基本信息 产品详情 公司简介 推荐产品
网站主页 化工产品目录 生物 细胞培养 细胞系 K1 CELLS|人甲状腺癌贴壁细胞 K1 Cells|人甲状腺癌克隆细胞
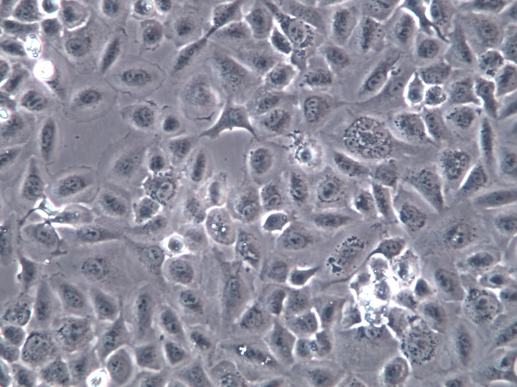
  • K1 Cells|人甲状腺癌克隆细胞

K1 Cells|人甲状腺癌克隆细胞

K1 Cells
询价 1000000细胞数 起订
2000000细胞数 起订
上海 更新日期:2026-04-23

上海冠导生物工程有限公司

VIP6年
联系人:全经理
电话:18818239863拨打
邮箱:3171921642@qq.com

产品详情:

中文名称:
K1 Cells|人甲状腺癌克隆细胞
英文名称:
K1 Cells
保存条件:
常温培养或液氮冻存
纯度规格:
K1 Cells|人甲状腺癌克隆细胞
产品类别:
生物试剂

"K1 Cells|人甲状腺癌克隆细胞

细胞形态:上皮细胞样

细胞生长:贴壁

复苏细胞:将含有1mL细胞悬液的冻存管在37℃水浴中迅速摇晃解冻,加入4mL培养基混合均匀。在1000RPM条件下离心4分钟,弃去上清液,补加1-2mL培养基后吹匀。然后将所有细胞悬液加入培养瓶中培养隔夜(或将细胞悬液加入10cm皿中,加入约8ml培养基,培养隔夜)。第二天换液并检查细胞密度。细胞传代:如果细胞密度达80%-90%,即可进行传代培养。对于悬浮细胞,传代可参考以下方法:方法一:收集细胞,1000RPM条件下离心4分钟,弃去上清液,补加1-2mL培养液后吹匀,将细胞悬液按1:2到1:5的比例分到新的含8ml培养基的新皿中或者瓶中。方法二:可选择半数换液方式,弃去半数培养基后,将剩余细胞悬起,将细胞悬液按1:2到1:3的比例分到新的含8ml培养基的新皿中或者瓶中。细胞冻存:待细胞生长状态良HAO时,可进行细胞冻存。悬浮细胞冻存时,应将细胞收集,1000RPM条件下离心5分钟,少量保存上清液(防止细胞吸走),加入部分新鲜培养基,加入到冻存管中,在冻存管中加入10%DMSO后进行冻存。

NCI-H711Cells;细胞背景资料:详见相关文献介绍;细胞传代方法:1:2-1:3传代;每周换液2-3次。;细胞生长特性:贴壁或悬浮,详见细胞说明书部分;细胞形态特性:详见细胞说明书;相关细胞有:P3/X63/Ag8Cells、BEL-7405Cells、EoL-1-cell细胞

BTI-Tn-5B1-4Cells;细胞背景资料:详见相关文献介绍;细胞传代方法:1:2-1:3传代;每周换液2-3次。;细胞生长特性:贴壁或悬浮,详见细胞说明书部分;细胞形态特性:详见细胞说明书;相关细胞有:RMCCells、H1581Cells、OKT 3细胞

SUP T1Cells;细胞背景资料:详见相关文献介绍;细胞传代方法:2-3天换液1次。;细胞生长特性:悬浮生长;细胞形态特性:淋巴母细胞样 ;相关细胞有:BT-325Cells、MT-2Cells、SKNF1细胞

DoHH-2Cells;细胞背景资料:详见相关文献介绍;细胞传代方法:1:2-1:3传代;每周换液2-3次。;细胞生长特性:贴壁或悬浮,详见细胞说明书部分;细胞形态特性:详见细胞说明书;相关细胞有:MSCs(mUCMSCs)Cells、Lung cancer-1/squamousCells、RAW264.7细胞

细胞物种来源:人源或鼠源等其它物种来源

K1 Cells|人甲状腺癌克隆细胞

[细胞产品包装]鲜活细胞:T25培养瓶(一瓶)或冻存细胞:1ml冻存管(两支)

细胞培养停滞期(Stagnate phase):细胞数量达到饱和密度后,如不及时进行传代,细胞就会停止增殖、凋亡,进入停止期。此时细胞数持平,故也称平台期(Plateau phase)。停滞期细胞虽不增殖,但仍有代谢活动。如不进行分离传代,细胞会因培养液中营养耗尽、代谢产物积聚、pH下降等因素中毒,出现形态改变,贴壁细胞会脱落,严重的会发生死亡,因此,应及时传代。

细胞背景资料:详见相关文献介绍

Lung cancer-1/squamousCells;细胞背景资料:详见相关文献介绍;细胞传代方法:1:2-1:3传代;每周换液2-3次。;细胞生长特性:贴壁或悬浮,详见细胞说明书部分;细胞形态特性:详见细胞说明书;相关细胞有:UM-UC-3Cells、QBC-939Cells、H220细胞

251MGCells;细胞背景资料:U-251 MG分离至一位患者的胶质母细胞瘤组织。;细胞传代方法:1:2-1:3传代;每周换液2-3次。;细胞生长特性:贴壁;细胞形态特性:成纤维细胞样;相关细胞有:Hs-578TCells、IMCD-3Cells、HN 4细胞

K7M2Cells;细胞背景资料:骨肉瘤;肺转移;雌性;BALB/c;细胞传代方法:1:2-1:3传代;每周换液2-3次。;细胞生长特性:贴壁;细胞形态特性:详见细胞说明书;相关细胞有:GM03569DCells、Pro-Lec1.3CCells、NCI-H1092细胞

H35 ReuberCells;细胞背景资料:在糖皮质激素、胰岛素或cAMP衍生物的诱导下可以产生酪酸基转移酶;可被逆转录病毒感染;可产生白蛋白、转铁蛋白、凝血酶原;在AxC大鼠中可以成瘤。;细胞传代方法:1:2传代;细胞生长特性:贴壁生长;细胞形态特性:上皮样;相关细胞有:CV-1 in Origin Simian-1Cells、RNCells、MMAc-SF细胞

细胞传代方法:1:2传代

K1 Cells|人甲状腺癌克隆细胞

细胞来源说明:来源于RCB、ATCC、KCLB、DSMZ、ECACC、INCell、ScienCell、ECACC、JCRB、Asterand、ICLC等知名细胞库

传代细胞时,使用无菌技术和合适的试剂及设备尤为重要。针对您的细胞系选择合适的培养液来得到佳的生长和扩增很关键。每一个细胞系都有定的生长营养组分配方,但是大多数细胞系起码需要的添加物有以下这些:血清,如胎牛血清,需热处理灭活其胎牛成分,它为细胞生长提供重要的生长因子。抗生素,如青霉素和链霉素用于防止细胞污染。其他的生长因子,如成纤维细胞生长因子,有助于延长细胞系的生长和扩增。不使用时,要将这些添加物或者“完全”细胞培养液保存于4摄氏度。首先要注意细胞培养液的颜色,富含营养的新鲜培养液由于添加了pH指示剂酚红故为透明橙色。当细胞耗尽培养液中的营养成分时,开始在培养物中积累废物和酸性物质,降低pH值。因此,许多细胞培养液含有酚红,当培养物呈酸性时会将培养液颜色由橙色变为黄色。培养液需在变黄之前更换。当酚红变为粉红色时,说明培养基pH偏碱,不利于细胞健康生长。这时可能需要改变二氧化碳浓度并更换培养液。很多贴壁细胞系可天然附着于无涂层的塑料上。因此,塑料细胞培养板如培养皿或六孔板经常用于传代细胞。塑料的细胞培养瓶也经常用到,如T25的细胞培养瓶,常用于扩增培养数目少的细胞或者开始培养生长缓慢的细胞系。T75细胞培养瓶常用在培养扩增速度较快的细胞系或用于生长超过T25培养瓶容量的大量细胞。在转移贴壁细胞时,要先剪切掉细胞上与和塑料结合的蛋白。因此,消化酶胰酶常用于消化细胞。控制胰酶消化的时间很重要,因为如果处理时间过长会损坏细胞表面的蛋白。细胞培养液能中和胰酶。所以在胰酶消化前常用磷酸缓冲液或PBS洗涤细胞。EDTA,一种钙螯合剂有时候也用于提GAO胰酶的蛋白水解功能。为扩增细胞克隆,将新鲜传代的细胞培养于细胞培养箱中,选择适合该细胞生长条件,通常为温度37度,二氧化碳5%和湿度95%。

细胞生长特性:贴壁生长 

细胞系(cell line)指原代细胞培养物经首次传代成功后所繁殖的细胞群体。 也指可长期连续传代的培养细胞。(由此便引申出了后来的有限细胞系(FiniteCellLine)、无限细胞系(InfiniteCellLine)),因此,细胞系狭义的是指可连续传代的细胞(定环境下口语和书面语都使用),广义是指可传代的细胞。肿瘤细胞系多由癌瘤建成,多呈类上皮型细胞,常已传几十代或百代以上,并具有不死性和异体接种致瘤性,丧失接触抑制能力。国际上美、英和日本等国已建有细胞库;美国已有美国标准细胞库或细胞银行(ATCC)和人遗传突变细胞库(HGMR)、细胞衰老细胞库(CAR)等,其中ATCC不仅是美国也世界大的细胞库。细胞系建立要求:什么样的体外培养群可被认可为己鉴定的细胞,视具体情况而定,无统一规定。对于用作原代培养的细胞只要供体均一,取材部位及组织种类等条件稳定即可,如用做长期培养,别是反复传代的细胞,常需做如下说明:组织来源:细胞供体所属物种,来自人体或者动物;个体性别、年龄;取材的器官或组织。如系肿瘤组织,应说明临床和病理诊断,以及病历号等。细胞生物学检测:了解细胞一般和殊的生物学性状,如细胞一般形态,异结构,细胞生长曲线和分裂指数,倍增时间,接种率等。如为肿瘤细胞,为说明来源于原肿瘤组织并保持恶性,须做软琼脂培养,异体接种致瘤和对正常组织侵润力等实验。培养条件和方法;应说明细胞系(或株)适应的生存环境,即指明使用的培养基、血清种类、用量以及适宜PH值。

H-1522细胞类似产品::KNS-42细胞、CAL-78细胞、Hs 766.T细胞

E.L.4细胞类似产品::HEL9217细胞、HEL299细胞、SVHUC细胞

33604细胞类似产品::KMS-18细胞、H-711细胞、U118细胞

GDM1细胞类似产品::Jurkat-FHCRC细胞、WPMY-1细胞、MKN-1细胞

U343细胞类似产品::HEK AD293细胞、FO [Mouse myeloma]细胞、SKNBE(2)细胞

NCIH1341细胞类似产品::L5178-R细胞、WRL68细胞、HCC-827细胞

BC3 H1细胞类似产品::Hs-27细胞、Los Angeles Prostate Cancer-4细胞、LAC细胞

BAR-T细胞类似产品::HEK-293F细胞、H22-H8D8细胞、CWR-22rv1细胞

Hs 766T细胞类似产品::HRVEC细胞、MDA MB 436细胞、WM-266-4细胞

PANC0203细胞类似产品::SK-BR3细胞、SNU423细胞、HeLa 229细胞

K1 Cells|人甲状腺癌克隆细胞

H650细胞类似产品::K1细胞、SK HEP 01细胞、RLE-6TN细胞

GP5d细胞类似产品::SKES-1细胞、OCI-AML2细胞、Vero细胞

WEHI 3细胞类似产品::NCI-H292细胞、Hs27F细胞、Clone 15 HL-60细胞

MGC-803细胞类似产品::NMC-G1细胞、Leukemic 1210细胞、SKMEL-24细胞

Reuber H-35细胞类似产品::STO细胞、Hs940-T细胞、PL 5细胞

B16细胞类似产品::Panc-08.13细胞、CCD33Co细胞、Panc-8_13细胞

B16细胞类似产品::Panc-08.13细胞、CCD33Co细胞、Panc-8_13细胞

UPCISCC090细胞类似产品::LA-4 [Mouse lung adenoma]细胞、2PK-3细胞、3T3F442A细胞

NCI-H1793细胞类似产品::Sol8细胞、Colo-678细胞、H-2135细胞

OCIAML2细胞类似产品::DF1细胞、Hk-2细胞、GM00637I细胞

SUM149PT细胞类似产品::HCC1954细胞、hTERT RPE1细胞、HEK293-F细胞

NCI-H526细胞类似产品::P3-X63-Ag8.653细胞、HS-940-T细胞、MCMEC细胞

KU-812细胞类似产品::PC14细胞、2008细胞、NKT细胞

OSK-1细胞类似产品::REC-1细胞、Pro-5 Lec1.3c细胞、A-549细胞

V 79细胞类似产品::Liver-02细胞、LS 123细胞、Microbiological Associates-104细胞

SNU-475细胞类似产品::SuDHL 10细胞、TF-1a细胞、SuDHL 10细胞

HOS TE85细胞类似产品::Clone M-3细胞、MDA-1386细胞、Pro-Lec1.3C细胞

NCI-H1573细胞类似产品::CCD19-Lu细胞、CNE1-LUC细胞、Scott细胞

ATDC-5细胞类似产品::KMST-6细胞、OVCAR-3细胞、MBMEC细胞

P3/NS1/1-Ag4-1细胞类似产品::EU-3细胞、GM 2132细胞、SHP-77细胞

NCIH2106细胞类似产品::GM03190细胞、RCF细胞、MN 60细胞

R.K.13细胞类似产品::MDA-MB-134-VI细胞、Microbiological Associates-104细胞、OCI AML5细胞

H2198细胞类似产品::Malme3M细胞、NK10a细胞、TB-1 Lu细胞

SJRH-30细胞类似产品::MC3T3-E1 Subclone 14细胞、746T细胞、SuDHL 4细胞

FK81细胞类似产品::TK-10细胞、DMS53细胞、A375SM细胞

RPTEC TERT1细胞类似产品::786O细胞、H2591细胞、CF PAC-1细胞

OE19细胞类似产品::Panc-10.05细胞、BT 20细胞、DH82细胞

LLCPK1细胞类似产品::SK-NMC细胞、B-CPAP细胞、HBEpiC细胞

SNU-886细胞类似产品::SuDHL 2细胞、RBL 1细胞、MIN-6细胞

CCD33Co细胞类似产品::T-47D细胞、U118-MG细胞、Leukemia L1210细胞

KB细胞类似产品::T-ALL1细胞、H-2171细胞、SUM-159PT细胞

Neukoplast细胞类似产品::HKF细胞、Laboratory of Allergic Diseases 2细胞、TOV21G细胞

C17.2细胞类似产品::U 138 MG细胞、Eca109细胞、U266S细胞

SNU449细胞类似产品::BNL 1MEA.7R.1细胞、NCI-H1975细胞、HUC-1细胞

NCI-H1755细胞类似产品::BEAS2B细胞、Leukemia 1210细胞、LCLC103H细胞

B16/F0细胞类似产品::P3/ag细胞、SW-839细胞、ATN1细胞

HuT-102细胞类似产品::102PT细胞、SK-UT-1细胞、P3-X63Ag8细胞

GDM-1细胞类似产品::MCF7-GFP细胞、B16 melanoma F10细胞、UWB1289细胞

EJ 138细胞类似产品::IEC18细胞、MV(4;11)细胞、MSCs(mUCMSCs)细胞

Karpas 299细胞类似产品::HNE-1细胞、AML-12细胞、RINm5F细胞

SNU423细胞类似产品::OCILY-10细胞、GOTO细胞、EFM192A细胞

NCI-H2444细胞类似产品::MPC-5细胞、NCI-H2009细胞、KPL4细胞

PLA-801C细胞类似产品::FHL124细胞、BTT739细胞、PC-3细胞

CCD-841CoTr细胞类似产品::Fao细胞、NuTu 19细胞、UPCI-SCC-090细胞

SNU878细胞类似产品::L cell细胞、CMECs细胞、A-875细胞

OVCAR-4细胞类似产品::WML2细胞、MBT2细胞、H-2591细胞

B95.8细胞类似产品::BC-3-H-I细胞、HT29细胞、Kit-225-K6细胞

HSAS1Cells;细胞背景资料:皮肤成纤维Cells;细胞传代方法:1:2-1:3传代;每周换液2-3次。;细胞生长特性:贴壁;细胞形态特性:详见细胞说明书;相关细胞有:hEM15ACells、NSHCells、rHSC-99细胞

Panc 04.03Cells;细胞背景资料:详见相关文献介绍;细胞传代方法:1:2传代;细胞生长特性:贴壁生长;细胞形态特性:上皮样;相关细胞有:Mono-Mac-1Cells、T2(174 x CEM.T2)Cells、L428细胞

J-774Cells;细胞背景资料:巨噬Cells;BALB/c;细胞传代方法:1:2-1:3传代;每周换液2-3次。;细胞生长特性:贴壁;细胞形态特性:详见细胞说明书;相关细胞有:IMR 90Cells、A9Cells、Rat-1细胞

L-Wnt3ACells;细胞背景资料:详见相关文献介绍;细胞传代方法:1:2-1:3传代;每周换液2-3次。;细胞生长特性:贴壁或悬浮,详见细胞说明书部分;细胞形态特性:详见细胞说明书;相关细胞有:Hk-2Cells、Hs1.TesCells、MUGCHOR1细胞

GI-1Cells;细胞背景资料:详见相关文献介绍;细胞传代方法:1:2传代;细胞生长特性:贴壁生长;细胞形态特性:上皮样;相关细胞有:SUDHL-10Cells、SW-1088Cells、National Medical Center-Glioma 1细胞

Okayama University Medical School-27Cells;细胞背景资料:软骨肉瘤;男性;细胞传代方法:1:2-1:3传代;每周换液2-3次。;细胞生长特性:贴壁;细胞形态特性:详见细胞说明书;相关细胞有:EHEBCells、HT 1080.TCells、2008细胞

MTC-TTCells;细胞背景资料:TT细胞由LeongSS等,自一位77岁白人女性甲状腺髓样癌患者的穿刺活检样本中建立。TT细胞持续产生高水平的降血素和CEA。更换培养基后24h和72h,在培养基中检测到的免疫活性的降血素浓度分别为3900pg/106个细胞和7700pg/106个细胞。72小时后CEA积累浓度超过27ng/106个Cells;该细胞Zui初是在RPMI1640培养液中培养,可产生神经肽,但还不知道在F12培养液中培养是否会产生。;细胞传代方法:1:3-1:4传代,每周换液2次。;细胞生长特性:贴壁生长;细胞形态特性:上皮样;相关细胞有:UMC11Cells、MeWoCells、HBVSMC细胞

H9Cells;细胞背景资料:H9细胞是HUT78(ATCCTIB161)的克隆系(Callo,RC,etal)。细胞表面带有CD3、CD4标记。研究表明,该细胞系对人体免疫缺陷病毒(HIV-1)敏感,可用于检测、分离和增殖HIV-1,也可用于其它人类Tcell病毒的研究。;细胞传代方法:1:3传代,2-3天传一代;细胞生长特性:悬浮生长;细胞形态特性:淋巴母细胞样;相关细胞有:8402Cells、TE-10Cells、HEK 293细胞

MV 4;11Cells;细胞背景资料:详见相关文献介绍;细胞传代方法:1:2-1:3传代;每周换液2-3次。;细胞生长特性:贴壁或悬浮,详见细胞说明书部分;细胞形态特性:详见细胞说明书;相关细胞有:KYSE 140Cells、CV-1.KCells、RAW2647细胞

K1 Cells|人甲状腺癌克隆细胞

Colo699Cells;细胞背景资料:详见相关文献介绍;细胞传代方法:1:2-1:3传代;每周换液2-3次。;细胞生长特性:贴壁或悬浮,详见细胞说明书部分;细胞形态特性:详见细胞说明书;相关细胞有:H-2330Cells、H-661Cells、HCT116/L细胞

MOLM13Cells;细胞背景资料:急性髓系白血病;男性;细胞传代方法:1:2-1:3传代;每周换液2-3次。;细胞生长特性:悬浮;细胞形态特性:详见细胞说明书;相关细胞有:CAL 85-1Cells、HCC-1954BLCells、Hep-3B细胞

IMCD3Cells;细胞背景资料:肾;内髓集合管;上皮Cells;细胞传代方法:1:2-1:3传代;每周换液2-3次。;细胞生长特性:贴壁;细胞形态特性:详见细胞说明书;相关细胞有:P560Cells、MKN-1Cells、NCI-H2052细胞

hFOB1.19Cells;细胞背景资料:成骨Cells;SV40转化;条件永生;女性;细胞传代方法:1:2-1:3传代;每周换液2-3次。;细胞生长特性:贴壁;细胞形态特性:详见细胞说明书;相关细胞有:Helacyton gartleriCells、IPLB-SF 21Cells、Ramos细胞

GM07404Cells;细胞背景资料:详见相关文献介绍;细胞传代方法:1:2传代;细胞生长特性:贴壁生长 ;细胞形态特性:详见细胞说明书;相关细胞有:639-VCells、Pa017CCells、OCI/AML-5细胞

74IntCells;细胞背景资料:小肠;细胞传代方法:1:2-1:3传代;每周换液2-3次。;细胞生长特性:贴壁;细胞形态特性:详见细胞说明书;相关细胞有:RT-BMCells、H-1581Cells、H6c7细胞

Mv 1 Lu (NBL-7)Cells;细胞背景资料:详见相关文献介绍;细胞传代方法:1:2-1:3传代;每周换液2-3次。;细胞生长特性:贴壁或悬浮,详见细胞说明书部分;细胞形态特性:详见细胞说明书;相关细胞有:BCaP 37Cells、H-1944Cells、NCI-UMC-11细胞

Mv 1 Lu (NBL-7)Cells;细胞背景资料:详见相关文献介绍;细胞传代方法:1:2-1:3传代;每周换液2-3次。;细胞生长特性:贴壁或悬浮,详见细胞说明书部分;细胞形态特性:详见细胞说明书;相关细胞有:BCaP 37Cells、H-1944Cells、NCI-UMC-11细胞

NIH:OVCAR-4Cells;细胞背景资料:详见相关文献介绍;细胞传代方法:1:2-1:3传代;每周换液2-3次。;细胞生长特性:贴壁或悬浮,详见细胞说明书部分;细胞形态特性:详见细胞说明书;相关细胞有:HTori:3Cells、HLE-B3Cells、ECC-1细胞

MDA-MB453Cells;细胞背景资料:该细胞系由CailleauR在1976年从一名48岁的患有转移性乳腺癌的白人女性的心包渗出液中分离建立的。该细胞表达FGF的受体。;细胞传代方法:1:2-1:4传代;2-3天换液1次;细胞生长特性:贴壁生长;细胞形态特性:上皮样;多角形;相关细胞有:CCD966SKCells、NCI-H1734Cells、NCIH2135细胞

HSAEC1-KTCells;细胞背景资料:肺;HGNC-TERT转化;男性;细胞传代方法:1:2-1:3传代;每周换液2-3次。;细胞生长特性:贴壁;细胞形态特性:详见细胞说明书;相关细胞有:SW-403Cells、Duke University 4475Cells、H-1623细胞

H-1435Cells;细胞背景资料:详见相关文献介绍;细胞传代方法:1:3-1:6传代,每周换液2-3次;细胞生长特性:贴壁生长,松散;细胞形态特性:详见细胞说明书;相关细胞有:YD15Cells、H-2135Cells、OCI/AML2细胞

TE12Cells;细胞背景资料:详见相关文献介绍;细胞传代方法:1:2-1:3传代;每周换液2-3次。;细胞生长特性:贴壁或悬浮,详见细胞说明书部分;细胞形态特性:详见细胞说明书;相关细胞有:UMNSAH/DF#1Cells、Rat podocyteCells、OCI-Ly 1细胞

FOX-NYCells;细胞背景资料:详见相关文献介绍;细胞传代方法:1:2-1:3传代;每周换液2-3次。;细胞生长特性:贴壁或悬浮,详见细胞说明书部分;细胞形态特性:详见细胞说明书;相关细胞有:A-875Cells、C8161Cells、MLO-Y4细胞

H1792Cells;细胞背景资料:详见相关文献介绍;细胞传代方法:1:3-1:8传代。;细胞生长特性:贴壁生长;细胞形态特性:上皮细胞样;相关细胞有:IM9Cells、Caco-2BBeCells、MRC-V细胞

MPC-83Cells;细胞背景资料:胰腺;腺泡Cells;细胞传代方法:1:2-1:3传代;每周换液2-3次。;细胞生长特性:贴壁;细胞形态特性:详见细胞说明书;相关细胞有:PL9Cells、MC 116Cells、H1355细胞

SBCells;细胞背景资料:急性T淋巴细胞白血病;男性;细胞传代方法:1:2-1:3传代;每周换液2-3次。;细胞生长特性:悬浮;细胞形态特性:详见细胞说明书;相关细胞有:SU8686Cells、KG-1Cells、Tu 177细胞

PANC 203Cells;细胞背景资料:详见相关文献介绍;细胞传代方法:1:2传代;细胞生长特性:贴壁生长;细胞形态特性:上皮样;相关细胞有:TE4Cells、WEHI-3Cells、L-WRN细胞

LL2Cells;细胞背景资料:详见相关文献介绍;细胞传代方法:1:2-1:3传代;每周换液2-3次。;细胞生长特性:贴壁或悬浮,详见细胞说明书部分;细胞形态特性:详见细胞说明书;相关细胞有:UMNSAH-DF 1Cells、HL-60Cells、SW 1116细胞

Kit 225 K6Cells;细胞背景资料:详见相关文献介绍;细胞传代方法:1:2-1:3传代;每周换液2-3次。;细胞生长特性:贴壁或悬浮,详见细胞说明书部分;细胞形态特性:详见细胞说明书;相关细胞有:H-1385Cells、251 MGCells、VMM5细胞

Leukemia L1210Cells;细胞背景资料:该细胞源于用0.2%甲基胆蒽(溶解)涂抹雌性小鼠的皮肤诱发的肿瘤,鼠痘病毒阴性。;细胞传代方法:1:2传代;细胞生长特性:悬浮生长;细胞形态特性:淋巴母细胞样;相关细胞有:Normal Rat, August 3, 1983Cells、NCI.H226Cells、HCGC细胞

C-643Cells;细胞背景资料:甲状腺未分化癌;男性;细胞传代方法:1:2-1:3传代;每周换液2-3次。;细胞生长特性:贴壁;细胞形态特性:详见细胞说明书;相关细胞有:AD293Cells、RA.1Cells、Granta519细胞

HCS2/8Cells;细胞背景资料:软骨肉瘤;男性;细胞传代方法:1:2-1:3传代;每周换液2-3次。;细胞生长特性:贴壁;细胞形态特性:详见细胞说明书;相关细胞有:SUSM-1Cells、CHP126Cells、H-2227细胞

HEYA8Cells;细胞背景资料:卵巢癌;女性;细胞传代方法:1:2-1:3传代;每周换液2-3次。;细胞生长特性:贴壁;细胞形态特性:详见细胞说明书;相关细胞有:Hs675TCells、SJRH30Cells、FET细胞

Caco-2BBeCells;细胞背景资料:详见相关文献介绍;细胞传代方法:1:6—1:10传代,每周换液2次;细胞生长特性:贴壁生长;细胞形态特性:上皮Cells;相关细胞有:SW 954Cells、SCC-9Cells、NCI-H2141细胞

T/G HA VSMCCells;细胞背景资料:详见相关文献介绍;细胞传代方法:1:2-1:3传代;每周换液2-3次。;细胞生长特性:贴壁或悬浮,详见细胞说明书部分;细胞形态特性:详见细胞说明书;相关细胞有:10T1/2Cells、AsPC-1Cells、HARAB细胞

UACC893Cells;细胞背景资料:详见相关文献介绍;细胞传代方法:1:2-1:3传代;每周换液2-3次。;细胞生长特性:贴壁生长;细胞形态特性:上皮样;相关细胞有:H-841Cells、HEK-293FTCells、CCRF-CEM/S细胞

Strain KBCells;细胞背景资料:Zui初认为这个细胞源自口腔表皮癌,但随后通过同工酶分析、HeLa标记染色体和DNA指纹分析发现,起源细胞已被HeLa污染。 角蛋白免疫过氧化物酶染色阳性。 有报告称KB细胞含有人乳头状瘤病毒18 (HPV-18)序列。;细胞传代方法:1:2传代;细胞生长特性:悬浮生长;细胞形态特性:上皮细胞样;相关细胞有:6-T CEMCells、RPMI 8226Cells、H-1792细胞

RPMI8226Cells;细胞背景资料:来源于一位61岁的男性浆细胞瘤患者;可产生免疫球蛋白轻链,未检测到重链。;细胞传代方法:按1:2传代,5-6小时可以看到细胞分裂;细胞生长特性:悬浮生长;细胞形态特性:淋巴母细胞样;相关细胞有:TERT-RPE1Cells、PLA801-95CCells、LIPF178C细胞

SJ-RH30Cells;细胞背景资料:肺泡横纹肌肉瘤;骨髓转移;细胞传代方法:1:2-1:3传代;每周换液2-3次。;细胞生长特性:贴壁;细胞形态特性:详见细胞说明书;相关细胞有:SCC-7Cells、ZR75-1Cells、HFB细胞

Eca-109Cells;细胞背景资料:1973年建系,来自人食管中段鳞癌组织,小块法原代培养建系。BALB/c裸鼠移植成瘤。;细胞传代方法:1:2-1:3传代;每周换液2-3次。;细胞生长特性:贴壁;细胞形态特性:上皮细胞样;相关细胞有:SKMEL1Cells、F-36PCells、HCMEC(BL12-H)细胞

bEnd3Cells;细胞背景资料:详见相关文献介绍;细胞传代方法:1:2-1:3传代;每周换液2-3次。;细胞生长特性:贴壁或悬浮,详见细胞说明书部分;细胞形态特性:详见细胞说明书;相关细胞有:OCI-LY-7Cells、T 98 GCells、HEL9217细胞

SK-MEL 28Cells;细胞背景资料:详见相关文献介绍;细胞传代方法:1:3-1:8传代,2-3天换液1次。;细胞生长特性:贴壁生长;细胞形态特性:星形的;相关细胞有:NS1-Ag4Cells、OSC19Cells、IHC-ST1细胞

"


K1 Cells|人甲状腺癌克隆细胞;

公司简介

上海冠导生物工程有限公司,先后从ATCC、DSMZ、ECACC、RIKEN、PromoCell、ScienCell、JCRB等国内外细胞库引进细胞2000余株。以此为契机,公司组建了冠导细胞库,我司细胞均由资深细胞培养工程师进行培养。我司可以提供的细胞有:①细胞系②原代细胞③稳转株④耐药株⑤标记细胞⑥细胞配套试剂等。

成立日期 (11年)
注册资本 100万(元)
员工人数 50-100人
年营业额 ¥ 1000万-5000万
经营模式 工厂,试剂,定制,服务
主营行业 细胞培养,微生物学,细胞生物学

K1 Cells|人甲状腺癌克隆细胞相关厂家报价 更多

内容声明
拨打电话 立即询价