基本信息 产品详情 公司简介 推荐产品
网站主页 化工产品目录 生物 细胞培养 细胞系 人细胞系 MCF-12A CELLS|人乳腺上皮贴壁细胞 MCF-12A Cells|人乳腺上皮克隆细胞
  • MCF-12A Cells|人乳腺上皮克隆细胞

MCF-12A Cells|人乳腺上皮克隆细胞

MCF-12A Cells
询价 1000000细胞数 起订
2000000细胞数 起订
上海 更新日期:2026-04-26

上海冠导生物工程有限公司

VIP6年
联系人:全经理
电话:18818239863拨打
邮箱:3171921642@qq.com

产品详情:

中文名称:
MCF-12A Cells|人乳腺上皮克隆细胞
英文名称:
MCF-12A Cells
保存条件:
常温培养或液氮冻存
纯度规格:
MCF-12A Cells|人乳腺上皮克隆细胞
产品类别:
生化试剂

"MCF-12A Cells|人乳腺上皮克隆细胞

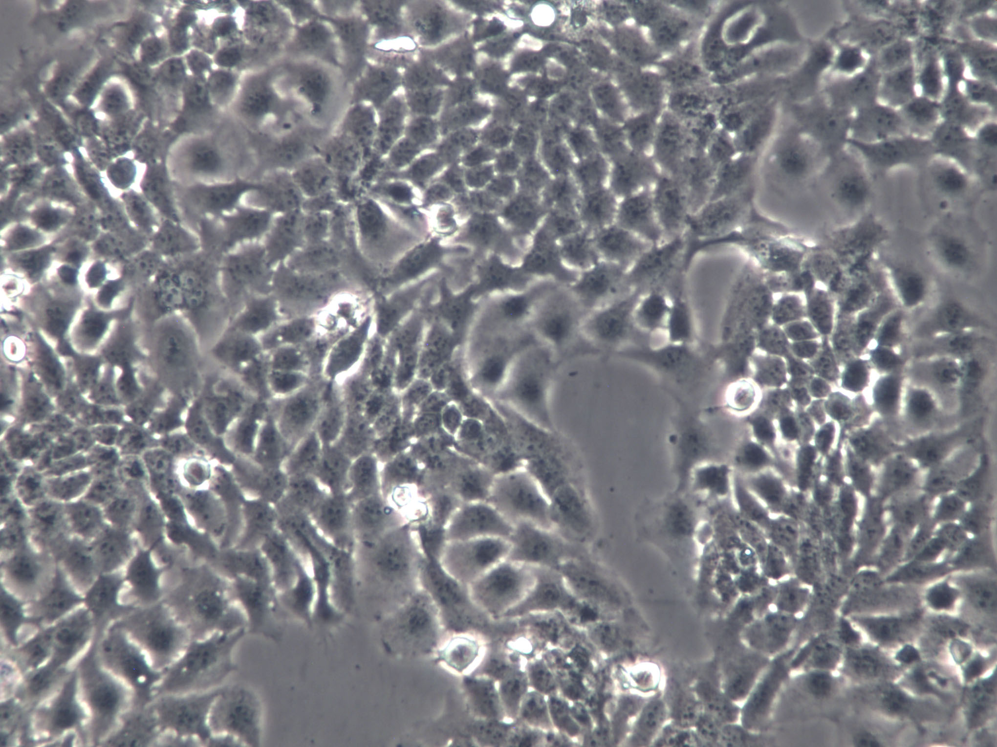
细胞形态:上皮细胞样

细胞生长:贴壁

悬浮细胞收到货后操作流程:打开包装箱,检查离心管是否漏液,若有漏液,请拍照留存,并于24h内及时联系客服;用75%酒精擦拭离心管表面,然后转移至二氧化碳培养箱中静置4h,仔细阅读细胞说明书,了解细胞培养信息;静置4h后,110g(1000rpm)离心3min,转移至安全柜中操作,用完全培养基重悬细胞沉淀至培养瓶或培养皿中培养;显微镜下观察细胞状态和密度,进行拍照;若细胞密度达到80%,可根据具体实验要求直接使用;否则置于培养箱中继续培养,至细胞密度达80%后再进行实验。

NCI-H2085Cells;细胞背景资料:详见相关文献介绍;细胞传代方法:1:3-1:6传代 ;细胞生长特性:贴壁生长;细胞形态特性:上皮Cells;相关细胞有:L-6Cells、H-7721Cells、HT55细胞

SK.MEL.28Cells;细胞背景资料:详见相关文献介绍;细胞传代方法:1:3-1:8传代,2-3天换液1次。;细胞生长特性:贴壁生长;细胞形态特性:星形的;相关细胞有:H-1770Cells、U-251Cells、Z138细胞

MN 60Cells;细胞背景资料:B细胞白血病;男性;细胞传代方法:1:2-1:3传代;每周换液2-3次。;细胞生长特性:悬浮;细胞形态特性:详见细胞说明书;相关细胞有:NCI-H719Cells、639-VCells、MZCRC1细胞

RBSMCCells;细胞背景资料:脑动脉;平滑肌;细胞传代方法:1:2-1:3传代;每周换液2-3次。;细胞生长特性:贴壁;细胞形态特性:详见细胞说明书;相关细胞有:LNCaP-C4-2Cells、MDA MB231Cells、HFT 8810细胞

细胞物种来源:人源或鼠源等其它物种来源

MCF-12A Cells|人乳腺上皮克隆细胞

[细胞产品包装]鲜活细胞:T25培养瓶(一瓶)或冻存细胞:1ml冻存管(两支)

悬浮细胞成簇,可能原因:培养液中含钙、镁离子;支原体污染;蛋白酶过度消化使得细胞裂解;DNA污染;解决方法:用无钙镁平衡盐溶液洗涤细胞,轻巧吹吸细胞获得单细胞悬液;分离培养物,检测支原体;用DNaseI处理细胞;培养细胞生长缓慢;可能原因:由于更换不同培养液或血清;培养液中一些细胞生长必需成分如谷氨酰胺或生长因子耗尽或缺乏或已被破坏;培养物中有少量细菌或真菌污染;试剂保存不当;接种细胞起始浓度太低;细胞已老化;支原体污染;解决方法:比较新培养液与原培养液成分,比较新血清与旧血清支持细胞生长实验,让细胞逐渐适应新培养液;换入新鲜配置培养液,或补加谷氨酰胺及生长因子;用无抗生素培养液培养,如发现污染,丢弃培养物;血清需保存在-10到-20℃。培养液需在2-8℃避光保存。含血清完全培养液在2-8℃保存,需在1周内用完;增加接种细胞起始浓度;换用新的保种细胞;分离培养物,检测支原体。清洁支架和培养箱。如发现支原体污染,丢弃培养物。

细胞背景资料:非致瘤性乳腺上皮细胞;女性

MDA PCa 2bCells;细胞背景资料:详见相关文献介绍;细胞传代方法:1:2-1:4传代,2-3天换液1次。;细胞生长特性:贴壁生长;细胞形态特性:上皮Cells;相关细胞有:COLO357Cells、NCI-H78Cells、HCT/FU细胞

MDCK Type IICells;细胞背景资料:详见相关文献介绍;细胞传代方法:1:3传代,3-4天传1次;细胞生长特性:贴壁生长;细胞形态特性:上皮样;相关细胞有:LMHCells、Michigan Cancer Foundation-12FCells、HEC-1A细胞

PC 61Cells;细胞背景资料:详见相关文献介绍;细胞传代方法:1:2-1:3传代;每周换液2-3次。;细胞生长特性:贴壁或悬浮,详见细胞说明书部分;细胞形态特性:详见细胞说明书;相关细胞有:CCF-STTG1Cells、Huh-7Cells、H-524细胞

OCIAML3Cells;细胞背景资料:急性髓系白血病;男性;细胞传代方法:1:2-1:3传代;每周换液2-3次。;细胞生长特性:悬浮;细胞形态特性:详见细胞说明书;相关细胞有:BetaTC6Cells、GM2132Cells、HS-5细胞

细胞传代方法:1:2-1:3传代;每周换液2-3次。

MCF-12A Cells|人乳腺上皮克隆细胞

细胞来源说明:来源于RCB、ATCC、KCLB、DSMZ、ECACC、INCell、ScienCell、ECACC、JCRB、Asterand、ICLC等知名细胞库

培养条件的标准化对于维持表现稳定是必需的。尽管由于实验需要可改变某些条件,但建立细胞、生产和日常维持应固守标准的、已确定的条件。培养基所使用的培养基品种会影响不同细胞类型的选择及其表型表达的调节。因此,一旦选定了一种培养基,用该培养基进行标准化,如果购买现成的,选定一个供应商。血清去掉血清波动后的办法就是换为无血清培养基,尽管很不幸不是所有的细胞都有无血清的配方,而且无血清培养的转换昂贵且费时。血清替代品可得到很GAO的稳定性且一般来说较血清和生长因子添加物便宜很多,但不能控制无血清培养基所提供的生理环境。如必需血清,选一批,在培养的每个阶段包括细胞的冻存都使用这批血清。塑料制品多数有名品牌的细胞培养瓶和培养皿细胞培养的结果相似,但由于组织培养塑料制品处理的不同会有轻微不同。因此选定一种培养瓶、皿及供应商。细胞系的维持如果不进行标准方法维持细胞会改变性,维持方法应进行YOU化并在整个处理过程中保持一致。培养物还应该定期更换冷冻保存管。

细胞生长特性:贴壁

细胞系(cell line)指原代细胞培养物经首次传代成功后所繁殖的细胞群体。 也指可长期连续传代的培养细胞。(由此便引申出了后来的有限细胞系(FiniteCellLine)、无限细胞系(InfiniteCellLine)),因此,细胞系狭义的是指可连续传代的细胞(定环境下口语和书面语都使用),广义是指可传代的细胞。肿瘤细胞系多由癌瘤建成,多呈类上皮型细胞,常已传几十代或百代以上,并具有不死性和异体接种致瘤性,丧失接触抑制能力。国际上美、英和日本等国已建有细胞库;美国已有美国标准细胞库或细胞银行(ATCC)和人遗传突变细胞库(HGMR)、细胞衰老细胞库(CAR)等,其中ATCC不仅是美国也世界大的细胞库。细胞系建立要求:什么样的体外培养群可被认可为己鉴定的细胞,视具体情况而定,无统一规定。对于用作原代培养的细胞只要供体均一,取材部位及组织种类等条件稳定即可,如用做长期培养,别是反复传代的细胞,常需做如下说明:组织来源:细胞供体所属物种,来自人体或者动物;个体性别、年龄;取材的器官或组织。如系肿瘤组织,应说明临床和病理诊断,以及病历号等。细胞生物学检测:了解细胞一般和殊的生物学性状,如细胞一般形态,异结构,细胞生长曲线和分裂指数,倍增时间,接种率等。如为肿瘤细胞,为说明来源于原肿瘤组织并保持恶性,须做软琼脂培养,异体接种致瘤和对正常组织侵润力等实验。培养条件和方法;应说明细胞系(或株)适应的生存环境,即指明使用的培养基、血清种类、用量以及适宜PH值。

H-2135细胞类似产品::ROS17/28细胞、SKRC20细胞、Epstein-Barr-1细胞

KYSE 510细胞类似产品::NCIH1105细胞、RK 13细胞、Hs737T细胞

MD Anderson-Metastatic Breast-361细胞类似产品::OCILY10细胞、RCC23细胞、CRFK细胞

SKHEP-1细胞类似产品::SNT-8细胞、NCI-H1436细胞、Human Microvascular Endothelial Cell line-1细胞

CAL-120细胞类似产品::Ishikawa细胞、RAT2细胞、MBT-2细胞

LS174T细胞类似产品::Rat Lung-65细胞、Ra #1细胞、P3/X63/Ag8细胞

C-33 A细胞类似产品::ST2细胞、KRC-Y细胞、VP 229细胞

U-2932细胞类似产品::Hs 839.T细胞、P3HR1细胞、NRK52E细胞

AML12细胞类似产品::MC-3T3-E1细胞、PIG3细胞、Panc-08.13细胞

GM17219细胞类似产品::SUM159细胞、BT483细胞、Hs-852-T细胞

MCF-12A Cells|人乳腺上皮克隆细胞

SW756细胞类似产品::UCLA-SO-M14细胞、7860细胞、CAL120细胞

IA-LM细胞类似产品::CCD-19Lu细胞、H2009细胞、H-220细胞

UO31细胞类似产品::MHH-CALL-2细胞、MV-4:11细胞、293 HEK细胞

Sc-1细胞类似产品::RS 4;11细胞、SCI1细胞、D283MED细胞

hCMEC/D3细胞类似产品::SACC-83细胞、EBTr细胞、MN9D细胞

Rat1细胞类似产品::INS-1细胞、HPaSteC(HPSC)细胞、SW 780细胞

Rat1细胞类似产品::INS-1细胞、HPaSteC(HPSC)细胞、SW 780细胞

C-Lu-65细胞类似产品::CMT-167细胞、AU565细胞、RH7777细胞

C-28/I2细胞类似产品::C-32细胞、L-5178-Y-R细胞、BNCL-2细胞

NBL-7细胞类似产品::KU 812F细胞、M14细胞、Highly Aggressively Proliferating Immortalized细胞

EOC-20细胞类似产品::SU-DHL-10细胞、KYSE-30细胞、MTC-TT细胞

SK Mel 24细胞类似产品::Earle's L cells细胞、SNK-6细胞、Mono Mac 6细胞

Mc Coy细胞类似产品::FHs74 Int细胞、526细胞、KASUMI1细胞

A375SM细胞类似产品::PBMC细胞、MKN-7细胞、SLMT1细胞

H-2029细胞类似产品::NCTC-929细胞、UM-UC3细胞、SK MES 1细胞

IM-95细胞类似产品::A-204细胞、AMJ2-C8细胞、JB6 Cl 30-7b细胞

U87MG细胞类似产品::OE-19细胞、EFM-192C细胞、BHK 21细胞

GM03571细胞类似产品::Fetal Rhesus Kidney-4细胞、HCC-1395细胞、SU86.86细胞

Hs-274-T细胞类似产品::GI-1细胞、HeLa S-3细胞、Pfeiffer细胞

Lu-65细胞类似产品::LO2细胞、NCIH661细胞、MDAMB175细胞

MC3T3-E细胞类似产品::SK-RC-42细胞、LNCaP细胞、FLC7细胞

A-20细胞类似产品::EFM192A细胞、NPA 87细胞、SN4741细胞

PLB985细胞类似产品::Pro-5WgaRI3C细胞、P30-OHKUBO细胞、Panc-05.04细胞

HCA7细胞类似产品::CAKI1细胞、H128细胞、Hs-606-T细胞

MDA-MB-134VI细胞类似产品::OCI-AML3细胞、LM-TK-细胞、NCI-H2087细胞

SV40 MES 13细胞类似产品::DITNC1细胞、OCI-Ly 10细胞、HCC-95细胞

NRK49F细胞类似产品::SN4741细胞、GM04678细胞、3T3-L1 ad细胞

Glioma-261细胞类似产品::BHP 10-3细胞、H2141细胞、COLO 205细胞

Shadyside Hospital Pittsburgh-77细胞类似产品::H9c2 (2-1)细胞、R1800[RA]细胞、M059K细胞

H820细胞类似产品::CHP-100细胞、PC 61细胞、IAR-20细胞

Neuro2a细胞类似产品::DKMG细胞、IPAM-WT细胞、H-1651细胞

ST细胞类似产品::HGF-1细胞、THPI细胞、RGM-1细胞

NCI-522细胞类似产品::SR细胞、He La细胞、TE14细胞

RPE-hTERT细胞类似产品::alpha TC1.6细胞、NTERA2细胞、D-283MED细胞

786-0细胞类似产品::NCIH716细胞、TOG细胞、NCIH2291细胞

PZ-HPV-7细胞类似产品::NCI-SNU-216细胞、174xCEM.T2细胞、HEK-293FT细胞

H735细胞类似产品::Hs 934.T细胞、IPLB-Sf21AE细胞、CAL 12细胞

LM(TK-)细胞类似产品::HCC0015细胞、373 MG细胞、B/C3T3细胞

KASUMI1细胞类似产品::9L细胞、Tca-8113细胞、NCI-H295R细胞

NCI-H2405细胞类似产品::MDA-MB-134VI细胞、OV3121细胞、MHHCALL2细胞

NCIH2291细胞类似产品::Mouse Colon 38细胞、WB F344细胞、KE37细胞

VP267细胞类似产品::Adult Retinal Pigment Epithelial cell line-19细胞、COV-434细胞、H2029细胞

H295R细胞类似产品::Mia PACA 2细胞、MM134细胞、H660细胞

Institute for Medical Research-32细胞类似产品::MDA-415细胞、HCC1187细胞、COLO357细胞

NCI-H774细胞类似产品::UMUC14细胞、BE2_C细胞、CCC-HEL-1细胞

BMSCs(mBMSCs)细胞类似产品::U-2OS细胞、Cloudman S91 melanoma细胞、BALB/3T3 (clone A31)细胞

RBE细胞类似产品::IGROV-1细胞、HEK 293 c18细胞、NS1-Ag4/1细胞

A549/DDPCells;细胞背景资料:详见相关文献介绍;细胞传代方法:1:2-1:3传代;每周换液2-3次。;细胞生长特性:贴壁或悬浮,详见细胞说明书部分;细胞形态特性:详见细胞说明书;相关细胞有:NCI-H2029Cells、SW 948Cells、COLO320 DM细胞

LA4Cells;细胞背景资料:肺癌;A/He;细胞传代方法:1:2-1:3传代;每周换液2-3次。;细胞生长特性:贴壁;细胞形态特性:详见细胞说明书;相关细胞有:293/EBNA-1Cells、NS1Cells、T HEECs细胞

NCI-Hut 125Cells;细胞背景资料:腺鳞状肺癌;男性;细胞传代方法:1:2-1:3传代;每周换液2-3次。;细胞生长特性:贴壁;细胞形态特性:详见细胞说明书;相关细胞有:R1800[RA]Cells、NMCG-1Cells、Strain V细胞

NCI-H-82Cells;细胞背景资料:详见相关文献介绍;细胞传代方法:1:2—1:5传代,每周换液2-3次;细胞生长特性:悬浮生长;细胞形态特性:上皮Cells;相关细胞有:BMDCCells、HOS-TE85Cells、M619细胞

OCILY3Cells;细胞背景资料:弥漫大B淋巴瘤;男性;细胞传代方法:1:2-1:3传代;每周换液2-3次。;细胞生长特性:悬浮;细胞形态特性:详见细胞说明书;相关细胞有:MadisonCells、mouse Inner Medullary Collecting Duct-3Cells、HEK AD293细胞

CEM.C1Cells;细胞背景资料:详见相关文献介绍;细胞传代方法:1:2传代;细胞生长特性:贴壁生长 ;细胞形态特性:详见细胞说明书;相关细胞有:10RGBCells、NCIH23Cells、MN-9D细胞

TU 686Cells;细胞背景资料:详见相关文献介绍;细胞传代方法:1:2传代;细胞生长特性:贴壁生长 ;细胞形态特性:详见细胞说明书;相关细胞有:NF639Cells、KOPN8Cells、N-Tera-2细胞

C3H10T1/2Cells;细胞背景资料:详见相关文献介绍;细胞传代方法:1:2-1:3传代;每周换液2-3次。;细胞生长特性:贴壁或悬浮,详见细胞说明书部分;细胞形态特性:详见细胞说明书;相关细胞有:NCIH1573Cells、PCI-04BCells、HCEpiC细胞

NIE-115Cells;细胞背景资料:神经母细胞瘤;雄性;A/J;细胞传代方法:1:2-1:3传代;每周换液2-3次。;细胞生长特性:贴壁;细胞形态特性:详见细胞说明书;相关细胞有:MRASMCCells、Hs852Cells、L5178Y细胞

MCF-12A Cells|人乳腺上皮克隆细胞

ECC12Cells;细胞背景资料:详见相关文献介绍;细胞传代方法:1:2传代;细胞生长特性:贴壁或悬浮,详见细胞说明书部分;细胞形态特性:详见细胞说明书;相关细胞有:HEK-EBNACells、U-118 MGCells、Tadarida brasiliensis 1 lung细胞

ROS 17/28Cells;细胞背景资料:骨肉瘤;ACI 9935;细胞传代方法:1:2-1:3传代;每周换液2-3次。;细胞生长特性:贴壁;细胞形态特性:详见细胞说明书;相关细胞有:A-427Cells、BpRclCells、Ly19细胞

CFPACCells;细胞背景资料:详见相关文献介绍;细胞传代方法:1:3-10传代;2-3天换液1次。;细胞生长特性:贴壁生长;细胞形态特性:上皮Cells;相关细胞有:NCIH524Cells、HEL9217Cells、DMS-153细胞

SK Mel 2Cells;细胞背景资料:详见相关文献介绍;细胞传代方法:1:3-1:6传代,2-3天换液1次。;细胞生长特性:贴壁生长;细胞形态特性:多边形的;相关细胞有:VK2Cells、H.Ep. No. 2Cells、GH3细胞

CCD 966SKCells;细胞背景资料:详见相关文献介绍;细胞传代方法:1:2-1:3传代;每周换液2-3次。;细胞生长特性:贴壁或悬浮,详见细胞说明书部分;细胞形态特性:详见细胞说明书;相关细胞有:MS 751Cells、DHL8Cells、TGBC11TKB细胞

EA. hy 926Cells;细胞背景资料:详见相关文献介绍;细胞传代方法:1:2传代;细胞生长特性:贴壁生长;细胞形态特性:上皮细胞样;相关细胞有:SUM190PTCells、THLE-2Cells、AU 565细胞

COR-L279Cells;细胞背景资料:详见相关文献介绍;细胞传代方法:1:2-1:3传代;每周换液2-3次。;细胞生长特性:贴壁或悬浮,详见细胞说明书部分;细胞形态特性:详见细胞说明书;相关细胞有:NS1Cells、Caov-4Cells、HCC0015细胞

H-548Cells;细胞背景资料:详见相关文献介绍;细胞传代方法:1:2-1:3传代;每周换液2-3次。;细胞生长特性:贴壁或悬浮,详见细胞说明书部分;细胞形态特性:详见细胞说明书;相关细胞有:HHL-5Cells、BMSC/hBMSCsCells、HR8348细胞

H341Cells;细胞背景资料:详见相关文献介绍;细胞传代方法:每周换液2-3次。;细胞生长特性:悬浮生长;细胞形态特性:髓母细胞样;相关细胞有:MTEC1Cells、Radiation Effects Research Foundation-Lung Cancer-MSCells、MDAMB435细胞

Hs-940Cells;细胞背景资料:详见相关文献介绍;细胞传代方法:1:2-1:3传代,2-3天换液1次。;细胞生长特性:贴壁生长;细胞形态特性:成纤维Cells;相关细胞有:UCLA RO-81-A-1Cells、SK-Hep1Cells、751-NA-15细胞

MDA MB 453Cells;细胞背景资料:该细胞系由CailleauR在1976年从一名48岁的患有转移性乳腺癌的白人女性的心包渗出液中分离建立的。该细胞表达FGF的受体。;细胞传代方法:1:2-1:4传代;2-3天换液1次;细胞生长特性:贴壁生长;细胞形态特性:上皮样;多角形;相关细胞有:M-G63Cells、T47D:ACells、C32-mel细胞

ABE­8.1/2Cells;细胞背景资料:淋巴瘤;BALB/c;细胞传代方法:1:2-1:3传代;每周换液2-3次。;细胞生长特性:悬浮;细胞形态特性:详见细胞说明书;相关细胞有:Bovine ENDometrial cellsCells、RC-K8Cells、FL 62891细胞

ETCC-007Cells;细胞背景资料:原位导管癌;女性;细胞传代方法:1:2-1:3传代;每周换液2-3次。;细胞生长特性:贴壁;细胞形态特性:详见细胞说明书;相关细胞有:HEL-92-1-7Cells、UT-7Cells、HCC1187细胞

HTCells;细胞背景资料:详见相关文献介绍;细胞传代方法:每2-3天换液;细胞生长特性:悬浮生长 ;细胞形态特性:淋巴母细胞样;相关细胞有:WM35Cells、MIHACells、SNU1细胞

SK-N-MCCells;细胞背景资料:这株细胞与HTB-11都是神经源的。1971年9月分离得到SK-N-MC后,发现它有中性多巴胺-β-羟化酶活性,也有细胞内儿茶胺,用甲醛可以诱导出荧光。;细胞传代方法:1:6-1:12传代,每周2-3次换液。;细胞生长特性:贴壁生长;细胞形态特性:上皮样;相关细胞有:Panc-02Cells、TE354TCells、MDA-MB231细胞

WEHI3BCells;细胞背景资料:白血病;BALB/c;细胞传代方法:1:2-1:3传代;每周换液2-3次。;细胞生长特性:悬浮;细胞形态特性:详见细胞说明书;相关细胞有:OS-732Cells、HepG2/C3ACells、Madison细胞

MONO-MAC 6Cells;细胞背景资料:详见相关文献介绍;细胞传代方法:1:2传代;细胞生长特性:悬浮生长;细胞形态特性:淋巴母Cells;相关细胞有:H-2135Cells、P30/OHKCells、EOC 20细胞

SKLU01Cells;细胞背景资料:该细胞系源于一位60岁的白人女性患者的肺腺癌组织。;细胞传代方法:1:2传代;每周换液2次。;细胞生长特性:贴壁生长;细胞形态特性:上皮细胞样;相关细胞有:WM 239Cells、MM-1SCells、ATDC-5细胞

H446Cells;细胞背景资料:该细胞是1982年由CarneyD和GazdarAF等从一位小细胞肺癌患者的胸腔积液中建立的。细胞的原始形态并不具有小细胞肺癌特征。这个细胞株是小细胞肺癌的生化和形态学上的变种,表达神经元特有的烯醇酶和脑型肌酸激酶同工酶;左旋多巴脱羧酶、蚕素、抗利尿激素、催产素或胃泌激素释放肽未达到可检测水平。与正常细胞相比,该细胞c-mycDNA序列扩增约20倍,RNA增加15倍。Zui初传代培养基用含有5%FBS的RPMI1640,另外添加10nM化可的松、0.005mg/ml胰岛素、0.01mg/ml转铁;细胞传代方法:1:2传代;细胞生长特性:贴壁/悬浮生长,混合;细胞形态特性:上皮样;相关细胞有:SUIT 2Cells、OV-CA 432Cells、SF 767细胞

OV 1063Cells;细胞背景资料:卵巢上皮细胞癌;细胞传代方法:1:2-1:3传代;每周换液2-3次。;细胞生长特性:贴壁;细胞形态特性:详见细胞说明书;相关细胞有:Pt K2 (NBL-5)Cells、B6Tert-1Cells、RL细胞

SCC 25Cells;细胞背景资料:详见相关文献介绍;细胞传代方法:1:3-1:10传代,2-3天换液1次。;细胞生长特性:贴壁生长;细胞形态特性:上皮Cells;相关细胞有:NCI-H1650Cells、hESCCells、PAN 02细胞

JURKAT E-6.1Cells;细胞背景资料:详见相关文献介绍;细胞传代方法:1:2-1:3传代;每周换液2-3次。;细胞生长特性:贴壁或悬浮,详见细胞说明书部分;细胞形态特性:详见细胞说明书;相关细胞有:MELCells、NCIH647Cells、Balb/c3T3细胞

GL-261Cells;细胞背景资料:详见相关文献介绍;细胞传代方法:1:2-1:3传代;每周换液2-3次。;细胞生长特性:贴壁;细胞形态特性:上皮细胞样;相关细胞有:Hs-746TCells、NCI-H1623Cells、CCLP-1细胞

HEC151Cells;细胞背景资料:详见相关文献介绍;细胞传代方法:1:2-1:3传代;每周换液2-3次。;细胞生长特性:贴壁或悬浮,详见细胞说明书部分;细胞形态特性:详见细胞说明书;相关细胞有:Monomac-1Cells、LN-382Cells、253J细胞

HBL1Cells;细胞背景资料:弥漫大B淋巴瘤;男性;细胞传代方法:1:2-1:3传代;每周换液2-3次。;细胞生长特性:悬浮;细胞形态特性:详见细胞说明书;相关细胞有:U2-OSCells、VSMCCells、D324细胞

769-PCells;细胞背景资料:该细胞系1975年建系,源自一位63岁白人女性的初期透明细胞腺癌组织,细胞呈圆形且边界不清,核浆比大,有微绒毛及桥粒。该细胞可在软琼脂上生长。 ;细胞传代方法:1:4—1:12传代,2—3天换液一次;细胞生长特性:贴壁生长;细胞形态特性:上皮细胞样;相关细胞有:143BCells、MA 104Cells、RBE细胞

RTECells;细胞背景资料:详见相关文献介绍;细胞传代方法:1:3传代,3-4天换液一次;细胞生长特性:贴壁生长;细胞形态特性:多角;相关细胞有:ECC-1Cells、UACC 893Cells、H-250细胞

MDA-MB-468-REDCells;细胞背景资料:详见相关文献介绍;细胞传代方法:1:2-1:3传代;每周换液2-3次。;细胞生长特性:贴壁或悬浮,详见细胞说明书部分;细胞形态特性:详见细胞说明书;相关细胞有:GM346Cells、Medical Research Council cell strain-5Cells、Me Wo细胞

NCIH2110Cells;细胞背景资料:详见相关文献介绍;细胞传代方法:1:3-1:6传代,每周换液2-3次;细胞生长特性:贴壁或悬浮,详见细胞说明书部分;细胞形态特性:上皮Cells;相关细胞有:CL1.0Cells、SK-N-BE(1)Cells、LA 4细胞

SUM 149PTCells;细胞背景资料:乳腺癌;女性;细胞传代方法:1:2-1:3传代;每周换液2-3次。;细胞生长特性:贴壁;细胞形态特性:详见细胞说明书;相关细胞有:3-LLCells、SHEECells、PE CA PJ34细胞

H9Cells;细胞背景资料:H9细胞是HUT78(ATCCTIB161)的克隆系(Callo,RC,etal)。细胞表面带有CD3、CD4标记。研究表明,该细胞系对人体免疫缺陷病毒(HIV-1)敏感,可用于检测、分离和增殖HIV-1,也可用于其它人类Tcell病毒的研究。;细胞传代方法:1:3传代,2-3天传一代;细胞生长特性:悬浮生长;细胞形态特性:淋巴母细胞样;相关细胞有:8402Cells、TE-10Cells、HEK 293细胞

Hs 746TCells;细胞背景资料:详见相关文献介绍;细胞传代方法:1:2-1:3传代;每周换液2-3次。;细胞生长特性:贴壁或悬浮,详见细胞说明书部分;细胞形态特性:详见细胞说明书;相关细胞有:APRE-19Cells、KHYG1Cells、EnCa1细胞

SW.620Cells;细胞背景资料:SW620是从一个51岁男性白人组织中分离得到。由A.Leibovitz等从一个淋巴结建株。细胞系主要由无绒毛的小园球细胞和双极细胞组成。它仅合成少量癌胚抗原(CEA)且在裸鼠中有高度的致瘤性;细胞传代方法:1:3传代,2-3天换液一次;细胞生长特性:贴壁生长;细胞形态特性:上皮样;相关细胞有:GM-215Cells、MCCARCells、SK-NMC细胞

"


MCF-12A Cells|人乳腺上皮克;

公司简介

上海冠导生物工程有限公司,先后从ATCC、DSMZ、ECACC、RIKEN、PromoCell、ScienCell、JCRB等国内外细胞库引进细胞2000余株。以此为契机,公司组建了冠导细胞库,我司细胞均由资深细胞培养工程师进行培养。我司可以提供的细胞有:①细胞系②原代细胞③稳转株④耐药株⑤标记细胞⑥细胞配套试剂等。

成立日期 (11年)
注册资本 100万(元)
员工人数 50-100人
年营业额 ¥ 1000万-5000万
经营模式 工厂,试剂,定制,服务
主营行业 细胞培养,微生物学,细胞生物学

MCF-12A Cells|人乳腺上皮克隆细胞相关厂家报价

内容声明
拨打电话 立即询价