基本信息 产品详情 公司简介 推荐产品
网站主页 化工产品目录 生物 细胞培养 细胞系 MNNG/HOS CL #5 CELLS(赠送STR鉴定报告)|人骨肉瘤细胞 MNNG/HOS Cl #5 Cells|人骨肉瘤克隆细胞
  • MNNG/HOS Cl #5 Cells|人骨肉瘤克隆细胞

MNNG/HOS Cl #5 Cells|人骨肉瘤克隆细胞

MNNG/HOS Cl #5 Cells
询价 1000000细胞数 起订
2000000细胞数 起订
上海 更新日期:2026-04-11

上海冠导生物工程有限公司

VIP6年
联系人:全经理
电话:18818239863拨打
邮箱:3171921642@qq.com

产品详情:

中文名称:
MNNG/HOS Cl #5 Cells|人骨肉瘤克隆细胞
英文名称:
MNNG/HOS Cl #5 Cells
保存条件:
常温培养或液氮冻存
纯度规格:
MNNG/HOS Cl #5 Cells|人骨肉瘤克隆细胞
产品类别:
生物试剂

"MNNG/HOS Cl #5 Cells|人骨肉瘤克隆细胞

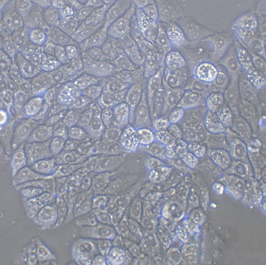
细胞形态:上皮细胞样

细胞生长:贴壁

悬浮细胞收到货后操作流程:打开包装箱,检查离心管是否漏液,若有漏液,请拍照留存,并于24h内及时联系客服;用75%酒精擦拭离心管表面,然后转移至二氧化碳培养箱中静置4h,仔细阅读细胞说明书,了解细胞培养信息;静置4h后,110g(1000rpm)离心3min,转移至安全柜中操作,用完全培养基重悬细胞沉淀至培养瓶或培养皿中培养;显微镜下观察细胞状态和密度,进行拍照;若细胞密度达到80%,可根据具体实验要求直接使用;否则置于培养箱中继续培养,至细胞密度达80%后再进行实验。

Colon-26Cells;细胞背景资料:详见相关文献介绍;细胞传代方法:1:2-1:3传代;每周换液2-3次。;细胞生长特性:贴壁或悬浮,详见细胞说明书部分;细胞形态特性:详见细胞说明书;相关细胞有:LN 382Cells、PM6Cells、COLO 357细胞

H661Cells;细胞背景资料:该细胞1982年建系,源自一位患有大细胞肺癌的男性的胸腔积液。该细胞角蛋白、波形蛋白阳性。;细胞传代方法:1:3—1:5传代,每周换液2—3次;细胞生长特性:贴壁生长;细胞形态特性:上皮样;相关细胞有:ABC1Cells、BHK21Cells、TSUpr1细胞

MOLP-2Cells;细胞背景资料:骨髓瘤;男性;细胞传代方法:1:2-1:3传代;每周换液2-3次。;细胞生长特性:悬浮;细胞形态特性:详见细胞说明书;相关细胞有:NCI-H157Cells、H-510ACells、HCC-2935细胞

P3/NS-1Cells;细胞背景资料:这是P3X63Ag8(ATCCTIB-9)的一个不分泌克隆。Kappa链合成了但不分泌。能抗0.1mM8-氮杂鸟嘌呤但不能在HAT培养基中生长。据报道它是由于缺失了3-酮类固醇还原酶活性的胆固醇营养缺陷型。检测表明肢骨发育畸形病毒(鼠痘)阴性。;细胞传代方法:1:2传代,3天内可长满。;细胞生长特性:悬浮生长;细胞形态特性:淋巴母Cells;相关细胞有:3LLCells、SUM-102PTCells、IPLB-Sf21细胞

细胞物种来源:人源或鼠源等其它物种来源

MNNG/HOS Cl #5 Cells|人骨肉瘤克隆细胞

[细胞产品包装]鲜活细胞:T25培养瓶(一瓶)或冻存细胞:1ml冻存管(两支)

细胞培养中的污染分为两类,化学污染和生物污染。化学污染是一些对细胞有毒性的或对细胞产生刺激的化学物质。这些污染一般来自于没有洗净的器皿、不纯的化学试剂和质量较差的蒸馏水等。化学污染中比较引人注意的是细菌内毒素。它是革兰氏阴性细菌细胞死亡后解体释放出的疏水性的细胞壁组成物质,对塑料等疏水性强的物质有很强的吸附能力。细菌内毒素可刺激部分细胞产生一些激素或细胞因子,对细胞生长和实验结果产生影响。细菌内毒素是临床上的主要的热原(即注射到动物体内会导致动物发热),所以通过细胞培养生产的疫苗、细胞因子等用在临床上的药品的生产过程中更是要避免细菌内毒素的污染。

细胞背景资料:骨肉瘤;女性

OV1-PCells;细胞背景资料:详见相关文献介绍;细胞传代方法:1:2-1:3传代;每周换液2-3次。;细胞生长特性:贴壁或悬浮,详见细胞说明书部分;细胞形态特性:详见细胞说明书;相关细胞有:H740Cells、SK-ChA-1Cells、UPCI:SCC154细胞

McA-RH 7777Cells;细胞背景资料:肝癌;雌性;Buffalo;细胞传代方法:1:2-1:3传代;每周换液2-3次。;细胞生长特性:贴壁;细胞形态特性:详见细胞说明书;相关细胞有:H157Cells、Gerner 7666Cells、COR-L279细胞

CAL120Cells;细胞背景资料:详见相关文献介绍;细胞传代方法:1:2-1:3传代;每周换液2-3次。;细胞生长特性:贴壁或悬浮,详见细胞说明书部分;细胞形态特性:详见细胞说明书;相关细胞有:IMR90Cells、OCILY-19Cells、RK-13细胞

PM6Cells;细胞背景资料:肾癌;男性;细胞传代方法:1:2-1:3传代;每周换液2-3次。;细胞生长特性:贴壁;细胞形态特性:详见细胞说明书;相关细胞有:H-1694Cells、hEECCells、HCT116细胞

细胞传代方法:1:2-1:3传代;每周换液2-3次。

MNNG/HOS Cl #5 Cells|人骨肉瘤克隆细胞

细胞来源说明:来源于RCB、ATCC、KCLB、DSMZ、ECACC、INCell、ScienCell、ECACC、JCRB、Asterand、ICLC等知名细胞库

培养条件的标准化对于维持表现稳定是必需的。尽管由于实验需要可改变某些条件,但建立细胞、生产和日常维持应固守标准的、已确定的条件。培养基所使用的培养基品种会影响不同细胞类型的选择及其表型表达的调节。因此,一旦选定了一种培养基,用该培养基进行标准化,如果购买现成的,选定一个供应商。血清去掉血清波动后的办法就是换为无血清培养基,尽管很不幸不是所有的细胞都有无血清的配方,而且无血清培养的转换昂贵且费时。血清替代品可得到很GAO的稳定性且一般来说较血清和生长因子添加物便宜很多,但不能控制无血清培养基所提供的生理环境。如必需血清,选一批,在培养的每个阶段包括细胞的冻存都使用这批血清。塑料制品多数有名品牌的细胞培养瓶和培养皿细胞培养的结果相似,但由于组织培养塑料制品处理的不同会有轻微不同。因此选定一种培养瓶、皿及供应商。细胞系的维持如果不进行标准方法维持细胞会改变性,维持方法应进行YOU化并在整个处理过程中保持一致。培养物还应该定期更换冷冻保存管。

细胞生长特性:贴壁

细胞培养中的污染分为两类,化学污染和生物污染;生物污染包括比较容易发现的细菌、霉菌和酵母的污染,和较难发现的病毒、支原体和其他细胞的污染。细菌、霉菌和酵母到处存在,它们能在合适的环境中非常快速的生长。这些污染比较容易观察到,它们往往会使其污染的培养液产生可见的变化,或者通过显微镜观察就可以看见。由于病毒有种属异性,所以病毒污染的概率比较小。但是病毒污染难于发现,因为病毒颗粒别微小,一般的实验室都没能力检查细胞培养中污染的病毒。由于病毒一般潜伏在细胞内,对整个细胞培养不是致死的,所以它可能会使研究人员长期得到受病毒影响的细胞的实验结果。1956年Robinson及其同事首次发现细胞培养中的支原体污染。90年代初的一个调查发现,在美国培养的细胞中,至少有15%被支原体污染。由于支原体没有细胞壁,在细胞培养液中几乎是透明的,同时对常用于细胞培养中的抗生素不敏感,不引起pH变化,不使培养液浑浊,所以支原体污染不容易被发现,但是其存在会影响实验的结果。培养多种细胞时操作不当,会导致细胞的交叉污染。由于不同细胞的生产速率不同,污染的生长速率快的细胞终会完全取代被污染的细胞。

GM03320D细胞类似产品::TK.10细胞、HLEB3细胞、RH35细胞

Tn-5细胞类似产品::MHCC97H细胞、AG06814-M细胞、16-HBE细胞

639V细胞类似产品::Hs695T细胞、OPM2细胞、SUDHL-4细胞

MDA-435细胞类似产品::GA-10 (Clone 4)细胞、SK-RC-20细胞、F-36P细胞

H2444细胞类似产品::H1437细胞、NCI-H1568细胞、SW 48细胞

H1650细胞类似产品::H2171细胞、PLB-985细胞、HCCLM6细胞

MM96L细胞类似产品::SF-767细胞、DoHH2细胞、IEC18细胞

Ly18细胞类似产品::NCIH28细胞、TC-1 [Mouse lung]细胞、P3.times.63 Ag8.653细胞

Suzhou Human Glioma-44细胞类似产品::52PE细胞、H-157细胞、B16 melanoma F10细胞

CCC-HEH-2细胞类似产品::SK-GT-4细胞、Tn5 B1-4细胞、MESSADX5细胞

MNNG/HOS Cl #5 Cells|人骨肉瘤克隆细胞

MV4:11细胞类似产品::P30OHK细胞、K1细胞、BXPC3细胞

H3255细胞类似产品::RCC-4细胞、KP4细胞、KU-812F细胞

G-402细胞类似产品::FU-MMT-1细胞、NCI-H2141细胞、MGH-U1 (EJ)细胞

C4I细胞类似产品::V 79-4细胞、SL-1细胞、MUM2B细胞

RKO细胞类似产品::WM451Lu细胞、SKML-28细胞、HSC(Human Schwann)细胞

SNU-368细胞类似产品::AML12细胞、MS 751细胞、5-8F细胞

HTori-3细胞类似产品::LM6细胞、Hs 746T细胞、MUG-Chor1细胞

2V6.11细胞类似产品::IPLB-Sf21AE细胞、NCIH1299细胞、WC00044细胞

SK-N-BE(2)-M17细胞类似产品::MAntle cell VERona-1细胞、Mono-Mac-1细胞、J111细胞

IMR-90细胞类似产品::LC1细胞、WILL2细胞、MIN6细胞

University of Michigan-Renal Carcinoma-2细胞类似产品::HT 1376.T细胞、OVCAR 433细胞、PANC 1005细胞

WEHI3B细胞类似产品::OS-732细胞、HepG2/C3A细胞、Madison细胞

RCC10RGB细胞类似产品::PLA801-95C细胞、Michigan Cancer Foundation-10A细胞、MIO-M1细胞

Nb2-11细胞类似产品::NCI-H2444细胞、L-363细胞、MFE 280细胞

TMD-8细胞类似产品::293-FT细胞、SKNBE-2细胞、CEM-0细胞

RH7777细胞类似产品::KALS-1细胞、HCC-827细胞、NCI-128细胞

SUM149-PT细胞类似产品::MHCC-LM3细胞、Vero E-6细胞、NOMO-1细胞

RPMI-7666细胞类似产品::T HEECs细胞、NTERA-2/D1细胞、Hs281T细胞

Hs746T细胞类似产品::CEMC1细胞、TE-6细胞、U-87细胞

H2135细胞类似产品::HCC-1143细胞、Pa14C细胞、OCI-Ly19细胞

P30 OHK细胞类似产品::Ly1细胞、M-1细胞、SK-MEL-31细胞

HuH7细胞类似产品::CAL-120细胞、MeT 5A细胞、M 1细胞

P3/X63/Ag8.653细胞类似产品::TE-5细胞、CTLL2细胞、CD18/HPAF细胞

JVM2细胞类似产品::YES-2细胞、MES-SA/Dx-5细胞、SKHEP1细胞

210RCY3-Ag1.2.3细胞类似产品::C32 [Human melanoma]细胞、QSG-7701细胞、NCIH650细胞

IBRS-2细胞类似产品::Lewis Lung Cancer细胞、OV2008细胞、NCIH1092细胞

T-84细胞类似产品::SK-RC 39细胞、HCC1500细胞、BHP10-3细胞

NPA'87细胞类似产品::Lewis-Lung细胞、HBZY1细胞、87 MG细胞

H1563细胞类似产品::GM00346细胞、T98细胞、MT2细胞

U251-MG细胞类似产品::Leukemia L1210细胞、DMS-153细胞、CCD33Co细胞

A-431细胞类似产品::RL95-2细胞、Raji细胞、SKBR-3细胞

V 79细胞类似产品::Liver-02细胞、LS 123细胞、Microbiological Associates-104细胞

SNU886细胞类似产品::Huh 7.5细胞、SNU-719细胞、Hu-P-T3细胞

NCI-H69细胞类似产品::H735细胞、PL 45细胞、MHCC 97-H细胞

BIC细胞类似产品::NCI-H1563细胞、Adeno 293细胞、Panc-3_27细胞

Swiss 3T3细胞类似产品::JROECL 19细胞、624细胞、HNE2细胞

Line 207细胞类似产品::HCC1806细胞、BC-022细胞、U251-MG细胞

DoTc2 4510细胞类似产品::COLO201细胞、SACC-83细胞、T-47-D细胞

COLO 679细胞类似产品::CAOV4细胞、BHK 21细胞、NCIH2066细胞

SSP-25细胞类似产品::NIH 3T3细胞、MDCK细胞、MCF10-A细胞

NB-9细胞类似产品::LYR细胞、HEM细胞、HEK-AD 293细胞

NR8383细胞类似产品::HAPI细胞、WM 451-Lu细胞、HEK293细胞

32D.3细胞类似产品::TKB-1细胞、Hs 636.T细胞、Capan1细胞

BJAB-1细胞类似产品::SF767细胞、SkMel31细胞、Hs739T细胞

SKMEL-1细胞类似产品::Walker256细胞、ST 486细胞、MC3T3-E1细胞

NCIH2286细胞类似产品::IHH-4细胞、Roswell Park Memorial Institute 8402细胞、HCT/Taxo1细胞

H-1672细胞类似产品::PC3M细胞、Calu-3细胞、SK MEL 28细胞

KOSC-2Cells;细胞背景资料:详见相关文献介绍;细胞传代方法:2.2 x 10^4 cells/ml ;细胞生长特性:贴壁生长;细胞形态特性:上皮样;相关细胞有:OAW42Cells、Mel-MeWoCells、T-ALL-1细胞

JVM3Cells;细胞背景资料:慢性髓白血病;女性;细胞传代方法:1:2-1:3传代;每周换液2-3次。;细胞生长特性:悬浮;细胞形态特性:详见细胞说明书;相关细胞有:NCI-SNU-761Cells、MDA-MB-231Cells、SH-SY5Y细胞

Kit-225Cells;细胞背景资料:详见相关文献介绍;细胞传代方法:1:2-1:3传代;每周换液2-3次。;细胞生长特性:贴壁或悬浮,详见细胞说明书部分;细胞形态特性:详见细胞说明书;相关细胞有:PLC8024Cells、ST486Cells、NCIH209细胞

DHBECells;细胞背景资料:支气管;上皮Cells;细胞传代方法:1:2-1:3传代;每周换液2-3次。;细胞生长特性:贴壁;细胞形态特性:详见细胞说明书;相关细胞有:SW900Cells、Suzhou Human Glioma-44Cells、Hep 3B2_1-7细胞

SJRH30Cells;细胞背景资料:肺泡横纹肌肉瘤;骨髓转移;细胞传代方法:1:2-1:3传代;每周换液2-3次。;细胞生长特性:贴壁;细胞形态特性:详见细胞说明书;相关细胞有:HMELCells、SKOV3Cells、WEHI 164 TC细胞

MDA-361Cells;细胞背景资料:该细胞源自40岁女性乳腺癌的脑转移组织。;细胞传代方法: 1:2—1:6传代,每周换液2—3次;细胞生长特性:松散贴壁生长;细胞形态特性:上皮细胞样;相关细胞有:MCF7-CTRLCells、C-28/I2Cells、MFE-280细胞

DoTc2Cells;细胞背景资料:详见相关文献介绍;细胞传代方法:1:2—1:3传代,每周换液2—3次;细胞生长特性:贴壁生长 ;细胞形态特性:上皮样;相关细胞有:Hs 688(A).TCells、FU-OV-1Cells、MV4:11细胞

HSC4Cells;细胞背景资料:详见相关文献介绍;细胞传代方法:1 x 10^5 cells/10cm dish;细胞生长特性:贴壁生长;细胞形态特性:上皮Cells;相关细胞有:H1105Cells、mIMCD-3Cells、NSH细胞

Fukuoka University-Malignant mixed Mullerian Tumor-1Cells;细胞背景资料:子宫肉瘤;女性;细胞传代方法:1:2-1:3传代;每周换液2-3次。;细胞生长特性:贴壁;细胞形态特性:详见细胞说明书;相关细胞有:Hs600TCells、NCI-SNU-182Cells、NRK clone 52E细胞

MNNG/HOS Cl #5 Cells|人骨肉瘤克隆细胞

H-378Cells;细胞背景资料:小细胞肺癌;胸腔积液转移;女性;细胞传代方法:1:2-1:3传代;每周换液2-3次。;细胞生长特性:贴壁;细胞形态特性:详见细胞说明书;相关细胞有:SW839Cells、NCI-H87Cells、Alpha Mouse Liver 12细胞

HEL 299Cells;细胞背景资料:红白细胞白血病;细胞传代方法:1:2-1:3传代;每周换液2-3次。;细胞生长特性:悬浮;细胞形态特性:详见细胞说明书;相关细胞有:H2085Cells、MM.1SCells、L-5178-Y细胞

UWB1289Cells;细胞背景资料:详见相关文献介绍;细胞传代方法:1:2传代;细胞生长特性:贴壁生长 ;细胞形态特性:详见细胞说明书;相关细胞有:A 2780 CPCells、Panc_05_04Cells、NCIH2081细胞

SUSM-1Cells;细胞背景资料:成纤维Cells;男性;细胞传代方法:1:2-1:3传代;每周换液2-3次。;细胞生长特性:贴壁;细胞形态特性:详见细胞说明书;相关细胞有:NCIH2073Cells、Hs604TCells、MKN45细胞

HOC1Cells;细胞背景资料:详见相关文献介绍;细胞传代方法:1:2-1:3传代;每周换液2-3次。;细胞生长特性:贴壁或悬浮,详见细胞说明书部分;细胞形态特性:详见细胞说明书;相关细胞有:LIXC-002Cells、H1092Cells、OVCA420细胞

Immortalized Human HepatocytesCells;细胞背景资料:肝;细胞传代方法:1:2-1:3传代;每周换液2-3次。;细胞生长特性:贴壁;细胞形态特性:详见细胞说明书;相关细胞有:H-7721Cells、H-774Cells、CaES-17细胞

SK-ChA-1Cells;细胞背景资料:详见相关文献介绍;细胞传代方法:1:2-1:3传代;每周换液2-3次。;细胞生长特性:贴壁或悬浮,详见细胞说明书部分;细胞形态特性:详见细胞说明书;相关细胞有:CHLCells、PC-3Cells、TOV-112D细胞

SK-ChA-1Cells;细胞背景资料:详见相关文献介绍;细胞传代方法:1:2-1:3传代;每周换液2-3次。;细胞生长特性:贴壁或悬浮,详见细胞说明书部分;细胞形态特性:详见细胞说明书;相关细胞有:CHLCells、PC-3Cells、TOV-112D细胞

HCE-2 [50.B1]Cells;细胞背景资料:角膜上皮;Ad12-SV40;男性;细胞传代方法:1:2-1:3传代;每周换液2-3次。;细胞生长特性:贴壁;细胞形态特性:详见细胞说明书;相关细胞有:G-401Cells、HRA-19Cells、NCIH378细胞

MDA-MB231Cells;细胞背景资料:MDA-MB-231来自患有转移乳腺腺癌的51岁女病人的胸水。在裸鼠和ALS处理的BALB/c小鼠中,它能形成低分化腺癌(III级)。;细胞传代方法:消化3-5分钟,1:2,3天内可长满;细胞生长特性:贴壁生长;细胞形态特性:上皮样;相关细胞有:SF-126Cells、NCI-H1184Cells、TW-039细胞

Caco-2/ATCCCells;细胞背景资料:细胞株分离自一个原发性结肠癌。当细胞长满时,表现出典型的肠细胞分化的特征。Caco-2细胞表达维生素A酸结合蛋白I和视黄醇结合蛋白II,角蛋白阳性。;细胞传代方法:1:2-1:3传代;每周换液2-3次。;细胞生长特性:贴壁;细胞形态特性:上皮细胞样;相关细胞有:NCI-H1944Cells、R DCells、SUD4细胞

Ramos (RA)Cells;细胞背景资料:详见相关文献介绍;细胞传代方法:1:2-1:3传代;每周换液2-3次。;细胞生长特性:贴壁或悬浮,详见细胞说明书部分;细胞形态特性:详见细胞说明书;相关细胞有:BALB/3T3 clone A31Cells、H19-7Cells、Nb-2细胞

786OCells;细胞背景资料:该细胞源自一位原发性肾透明细胞癌患者。该细胞有微绒毛和桥粒,能在软琼脂上生长。此细胞生成一种PTH(甲状旁腺素)样的多肽,与乳癌和肺癌中生成的肽相似,其N端序列与PTH相似,具有PTH样活性,分子量为6000D。;细胞传代方法:1:2传代;细胞生长特性:贴壁生长;细胞形态特性:上皮样;相关细胞有:OCI-Ly 1Cells、NCI/ADR-RESCells、NCI-H441-4细胞

SK-N-BE(2C)Cells;细胞背景资料:神经母细胞瘤;骨髓转移;男性;细胞传代方法:1:2-1:3传代;每周换液2-3次。;细胞生长特性:贴壁;细胞形态特性:详见细胞说明书;相关细胞有:MOLP8Cells、INS1ECells、LM2-4175细胞

T98Cells;细胞背景资料:胶质瘤;男性;细胞传代方法:1:2-1:3传代;每周换液2-3次。;细胞生长特性:贴壁;细胞形态特性:详见细胞说明书;相关细胞有:SUPB-15Cells、CF PAC-1Cells、MV-4-11细胞

XWLC-05Cells;细胞背景资料:肺癌;女性;细胞传代方法:1:2-1:3传代;每周换液2-3次。;细胞生长特性:贴壁;细胞形态特性:详见细胞说明书;相关细胞有:H1770Cells、V79-1Cells、Hela-mock细胞

J774 A1Cells;细胞背景资料:详见相关文献介绍;细胞传代方法:1:2-1:3传代;每周换液2-3次。;细胞生长特性:贴壁或悬浮,详见细胞说明书部分;细胞形态特性:详见细胞说明书;相关细胞有:Hs 895.TCells、C-26Cells、OCIAML3细胞

SNU601Cells;细胞背景资料:详见相关文献介绍;细胞传代方法:1:2-1:3传代;每周换液2-3次。;细胞生长特性:贴壁或悬浮,详见细胞说明书部分;细胞形态特性:详见细胞说明书;相关细胞有:KYSE0030Cells、WiDr-TCCells、KPNRTBM1细胞

L 428Cells;细胞背景资料:霍奇金淋巴瘤;女性;细胞传代方法:1:2-1:3传代;每周换液2-3次。;细胞生长特性:悬浮;细胞形态特性:详见细胞说明书;相关细胞有:SNU475Cells、HCC-1833Cells、QGP1细胞

786OCells;细胞背景资料:该细胞源自一位原发性肾透明细胞癌患者。该细胞有微绒毛和桥粒,能在软琼脂上生长。此细胞生成一种PTH(甲状旁腺素)样的多肽,与乳癌和肺癌中生成的肽相似,其N端序列与PTH相似,具有PTH样活性,分子量为6000D。;细胞传代方法:1:2传代;细胞生长特性:贴壁生长;细胞形态特性:上皮样;相关细胞有:OCI-Ly 1Cells、NCI/ADR-RESCells、NCI-H441-4细胞

GP2-293Cells;细胞背景资料:详见相关文献介绍;细胞传代方法:1:2传代;细胞生长特性:贴壁生长;细胞形态特性:上皮样;相关细胞有:AM38Cells、COLO320-DMCells、NCI-H1944细胞

L23/PCells;细胞背景资料:详见相关文献介绍;细胞传代方法:1:2-1:3传代;每周换液2-3次。;细胞生长特性:贴壁或悬浮,详见细胞说明书部分;细胞形态特性:详见细胞说明书;相关细胞有:ETCC007Cells、MinkCells、Primary Liver Carcinoma/Poliomyelitis Research Foundation/5细胞

Hu-P-T4Cells;细胞背景资料:详见相关文献介绍;细胞传代方法:1:2传代;细胞生长特性:贴壁生长;细胞形态特性:详见细胞说明书;相关细胞有:COV362Cells、697Cells、Menschliche Und Tierische Zellkulture-3细胞

NCIH2291Cells;细胞背景资料:详见相关文献介绍;细胞传代方法:1:3-1:4传代;每周换液2-3次。;细胞生长特性:贴壁生长;细胞形态特性:上皮细胞样;相关细胞有:Mouse Colon 38Cells、WB F344Cells、KE37细胞

Hs 27Cells;细胞背景资料:包皮;成纤维Cells;男性;细胞传代方法:1:2-1:3传代;每周换液2-3次。;细胞生长特性:贴壁;细胞形态特性:详见细胞说明书;相关细胞有:TE-13Cells、A101DCells、HEP-3B2细胞

HOS TE 85Cells;细胞背景资料:骨肉瘤;女性;细胞传代方法:1:2-1:3传代;每周换液2-3次。;细胞生长特性:贴壁;细胞形态特性:详见细胞说明书;相关细胞有:293ADCells、LI7Cells、MOVAS-1细胞

B16 melanoma F10Cells;细胞背景资料:B16-F10是B16-F0的亚系。;细胞传代方法:消化3-5分钟。1:2。3天内可长满。;细胞生长特性:贴壁生长;细胞形态特性:详见细胞说明书;相关细胞有:NCIH69Cells、OKT3Cells、EFO-27细胞

HL7702Cells;细胞背景资料:详见相关文献介绍;细胞传代方法:1:2-1:3传代;每周换液2-3次。;细胞生长特性:贴壁或悬浮,详见细胞说明书部分;细胞形态特性:详见细胞说明书;相关细胞有:HPAFIICells、MCAECCells、H-1373细胞

JEG3Cells;细胞背景资料:这是一株超三倍体人类细胞株;细胞传代方法:消化3-5分钟,1:2,3天内可长满;细胞生长特性:贴壁生长;细胞形态特性:上皮样;相关细胞有:L428Cells、CCRF-CEM C1Cells、HuO9细胞

BEP2DCells;细胞背景资料:支气管;上皮Cells;HPV18转化;细胞传代方法:1:2-1:3传代;每周换液2-3次。;细胞生长特性:贴壁;细胞形态特性:详见细胞说明书;相关细胞有:HuT102Cells、HFL-ICells、LS-1034细胞

KCL-22Cells;细胞背景资料:详见相关文献介绍;细胞传代方法:1:2传代;细胞生长特性:悬浮;细胞形态特性:详见细胞说明书;相关细胞有:Central Adrenergic TH-expressing aCells、MKN28Cells、SaOS细胞

HFLSCells;细胞背景资料:滑膜;成纤维Cells;细胞传代方法:1:2-1:3传代;每周换液2-3次。;细胞生长特性:贴壁;细胞形态特性:详见细胞说明书;相关细胞有:MPC11Cells、HCC-9204Cells、HEM细胞

KM.12Cells;细胞背景资料:详见相关文献介绍;细胞传代方法:1:2传代;细胞生长特性:贴壁生长;细胞形态特性:上皮样;相关细胞有:HFLSCells、GM02131Cells、SK HEP 01细胞

"


MNNG/HOS Cl #5 Cells;

公司简介

上海冠导生物工程有限公司,先后从ATCC、DSMZ、ECACC、RIKEN、PromoCell、ScienCell、JCRB等国内外细胞库引进细胞2000余株。以此为契机,公司组建了冠导细胞库,我司细胞均由资深细胞培养工程师进行培养。我司可以提供的细胞有:①细胞系②原代细胞③稳转株④耐药株⑤标记细胞⑥细胞配套试剂等。

成立日期 (11年)
注册资本 100万(元)
员工人数 50-100人
年营业额 ¥ 1000万-5000万
经营模式 工厂,试剂,定制,服务
主营行业 细胞培养,微生物学,细胞生物学

MNNG/HOS Cl #5 Cells|人骨肉瘤克隆细胞相关厂家报价 更多

内容声明
拨打电话 立即询价