基本信息 产品详情 公司简介 推荐产品
网站主页 NCI-H524 CELLS:人非小细胞肺癌细胞系 NCI-H524 Cells|人非小细胞肺癌克隆细胞
  • NCI-H524 Cells|人非小细胞肺癌克隆细胞

NCI-H524 Cells|人非小细胞肺癌克隆细胞

NCI-H524 Cells
询价 1000000细胞数 起订
2000000细胞数 起订
上海 更新日期:2026-04-16

上海冠导生物工程有限公司

VIP6年
联系人:全经理
电话:18818239863拨打
邮箱:3171921642@qq.com

产品详情:

中文名称:
NCI-H524 Cells|人非小细胞肺癌克隆细胞
英文名称:
NCI-H524 Cells
保存条件:
常温培养或液氮冻存
纯度规格:
NCI-H524 Cells|人非小细胞肺癌克隆细胞
产品类别:
生化试剂

"NCI-H524 Cells|人非小细胞肺癌克隆细胞

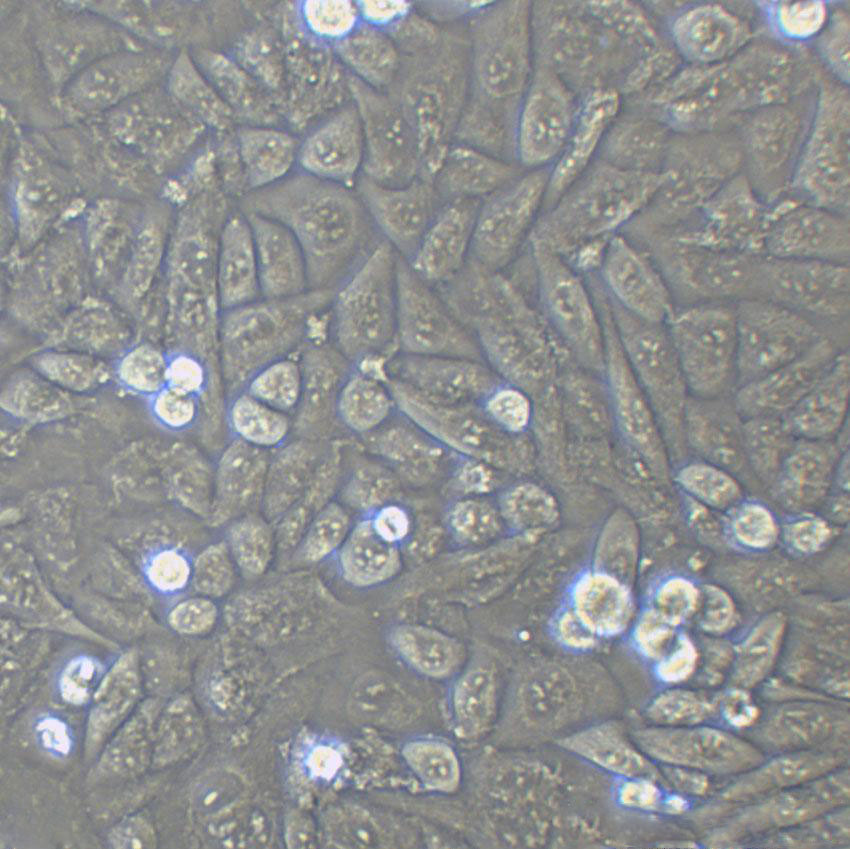
细胞形态:上皮细胞样

细胞生长:贴壁

复苏细胞:将含有1mL细胞悬液的冻存管在37℃水浴中迅速摇晃解冻,加入4mL培养基混合均匀。在1000RPM条件下离心4分钟,弃去上清液,补加1-2mL培养基后吹匀。然后将所有细胞悬液加入培养瓶中培养隔夜(或将细胞悬液加入10cm皿中,加入约8ml培养基,培养隔夜)。第二天换液并检查细胞密度。细胞传代:如果细胞密度达80%-90%,即可进行传代培养。对于悬浮细胞,传代可参考以下方法:方法一:收集细胞,1000RPM条件下离心4分钟,弃去上清液,补加1-2mL培养液后吹匀,将细胞悬液按1:2到1:5的比例分到新的含8ml培养基的新皿中或者瓶中。方法二:可选择半数换液方式,弃去半数培养基后,将剩余细胞悬起,将细胞悬液按1:2到1:3的比例分到新的含8ml培养基的新皿中或者瓶中。细胞冻存:待细胞生长状态良HAO时,可进行细胞冻存。悬浮细胞冻存时,应将细胞收集,1000RPM条件下离心5分钟,少量保存上清液(防止细胞吸走),加入部分新鲜培养基,加入到冻存管中,在冻存管中加入10%DMSO后进行冻存。

HSC-1Cells;细胞背景资料:皮肤鳞癌;男性;细胞传代方法:1:2-1:3传代;每周换液2-3次。;细胞生长特性:贴壁;细胞形态特性:详见细胞说明书;相关细胞有:293 HCells、HOP 62Cells、WI-38细胞

LO2Cells;细胞背景资料:详见相关文献介绍;细胞传代方法:1:2-1:3传代;每周换液2-3次。;细胞生长特性:贴壁或悬浮,详见细胞说明书部分;细胞形态特性:详见细胞说明书;相关细胞有:IOSE 29Cells、NR 8383Cells、Hs 695T细胞

COLO-205Cells;细胞背景资料:该细胞系是1957年由T.U.Sample等从患有结肠癌的70岁男性白人的腹水中分离的。该病人在取腹水样品前已用5-尿嘧啶治疗4~6周。角蛋白免疫过氧化物酶染色阳性;产生CEA、IL10。;细胞传代方法:1:2传代;细胞生长特性:贴壁生长;细胞形态特性:上皮样;相关细胞有:NCI-H1105Cells、COV 434Cells、NMCG-1细胞

Gingival carcinoma Neck MetastasisCells;细胞背景资料:详见相关文献介绍;细胞传代方法:1:2-1:3传代;每周换液2-3次。;细胞生长特性:贴壁或悬浮,详见细胞说明书部分;细胞形态特性:详见细胞说明书;相关细胞有:NIH/3T3Cells、BV-173Cells、HEK/293细胞

细胞物种来源:人源或鼠源等其它物种来源

NCI-H524 Cells|人非小细胞肺癌克隆细胞

[细胞产品包装]鲜活细胞:T25培养瓶(一瓶)或冻存细胞:1ml冻存管(两支)

细胞常用保藏方法和点:-196℃液氮保存,冻存流程:手动程序降温:4℃(30分钟),-20℃(1小时),-80℃(过夜),移至-196℃液氮中保存。自动程序降温:冷冻管置于已设定HAO程序(按 1-3*C/min速率降至-120°C)的等速降温机中,再安置于液氮罐上。待程序完毕后,移除等速降温机,长期保存。点:操作相对复杂,需要程序降温。依赖液氮,需定期检查液氮罐,补加液氮。使用范围大,大部分细胞可以采用液氮保藏。设定-80℃超低温冰箱,冻存流程:收集对数生长期的细胞,用无血清细胞冻存液重悬细胞,置于冻存管中,不需预冷,直接-80℃冷冻长期保存。设定-80℃超低温冰箱。点:操作简单,无需程序降温;成分明确,不含血清,较少支原体等其他微生物污染。细胞使用范围小,对于大部分细胞冻存效果不佳。

细胞背景资料:该细胞1982年建系,源自非小细胞肺癌男性患者的转移淋巴结。

SKRC-42Cells;细胞背景资料:详见相关文献介绍;细胞传代方法:1:2-1:3传代;每周换液2-3次。;细胞生长特性:贴壁或悬浮,详见细胞说明书部分;细胞形态特性:详见细胞说明书;相关细胞有:H-1618Cells、Ra No. 1Cells、NK-92MI细胞

NK92-MICells;细胞背景资料:NKCells;淋巴瘤;男性;细胞传代方法:1:2-1:3传代;每周换液2-3次。;细胞生长特性:悬浮;细胞形态特性:详见细胞说明书;相关细胞有:MPP 89Cells、CHP 126Cells、BRL3A细胞

H1435Cells;细胞背景资料:详见相关文献介绍;细胞传代方法:1:3-1:6传代,每周换液2-3次;细胞生长特性:贴壁生长,松散;细胞形态特性:详见细胞说明书;相关细胞有:Panc5.04Cells、NCIH1395Cells、190PT细胞

Line 522Cells;细胞背景资料:肺腺癌;女性;细胞传代方法:1:2-1:3传代;每周换液2-3次。;细胞生长特性:贴壁;细胞形态特性:详见细胞说明书;相关细胞有:H4IIEC3Cells、F442-ACells、hMSC-BM细胞

细胞传代方法:1:2-1:3传代;每周换液2-3次。

NCI-H524 Cells|人非小细胞肺癌克隆细胞

细胞来源说明:来源于RCB、ATCC、KCLB、DSMZ、ECACC、INCell、ScienCell、ECACC、JCRB、Asterand、ICLC等知名细胞库

原代细胞与细胞系有什么区别?细胞培养物来源于原代外植体或分散的细胞悬液。通常在这样的培养物中细胞增殖形成汇合地单层细胞或密集地细胞悬液。根据传统定义,次收获和接种的细胞被称为原代细胞[Freshney, R.I. (1987). Culture of Animal Cells. A Manual of Basic Technique. (New York, Alan R. Liss, Inc.)].这类细胞生命周期有限,在有限的生命周期内需掌握HAO细胞大的生长空间,以保持细胞群中基因型和表型的一致性。细胞系是不断生长,分化的细胞群,因其经过遗传改造,致使其具有无限增长的潜能。体外生长的细胞系用于医疗或科研。实际上,连续细胞系可以用大量次培养基培养,随着代数的增加细胞的基因型和表型都有可能发生改变。需要指出的是,在不同的科研小组中这些术语的定义会有所不同。许多研究员不用细胞系这个词表示细胞群除非细胞经过了遗传改造。

细胞生长特性:悬浮生长

细胞系(cell line)指原代细胞培养物经首次传代成功后所繁殖的细胞群体。 也指可长期连续传代的培养细胞。(由此便引申出了后来的有限细胞系(FiniteCellLine)、无限细胞系(InfiniteCellLine)),因此,细胞系狭义的是指可连续传代的细胞(定环境下口语和书面语都使用),广义是指可传代的细胞。肿瘤细胞系多由癌瘤建成,多呈类上皮型细胞,常已传几十代或百代以上,并具有不死性和异体接种致瘤性,丧失接触抑制能力。国际上美、英和日本等国已建有细胞库;美国已有美国标准细胞库或细胞银行(ATCC)和人遗传突变细胞库(HGMR)、细胞衰老细胞库(CAR)等,其中ATCC不仅是美国也世界大的细胞库。细胞系建立要求:什么样的体外培养群可被认可为己鉴定的细胞,视具体情况而定,无统一规定。对于用作原代培养的细胞只要供体均一,取材部位及组织种类等条件稳定即可,如用做长期培养,别是反复传代的细胞,常需做如下说明:组织来源:细胞供体所属物种,来自人体或者动物;个体性别、年龄;取材的器官或组织。如系肿瘤组织,应说明临床和病理诊断,以及病历号等。细胞生物学检测:了解细胞一般和殊的生物学性状,如细胞一般形态,异结构,细胞生长曲线和分裂指数,倍增时间,接种率等。如为肿瘤细胞,为说明来源于原肿瘤组织并保持恶性,须做软琼脂培养,异体接种致瘤和对正常组织侵润力等实验。培养条件和方法;应说明细胞系(或株)适应的生存环境,即指明使用的培养基、血清种类、用量以及适宜PH值。

Nb2a细胞类似产品::CEM clone 7细胞、PIGI细胞、Kato-III细胞

SK-GT-4细胞类似产品::6-10B细胞、H1963细胞、M2-10B4细胞

Duke University 145细胞类似产品::M619细胞、D-283 Med细胞、Japanese Tissue Culture-39细胞

BNL-CL.2细胞类似产品::NW-MEL-38细胞、HSF细胞、P31-FUJ细胞

WC00059细胞类似产品::GM01232细胞、LTEPa2细胞、NCI H157细胞

NCIH1666细胞类似产品::MDCK (NBL-2)细胞、SUDHL10细胞、Murine Lung Epithelial-12细胞

SW-1222细胞类似产品::SEG1细胞、GTL 16细胞、RCK-8细胞

MHCCLM3细胞类似产品::HCC0095细胞、H2110细胞、SNU-719细胞

N1E-115细胞类似产品::87MG细胞、MDA-MB-175-VII细胞、AML193细胞

H-4-II-E细胞类似产品::8505C细胞、SNUC2A细胞、U-373-MG细胞

NCI-H524 Cells|人非小细胞肺癌克隆细胞

RPMI 8226/S细胞类似产品::AC16 [Human hybrid]细胞、NCIH1650细胞、PANC-1细胞

Panc 10.05细胞类似产品::U373-MG细胞、CMT-93细胞、SNUC2A细胞

H1819细胞类似产品::HEL细胞、NCI-H446细胞、NCI-H1395细胞

HTori:3细胞类似产品::KBM-7/Hap8细胞、H4-II-E细胞、SCC7细胞

HCEC细胞类似产品::HARAB细胞、VSC4.1细胞、B104 [Rat neuroblastoma]细胞

HARAB细胞类似产品::EA. hy 926细胞、Jurkat FHCRC细胞、FUOV1细胞

HARAB细胞类似产品::EA. hy 926细胞、Jurkat FHCRC细胞、FUOV1细胞

IGROV 1细胞类似产品::HDF-a细胞、NCI-Hut 125细胞、OLN-93细胞

RMG1细胞类似产品::MFE-280细胞、NCI-H2110细胞、H82sclc细胞

HSC-T6细胞类似产品::Hs742T细胞、MM6细胞、HOC-1细胞

MDA-MB 231细胞类似产品::HCT 116细胞、UM-UC-1细胞、HCC1806细胞

HCC-1569细胞类似产品::WSUDLCL2细胞、AN3 CA细胞、Hs606T细胞

Hs 636.T细胞类似产品::EFO-27细胞、HCC1428细胞、PAa细胞

FU-OV-1细胞类似产品::NCIH526细胞、MDA-MB-231-GFP细胞、U-CH1细胞

NCIH526细胞类似产品::Panc8.13细胞、WERI Rb-1细胞、ATC241细胞

KOSC-2 cl3-43细胞类似产品::Calu6细胞、MDCC-MSB1细胞、MD Anderson-Metastatic Breast-175-VIII细胞

RCC10RGB细胞类似产品::PLA801-95C细胞、Michigan Cancer Foundation-10A细胞、MIO-M1细胞

H-2330细胞类似产品::Soleus clone 8细胞、RL-952细胞、HEK293FT细胞

Huh-7细胞类似产品::MCM细胞、EAhy926细胞、MDAMB435S细胞

JM-Jurkat细胞类似产品::PFSK-1细胞、TE85细胞、Hs274T细胞

NT2/D1细胞类似产品::H-2170细胞、KYSE0410细胞、Y79细胞

GM637A细胞类似产品::HO-8910 PM细胞、686LN-M4e细胞、Hs 746.T细胞

H35细胞类似产品::OV 2008细胞、6T-CEM细胞、OVCAR8细胞

V-79细胞类似产品::NCI-SNU-5细胞、H9细胞、SKM1细胞

MDAMB435S细胞类似产品::Caco-2/BBe 1细胞、TOV21细胞、NCI-SNU-520细胞

Hs 688(A).T细胞类似产品::SCC25细胞、E.G7-OVA细胞、SK LU 1细胞

CTV-1细胞类似产品::P3/NS1/Ag4-1细胞、T-98G细胞、FLS细胞

PLA801D细胞类似产品::P388-D1细胞、LU-65M细胞、LTEP-a-2细胞

TT细胞类似产品::IEC 6细胞、no.11细胞、GM04154B细胞

A-549细胞类似产品::MDAMB468细胞、HCC1937细胞、P30-OHK细胞

H-596细胞类似产品::H-661细胞、CAL62细胞、Tb1Lu细胞

LoVo细胞类似产品::KYSE 270细胞、SNU878细胞、NCI-H1105细胞

Rainbow Trout Embryo细胞类似产品::SupB15W细胞、BOWES细胞、TOG细胞

KYSE30细胞类似产品::MCF7/WT细胞、Lymph Node Carcinoma of the prostate细胞、HCA7细胞

NCIH2126细胞类似产品::GM05862细胞、H1954细胞、HS-766T细胞

HNTEC细胞类似产品::MES-SA细胞、NRK clone 52E细胞、MCM细胞

PC-3M-IE8细胞类似产品::MDA-MB-231-GFP细胞、M059J细胞、CCK-81细胞

Tissue Culture-1细胞类似产品::CA-46细胞、HCC1419细胞、WC00059细胞

KBM-5细胞类似产品::BPH-1细胞、University of Michigan-Urothelial Carcinoma-1细胞、Oregon J-111细胞

SH-SY5Y细胞类似产品::HMEC1细胞、COR L279细胞、ES-2细胞

H187细胞类似产品::NCI-H748细胞、TE-7细胞、H2342细胞

GM01232细胞类似产品::Tu212细胞、32D.3细胞、J82 COT细胞

Wien 133细胞类似产品::NCI-H1404细胞、KLM-1细胞、MNNG细胞

Hs 822.T细胞类似产品::SK-N-MC细胞、CV 1细胞、GCT0404细胞

DHL8细胞类似产品::Rat Chondrosarcoma Swarm细胞、Hu-P-T4细胞、SBC5细胞

EST81细胞类似产品::HCC-1954细胞、WB-F344细胞、OVCAR.3细胞

OVCAR3细胞类似产品::BLO-11细胞、SNB.19细胞、NCI-H711细胞

COR-L279Cells;细胞背景资料:详见相关文献介绍;细胞传代方法:1:2-1:3传代;每周换液2-3次。;细胞生长特性:贴壁或悬浮,详见细胞说明书部分;细胞形态特性:详见细胞说明书;相关细胞有:NS1Cells、Caov-4Cells、HCC0015细胞

PK-15Cells;细胞背景资料:PK-15细胞建系于1955(Stice,E)。是PK-1a细胞的克隆系。该细胞系可用于多种病毒的增值及特性研究。另外,电镜观察发现,PK-15细胞内有C-型病毒颗粒存在,是研究C-型病毒的材料。;细胞传代方法:1:2-1:3传代;每周换液2-3次。;细胞生长特性:贴壁;细胞形态特性:上皮细胞样;相关细胞有:PIGICells、SK Mel28Cells、GB1细胞

Keio University-19-19Cells;细胞背景资料:膀胱癌;男性;细胞传代方法:1:2-1:3传代;每周换液2-3次。;细胞生长特性:贴壁;细胞形态特性:详见细胞说明书;相关细胞有:SF539Cells、RPMI no 8226Cells、IHH-4细胞

SU-DHL-5Cells;细胞背景资料:详见相关文献介绍;细胞传代方法:1:2-1:3传代;每周换液2-3次。;细胞生长特性:贴壁或悬浮,详见细胞说明书部分;细胞形态特性:详见细胞说明书;相关细胞有:WiDr-TCCells、PC3-MCells、MCA 38细胞

RBE4Cells;细胞背景资料:2型腺病毒转化;SD大鼠;细胞传代方法:1:2-1:3传代;每周换液2-3次。;细胞生长特性:贴壁;细胞形态特性:详见细胞说明书;相关细胞有:B95-8Cells、MCF-12FCells、NCIH522细胞

OCI-Ly8Cells;细胞背景资料:弥漫大B淋巴瘤;细胞传代方法:1:2-1:3传代;每周换液2-3次。;细胞生长特性:悬浮;细胞形态特性:详见细胞说明书;相关细胞有:FRTL5Cells、LCMSCells、NCI-H69细胞

T2Cells;细胞背景资料:详见相关文献介绍;细胞传代方法:1:3—1:6传代,每周换液2—3次;细胞生长特性:悬浮生长;细胞形态特性:淋巴母细胞样;相关细胞有:HCC-38Cells、Mel-624Cells、Hs-695-T细胞

MDA-MB-330Cells;细胞背景资料:详见相关文献介绍;细胞传代方法:1:2-1:3传代;每周换液2-3次。;细胞生长特性:贴壁或悬浮,详见细胞说明书部分;细胞形态特性:详见细胞说明书;相关细胞有:U-226AR1Cells、SNU-216Cells、HLE B-3细胞

OV 1063Cells;细胞背景资料:卵巢上皮细胞癌;细胞传代方法:1:2-1:3传代;每周换液2-3次。;细胞生长特性:贴壁;细胞形态特性:详见细胞说明书;相关细胞有:Pt K2 (NBL-5)Cells、B6Tert-1Cells、RL细胞

NCI-H524 Cells|人非小细胞肺癌克隆细胞

RAGCells;细胞背景资料:肾癌;BALB/c;细胞传代方法:1:2-1:3传代;每周换液2-3次。;细胞生长特性:贴壁;细胞形态特性:详见细胞说明书;相关细胞有:HFTFCells、OSRC2Cells、CD18细胞

High-5Cells;细胞背景资料:详见相关文献介绍;细胞传代方法:1:2-1:3传代;每周换液2-3次。;细胞生长特性:贴壁或悬浮,详见细胞说明书部分;细胞形态特性:详见细胞说明书;相关细胞有:NCIH446Cells、CL-40Cells、HCC-1359细胞

SUM 149PTCells;细胞背景资料:乳腺癌;女性;细胞传代方法:1:2-1:3传代;每周换液2-3次。;细胞生长特性:贴壁;细胞形态特性:详见细胞说明书;相关细胞有:3-LLCells、SHEECells、PE CA PJ34细胞

OVCAR.3Cells;细胞背景资料:该细胞1982年由T.C. Hamilton等建系,源自一位60卵巢腺癌的腹水,是卵巢癌抗药性研究的模型。;细胞传代方法:1:2—1:4传代,每周换液2—3次;细胞生长特性:贴壁生长;细胞形态特性:上皮细胞样;相关细胞有:Vero C1008Cells、SKNEP1Cells、Madin Darby Canine Kidney细胞

SK-RC 39Cells;细胞背景资料:详见相关文献介绍;细胞传代方法:1:2-1:3传代;每周换液2-3次。;细胞生长特性:贴壁或悬浮,详见细胞说明书部分;细胞形态特性:详见细胞说明书;相关细胞有:TE-15Cells、HT1080Cells、NCI.H23细胞

NS1-Ag 4/1Cells;细胞背景资料:这是P3X63Ag8(ATCCTIB-9)的一个不分泌克隆。Kappa链合成了但不分泌。能抗0.1mM8-氮杂鸟嘌呤但不能在HAT培养基中生长。据报道它是由于缺失了3-酮类固醇还原酶活性的胆固醇营养缺陷型。检测表明肢骨发育畸形病毒(鼠痘)阴性。;细胞传代方法:1:2传代,3天内可长满。;细胞生长特性:悬浮生长;细胞形态特性:淋巴母Cells;相关细胞有:Meat Animal Research Center-145Cells、AMO-1Cells、ESC细胞

H2196Cells;细胞背景资料:详见相关文献介绍;细胞传代方法:1:3-1:6传代;每周换液2次。;细胞生长特性:贴壁或悬浮,详见细胞说明书部分;细胞形态特性:详见细胞说明书;相关细胞有:LA-N-6(OAN)Cells、MC/CARCells、IGR-OV1细胞

H2196Cells;细胞背景资料:详见相关文献介绍;细胞传代方法:1:3-1:6传代;每周换液2次。;细胞生长特性:贴壁或悬浮,详见细胞说明书部分;细胞形态特性:详见细胞说明书;相关细胞有:LA-N-6(OAN)Cells、MC/CARCells、IGR-OV1细胞

H1666_DACells;细胞背景资料:详见相关文献介绍;细胞传代方法:1:2-1:4传代;每周换液2次。;细胞生长特性:贴壁生长,松散;细胞形态特性:上皮Cells;相关细胞有:RK13Cells、NCI-SNU-387Cells、ARO细胞

AA-MelCells;细胞背景资料:详见相关文献介绍;细胞传代方法:1:3-1:6传代,2-3天换液1次。;细胞生长特性:贴壁生长;细胞形态特性:星形的;相关细胞有:SW1463Cells、L 929Cells、HT-1080细胞

NT2/D1Cells;细胞背景资料:详见相关文献介绍;细胞传代方法:1:2-1:3传代;每周换液2-3次。;细胞生长特性:贴壁或悬浮,详见细胞说明书部分;细胞形态特性:详见细胞说明书;相关细胞有:H-2170Cells、KYSE0410Cells、Y79细胞

QBC939Cells;细胞背景资料:详见相关文献介绍;细胞传代方法:1:2传代;细胞生长特性:贴壁生长 ;细胞形态特性:详见细胞说明书;相关细胞有:HRA-19Cells、TE9Cells、C518细胞

MDA-134Cells;细胞背景资料:该细胞1973年由R. Cailleau建系,源自74岁乳腺导管癌女性患者的胸腔积液,细胞生长缓慢,松散贴壁,生长过程中会脱落到培养基,不会汇合,过表达FGF受体;细胞传代方法:1:2—1:4传代,每周换液2—3次;细胞生长特性:松散贴壁生长;细胞形态特性:上皮细胞样;相关细胞有:CV1Cells、OACP4CCells、LLC细胞

MGH-U3Cells;细胞背景资料:详见相关文献介绍;细胞传代方法:1:2-1:3传代;每周换液2-3次。;细胞生长特性:贴壁或悬浮,详见细胞说明书部分;细胞形态特性:详见细胞说明书;相关细胞有:RC-K8Cells、AR4-2JCells、PANC1005细胞

HDQ-P1Cells;细胞背景资料:详见相关文献介绍;细胞传代方法:1:2-1:3传代;每周换液2-3次。;细胞生长特性:贴壁或悬浮,详见细胞说明书部分;细胞形态特性:详见细胞说明书;相关细胞有:HCT.116Cells、A-673Cells、HIEC细胞

SK-RC-39Cells;细胞背景资料:详见相关文献介绍;细胞传代方法:1:2-1:3传代;每周换液2-3次。;细胞生长特性:贴壁或悬浮,详见细胞说明书部分;细胞形态特性:详见细胞说明书;相关细胞有:PE/CA-PJ34Cells、BT.549Cells、COR-L51细胞

AR4-2JCells;细胞背景资料:在肾上腺皮质激素刺激下可诱导出外分泌活性,并伴有广泛的内质网重构。;细胞传代方法:消化3-5分钟。1:2。3天内可长满。;细胞生长特性:贴壁生长;细胞形态特性:上皮样;相关细胞有:Epithelioma Papulosum CypriniCells、HNEpCCells、HS0578T细胞

A-875Cells;细胞背景资料:NGF受体阳性。;细胞传代方法:1:3传代;3-4天1次。;细胞生长特性:贴壁生长;细胞形态特性:多角形;相关细胞有:OVCA-433Cells、Helacyton gartleriCells、MIA Paca2细胞

293/EBNA-1Cells;细胞背景资料:详见相关文献介绍;细胞传代方法:1:4-1:10传代;每周2次。;细胞生长特性:贴壁生长;细胞形态特性:上皮细胞样;相关细胞有:SK_N_FICells、Ly3Cells、U2-OS细胞

H1993Cells;细胞背景资料:详见相关文献介绍;细胞传代方法:1:2—1:6传代;细胞生长特性:贴壁或悬浮,详见细胞说明书部分;细胞形态特性:详见细胞说明书;相关细胞有:Calu-1Cells、U20-SCells、Centre Antoine Lacassagne-39细胞

RLE-6TNCells;细胞背景资料:详见相关文献介绍;细胞传代方法:1:2-1:3传代;每周换液2-3次。;细胞生长特性:贴壁;细胞形态特性:上皮细胞样;相关细胞有:C3H10T1/2CL8Cells、U-251MGCells、RWPE-1细胞

Oregon J-111Cells;细胞背景资料:单核细胞白血病;细胞传代方法:1:2-1:3传代;每周换液2-3次。;细胞生长特性:悬浮;细胞形态特性:详见细胞说明书;相关细胞有:RGC6Cells、hTERT-HME1Cells、ARIP细胞

CBRH7919Cells;细胞背景资料:详见相关文献介绍;细胞传代方法:1:2-1:3传代;每周换液2-3次。;细胞生长特性:贴壁或悬浮,详见细胞说明书部分;细胞形态特性:详见细胞说明书;相关细胞有:CHP100Cells、MDA-PCa-2bCells、BT 325细胞

J-111Cells;细胞背景资料:单核细胞白血病;细胞传代方法:1:2-1:3传代;每周换液2-3次。;细胞生长特性:悬浮;细胞形态特性:详见细胞说明书;相关细胞有:Vero 76 clone E6Cells、LAD2Cells、HT-22细胞

Monomac-1Cells;细胞背景资料:急性单核细胞白血病;男性;细胞传代方法:1:2-1:3传代;每周换液2-3次。;细胞生长特性:悬浮;细胞形态特性:详见细胞说明书;相关细胞有:H2228Cells、Panc 10.05Cells、SUM190细胞

SUD-4Cells;细胞背景资料:详见相关文献介绍;细胞传代方法:1:2-1:3传代;每周换液2-3次。;细胞生长特性:悬浮;细胞形态特性:淋巴母Cells;相关细胞有:CHOK1Cells、H4-II-E-C3Cells、CHL-IU细胞

NCI-H64Cells;细胞背景资料:详见相关文献介绍;细胞传代方法:1:2-1:3传代;每周换液2-3次。;细胞生长特性:贴壁或悬浮,详见细胞说明书部分;细胞形态特性:详见细胞说明书;相关细胞有:HepaRGCells、D-324 MedCells、McA-RH7777细胞

4T1-ACells;细胞背景资料:4T1是从410.4瘤株中未经诱变筛得的6-鸟嘌噙抗性细胞株。当注射到BALB/c小鼠中时,4T1自发产生高转移肿瘤,可转移到肺,肝,淋巴结和大脑,同时在注射部位形成始发灶。诱导转移时不需要摘除始发灶。4T1细胞在BALB/c小鼠中的生长与转移特性与人体中的乳腺癌十分相近。这种肿瘤是人VI期乳腺癌的动物模型。4T1-诱导的肿瘤在手术后及未手术情况下转移的动力学相近,可以用作手术后及未手术模型。跟其他肿瘤模型相比,由于4T1的抗6-鸟嘌噙特性,微小的转移细胞团(少到仅仅1个)也可以在许多远端器官中检测到。没必要数淋巴结或称重器官。;细胞传代方法:消化3-5分钟,1:2,3天内可长满;细胞生长特性:贴壁生长;细胞形态特性:上皮样;相关细胞有:KU-812Cells、IMR 90Cells、OVCA5细胞

Hs 274Cells;细胞背景资料:详见相关文献介绍;细胞传代方法:1:2传代,每周换液2-3次。;细胞生长特性:贴壁生长;细胞形态特性:成纤维Cells;相关细胞有:CFPAC-1Cells、TK-10Cells、AML 12细胞

CHO-oriCells;细胞背景资料:1957年,PuckTT从成年中国仓鼠卵巢的活检组织建立了CHOCells;广泛用于生物制品的表达。;细胞传代方法:1:3传代,3-4天换液一次;细胞生长特性:贴壁生长;细胞形态特性:上皮样;相关细胞有:FL 62891Cells、X63-Ag 8.6.5.3Cells、HCASMC细胞

H-69Cells;细胞背景资料:详见相关文献介绍;细胞传代方法:1:2—1:4传代,每周换液2次;细胞生长特性:悬浮生长,聚团;细胞形态特性:聚团悬浮;相关细胞有:VK2 (E6/E7)Cells、E304Cells、NCI-H1048细胞

MKN 7Cells;细胞背景资料:详见相关文献介绍;细胞传代方法:1:2传代;细胞生长特性:贴壁生长;细胞形态特性:上皮Cells;相关细胞有:MCAECCells、COR-L279Cells、JEG-3细胞

HCC2935Cells;细胞背景资料:详见相关文献介绍;细胞传代方法:1:4-1:6传代,每周2-3次。;细胞生长特性:贴壁生长;细胞形态特性:上皮细胞样;相关细胞有:GLC82Cells、L5178Y TK+/-3.7.2cCells、OC-3-VGH细胞

"


NCI-H524 Cells|人非小细胞;

公司简介

上海冠导生物工程有限公司,先后从ATCC、DSMZ、ECACC、RIKEN、PromoCell、ScienCell、JCRB等国内外细胞库引进细胞2000余株。以此为契机,公司组建了冠导细胞库,我司细胞均由资深细胞培养工程师进行培养。我司可以提供的细胞有:①细胞系②原代细胞③稳转株④耐药株⑤标记细胞⑥细胞配套试剂等。

成立日期 (11年)
注册资本 100万(元)
员工人数 50-100人
年营业额 ¥ 1000万-5000万
经营模式 工厂,试剂,定制,服务
主营行业 细胞培养,微生物学,细胞生物学

NCI-H524 Cells|人非小细胞肺癌克隆细胞相关厂家报价

内容声明
拨打电话 立即询价