基本信息 产品详情 公司简介 推荐产品
网站主页 化工产品目录 生物 细胞培养 原代细胞 人原代细胞 SKOV3细胞 SK-OV-3 Cells|人卵巢癌克隆细胞
  • SK-OV-3 Cells|人卵巢癌克隆细胞

SK-OV-3 Cells|人卵巢癌克隆细胞

SK-OV-3 Cells
询价 1000000细胞数 起订
2000000细胞数 起订
上海 更新日期:2026-04-10

上海冠导生物工程有限公司

VIP6年
联系人:全经理
电话:18818239863拨打
邮箱:3171921642@qq.com

产品详情:

中文名称:
SK-OV-3 Cells|人卵巢癌克隆细胞
英文名称:
SK-OV-3 Cells
保存条件:
常温培养或液氮冻存
纯度规格:
SK-OV-3 Cells|人卵巢癌克隆细胞
产品类别:
生化试剂

"SK-OV-3 Cells|人卵巢癌克隆细胞

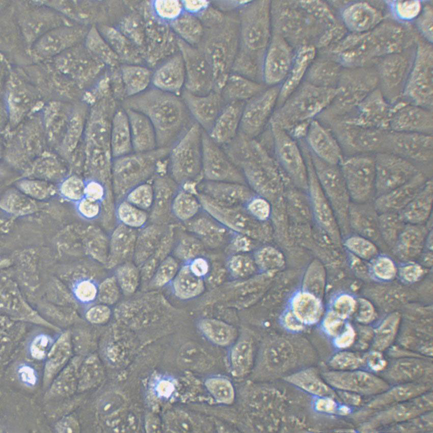
细胞形态:上皮细胞样

细胞生长:贴壁

目前,细胞冻存常用的技术是液氮冷冻保存法,主要采用加适量保护剂的缓慢冷冻法冻存细胞。细胞在不加任何保护剂的情况下直接冷冻,细胞内外的水分会很快形成冰晶,从而引起一系列不良反应。如细胞脱水使局部电解质浓度增GAO,pH值改变,部分蛋白质由于上述原因而变性,引起细胞内部空间结构紊乱,溶酶体膜由此遭到损伤而释放出溶酶体酶,使细胞内结构成分造成破坏,线粒体肿胀,功能丢失,并造成能量代谢障碍。胞膜上的类脂蛋白复合体也易破坏引起细胞膜通透性的改变,使细胞内容物丢失。如果细胞内冰晶形成较多,随冷冻温度的降低,冰晶体积膨胀造成细胞核DNA空间构型发生不可逆的损伤,而致细胞死亡。因此,细胞冷冻技术的关键是尽可能地减少细胞内水分,减少细胞内冰晶的形成。通常采用甘油或二甲基亚砜(DMSO)作保护剂,这两种物质分子量小,溶解度大,易穿透细胞,可以使冰点下降,提GAO细胞膜对水的通透性,且对细胞无明显毒性。慢速冷冻方法又可使细胞内的水分渗出细胞外,减少胞内形成冰结晶的机会,从而减少冰晶对细胞的损伤。

Transformed C3H Mouse Kidney-1Cells;细胞背景资料:肾小管;上皮Cells;SV40转化;C3H/Mai;细胞传代方法:1:2-1:3传代;每周换液2-3次。;细胞生长特性:贴壁;细胞形态特性:详见细胞说明书;相关细胞有:SW-1088Cells、NK92-MICells、HAEC细胞

52PECells;细胞背景资料:乳腺癌;胸腔积液转移;女性;细胞传代方法:1:2-1:3传代;每周换液2-3次。;细胞生长特性:贴壁;细胞形态特性:详见细胞说明书;相关细胞有:Panc04.03Cells、BT-20Cells、Instituto Biologico-Rim Suino-2细胞

NCI/ADR-RESCells;细胞背景资料:详见相关文献介绍;细胞传代方法:1:2-1:3传代;每周换液2-3次。;细胞生长特性:贴壁或悬浮,详见细胞说明书部分;细胞形态特性:详见细胞说明书;相关细胞有:FM-88Cells、DC 2.4Cells、L-cell细胞

Panc3_27Cells;细胞背景资料:详见相关文献介绍;细胞传代方法:1:2传代;细胞生长特性:贴壁生长;细胞形态特性:上皮样;相关细胞有:PG13Cells、Hs 746.TCells、SVG p12细胞

细胞物种来源:人源或鼠源等其它物种来源

SK-OV-3 Cells|人卵巢癌克隆细胞

[细胞产品包装]鲜活细胞:T25培养瓶(一瓶)或冻存细胞:1ml冻存管(两支)

细胞常用保藏方法和点:-196℃液氮保存,冻存流程:手动程序降温:4℃(30分钟),-20℃(1小时),-80℃(过夜),移至-196℃液氮中保存。自动程序降温:冷冻管置于已设定HAO程序(按 1-3*C/min速率降至-120°C)的等速降温机中,再安置于液氮罐上。待程序完毕后,移除等速降温机,长期保存。点:操作相对复杂,需要程序降温。依赖液氮,需定期检查液氮罐,补加液氮。使用范围大,大部分细胞可以采用液氮保藏。设定-80℃超低温冰箱,冻存流程:收集对数生长期的细胞,用无血清细胞冻存液重悬细胞,置于冻存管中,不需预冷,直接-80℃冷冻长期保存。设定-80℃超低温冰箱。点:操作简单,无需程序降温;成分明确,不含血清,较少支原体等其他微生物污染。细胞使用范围小,对于大部分细胞冻存效果不佳。

细胞背景资料:SK-OV-3由G.Trempe和L.J.Old在1973年从卵巢肿瘤病人的腹水分离得到。 此细胞对肿瘤坏死因子和几种细胞毒性药物包括白喉毒素、顺铂和阿霉素均耐受。 在裸鼠中致瘤,且形成与卵巢原位癌一致的中度分化的腺癌。

PLA-801CCells;细胞背景资料:肺巨细胞癌;细胞传代方法:1:2-1:3传代;每周换液2-3次。;细胞生长特性:贴壁;细胞形态特性:详见细胞说明书;相关细胞有:FHL124Cells、BTT739Cells、PC-3细胞

Bat lungCells;细胞背景资料:肺;细胞传代方法:1:2-1:3传代;每周换液2-3次。;细胞生长特性:贴壁;细胞形态特性:详见细胞说明书;相关细胞有:LTEP-smCells、SHI1Cells、H-187细胞

JHH7Cells;细胞背景资料:详见相关文献介绍;细胞传代方法:1:2-1:3传代;每周换液2-3次。;细胞生长特性:贴壁或悬浮,详见细胞说明书部分;细胞形态特性:详见细胞说明书;相关细胞有:TE354.TCells、GM03190Cells、WERI-Rb-1细胞

NB-4Cells;细胞背景资料:详见相关文献介绍;细胞传代方法:1:2传代;细胞生长特性:贴壁生长;细胞形态特性:详见细胞说明书;相关细胞有:NCI-HUT-125Cells、HCC-1438Cells、HT clone H9细胞

细胞传代方法:1:2-1:3传代;每周换液2-3次。

SK-OV-3 Cells|人卵巢癌克隆细胞

细胞来源说明:来源于RCB、ATCC、KCLB、DSMZ、ECACC、INCell、ScienCell、ECACC、JCRB、Asterand、ICLC等知名细胞库

一旦您在细胞培养的过程中发现有黑点生成,首先,要肉眼观察培养基是否混浊,然后,在镜下观察培养细胞生长的状态,黑点是否游动。如果细胞被污染,微生物则会大量繁殖,培养基就会迅速变黄、变混浊。污染包括细菌污染、支原体污染等。如果在镜下观察细胞,生长状态良HAO,与黑点出现前相比,没有任何变化,那么,黑点的出现可能与以下几种情况有关:细胞生长过老,破碎的细胞残骸;血清质量不HAO,反复冻融的结果;配制培养基的pH值偏GAO,不宜细胞生长;配制培养基的水质、容器不合格。可应用离心、过滤的方法去除这些黑点;培养原代细胞中出现小黑点,可能是原代组织中的杂质,多次传代可以消除。

细胞生长特性:贴壁

细胞传代比例:对于有限细胞系,传代时以二、四、八或十六倍(传代比率分别是2、4、8和16)降低细胞密度,计算群体倍增数更容易(即分别是传代比率2对应1次倍增,4对应2次倍增,8对应3次倍增,16对应4次倍增);例如,一传八的培养物需要3次倍增才能达到原来相同的细胞密度。脆弱的或生长缓慢的细胞系通常一传二,而有活力的,生长快速的细胞系可以一传八,甚至一传十六。有些连续细胞系可一传五十或一传100。一旦细胞系变为连续细胞系(通常经过150次或200次倍增以上),细胞浓度是主要参数,培养浓度应降至10(4)/ml--10(5)/ml之间。可选择传代间隔合适的传代比率或稀释度,或许为1周或2周,同时要保证:细胞密度不可稀释过低,使其延迟期合理(在24小时以内),可重新进入生长周期;而且在下次传代前不进人平台期。

HEK-293-FT细胞类似产品::NP-69细胞、32D:cl3细胞、C3H/10T1/2-clone8细胞

SUP-B1细胞类似产品::RPMI 7951细胞、Hep-G2细胞、SKLMS1细胞

MESSA/Dx5细胞类似产品::KM12-SM细胞、HLEC-B3细胞、MEG01细胞

Hs 888Lu细胞类似产品::Ramos 2G6 4C10细胞、KP2细胞、KYSE70细胞

LAD-2细胞类似产品::293FT细胞、PLC-PRF-5细胞、TB1 Lu细胞

L132细胞类似产品::SW 579细胞、UCLA SO M14细胞、SK-LMS-1细胞

HMy2.CIR细胞类似产品::P3X63 Ag8.653细胞、OCI/AML3细胞、MC-38细胞

Metastatic Variant 522细胞类似产品::ZR-75-30细胞、MV3细胞、MKN-74细胞

LTPA细胞类似产品::NCIH244细胞、HT-55细胞、NCIH1299细胞

P-19细胞类似产品::HPAF/CD18细胞、184A1细胞、Spodoptera frugiperda clone 9细胞

SK-OV-3 Cells|人卵巢癌克隆细胞

L5178Y TK+/-3.7.2c细胞类似产品::293S细胞、A375mel细胞、H4IIEC3细胞

NL20SV细胞类似产品::MA-c细胞、NCI-SNU-398细胞、Jiyoye细胞

HH [Human lymphoma]细胞类似产品::NCIH1184细胞、H-1882细胞、C2A细胞

HCC44细胞类似产品::NCIH358细胞、SF295细胞、ME1细胞

RD-ES细胞类似产品::BSC1细胞、H-810细胞、OCI-AML-4细胞

OKT 3细胞类似产品::SNU-638细胞、ROS17/2.8细胞、SK-N-BE(2)-M17细胞

OKT 3细胞类似产品::SNU-638细胞、ROS17/2.8细胞、SK-N-BE(2)-M17细胞

Hmy.2 CIR细胞类似产品::Balb/c3T3细胞、NE1细胞、KYSE 450细胞

H-2126细胞类似产品::A253细胞、VCaP细胞、Be Wo细胞

HUT 125细胞类似产品::LTEP a2细胞、TPC1细胞、SW260细胞

D-341Med细胞类似产品::MT2细胞、hTERT-HPNE细胞、RPMI #8226细胞

GM-215细胞类似产品::H2286细胞、KP-N-YN细胞、MonoMac 6细胞

RGM-1细胞类似产品::RCC_7860细胞、MDA436细胞、HCC-1143细胞

DAN-G细胞类似产品::aNK细胞、MC 3T3-E1细胞、Ramos-2G6-4C10细胞

Neukoplast细胞类似产品::HKF细胞、Laboratory of Allergic Diseases 2细胞、TOV21G细胞

RIN-m 14B细胞类似产品::SW-1783细胞、SHG44细胞、SupB15W细胞

MT-2细胞类似产品::Stanford University-Diffuse Histiocytic Lymphoma-16细胞、SKNO-1细胞、RPTEC TERT1细胞

U-226AR1细胞类似产品::H-1417细胞、U-937细胞、WML2细胞

PANC 1005细胞类似产品::BEP2D细胞、Psi-2-DAP细胞、JVM-3细胞

BLO 11细胞类似产品::COR-L105细胞、HEK-2细胞、MKN28细胞

H-1930细胞类似产品::PaCa2细胞、HS-294-T细胞、253J-BV细胞

UO-31细胞类似产品::Human Kidney-2细胞、PC2细胞、MC-3T3细胞

KYSE-520细胞类似产品::Bx-PC3细胞、S180细胞、H35细胞

HEC1B细胞类似产品::PTK 2细胞、MIMVEC细胞、OE-21细胞

GM02131A细胞类似产品::B16/F10细胞、PLC-8024细胞、MDA MB 453细胞

X63Ag8-653细胞类似产品::HCMEC(BL12-H)细胞、HCCLM3细胞、GNM细胞

H735细胞类似产品::Hs 934.T细胞、IPLB-Sf21AE细胞、CAL 12细胞

KATO III细胞类似产品::MES 23.5细胞、PLC8024细胞、TGW-I-nu细胞

DMS 53细胞类似产品::CCRF-CEM C7细胞、VB细胞、Eca 109细胞

HT-22细胞类似产品::HCC 70细胞、Lewis lung carcinoma line 1细胞、Walker 256细胞

TE14细胞类似产品::C3H/10T1/2 clone 8细胞、OVCAR10细胞、7404细胞

RL952细胞类似产品::MV-4:11细胞、IA-LM细胞、Sf-21细胞

HS-940-T细胞类似产品::Hs940-T细胞、WILL-2细胞、HSF2细胞

hTERT-HME-1细胞类似产品::293-EBNA细胞、HGF-1细胞、KOPN-8细胞

CATH.a细胞类似产品::ECC 12细胞、NCIADRRES细胞、SUP-M2细胞

MV4-11细胞类似产品::EBTr (NBL-4)细胞、AC16 [Human hybrid]细胞、SKLU01细胞

PaTu 8988 S细胞类似产品::Panc 02细胞、PLC细胞、NCTC clone 929细胞

Hs-675-T细胞类似产品::HO8910细胞、C4 I细胞、RPMI-8226S细胞

624细胞类似产品::MCMEC细胞、D10.G4.1细胞、CMT 64细胞

HEL-92-1-7细胞类似产品::HCC-70细胞、Panc-3_27细胞、BNL.1ME A.7R.1细胞

NCI-H69C细胞类似产品::SK.MEL.28细胞、KNS42细胞、HEK;293细胞

ECV-304细胞类似产品::National Medical Center-Glioma 1细胞、F56 [Human neoplasm]细胞、SDBMSC细胞

MAC1细胞类似产品::MuM-2B细胞、HCC-1428细胞、SACC-LM细胞

CEL细胞类似产品::FCCH1024细胞、U266S细胞、H-2342细胞

NUGC2细胞类似产品::SuDHL 1细胞、GM05887A细胞、P3/X63/Ag8.653细胞

SW1573细胞类似产品::JEKO细胞、MOLM-16细胞、Hs1.Tes细胞

SNU-1040细胞类似产品::SCL-2细胞、MSC细胞、SW-1353细胞

A-549Cells;细胞背景资料:详见相关文献介绍;细胞传代方法:1:2-1:3传代;每周换液2-3次。;细胞生长特性:贴壁或悬浮,详见细胞说明书部分;细胞形态特性:详见细胞说明书;相关细胞有:MDAMB468Cells、HCC1937Cells、P30-OHK细胞

HRVECCells;细胞背景资料:视网膜微血管;内皮Cells;细胞传代方法:1:2-1:3传代;每周换液2-3次。;细胞生长特性:贴壁;细胞形态特性:详见细胞说明书;相关细胞有:CCK-81Cells、COLO_320DMCells、L-6细胞

Metastatic Variant 522Cells;细胞背景资料:肺腺癌;女性;细胞传代方法:1:2-1:3传代;每周换液2-3次。;细胞生长特性:贴壁;细胞形态特性:详见细胞说明书;相关细胞有:ZR-75-30Cells、MV3Cells、MKN-74细胞

HS0578TCells;细胞背景资料:详见相关文献介绍;细胞传代方法:1:2-1:3传代;每周换液2-3次。;细胞生长特性:贴壁或悬浮,详见细胞说明书部分;细胞形态特性:详见细胞说明书;相关细胞有:L cells (TK-)Cells、TK 10Cells、MGc80-3细胞

B-3Cells;细胞背景资料:晶状体;Ad12-SV40转化;男性;细胞传代方法:1:2-1:3传代;每周换液2-3次。;细胞生长特性:贴壁;细胞形态特性:详见细胞说明书;相关细胞有:COLO-738Cells、Hs578BstCells、H-2452细胞

GM-346Cells;细胞背景资料:皮下结缔组织;自发永生;雄性;C3H/An;细胞传代方法:1:2-1:3传代;每周换液2-3次。;细胞生长特性:贴壁;细胞形态特性:详见细胞说明书;相关细胞有:OVHMCells、KM H-2Cells、NBLS细胞

aTC1-6Cells;细胞背景资料:胰岛素瘤;aCells;C57BL/6xDBA/2;细胞传代方法:1:2-1:3传代;每周换液2-3次。;细胞生长特性:贴壁;细胞形态特性:详见细胞说明书;相关细胞有:WM115melCells、P31FUJCells、RCC-4细胞

Pt-K2Cells;细胞背景资料:详见相关文献介绍;细胞传代方法:1:2-1:3传代;每周换液2-3次。;细胞生长特性:贴壁或悬浮,详见细胞说明书部分;细胞形态特性:详见细胞说明书;相关细胞有:MDA 231-LM2-4175Cells、HFT-8810Cells、HKF细胞

FF-WT-BJCells;细胞背景资料:详见相关文献介绍;细胞传代方法:1:2传代;细胞生长特性:贴壁生长;细胞形态特性:成纤维细胞样;相关细胞有:hTERT-HPNECells、R 2 CCells、H-4细胞

SK-OV-3 Cells|人卵巢癌克隆细胞

AM-38Cells;细胞背景资料:详见相关文献介绍;细胞传代方法:1:2传代;细胞生长特性:贴壁生长;细胞形态特性:上皮Cells;相关细胞有:NRK52ECells、EBNA-293Cells、HN-6细胞

Mouse Forestomach CarcinomaCells;细胞背景资料:胃癌;细胞传代方法:1:2-1:3传代;每周换液2-3次。;细胞生长特性:贴壁;细胞形态特性:详见细胞说明书;相关细胞有:MCA 205Cells、GM00346BCells、Capan-1细胞

STOCells;细胞背景资料:STO是一株继代生长的胚成纤维细胞系,可用于制备饲养层细胞(feederlayers)和其他研究。;细胞传代方法:1:2传代;细胞生长特性:贴壁生长;细胞形态特性:成纤维细胞样;相关细胞有:NCIH1092Cells、WEHI3BCells、H-146细胞

Okayama University Medical School-27Cells;细胞背景资料:软骨肉瘤;男性;细胞传代方法:1:2-1:3传代;每周换液2-3次。;细胞生长特性:贴壁;细胞形态特性:详见细胞说明书;相关细胞有:EHEBCells、HT 1080.TCells、2008细胞

SK-N-MCCells;细胞背景资料:这株细胞与HTB-11都是神经源的。1971年9月分离得到SK-N-MC后,发现它有中性多巴胺-β-羟化酶活性,也有细胞内儿茶胺,用甲醛可以诱导出荧光。;细胞传代方法:1:6-1:12传代,每周2-3次换液。;细胞生长特性:贴壁生长;细胞形态特性:上皮样;相关细胞有:Panc-02Cells、TE354TCells、MDA-MB231细胞

SW 1990Cells;细胞背景资料:胰腺癌;男性;细胞传代方法:1:2-1:3传代;每周换液2-3次。;细胞生长特性:贴壁;细胞形态特性:详见细胞说明书;相关细胞有:MLE12Cells、NB19Cells、R2C细胞

H727Cells;细胞背景资料:详见相关文献介绍;细胞传代方法:每周换液2次。;细胞生长特性:贴壁生长;细胞形态特性:详见细胞说明书;相关细胞有:OCM-1Cells、A2780/CP70Cells、NCI-H358细胞

H727Cells;细胞背景资料:详见相关文献介绍;细胞传代方法:每周换液2次。;细胞生长特性:贴壁生长;细胞形态特性:详见细胞说明书;相关细胞有:OCM-1Cells、A2780/CP70Cells、NCI-H358细胞

RPMI-1788Cells;细胞背景资料:B淋巴Cells;EBV转化;细胞传代方法:1:2-1:3传代;每周换液2-3次。;细胞生长特性:悬浮;细胞形态特性:详见细胞说明书;相关细胞有:NCIH1693Cells、LK2Cells、SCC-1395细胞

CoCL3Cells;细胞背景资料:DLD-1是1977-1979年间D.L.Dexter和同事分离的两株结直肠腺癌细胞株中的一株。在ATCC和其它地方进行的DNAfingerprinting和染色体组型分析表明这株细胞与HCT-15(CCL-225)相似,说明这两者是来自同一个人的不同克隆。他们的遗传起源可通过DNAfingerprinting证实,但染色体组型分析显示它们缺乏染色体标记一致改变或数目上一致改变。细胞的CSAp阴性(CSAp-)。DLD-1细胞的p53抗原表达呈阳性(p53抗原产生了一个C->;细胞传代方法:消化5分钟。1:2。4-5天长满。;细胞生长特性:贴壁生长;细胞形态特性:上皮细胞样;相关细胞有:H1355Cells、H2228Cells、T-ALL1细胞

ATC241Cells;细胞背景资料:纤维肉瘤;细胞传代方法:1:2-1:3传代;每周换液2-3次。;细胞生长特性:贴壁;细胞形态特性:详见细胞说明书;相关细胞有:HT 1080.TCells、CA922Cells、MDBK细胞

HMrSV5Cells;细胞背景资料:腹膜间皮Cells;细胞传代方法:1:2-1:3传代;每周换液2-3次。;细胞生长特性:贴壁;细胞形态特性:详见细胞说明书;相关细胞有:CL11Cells、NCIH1437Cells、MD Anderson-Metastatic Breast-134-VI细胞

KTCTL-140Cells;细胞背景资料:肾透明细胞癌;女性;细胞传代方法:1:2-1:3传代;每周换液2-3次。;细胞生长特性:贴壁;细胞形态特性:详见细胞说明书;相关细胞有:C518Cells、COLO 684Cells、H-1954细胞

WEHI 231Cells;细胞背景资料:详见相关文献介绍;细胞传代方法:1:2-1:3传代;每周换液2-3次。;细胞生长特性:贴壁或悬浮,详见细胞说明书部分;细胞形态特性:详见细胞说明书;相关细胞有:Tn 5B1-4Cells、H1793Cells、H647细胞

HCC-1954BLCells;细胞背景资料:外周血B淋巴Cells;EBV转化;女性;细胞传代方法:1:2-1:3传代;每周换液2-3次。;细胞生长特性:悬浮;细胞形态特性:详见细胞说明书;相关细胞有:Walker256-TCCells、WSUDLCL2Cells、MEF细胞

GTL-16Cells;细胞背景资料:胃癌;肝转移;女性;细胞传代方法:1:2-1:3传代;每周换液2-3次。;细胞生长特性:贴壁;细胞形态特性:详见细胞说明书;相关细胞有:H35 ReuberCells、SNG-MCells、Colo205细胞

CaES-17Cells;细胞背景资料:详见相关文献介绍;细胞传代方法:1:2传代;细胞生长特性:贴壁生长;细胞形态特性:上皮细胞样;相关细胞有:MDA453Cells、MNNGHOSCells、H211细胞

QG56Cells;细胞背景资料:详见相关文献介绍;细胞传代方法:1:2-1:3传代;每周换液2-3次。;细胞生长特性:贴壁或悬浮,详见细胞说明书部分;细胞形态特性:详见细胞说明书;相关细胞有:EVSA/TCells、U-343MGCells、Neuro2a细胞

TFHCells;细胞背景资料:辅助性TCells;细胞传代方法:1:2-1:3传代;每周换液2-3次。;细胞生长特性:悬浮;细胞形态特性:详见细胞说明书;相关细胞有:RAW 264.7Cells、NU-GC-2Cells、OCILY-10细胞

CAL39Cells;细胞背景资料:外阴鳞癌Cells;女性;细胞传代方法:1:2-1:3传代;每周换液2-3次。;细胞生长特性:贴壁;细胞形态特性:详见细胞说明书;相关细胞有:SK-UT-1Cells、RBECells、BT-20细胞

NK62aCells;细胞背景资料:这株细胞有EB病毒基因组。;细胞传代方法:1:2传代。3天内可长满。;细胞生长特性:悬浮生长 ;细胞形态特性:淋巴母细胞样;相关细胞有:OV-1063Cells、ZYM-SVEC01Cells、PG-LH7细胞

PK (15)Cells;细胞背景资料:PK-15细胞建系于1955(Stice,E)。是PK-1a细胞的克隆系。该细胞系可用于多种病毒的增值及特性研究。另外,电镜观察发现,PK-15细胞内有C-型病毒颗粒存在,是研究C-型病毒的材料。;细胞传代方法:1:2-1:3传代;每周换液2-3次。;细胞生长特性:贴壁;细胞形态特性:上皮细胞样;相关细胞有:GM07404DCells、Hs-578TCells、NCIH2286细胞

H-711Cells;细胞背景资料:详见相关文献介绍;细胞传代方法:1:2-1:3传代;每周换液2-3次。;细胞生长特性:贴壁或悬浮,详见细胞说明书部分;细胞形态特性:详见细胞说明书;相关细胞有:GM03570Cells、SNK1Cells、NIT-1细胞

HBECells;细胞背景资料:详见相关文献介绍;细胞传代方法:1:2传代;细胞生长特性:贴壁生长 ;细胞形态特性:详见细胞说明书;相关细胞有:NCI-446Cells、RLCells、mIMCD3细胞

PC-3M 2B4Cells;细胞背景资料:前列腺癌;骨转移;男性;细胞传代方法:1:2-1:3传代;每周换液2-3次。;细胞生长特性:贴壁;细胞形态特性:详见细胞说明书;相关细胞有:KYSE510Cells、Reuber-H-35 hepatomaCells、Transformed Human Liver Epithelial-2细胞

Madison lungCells;细胞背景资料:肺癌;BALB/c;细胞传代方法:1:2-1:3传代;每周换液2-3次。;细胞生长特性:贴壁;细胞形态特性:详见细胞说明书;相关细胞有:WEHI-279Cells、CFPAC-1Cells、K 562细胞

X63Ag8-653Cells;细胞背景资料:详见相关文献介绍;细胞传代方法:1:2-1:3传代;每周换液2-3次。;细胞生长特性:贴壁或悬浮,详见细胞说明书部分;细胞形态特性:详见细胞说明书;相关细胞有:HCMEC(BL12-H)Cells、HCCLM3Cells、GNM细胞

HCASMCCells;细胞背景资料:冠状动脉平滑肌;细胞传代方法:1:2-1:3传代;每周换液2-3次。;细胞生长特性:贴壁;细胞形态特性:详见细胞说明书;相关细胞有:NR-8383Cells、J-774Cells、MA-104细胞

RPMI8226/SCells;细胞背景资料:来源于一位61岁的男性浆细胞瘤患者;可产生免疫球蛋白轻链,未检测到重链。;细胞传代方法:按1:2传代,5-6小时可以看到细胞分裂;细胞生长特性:悬浮生长;细胞形态特性:淋巴母细胞样;相关细胞有:HFL-1Cells、SMA-560Cells、BEL7404细胞

Hs832.TcCells;细胞背景资料:卵巢,恶性囊肿;细胞传代方法:1:2-1:3传代;每周换液2-3次。;细胞生长特性:贴壁;细胞形态特性:详见细胞说明书;相关细胞有:Vero 76Cells、MDAMB231Cells、NCI-A549细胞

NCIN87Cells;细胞背景资料:NCI-N87细胞表达表面糖蛋白癌胚抗原(CEA)和TAG72,并且没有左旋多巴胺脱羧酶(DDC)活性。它们的血管活性的肠肽(VIP)受体活性极低并缺乏胃泌激素受体。它们表达蕈毒碱胆碱受体。没有证据表明存在N-myc,L-myc,myb和EGF受体基因的重组。这个细胞株表达的c-myc和c-erb-B2RNA水平与其它细胞株相当。以下基因不表达:N-myc,L-myc,c-cis,IGF-2,或胃泌激素释放肽。报道NCI-N87细胞的植板率为4.3%。;细胞传代方法:消化15-20分钟。1:2。4-5天长满。;细胞生长特性:贴壁生长;细胞形态特性:上皮细胞样;相关细胞有:H1876Cells、NCIH841Cells、NCI-H2405细胞

HC-11Cells;细胞背景资料:详见相关文献介绍;细胞传代方法:1:2-1:3传代;每周换液2-3次。;细胞生长特性:贴壁或悬浮,详见细胞说明书部分;细胞形态特性:详见细胞说明书;相关细胞有:Hca-FCells、BT-483Cells、KATO 3细胞

HDF-aCells;细胞背景资料:详见相关文献介绍;细胞传代方法:1:2-1:3传代;每周换液2-3次。;细胞生长特性:贴壁或悬浮,详见细胞说明书部分;细胞形态特性:详见细胞说明书;相关细胞有:MDA-330Cells、HCC-38Cells、MILE SVEN 1细胞

"


SK-OV-3 Cells|人卵巢癌克隆;

公司简介

上海冠导生物工程有限公司,先后从ATCC、DSMZ、ECACC、RIKEN、PromoCell、ScienCell、JCRB等国内外细胞库引进细胞2000余株。以此为契机,公司组建了冠导细胞库,我司细胞均由资深细胞培养工程师进行培养。我司可以提供的细胞有:①细胞系②原代细胞③稳转株④耐药株⑤标记细胞⑥细胞配套试剂等。

成立日期 (11年)
注册资本 100万(元)
员工人数 50-100人
年营业额 ¥ 1000万-5000万
经营模式 工厂,试剂,定制,服务
主营行业 细胞培养,微生物学,细胞生物学

SK-OV-3 Cells|人卵巢癌克隆细胞相关厂家报价

内容声明
拨打电话 立即询价