方法:1:6—1:10传代,2天换液1次;细胞生长特性:贴壁生长;细胞形态特性:上皮Cells;相关细胞有:Jeko1Cells、hEM15ACells、Ca 9-22细胞

WML2Cells;细胞背景资料:肺;成纤维Cells;细胞传代方法:1:2-1:3传代;每周换液2-3次。;细胞生长特性:贴壁;细胞形态特性:详见细胞说明书;相关细胞有:UMR-106Cells、BCP1Cells、K7M2细胞

NCIADR.RESCells;细胞背景资料:详见相关文献介绍;细胞传代方法:1:2-1:3传代;每周换液2-3次。;细胞生长特性:贴壁或悬浮,详见细胞说明书部分;细胞形态特性:详见细胞说明书;相关细胞有:SUNE 1Cells、SU-DHL-5Cells、3LL细胞

FOXNYCells;细胞背景资料:详见相关文献介绍;细胞传代方法:1:2-1:3传代;每周换液2-3次。;细胞生长特性:贴壁或悬浮,详见细胞说明书部分;细胞形态特性:详见细胞说明书;相关细胞有:B16/F1Cells、P815Cells、251 MG细胞

NCIH1755Cells;细胞背景资料:详见相关文献介绍;细胞传代方法:1:2传代;细胞生长特性:贴壁生长;细胞形态特性:详见细胞说明书;相关细胞有:FETCells、RGM-1Cells、MILE SVEN1细胞

UWB1289Cells;细胞背景资料:详见相关文献介绍;细胞传代方法:1:2传代;细胞生长特性:贴壁生长 ;细胞形态特性:详见细胞说明书;相关细胞有:A 2780 CPCells、Panc_05_04Cells、NCIH2081细胞

H196Cells;细胞背景资料:详见相关文献介绍;细胞传代方法:1:4-1:6传代;每周换液2-3次。;细胞生长特性:贴壁生长;细胞形态特性:详见细胞说明书;相关细胞有:WM-2664Cells、HcaFCells、GM01232细胞

KNS81Cells;细胞背景资料:详见相关文献介绍;细胞传代方法:1:2传代;细胞生长特性:贴壁生长;细胞形态特性:上皮样;相关细胞有:3T3-J2Cells、LS-513Cells、LUDLU 1细胞

SKNBE-1Cells;细胞背景资料:详见相关文献介绍;细胞传代方法:1:2-1:3传代;每周换液2-3次。;细胞生长特性:贴壁或悬浮,详见细胞说明书部分;细胞形态特性:详见细胞说明书;相关细胞有:SKOV-433Cells、BC3H-1Cells、JS1细胞

SW 837Cells;细胞背景资料:详见相关文献介绍;细胞传代方法:1:2—1:5传代,每周换液1-2次;细胞生长特性:悬浮生长;细胞形态特性:上皮Cells;相关细胞有:NCIH2122Cells、NCM-460Cells、Kasumi-1细胞

HR1KCells;细胞背景资料:详见相关文献介绍;细胞传代方法:每2-3天换液;细胞生长特性:悬浮生长 ;细胞形态特性:淋巴母细胞样;相关细胞有:JB6 Cl 30-7bCells、TM-4Cells、IB-RS2细胞

H766TCells;细胞背景资料:详见相关文献介绍;细胞传代方法:1:2—1:8传代,每周换液2—3次;细胞生长特性:贴壁生长;细胞形态特性:上皮Cells;相关细胞有:Hs27Cells、EAHY-926Cells、Y3Ag1.2.3细胞

H-1581Cells;细胞背景资料:详见相关文献介绍;细胞传代方法:每周换液2次。;细胞生长特性:混合型;细胞形态特性:上皮样;相关细胞有:NCI-H841Cells、HLECells、YH细胞

WM-239-ACells;细胞背景资料:黑色素瘤;女性;细胞传代方法:1:2-1:3传代;每周换液2-3次。;细胞生长特性:贴壁;细胞形态特性:详见细胞说明书;相关细胞有:DaudiCells、Jurkat (clone E6-1)Cells、MKN-28细胞

OCILY-3Cells;细胞背景资料:弥漫大B淋巴瘤;男性;细胞传代方法:1:2-1:3传代;每周换液2-3次。;细胞生长特性:悬浮;细胞形态特性:详见细胞说明书;相关细胞有:Hs 888LuCells、Walker/LLC-WRC256Cells、P3X63 Ag8.653细胞

NCI-H295Cells;细胞背景资料:详见相关文献介绍;细胞传代方法:1:2-1:3传代;每周换液2-3次。;细胞生长特性:贴壁或悬浮,详见细胞说明书部分;细胞形态特性:详见细胞说明书;相关细胞有:NCIH2141Cells、HUC-1Cells、Keio University-19-19细胞

MH7ACells;细胞背景资料:关节;成纤维Cells;SV40转化;女性;细胞传代方法:1:2-1:3传代;每周换液2-3次。;细胞生长特性:贴壁;细胞形态特性:详见细胞说明书;相关细胞有:HOKCells、BHP-10Cells、H1793细胞

NCIH23Cells;细胞背景资料:详见相关文献介绍;细胞传代方法:1:3传代;3-4天1次。;细胞生长特性:贴壁生长;细胞形态特性:上皮样;相关细胞有:mIMCD-3Cells、SUPM2Cells、U-118-MG细胞

MCF7-GFPCells;细胞背景资料:详见相关文献介绍;细胞传代方法:1:2-1:3传代;每周换液2-3次。;细胞生长特性:贴壁或悬浮,详见细胞说明书部分;细胞形态特性:详见细胞说明书;相关细胞有:P3/NS-1Cells、SW 1353Cells、CCRF-CEM C1细胞

SUM-149Cells;细胞背景资料:乳腺癌;女性;细胞传代方法:1:2-1:3传代;每周换液2-3次。;细胞生长特性:贴壁;细胞形态特性:详见细胞说明书;相关细胞有:RAMOS2G64C10Cells、HMEC-1Cells、KYSE-150细胞

L 540Cells;细胞背景资料:霍奇金淋巴瘤;女性;细胞传代方法:1:2-1:3传代;每周换液2-3次。;细胞生长特性:悬浮;细胞形态特性:详见细胞说明书;相关细胞有:JKT1Cells、RWPE-2Cells、UACC 893细胞

U-118-MGCells;细胞背景资料:注意: 据报道来自不同个体的胶质母细胞瘤细胞株U-118 MG (HTB-15) 和 U-138 MG (HTB-16)有着一致的VNTR和相近的STR模式。 U-118 MG 和 U-138 MG细胞遗传学上很相似并有至少六个衍生标记染色体。 这是1966年至1969年间J. Ponten和同事从恶性神经胶质瘤中构建的细胞株中的一株(其它包括ATCC HTB-14和 ATCC HTB-16 and ATCC HTB-17)。 1987年用BM-Cycline培养6周去除了支原体污染。 ;细胞传代方法: 消化3-5分钟。1:2传代。3天内可长满。;细胞生长特性:贴壁生长;细胞形态特性:混合型;相关细胞有:KP4Cells、Hs611TCells、NB-9细胞

YES 2Cells;细胞背景资料:食管鳞癌;男性;细胞传代方法:1:2-1:3传代;每周换液2-3次。;细胞生长特性:贴壁;细胞形态特性:详见细胞说明书;相关细胞有:SNU520Cells、Factor Dependent Continuous-Paterson 1Cells、SUM-159细胞

"


NCI-H510 Cells|人小细胞肺;

公司简介

上海冠导生物工程有限公司,先后从ATCC、DSMZ、ECACC、RIKEN、PromoCell、ScienCell、JCRB等国内外细胞库引进细胞2000余株。以此为契机,公司组建了冠导细胞库,我司细胞均由资深细胞培养工程师进行培养。我司可以提供的细胞有:①细胞系②原代细胞③稳转株④耐药株⑤标记细胞⑥细胞配套试剂等。

成立日期 (11年)
注册资本 100万(元)
员工人数 50-100人
年营业额 ¥ 1000万-5000万
经营模式 工厂,试剂,定制,服务
主营行业 细胞培养,微生物学,细胞生物学

NCI-H510 Cells|人小细胞肺癌克隆细胞(包送STR鉴定报告)相关厂家报价

内容声明
拨打电话 立即询价