基本信息 产品详情 公司简介 推荐产品
网站主页 化工产品目录 生物 细胞培养 细胞系 小鼠细胞系 HL-1 CELLS(赠送STR鉴定报告)|小鼠心房肌细胞 HL-1 Cells|小鼠心房肌克隆细胞
  • HL-1 Cells|小鼠心房肌克隆细胞

HL-1 Cells|小鼠心房肌克隆细胞

HL-1 Cells
询价 1000000细胞数 起订
2000000细胞数 起订
上海 更新日期:2026-04-21

上海冠导生物工程有限公司

VIP6年
联系人:全经理
电话:18818239863拨打
邮箱:3171921642@qq.com

产品详情:

中文名称:
HL-1 Cells|小鼠心房肌克隆细胞
英文名称:
HL-1 Cells
保存条件:
常温培养或液氮冻存
纯度规格:
HL-1 Cells|小鼠心房肌克隆细胞
产品类别:
生化试剂

"HL-1 Cells|小鼠心房肌克隆细胞

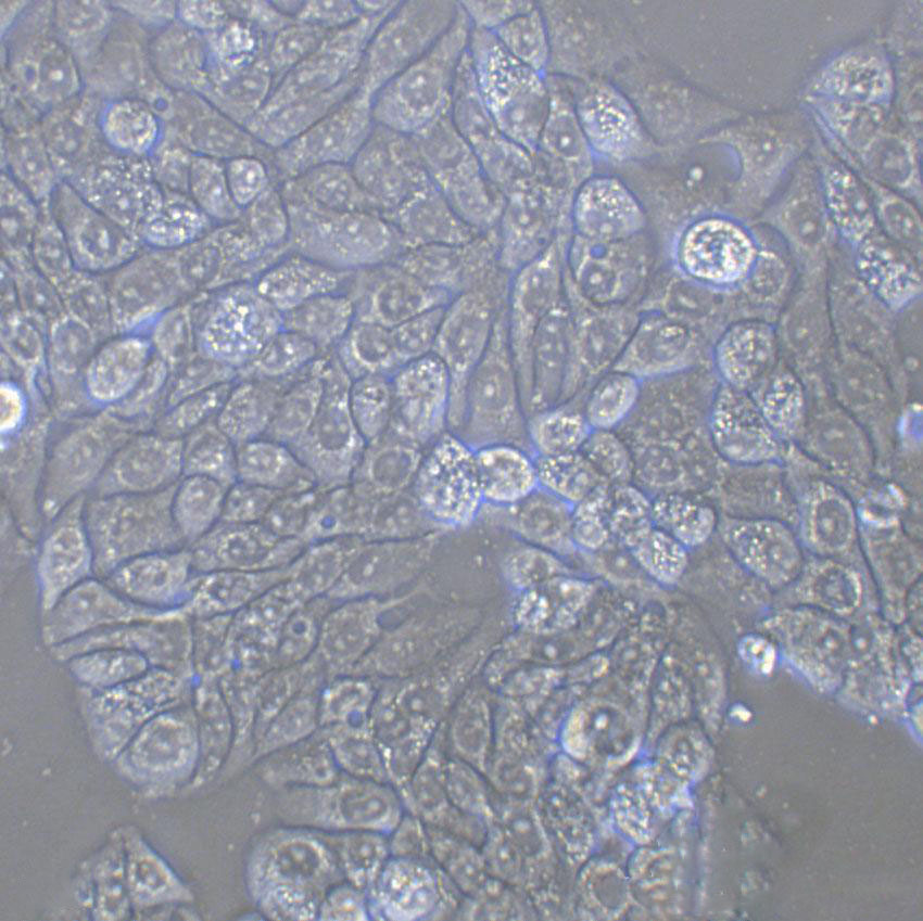
细胞形态:上皮细胞样

细胞生长:贴壁

悬浮细胞收到货后操作流程:打开包装箱,检查离心管是否漏液,若有漏液,请拍照留存,并于24h内及时联系客服;用75%酒精擦拭离心管表面,然后转移至二氧化碳培养箱中静置4h,仔细阅读细胞说明书,了解细胞培养信息;静置4h后,110g(1000rpm)离心3min,转移至安全柜中操作,用完全培养基重悬细胞沉淀至培养瓶或培养皿中培养;显微镜下观察细胞状态和密度,进行拍照;若细胞密度达到80%,可根据具体实验要求直接使用;否则置于培养箱中继续培养,至细胞密度达80%后再进行实验。

no.11Cells;细胞背景资料:详见相关文献介绍;细胞传代方法:1:2传代;细胞生长特性:贴壁生长;细胞形态特性:上皮样;相关细胞有:HCE-2 [50.B1]Cells、THC-8307Cells、HCA-7细胞

LC-1 sqCells;细胞背景资料:详见相关文献介绍;细胞传代方法:1:2-1:3传代;每周换液2-3次。;细胞生长特性:贴壁或悬浮,详见细胞说明书部分;细胞形态特性:详见细胞说明书;相关细胞有:CEM/C1Cells、NCI-H1618Cells、Bac1 2F5细胞

H2196Cells;细胞背景资料:详见相关文献介绍;细胞传代方法:1:3-1:6传代;每周换液2次。;细胞生长特性:贴壁或悬浮,详见细胞说明书部分;细胞形态特性:详见细胞说明书;相关细胞有:LA-N-6(OAN)Cells、MC/CARCells、IGR-OV1细胞

YHCells;细胞背景资料:详见相关文献介绍;细胞传代方法:1:2传代;细胞生长特性:贴壁生长;细胞形态特性:上皮Cells;相关细胞有:NL-20Cells、Virginia Mason Research Center-Lung Cancer DCells、NCIH596细胞

细胞物种来源:人源或鼠源等其它物种来源

HL-1 Cells|小鼠心房肌克隆细胞

[细胞产品包装]鲜活细胞:T25培养瓶(一瓶)或冻存细胞:1ml冻存管(两支)

细胞培养中的污染分为两类,化学污染和生物污染。化学污染是一些对细胞有毒性的或对细胞产生刺激的化学物质。这些污染一般来自于没有洗净的器皿、不纯的化学试剂和质量较差的蒸馏水等。化学污染中比较引人注意的是细菌内毒素。它是革兰氏阴性细菌细胞死亡后解体释放出的疏水性的细胞壁组成物质,对塑料等疏水性强的物质有很强的吸附能力。细菌内毒素可刺激部分细胞产生一些激素或细胞因子,对细胞生长和实验结果产生影响。细菌内毒素是临床上的主要的热原(即注射到动物体内会导致动物发热),所以通过细胞培养生产的疫苗、细胞因子等用在临床上的药品的生产过程中更是要避免细菌内毒素的污染。

细胞背景资料:心肌;SV40转化

KMBCCells;细胞背景资料:胆管癌;男性;细胞传代方法:1:2-1:3传代;每周换液2-3次。;细胞生长特性:贴壁;细胞形态特性:详见细胞说明书;相关细胞有:MKN-28Cells、TE 85 ClF-5Cells、Neukoplast细胞

H-520Cells;细胞背景资料:详见相关文献介绍;细胞传代方法:1:3-1:6传代;2-3天换液1次;细胞生长特性:贴壁或悬浮,详见细胞说明书部分;细胞形态特性:详见细胞说明书;相关细胞有:QGP-1Cells、UPCI-SCC090Cells、CPAE细胞

SUDHL2Cells;细胞背景资料:弥漫性大细胞淋巴瘤;胸腔积液转移;女性;细胞传代方法:1:2-1:3传代;每周换液2-3次。;细胞生长特性:悬浮;细胞形态特性:详见细胞说明书;相关细胞有:L-M (TK-)Cells、SV-HUCCells、NCTC929细胞

U-CH1Cells;细胞背景资料:骶骨脊索瘤;男性;细胞传代方法:1:2-1:3传代;每周换液2-3次。;细胞生长特性:贴壁;细胞形态特性:详见细胞说明书;相关细胞有:CAL33Cells、Rin-M-5FCells、CT26WT细胞

细胞传代方法:1:2-1:3传代;每周换液2-3次。

HL-1 Cells|小鼠心房肌克隆细胞

细胞来源说明:来源于RCB、ATCC、KCLB、DSMZ、ECACC、INCell、ScienCell、ECACC、JCRB、Asterand、ICLC等知名细胞库

培养条件的标准化对于维持表现稳定是必需的。尽管由于实验需要可改变某些条件,但建立细胞、生产和日常维持应固守标准的、已确定的条件。培养基所使用的培养基品种会影响不同细胞类型的选择及其表型表达的调节。因此,一旦选定了一种培养基,用该培养基进行标准化,如果购买现成的,选定一个供应商。血清去掉血清波动后的办法就是换为无血清培养基,尽管很不幸不是所有的细胞都有无血清的配方,而且无血清培养的转换昂贵且费时。血清替代品可得到很GAO的稳定性且一般来说较血清和生长因子添加物便宜很多,但不能控制无血清培养基所提供的生理环境。如必需血清,选一批,在培养的每个阶段包括细胞的冻存都使用这批血清。塑料制品多数有名品牌的细胞培养瓶和培养皿细胞培养的结果相似,但由于组织培养塑料制品处理的不同会有轻微不同。因此选定一种培养瓶、皿及供应商。细胞系的维持如果不进行标准方法维持细胞会改变性,维持方法应进行YOU化并在整个处理过程中保持一致。培养物还应该定期更换冷冻保存管。

细胞生长特性:贴壁

细胞系永生化原理介绍:多数正常细胞的寿命是有限的,能传20-100代,但有些细胞,尤其是来自啮齿类或来自多数肿瘤的细胞,可以产生具有无限寿命的连续细胞系。啮齿类动物细胞在分离时核型是正常的,在传到12代左右以后可能出现危相,多数细胞在这个阶段死亡了,但少数细胞存活下来,并拥有了更GAO的生长率,成为连续细胞系。目前认为永生化是一个多步骤的过程,包括一系列细胞周期的调节基因(如Rb和p53)失活。目前主要从两个方向进行操作,病毒基因致永生化和端粒酶诱导的永生化,其原理如下:SV40 LT基因常用于诱导永生化。这个基因的产物-T抗原,可与Rb和p53结合。这样不仅使细胞增殖的寿命得以延长,同时也限制了如p53这样基因的DNA监控活性,从而使基因组的不稳定性增加,也增加了向永生化发展的进一步突变的机会(如上调端粒酶或下调端粒酶抑制物的活性)。用含可调节启动子的端粒酶基因进行转染,足以形成永生化细胞。这些基因中已被广泛应用的有:EBV用于淋巴母细胞样细胞;SV40 LT用于黏附细胞,如成纤维细胞(Mayne et al., 1996)、 角质形成细胞(Steinberg,1996) 和内皮细胞(Punchard et al.,1996)等;而hTERT则用于间充质干细胞和其他一些细胞。

U266细胞类似产品::MV-4-11细胞、H1993细胞、AZ-521细胞

Li-7细胞类似产品::NCTC clone 929细胞、Balb/3T3-4-Cl31细胞、VM-CUB-I细胞

MDA.MB.435细胞类似产品::B-cell with DC Morphology细胞、PCI-4.2细胞、Liver-02细胞

LICR-HN6细胞类似产品::NK10a细胞、MD Anderson-Metastatic Breast-468细胞、T-ALL 1细胞

MOLM-16细胞类似产品::McA-RH8994细胞、Hs 766T细胞、L-428细胞

LUDLU 1细胞类似产品::HCC9204细胞、CCD841CoTr细胞、NPC-TW-039细胞

SHIN3细胞类似产品::HO8910PM细胞、H187细胞、PC 61细胞

PSN1细胞类似产品::SVEC4-10细胞、TOV21G细胞、DiFi细胞

Potorous tridactylus Kidney 1细胞类似产品::Caco-2BBe细胞、Eca-109细胞、H157细胞

L M (TK-)细胞类似产品::UT-7细胞、FRTL-5细胞、58F细胞

HL-1 Cells|小鼠心房肌克隆细胞

IOSE-80细胞类似产品::mouse Inner Medullary Collecting Duct-3细胞、LO2细胞、H1781细胞

HFLS-RA细胞类似产品::Evsa-T细胞、J774 A.1细胞、RAW 264.7细胞

NCI-SNU-16细胞类似产品::IHH细胞、NTERA-2细胞、T98细胞

GM03573A细胞类似产品::Panc 5.04细胞、NOMO1细胞、LLC-PK1细胞

T1-73细胞类似产品::PM6细胞、C12细胞、CL MC/9细胞

RMS 13细胞类似产品::NCI-H1793细胞、EBC1细胞、LC-1Sq细胞

RMS 13细胞类似产品::NCI-H1793细胞、EBC1细胞、LC-1Sq细胞

EL 4细胞类似产品::L5178Y细胞、Hs 294T细胞、HuH-28细胞

OCI-LY-8细胞类似产品::SKO007细胞、NCI-H2591细胞、HOP-62细胞

H295细胞类似产品::T173细胞、CMK细胞、KRCY细胞

LLC-PK(1)细胞类似产品::Murine Leydig Tumor Cell line-1细胞、mRTEC细胞、HLMVEC细胞

Panc-10.05细胞类似产品::OVCA432_Bast细胞、GP2-293细胞、Rat1细胞

hA549细胞类似产品::MOLT16细胞、OVCA420细胞、Hs863T细胞

H-774细胞类似产品::GM00637细胞、SKNBE细胞、GB-1细胞

H-2170细胞类似产品::WILL-2细胞、Y-79细胞、RN-c细胞

SR786细胞类似产品::NOR-10细胞、NCIH1944细胞、639-V细胞

HL1细胞类似产品::EM-3细胞、KU-812F细胞、Human Foreskin Fibroblast细胞

L5178Y TK+/-3.7.2c细胞类似产品::293S细胞、A375mel细胞、H4IIEC3细胞

A172细胞类似产品::OCI-Ly 8细胞、SN12C-PM6细胞、RPMI-7951细胞

SCC 15细胞类似产品::VeroC1008细胞、NCI-H522细胞、MV4-11细胞

COLO320-DM细胞类似产品::HuO9细胞、RBMEC细胞、Cloudman S91 melanoma clone M-3细胞

CHO Lec1细胞类似产品::Caco-2/BBe细胞、Adult Retinal Pigment Epithelial cell line-19细胞、A375S2细胞

GP293细胞类似产品::KU 812细胞、CL-11细胞、BMSC/hBMSCs细胞

MDA-PCa-2b细胞类似产品::H-2110细胞、HT144mel细胞、MLMEC细胞

HECCL-1细胞类似产品::K422细胞、OK细胞、H-1694细胞

SUIT2细胞类似产品::rRMECs细胞、PG-4(S+L-)细胞、CHO Lec1细胞

Centre Antoine Lacassagne-85-1细胞类似产品::CHP-212细胞、Caco2BBe细胞、MDA330细胞

INS1细胞类似产品::OVCAR-8细胞、L5178Y TK+/- (clone 3.7.2C)细胞、MRCV细胞

H-2227细胞类似产品::HT1197细胞、HUT 125细胞、J.E6-1细胞

WEHI231细胞类似产品::LICR-HN6细胞、McA-RH 7777细胞、VMRC-RCZ细胞

NP69SV40T细胞类似产品::MC3T3E1细胞、HOEC细胞、MGHU1细胞

CCRF-SB细胞类似产品::RT-BM 1细胞、NS1-1 Ag4.1细胞、C12细胞

HLF细胞类似产品::HSC-T6细胞、NCI-H774细胞、SW-1222细胞

RKN细胞类似产品::Tu177细胞、OE33细胞、ECV304细胞

A-498细胞类似产品::Raji细胞、HBSMC细胞、A2780/CP细胞

X63-AG 8.653细胞类似产品::LAN-5细胞、OVCAR433细胞、H-157细胞

KG-1a细胞类似产品::HVSMC细胞、ROS17/28细胞、QG-56细胞

CW2细胞类似产品::Epstein-Barr-2细胞、MJ细胞、HS 683T细胞

Laboratory of Allergic Diseases 2细胞类似产品::SU-DHL-1细胞、Hep 3B2_1-7细胞、GM-215细胞

SCC090细胞类似产品::A673细胞、MOLM13细胞、Lewis Lung细胞

GM02219D细胞类似产品::RMa-bm细胞、WSU-DLCL2细胞、HFT8810细胞

HOS-MNNG细胞类似产品::GB1细胞、HUC细胞、H187细胞

OVCAR 5细胞类似产品::Nb-2细胞、MTC-TT细胞、SW527细胞

PF-382细胞类似产品::HuT-102细胞、Hs888 Lu细胞、SNU-398细胞

NFS60细胞类似产品::HUT-125细胞、PLC PRF 5细胞、P1-Raji细胞

TE671/RD细胞类似产品::WB-F344细胞、NCIH345细胞、SNU739细胞

SP2细胞类似产品::CCD1095Sk细胞、SW 13细胞、HPB-ALL细胞

BeWoCells;细胞背景资料:取自人绒癌脑转移组织,在仓鼠颊囊移植传代8年。利用移植瘤组织进行体外培养,建立细胞系。利用不同传代方法建立了不同亚系,JEG-3是其衍生克隆。该细胞可以产生雌激素、孕激素、雌酮、雌二醇、雌三醇、hCG、胎盘催乳素、角蛋白。;细胞传代方法:1:3传代,3-4天换液一次;细胞生长特性:贴壁生长;细胞形态特性:上皮样;相关细胞有:SU-DHL-5Cells、TE-3ACells、UM-UC-3细胞

Sp2/OCells;细胞背景资料:该细胞是由绵羊红细胞免疫的BALB/c小鼠脾细胞和P3X63Ag8骨髓瘤细胞融合得到的。该细胞不分泌免疫球蛋白,对20μg/ml的8-氮鸟嘌呤有抗性,对HAT比较敏感;该细胞可以作为细胞融合时的B细胞组分用于制备杂交瘤;鼠痘病毒阴性。;细胞传代方法:1:2传代;细胞生长特性:悬浮生长;细胞形态特性:淋巴母细胞样;圆形;相关细胞有:X63-AG 8.653Cells、OUMS-23Cells、SCC4细胞

UACC812Cells;细胞背景资料:该细胞是由Liebovitz A等于1986年从一名43岁的白人女性乳腺导管癌患者的乳腺切除肿瘤组织中分离建立的;手术前该病人曾接受过广泛的化疗。该细胞HER-2/neu癌基因序列有15倍的扩增;雌激素受体ER、孕激素受体PR和糖蛋白P阴性。;细胞传代方法:1:3传代;5-7天1次。 ;细胞生长特性:贴壁生长;细胞形态特性:上皮样;相关细胞有:SNU-719Cells、HAECCells、SW1990细胞

SU 86.86Cells;细胞背景资料:详见相关文献介绍;细胞传代方法:1:2传代;;细胞生长特性:贴壁生长;细胞形态特性:详见细胞说明书;相关细胞有:UWB1.289Cells、HEK-293 c18Cells、Hs840_T细胞

MDA-MB415Cells;细胞背景资料:这株细胞表达WNT7B癌基因。8168088].带瘤患者来自巴拉圭,虽然填报的是白人,但细胞表型存在G6PDA型,显示其属于混血。细胞株形成平展延伸的上皮细胞样,在电镜下呈现结节,伴随着延伸的微管和微板。不容易用胰酶消化。;细胞传代方法:消化5-10分钟。1:2。4-5天长满。;细胞生长特性:贴壁生长;细胞形态特性:上皮Cells;相关细胞有:VMCUB-1Cells、CAL 85-1Cells、Y-1细胞

HUT-226Cells;细胞背景资料:1980年分离建立。;细胞传代方法:1:2传代;细胞生长特性:贴壁生长;细胞形态特性:上皮细胞样;相关细胞有:RCC23Cells、COLO-699Cells、OVCAR10细胞

HeLa S3Cells;细胞背景资料:该细胞是1955年由PuckTT,MarcusPI和CieciuraSJ建系的,含HPV-18序列;角蛋白阳性;可用于与染色体突变、细胞营养、集落形成相关的哺乳动物细胞的克隆分析。;细胞传代方法:1:2传代;细胞生长特性:贴壁生长;细胞形态特性:上皮样;相关细胞有:NCI-H82Cells、H676BCells、Mink细胞

VeroCells;细胞背景资料:Vero细胞株是日本千叶大学的YasumuraY和KawakitaY从正常成年非洲绿猴的肾脏组织中分离建立的。该细胞常作为转染宿主,用于支原体的检测。;细胞传代方法:1:2传代;细胞生长特性:贴壁生长;细胞形态特性:上皮样;相关细胞有:H3255Cells、A-375SMCells、32D.3细胞

MARC 145Cells;细胞背景资料:胚肾;自发永生;细胞传代方法:1:2-1:3传代;每周换液2-3次。;细胞生长特性:贴壁;细胞形态特性:详见细胞说明书;相关细胞有:CoCL2Cells、CP70Cells、T-T细胞

HL-1 Cells|小鼠心房肌克隆细胞

LLCCells;细胞背景资料:详见相关文献介绍;细胞传代方法:1:2传代;细胞生长特性:贴壁生长;细胞形态特性:详见细胞说明书;相关细胞有:SK-RC 52Cells、Eca 109Cells、OCI-AML-2细胞

OVCAR-8/ADRCells;细胞背景资料:详见相关文献介绍;细胞传代方法:1:2-1:3传代;每周换液2-3次。;细胞生长特性:贴壁或悬浮,详见细胞说明书部分;细胞形态特性:详见细胞说明书;相关细胞有:Psi2 DAPCells、MDAMB134VICells、X63-Ag8-653细胞

HT 1197.TCells;细胞背景资料:详见相关文献介绍;细胞传代方法:1:5-1:10传代,2天换液1次。;细胞生长特性:贴壁生长;细胞形态特性:详见细胞说明书;相关细胞有:RBSMCCells、RMS 13Cells、KNS-42细胞

SK-N-F1Cells;细胞背景资料:详见相关文献介绍;细胞传代方法:1:4传代,每周换液2次;细胞生长特性:贴壁生长;细胞形态特性:上皮样;相关细胞有:Hs 274.TCells、IM-95Cells、SW 1271细胞

PC2Cells;细胞背景资料:详见相关文献介绍;细胞传代方法:1:2-1:3传代;每周换液2-3次。;细胞生长特性:贴壁或悬浮,详见细胞说明书部分;细胞形态特性:详见细胞说明书;相关细胞有:Nb2Cells、HOP92Cells、HLEB3细胞

CL1-0Cells;细胞背景资料:肺癌;男性;细胞传代方法:1:2-1:3传代;每周换液2-3次。;细胞生长特性:贴壁;细胞形态特性:详见细胞说明书;相关细胞有:MD Anderson-Metastatic Breast-231Cells、NCIADR.RESCells、PK(15)细胞

SPC-A1Cells;细胞背景资料:详见相关文献介绍;细胞传代方法:1:2-1:3传代;每周换液2-3次。;细胞生长特性:贴壁或悬浮,详见细胞说明书部分;细胞形态特性:详见细胞说明书;相关细胞有:H548Cells、NCIH1793Cells、HMEC-1细胞

RKO-AS-45-1Cells;细胞背景资料:详见相关文献介绍;细胞传代方法:1:2-1:3传代;每周换液2-3次。;细胞生长特性:贴壁或悬浮,详见细胞说明书部分;细胞形态特性:详见细胞说明书;相关细胞有:SGC996Cells、SuDHL 5Cells、Vero 76 clone E6细胞

Hs281TCells;细胞背景资料:详见相关文献介绍;细胞传代方法:1:2传代,每周换液2-3次。;细胞生长特性:贴壁生长;细胞形态特性:成纤维Cells;相关细胞有:HBdSMCCells、T9Cells、MC3T3-E1 Subclone 4细胞

786-0Cells;细胞背景资料:该细胞源自一位原发性肾透明细胞癌患者。该细胞有微绒毛和桥粒,能在软琼脂上生长。此细胞生成一种PTH(甲状旁腺素)样的多肽,与乳癌和肺癌中生成的肽相似,其N端序列与PTH相似,具有PTH样活性,分子量为6000D。;细胞传代方法:1:2传代;细胞生长特性:贴壁生长;细胞形态特性:上皮样;相关细胞有:NCIH716Cells、TOGCells、NCIH2291细胞

DHL-6Cells;细胞背景资料:详见相关文献介绍;细胞传代方法:1:3—1:6传代,3—4天换液1次;细胞生长特性:悬浮生长 ;细胞形态特性:淋巴母细胞样;相关细胞有:MLMACells、H719Cells、A549/DDP细胞

NCI-H1435Cells;细胞背景资料:详见相关文献介绍;细胞传代方法:1:3-1:6传代,每周换液2-3次;细胞生长特性:贴壁生长,松散;细胞形态特性:详见细胞说明书;相关细胞有:Rat-1Cells、MHCC97LCells、NCI-H1668细胞

QGYCells;细胞背景资料:该细胞系来自35岁女性的肝癌。染色体数目变化大,异倍体多。免疫荧光间接法AFP阳性反应。异体移植能力强。亚显微结构方面,核与细胞质的比例高,大的多形核和多种细胞器亚显微结构改变。在ConA作用下凝集。倍增时间约为20.5小时。用Northernblot方法,未能检测到细胞中1.3kbLFIRE-1/HFREP-1mRNA的表达。;细胞传代方法:消化3-5分钟,1:2,3天内可长满;细胞生长特性:贴壁生长;细胞形态特性:上皮样;相关细胞有:CCD-1112skCells、IPLB-SF-21Cells、HCC-4006细胞

B16/BL6Cells;细胞背景资料:黑色素瘤;雄性;C57BL/6;细胞传代方法:1:2-1:3传代;每周换液2-3次。;细胞生长特性:贴壁;细胞形态特性:详见细胞说明书;相关细胞有:ketr 3Cells、Huh-7.5Cells、RWPE2细胞

SW 1222Cells;细胞背景资料:详见相关文献介绍;细胞传代方法:1:2-1:3传代;每周换液2-3次。;细胞生长特性:贴壁或悬浮,详见细胞说明书部分;细胞形态特性:详见细胞说明书;相关细胞有:H-2029Cells、T. TCells、CAL 51细胞

NTERA-2/D1Cells;细胞背景资料:详见相关文献介绍;细胞传代方法:1:2-1:3传代;每周换液2-3次。;细胞生长特性:贴壁或悬浮,详见细胞说明书部分;细胞形态特性:详见细胞说明书;相关细胞有:RM-1Cells、H-520Cells、MAVER-1细胞

Madin Darby Bovine KidneyCells;细胞背景资料:详见相关文献介绍;细胞传代方法:1:2传代;细胞生长特性:贴壁生长 ;细胞形态特性:详见细胞说明书;相关细胞有:LU65Cells、JB6 [Mouse]Cells、H1623细胞

Th17Cells;细胞背景资料:辅助性TCells;细胞传代方法:1:2-1:3传代;每周换液2-3次。;细胞生长特性:悬浮;细胞形态特性:详见细胞说明书;相关细胞有:MIN-6Cells、SHIN3Cells、Eph4 1424细胞

NUGC4Cells;细胞背景资料:胃癌;女性;细胞传代方法:1:2-1:3传代;每周换液2-3次。;细胞生长特性:半贴壁;细胞形态特性:详见细胞说明书;相关细胞有:HCEpiCCells、IGROV-1Cells、TGW-nu-1细胞

Hs 746.TCells;细胞背景资料:详见相关文献介绍;细胞传代方法:1:2-1:3传代;每周换液2-3次。;细胞生长特性:贴壁或悬浮,详见细胞说明书部分;细胞形态特性:详见细胞说明书;相关细胞有:SK_N_BE2CCells、U87 MGCells、Pt K2 (NBL-5)细胞

NCI-H446Cells;细胞背景资料:该细胞是1982年由CarneyD和GazdarAF等从一位小细胞肺癌患者的胸腔积液中建立的。细胞的原始形态并不具有小细胞肺癌特征。这个细胞株是小细胞肺癌的生化和形态学上的变种,表达神经元特有的烯醇酶和脑型肌酸激酶同工酶;左旋多巴脱羧酶、蚕素、抗利尿激素、催产素或胃泌激素释放肽未达到可检测水平。与正常细胞相比,该细胞c-mycDNA序列扩增约20倍,RNA增加15倍。Zui初传代培养基用含有5%FBS的RPMI1640,另外添加10nM化可的松、0.005mg/ml胰岛素、0.01mg/ml转铁;细胞传代方法:1:2传代;细胞生长特性:贴壁/悬浮生长,混合;细胞形态特性:上皮样;相关细胞有:WM 451-LuCells、TALL1Cells、H-226细胞

NCI-SNU-475Cells;细胞背景资料:详见相关文献介绍;细胞传代方法:1:2传代;细胞生长特性:贴壁生长;细胞形态特性:上皮样;相关细胞有:PANC-02-03Cells、MadisonCells、BHP-10细胞

P3HR-1Cells;细胞背景资料:详见相关文献介绍;细胞传代方法:每2-3天换液;细胞生长特性:悬浮生长 ;细胞形态特性:淋巴母细胞样;相关细胞有:CA-OV-3Cells、REC 1Cells、KMS11细胞

Detroit562Cells;细胞背景资料:器官:咽头 疾病:癌 取材转移灶:胸水;细胞传代方法:1:2-1:4传代,2-3天换液1次。;细胞生长特性:贴壁生长;细胞形态特性:上皮Cells;相关细胞有:NALM-6Cells、OE-33Cells、UCD-MLA-144细胞

C166Cells;细胞背景资料:血管内皮;细胞传代方法:1:2-1:3传代;每周换液2-3次。;细胞生长特性:贴壁;细胞形态特性:详见细胞说明书;相关细胞有:MD Anderson-Metastatic Breast-175-VIIICells、NCI-SNU-601Cells、NCI-H847细胞

HLCL9B10Cells;细胞背景资料:淋巴母细胞瘤;细胞传代方法:1:2-1:3传代;每周换液2-3次。;细胞生长特性:悬浮;细胞形态特性:详见细胞说明书;相关细胞有:HCC1599Cells、8402Cells、BSC40细胞

C33ACells;细胞背景资料:C-33A细胞株是N. Auersperg从宫颈癌切片中建立的一系列细胞株(参见ATCC CRL-1594和ATCC CRL-1595)中的一株。 细胞一开始就表现出亚二倍体核型及上皮细胞形态。 连续传代可以观察到核型不稳定。 存在成视网膜细胞瘤蛋白(pRB),但大小不正常。 P53表达上调,且有一个273位密码子的点突变导致Arg -> Cys的替换。 人乳头瘤病毒DNA及RNA阴性。;细胞传代方法:1:2传代;细胞生长特性:贴壁生长;细胞形态特性:上皮细胞样;相关细胞有:NCIH1770Cells、HCC2157Cells、Chinese Hamster Ovary细胞

SCL-1Cells;细胞背景资料:详见相关文献介绍;细胞传代方法:1:2-1:3传代;每周换液2-3次。;细胞生长特性:贴壁;细胞形态特性:上皮细胞样;相关细胞有:MDA-MB-175-VIICells、SO-RB50Cells、NCI-H1581细胞

ML2Cells;细胞背景资料:急性髓单核细胞白血病;男性;细胞传代方法:1:2-1:3传代;每周换液2-3次。;细胞生长特性:悬浮;细胞形态特性:详见细胞说明书;相关细胞有:HARA-BCells、H-526Cells、SGC996细胞

Rat Glomerular EndothelialCells;细胞背景资料:肾小球;内皮Cells;细胞传代方法:1:2-1:3传代;每周换液2-3次。;细胞生长特性:贴壁;细胞形态特性:详见细胞说明书;相关细胞有:NCIH747Cells、JeKo-1Cells、NCI747细胞

SW 982Cells;细胞背景资料:详见相关文献介绍;细胞传代方法:1:2-1:3传代;每周换液2-3次。;细胞生长特性:贴壁或悬浮,详见细胞说明书部分;细胞形态特性:详见细胞说明书;相关细胞有:Danio rerio GillCells、UWB1.289Cells、WERI-Rb 1细胞

beta TC6Cells;细胞背景资料:这株细胞来源于转基因小鼠中生长的一个胰肿瘤(胰岛素瘤)。这种小鼠携带了大鼠胰岛素II基因启动子调控的SV40早期基因的假基因结构。细胞包含丰富的胰岛素和小量的胰高血糖素及生长抑素。响应葡萄糖而分泌胰岛素;细胞传代方法:1:2-1:4传代,每2-3天换液一次;细胞生长特性:贴壁生长;细胞形态特性:上皮细胞样;相关细胞有:RPMI1788Cells、HUVEC-C[HUVEC]Cells、STTG1细胞

NBL-SCells;细胞背景资料:详见相关文献介绍;细胞传代方法:1:2-1:3传代;每周换液2-3次。;细胞生长特性:贴壁或悬浮,详见细胞说明书部分;细胞形态特性:详见细胞说明书;相关细胞有:CZ-1Cells、H-1395Cells、U-373MG ATCC细胞

"


HL-1 Cells|小鼠心房肌克隆细胞;

公司简介

上海冠导生物工程有限公司,先后从ATCC、DSMZ、ECACC、RIKEN、PromoCell、ScienCell、JCRB等国内外细胞库引进细胞2000余株。以此为契机,公司组建了冠导细胞库,我司细胞均由资深细胞培养工程师进行培养。我司可以提供的细胞有:①细胞系②原代细胞③稳转株④耐药株⑤标记细胞⑥细胞配套试剂等。

成立日期 (11年)
注册资本 100万(元)
员工人数 50-100人
年营业额 ¥ 1000万-5000万
经营模式 工厂,试剂,定制,服务
主营行业 细胞培养,微生物学,细胞生物学

HL-1 Cells|小鼠心房肌克隆细胞相关厂家报价

内容声明
拨打电话 立即询价