基本信息 产品详情 公司简介 推荐产品
网站主页 MIA PACA-2 CELLS|人胰腺导管癌贴壁细胞 MIA PaCa-2 Cells|人胰腺导管癌克隆细胞
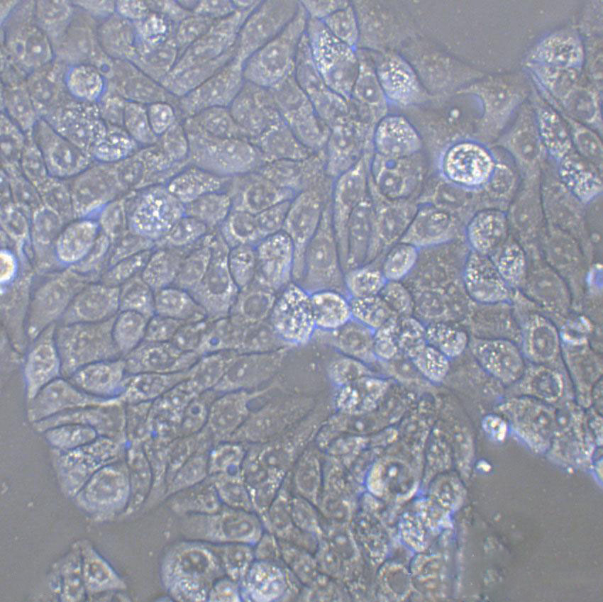
  • MIA PaCa-2 Cells|人胰腺导管癌克隆细胞

MIA PaCa-2 Cells|人胰腺导管癌克隆细胞

MIA PaCa-2 Cells
询价 1000000细胞数 起订
2000000细胞数 起订
上海 更新日期:2026-04-23

上海冠导生物工程有限公司

VIP6年
联系人:全经理
电话:18818239863拨打
邮箱:3171921642@qq.com

产品详情:

中文名称:
MIA PaCa-2 Cells|人胰腺导管癌克隆细胞
英文名称:
MIA PaCa-2 Cells
保存条件:
常温培养或液氮冻存
纯度规格:
MIA PaCa-2 Cells|人胰腺导管癌克隆细胞
产品类别:
生化试剂

"MIA PaCa-2 Cells|人胰腺导管癌克隆细胞

细胞形态:上皮细胞样

细胞生长:贴壁

支原体污染的严重性:细胞外形可以没有明显的变化,支原体可以与细胞共存,污染后细胞液不会死亡,培养基一般不发生浑浊;使用被支原体污染的细胞做实验会严重影响实验的结果,因为支原体会抑制细胞生长;导致染色体畸变;细胞膜抗原性改变;细胞复苏后存活率降低等。影响细胞的代谢和功能:培液中的精氨酸被支原体大量消耗,引起细胞蛋白质、DNA、rRNA、mRNA的合成障碍;支原体活动使培液成分发生改变(如发酵型支原体降解糖类产生酸性物质),影响细胞代谢。培养过程中细胞破碎较多,培养基pH变化明显,需要频繁更换新鲜培养基;细胞被支原体污染后会形成共生体系导致污染不断扩大。

NCIH208Cells;细胞背景资料:详见相关文献介绍;细胞传代方法:1:2-1:4传代;每周换液2次。;细胞生长特性:悬浮生长,有少数细胞疏松贴壁;细胞形态特性:上皮样;相关细胞有:L6565Cells、Murine Long bone Osteocyte-Y4Cells、M-G63细胞

NCIH1963Cells;细胞背景资料:详见相关文献介绍;细胞传代方法:每周换液2次。;细胞生长特性:悬浮生长;细胞形态特性:详见细胞说明书;相关细胞有:C1498Cells、NR-8383Cells、ES2细胞

BCP1Cells;细胞背景资料:详见相关文献介绍;细胞传代方法:维持细胞浓度在2×105/ml-1×106/ml;根据细胞浓度每2-3天补液1次。;细胞生长特性:悬浮生长 ;细胞形态特性:淋巴母细胞样;相关细胞有:M4eCells、SK-CO-1Cells、IOSE29细胞

TGBC11TKBCells;细胞背景资料:详见相关文献介绍;细胞传代方法:1:2传代;细胞生长特性:贴壁生长;细胞形态特性:上皮Cells;相关细胞有:NCIH2085Cells、NCTC-3960Cells、OVCAR-433细胞

细胞物种来源:人源或鼠源等其它物种来源

MIA PaCa-2 Cells|人胰腺导管癌克隆细胞

[细胞产品包装]鲜活细胞:T25培养瓶(一瓶)或冻存细胞:1ml冻存管(两支)

悬浮细胞成簇,可能原因:培养液中含钙、镁离子;支原体污染;蛋白酶过度消化使得细胞裂解;DNA污染;解决方法:用无钙镁平衡盐溶液洗涤细胞,轻巧吹吸细胞获得单细胞悬液;分离培养物,检测支原体;用DNaseI处理细胞;培养细胞生长缓慢;可能原因:由于更换不同培养液或血清;培养液中一些细胞生长必需成分如谷氨酰胺或生长因子耗尽或缺乏或已被破坏;培养物中有少量细菌或真菌污染;试剂保存不当;接种细胞起始浓度太低;细胞已老化;支原体污染;解决方法:比较新培养液与原培养液成分,比较新血清与旧血清支持细胞生长实验,让细胞逐渐适应新培养液;换入新鲜配置培养液,或补加谷氨酰胺及生长因子;用无抗生素培养液培养,如发现污染,丢弃培养物;血清需保存在-10到-20℃。培养液需在2-8℃避光保存。含血清完全培养液在2-8℃保存,需在1周内用完;增加接种细胞起始浓度;换用新的保种细胞;分离培养物,检测支原体。清洁支架和培养箱。如发现支原体污染,丢弃培养物。

细胞背景资料:详见相关文献介绍

TOV-112Cells;细胞背景资料:详见相关文献介绍;细胞传代方法:1:2-1:3传代,3-4天换液1次。;细胞生长特性:贴壁生长;细胞形态特性:上皮Cells;相关细胞有:SW-626Cells、RWPE2Cells、RCSMC细胞

H-2081Cells;细胞背景资料:详见相关文献介绍;细胞传代方法:随细胞的密度而增加;细胞生长特性:悬浮生长;细胞形态特性:聚团悬浮;相关细胞有:PK 15Cells、NuTu-19Cells、HCC-1569细胞

GLC82Cells;细胞背景资料:详见相关文献介绍;细胞传代方法:1:2-1:3传代;每周换液2-3次。;细胞生长特性:贴壁或悬浮,详见细胞说明书部分;细胞形态特性:详见细胞说明书;相关细胞有:NCTC 929Cells、Panc5.04Cells、TE-8细胞

OP-9Cells;细胞背景资料:骨髓基质;C57BL/6 x C3H;细胞传代方法:1:2-1:3传代;每周换液2-3次。;细胞生长特性:贴壁;细胞形态特性:详见细胞说明书;相关细胞有:MADB-106Cells、RERF-LCMSCells、Y3-Ag1.2.3细胞

细胞传代方法:1:2传代;

MIA PaCa-2 Cells|人胰腺导管癌克隆细胞

细胞来源说明:来源于RCB、ATCC、KCLB、DSMZ、ECACC、INCell、ScienCell、ECACC、JCRB、Asterand、ICLC等知名细胞库

培养条件的标准化对于维持表现稳定是必需的。尽管由于实验需要可改变某些条件,但建立细胞、生产和日常维持应固守标准的、已确定的条件。培养基所使用的培养基品种会影响不同细胞类型的选择及其表型表达的调节。因此,一旦选定了一种培养基,用该培养基进行标准化,如果购买现成的,选定一个供应商。血清去掉血清波动后的办法就是换为无血清培养基,尽管很不幸不是所有的细胞都有无血清的配方,而且无血清培养的转换昂贵且费时。血清替代品可得到很GAO的稳定性且一般来说较血清和生长因子添加物便宜很多,但不能控制无血清培养基所提供的生理环境。如必需血清,选一批,在培养的每个阶段包括细胞的冻存都使用这批血清。塑料制品多数有名品牌的细胞培养瓶和培养皿细胞培养的结果相似,但由于组织培养塑料制品处理的不同会有轻微不同。因此选定一种培养瓶、皿及供应商。细胞系的维持如果不进行标准方法维持细胞会改变性,维持方法应进行YOU化并在整个处理过程中保持一致。培养物还应该定期更换冷冻保存管。

细胞生长特性:贴壁生长

细胞传代比例:对于有限细胞系,传代时以二、四、八或十六倍(传代比率分别是2、4、8和16)降低细胞密度,计算群体倍增数更容易(即分别是传代比率2对应1次倍增,4对应2次倍增,8对应3次倍增,16对应4次倍增);例如,一传八的培养物需要3次倍增才能达到原来相同的细胞密度。脆弱的或生长缓慢的细胞系通常一传二,而有活力的,生长快速的细胞系可以一传八,甚至一传十六。有些连续细胞系可一传五十或一传100。一旦细胞系变为连续细胞系(通常经过150次或200次倍增以上),细胞浓度是主要参数,培养浓度应降至10(4)/ml--10(5)/ml之间。可选择传代间隔合适的传代比率或稀释度,或许为1周或2周,同时要保证:细胞密度不可稀释过低,使其延迟期合理(在24小时以内),可重新进入生长周期;而且在下次传代前不进人平台期。

CCD-112CoN细胞类似产品::PC-3M 2B4细胞、EHEB细胞、RPMI 8402细胞

Centre Antoine Lacassagne-62细胞类似产品::MESSA细胞、IHC-ST1细胞、CEM-CCRF (CAMR)细胞

WM-239-A细胞类似产品::Daudi细胞、Jurkat (clone E6-1)细胞、MKN-28细胞

RCC-4细胞类似产品::A549细胞、KPL1细胞、COLO 320 HSR细胞

OCI AML2细胞类似产品::MKN-45细胞、SUNE1细胞、GM00346B细胞

RBMEC细胞类似产品::mRTEC细胞、Hs 729细胞、Ramos(RA1)细胞

H-1734细胞类似产品::JM-1细胞、3T3NIH细胞、HBL-100细胞

Nb 2细胞类似产品::3T3F442A细胞、A-549细胞、G401细胞

ID8细胞类似产品::IPI-2I细胞、RA 1细胞、FHs 74 Int细胞

CII细胞类似产品::MLFC细胞、bEnd3细胞、HEL92.1.7细胞

MIA PaCa-2 Cells|人胰腺导管癌克隆细胞

KYSE0520细胞类似产品::Caki-1细胞、RM-1细胞、S16细胞

A2780/Taxol细胞类似产品::RT112细胞、OVMANA细胞、HSC/mHSC细胞

Sp 2/0-Ag 14细胞类似产品::SHP77细胞、MC3T3E1细胞、MX1细胞

NB19-RIKEN细胞类似产品::MODE-K细胞、NCI-H2342细胞、IPEC-J2细胞

L-M[TK-]细胞类似产品::FRTL 5细胞、H2286细胞、C57 Mouse Tumor 93细胞

NB-19细胞类似产品::HREC细胞、PGLH7细胞、F98细胞

NB-19细胞类似产品::HREC细胞、PGLH7细胞、F98细胞

C3H/10T1/2细胞类似产品::JIMT-1细胞、SF763细胞、RTMC细胞

SK-NMC细胞类似产品::Swiss 3T6细胞、PAI细胞、MAEC细胞

KMS26细胞类似产品::Kuramochi细胞、NCI-441细胞、3T3 Swiss Albino细胞

C3H10T1/2CL8细胞类似产品::SKNFI细胞、TE-15细胞、H-2073细胞

SMC-1细胞类似产品::GM07404A细胞、FRTL5细胞、Caki-2细胞

Colo-678细胞类似产品::SupB15WT细胞、Hela-mock细胞、Biopsy xenograft of Pancreatic Carcinoma line-3细胞

HS852.T细胞类似产品::HEL-299细胞、NCIH1915细胞、Fetal Rhesus Kidney-4细胞

NCI-H1404细胞类似产品::THP-1细胞、159PT细胞、XWLC-05细胞

MLFC细胞类似产品::Murine Carcinoma-38细胞、Karpas422细胞、MM1细胞

Hs294T细胞类似产品::MDAPCa-2b细胞、DanG细胞、J-82细胞

Baby Hamster Kidney-21细胞类似产品::UMC-11细胞、SW527细胞、HCC4006细胞

Biopsy xenograft of Pancreatic Carcinoma line-3细胞类似产品::FU-97细胞、OCM-1细胞、WM-451Lu细胞

Dx5细胞类似产品::NCI-UMC-11细胞、Saos2细胞、GT39细胞

SUM 190PT细胞类似产品::LS174T细胞、HeLaS3细胞、NE-1细胞

BCaP-37细胞类似产品::HCT-FET细胞、High Five细胞、H22-H8D8细胞

WM 266-4细胞类似产品::CMT 167细胞、SNU484细胞、CTLL-2细胞

SUM-159-PT细胞类似产品::Sp2/0-Ag-14细胞、SW1271细胞、OVCAR4细胞

VP229细胞类似产品::SW-1222细胞、HUT 226细胞、OCM-1A细胞

NALM-6细胞类似产品::RCCJF细胞、NIH:OVCAR3细胞、MCF.7细胞

M.D. Anderson-Prostate Cancer-2b细胞类似产品::1E8-H细胞、H548细胞、Panc-03.27细胞

M.D. Anderson-Prostate Cancer-2b细胞类似产品::1E8-H细胞、H548细胞、Panc-03.27细胞

aNK细胞类似产品::OVCA8细胞、BNL 1ME A.7R.1细胞、NALM-6-M1细胞

NK-92.05细胞类似产品::32D-Cl3细胞、H1573细胞、NCI-H146细胞

PAa细胞类似产品::ML2细胞、HCC2218细胞、C-8161细胞

HS-695T细胞类似产品::HCV29细胞、SCC 25细胞、L M (TK-)细胞

H1915细胞类似产品::MNNG/HOS细胞、AD293细胞、SCC 25细胞

CCD-112CoN细胞类似产品::PC-3M 2B4细胞、EHEB细胞、RPMI 8402细胞

HMEC1细胞类似产品::LTEP-sm 1细胞、PCI-4B细胞、MDA-MB-134 VI细胞

HEK 293-H细胞类似产品::Hs870T细胞、KYSE510细胞、PLA801-95C细胞

CV-1 in Origin Simian-1细胞类似产品::H-1993细胞、PG-4 (S+L-)细胞、TF-1a细胞

HIBEC细胞类似产品::NCI-BL1339细胞、DOK细胞、NG-108-15细胞

Reh细胞类似产品::CA922细胞、BT-474细胞、FHs74 Int细胞

JB6 Cl 30细胞类似产品::MD Anderson-Metastatic Breast-435细胞、HEY-A8细胞、NCIH1184细胞

MUTZ-1细胞类似产品::SKM1细胞、HEK293-EBNA细胞、HIT-T15细胞

ANA1细胞类似产品::C-127细胞、KBM7细胞、H-2081细胞

H-650细胞类似产品::LCLC103H细胞、ARO 81-1细胞、AtT 20细胞

UWB1-289细胞类似产品::A2780/CP细胞、HHFK细胞、DBTRG-05MG细胞

DoTc2细胞类似产品::Hs 688(A).T细胞、FU-OV-1细胞、MV4:11细胞

alpha-TC1-6细胞类似产品::SW-527细胞、CTV-1细胞、SLK细胞

alpha-TC1-6细胞类似产品::SW-527细胞、CTV-1细胞、SLK细胞

ECC-12Cells;细胞背景资料:详见相关文献介绍;细胞传代方法:1:2传代;细胞生长特性:贴壁或悬浮,详见细胞说明书部分;细胞形态特性:详见细胞说明书;相关细胞有:RCC10Cells、SCL1Cells、Lec1细胞

BV173Cells;细胞背景资料:慢性粒细胞白血病;男性;细胞传代方法:1:2-1:3传代;每周换液2-3次。;细胞生长特性:悬浮;细胞形态特性:详见细胞说明书;相关细胞有:RGC-5Cells、RBL.2H3Cells、HS-445细胞

Kit 225-K6Cells;细胞背景资料:详见相关文献介绍;细胞传代方法:1:2-1:3传代;每周换液2-3次。;细胞生长特性:贴壁或悬浮,详见细胞说明书部分;细胞形态特性:详见细胞说明书;相关细胞有:3T3-F442ACells、PIECCells、SK-MEL-3细胞

H-1238Cells;细胞背景资料:详见相关文献介绍;细胞传代方法:1:2-1:3传代;每周换液2-3次。;细胞生长特性:贴壁或悬浮,详见细胞说明书部分;细胞形态特性:详见细胞说明书;相关细胞有:ARH77Cells、Anip[973]Cells、THLE-3细胞

NCI-H125Cells;细胞背景资料:腺鳞状肺癌;男性;细胞传代方法:1:2-1:3传代;每周换液2-3次。;细胞生长特性:贴壁;细胞形态特性:详见细胞说明书;相关细胞有:J82COTCells、SKMEL28Cells、HT144-mel细胞

Evsa-TCells;细胞背景资料:乳腺癌;腹水转移;女性;细胞传代方法:1:2-1:3传代;每周换液2-3次。;细胞生长特性:贴壁;细胞形态特性:详见细胞说明书;相关细胞有:PC-9S1Cells、C42Cells、NCI-H1703细胞

Factor Dependent Cell-Paterson 1Cells;细胞背景资料:详见相关文献介绍;细胞传代方法:2-3天换液1次;细胞生长特性:悬浮生长;细胞形态特性:淋巴母Cells;相关细胞有:HeLa S-3Cells、RPMI-8402Cells、G-Olig2细胞

P3 NS1 Ag4Cells;细胞背景资料:这是P3X63Ag8(ATCCTIB-9)的一个不分泌克隆。Kappa链合成了但不分泌。能抗0.1mM8-氮杂鸟嘌呤但不能在HAT培养基中生长。据报道它是由于缺失了3-酮类固醇还原酶活性的胆固醇营养缺陷型。检测表明肢骨发育畸形病毒(鼠痘)阴性。;细胞传代方法:1:2传代,3天内可长满。;细胞生长特性:悬浮生长;细胞形态特性:淋巴母Cells;相关细胞有:Hs 706.TCells、National Medical Center-Glioma 1Cells、RCC-10细胞

MC3T3-E1(C4)Cells;细胞背景资料:详见相关文献介绍;细胞传代方法:1:2-1:3传代;每周换液2-3次。;细胞生长特性:贴壁或悬浮,详见细胞说明书部分;细胞形态特性:详见细胞说明书;相关细胞有:FHCRC subclone 11Cells、PC 61.5.3Cells、P388D1细胞

MIA PaCa-2 Cells|人胰腺导管癌克隆细胞

U-87-MGCells;细胞背景资料:详见相关文献介绍;细胞传代方法:1:2-1:3传代;每周换液2-3次。;细胞生长特性:贴壁或悬浮,详见细胞说明书部分;细胞形态特性:详见细胞说明书;相关细胞有:MFHL-2Cells、A375Cells、T98 G细胞

LCLC-103HCells;细胞背景资料:详见相关文献介绍;细胞传代方法:1:2-1:3传代;每周换液2-3次。;细胞生长特性:贴壁或悬浮,详见细胞说明书部分;细胞形态特性:详见细胞说明书;相关细胞有:Mouse Forestomach CarcinomaCells、RPMI 7666Cells、PA-TU-8988S细胞

Swiss 3T6Cells;细胞背景资料:胚胎;成纤维;自发永生;雄性;Swiss albino;细胞传代方法:1:2-1:3传代;每周换液2-3次。;细胞生长特性:贴壁;细胞形态特性:详见细胞说明书;相关细胞有:GM02219DCells、C3H/10T1/2-clone8Cells、KM-12细胞

MCA 38Cells;细胞背景资料:详见相关文献介绍;细胞传代方法:1:2传代;细胞生长特性:贴壁生长;细胞形态特性:上皮细胞样;相关细胞有:MeSoTheliOma-211HCells、NSI/1-Ag4-1Cells、GC-1spg细胞

MRC 5Cells;细胞背景资料:MRC-5细胞系来自14周龄男性胎儿的正常肺组织,该细胞老化前能传代42~46个倍增时间。;细胞传代方法:1:2-1:5传代;每周1-2次。;细胞生长特性:贴壁生长;细胞形态特性:成纤维细胞样;相关细胞有:BE2-CCells、PE CA PJ34Cells、RC-4B细胞

HOP 62Cells;细胞背景资料:肺癌;女性;细胞传代方法:1:2-1:3传代;每周换液2-3次。;细胞生长特性:贴壁;细胞形态特性:详见细胞说明书;相关细胞有:SNU886Cells、NCI-SNU-16Cells、H-1105细胞

Hca-FCells;细胞背景资料:肝癌;细胞传代方法:1:2-1:3传代;每周换液2-3次。;细胞生长特性:贴壁;细胞形态特性:详见细胞说明书;相关细胞有:ARO81Cells、RASMCsCells、SK Mel 2细胞

Hca-FCells;细胞背景资料:肝癌;细胞传代方法:1:2-1:3传代;每周换液2-3次。;细胞生长特性:贴壁;细胞形态特性:详见细胞说明书;相关细胞有:ARO81Cells、RASMCsCells、SK Mel 2细胞

RPMI 1788Cells;细胞背景资料:B淋巴Cells;EBV转化;细胞传代方法:1:2-1:3传代;每周换液2-3次。;细胞生长特性:悬浮;细胞形态特性:详见细胞说明书;相关细胞有:Ca SkiCells、BIU-87/AdrCells、GM637A细胞

PAICells;细胞背景资料:详见相关文献介绍;细胞传代方法:1:4-1:10传代;每周2-3次。 ;细胞生长特性:贴壁生长;细胞形态特性:上皮Cells;相关细胞有:UPCISCC090Cells、MS751Cells、H1404细胞

McArdle RH-7777Cells;细胞背景资料:肝癌;雌性;Buffalo;细胞传代方法:1:2-1:3传代;每周换液2-3次。;细胞生长特性:贴壁;细胞形态特性:详见细胞说明书;相关细胞有:WB F344Cells、786.OCells、OVCAR-420细胞

SW 480Cells;细胞背景资料:SW480源自一位51岁白人男性患者的原位直肠腺癌,而SW620源自同一病人一年后的淋巴结转移灶。该细胞CSAp和直肠抗原3阴性;角蛋白阳性;p53基因第273位密码子的G→A突变引起Arg→His替代,309位密码子的C→T突变导致Pro→Ser替代;细胞p53蛋白表达水平升高;癌基因c-myc、K-ras、H-ras、N-ras、myb、sis和fos的表达呈阳性;未检测到癌基因N-myc的表达;不表达Matrilysin(一种与肿瘤侵袭相关的金属蛋白酶)。;细胞传代方法:1:2传代,1-2天换液一次;细胞生长特性:贴壁生长;细胞形态特性:上皮样;相关细胞有:Balb/c 3T3Cells、CAL120Cells、NCI/ADR-RES细胞

RPE-hTERTCells;细胞背景资料:视网膜色素上皮;hTERT永生;女性;细胞传代方法:1:2-1:3传代;每周换液2-3次。;细胞生长特性:贴壁;细胞形态特性:详见细胞说明书;相关细胞有:alpha TC1.6Cells、NTERA2Cells、D-283MED细胞

JVM3Cells;细胞背景资料:慢性髓白血病;女性;细胞传代方法:1:2-1:3传代;每周换液2-3次。;细胞生长特性:悬浮;细胞形态特性:详见细胞说明书;相关细胞有:NCI-SNU-761Cells、MDA-MB-231Cells、SH-SY5Y细胞

PC-9S1Cells;细胞背景资料:详见相关文献介绍;细胞传代方法:1:2传代;细胞生长特性:贴壁生长;细胞形态特性:上皮样;相关细胞有:TK 10Cells、MDA-MB436Cells、RMG-I细胞

A375.S2Cells;细胞背景资料:详见相关文献介绍;细胞传代方法:1:2传代;细胞生长特性:贴壁生长;细胞形态特性:上皮样;相关细胞有:DMS-153Cells、NH6Cells、NOZAWA细胞

NBL-1Cells;细胞背景资料:详见相关文献介绍;细胞传代方法:1:2传代;细胞生长特性:贴壁生长 ;细胞形态特性:详见细胞说明书;相关细胞有:LC-1 sqCells、Highly Aggressively Proliferating ImmortalizedCells、KU19-19细胞

MDA-415Cells;细胞背景资料:这株细胞表达WNT7B癌基因。8168088].带瘤患者来自巴拉圭,虽然填报的是白人,但细胞表型存在G6PDA型,显示其属于混血。细胞株形成平展延伸的上皮细胞样,在电镜下呈现结节,伴随着延伸的微管和微板。不容易用胰酶消化。;细胞传代方法:消化5-10分钟。1:2。4-5天长满。;细胞生长特性:贴壁生长;细胞形态特性:上皮Cells;相关细胞有:HUVECCells、Mouse INsulinoma 6Cells、C22 (Clara)细胞

SKNEP-1Cells;细胞背景资料:超微结构有少许微绒毛,连接复合物,形态完整的高尔基体,内质网多为光滑型,脂滴,没有病毒棵粒。;细胞传代方法:1:2传代。3天内可长满。;细胞生长特性:半贴壁生长;细胞形态特性:上皮Cells;相关细胞有:HuLEC-5aCells、KM-12Cells、786-O细胞

Hep 2Cells;细胞背景资料:Zui初认为这个细胞源自喉上皮癌,但随后通过同功酶分析、HeLa标记染色体和DNA指纹分析发现,起源细胞已被HeLa污染。 角蛋白免疫过氧化物酶染色阳性。;细胞传代方法:1:2传代;细胞生长特性:贴壁生长;细胞形态特性:上皮细胞样;相关细胞有:RACells、HEK 293FTCells、HOSEpiC细胞

CAL 51Cells;细胞背景资料:乳腺癌;胸腔积液转移;女性;细胞传代方法:1:2-1:3传代;每周换液2-3次。;细胞生长特性:贴壁;细胞形态特性:详见细胞说明书;相关细胞有:Bac 1.2F5Cells、Hs27Cells、L540细胞

MDA-436Cells;细胞背景资料:该细胞源于一名43岁患有乳腺腺癌女性的胸腔积液。;细胞传代方法:1:2传代,每周换液2—3次;细胞生长特性:贴壁生长;细胞形态特性:多角形;相关细胞有:RKOAS451Cells、BNL-CL.2Cells、HUT28细胞

PLA 802Cells;细胞背景资料:详见相关文献介绍;细胞传代方法:1:2传代;细胞生长特性:贴壁生长;细胞形态特性:详见细胞说明书;相关细胞有:MCF-7ADRCells、Fukuoka University-Malignant mixed Mullerian Tumor-1Cells、MGH-UI细胞

Leukemic 1210Cells;细胞背景资料:该细胞源于用0.2%甲基胆蒽(溶解)涂抹雌性小鼠的皮肤诱发的肿瘤,鼠痘病毒阴性。;细胞传代方法:1:2传代;细胞生长特性:悬浮生长;细胞形态特性:淋巴母细胞样;相关细胞有:NCI-H2108Cells、H-1693Cells、Co320细胞

U-87-MGCells;细胞背景资料:详见相关文献介绍;细胞传代方法:1:2-1:3传代;每周换液2-3次。;细胞生长特性:贴壁或悬浮,详见细胞说明书部分;细胞形态特性:详见细胞说明书;相关细胞有:MFHL-2Cells、A375Cells、T98 G细胞

DHBECells;细胞背景资料:支气管;上皮Cells;细胞传代方法:1:2-1:3传代;每周换液2-3次。;细胞生长特性:贴壁;细胞形态特性:详见细胞说明书;相关细胞有:SW900Cells、Suzhou Human Glioma-44Cells、Hep 3B2_1-7细胞

Ca9-22Cells;细胞背景资料:详见相关文献介绍;细胞传代方法:1:2-1:3传代;每周换液2-3次。;细胞生长特性:贴壁生长;细胞形态特性:上皮Cells;相关细胞有:C643Cells、MV-4-11Cells、NCIH128细胞

HSC(Human Schwann)Cells;细胞背景资料:详见相关文献介绍;细胞传代方法:1:2-1:3传代;每周换液2-3次。;细胞生长特性:贴壁或悬浮,详见细胞说明书部分;细胞形态特性:详见细胞说明书;相关细胞有:CCC-HHM-2Cells、SupB15WCells、GM17219细胞

HT29Cells;细胞背景资料:该细胞是1964年由FoghJ用移植培养方法和含15%FBS的F12培养液从原发性肿瘤分离的。近来,已建株的培养细胞用含血清的McCoy's5a培养基培养。该细胞系在裸鼠中成瘤,也能在类固醇处理的地鼠中成瘤。该细胞可合成IgA、CEA、TGFβ结合蛋白和黏液素;表达尿激酶受体,但没有检测到血浆酶原活性;不表达CD4,但细胞表面表达半乳糖神经酰胺(HIV的可能替代受体)。该细胞系癌基因c-myc、K-ras、H-ras、N-ras、Myb、sis、fos阳性;p53基因过表达,并且在273位密码子处发;细胞传代方法:1:2传代;细胞生长特性:贴壁生长;细胞形态特性:上皮样;相关细胞有:SW 962Cells、OVCA-432Cells、HCT_116细胞

H889Cells;细胞背景资料:详见相关文献介绍;细胞传代方法:每周换液2-3次;细胞生长特性:贴壁或悬浮,详见细胞说明书部分;细胞形态特性:上皮Cells;相关细胞有:MDAMB415Cells、MDA.MB.435Cells、Ramos 2G6 4C10细胞

NCI-SNU-407Cells;细胞背景资料:详见相关文献介绍;细胞传代方法:1:2-1:3传代;每周换液2-3次。;细胞生长特性:贴壁或悬浮,详见细胞说明书部分;细胞形态特性:详见细胞说明书;相关细胞有:CAMA1Cells、UC-3Cells、H-2009细胞

CFPAC1Cells;细胞背景资料:详见相关文献介绍;细胞传代方法:1:3-10传代;2-3天换液1次。;细胞生长特性:贴壁生长;细胞形态特性:上皮Cells;相关细胞有:PJ34Cells、143B TK-Cells、G-402细胞

IM-9Cells;细胞背景资料:详见相关文献介绍;细胞传代方法:1:3传代,2-3天传一代;细胞生长特性:悬浮生长;细胞形态特性:淋巴母细胞样;相关细胞有:SW948Cells、CPA47Cells、NCL-H548细胞

"


MIA PaCa-2 Cells|人胰腺;

公司简介

上海冠导生物工程有限公司,先后从ATCC、DSMZ、ECACC、RIKEN、PromoCell、ScienCell、JCRB等国内外细胞库引进细胞2000余株。以此为契机,公司组建了冠导细胞库,我司细胞均由资深细胞培养工程师进行培养。我司可以提供的细胞有:①细胞系②原代细胞③稳转株④耐药株⑤标记细胞⑥细胞配套试剂等。

成立日期 (11年)
注册资本 100万(元)
员工人数 50-100人
年营业额 ¥ 1000万-5000万
经营模式 工厂,试剂,定制,服务
主营行业 细胞培养,微生物学,细胞生物学

MIA PaCa-2 Cells|人胰腺导管癌克隆细胞相关厂家报价

内容声明
拨打电话 立即询价