基本信息 产品详情 公司简介 推荐产品
网站主页 SCL-II CELLS|人皮肤鳞癌贴壁细胞 SCL-II Cells|人皮肤鳞癌克隆细胞
  • SCL-II Cells|人皮肤鳞癌克隆细胞

SCL-II Cells|人皮肤鳞癌克隆细胞

SCL-II Cells
询价 1000000细胞数 起订
2000000细胞数 起订
上海 更新日期:2026-04-30

上海冠导生物工程有限公司

VIP6年
联系人:全经理
电话:18818239863拨打
邮箱:3171921642@qq.com

产品详情:

中文名称:
SCL-II Cells|人皮肤鳞癌克隆细胞
英文名称:
SCL-II Cells
保存条件:
常温培养或液氮冻存
纯度规格:
SCL-II Cells|人皮肤鳞癌克隆细胞
产品类别:
生化试剂

"SCL-II Cells|人皮肤鳞癌克隆细胞

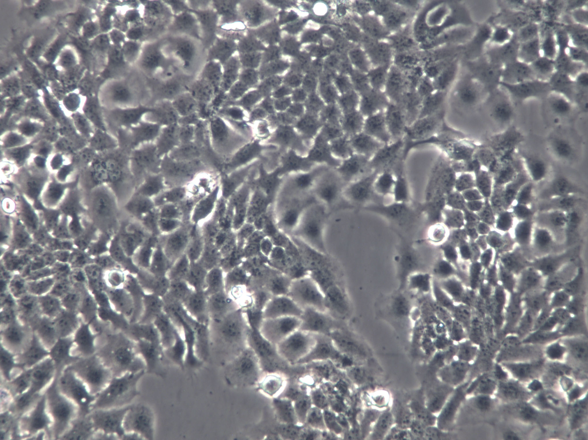
细胞形态:上皮细胞样

细胞生长:贴壁

细胞老化(cellular aging)是细胞随生物体年龄增长而发生退行性变化的总和。生物个体及其细胞须经生长、发育、老化及死亡等阶段,老化是生命发展的必然,任何细胞以及APSC多能细胞从诞生之时起,老化过程就开始了。老化的细胞结构蛋白、酶蛋白和受体蛋白合成减少,摄取营养和修复染色体损伤的能力均下降,表现为细胞和胞核变形,线粒体、GAO尔基体扭曲或呈囊泡状,胞质色素沉着,细胞体积缩小,由此导致器官重量减轻,间质增生硬化,功能代谢降低,储备功能不足。细胞分化(cell differentiation)是指同一来源的细胞逐渐产生出形态结构、功能征各不相同的细胞类群的过程,其结果是在空间上细胞产生差异,在时间上同一细胞与其从前的状态有所不同。细胞分化的本质是基因组在时间和空间上的选择性表达,通过不同基因表达的开启或关闭,终产生标志性蛋白质。一般情况下,细胞分化过程是不可逆的。然而,在某些条件下,分化了的细胞也不稳定,其基因表达模式也可以发生可逆性变化,又回到其未分化状态,这一过程称为去分化(dedifferentiation)。

C17Cells;细胞背景资料:神经干Cells;C57BL/6 x CD-1;细胞传代方法:1:2-1:3传代;每周换液2-3次。;细胞生长特性:贴壁;细胞形态特性:详见细胞说明书;相关细胞有:MDA-453Cells、SK-MEL-31Cells、Tn5B1-4细胞

Panc 4.03Cells;细胞背景资料:详见相关文献介绍;细胞传代方法:1:2传代;细胞生长特性:贴壁生长;细胞形态特性:上皮样;相关细胞有:WEHI-3Cells、RTECells、NCI-H2452细胞

MinkCells;细胞背景资料:详见相关文献介绍;细胞传代方法:1:2-1:3传代;每周换液2-3次。;细胞生长特性:贴壁或悬浮,详见细胞说明书部分;细胞形态特性:详见细胞说明书;相关细胞有:ROS 17/28Cells、SUIT2Cells、Human Microglia Clone 3细胞

PGBE1Cells;细胞背景资料:肺巨细胞癌;细胞传代方法:1:2-1:3传代;每周换液2-3次。;细胞生长特性:贴壁;细胞形态特性:详见细胞说明书;相关细胞有:SimpsonCells、Clone 15 HL-60Cells、C6661细胞

细胞物种来源:人源或鼠源等其它物种来源

SCL-II Cells|人皮肤鳞癌克隆细胞

[细胞产品包装]鲜活细胞:T25培养瓶(一瓶)或冻存细胞:1ml冻存管(两支)

悬浮细胞成簇,可能原因:培养液中含钙、镁离子;支原体污染;蛋白酶过度消化使得细胞裂解;DNA污染;解决方法:用无钙镁平衡盐溶液洗涤细胞,轻巧吹吸细胞获得单细胞悬液;分离培养物,检测支原体;用DNaseI处理细胞;培养细胞生长缓慢;可能原因:由于更换不同培养液或血清;培养液中一些细胞生长必需成分如谷氨酰胺或生长因子耗尽或缺乏或已被破坏;培养物中有少量细菌或真菌污染;试剂保存不当;接种细胞起始浓度太低;细胞已老化;支原体污染;解决方法:比较新培养液与原培养液成分,比较新血清与旧血清支持细胞生长实验,让细胞逐渐适应新培养液;换入新鲜配置培养液,或补加谷氨酰胺及生长因子;用无抗生素培养液培养,如发现污染,丢弃培养物;血清需保存在-10到-20℃。培养液需在2-8℃避光保存。含血清完全培养液在2-8℃保存,需在1周内用完;增加接种细胞起始浓度;换用新的保种细胞;分离培养物,检测支原体。清洁支架和培养箱。如发现支原体污染,丢弃培养物。

细胞背景资料:皮肤鳞癌;男性

KYSE-520Cells;细胞背景资料:食管鳞癌;女性;细胞传代方法:1:2-1:3传代;每周换液2-3次。;细胞生长特性:贴壁;细胞形态特性:详见细胞说明书;相关细胞有:Bx-PC3Cells、S180Cells、H35细胞

LTPACells;细胞背景资料:详见相关文献介绍;细胞传代方法:1:2传代;细胞生长特性:贴壁生长;细胞形态特性:上皮样;相关细胞有:NCIH244Cells、HT-55Cells、NCIH1299细胞

M619Cells;细胞背景资料:脉络膜黑色素瘤;女性;细胞传代方法:1:2-1:3传代;每周换液2-3次。;细胞生长特性:贴壁;细胞形态特性:详见细胞说明书;相关细胞有:H498Cells、PC-10Cells、UM-RC-2细胞

Ha FeCells;细胞背景资料:详见相关文献介绍;细胞传代方法:1:2-1:3传代;每周换液2-3次。;细胞生长特性:贴壁或悬浮,详见细胞说明书部分;细胞形态特性:详见细胞说明书;相关细胞有:HCC1008Cells、AN3CACells、OVCAR.8细胞

细胞传代方法:1:2-1:3传代;每周换液2-3次。

SCL-II Cells|人皮肤鳞癌克隆细胞

细胞来源说明:来源于RCB、ATCC、KCLB、DSMZ、ECACC、INCell、ScienCell、ECACC、JCRB、Asterand、ICLC等知名细胞库

原代细胞与细胞系有什么区别?细胞培养物来源于原代外植体或分散的细胞悬液。通常在这样的培养物中细胞增殖形成汇合地单层细胞或密集地细胞悬液。根据传统定义,次收获和接种的细胞被称为原代细胞[Freshney, R.I. (1987). Culture of Animal Cells. A Manual of Basic Technique. (New York, Alan R. Liss, Inc.)].这类细胞生命周期有限,在有限的生命周期内需掌握HAO细胞大的生长空间,以保持细胞群中基因型和表型的一致性。细胞系是不断生长,分化的细胞群,因其经过遗传改造,致使其具有无限增长的潜能。体外生长的细胞系用于医疗或科研。实际上,连续细胞系可以用大量次培养基培养,随着代数的增加细胞的基因型和表型都有可能发生改变。需要指出的是,在不同的科研小组中这些术语的定义会有所不同。许多研究员不用细胞系这个词表示细胞群除非细胞经过了遗传改造。

细胞生长特性:贴壁

细胞系(cell line)指原代细胞培养物经首次传代成功后所繁殖的细胞群体。 也指可长期连续传代的培养细胞。(由此便引申出了后来的有限细胞系(FiniteCellLine)、无限细胞系(InfiniteCellLine)),因此,细胞系狭义的是指可连续传代的细胞(定环境下口语和书面语都使用),广义是指可传代的细胞。肿瘤细胞系多由癌瘤建成,多呈类上皮型细胞,常已传几十代或百代以上,并具有不死性和异体接种致瘤性,丧失接触抑制能力。国际上美、英和日本等国已建有细胞库;美国已有美国标准细胞库或细胞银行(ATCC)和人遗传突变细胞库(HGMR)、细胞衰老细胞库(CAR)等,其中ATCC不仅是美国也世界大的细胞库。细胞系建立要求:什么样的体外培养群可被认可为己鉴定的细胞,视具体情况而定,无统一规定。对于用作原代培养的细胞只要供体均一,取材部位及组织种类等条件稳定即可,如用做长期培养,别是反复传代的细胞,常需做如下说明:组织来源:细胞供体所属物种,来自人体或者动物;个体性别、年龄;取材的器官或组织。如系肿瘤组织,应说明临床和病理诊断,以及病历号等。细胞生物学检测:了解细胞一般和殊的生物学性状,如细胞一般形态,异结构,细胞生长曲线和分裂指数,倍增时间,接种率等。如为肿瘤细胞,为说明来源于原肿瘤组织并保持恶性,须做软琼脂培养,异体接种致瘤和对正常组织侵润力等实验。培养条件和方法;应说明细胞系(或株)适应的生存环境,即指明使用的培养基、血清种类、用量以及适宜PH值。

SCC7细胞类似产品::Douglas Foster-1细胞、ASH3细胞、Balb/3T3-4-Cl31细胞

Ramos (RA 1)细胞类似产品::hESC细胞、K7M2 wt细胞、SW-1990细胞

WM115F细胞类似产品::WIL2S细胞、KPL-1细胞、LLC PK1细胞

H-2444细胞类似产品::CAL85-1细胞、PA-1细胞、NCI-H1341细胞

CL40细胞类似产品::HEK-293H细胞、Immortal Pig Intestinal-2I细胞、B16BL-6细胞

IOSE80UBC细胞类似产品::HBL1细胞、SW 962细胞、NCIH2141细胞

HCCLM3细胞类似产品::HAEC细胞、Panc_03_27细胞、EB-3细胞

Hs 294T细胞类似产品::NTERA-2 clone D1细胞、OVCAR.5细胞、CHL细胞

DH-82细胞类似产品::PANC-03-27细胞、CMT167细胞、BC-009细胞

H-676细胞类似产品::X63-Ag 8.6.5.3细胞、Hs742T细胞、H1238细胞

SCL-II Cells|人皮肤鳞癌克隆细胞

Ku812细胞类似产品::VK-2/E6E7细胞、HTh 74细胞、EFM192细胞

C-33 A细胞类似产品::ST2细胞、KRC-Y细胞、VP 229细胞

TB-1 Lu细胞类似产品::Jurkat细胞、b.End3细胞、D341MD细胞

WI38细胞类似产品::NCIH748细胞、WC00059细胞、CCRF/CEM-C7细胞

HCFB(HCF)细胞类似产品::WEHI-231细胞、MG63细胞、OVCAR 420细胞

H.Ep. No. 2细胞类似产品::RBL 2H3细胞、Immortalized Human Hepatocytes细胞、OVCAR8/ADR细胞

NK-92.05细胞类似产品::32D-Cl3细胞、H1573细胞、NCI-H146细胞

MES-13细胞类似产品::OSK-1细胞、CTLL(2)细胞、Calu3细胞

RGB细胞类似产品::RL细胞、LTEP a2细胞、SK-MES细胞

Duck embryo细胞类似产品::ECC12细胞、SCLC21H细胞、Sp 2817细胞

MGHU1细胞类似产品::WM2664细胞、MDA-MB-415细胞、RC-K8细胞

Vero-E6细胞类似产品::LS-513细胞、KMH-2细胞、PSN1细胞

SNU182细胞类似产品::U266细胞、CC-LP-1细胞、hTERT-RPE1细胞

TF1细胞类似产品::NB1-RGB细胞、SHEP1细胞、BetaTC6细胞

CL1-0细胞类似产品::MD Anderson-Metastatic Breast-231细胞、NCIADR.RES细胞、PK(15)细胞

GA-10(Clone 4)细胞类似产品::hTERTHME1细胞、UCH1细胞、MKN-45细胞

hTERT-HPNE细胞类似产品::OVCAR-8/ADR细胞、LUDLU1细胞、Lewis lung carcinoma细胞

OV-2008细胞类似产品::IPAM-WT细胞、MHCCLM3细胞、R1610细胞

CCRF/CEM/0细胞类似产品::H9c2(2-1)细胞、HCC-1419细胞、H661细胞

TALL-104细胞类似产品::Mino细胞、LTEP-sm 1细胞、HEK-293-EBNA细胞

B-16细胞类似产品::SU-86-86细胞、U-2 OS细胞、H1975细胞

H-1563细胞类似产品::NCI-H2023细胞、MIN6细胞、NCIH1568细胞

SKN-SH细胞类似产品::Hs606细胞、GOS-3细胞、B16-F0细胞

Baby Hamster Kidney from litter No. 21细胞类似产品::PCI-4B细胞、KATO III细胞、GFP-Olig2细胞

THC-8307细胞类似产品::LS 123细胞、SW-403细胞、Medical Research Council cell strain-9细胞

J 82细胞类似产品::RK-13细胞、MNNG-HOS (TE 85, clone F-5)细胞、REC细胞

Ly1细胞类似产品::Intestinal Porcine Epithelial Cell line-1细胞、Sp2/0细胞、NCIH847细胞

BMF细胞类似产品::TK10细胞、SW 1990细胞、N9细胞

NBL-7细胞类似产品::KU 812F细胞、M14细胞、Highly Aggressively Proliferating Immortalized细胞

VM Cub 1细胞类似产品::INS1E细胞、HLEpiC细胞、22Rv1细胞

RWPE-1细胞类似产品::NCI-H2073细胞、EFM192A细胞、TE3细胞

H-1703细胞类似产品::Porcine Kidney-13细胞、IOSE 80细胞、U343MG细胞

Murine Thymic Epithelial Cell line 1细胞类似产品::T-84细胞、Lilly Laboratories Cell-Porcine Kidney 1细胞、PA I细胞

Mel-MeWo细胞类似产品::UK Pan-1细胞、K562细胞、P3HR1-BL细胞

Huh 7.5细胞类似产品::MiaPaCa2细胞、Lewis Lung Cancer细胞、SUM 190细胞

Reuber H35细胞类似产品::TC-1[JHU-1]细胞、M-1 myeloid leukemia细胞、JM细胞

N87细胞类似产品::HDSMC细胞、Th17细胞、L-M(TK-)细胞

MDA-MB-468细胞类似产品::V79-4细胞、H82细胞、Ra No. 1细胞

GM 2132细胞类似产品::GM04154B细胞、GI-1细胞、EFM-192A细胞

KU19-19细胞类似产品::LTEPa2细胞、GalK1细胞、PLB-985细胞

3LL细胞类似产品::HT-22细胞、PA-TU S细胞、SH-SY5Y Parental细胞

CCRF.CEM细胞类似产品::OCIAML2细胞、SUDHL-16细胞、Hs 688(A).T细胞

H-1882细胞类似产品::IPECJ2细胞、K7M2细胞、MIA PaCa-2细胞

HPAF细胞类似产品::Hs 729细胞、SKMEL-24细胞、SNK1细胞

NOMO1细胞类似产品::Keio University-19-19细胞、Evsa T细胞、Kit 225 K6细胞

HIEC-6细胞类似产品::GM04679细胞、SW1573细胞、RPMI2650细胞

SNU-638细胞类似产品::Hu-P-T4细胞、VeroC1008细胞、Anip[973]细胞

BBECells;细胞背景资料:详见相关文献介绍;细胞传代方法:1:6—1:10传代,每周换液2次;细胞生长特性:贴壁生长;细胞形态特性:上皮Cells;相关细胞有:KupfferCells、Y1Cells、HuCCT-1细胞

FK81Cells;细胞背景资料:肾;自发永生;雌性;细胞传代方法:1:2-1:3传代;每周换液2-3次。;细胞生长特性:贴壁;细胞形态特性:详见细胞说明书;相关细胞有:TK-10Cells、DMS53Cells、A375SM细胞

KU 812FCells;细胞背景资料:慢性粒细胞白血病;男性;细胞传代方法:1:2-1:3传代;每周换液2-3次。;细胞生长特性:悬浮;细胞形态特性:详见细胞说明书;相关细胞有:RPMI-8226SCells、MRC-9Cells、HCC1171细胞

118 MGCells;细胞背景资料:注意: 据报道来自不同个体的胶质母细胞瘤细胞株U-118 MG (HTB-15) 和 U-138 MG (HTB-16)有着一致的VNTR和相近的STR模式。 U-118 MG 和 U-138 MG细胞遗传学上很相似并有至少六个衍生标记染色体。 这是1966年至1969年间J. Ponten和同事从恶性神经胶质瘤中构建的细胞株中的一株(其它包括ATCC HTB-14和 ATCC HTB-16 and ATCC HTB-17)。 1987年用BM-Cycline培养6周去除了支原体污染。 ;细胞传代方法: 消化3-5分钟。1:2传代。3天内可长满。;细胞生长特性:贴壁生长;细胞形态特性:混合型;相关细胞有:HNE3Cells、LK-2Cells、B16/F10细胞

HUTU80Cells;细胞背景资料:详见相关文献介绍;细胞传代方法:1:2—1:5传代,每周换液2-3次;细胞生长特性:贴壁生长;细胞形态特性:上皮细胞样;相关细胞有:SK-LMS-1Cells、IPECJ2Cells、PCI-SG231细胞

BC-3H-1Cells;细胞背景资料:详见相关文献介绍;细胞传代方法:1:2-1:3传代;每周换液2-3次。;细胞生长特性:贴壁或悬浮,详见细胞说明书部分;细胞形态特性:详见细胞说明书;相关细胞有:H766TCells、BALB/3T3 (clone A31)Cells、MCA 205细胞

NPACells;细胞背景资料:详见相关文献介绍;细胞传代方法:1:2-1:3传代;每周换液2-3次。;细胞生长特性:贴壁或悬浮,详见细胞说明书部分;细胞形态特性:详见细胞说明书;相关细胞有:Rabbit Kidney 13Cells、JB-6Cells、GM16136细胞

U-138 MGCells;细胞背景资料:星形细胞瘤;男性;细胞传代方法:1:2-1:3传代;每周换液2-3次。;细胞生长特性:贴壁;细胞形态特性:详见细胞说明书;相关细胞有:NCIH196Cells、A549/DDPCells、VMRCRCZ细胞

L5178Y TK+/- (clone 3.7.2C)Cells;细胞背景资料:详见相关文献介绍;细胞传代方法:1:2传代;细胞生长特性:悬浮生长;细胞形态特性:淋巴母细胞样;相关细胞有:ECC-12Cells、HCC2108Cells、CHP 100细胞

SCL-II Cells|人皮肤鳞癌克隆细胞

BIU-87Cells;细胞背景资料:详见相关文献介绍;细胞传代方法:1:2传代;细胞生长特性:贴壁或悬浮,详见细胞说明书部分;细胞形态特性:详见细胞说明书;相关细胞有:HUT 28Cells、COLO320DMCells、MDA-MB-468-RED细胞

IMR90Cells;细胞背景资料:W.W. Nichols及其同事从一位16周女婴的肺中取材,建立了人二倍体成纤维细胞株IMR-90。分裂潜能,病毒感受性和其它性质都得到了充分研究,因而这株细胞可以作为WI-38或其它标准人肺细胞株的替代株。有报道称这株细胞在表现出衰老前可倍增58次。;细胞传代方法:1:2传代;细胞生长特性:贴壁生长 ;细胞形态特性:详见细胞说明书;相关细胞有:Natural Killer-92Cells、Line 522Cells、COLO684细胞

UPCI-SCC-90Cells;细胞背景资料:舌鳞癌Cells;男性;细胞传代方法:1:2-1:3传代;每周换液2-3次。;细胞生长特性:贴壁;细胞形态特性:详见细胞说明书;相关细胞有:OCI AML4Cells、SU-DHL-10Cells、HCCC-9810细胞

U-251_MGCells;细胞背景资料:U-251 MG分离至一位患者的胶质母细胞瘤组织。;细胞传代方法:1:2-1:3传代;每周换液2-3次。;细胞生长特性:贴壁;细胞形态特性:成纤维细胞样;相关细胞有:SKGT4Cells、MDA-MB-134VICells、A673细胞

MOLT3Cells;细胞背景资料:急性T淋巴细胞白血病;男性;细胞传代方法:1:2-1:3传代;每周换液2-3次。;细胞生长特性:悬浮;细胞形态特性:详见细胞说明书;相关细胞有:NCI-H660Cells、P3 (Jiyoye)Cells、293 c18细胞

ME180Cells;细胞背景资料:这株细胞来源于一个细胞集落不规则没有显著角质化的侵染性鳞状细胞癌。 单层培养的细胞间可以观察到带状连接,也注意到有细胞质张力丝。 1970年发现支原体污染并去除。 肿瘤坏死因子(TNF)α抑制ME-180的生长。 这株细胞含有人乳头瘤病毒(HPV)DNA,与HPV-39的同源性高于HPV-18。;细胞传代方法:1:2传代;细胞生长特性:贴壁生长;细胞形态特性:上皮细胞样;相关细胞有:PNT1-aCells、L78Cells、Fetal Human Colon细胞

Karpas-299Cells;细胞背景资料:间变性大细胞淋巴瘤;男性;细胞传代方法:1:2-1:3传代;每周换液2-3次。;细胞生长特性:悬浮;细胞形态特性:详见细胞说明书;相关细胞有:HCMCells、SHIN-3Cells、Rat Lung Epithelial-6-T-antigen Negative细胞

Karpas-299Cells;细胞背景资料:间变性大细胞淋巴瘤;男性;细胞传代方法:1:2-1:3传代;每周换液2-3次。;细胞生长特性:悬浮;细胞形态特性:详见细胞说明书;相关细胞有:HCMCells、SHIN-3Cells、Rat Lung Epithelial-6-T-antigen Negative细胞

PC.3Cells;细胞背景资料:PC-3源于一位62岁白人男性IV级前列腺腺癌患者的骨转移灶;有低水平的酸性酶活性和5-α-睾酮还原酶活性。;细胞传代方法:消化3-5分钟,1:2,3天内可长满;细胞生长特性:贴壁生长,在软琼脂中成簇生长,并可悬浮生长;细胞形态特性:上皮样;相关细胞有:SK-NM-CCells、AZ 521Cells、SK-NM-C细胞

HCC-1937Cells;细胞背景资料:这株细胞1995年10月13日Zui初来源于原发性导管癌, 用了11.5个月建株。肿瘤分类为TNM IIB期, 3级。BRCA1分析表明这株细胞是BRCA1 5382C突变纯合的, 而来源于同一病人的类淋巴母细胞细胞株在这个突变位点上是杂合的。 另两个家庭成员也有这个突变; 一个同卵双生姐妹也患有乳腺癌。这株细胞有一个后天的TP53突变, 而其野生型等位基因丢失; 一个PTEN基因的后天的纯合缺失, 以及多个与乳腺癌发病机理相关的位点上发生的杂合突变。这株细胞Her2-neu和p53表达都呈阴性。;细胞传代方法:1:2传代;4-5天传代一次。;细胞生长特性:贴壁生长;细胞形态特性:上皮样;多角形;相关细胞有:RBMECCells、OE21Cells、MDAMB330细胞

TE 671Cells;细胞背景资料:胚胎性横纹肌肉瘤;女性;细胞传代方法:1:2-1:3传代;每周换液2-3次。;细胞生长特性:贴壁;细胞形态特性:详见细胞说明书;相关细胞有:SCC15Cells、RT4Cells、SACCLM细胞

UCLA-SO-M21Cells;细胞背景资料:黑色素瘤;女性;细胞传代方法:1:2-1:3传代;每周换液2-3次。;细胞生长特性:贴壁;细胞形态特性:详见细胞说明书;相关细胞有:NK92MICells、STOCells、MV-3细胞

COLO 741Cells;细胞背景资料:详见相关文献介绍;细胞传代方法:1:2传代;细胞生长特性:贴壁生长;细胞形态特性:详见细胞说明书;相关细胞有:NCI-H820Cells、hs 68Cells、LA-795细胞

NCI-N87Cells;细胞背景资料:NCI-N87细胞表达表面糖蛋白癌胚抗原(CEA)和TAG72,并且没有左旋多巴胺脱羧酶(DDC)活性。它们的血管活性的肠肽(VIP)受体活性极低并缺乏胃泌激素受体。它们表达蕈毒碱胆碱受体。没有证据表明存在N-myc,L-myc,myb和EGF受体基因的重组。这个细胞株表达的c-myc和c-erb-B2RNA水平与其它细胞株相当。以下基因不表达:N-myc,L-myc,c-cis,IGF-2,或胃泌激素释放肽。报道NCI-N87细胞的植板率为4.3%。;细胞传代方法:消化15-20分钟。1:2。4-5天长满。;细胞生长特性:贴壁生长;细胞形态特性:上皮细胞样;相关细胞有:NRKCells、NCI-H2196Cells、Fetal Bovine Heart Endothelial细胞

KYSE 410Cells;细胞背景资料:食管鳞癌;男性;细胞传代方法:1:2-1:3传代;每周换液2-3次。;细胞生长特性:贴壁;细胞形态特性:详见细胞说明书;相关细胞有:ZR7530Cells、Dysplastic Oral KeratinocyteCells、786.O细胞

NCIH211Cells;细胞背景资料:详见相关文献介绍;细胞传代方法:3-4天换液1次。;细胞生长特性:悬浮生长;细胞形态特性:详见细胞说明书;相关细胞有:NIH:OVCAR-10Cells、MDA-361Cells、NCI-H740细胞

DHL-5Cells;细胞背景资料:详见相关文献介绍;细胞传代方法:1:2-1:3传代;每周换液2-3次。;细胞生长特性:贴壁或悬浮,详见细胞说明书部分;细胞形态特性:详见细胞说明书;相关细胞有:KS-1 [Human glioblastoma]Cells、Human Microvascular Endothelial Cell line-1Cells、HCC0070细胞

NCIH661Cells;细胞背景资料:该细胞1982年建系,源自一位患有大细胞肺癌的男性的胸腔积液。该细胞角蛋白、波形蛋白阳性。;细胞传代方法:1:3—1:5传代,每周换液2—3次;细胞生长特性:贴壁生长;细胞形态特性:上皮样;相关细胞有:YTMLC-90Cells、H1618Cells、HUVEC-C[HUVEC]细胞

NRK49FCells;细胞背景资料:肾;成纤维Cells;自发永生;细胞传代方法:1:2-1:3传代;每周换液2-3次。;细胞生长特性:贴壁;细胞形态特性:详见细胞说明书;相关细胞有:SN4741Cells、GM04678Cells、3T3-L1 ad细胞

FarageCells;细胞背景资料:Farage细胞源于一名患有弥漫性大B细胞淋巴瘤(DLBCL)白人女性的活检淋巴组织,由HBen-Bassat建系。经IL-4处理,该细胞CD21,CD22,CD54和CD58表达上调,而CD21,CD22,andCD38表达下调。;细胞传代方法:1:3传代,2-3天传一代;细胞生长特性:悬浮生长;细胞形态特性:淋巴母细胞样;相关细胞有:NRK clone 52ECells、NTera2/D1Cells、H-1522细胞

130 TCells;细胞背景资料:详见相关文献介绍;细胞传代方法:1:2-1:4传代,3-4天换液1次。;细胞生长特性:贴壁生长;细胞形态特性:梭型和大的多核Cells;相关细胞有:H2106Cells、3396Cells、MDAMB231细胞

IR983FCells;细胞背景资料:骨髓瘤;细胞传代方法:1:2-1:3传代;每周换液2-3次。;细胞生长特性:半贴壁;细胞形态特性:详见细胞说明书;相关细胞有:NK-92Cells、32D clone 3Cells、EL-4细胞

Lung cancer-1/squamousCells;细胞背景资料:详见相关文献介绍;细胞传代方法:1:2-1:3传代;每周换液2-3次。;细胞生长特性:贴壁或悬浮,详见细胞说明书部分;细胞形态特性:详见细胞说明书;相关细胞有:UM-UC-3Cells、QBC-939Cells、H220细胞

MDA-MB361Cells;细胞背景资料:该细胞源自40岁女性乳腺癌的脑转移组织。;细胞传代方法: 1:2—1:6传代,每周换液2—3次;细胞生长特性:松散贴壁生长;细胞形态特性:上皮细胞样;相关细胞有:DMS-53Cells、LA4Cells、Mouse Podocyte Clone-5细胞

CAL 78Cells;细胞背景资料:软骨肉瘤;男性;细胞传代方法:1:2-1:3传代;每周换液2-3次。;细胞生长特性:贴壁;细胞形态特性:详见细胞说明书;相关细胞有:SNU-387Cells、U138-MGCells、MB49细胞

U-251Cells;细胞背景资料:U-251 MG分离至一位患者的胶质母细胞瘤组织。;细胞传代方法:1:2-1:3传代;每周换液2-3次。;细胞生长特性:贴壁;细胞形态特性:成纤维细胞样;相关细胞有:Hs 606Cells、293ECells、CT26-clone 25细胞

HCC0044Cells;细胞背景资料:详见相关文献介绍;细胞传代方法:1:2-1:3传代;每周换液2-3次。;细胞生长特性:贴壁或悬浮,详见细胞说明书部分;细胞形态特性:详见细胞说明书;相关细胞有:C-4 ICells、Hs 852.TCells、VERO76细胞

DaudiCells;细胞背景资料:1967年,该细胞系KleinE和KleinG建系,源于一名16岁患有Burkitt's淋巴瘤的黑人男性,beta-2-微球蛋白阴性,表达EBNA,VCA,sIg。该细胞携带EB病毒,是一个典型的B淋巴母细胞系,可用于白血病发病机制的研究。;细胞传代方法:1:2传代;细胞生长特性:悬浮生长;细胞形态特性:淋巴母细胞样;相关细胞有:SW 837Cells、SK-Mel 1Cells、NKM1细胞

M210B4Cells;细胞背景资料:骨髓;纤维原Cells;C57BL/6J X C3H/HeJ;细胞传代方法:1:2-1:3传代;每周换液2-3次。;细胞生长特性:贴壁;细胞形态特性:详见细胞说明书;相关细胞有:BT-20Cells、NCIH358Cells、H-920细胞

HT29Cells;细胞背景资料:该细胞是1964年由FoghJ用移植培养方法和含15%FBS的F12培养液从原发性肿瘤分离的。近来,已建株的培养细胞用含血清的McCoy's5a培养基培养。该细胞系在裸鼠中成瘤,也能在类固醇处理的地鼠中成瘤。该细胞可合成IgA、CEA、TGFβ结合蛋白和黏液素;表达尿激酶受体,但没有检测到血浆酶原活性;不表达CD4,但细胞表面表达半乳糖神经酰胺(HIV的可能替代受体)。该细胞系癌基因c-myc、K-ras、H-ras、N-ras、Myb、sis、fos阳性;p53基因过表达,并且在273位密码子处发;细胞传代方法:1:2传代;细胞生长特性:贴壁生长;细胞形态特性:上皮样;相关细胞有:SW 962Cells、OVCA-432Cells、HCT_116细胞

MG63Cells;细胞背景资料:该细胞源自14岁患有骨肉瘤的白人男性;聚次黄嘌呤核苷-聚胞嘧啶核苷酸、和D可以诱导产生高水平的干扰素。该细胞表达TGF-β受体Ⅰ和Ⅱ。 ;细胞传代方法:1:4-1:8传代;每周换液2-3次。;细胞生长特性:贴壁生长;细胞形态特性:成纤维Cells;相关细胞有:SW 1271Cells、VP 229Cells、SW 13细胞

H4IIEC3Cells;细胞背景资料:在糖皮质激素、胰岛素或cAMP衍生物的诱导下可以产生酪酸基转移酶;可被逆转录病毒感染;可产生白蛋白、转铁蛋白、凝血酶原;在AxC大鼠中可以成瘤。;细胞传代方法:1:2传代;细胞生长特性:贴壁生长;细胞形态特性:上皮样;相关细胞有:Virginia Mason Research Center-Lung Cancer DCells、MM1-SCells、HCC2108细胞

NCI-H250Cells;细胞背景资料:小细胞肺癌;男性;细胞传代方法:1:2-1:3传代;每周换液2-3次。;细胞生长特性:半贴壁;细胞形态特性:详见细胞说明书;相关细胞有:H-295Cells、H1341Cells、NCI-H226细胞

"


SCL-II Cells|人皮肤鳞癌克隆;

公司简介

上海冠导生物工程有限公司,先后从ATCC、DSMZ、ECACC、RIKEN、PromoCell、ScienCell、JCRB等国内外细胞库引进细胞2000余株。以此为契机,公司组建了冠导细胞库,我司细胞均由资深细胞培养工程师进行培养。我司可以提供的细胞有:①细胞系②原代细胞③稳转株④耐药株⑤标记细胞⑥细胞配套试剂等。

成立日期 (11年)
注册资本 100万(元)
员工人数 50-100人
年营业额 ¥ 1000万-5000万
经营模式 工厂,试剂,定制,服务
主营行业 细胞培养,微生物学,细胞生物学

SCL-II Cells|人皮肤鳞癌克隆细胞相关厂家报价

内容声明
拨打电话 立即询价