基本信息 产品详情 公司简介 推荐产品
网站主页 化工产品目录 生物 细胞培养 原代细胞 人原代细胞 人骨肉瘤细胞 SW1353人软骨肉瘤细胞
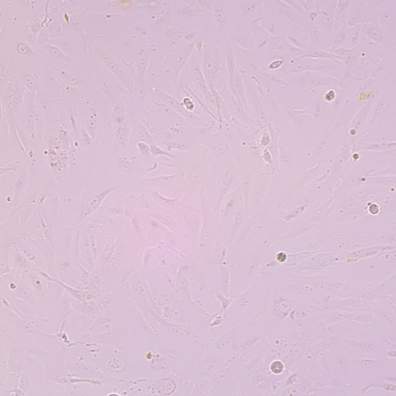
  • SW1353人软骨肉瘤细胞
  • SW1353人软骨肉瘤细胞

1/2

SW1353人软骨肉瘤细胞

SW1353
1480 1瓶 起订
湖北 更新日期:2023-12-18

武汉尚恩生物技术有限公司

非会员
联系人:左***
手机:177***
邮箱:124***

产品详情:

中文名称:
SW1353人软骨肉瘤细胞
英文名称:
SW1353
产品类别:
细胞系
一、细胞基本属性
细胞名称人软骨肉瘤细胞
细胞别称SW1353; sW-1353; SW 1353
细胞货号SNL-053
细胞种属
生长情况贴壁
培养条件H-DMEM+10%FBS+1%双抗
培养环境air, 95%; carbon dioxide (CO2), 5%
二、细胞培养操作
换液周期2-3天
培养基体积T25瓶10-12ml;10cm皿12-15ml
传代比例1:2-1:4(具体情况视细胞生长速度及密度决定)
传代方法1.尽量吸干净T25瓶原培养基;
2.加3-4ml 常温PBS轻轻润洗细胞10-20s,吸走润洗的PBS;
3.T25瓶加1ml左右胰酶,轻轻晃动培养瓶以使胰酶铺匀瓶底细胞层;
4.将培养瓶放入37度培养箱消化;
5.消化到细胞间隙变大,但未完全脱落时加2-3ml完全培养基终止胰酶消化;
6.混匀细胞,900rpm离心3-5min,弃上清;
7.加新的完全培养基轻轻重悬细胞,均匀分到新的培养瓶里;
8.补足完全培养基,将培养瓶放回培养箱静置培养;
注意事项不同品牌胰酶消化时间差别较大,注意严格控制消化时间
消化传代细胞时吹打细胞注意尽量轻柔,不要产生过多气泡以免影响细胞状态。
三、细胞冻存操作
冻存液配方92%FBS+8%DMSO(新手推荐)或92%完全培养基+8%DMSO(高手推荐);
冻存规格200-300万/ml,1ml每管
冻存方法1.消化并离心获得细胞沉淀后,加配置好的冻存液轻轻重悬细胞;
2.将细胞悬液尽快移入已经做好标记的冻存管;
3.将冻存管转入程序冻存盒,放入-80度冰箱过夜,第二天转入液氮保存;没有程序冻存盒的实验室,加入细胞后可以将冻存管放在泡沫盒中4度静置5-10min,再-20度静置2h后转入-80度过夜,第二天转入液氮保存
注意事项冻存细胞转入液氮后及时复苏一管检查细胞冻存活性,若有异常,及时调整实验方案

Tips:
1.细胞密度低时生长偏慢,注意控制细胞密度;
2.细胞培养时黑点可能会比较多,具体原因参见培养操作说明2、3条;

我们推荐使用尚恩生物SW1353(人软骨肉瘤细胞)专用完全培养基(产品货号:SNLM-053)作为体外培养SW1353(人软骨肉瘤细胞)的培养基。

············ 武汉尚恩(Sunncell)18507182912 ············

1、产品优势:500多株细胞,STR鉴定,发货代数低,活性好,无支原体、细菌、霉菌等污染;


2、质量保证:产品质量稳定,10年以上细胞研发经验 通过ISO认证和CE认证;


3、团队优势:海内外博士、教授组成的研发和管理团队,具有十年的技术经验,拥有成熟的分子生物学技术、免疫学技术、蛋白表达纯化技术、抗体筛选及制备等多个生物学平台;


4、技术支持:24小时技术在线答疑;


5、服务周到:厂家现货直发,3个工作日顺丰快递,售后无忧,24小时快速响应。


人软骨肉瘤细胞;人软骨肉瘤细胞传代;人软骨肉瘤细胞培养;人软骨肉瘤细胞STR鉴定;SW1353人软骨肉瘤细胞;

公司简介

武汉尚恩生物技术有限公司专注于细胞产品的研究、生产、销售和服务。公司经过国家相关部门认证的“高新技术企业”,先后通过了ISO认证和部分产品CE认证。 我们拥有一套完整的研发、生产、质检、销售和运营团队;已完成从细胞辅助器材、细胞产品到细胞相关专业化服务的全细胞产业链发展布局;具备制造细胞产品、相关试剂及代做细胞实验的系统化专业能力。 产品种类包含细胞系、原代细胞、胎牛血清、辅助试剂、基础培养基、完全培养基、无血清培养基、无血清非程序冻存液等,细胞培养配套试剂一站式采购;细胞库储存细胞品种有500余种,可满足80%生物实验室的需求。 我们拥有丰富的市场管理经验和渠道管理能力,为产品经销商及终端客户提供完善的专业化服务。 把客户提供优质的产品作为企业的尊严和责任,通过不断的技术创新,为客户提供优质的产品和服务。

成立日期 (12年)
注册资本 100w
员工人数 10-50人
年营业额 ¥ 500万-1000万
经营模式 贸易,工厂,试剂,定制,服务
主营行业 细胞培养

SW1353人软骨肉瘤细胞相关厂家报价 更多

内容声明
拨打电话 立即询价