基本信息 产品详情 公司简介 推荐产品
网站主页 SW1353 CELLS:人软骨肉瘤细胞系 SW1353 Cells|人软骨肉瘤克隆细胞
  • SW1353 Cells|人软骨肉瘤克隆细胞

SW1353 Cells|人软骨肉瘤克隆细胞

SW1353 Cells
询价 1000000细胞数 起订
2000000细胞数 起订
上海 更新日期:2026-04-10

上海冠导生物工程有限公司

VIP6年
联系人:全经理
电话:18818239863拨打
邮箱:3171921642@qq.com

产品详情:

中文名称:
SW1353 Cells|人软骨肉瘤克隆细胞
英文名称:
SW1353 Cells
保存条件:
常温培养或液氮冻存
纯度规格:
SW1353 Cells|人软骨肉瘤克隆细胞
产品类别:
生化试剂

"SW1353 Cells|人软骨肉瘤克隆细胞

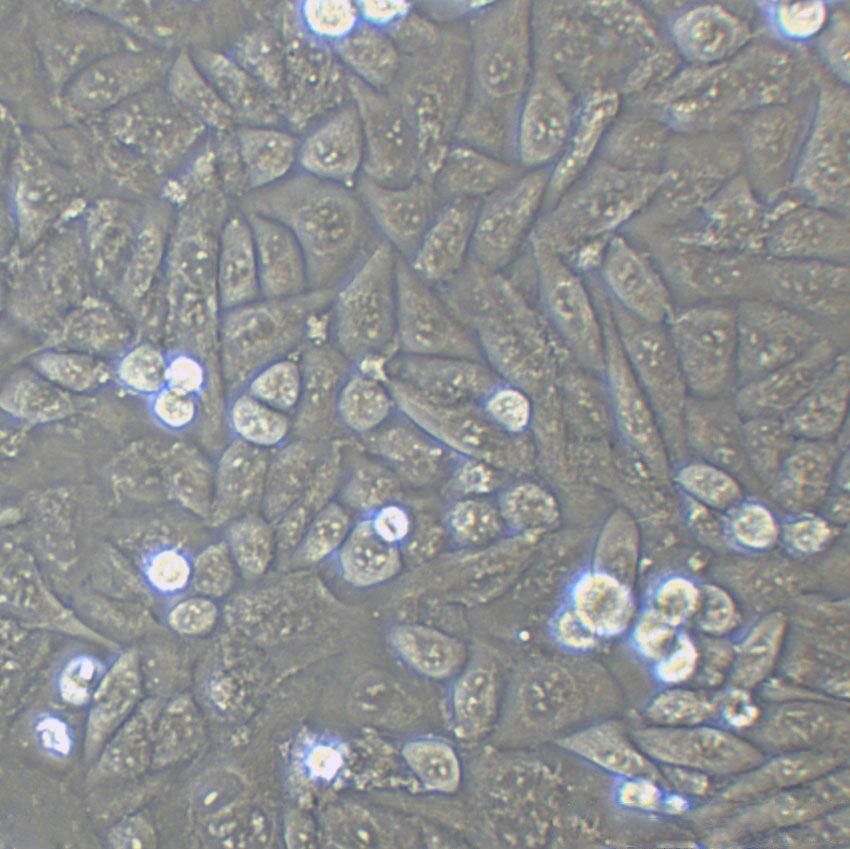
细胞形态:上皮细胞样

细胞生长:贴壁

悬浮细胞收到货后操作流程:打开包装箱,检查离心管是否漏液,若有漏液,请拍照留存,并于24h内及时联系客服;用75%酒精擦拭离心管表面,然后转移至二氧化碳培养箱中静置4h,仔细阅读细胞说明书,了解细胞培养信息;静置4h后,110g(1000rpm)离心3min,转移至安全柜中操作,用完全培养基重悬细胞沉淀至培养瓶或培养皿中培养;显微镜下观察细胞状态和密度,进行拍照;若细胞密度达到80%,可根据具体实验要求直接使用;否则置于培养箱中继续培养,至细胞密度达80%后再进行实验。

H69CCells;细胞背景资料:详见相关文献介绍;细胞传代方法:1:2—1:4传代,每周换液2次;细胞生长特性:悬浮生长,聚团;细胞形态特性:聚团悬浮;相关细胞有:H522Cells、MEF (CF-1)Cells、Jurkat E6-1细胞

526melCells;细胞背景资料:黑色素瘤;细胞传代方法:1:2-1:3传代;每周换液2-3次。;细胞生长特性:贴壁;细胞形态特性:详见细胞说明书;相关细胞有:MC3T3-E1(C4)Cells、RPMI7951Cells、HD11细胞

MDA468Cells;细胞背景资料:该细胞是1977年由CailleauR等从一位患有转移性乳腺癌的51岁黑人女性的胸腔积液中分离得到的。虽然供体组织的G6PD等位基因杂合,但此细胞株始终表现为G6PDA表型。P53基因273位密码子存在G→A突变,从而导致Arg→His替代。每个细胞上存在1×106个EGF受体。;细胞传代方法:1:2-1:4传代;2-3天换液1次;细胞生长特性:贴壁生长;细胞形态特性:上皮样;相关细胞有:QSG-7701Cells、FHs74IntCells、HFSF细胞

RamosCells;细胞背景资料:详见相关文献介绍;细胞传代方法:1:2-1:3传代;每周换液2-3次。;细胞生长特性:贴壁或悬浮,详见细胞说明书部分;细胞形态特性:详见细胞说明书;相关细胞有:CAL51Cells、PC-9Cells、C32 mel细胞

细胞物种来源:人源或鼠源等其它物种来源

SW1353 Cells|人软骨肉瘤克隆细胞

[细胞产品包装]鲜活细胞:T25培养瓶(一瓶)或冻存细胞:1ml冻存管(两支)

细胞培养中的污染分为两类,化学污染和生物污染。化学污染是一些对细胞有毒性的或对细胞产生刺激的化学物质。这些污染一般来自于没有洗净的器皿、不纯的化学试剂和质量较差的蒸馏水等。化学污染中比较引人注意的是细菌内毒素。它是革兰氏阴性细菌细胞死亡后解体释放出的疏水性的细胞壁组成物质,对塑料等疏水性强的物质有很强的吸附能力。细菌内毒素可刺激部分细胞产生一些激素或细胞因子,对细胞生长和实验结果产生影响。细菌内毒素是临床上的主要的热原(即注射到动物体内会导致动物发热),所以通过细胞培养生产的疫苗、细胞因子等用在临床上的药品的生产过程中更是要避免细菌内毒素的污染。

细胞背景资料:骨肉瘤;女性

WEHI3BCells;细胞背景资料:白血病;BALB/c;细胞传代方法:1:2-1:3传代;每周换液2-3次。;细胞生长特性:悬浮;细胞形态特性:详见细胞说明书;相关细胞有:OS-732Cells、HepG2/C3ACells、Madison细胞

ZR-75-30Cells;细胞背景资料:ZR-75-30源自一位47岁女性黑人更年期侵入性导管癌患者的腹水。 细胞定性为人,非-HeLa,恶性乳房上皮癌起始。;细胞传代方法:1:2-1:3传代;每周换液2-3次。;细胞生长特性:贴壁;细胞形态特性:上皮细胞样;相关细胞有:EBC-1/originalCells、SiHaCells、EAC-E2G8细胞

Suzhou Human Glioma-44Cells;细胞背景资料:SHG-44细胞株源自一例2-3级前沿淋巴结星细胞瘤。染色体组型显示89.2%的超三倍体。在Wistar大鼠和裸鼠中接种都能成功。细胞含有神经系统特有的S-100蛋白和星细胞特有的GFA蛋白;细胞传代方法:消化3-5分钟。1:2。3天内可长满。;细胞生长特性:贴壁生长;细胞形态特性:成纤维细胞样;相关细胞有:52PECells、H-157Cells、B16 melanoma F10细胞

NCI-H1770Cells;细胞背景资料:详见相关文献介绍;细胞传代方法:随细胞的生长而换液;细胞生长特性:悬浮生长;细胞形态特性:详见细胞说明书;相关细胞有:SKGIIIACells、HuH28Cells、TK.10细胞

细胞传代方法:1:2-1:3传代;每周换液2-3次。

SW1353 Cells|人软骨肉瘤克隆细胞

细胞来源说明:来源于RCB、ATCC、KCLB、DSMZ、ECACC、INCell、ScienCell、ECACC、JCRB、Asterand、ICLC等知名细胞库

传代细胞时,使用无菌技术和合适的试剂及设备尤为重要。针对您的细胞系选择合适的培养液来得到佳的生长和扩增很关键。每一个细胞系都有定的生长营养组分配方,但是大多数细胞系起码需要的添加物有以下这些:血清,如胎牛血清,需热处理灭活其胎牛成分,它为细胞生长提供重要的生长因子。抗生素,如青霉素和链霉素用于防止细胞污染。其他的生长因子,如成纤维细胞生长因子,有助于延长细胞系的生长和扩增。不使用时,要将这些添加物或者“完全”细胞培养液保存于4摄氏度。首先要注意细胞培养液的颜色,富含营养的新鲜培养液由于添加了pH指示剂酚红故为透明橙色。当细胞耗尽培养液中的营养成分时,开始在培养物中积累废物和酸性物质,降低pH值。因此,许多细胞培养液含有酚红,当培养物呈酸性时会将培养液颜色由橙色变为黄色。培养液需在变黄之前更换。当酚红变为粉红色时,说明培养基pH偏碱,不利于细胞健康生长。这时可能需要改变二氧化碳浓度并更换培养液。很多贴壁细胞系可天然附着于无涂层的塑料上。因此,塑料细胞培养板如培养皿或六孔板经常用于传代细胞。塑料的细胞培养瓶也经常用到,如T25的细胞培养瓶,常用于扩增培养数目少的细胞或者开始培养生长缓慢的细胞系。T75细胞培养瓶常用在培养扩增速度较快的细胞系或用于生长超过T25培养瓶容量的大量细胞。在转移贴壁细胞时,要先剪切掉细胞上与和塑料结合的蛋白。因此,消化酶胰酶常用于消化细胞。控制胰酶消化的时间很重要,因为如果处理时间过长会损坏细胞表面的蛋白。细胞培养液能中和胰酶。所以在胰酶消化前常用磷酸缓冲液或PBS洗涤细胞。EDTA,一种钙螯合剂有时候也用于提GAO胰酶的蛋白水解功能。为扩增细胞克隆,将新鲜传代的细胞培养于细胞培养箱中,选择适合该细胞生长条件,通常为温度37度,二氧化碳5%和湿度95%。

细胞生长特性:贴壁

细胞培养试剂也依据不同细胞类型来选择:细胞培养试剂的种类很多并且不同试剂与不同细胞能产生的反应效果也不一样。因此选择试剂时要有针对性的根据细胞源进行匹配,才能起到良HAO的试验效果并能保障顺利完成实验。选择了相互匹配性HAO的细胞培养试剂不但有利于科研人员的研发分析,还可以提GAO培养的效率并保障达到培养的成功率。总而言之,对于选择细胞培养试剂来说需要根据实验的要求来进行合理的挑选匹配,只有采用了匹配度效果理想的试剂才能保障能顺利的通过实验,并避免对各种试剂材料及时间造成浪费。而且还要选择口碑HAO的细胞培养试剂才能保障材料的YOU质性,并能达到成功配置试剂的目的有效完成不同细胞培养计划。

HCC78细胞类似产品::SK-N-SH细胞、SK-MEL2细胞、SW-837细胞

OVMANA细胞类似产品::SK-MEL-5细胞、LIXC-002细胞、PA317细胞

SW-1222细胞类似产品::SEG1细胞、GTL 16细胞、RCK-8细胞

NB19-RIKEN细胞类似产品::MODE-K细胞、NCI-H2342细胞、IPEC-J2细胞

L cell细胞类似产品::C38细胞、CHO-K1细胞、Hep-G2细胞

HBE135-E6E7细胞类似产品::WERIRb1细胞、NFS 60细胞、GalK1细胞

L5178-R细胞类似产品::Karpas-299细胞、GM3190细胞、P3X63-Ag8.653细胞

CAL 85-1细胞类似产品::Intestinal Epithelioid Cell line No. 18细胞、HIBEpiC细胞、SCC-7细胞

BT 20细胞类似产品::NCI-HUT-460细胞、NE-4C细胞、NCI-H2122细胞

EFO-27细胞类似产品::PLA-802细胞、NCIH1092细胞、PNT1A细胞

SW1353 Cells|人软骨肉瘤克隆细胞

TSCC1细胞类似产品::SW-756细胞、M4e细胞、HuP-T4细胞

OCI-AML2细胞类似产品::COLO320DM细胞、Panc02.03细胞、HNE1细胞

Caco-2BBe细胞类似产品::SW 954细胞、SCC-9细胞、NCI-H2141细胞

SRS-82细胞类似产品::BIC-1细胞、MDA-MB415细胞、UMNSAH-DF-1细胞

DR2R1610细胞类似产品::253J细胞、50.B1细胞、Tregs细胞

NCIH2141细胞类似产品::Large Cell Lung Cancer-103H细胞、BJAB-1细胞、MESSA-DX5细胞

P3X63 Ag8.653细胞类似产品::Factor Dependent Cell-Paterson 1细胞、HHL-5细胞、MDA231-LM2-4175细胞

PA12细胞类似产品::R-1059-D细胞、Tadarida brasiliensis 1 lung细胞、EMT-6细胞

MC3T3-E1 Subclone 24细胞类似产品::H1666_DA细胞、526mel细胞、Lung cancer-1/squamous细胞

WiDr细胞类似产品::HPAF细胞、TOV-112细胞、L cell细胞

AML-193细胞类似产品::SNU878细胞、KYSE 30细胞、Kelly细胞

LADMAC细胞类似产品::TO175T细胞、MRC 5细胞、FHCRC subclone 11细胞

Hs.27细胞类似产品::H-526细胞、Hs 578Bst细胞、Nb 2细胞

HCC1954 BL细胞类似产品::Sun Yat-sen university Ophtalmic center-Retinoblastoma 50细胞、HPC-Y5细胞、SW 900细胞

Japanese Tissue Culture-39细胞类似产品::HCT-8细胞、Human Embryo Lung-1细胞、LLC-PK(1)细胞

V79细胞类似产品::MDCKII-WT细胞、SW-948细胞、Tokyo Medical and Dental university 8细胞

Walker-256-TC细胞类似产品::CWR22R细胞、EFM192细胞、MV(4;11)细胞

T24(ECV304)细胞类似产品::Porcine Kidney-15细胞、Panc 3.27细胞、DI TNC-1细胞

BALB/3T3 cl. A31细胞类似产品::RCK-8细胞、HEK 293-F细胞、CTV-1细胞

PF382细胞类似产品::FRTL-5 Cl 2细胞、RWPE1细胞、PC 61 5.3细胞

Stanford University-Diffuse Histiocytic Lymphoma-5细胞类似产品::MeWo细胞、HCC-9724细胞、H-520细胞

OCI-Ly8细胞类似产品::FRTL5细胞、LCMS细胞、NCI-H69细胞

GB1细胞类似产品::COLO 680N细胞、HL1细胞、rUCMSCs细胞

H2052_MM细胞类似产品::SNU-368细胞、GBCSD细胞、WM 451-Lu细胞

CHO-ori细胞类似产品::FL 62891细胞、X63-Ag 8.6.5.3细胞、HCASMC细胞

SK-LMS-1细胞类似产品::HNE1细胞、MDCC-MSB-1细胞、NCI-SNU-1细胞

NCI-H1435细胞类似产品::Rat-1细胞、MHCC97L细胞、NCI-H1668细胞

TERT-RPE1细胞类似产品::HT-55细胞、GM00637I细胞、H4-II-E细胞

EB-3细胞类似产品::SW 1783细胞、SK-NM-C细胞、Y3-Ag 1.2.3细胞

GLRK 13细胞类似产品::IB-RS-2细胞、RCC_7860细胞、67NR细胞

OVCAR432细胞类似产品::LU-65M细胞、Malme-3M细胞、H-2030细胞

CHP 126细胞类似产品::H-23细胞、OVCAR.3细胞、Cates-1B细胞

NS20-Y细胞类似产品::F442-A细胞、HeLa229细胞、FM-88细胞

NG108-15细胞类似产品::MRAEC细胞、Centre Antoine Lacassagne-78细胞、AA-Mel细胞

WM 2664细胞类似产品::TE-9细胞、SK-MEL24细胞、MV411细胞

TC7细胞类似产品::KMBC细胞、LC2/Ad细胞、A-72细胞

FUOV1细胞类似产品::COLO320 DM细胞、MonoMac 6细胞、MNNGHOS细胞

B78细胞类似产品::RPMI6666细胞、SW-1783细胞、ASH3细胞

P116细胞类似产品::MH-22a细胞、DMS 114细胞、CHP 126细胞

HEC-251细胞类似产品::GM17346细胞、SV40-MES13细胞、MDA-MB361细胞

Hs-940细胞类似产品::UCLA RO-81-A-1细胞、SK-Hep1细胞、751-NA-15细胞

NCI-H187细胞类似产品::RCK8细胞、Y 1细胞、HEK-293H细胞

C33A细胞类似产品::NCIH1770细胞、HCC2157细胞、Chinese Hamster Ovary细胞

IGR-OV1细胞类似产品::H1734细胞、EMT6细胞、MFD-1细胞

GC-1 spg细胞类似产品::NCI-H3255细胞、CHL-CL-11细胞、NMC-G1细胞

KE 37细胞类似产品::SU-DHL-4细胞、NCI-H747细胞、KP-N-RT细胞

ETCC007细胞类似产品::VP303细胞、Panc 08.13细胞、RCS细胞

CAL-12TCells;细胞背景资料:详见相关文献介绍;细胞传代方法:1:2-1:3传代;每周换液2-3次。;细胞生长特性:贴壁或悬浮,详见细胞说明书部分;细胞形态特性:详见细胞说明书;相关细胞有:BEL-7404Cells、RF/6ACells、NCI-HUT-292细胞

MDA-453Cells;细胞背景资料:该细胞系由CailleauR在1976年从一名48岁的患有转移性乳腺癌的白人女性的心包渗出液中分离建立的。该细胞表达FGF的受体。;细胞传代方法:1:2-1:4传代;2-3天换液1次;细胞生长特性:贴壁生长;细胞形态特性:上皮样;多角形;相关细胞有:JCA1Cells、CHP-100Cells、Caco-2/BBe 1细胞

HT-1197Cells;细胞背景资料:详见相关文献介绍;细胞传代方法:1:5-1:10传代,2天换液1次。;细胞生长特性:贴壁生长;细胞形态特性:详见细胞说明书;相关细胞有:766TCells、GA-10 (Clone 4)Cells、HCT-8/V细胞

DMS-273Cells;细胞背景资料:详见相关文献介绍;细胞传代方法:1:2-1:3传代;每周换液2-3次。;细胞生长特性:贴壁或悬浮,详见细胞说明书部分;细胞形态特性:详见细胞说明书;相关细胞有:Hs840_TCells、2780Cells、201T细胞

Rat Glomerular EndothelialCells;细胞背景资料:肾小球;内皮Cells;细胞传代方法:1:2-1:3传代;每周换液2-3次。;细胞生长特性:贴壁;细胞形态特性:详见细胞说明书;相关细胞有:NCIH747Cells、JeKo-1Cells、NCI747细胞

WRL 68Cells;细胞背景资料:胚胎;肝Cells;细胞传代方法:1:2-1:3传代;每周换液2-3次。;细胞生长特性:贴壁;细胞形态特性:详见细胞说明书;相关细胞有:RAT2Cells、LIXC002Cells、U 138 MG细胞

WM 239Cells;细胞背景资料:黑色素瘤;女性;细胞传代方法:1:2-1:3传代;每周换液2-3次。;细胞生长特性:贴壁;细胞形态特性:详见细胞说明书;相关细胞有:PAECCells、DLD-1Cells、HCT8细胞

GM03573Cells;细胞背景资料:这是P3X63Ag8(ATCCTIB-9)的一个不分泌克隆。Kappa链合成了但不分泌。能抗0.1mM8-氮杂鸟嘌呤但不能在HAT培养基中生长。据报道它是由于缺失了3-酮类固醇还原酶活性的胆固醇营养缺陷型。检测表明肢骨发育畸形病毒(鼠痘)阴性。;细胞传代方法:1:2传代,3天内可长满。;细胞生长特性:悬浮生长;细胞形态特性:淋巴母Cells;相关细胞有:L5178Y TK+/-3.7.2cCells、GM03320Cells、H-2141细胞

Hx147Cells;细胞背景资料:详见相关文献介绍;细胞传代方法:1:2-1:3传代;每周换液2-3次。;细胞生长特性:贴壁或悬浮,详见细胞说明书部分;细胞形态特性:详见细胞说明书;相关细胞有:343 MGCells、BJABCells、COLO 394细胞

SW1353 Cells|人软骨肉瘤克隆细胞

Hepatoma-22Cells;细胞背景资料:1952年,前苏联医学科学院肿瘤研究所以C3HA小鼠诱发的H22肝癌实体瘤的瘤细胞悬液,昆明种小鼠皮下移植后,转腹水瘤。经检测,该瘤株在Km小鼠、615小鼠、C57BL/6小鼠、BALB/C小鼠体内可以形成实体瘤和腹水瘤。;细胞传代方法:1:2-1:3传代;每周换液2-3次。;细胞生长特性:悬浮;细胞形态特性:淋巴母Cells;相关细胞有:NCI.H522Cells、Colo320Cells、B-104细胞

NCIH2029Cells;细胞背景资料:详见相关文献介绍;细胞传代方法:1:3-1:5传代;;细胞生长特性:贴壁生长;细胞形态特性:详见细胞说明书;相关细胞有:16-HBECells、CFPAC1Cells、Transformed Human Liver Epithelial-3细胞

BHP10-3Cells;细胞背景资料:甲状腺乳头状癌;女性;细胞传代方法:1:2-1:3传代;每周换液2-3次。;细胞生长特性:贴壁;细胞形态特性:详见细胞说明书;相关细胞有:A375-SMCells、MES23.5Cells、SKGT2细胞

Kasumi-6Cells;细胞背景资料:详见相关文献介绍;细胞传代方法:每周2-3次。;细胞生长特性:悬浮生长;细胞形态特性:成髓Cells;相关细胞有:WEHI-3BCells、HS578Cells、OVCA 420细胞

MM1-SCells;细胞背景资料:详见相关文献介绍;细胞传代方法:1:2-1:4传代,2-3天换液1次。;细胞生长特性:混合生长;细胞形态特性:淋巴母细胞样;相关细胞有:NR8383Cells、L-M (TK-)Cells、UMRC2细胞

Calu 3Cells;细胞背景资料:该细胞是从一名25岁的白人男性肺腺癌患者的胸水中分离建立的;该患者曾使用过环磷酰胺、博来霉素、阿霉素进行治疗。该细胞接种至裸鼠可成瘤;可作转染宿主。;细胞传代方法:消化20分钟。1:2。5-6天长满。;细胞生长特性:贴壁生长;细胞形态特性:上皮样;相关细胞有:MV-1-LuCells、SW780Cells、RT4-D6-P2T细胞

NCI-H2023Cells;细胞背景资料:详见相关文献介绍;细胞传代方法:每周换液2次;细胞生长特性:贴壁或悬浮,详见细胞说明书部分;细胞形态特性:详见细胞说明书;相关细胞有:G-292Cells、Stanford University-Diffuse Histiocytic Lymphoma-5Cells、HOS (TE85)细胞

NCI-H2023Cells;细胞背景资料:详见相关文献介绍;细胞传代方法:每周换液2次;细胞生长特性:贴壁或悬浮,详见细胞说明书部分;细胞形态特性:详见细胞说明书;相关细胞有:G-292Cells、Stanford University-Diffuse Histiocytic Lymphoma-5Cells、HOS (TE85)细胞

SU.86.86Cells;细胞背景资料:详见相关文献介绍;细胞传代方法:1:2传代;;细胞生长特性:贴壁生长;细胞形态特性:详见细胞说明书;相关细胞有:D6P2TCells、U031Cells、IMR90细胞

CW2Cells;细胞背景资料:来源于结肠癌。 CEA阳性,移植于裸鼠可成瘤。;细胞传代方法:消化3-5分钟。1:2。3天内可长满。;细胞生长特性:贴壁生长;细胞形态特性:上皮Cells;相关细胞有:Epstein-Barr-2Cells、MJCells、HS 683T细胞

M4eCells;细胞背景资料:详见相关文献介绍;细胞传代方法:1:2-1:3传代;每周换液2-3次。;细胞生长特性:贴壁或悬浮,详见细胞说明书部分;细胞形态特性:详见细胞说明书;相关细胞有:GBCSDCells、JeKo 1Cells、H676B细胞

NamalwaCells;细胞背景资料:这株细胞有EB病毒基因组。;细胞传代方法:1:2传代。3天内可长满。;细胞生长特性:悬浮生长 ;细胞形态特性:淋巴母细胞样;相关细胞有:A 253Cells、CV-1 in Origin Simian-7Cells、Mc Ardle 7777细胞

Hmy.2 CIRCells;细胞背景资料:BCells;EBV转染;女性;细胞传代方法:1:2-1:3传代;每周换液2-3次。;细胞生长特性:悬浮;细胞形态特性:详见细胞说明书;相关细胞有:Balb/c3T3Cells、NE1Cells、KYSE 450细胞

PC615.3Cells;细胞背景资料:详见相关文献介绍;细胞传代方法:1:2-1:3传代;每周换液2-3次。;细胞生长特性:贴壁或悬浮,详见细胞说明书部分;细胞形态特性:详见细胞说明书;相关细胞有:HCC827Cells、LIM1215Cells、BEL7402细胞

SK-LU-1Cells;细胞背景资料:该细胞系源于一位60岁的白人女性患者的肺腺癌组织。;细胞传代方法:1:2传代;每周换液2次。;细胞生长特性:贴壁生长;细胞形态特性:上皮细胞样;相关细胞有:OCI-Ly 3Cells、LN 382Cells、211H细胞

SK RC 52Cells;细胞背景资料:肾癌;纵隔膜转移;细胞传代方法:1:2-1:3传代;每周换液2-3次。;细胞生长特性:贴壁;细胞形态特性:详见细胞说明书;相关细胞有:RCC-10Cells、NCI-BL2141Cells、H-322细胞

Hmy.2 CIRCells;细胞背景资料:BCells;EBV转染;女性;细胞传代方法:1:2-1:3传代;每周换液2-3次。;细胞生长特性:悬浮;细胞形态特性:详见细胞说明书;相关细胞有:Balb/c3T3Cells、NE1Cells、KYSE 450细胞

SNU-407Cells;细胞背景资料:详见相关文献介绍;细胞传代方法:1:2-1:3传代;每周换液2-3次。;细胞生长特性:贴壁或悬浮,详见细胞说明书部分;细胞形态特性:详见细胞说明书;相关细胞有:HCC-44Cells、SK UT 1Cells、TE-1细胞

RIN-14BCells;细胞背景资料:胰岛素瘤;雄性;NEDH;细胞传代方法:1:2-1:3传代;每周换液2-3次。;细胞生长特性:贴壁;细胞形态特性:详见细胞说明书;相关细胞有:Uhth-74Cells、TE11Cells、TE10细胞

TF-1aCells;细胞背景资料:详见相关文献介绍;细胞传代方法:1:2-1:3传代;每周换液2-3次。;细胞生长特性:贴壁或悬浮,详见细胞说明书部分;细胞形态特性:详见细胞说明书;相关细胞有:Karpas299Cells、KYSE-140Cells、S37细胞

SW1463Cells;细胞背景资料:详见相关文献介绍;细胞传代方法:1:3—1:8传代,每周换液1-2次;细胞生长特性:贴壁生长;细胞形态特性:上皮Cells;相关细胞有:H69Cells、SF539Cells、TE1细胞

CORL51Cells;细胞背景资料:详见相关文献介绍;细胞传代方法:1:2-1:3传代;每周换液2-3次。;细胞生长特性:贴壁或悬浮,详见细胞说明书部分;细胞形态特性:详见细胞说明书;相关细胞有:H1299Cells、CF Pac1Cells、Hs746-T细胞

MIMVECCells;细胞背景资料:肠粘膜微血管;内皮Cells;细胞传代方法:1:2-1:3传代;每周换液2-3次。;细胞生长特性:贴壁;细胞形态特性:详见细胞说明书;相关细胞有:A2780Cells、CCLP1Cells、SW-780细胞

SKNO1Cells;细胞背景资料:急性髓系白血病;男性;细胞传代方法:1:2-1:3传代;每周换液2-3次。;细胞生长特性:悬浮;细胞形态特性:详见细胞说明书;相关细胞有:MDA-MB-175VIICells、HCC-1937Cells、CT26细胞

NCI-H1836Cells;细胞背景资料:详见相关文献介绍;细胞传代方法:每周换液2-3次。;细胞生长特性:悬浮生长;细胞形态特性:详见细胞说明书;相关细胞有:GRSLCells、WM 266-4Cells、Jurkat 77细胞

Mouse podocyteCells;细胞背景资料:肾;足Cells;细胞传代方法:1:2-1:3传代;每周换液2-3次。;细胞生长特性:贴壁;细胞形态特性:详见细胞说明书;相关细胞有:PANC 813Cells、MEC-1Cells、L5178Y-R细胞

CEM-CCRFCells;细胞背景资料:G.E. Foley 等人建立了类淋巴母细胞细胞株CCRF-CEM。 细胞是1964年11月从一位四岁白人女性急性淋巴细胞白血病患者的外周血白血球衣中得到。此细胞系从香港收集而来。;细胞传代方法:1:2传代。3天内可长满。;细胞生长特性:悬浮生长;细胞形态特性:淋巴母细胞样;相关细胞有:PLC-8024Cells、A7r5Cells、COLO 320HSR细胞

NCI.H23Cells;细胞背景资料:详见相关文献介绍;细胞传代方法:1:3传代;3-4天1次。;细胞生长特性:贴壁生长;细胞形态特性:上皮样;相关细胞有:KYSE450Cells、751Cells、AG06814-J细胞

SNU251Cells;细胞背景资料:卵巢内膜癌;腹水转移;女性;细胞传代方法:1:2-1:3传代;每周换液2-3次。;细胞生长特性:贴壁;细胞形态特性:详见细胞说明书;相关细胞有:LS 513Cells、L-Wnt-3ACells、AN3-CA细胞

OCI-AML5Cells;细胞背景资料:急性髓系白血病Cells;男性;细胞传代方法:1:2-1:3传代;每周换液2-3次。;细胞生长特性:悬浮;细胞形态特性:详见细胞说明书;相关细胞有:JURKAT E-6.1Cells、HCe-8693Cells、GM07404A细胞

TE-85Cells;细胞背景资料:骨肉瘤;女性;细胞传代方法:1:2-1:3传代;每周换液2-3次。;细胞生长特性:贴壁;细胞形态特性:详见细胞说明书;相关细胞有:Calf Pulmonary Artery 47Cells、MDCK Type IICells、COLO-320细胞

AN3CACells;细胞背景资料:AN3CA细胞建系于1964年。它衍生于子宫内膜癌患者淋巴结转移组织,具有癌细胞的基本特性,能在体外长期传代培养,接种实验动物产生明显肿瘤。但细胞的生物学特性及超微结构尚未深入研究,仅发现该细胞系促黑激素合成为阴性。细胞常用于人子宫内膜癌细胞生物学及其相关特性研究。;细胞传代方法:1:2传代;细胞生长特性:贴壁生长;细胞形态特性:上皮样;相关细胞有:MB 157Cells、C6661Cells、Rat podocyte细胞

SNU-601Cells;细胞背景资料:详见相关文献介绍;细胞传代方法:1:2-1:3传代;每周换液2-3次。;细胞生长特性:贴壁或悬浮,详见细胞说明书部分;细胞形态特性:详见细胞说明书;相关细胞有:NT2/D1Cells、PANC-03-27Cells、DSL-6A-C1细胞

"


SW1353 Cells|人软骨肉瘤克隆;

公司简介

上海冠导生物工程有限公司,先后从ATCC、DSMZ、ECACC、RIKEN、PromoCell、ScienCell、JCRB等国内外细胞库引进细胞2000余株。以此为契机,公司组建了冠导细胞库,我司细胞均由资深细胞培养工程师进行培养。我司可以提供的细胞有:①细胞系②原代细胞③稳转株④耐药株⑤标记细胞⑥细胞配套试剂等。

成立日期 (11年)
注册资本 100万(元)
员工人数 50-100人
年营业额 ¥ 1000万-5000万
经营模式 工厂,试剂,定制,服务
主营行业 细胞培养,微生物学,细胞生物学

SW1353 Cells|人软骨肉瘤克隆细胞相关厂家报价

内容声明
拨打电话 立即询价