基本信息 产品详情 公司简介 推荐产品
网站主页 HUH-1 CELLS:人肝癌细胞系 HuH-1 Cells|人肝癌克隆细胞
  • HuH-1 Cells|人肝癌克隆细胞

HuH-1 Cells|人肝癌克隆细胞

HuH-1 Cells
询价 1000000细胞数 起订
2000000细胞数 起订
上海 更新日期:2026-04-23

上海冠导生物工程有限公司

VIP6年
联系人:全经理
电话:18818239863拨打
邮箱:3171921642@qq.com

产品详情:

中文名称:
HuH-1 Cells|人肝癌克隆细胞
英文名称:
HuH-1 Cells
保存条件:
常温培养或液氮冻存
纯度规格:
HuH-1 Cells|人肝癌克隆细胞
产品类别:
生物试剂

"HuH-1 Cells|人肝癌克隆细胞

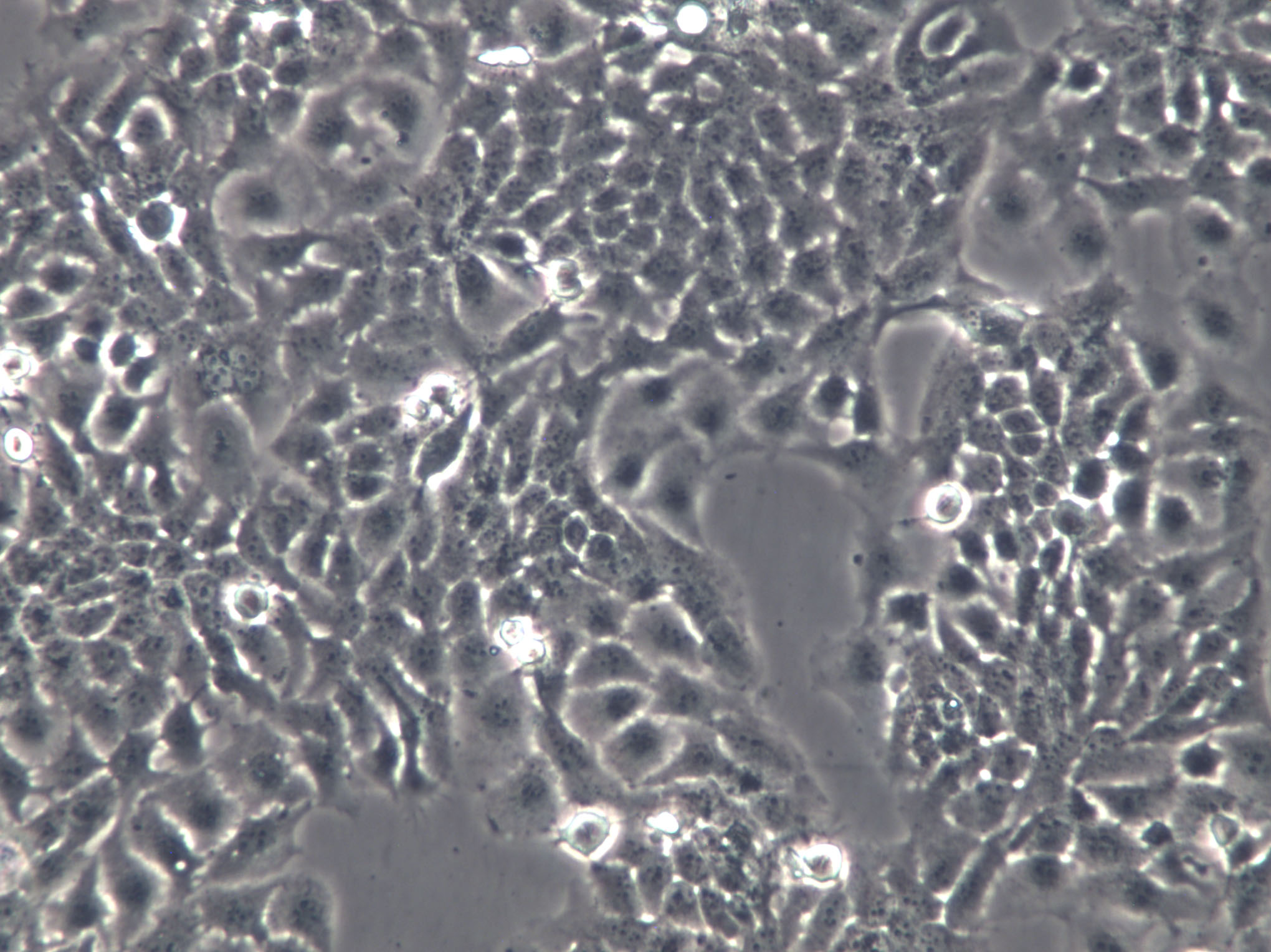
细胞形态:上皮细胞样

细胞生长:贴壁

支原体污染的严重性:细胞外形可以没有明显的变化,支原体可以与细胞共存,污染后细胞液不会死亡,培养基一般不发生浑浊;使用被支原体污染的细胞做实验会严重影响实验的结果,因为支原体会抑制细胞生长;导致染色体畸变;细胞膜抗原性改变;细胞复苏后存活率降低等。影响细胞的代谢和功能:培液中的精氨酸被支原体大量消耗,引起细胞蛋白质、DNA、rRNA、mRNA的合成障碍;支原体活动使培液成分发生改变(如发酵型支原体降解糖类产生酸性物质),影响细胞代谢。培养过程中细胞破碎较多,培养基pH变化明显,需要频繁更换新鲜培养基;细胞被支原体污染后会形成共生体系导致污染不断扩大。

ECC10Cells;细胞背景资料:详见相关文献介绍;细胞传代方法:1:2传代;细胞生长特性:贴壁或悬浮,详见细胞说明书部分;细胞形态特性:详见细胞说明书;相关细胞有:HCT116Cells、AM-38Cells、UPCISCC090细胞

Hs 600.TCells;细胞背景资料:详见相关文献介绍;细胞传代方法:1:2-1:3传代,2-3天换液1次。;细胞生长特性:贴壁生长;细胞形态特性:详见细胞说明书;相关细胞有:B 95.8Cells、SuDHL 1Cells、H1963细胞

2008Cells;细胞背景资料:宫颈鳞癌;女性;细胞传代方法:1:2-1:3传代;每周换液2-3次。;细胞生长特性:贴壁;细胞形态特性:详见细胞说明书;相关细胞有:T241Cells、1301Cells、SK-Col-1细胞

Rat Skin 1Cells;细胞背景资料:该细胞系来源于一大鼠的皮肤组织。2007年由中国科学院昆明细胞库建立。;细胞传代方法:1:2传代;细胞生长特性:贴壁生长 ;细胞形态特性:详见细胞说明书;相关细胞有:UCLA SO M21Cells、B16BL-6Cells、CAL39细胞

细胞物种来源:人源或鼠源等其它物种来源

HuH-1 Cells|人肝癌克隆细胞

[细胞产品包装]鲜活细胞:T25培养瓶(一瓶)或冻存细胞:1ml冻存管(两支)

悬浮细胞成簇,可能原因:培养液中含钙、镁离子;支原体污染;蛋白酶过度消化使得细胞裂解;DNA污染;解决方法:用无钙镁平衡盐溶液洗涤细胞,轻巧吹吸细胞获得单细胞悬液;分离培养物,检测支原体;用DNaseI处理细胞;培养细胞生长缓慢;可能原因:由于更换不同培养液或血清;培养液中一些细胞生长必需成分如谷氨酰胺或生长因子耗尽或缺乏或已被破坏;培养物中有少量细菌或真菌污染;试剂保存不当;接种细胞起始浓度太低;细胞已老化;支原体污染;解决方法:比较新培养液与原培养液成分,比较新血清与旧血清支持细胞生长实验,让细胞逐渐适应新培养液;换入新鲜配置培养液,或补加谷氨酰胺及生长因子;用无抗生素培养液培养,如发现污染,丢弃培养物;血清需保存在-10到-20℃。培养液需在2-8℃避光保存。含血清完全培养液在2-8℃保存,需在1周内用完;增加接种细胞起始浓度;换用新的保种细胞;分离培养物,检测支原体。清洁支架和培养箱。如发现支原体污染,丢弃培养物。

细胞背景资料:详见相关文献介绍

MDAMB175VIICells;细胞背景资料:该细胞源自一位54岁患有乳腺导管癌白人女性的胸腔积液。;细胞传代方法:1:2—1:6传代,每周换液2—3次;细胞生长特性:松散贴壁生长;细胞形态特性:上皮细胞样;相关细胞有:HCV-29Cells、CT-26Cells、WM451细胞

hTERT RPE-1Cells;细胞背景资料:视网膜色素上皮;hTERT永生;女性;细胞传代方法:1:2-1:3传代;每周换液2-3次。;细胞生长特性:贴壁;细胞形态特性:详见细胞说明书;相关细胞有:QGY-7703Cells、CCRFCEMCells、G519细胞

RGC-5Cells;细胞背景资料:详见相关文献介绍;细胞传代方法:1:2传代;细胞生长特性:贴壁生长;细胞形态特性:详见细胞说明书;相关细胞有:B16F0Cells、Human Epidermoid carcinoma #2Cells、A 72细胞

KYSE30Cells;细胞背景资料:来源于一位64岁,患有高分化的中段食管鳞癌的男性患者。;细胞传代方法:1:2-1:3传代;每周换液2-3次。;细胞生长特性:贴壁;细胞形态特性:上皮细胞样;相关细胞有:MCF7/WTCells、Lymph Node Carcinoma of the prostateCells、HCA7细胞

细胞传代方法:1:2-1:3传代;每周换液2-3次。

HuH-1 Cells|人肝癌克隆细胞

细胞来源说明:来源于RCB、ATCC、KCLB、DSMZ、ECACC、INCell、ScienCell、ECACC、JCRB、Asterand、ICLC等知名细胞库

细胞培养是指从体内组织取出细胞在体外模拟体内环境下,使其生长繁殖,并维持其结构和功能的一种培养技术。细胞培养的培养物可以是单个细胞,也可以是细胞群。支原体污染对细胞的影响:影响细胞的生长状态及形态,支原体可使培液中支持细胞生长的营养物质含量减少,造成细胞生长缓慢甚至停止;细胞状态变差,生长变慢,在显微镜下观察可能会有小黑点,但培养基一般不发生浑浊。会导致细胞微管解聚,引起细胞一系列病变,表现为细胞收缩、贴壁细胞脱落、裂解等。细胞传代以后就出现细胞间黑点,细胞空泡化,很多类似凋亡、坏死的细胞,终细胞漂浮,完全死亡。影响细胞的代谢和功能,培液中的精氨酸被支原体大量消耗,引起细胞蛋白质、DNA、rRNA、mRNA的合成障碍;支原体活动使培养基成分发生改变(如发酵型支原体降解糖类产生酸性物质),影响细胞代谢;支原体吸附在细胞表面,破坏细胞膜的完整性,影响细胞信号传递;支原体消耗细胞的核苷库—染色体异常。此外,支原体污染还会影响一些病毒在细胞中的产量、使恶性细胞致癌能力下降、影响淋巴细胞分化等。

细胞生长特性:贴壁或悬浮,详见细胞说明书部分

细胞培养试剂也依据不同细胞类型来选择:细胞培养试剂的种类很多并且不同试剂与不同细胞能产生的反应效果也不一样。因此选择试剂时要有针对性的根据细胞源进行匹配,才能起到良HAO的试验效果并能保障顺利完成实验。选择了相互匹配性HAO的细胞培养试剂不但有利于科研人员的研发分析,还可以提GAO培养的效率并保障达到培养的成功率。总而言之,对于选择细胞培养试剂来说需要根据实验的要求来进行合理的挑选匹配,只有采用了匹配度效果理想的试剂才能保障能顺利的通过实验,并避免对各种试剂材料及时间造成浪费。而且还要选择口碑HAO的细胞培养试剂才能保障材料的YOU质性,并能达到成功配置试剂的目的有效完成不同细胞培养计划。

EB1细胞类似产品::Colo320细胞、CCFSTTG1细胞、J774A1细胞

VeroE6细胞类似产品::HANK细胞、SF 767细胞、A-20细胞

R.K.13细胞类似产品::MDA-MB-134-VI细胞、Microbiological Associates-104细胞、OCI AML5细胞

Colon38细胞类似产品::H125细胞、RC13细胞、JF305细胞

RIN m5F细胞类似产品::H-2141细胞、ROS-17/2.8细胞、SF 295细胞

SHI1细胞类似产品::RAG细胞、U266 Bl细胞、LIM1215细胞

NSC34细胞类似产品::NTera 2/cl.D1细胞、H.Ep. #2细胞、LC1-Sq细胞

OC-3-VGH细胞类似产品::SUDHL-6细胞、PJ34细胞、SUD-4细胞

OVCAR.4细胞类似产品::CCRF/CEM细胞、BeWo细胞、MDCC MSB1细胞

MSTO-211 H细胞类似产品::H-1666细胞、L5178Y-R细胞、Intestinal Porcine Epithelial Cell line-J2细胞

HuH-1 Cells|人肝癌克隆细胞

Y-1细胞类似产品::Ontario Cancer Institute-Acute Myeloid Leukemia-2细胞、Panc4.03细胞、HEC251细胞

CL11细胞类似产品::HuH6细胞、P3-X63.Ag8.653细胞、HL7702细胞

3LL细胞类似产品::HT-22细胞、PA-TU S细胞、SH-SY5Y Parental细胞

NCI-SNU-475细胞类似产品::PANC-02-03细胞、Madison细胞、BHP-10细胞

HLEC细胞类似产品::50.B1细胞、HEK293A细胞、KE-39细胞

OCI-AML4细胞类似产品::HCC-94细胞、F36P细胞、Colo320细胞

OCI-AML4细胞类似产品::HCC-94细胞、F36P细胞、Colo320细胞

RPMC细胞类似产品::RA-FLSs细胞、NeHepLxHT细胞、H2286细胞

HepG2/C3A细胞类似产品::SUM-102PT细胞、HUCCT1细胞、LS411细胞

LNCaP-C4-2细胞类似产品::C6细胞、QGY细胞、HT29细胞

NCIH1581细胞类似产品::H-125细胞、EB-2细胞、Soleus clone 8细胞

Cattle chondrocytes细胞类似产品::L5178YR细胞、S37细胞、P3JHR1细胞

GM01232E细胞类似产品::P3.times.63 Ag8.653细胞、CATH.a细胞、RS 4;11细胞

Hs.27细胞类似产品::H-526细胞、Hs 578Bst细胞、Nb 2细胞

MAntle cell VERona-1细胞类似产品::CORL88细胞、PASMCS细胞、Tu686细胞

H1672细胞类似产品::MIHA细胞、H-1437细胞、HS-695T细胞

hOMF细胞类似产品::Nthy ori 3.1细胞、JM-1细胞、OV 2008细胞

HOP-92细胞类似产品::L-WRN细胞、SCC25细胞、LA-N-6细胞

NCI-H510细胞类似产品::NCI-H1755细胞、BE(2)M17细胞、BI-Mel细胞

SK-ES-1细胞类似产品::CD18/HPAF细胞、GCT细胞、N87细胞

CHOK1细胞类似产品::SKRC20细胞、R 1610细胞、KHYG-1细胞

MSB-1细胞类似产品::WEHI3细胞、MC57细胞、NBL-5细胞

Human Melanoma Cell Bowes细胞类似产品::Jeko1细胞、hEM15A细胞、Ca 9-22细胞

OK细胞类似产品::Y3-Ag123细胞、C-8161细胞、KU 812细胞

H-211细胞类似产品::SUM 190细胞、HT1197细胞、CEM C7细胞

A2780 CP70细胞类似产品::Cor L88细胞、B958细胞、HELA-GFP细胞

Hs604T细胞类似产品::TSCCa细胞、P3X63细胞、GA-10 clone 4细胞

PK-15细胞类似产品::PIGI细胞、SK Mel28细胞、GB1细胞

NCIH1781细胞类似产品::Jijoye细胞、NRK52E细胞、Sarcoma OSteogenic-2细胞

SLK细胞类似产品::SUM-52-PE细胞、SK_N_BE2C细胞、CAMA细胞

Statens Seruminstitut Rabbit Cornea细胞类似产品::SUDHL4细胞、HT细胞、HCEC-B4G12细胞

HeLa S3细胞类似产品::NCI-H82细胞、H676B细胞、Mink细胞

SK-N-BE(2)细胞类似产品::H2023细胞、NEC8细胞、CALU 1细胞

NCIH1819细胞类似产品::CW2细胞、SUM52PE细胞、SVEC 4-10细胞

CV-1.K细胞类似产品::OVMANA细胞、Ku812F细胞、RH8994细胞

HANK1细胞类似产品::MCA-38细胞、H-1781细胞、NCI-H322细胞

JB6 Cl 30细胞类似产品::MD Anderson-Metastatic Breast-435细胞、HEY-A8细胞、NCIH1184细胞

GM 637细胞类似产品::TALL 1细胞、MV-1-Lu细胞、HCT15细胞

OLN93细胞类似产品::Medical Research Council cell strain-5细胞、Panc 02.03细胞、SCC 15细胞

L 363细胞类似产品::WEHI 3B细胞、MDCK.2细胞、LU451细胞

MDA-134细胞类似产品::CV1细胞、OACP4C细胞、LLC细胞

Michigan Cancer Foundation-12A细胞类似产品::NBL-12细胞、HSC/mHSC细胞、CAL27细胞

PL45细胞类似产品::4T1细胞、NHDF细胞、Centre Antoine Lacassagne-12T细胞

H-2198细胞类似产品::KMS-11细胞、NCCIT细胞、JJN-3细胞

MDCKII细胞类似产品::NCI-H774细胞、EoL-1-cell细胞、HCE细胞

Hs 888.Lu细胞类似产品::HT细胞、PL12细胞、P3J细胞

HCC-1419细胞类似产品::Adeno 293细胞、MCFs细胞、INS-1E细胞

PT67Cells;细胞背景资料:逆转录病毒包装Cells;雄性;NIH Swiss;细胞传代方法:1:2-1:3传代;每周换液2-3次。;细胞生长特性:贴壁;细胞形态特性:详见细胞说明书;相关细胞有:CWR22Rv1Cells、OCILY3Cells、CCD841CoN细胞

LK-2Cells;细胞背景资料:详见相关文献介绍;细胞传代方法:1:2-1:3传代;每周换液2-3次。;细胞生长特性:贴壁或悬浮,详见细胞说明书部分;细胞形态特性:详见细胞说明书;相关细胞有:RAECCells、COLO 829Cells、A1847细胞

M14Cells;细胞背景资料:详见相关文献介绍;细胞传代方法:1:3传代;细胞生长特性:混合生长;细胞形态特性:详见细胞说明书;相关细胞有:SK MEL-28Cells、T1-73Cells、Douglas Foster-1细胞

TI-73Cells;细胞背景资料:详见相关文献介绍;细胞传代方法:1:2-1:4传代;每周换液2-3次。;细胞生长特性:贴壁生长;细胞形态特性:成纤维Cells;相关细胞有:Hep 3B2.1-7Cells、KS-SLKCells、P3J.HR1K细胞

NCI H2106Cells;细胞背景资料:详见相关文献介绍;细胞传代方法:每周换液2次。;细胞生长特性:悬浮生长;细胞形态特性:详见细胞说明书;相关细胞有:IPLB-SF-21Cells、Human podocyteCells、TE671/RD细胞

JROECL21Cells;细胞背景资料:详见相关文献介绍;细胞传代方法:1:2传代;细胞生长特性:贴壁生长;细胞形态特性:上皮样;相关细胞有:OsA-CLCells、HCMEC(BL12-H)Cells、EBC-1/original细胞

SUSM1Cells;细胞背景资料:成纤维Cells;男性;细胞传代方法:1:2-1:3传代;每周换液2-3次。;细胞生长特性:贴壁;细胞形态特性:详见细胞说明书;相关细胞有:SW 527Cells、KNS-42Cells、Eca109细胞

Lewis LungCells;细胞背景资料:详见相关文献介绍;细胞传代方法:1:2-1:3传代;每周换液2-3次。;细胞生长特性:贴壁或悬浮,详见细胞说明书部分;细胞形态特性:详见细胞说明书;相关细胞有:WEHI231Cells、UMNSAH/DF#1Cells、LIXC-002细胞

NUGC-4Cells;细胞背景资料:胃癌;女性;细胞传代方法:1:2-1:3传代;每周换液2-3次。;细胞生长特性:半贴壁;细胞形态特性:详见细胞说明书;相关细胞有:WSU-DLCL-2Cells、CF-1 MEFCells、Be-Wo细胞

HuH-1 Cells|人肝癌克隆细胞

RMG1Cells;细胞背景资料:详见相关文献介绍;细胞传代方法:1:2传代;细胞生长特性:贴壁生长;细胞形态特性:详见细胞说明书;相关细胞有:MFE-280Cells、NCI-H2110Cells、H82sclc细胞

HFE-145Cells;细胞背景资料:详见相关文献介绍;细胞传代方法:1:2-1:3传代;每周换液2-3次。;细胞生长特性:贴壁或悬浮,详见细胞说明书部分;细胞形态特性:详见细胞说明书;相关细胞有:VSMCCells、H1876Cells、T 84细胞

SW 982Cells;细胞背景资料:详见相关文献介绍;细胞传代方法:1:2-1:3传代;每周换液2-3次。;细胞生长特性:贴壁或悬浮,详见细胞说明书部分;细胞形态特性:详见细胞说明书;相关细胞有:Danio rerio GillCells、UWB1.289Cells、WERI-Rb 1细胞

Human Corneal Endothelial Cells-12Cells;细胞背景资料:详见相关文献介绍;细胞传代方法:1:2-1:3传代;每周换液2-3次。;细胞生长特性:贴壁或悬浮,详见细胞说明书部分;细胞形态特性:详见细胞说明书;相关细胞有:SGC-7901/DDPCells、BAECCells、UPCI-SCC-154细胞

R1610Cells;细胞背景资料:详见相关文献介绍;细胞传代方法:1:2-1:3传代;每周换液2-3次。;细胞生长特性:贴壁或悬浮,详见细胞说明书部分;细胞形态特性:详见细胞说明书;相关细胞有:H510Cells、Murine Thymic Epithelial Cell line 1Cells、HUT 28细胞

RBVECCells;细胞背景资料:脑静脉;内皮Cells;细胞传代方法:1:2-1:3传代;每周换液2-3次。;细胞生长特性:贴壁;细胞形态特性:详见细胞说明书;相关细胞有:OCI AML2Cells、HDLM2Cells、HBZY 1细胞

C-127Cells;细胞背景资料:详见相关文献介绍;细胞传代方法:1:2-1:3传代;每周换液2-3次。;细胞生长特性:贴壁或悬浮,详见细胞说明书部分;细胞形态特性:详见细胞说明书;相关细胞有:McARH7777Cells、TOV112Cells、BPH-1细胞

C-127Cells;细胞背景资料:详见相关文献介绍;细胞传代方法:1:2-1:3传代;每周换液2-3次。;细胞生长特性:贴壁或悬浮,详见细胞说明书部分;细胞形态特性:详见细胞说明书;相关细胞有:McARH7777Cells、TOV112Cells、BPH-1细胞

HCT-15Cells;细胞背景资料:详见相关文献介绍;细胞传代方法:1:2-1:3传代;每周换液2-3次。;细胞生长特性:贴壁或悬浮,详见细胞说明书部分;细胞形态特性:详见细胞说明书;相关细胞有:HEK293ECells、J-82Cells、U373 MG细胞

P3/X63/Ag8Cells;细胞背景资料:详见相关文献介绍;细胞传代方法:1:2-1:3传代;每周换液2-3次。;细胞生长特性:贴壁或悬浮,详见细胞说明书部分;细胞形态特性:详见细胞说明书;相关细胞有:NCI-H1666Cells、HFSFCells、CAL-62细胞

MN 60Cells;细胞背景资料:B细胞白血病;男性;细胞传代方法:1:2-1:3传代;每周换液2-3次。;细胞生长特性:悬浮;细胞形态特性:详见细胞说明书;相关细胞有:NCI-H719Cells、639-VCells、MZCRC1细胞

BLO11Cells;细胞背景资料:详见相关文献介绍;细胞传代方法:1:2-1:3传代;每周换液2-3次。;细胞生长特性:贴壁或悬浮,详见细胞说明书部分;细胞形态特性:详见细胞说明书;相关细胞有:H508Cells、H522Cells、C918细胞

BSC1Cells;细胞背景资料:详见相关文献介绍;细胞传代方法:1:2-1:3传代;每周换液2-3次。;细胞生长特性:贴壁或悬浮,详见细胞说明书部分;细胞形态特性:详见细胞说明书;相关细胞有:Granta-519Cells、SNU-119Cells、H69/P细胞

QBI-HEK 293ACells;细胞背景资料:胚肾;腺病毒包装;细胞传代方法:1:2-1:3传代;每周换液2-3次。;细胞生长特性:贴壁;细胞形态特性:详见细胞说明书;相关细胞有:EU-2Cells、MN9DCells、CHAGOK1细胞

NCI-H2347Cells;细胞背景资料:详见相关文献介绍;细胞传代方法:1:2-1:6传代,每周2-3次。;细胞生长特性:贴壁生长;细胞形态特性:上皮样;相关细胞有:KATO IIICells、32D/cl3Cells、KAT-5细胞

Japanese Tissue Culture-28Cells;细胞背景资料:详见相关文献介绍;细胞传代方法:1:2传代。3天内可长满。;细胞生长特性:贴壁生长;细胞形态特性:上皮Cells;相关细胞有:HuH-28Cells、Pa18CCells、Molm14细胞

HT 1080.TCells;细胞背景资料:该细胞源自一名35岁患有纤维肉瘤的白人男性的结缔组织;ras+。;细胞传代方法:1:4-1:8传代;2-3天换液1次。;细胞生长特性:贴壁生长;细胞形态特性:上皮样;相关细胞有:SK-Hep1Cells、HANKCells、HFL细胞

C-33 ACells;细胞背景资料:C-33A细胞株是N. Auersperg从宫颈癌切片中建立的一系列细胞株(参见ATCC CRL-1594和ATCC CRL-1595)中的一株。 细胞一开始就表现出亚二倍体核型及上皮细胞形态。 连续传代可以观察到核型不稳定。 存在成视网膜细胞瘤蛋白(pRB),但大小不正常。 P53表达上调,且有一个273位密码子的点突变导致Arg -> Cys的替换。 人乳头瘤病毒DNA及RNA阴性。;细胞传代方法:1:2传代;细胞生长特性:贴壁生长;细胞形态特性:上皮细胞样;相关细胞有:ST2Cells、KRC-YCells、VP 229细胞

MDA-MB 453Cells;细胞背景资料:该细胞系由CailleauR在1976年从一名48岁的患有转移性乳腺癌的白人女性的心包渗出液中分离建立的。该细胞表达FGF的受体。;细胞传代方法:1:2-1:4传代;2-3天换液1次;细胞生长特性:贴壁生长;细胞形态特性:上皮样;多角形;相关细胞有:LoVoCells、NCI-H727Cells、2780CP细胞

EBNA-293Cells;细胞背景资料:详见相关文献介绍;细胞传代方法:1:4-1:10传代;每周2次。;细胞生长特性:贴壁生长;细胞形态特性:上皮细胞样;相关细胞有:SKNBE(1)Cells、QBC(939)Cells、GP5d细胞

EBNA-293Cells;细胞背景资料:详见相关文献介绍;细胞传代方法:1:4-1:10传代;每周2次。;细胞生长特性:贴壁生长;细胞形态特性:上皮细胞样;相关细胞有:SKNBE(1)Cells、QBC(939)Cells、GP5d细胞

OV-CA 432Cells;细胞背景资料:详见相关文献介绍;细胞传代方法:1:2-1:3传代;每周换液2-3次。;细胞生长特性:贴壁或悬浮,详见细胞说明书部分;细胞形态特性:详见细胞说明书;相关细胞有:KLM-1Cells、CV-1 in Origin Simian-1Cells、OP-9细胞

H-7721Cells;细胞背景资料:用Northernblot方法,未能检测到细胞中1.3kbLFIRE-1/HFREP-1mRNA的表达。;细胞传代方法:1:3传代,2-3天换液一次;细胞生长特性:贴壁生长;细胞形态特性:上皮样;相关细胞有:TSU-Pr1Cells、TGBC-11-TKBCells、HEp-2细胞

C-28/I2Cells;细胞背景资料:软骨;SV40转化;女性;细胞传代方法:1:2-1:3传代;每周换液2-3次。;细胞生长特性:贴壁;细胞形态特性:详见细胞说明书;相关细胞有:C-32Cells、L-5178-Y-RCells、BNCL-2细胞

NTERA2Cells;细胞背景资料:畸胎瘤;男性;细胞传代方法:1:2-1:3传代;每周换液2-3次。;细胞生长特性:贴壁;细胞形态特性:详见细胞说明书;相关细胞有:NBL-4Cells、NK-92 MICells、SW 1353细胞

SKBr3Cells;细胞背景资料:这株细胞源自胸水。没有病毒颗粒。亚显微结构特征包括微丝和桥粒,肝糖原颗粒,大溶酶体,成束的细胞质纤丝。SK-BR-3细胞株过表达HER2/c-erb-2基因产物。;细胞传代方法:消化3-5分钟,1:2,3天内可长满;细胞生长特性:贴壁生长;细胞形态特性:上皮样;相关细胞有:Hs-281-TCells、HFTFCells、OAW 42细胞

MADB-106Cells;细胞背景资料:详见相关文献介绍;细胞传代方法:1:2-1:3传代;每周换液2-3次。;细胞生长特性:贴壁或悬浮,详见细胞说明书部分;细胞形态特性:详见细胞说明书;相关细胞有:MNNG/HOS Clone F-5Cells、MUTZ-1Cells、Caov-3细胞

ZR7530Cells;细胞背景资料:ZR-75-30源自一位47岁女性黑人更年期侵入性导管癌患者的腹水。 细胞定性为人,非-HeLa,恶性乳房上皮癌起始。;细胞传代方法:1:2-1:3传代;每周换液2-3次。;细胞生长特性:贴壁;细胞形态特性:上皮细胞样;相关细胞有:Caco2-BBECells、293-FCells、H-1092细胞

GOTOCells;细胞背景资料:详见相关文献介绍;细胞传代方法:10^4 cells/ml;细胞生长特性:贴壁生长;细胞形态特性:成纤维Cells;相关细胞有:MTC-TTCells、OV 1063Cells、KRC-Y细胞

EA. hy 926Cells;细胞背景资料:详见相关文献介绍;细胞传代方法:1:2传代;细胞生长特性:贴壁生长;细胞形态特性:上皮细胞样;相关细胞有:SUM190PTCells、THLE-2Cells、AU 565细胞

Hs-611-TCells;细胞背景资料:详见相关文献介绍;细胞传代方法:1:2传代;每周换液2-3次。;细胞生长特性:混合型;细胞形态特性:淋巴母细胞样;相关细胞有:HCC-202Cells、H-1618Cells、Sol8细胞

SK-GT-2Cells;细胞背景资料:胃底癌;男性;细胞传代方法:1:2-1:3传代;每周换液2-3次。;细胞生长特性:贴壁;细胞形态特性:详见细胞说明书;相关细胞有:D-407Cells、KP-N-RT-BM-1Cells、H-774细胞

NCIH1755Cells;细胞背景资料:详见相关文献介绍;细胞传代方法:1:2传代;细胞生长特性:贴壁生长;细胞形态特性:详见细胞说明书;相关细胞有:FETCells、RGM-1Cells、MILE SVEN1细胞

"


HuH-1 Cells|人肝癌克隆细胞;

公司简介

上海冠导生物工程有限公司,先后从ATCC、DSMZ、ECACC、RIKEN、PromoCell、ScienCell、JCRB等国内外细胞库引进细胞2000余株。以此为契机,公司组建了冠导细胞库,我司细胞均由资深细胞培养工程师进行培养。我司可以提供的细胞有:①细胞系②原代细胞③稳转株④耐药株⑤标记细胞⑥细胞配套试剂等。

成立日期 (11年)
注册资本 100万(元)
员工人数 50-100人
年营业额 ¥ 1000万-5000万
经营模式 工厂,试剂,定制,服务
主营行业 细胞培养,微生物学,细胞生物学

HuH-1 Cells|人肝癌克隆细胞相关厂家报价

内容声明
拨打电话 立即询价